Coronary Computed Tomography Angiography (CTA) Findings in COVID-19
Abstract
1. Introduction
2. Materials and Methods
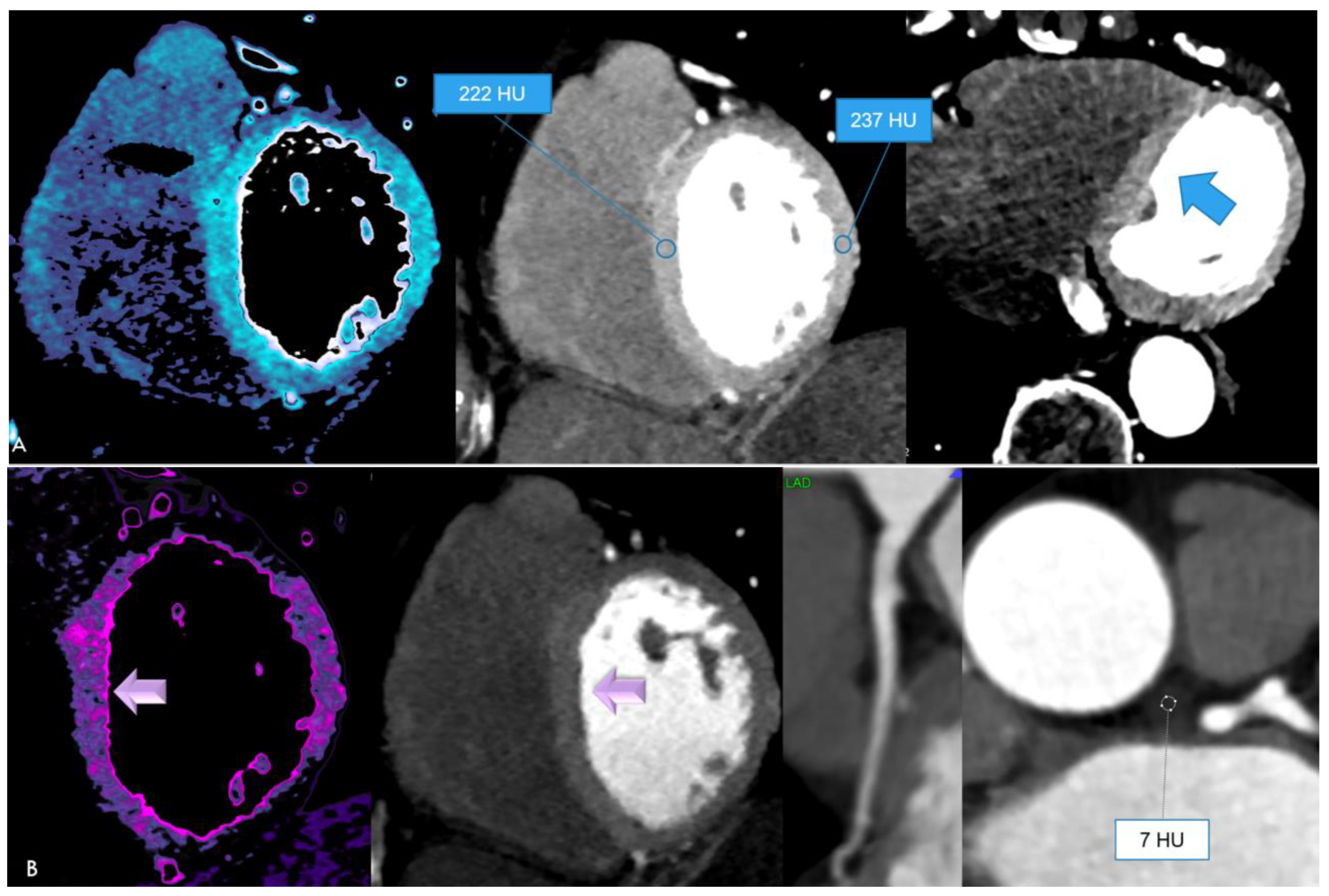
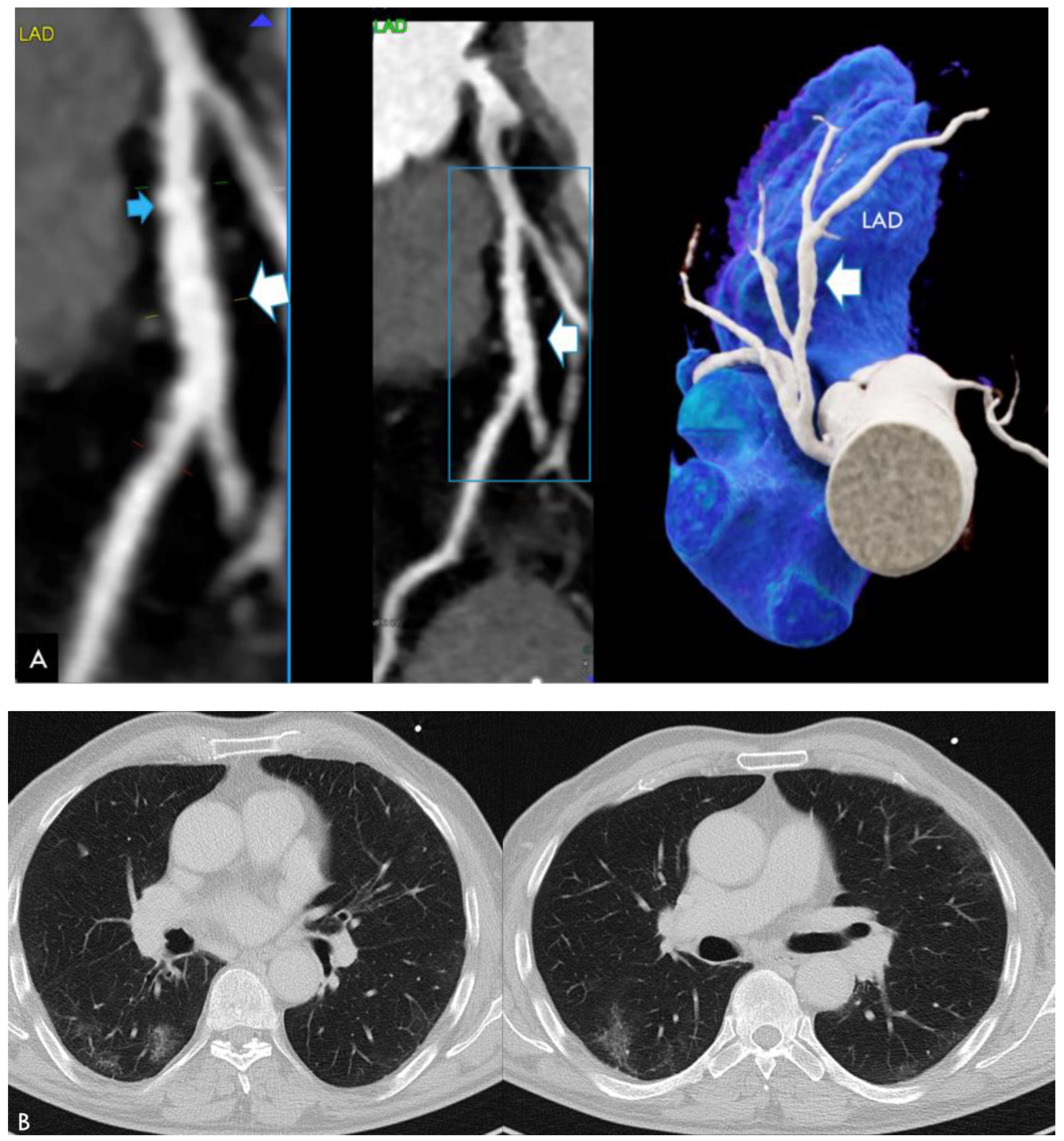
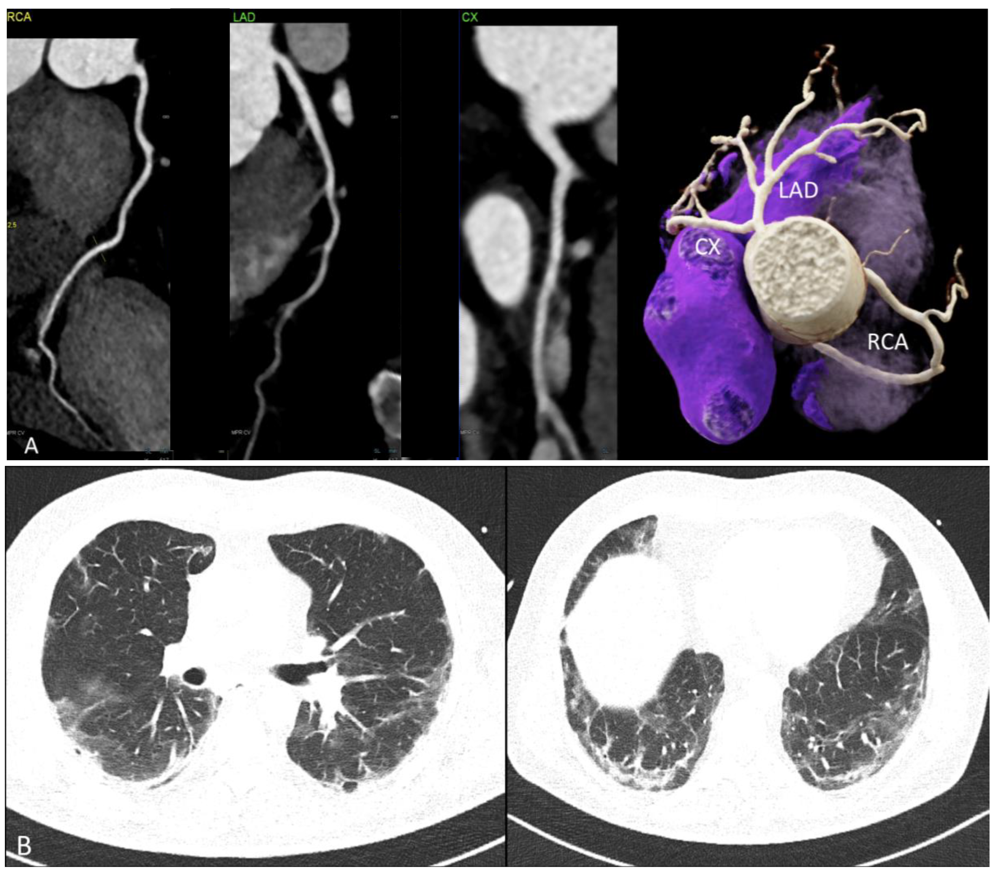
3. Results
4. Discussion
5. Conclusions
Author Contributions
Funding
Institutional Review Board Statement
Informed Consent Statement
Data Availability Statement
Conflicts of Interest
References
- Pellegrini, D.; Kawakami, R.; Guagliumi, G.; Sakamoto, A.; Kawai, K.; Gianatti, A.; Nasr, A.; Kutys, R.; Guo, L.; Cornelissen, A.; et al. Microthrombi as a Major Cause of Cardiac Injury in COVID-19: A Pathologic Study. Circulation 2021, 143, 1031–1042. [Google Scholar] [CrossRef] [PubMed]
- Ciliberti, G.; Guerra, F.; Pizzi, C.; Merlo, M.; Zilio, F.; Bianco, F.; Mancone, M.; Zaffalon, D.; Gioscia, R.; Bergamaschi, L.; et al. Characteristics of patients with recurrent acute myocardial infarction after MINOCA. Prog. Cardiovasc. Dis. 2023, 81, 42–47. [Google Scholar] [CrossRef] [PubMed]
- Oikonomou, E.K.; Marwan, M.; Desai, M.Y.; Mancio, J.; Alashi, A.; Centeno, E.H.; Thomas, S.; Herdman, L.; Kotanidis, C.P.; Thomas, K.E.; et al. Non-invasive detection of coronary inflammation using computed tomography and prediction of residual cardiovascular risk (the CRISP CT study): A post-hoc analysis of prospective outcome data. Lancet 2018, 392, 929–939. [Google Scholar] [CrossRef] [PubMed]
- Rezel-Potts, E.; Douiri, A.; Sun, X.; Chowienczyk, P.J.; Shah, A.M.; Gulliford, M.C. Cardiometabolic outcomes up to 12 months after COVID-19 infection. A matched cohort study in the UK. PLoS Med. 2022, 19, e1004052. [Google Scholar] [CrossRef] [PubMed]
- Raafs, A.G.; Ghossein, M.A.; Brandt, Y.; Henkens, M.T.H.M.; Kooi, M.E.; Vernooy, K.; Spaanderman, M.E.A.; Gerretsen, S.; van Santen, S.; Driessen, R.G.H.; et al. Cardiovascular outcome 6 months after severe coronavirus disease 2019 infection. J. Hypertens. 2022, 40, 1278–1287. [Google Scholar] [CrossRef] [PubMed]
