Elderly with Varying Extents of Cardiac Disease Show Interindividual Fluctuating Myocardial TRPC6-Immunoreactivity
Abstract
1. Introduction
2. Materials and Methods
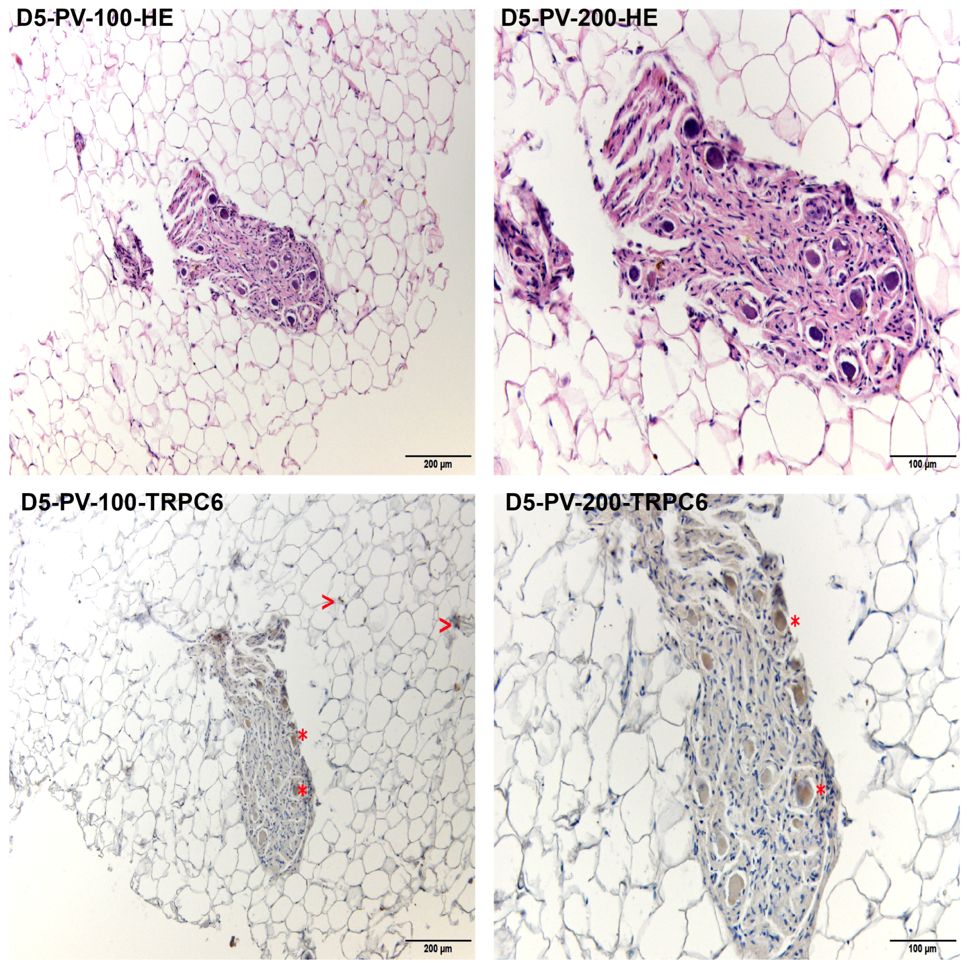
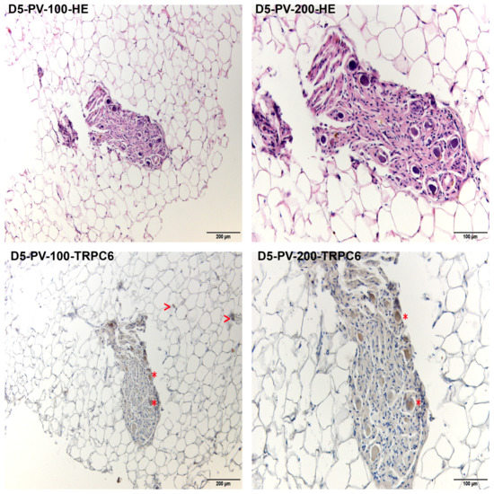
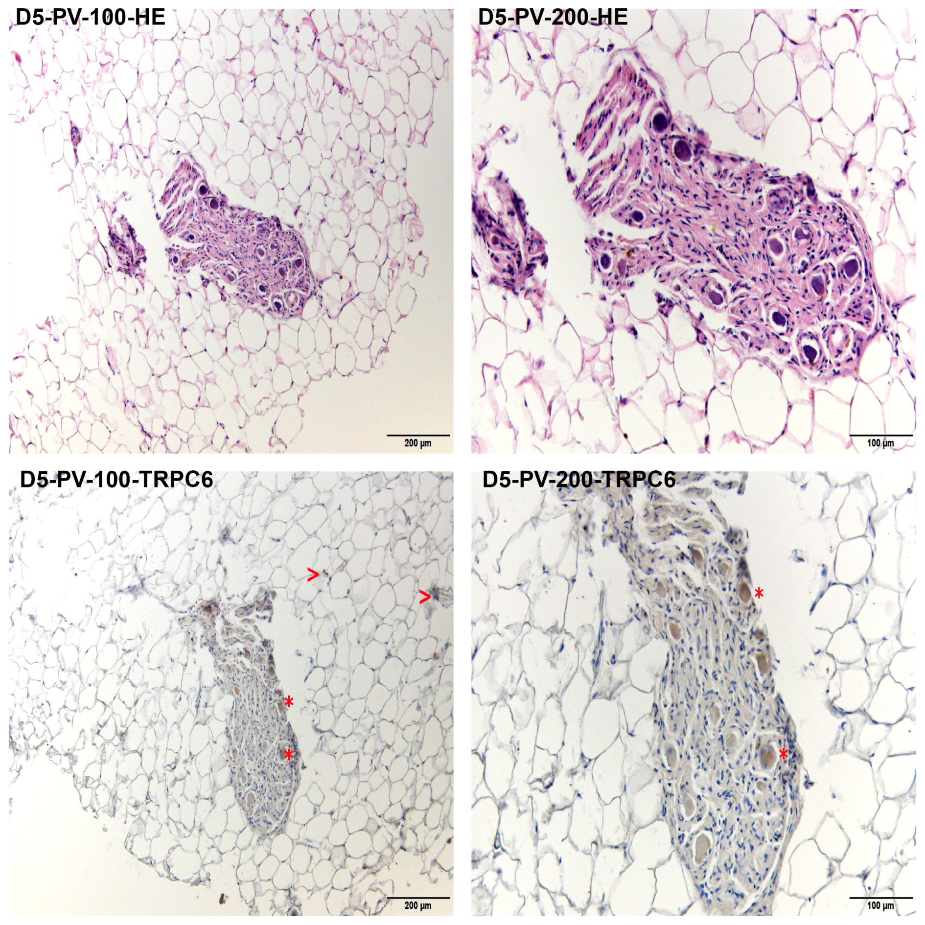
3. Results
4. Discussion
5. Conclusions
6. Patents
Supplementary Materials
| Supplement A—Fixation of the body donors | ii |
| Supplement B—Cause of death according to death certificate | iv |
| Supplement C—Orientation of the specimens | v |
| Supplement D—Protocol hematoxylin-eosin-stain | vii |
| Supplement E—Protocol alcian-blue-hematoxylin-eosin-stain | viii |
| Supplement F—Protocol Masson-Goldner-trichrome-stain | x |
| Supplement G—TRPC6 immunohistochemistry | xii |
| Supplement H—Material, chemicals, software | xiv |
Author Contributions
Funding
Institutional Review Board Statement
Informed Consent Statement
Data Availability Statement
Acknowledgments
Conflicts of Interest
References
- Kuwahara, K.; Wang, Y.; McAnally, J.; Richardson, J.A.; Bassel-Duby, R.; Hill, J.A.; Olson, E.N. TRPC6 fulfills a calcineurin signaling circuit during pathologic cardiac remodeling. J. Clin. Investig. 2006, 116, 3114–3126. [Google Scholar] [CrossRef] [PubMed]
- Watanabe, H.; Murakami, M.; Ohba, T.; Ono, K.; Ito, H. The pathological role of transient receptor potential channels in heart disease. Circ. J. Off. J. Jpn. Circ. Soc. 2009, 73, 419–427. [Google Scholar] [CrossRef] [PubMed]
- Dietrich, A.; Mederos y Schnitzler, M.; Emmel, J.; Kalwa, H.; Hofmann, T.; Gudermann, T. N-linked protein glycosylation is a major determinant for basal TRPC3 and TRPC6 channel activity. J. Biol. Chem. 2003, 278, 47842–47852. [Google Scholar] [CrossRef]
