Evaluation of the Iatrogenic Sciatic Nerve Injury following Double Pelvic Osteotomy Performed with Piezoelectric Cutting Tool in Dogs
Abstract
:1. Introduction
2. Materials and Methods
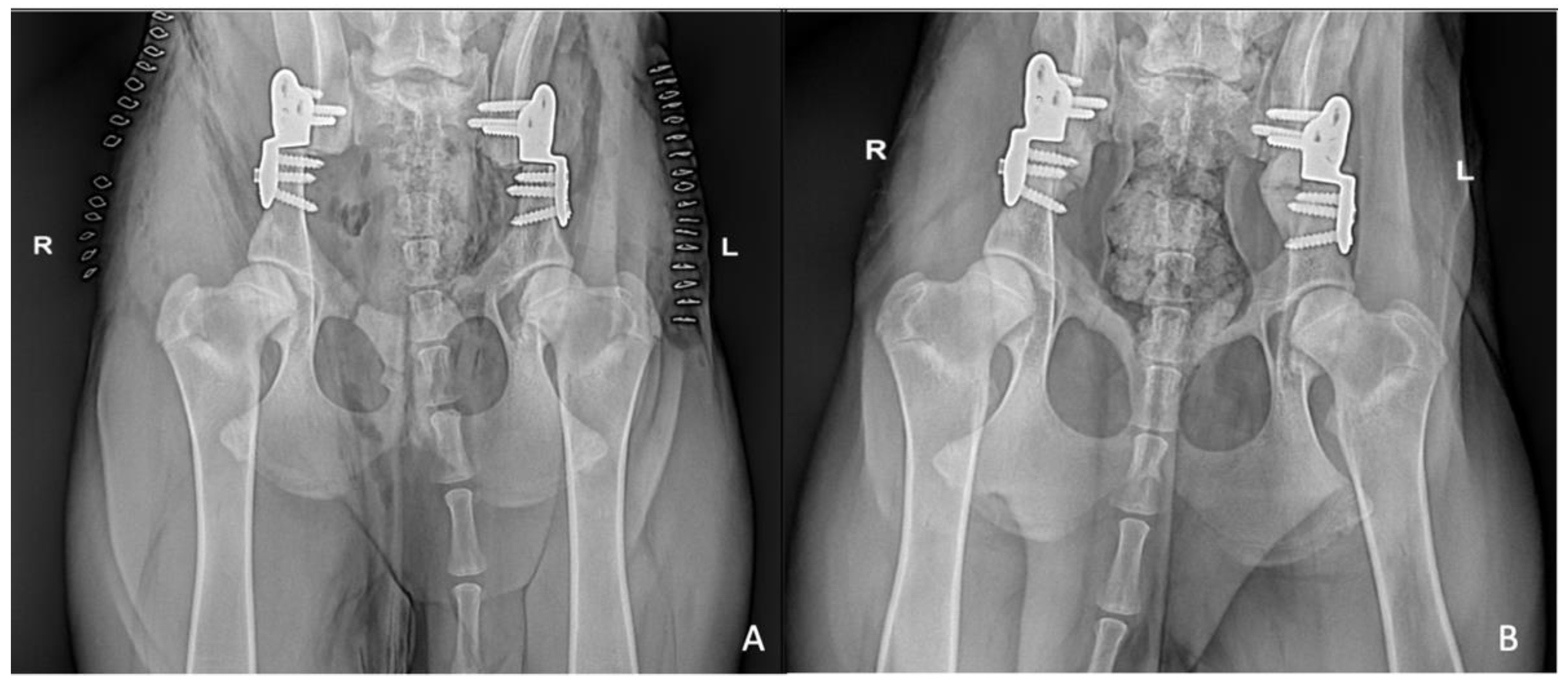
3. Results
4. Discussion
Author Contributions
Funding
Institutional Review Board Statement
Informed Consent Statement
Data Availability Statement
Conflicts of Interest
References
- Vezzoni, A.; Boiocchi, S.; Vezzoni, L.; Vanelli, A.B.; Bronzo, V. Double Pelvic Osteotomy for the Treatment of Hip Dysplasia in Young Dogs. Vet. Comp. Orthop. Traumatol. 2010, 23, 444–452. [Google Scholar] [CrossRef] [PubMed] [Green Version]
- Petazzoni, M.; Tamburro, R. Clinical Outcomes of Double Pelvic Osteotomies in Eight Dogs with Hip Dysplasia Aged 10–28 Months. Vet. Surg. 2022, 51, 320–329. [Google Scholar] [CrossRef] [PubMed]
- Petazzoni, M.; Tamburro, R.; Nicetto, T.; Kowaleski, M.P. Evaluation of the Dorsal Acetabular Coverage Obtained by a Modified Triple Pelvic Osteotomy (2.5 Pelvic Osteotomy): An Ex Vivo Study on a Cadaveric Canine Codel. Vet. Comp. Orthop. Traumatol. 2012, 25, 385–389. [Google Scholar] [CrossRef] [PubMed]
- Punke, J.P.; Fox, D.B.; Tomlinson, J.L.; Davis, J.W.; Mann, F.A. Acetabular Ventroversion with Double Pelvic Osteotomy versus Triple Pelvic Osteotomy: A Cadaveric Study in Dogs. Vet. Surg. 2011, 40, 555–562. [Google Scholar] [CrossRef] [PubMed]
- Zanetti, E.M.; Terzini, M.; Mossa, L.; Bignardi, C.; Costa, P.; Audenino, A.L.; Vezzoni, A. A Structural Numerical Model for the Optimization of Double Pelvic Osteotomy in the Early Treatment of Canine Hip Dysplasia. Vet. Comp. Orthop. Traumatol. 2017, 30, 256–264. [Google Scholar] [CrossRef] [Green Version]
- Tamburro, R.; Petazzoni, M.; Carli, F.; Kowaleski, M.P. Comparison of Rotation Force to Maintain Acetabular Ventroversion after Double Pelvic Osteotomy and 2.5 Pelvic Osteotomy in a Canine Cadaveric Model. Vet. Comp. Orthop. Traumatol. 2018, 31, 62–66. [Google Scholar] [CrossRef]
- Jenkins, P.L.; James, D.R.; White, J.D.; Black, A.P.; Fearnside, S.M.; Marchevsky, A.M.; Miller, A.J.; Cashmore, R.G. Assessment of the Medium- to Long-Term Radiographically Confirmed Outcome for Juvenile Dogs with Hip Dysplasia Treated with Double Pelvic Osteotomy. Vet. Surg. 2020, 49, 685–693. [Google Scholar] [CrossRef]
- Tavola, F.; Drudi, D.; Vezzoni, L.; Vezzoni, A. Postoperative Complications of Double Pelvic Osteotomy Using Specific Plates in 305 Dogs. Vet Comp Orthop Traumatol 2022, 35, 47–56. [Google Scholar] [CrossRef]