- Feuchtner, G.M.; Barbieri, F.; Luger, A.; Skalla, E.; Kountchev, J.; Widmann, G.; Plank, F. Myocardial injury in COVID-19: The role of coronary computed tomography angiography (CTA). J. Cardiovasc. Comput. Tomogr. 2021, 15, e3–e6. [Google Scholar] [CrossRef]
- Gulati, M.; Levy, P.D.; Mukherjee, D.; Amsterdam, E.; Bhatt, D.L.; Birtcher, K.K.; Blankstein, R.; Boyd, J.; Bullock-Palmer, R.P.; Conejo, T.; et al. 2021 AHA/ACC/ASE/CHEST/SAEM/SCCT/SCMR Guideline for the Evaluation and Diagnosis of Chest Pain: A Report of the American College of Cardiology/American Heart Association Joint Committee on Clinical Practice Guidelines. Circulation 2021, 144, e368–e454. [Google Scholar]
- Seifarth, H.; Schlett, C.L.; Nakano, M.; Otsuka, F.; Károlyi, M.; Liew, G.; Maurovich-Horvat, P.; Alkadhi, H.; Virmani, R.; Hoffmann, U. Histopathological correlates of the napkin-ring sign plaque in coronary CT angiography. Atherosclerosis 2012, 224, 90–96. [Google Scholar] [CrossRef] [PubMed]
- Hayes, S.N.; Kim, E.S.H.; Saw, J.; Adlam, D.; Arslanian-Engoren, C.; Economy, K.E.; Ganesh, S.K.; Gulati, R.; Lindsay, M.E.; Mieres, J.H.; et al. Spontaneous Coronary Artery Dissection: Current State of the Science: A Scientific Statement From the American Heart Association. Circulation 2018, 137, e523–e557. [Google Scholar] [CrossRef]
- Dhakal, B.P.; Sweitzer, N.K.; Indik, J.H.; Acharya, D.; William, P. SARS-CoV-2 Infection and Cardiovascular Disease: COVID-19 Heart. Heart Lung Circ. 2020, 29, 973–987. [Google Scholar] [CrossRef]
- Luetkens, J.A.; Isaak, A.; Öztürk, C.; Mesropyan, N.; Monin, M.; Schlabe, S.; Reinert, M.; Faron, A.; Heine, A.; Velten, M.; et al. Cardiac MRI in Suspected Acute COVID-19 Myocarditis. Radiol. Cardiothorac. Imaging 2021, 3, e200628. [Google Scholar] [CrossRef] [PubMed]