- Kinoshita, H.; Kuwahara, K.; Nishida, M.; Jian, Z.; Rong, X.; Kiyonaka, S.; Kuwabara, Y.; Kurose, H.; Inoue, R.; Mori, Y.; et al. Inhibition of TRPC6 channel activity contributes to the antihypertrophic effects of natriuretic peptides-guanylyl cyclase-A signaling in the heart. Circ. Res. 2010, 106, 1849–1860. [Google Scholar] [CrossRef] [PubMed]
- Yamaguchi, Y.; Iribe, G.; Nishida, M.; Naruse, K. Role of TRPC3 and TRPC6 channels in the myocardial response to stretch: Linking physiology and pathophysiology. Prog. Biophys. Mol. Biol. 2017, 130 Pt B, 264–272. [Google Scholar] [CrossRef]
- Watanabe, H.; Iino, K.; Ohba, T.; Ito, H. Possible involvement of TRP channels in cardiac hypertrophy and arrhythmia. Curr. Top. Med. Chem. 2013, 13, 283–294. [Google Scholar] [CrossRef]
- Riccio, A.; Medhurst, A.D.; Mattei, C.; Kelsell, R.E.; Calver, A.R.; Randall, A.D.; Benham, C.D.; Pangalos, M.N. mRNA distribution analysis of human TRPC family in CNS and peripheral tissues. Brain research. Mol. Brain Res. 2002, 109, 95–104. [Google Scholar] [CrossRef]
- Jacobs, T.; Abdinghoff, J.; Tschernig, T. Protein detection and localization of the non-selective cation channel TRPC6 in the human heart. Eur. J. Pharmacol. 2022, 924, 174972. [Google Scholar] [CrossRef]
- Bogdanova, E.; Beresneva, O.; Galkina, O.; Zubina, I.; Ivanova, G.; Parastaeva, M.; Semenova, N.; Dobronravov, V. Myocardial hypertrophy and fibrosis are associated with cardiomyocyte beta-catenin and TRPC6/Calcineurin/NFAT signaling in spontaneously hypertensive rats with 5/6 nephrectomy. Int. J. Mol. Sci. 2021, 22, 4645. [Google Scholar] [CrossRef]