- Welch, J.A. Peripheral nerve injury. Semin. Vet. Med. Surg. Small Anim. 1996, 11, 273–284. [Google Scholar] [CrossRef]
- Andrews, C.M.; Liska, W.D.; Roberts, D.J. Sciatic Neurapraxia as a Complication in 1000 Consecutive Canine Total Hip Replacements. Vet. Surg. 2008, 37, 254–262. [Google Scholar] [CrossRef]
- Dewey, C.W.; Talarico, L.R. Disorders of the peripheral nervous system: Mononeuropathies and polyneuropathies. In Practical Guide to Canine and Feline Neurology, 3rd ed.; Wiley Blackwell: Hoboken, NJ, USA, 2016; pp. 467–468. [Google Scholar]
- Farrell, M.; Solano, M.A.; Fitzpatrick, N.; Jovanovik, J. Use of an Ex Vivo Canine Ventral Slot Model to Test the Efficacy of a Piezoelectric Cutting Tool for Decompressive Spinal Surgery. Vet. Surg. 2013, 42, 832–839. [Google Scholar] [CrossRef] [PubMed]
- Hennet, P. Piezoelectric Bone Surgery: A Review of the Literature and Potential Applications in Veterinary Oromaxillofacial Surgery. Front. Vet. Sci. 2015, 2, 8. [Google Scholar] [CrossRef] [PubMed] [Green Version]
- Costa, D.L.; Thomé de Azevedo, E.; Przysiezny, P.E.; Kluppel, L.E. Use of Lasers and Piezoelectric in Intraoral Surgery. Oral Maxillofac. Surg. Clin. N. Am. 2021, 33, 275–285. [Google Scholar] [CrossRef] [PubMed]
- Duerr, F.M.; Seim, H.B.; Bascuñán, A.L.; Palmer, R.H.; Easley, J. Piezoelectric Surgery—A Novel Technique for Laminectomy. J Investig. Surg. 2015, 28, 103–108. [Google Scholar] [CrossRef]
- Franzini, A.; Legnani, F.; Beretta, E.; Prada, F.; DiMeco, F.; Visintini, S.; Franzini, A. Piezoelectric Surgery for Dorsal Spine. World Neurosurg. 2018, 114, 58–62. [Google Scholar] [CrossRef]
- Itro, A.; Lupo, G.; Carotenuto, A.; Filipi, M.; Cocozza, E.; Marra, A. Benefits of Piezoelectric Surgery in Oral and Maxillofacial Surgery. Review of Literature. Minerva Stomatol. 2012, 61, 213–224. [Google Scholar]
- Jurek, O.; Wójtowicz, P.; Krzeski, A. Usage of Piezoelectric Instruments in Larynx Surgery. Otolaryngol. Pol. 2017, 71, 1–4. [Google Scholar] [CrossRef]
- Chiriac, G.; Herten, M.; Schwarz, F.; Rothamel, D.; Becker, J. Autogenous Bone Chips: Influence of a New Piezoelectric Device (Piezosurgery) on Chip Morphology, Cell Viability and Differentiation. J. Clin. Periodontol. 2005, 32, 994–999. [Google Scholar] [CrossRef]