- Puntmann, V.O.; Carerj, M.L.; Wieters, I.; Fahim, M.; Arendt, C.; Hoffmann, J.; Shchendrygina, A.; Escher, F.; Vasa-Nicotera, M.; Zeiher, A.M.; et al. Outcomes of Cardiovascular Magnetic Resonance Imaging in Patients Recently Recovered From Coronavirus Disease 2019 (COVID-19). JAMA Cardiol. 2020, 5, 1265–1273. [Google Scholar] [CrossRef] [PubMed]
- Daniels, C.J.; Rajpal, S.; Greenshields, J.T.; Rosenthal, G.L.; Chung, E.H.; Terrin, M.; Jeudy, J.; Mattson, S.E.; Law, I.H.; Borchers, J.; et al. Prevalence of Clinical and Subclinical Myocarditis in Competitive Athletes With Recent SARS-CoV-2 Infection: Results From the Big Ten COVID-19 Cardiac Registry. JAMA Cardiol. 2021, 6, 1078–1087. [Google Scholar] [CrossRef]
- de Graeff, N.; Groot, N.; Ozen, S.; Eleftheriou, D.; Avcin, T.; Bader-Meunier, B.; Dolezalova, P.; Feldman, B.M.; Kone-Paut, I.; Lahdenne, P.; et al. European consensus-based recommendations for the diagnosis and treatment of Kawasaki disease—The SHARE initiative. Rheumatology 2019, 58, 672–682. [Google Scholar] [CrossRef] [PubMed]
- Tang, Y.; Li, W.; Baskota, M.; Zhou, Q.; Fu, Z.; Luo, Z.; Shi, Y.; Chen, Y.; Liu, E. Multisystem inflammatory syndrome in children during the coronavirus disease 2019 (COVID-19) pandemic: A systematic review of published case studies. Transl. Pediatr. 2021, 10, 121–135. [Google Scholar] [CrossRef] [PubMed]
- Dey, A.K.; Teague, H.L.; Adamstein, N.H.; Rodante, J.A.; Playford, M.P.; Chen, M.Y.; Bluemke, D.A.; Gelfand, J.M.; Ridker, P.M.; Mehta, N.N. Association of neutrophil-to-lymphocyte ratio with non-calcified coronary artery burden in psoriasis: Findings from an observational cohort study. J. Cardiovasc. Comput. Tomogr. 2021, 15, 372–379. [Google Scholar] [CrossRef]