- Al-Shammari, H.; Latif, N.; Sarathchandra, P.; McCormack, A.; Rog-Zielinska, E.A.; Raja, S.; Kohl, P.; Yacoub, M.H.; Peyronnet, R.; Chester, A.H. Expression and function of mechanosensitive ion channels in human valve interstitial cells. PLoS ONE 2020, 15, e0240532. [Google Scholar] [CrossRef]
- Ozer, O.; Sari, I.; Davutoglu, V. Right atrial appendage: Forgotten part of the heart in atrial fibrillation. Clin. Appl. Thromb. Hemost. Off. J. Int. Acad. Clin. Appl. Thromb. Hemost. 2010, 16, 218–220. [Google Scholar] [CrossRef] [PubMed]
- Prystowsky, E.N. The history of atrial fibrillation: The last 100 years. J. Cardiovasc. Electrophysiol. 2008, 19, 575–582. [Google Scholar] [CrossRef] [PubMed]
- Roberts, W.C.; Cohen, L.S. Left ventricular papillary muscles. Description of the normal and a survey of conditions causing them to be abnormal. Circulation 1972, 46, 138–154. [Google Scholar] [CrossRef] [PubMed]
- Kato, S.; Nakamori, S.; Roujol, S.; Delling, F.N.; Akhtari, S.; Jang, J.; Basha, T.; Berg, S.; Kissinger, K.V.; Goddu, B.; et al. Relationship between native papillary muscle T1 time and severity of functional mitral regurgitation in patients with non-ischemic dilated cardiomyopathy. J. Cardiovasc. Magn. Reson. Off. J. Soc. Cardiovasc. Magn. Reson. 2016, 18, 79. [Google Scholar] [CrossRef]
- Waller, B.F.; Gering, L.E.; Branyas, N.A.; Slack, J.D. Anatomy, histology, and pathology of the cardiac conduction system: Part II. Clin. Cardiol. 1993, 16, 347–352. [Google Scholar] [CrossRef]
- Anderson, R.H. Clinical anatomy of the aortic root. Heart 2000, 84, 670–673. [Google Scholar] [CrossRef]
- Von Knorre, G.H. The 125th anniversary of the His bundle discovery. 125 Jahre Entdeckung des His-Bündels. Herzschrittmacherther. Elektrophysiol. 2018, 29, 116–121. [Google Scholar] [CrossRef]