- Preti, G.; Martinasso, G.; Peirone, B.; Navone, R.; Manzella, C.; Muzio, G.; Russo, C.; Canuto, R.A.; Schierano, G. Cytokines and Growth Factors Involved in the Osseointegration of Oral Titanium Implants Positioned Using Piezoelectric Bone Surgery versus a Drill Technique: A Pilot Study in Minipigs. J. Periodontol. 2007, 78, 716–722. [Google Scholar] [CrossRef] [Green Version]
- Crovace, A.M.; Luzzi, S.; Lacitignola, L.; Fatone, G.; Giotta Lucifero, A.; Vercellotti, T.; Crovace, A. Minimal Invasive Piezoelectric Osteotomy in Neurosurgery: Technic, Applications, and Clinical Outcomes of a Retrospective Case Series. Vet. Sci. 2020, 7, 68. [Google Scholar] [CrossRef]
- Slocum, B.; Slocum, T.D. Pelvic Osteotomy for Axial Rotation of the Acetabular Segment in Dogs with Hip Dysplasia. Vet. Clin. N. Am. Small Anim. Pract. 1992, 22, 645–682. [Google Scholar] [CrossRef]
- Vercellotti, T.; De Paoli, S.; Nevins, M. The Piezoelectric Bony Window Osteotomy and Sinus Membrane Elevation: Introduction of a New Technique for Simplification of the Sinus Augmentation Procedure. Int. J. Periodontics Restor. Dent. 2001, 21, 561–567. [Google Scholar]
- Forterre, F.; Tomek, A.; Rytz, U.; Brunnberg, L.; Jaggy, A.; Spreng, D. Iatrogenic Sciatic Nerve Injury in Eighteen Dogs and Nine Cats (1997–2006). Vet. Surg. 2007, 36, 464–471. [Google Scholar] [CrossRef] [PubMed]
- Haudiquet, P.; Guillon, J. Radiographic Evaluation of Double Pelvic Osteotomy versus Triple Pelvic Osteotomy in the Dog: An in Vitro Experimental Study. In Proceedings of the 13th ESVOT Congress, Munich, Germany, 7–10 September 2006; pp. 239–240. [Google Scholar]
- Guevara, F.; Franklin, S.P. Triple Pelvic Osteotomy and Double Pelvic Osteotomy. Vet. Clin. N. Am. Small Anim. Pract. 2017, 47, 865–884. [Google Scholar] [CrossRef]
- Benigni, L.; Corr, S.A.; Lamb, C.R. Ultrasonographic Assessment of the Canine Sciatic Nerve. Vet. Radiol. Ultrasound 2007, 48, 428–433. [Google Scholar] [CrossRef]
- Dewey, C.W.; Da Costa, R.C.; Ducote, M.J. Neurodiagnostics. In Practical Guide to Canine and Feline Neurology, 3rd ed.; Wiley Blackwell: Hoboken, NJ, USA, 2016; pp. 75–83. [Google Scholar]
- Palomba, N.; Vettorato, E.; De Gennaro, C.; Corletto, F. Peripheral Nerve Block versus Systemic Analgesia in Dogs Undergoing Tibial Plateau Levelling Osteotomy: Analgesic Efficacy and Pharmacoeconomics Comparison. Vet. Anaesth. Analg. 2020, 47, 119–128. [Google Scholar] [CrossRef]