- Senoner, T.; Barbieri, F.; Adukauskaite, A.; Sarcletti, M.; Plank, F.; Beyer, C.; Dichtl, W.; Feuchtner, G.M. Coronary atherosclerosis characteristics in HIV-infected patients on long-term antiretroviral therapy: Insights from coronary computed tomography-angiography. AIDS 2019, 33, 1853–1862. [Google Scholar] [CrossRef]
- Senoner, T.; Plank, F.; Langer, C.; Beyer, C.; Steinkohl, F.; Barbieri, F.; Adukauskaite, A.; Widmann, G.; Friedrich, G.; Dichtl, W.; et al. Smoking and obesity predict high-risk plaque by coronary CTA in low coronary artery calcium score (CACS). J. Cardiovasc. Comput. Tomogr. 2021, 15, 499–505. [Google Scholar] [CrossRef]
- Knuuti, J.; Wijns, W.; Saraste, A.; Capodanno, D.; Barbato, E.; Funck-Brentano, C.; ESC Scientific Document Group. 2019 ESC Guidelines for the diagnosis and management of chronic coronary syndromes. Eur. Heart J. 2020, 41, 407–477. [Google Scholar] [CrossRef]
- Cury, R.C.; Abbara, S.; Achenbach, S.; Agatston, A.; Berman, D.S.; Budoff, M.J.; Dill, K.E.; Jacobs, J.E.; Maroules, C.D.; Rubin, G.D.; et al. CAD-RADS(TM) Coronary Artery Disease—Reporting and Data System. An expert consensus document of the Society of Cardiovascular Computed Tomography (SCCT), the American College of Radiology (ACR) and the North American Society of Cardiovascular Imaging (NASCI). J. Cardiovasc. Comput. Tomogr. 2016, 10, 269–281. [Google Scholar]
- Williams, M.C.; Kwiecinski, J.; Doris, M.; McElhinney, P.; D’Souza, M.S.; Cadet, S.; Adamson, P.D.; Moss, A.J.; Alam, S.; Hunter, A.; et al. Low-Attenuation Noncalcified Plaque on Coronary Computed Tomography Angiography Predicts Myocardial Infarction: Results from the Multicenter SCOT-HEART Trial (Scottish Computed Tomography of the HEART). Circulation 2020, 141, 1452–1462. [Google Scholar] [CrossRef] [PubMed]
- Motoyama, S.; Ito, H.; Sarai, M.; Kondo, T.; Kawai, H.; Nagahara, Y.; Harigaya, H.; Kan, S.; Anno, H.; Takahashi, H.; et al. Plaque Characterization by Coronary Computed Tomography Angiography and the Likelihood of Acute Coronary Events in Mid-Term Follow-Up. J. Am. Coll. Cardiol. 2015, 66, 337–346. [Google Scholar] [CrossRef] [PubMed]