- Kosiński, A.; Kozłowski, D.; Nowiński, J.; Lewicka, E.; Dąbrowska-Kugacka, A.; Raczak, G.; Grzybiak, M. Morphogenetic aspects of the septomarginal trabecula in the human heart. Arch. Med. Sci. AMS 2010, 6, 733–743. [Google Scholar] [CrossRef]
- Sridhar, A.R.; Padala, S.K. Isolated right bundle branch block in asymptomatic patients: Not inconsequential as previously thought? Heart 2019, 105, 1136–1137. [Google Scholar] [CrossRef]
- Ambrose, J.A.; Tannenbaum, M.A.; Alexopoulos, D.; Hjemdahl-Monsen, C.E.; Leavy, J.; Weiss, M.; Borrico, S.; Gorlin, R.; Fuster, V. Angiographic progression of coronary artery disease and the development of myocardial infarction. J. Am. Coll. Cardiol. 1988, 12, 56–62. [Google Scholar] [CrossRef]
- Jiangping, S.; Zhe, Z.; Wei, W.; Yunhu, S.; Jie, H.; Hongyue, W.; Hong, Z.; Shengshou, H. Assessment of coronary artery stenosis by coronary angiography: A head-to-head comparison with pathological coronary artery anatomy. Circ. Cardiovasc. Interv. 2013, 6, 262–268. [Google Scholar] [CrossRef] [PubMed]
- Cui, H.; Schaff, H.V.; Lentz Carvalho, J.; Nishimura, R.A.; Geske, J.B.; Dearani, J.A.; Lahr, B.D.; Lee, A.T.; Bos, J.M.; Ackerman, M.J.; et al. Myocardial histopathology in patients with obstructive hypertrophic cardiomyopathy. J. Am. Coll. Cardiol. 2021, 77, 2159–2170. [Google Scholar] [CrossRef] [PubMed]
- Michaud, K.; Basso, C.; d’Amati, G.; Giordano, C.; Kholová, I.; Preston, S.D.; Rizzo, S.; Sabatasso, S.; Sheppard, M.N.; Vink, A.; et al. Diagnosis of myocardial infarction at autopsy: AECVP reappraisal in the light of the current clinical classification. Virchows Arch. 2020, 476, 179–194. [Google Scholar] [CrossRef] [PubMed]
- The Human Protein Atlas. Available online: https://www.proteinatlas.org/ENSG00000137672-TRPC6/tissue#expression_summary (accessed on 21 December 2022).