- Bartel, A.K.; Campoy, L.; Martin-Flores, M.; Gleed, R.D.; Walker, K.J.; Scanapico, C.E.; Reichard, A.B. Comparison of Bupivacaine and Dexmedetomidine Femoral and Sciatic Nerve Blocks with Bupivacaine and Buprenorphine Epidural Injection for Stifle Arthroplasty in Dogs. Vet. Anaesth. Analg. 2016, 43, 435–443. [Google Scholar] [CrossRef]



| Follow Up | Observation | Palpation | Postural Reaction | Withdrawal Reflex | Sensor Evaluation | Lameness | Pubic°/Iliac• Osteotomy Healing |
|---|---|---|---|---|---|---|---|
| 6 h po | n/a | n/a | n/a | n/a | n/a | moderate | |
| 24 h po | n/a | n/a | n/a | n/a | n/a | moderate | |
| 14 days po | n/a | n/a | n/a | n/a | n/a | mild | |
| 4 wks po | n/a | n/a | n/a | n/a | n/a | slight | 1°/1• |
| 8 wks po | n/a | n/a | n/a | n/a | n/a | absent | 2°/2• |
Publisher’s Note: MDPI stays neutral with regard to jurisdictional claims in published maps and institutional affiliations. |
© 2022 by the authors. Licensee MDPI, Basel, Switzerland. This article is an open access article distributed under the terms and conditions of the Creative Commons Attribution (CC BY) license (https://creativecommons.org/licenses/by/4.0/).
Share and Cite
Properzi, R.; Collivignarelli, F.; Paolini, A.; Bianchi, A.; Vignoli, M.; Falerno, I.; De Bonis, A.; Tamburro, R. Evaluation of the Iatrogenic Sciatic Nerve Injury following Double Pelvic Osteotomy Performed with Piezoelectric Cutting Tool in Dogs. Vet. Sci. 2022, 9, 259. https://doi.org/10.3390/vetsci9060259
Properzi R, Collivignarelli F, Paolini A, Bianchi A, Vignoli M, Falerno I, De Bonis A, Tamburro R. Evaluation of the Iatrogenic Sciatic Nerve Injury following Double Pelvic Osteotomy Performed with Piezoelectric Cutting Tool in Dogs. Veterinary Sciences. 2022; 9(6):259. https://doi.org/10.3390/vetsci9060259
Chicago/Turabian StyleProperzi, Roberto, Francesco Collivignarelli, Andrea Paolini, Amanda Bianchi, Massimo Vignoli, Ilaria Falerno, Andrea De Bonis, and Roberto Tamburro. 2022. "Evaluation of the Iatrogenic Sciatic Nerve Injury following Double Pelvic Osteotomy Performed with Piezoelectric Cutting Tool in Dogs" Veterinary Sciences 9, no. 6: 259. https://doi.org/10.3390/vetsci9060259
APA StyleProperzi, R., Collivignarelli, F., Paolini, A., Bianchi, A., Vignoli, M., Falerno, I., De Bonis, A., & Tamburro, R. (2022). Evaluation of the Iatrogenic Sciatic Nerve Injury following Double Pelvic Osteotomy Performed with Piezoelectric Cutting Tool in Dogs. Veterinary Sciences, 9(6), 259. https://doi.org/10.3390/vetsci9060259