- Feuchtner, G.; Kerber, J.; Burghard, P.; Dichtl, W.; Friedrich, G.; Bonaros, N.; Plank, F. The high-risk criteria low-attenuation plaque <60 HU and the napkin-ring sign are the most powerful predictors of MACE: A long-term follow-up study. Eur. Heart J. Cardiovasc. Imaging 2017, 18, 772–779. [Google Scholar] [PubMed]
- Ferencik, M.; Mayrhofer, T.; Bittner, D.O.; Emami, H.; Puchner, S.B.; Lu, M.T.; Meyersohn, N.M.; Ivanov, A.V.; Adami, E.C.; Patel, M.R.; et al. Use of High-Risk Coronary Atherosclerotic Plaque Detection for Risk Stratification of Patients With Stable Chest Pain: A Secondary Analysis of the PROMISE Randomized Clinical Trial. JAMA Cardiol. 2018, 3, 144–152. [Google Scholar] [CrossRef]
- Cardoso, R.; Shaw, L.J.; Blumenthal, R.S.; Nasir, K.; Ferraro, R.; Maron, D.J.; Blaha, M.J.; Gulati, M.; Bhatt, D.L.; Blankstein, R. Preventive cardiology advances in the 2021 AHA/ACC chest pain guideline. Am. J. Prev. Cardiol. 2022, 11, 100365. [Google Scholar] [CrossRef]
- Mortensen, M.B.; Gaur, S.; Frimmer, A.; Bøtker, H.E.; Sørensen, H.T.; Kragholm, K.H.; Niels Peter, S.R.; Steffensen, F.H.; Jensen, R.V.; Mæng, M.; et al. Association of Age With the Diagnostic Value of Coronary Artery Calcium Score for Ruling Out Coronary Stenosis in Symptomatic Patients. JAMA Cardiol. 2022, 7, 36–44. [Google Scholar] [CrossRef]
- Ahmadi, A.; Senoner, T.; Correa, A.; Feuchtner, G.; Narula, J. How atherosclerosis defines ischemia: Atherosclerosis quantification and characterization as a method for determining ischemia. J. Cardiovasc. Comput. Tomogr. 2020, 14, 394–399. [Google Scholar] [CrossRef]