- Gleich, S.; Viehöver, S.; Teipel, A.; Drubba, S.; Turlik, V.; Hirl, B. Todesbescheinigungen—Eine unterschätzte Informationsquelle für Statistik, Rechtspflege, öffentliche Gesundheit und Wissenschaft [Death certificates—An underestimated source of information for statistics, judicature, public health, and science]. Bundesgesundheitsblatt Gesundh. Gesundh. 2019, 62, 1415–1421. (In German) [Google Scholar] [CrossRef]
- O’Neil, A.; Scovelle, A.J.; Milner, A.J.; Kavanagh, A. Gender/sex as a social determinant of cardiovascular risk. Circulation 2018, 137, 854–864. [Google Scholar] [CrossRef]
- Tayri-Wilk, T.; Slavin, M.; Zamel, J.; Blass, A.; Cohen, S.; Motzik, A.; Sun, X.; Shalev, D.E.; Ram, O.; Kalisman, N. Mass spectrometry reveals the chemistry of formaldehyde cross-linking in structured proteins. Nat. Commun. 2020, 11, 3128. [Google Scholar] [CrossRef]
- Zissler, A.; Stoiber, W.; Steinbacher, P.; Geissenberger, J.; Monticelli, F.C.; Pittner, S. Postmortem protein degradation as a tool to estimate the PMI: A systematic review. Diagnostics 2020, 10, 1014. [Google Scholar] [CrossRef]
- Hayman, J.; Oxenham, M. Estimation of the time since death in decomposed bodies found in Australian conditions. Aust. J. Forensic Sci. 2017, 49, 31–44. [Google Scholar] [CrossRef]
- Goldberger, J.J.; Arora, R.; Buckley, U.; Shivkumar, K. Autonomic nervous system dysfunction: JACC focus seminar. J. Am. Coll. Cardiol. 2019, 73, 1189–1206. [Google Scholar] [CrossRef]
- Mortazavi, S.S.; Shati, M.; Keshtkar, A.; Malakouti, S.K.; Bazargan, M.; Assari, S. Defining polypharmacy in the elderly: A systematic review protocol. BMJ Open 2016, 6, e010989. [Google Scholar] [CrossRef]
- Ding, M.; Wang, H.; Qu, C.; Xu, F.; Zhu, Y.; Lv, G.; Lu, Y.; Zhou, Q.; Zhou, H.; Zeng, X.; et al. Pyrazolo [1,5-a]pyrimidine TRPC6 antagonists for the treatment of gastric cancer. Cancer Lett. 2018, 432, 47–55. [Google Scholar] [CrossRef] [PubMed]
- Jain, P.P.; Lai, N.; Xiong, M.; Chen, J.; Babicheva, A.; Zhao, T.; Parmisano, S.; Zhao, M.; Paquin, C.; Matti, M.; et al. TRPC6, a therapeutic target for pulmonary hypertension. Am. J. Physiol. Lung Cell Mol. Physiol. 2021, 321, L1161–L1182. [Google Scholar] [CrossRef] [PubMed]
- Prikhodko, V.; Chernyuk, D.; Sysoev, Y.; Zernov, N.; Okovityi, S.; Popugaeva, E. Potential drug candidates to treat TRPC6 channel deficiencies in the pathophysiology of Alzheimer’s disease and brain ischemia. Cells 2020, 9, 2351. [Google Scholar] [CrossRef] [PubMed]
- Oda, S.; Nishiyama, K.; Furumoto, Y.; Yamaguchi, Y.; Nishimura, A.; Tang, X.; Kato, Y.; Numaga-Tomita, T.; Kaneko, T.; Mangmool, S.; et al. Myocardial TRPC6-mediated Zn2+ influx induces beneficial positive inotropy through β-adrenoceptors. Nat. Commun. 2022, 13, 1–16. [Google Scholar] [CrossRef] [PubMed]
- Elliott, A.D. Confocal microscopy: Principles and modern practices. Curr. Protoc. Cytom. 2020, 92, e68. [Google Scholar] [CrossRef]
- Tawara, S. Das Reizleitungssystem des Säugetierherzens: Eine Anatomisch-Histologische Studie über das Atrioventrikularbündel und die Purkinjeschen Fäden; Gustav Fischer: Jena, Germany, 1906. [Google Scholar]
- Gundersen, H.J.; Osterby, R. Optimizing sampling efficiency of stereological studies in biology: Or do more less well! J. Microsc. 1981, 121, 65–73. [Google Scholar] [CrossRef]





| Donor 1 | Donor 2 | Donor 3 | Donor 4 | Donor 5 | |
|---|---|---|---|---|---|
| Sex/Age (years) | Female/76 | Male/75 | Male/82 | Female/83 | Male/81 |