- Wang, K.L.; Meah, M.N.; Bularga, A.; Singh, T.; Williams, M.C.; Newby, D.E. Computed tomography coronary angiography in non-ST-segment elevation myocardial infarction. Br. J. Radiol. 2022, 95, 20220346. [Google Scholar] [CrossRef] [PubMed] [PubMed Central]
- Einstein, A.J.; Shaw, L.J.; Hirschfeld, C.; Williams, M.C.; Villines, T.C.; Better, N.; Vitola, J.V.; Cerci, R.; Dorbala, S.; Raggi, P.; et al. International Impact of COVID-19 on the Diagnosis of Heart Disease. J. Am. Coll. Cardiol. 2021, 77, 173–185, Erratum in J. Am. Coll. Cardiol. 2021, 78, 93. [Google Scholar] [CrossRef] [PubMed]
- Sonnweber, T.; Sahanic, S.; Pizzini, A.; Luger, A.; Schwabl, C.; Sonnweber, B.; Kurz, K.; Koppelstätter, S.; Haschka, D.; Petzer, V.; et al. Cardiopulmonary recovery after COVID-19: An observational prospective multicentre trial. Eur. Respir. J. 2021, 57, 2003481. [Google Scholar] [CrossRef]
- Trimarchi, G.; Pizzino, F.; Paradossi, U.; Gueli, I.A.; Palazzini, M.; Gentile, P.; Di Spigno, F.; Ammirati, E.; Garascia, A.; Tedeschi, A.; et al. Charting the Unseen: How Non-Invasive Imaging Could Redefine Cardiovascular Prevention. J. Cardiovasc. Dev. Dis. 2024, 11, 245. [Google Scholar] [CrossRef] [PubMed]
- Lacaita, P.G.; Luger, A.; Troger, F.; Widmann, G.; Feuchtner, G.M. Photon-Counting Detector Computed Tomography (PCD-CT): A New Era for Cardiovascular Imaging? Current Status and Future Outlooks. J. Cardiovasc. Dev. Dis. 2024, 11, 127. [Google Scholar] [CrossRef] [PubMed] [PubMed Central]
- Cundari, G.; Galea, N.; Mergen, V.; Alkadhi, H.; Eberhard, M. Myocardial extracellular volume quantification with computed tomography-current status and future outlook. Insights Imaging 2023, 14, 156. [Google Scholar] [CrossRef] [PubMed]
- Goetti, R.; Feuchtner, G.; Stolzmann, P.; Donati, O.F.; Wieser, M.; Plass, A.; Frauenfelder, T.; Leschka, S.; Alkadhi, H. Delayed enhancement imaging of myocardial viability: Low-dose high-pitch CT versus MRI. Eur. Radiol. 2011, 21, 2091–2099. [Google Scholar] [CrossRef] [PubMed][Green Version]
- Mergen, V.; Sartoretti, T.; Klotz, E.; Schmidt, B.; Jungblut, L.; Higashigaito, K.; Manka, R.; Euler, A.; Kasel, M.; Eberhard, M.; et al. Extracellular Volume Quantification With Cardiac Late Enhancement Scanning Using Dual-Source Photon-Counting Detector CT. Investig. Radiol. 2022, 57, 406–411. [Google Scholar] [CrossRef]







| Cohort Profile | ||
| Age (years) | 54.8 ± 22 | |
| Females | 4 (33.3%) | |
| BMI (kg/cm2) | 23.05 ± 3.35 | |
| (range, 17.6–27.5) | ||
| Overweight > 24 kg/m2 | 4 (33.3%) | |
| Obese > 30 kg/m2 | 0 (0%) | |
| Cardiovascular risk factors | ||
| Arterial Hypertension | 4 (33.3%) | |
| Smoking | 0 (0%) | |
| Positive family history | 0 (0%) | |
| Dyslipidemia | 1 (8.3%) | |
| Diabetes | 2 (16.6%) | |
| Comorbidities | ||
| Atrial fibrillation | 1 (8.3%) | |
| COPD | 1 (8.3%) | |
| Acute congestive heart failure | 1 (8.3%) | |
| Medication | ||
| Antihypertensive | 4 (33.3%) | |
| Anticoagulation | 1 (8.3%) NOAK | |
| 1 (8.3%) clopidogrel | ||
| Statin | 1 (8.3%) | |
| Time to positive RT-PCR for SARS-CoV-2 | 15.1 days (range, 0–51) | |
| Clinical presentation | ||
| Acute, unstable patients | 4 (33.3%) | |
| Stable patients | 8 (66.6%) | |
| Hs-troponin max. in acute patients (n = 4) | 1789 ng/dL 50 ng/dL 624 ng/dL 30 ng/dL | |
| CTA findings | ||
| Acute, unstable N = 4 | Stable N = 8 | |
| Pericardial effusion | 4 (100%) | 2 (25%) |
| Plaque rupture/ACS | 1 (25%) | 0 (0%) |
| MINOCA | 2 (50%) | 0 (0%) |
| Hyperenhancing myocardium | 1 (25%) | 0 (0%) |
| Perivascular inflammation (PCAT+) | 4 (100%) | 2 (25%) |
| Coronary artery disease by CTA | 1 (25%) | 4 (50%) |
| Nonobstructive (<50% stenosis) | 0 (0%) | 2 (25%) |
| Obstructive (>50% stenosis) | 1 (25%) | 2 (25%) |
| Diffuse vessel wall irregularities | 2 (50%) | 3 (37.5%) |
| Focal ectasia | 0 (0%) | (12.5%) |