| Fixation / PMI (h) | Formalin/87.75 | Formalin/100.18 | Formalin/32.5 | Formalin/31 | NEP/90.35 |
| Organ Autopsy | |||||
| Coronary heart disease | Moderate 3-vessel disease | Severe 3-vessel disease | Moderate 3-vessel disease | Moderate 3-vessel disease | Moderate 3-vessel disease |
| Plaque calcification | Scattered | Extensive | Extensive | Scattered | Scattered |
| Heart size | Unremarkable | Enlarged | Enlarged | Unremarkable | Enlarged |
| Additional findings | Pericardial tamponade due to Stanford type A dissection | None | Status post TAVI | None | None |
| Donor 1 | Donor 2 | Donor 3 | Donor 4 | Donor 5 | |
|---|---|---|---|---|---|
| Myocardial lipomatosis | Mostly mild. Moderate effect at the septomarginal trabecula. | Mild | Mild | Mild | Mostly mild. Moderate effects at the septomarginal trabecula. |
| Marked atherosclerosis of small vessels | Present | Present | Present | Present | Present |
| Myocardial fibrosis | Mostly mild, marked around small vessels; moderate effects at the papillary muscle | Moderate with severe effects at the papillary muscle and marked around small vessels | Mostly mild, marked around small vessels; moderate effects the papillary muscle | Mostly mild, moderate affection of the muscular interventricular septum | Mostly mild, marked around small vessels; moderate affection of the papillary muscle |
| Cardiomyocyte hypertrophy | Present | Present | Present | Present | Present |
| Endocardial thickening | Present | Present | Present | Present | Present |
| Signs of cardiomyocyte death | Absent | Absent | Absent | Absent | Absent |
| Hints for myocarditis | Absent | Absent | Absent | Absent | Absent |
Disclaimer/Publisher’s Note: The statements, opinions and data contained in all publications are solely those of the individual author(s) and contributor(s) and not of MDPI and/or the editor(s). MDPI and/or the editor(s) disclaim responsibility for any injury to people or property resulting from any ideas, methods, instructions or products referred to in the content. |
© 2023 by the authors. Licensee MDPI, Basel, Switzerland. This article is an open access article distributed under the terms and conditions of the Creative Commons Attribution (CC BY) license (https://creativecommons.org/licenses/by/4.0/).
Share and Cite
Federspiel, J.M.; Gartner, J.; Lipp, P.; Schmidt, P.; Tschernig, T. Elderly with Varying Extents of Cardiac Disease Show Interindividual Fluctuating Myocardial TRPC6-Immunoreactivity. J. Cardiovasc. Dev. Dis. 2023, 10, 26. https://doi.org/10.3390/jcdd10010026
Federspiel JM, Gartner J, Lipp P, Schmidt P, Tschernig T. Elderly with Varying Extents of Cardiac Disease Show Interindividual Fluctuating Myocardial TRPC6-Immunoreactivity. Journal of Cardiovascular Development and Disease. 2023; 10(1):26. https://doi.org/10.3390/jcdd10010026
Chicago/Turabian StyleFederspiel, Jan Michael, Jil Gartner, Peter Lipp, Peter Schmidt, and Thomas Tschernig. 2023. "Elderly with Varying Extents of Cardiac Disease Show Interindividual Fluctuating Myocardial TRPC6-Immunoreactivity" Journal of Cardiovascular Development and Disease 10, no. 1: 26. https://doi.org/10.3390/jcdd10010026
APA StyleFederspiel, J. M., Gartner, J., Lipp, P., Schmidt, P., & Tschernig, T. (2023). Elderly with Varying Extents of Cardiac Disease Show Interindividual Fluctuating Myocardial TRPC6-Immunoreactivity. Journal of Cardiovascular Development and Disease, 10(1), 26. https://doi.org/10.3390/jcdd10010026