Disclaimer/Publisher’s Note: The statements, opinions and data contained in all publications are solely those of the individual author(s) and contributor(s) and not of MDPI and/or the editor(s). MDPI and/or the editor(s) disclaim responsibility for any injury to people or property resulting from any ideas, methods, instructions or products referred to in the content. |
© 2024 by the authors. Licensee MDPI, Basel, Switzerland. This article is an open access article distributed under the terms and conditions of the Creative Commons Attribution (CC BY) license (https://creativecommons.org/licenses/by/4.0/).
Share and Cite
Lacaita, P.G.; Luger, A.; Plank, F.; Barbieri, F.; Beyer, C.; Thurner, T.; Scharll, Y.; Deeg, J.; Widmann, G.; Feuchtner, G.M. Coronary Computed Tomography Angiography (CTA) Findings in COVID-19. J. Cardiovasc. Dev. Dis. 2024, 11, 325. https://doi.org/10.3390/jcdd11100325
Lacaita PG, Luger A, Plank F, Barbieri F, Beyer C, Thurner T, Scharll Y, Deeg J, Widmann G, Feuchtner GM. Coronary Computed Tomography Angiography (CTA) Findings in COVID-19. Journal of Cardiovascular Development and Disease. 2024; 11(10):325. https://doi.org/10.3390/jcdd11100325
Chicago/Turabian StyleLacaita, Pietro G., Anna Luger, Fabian Plank, Fabian Barbieri, Christoph Beyer, Theresa Thurner, Yannick Scharll, Johannes Deeg, Gerlig Widmann, and Gudrun M. Feuchtner. 2024. "Coronary Computed Tomography Angiography (CTA) Findings in COVID-19" Journal of Cardiovascular Development and Disease 11, no. 10: 325. https://doi.org/10.3390/jcdd11100325
APA StyleLacaita, P. G., Luger, A., Plank, F., Barbieri, F., Beyer, C., Thurner, T., Scharll, Y., Deeg, J., Widmann, G., & Feuchtner, G. M. (2024). Coronary Computed Tomography Angiography (CTA) Findings in COVID-19. Journal of Cardiovascular Development and Disease, 11(10), 325. https://doi.org/10.3390/jcdd11100325

