Chondroblastic Osteosarcoma Associated with Previous Chronic Osteomyelitis Caused by Serratia liquefaciens in a German Shepherd Dog
Abstract
:1. Introduction
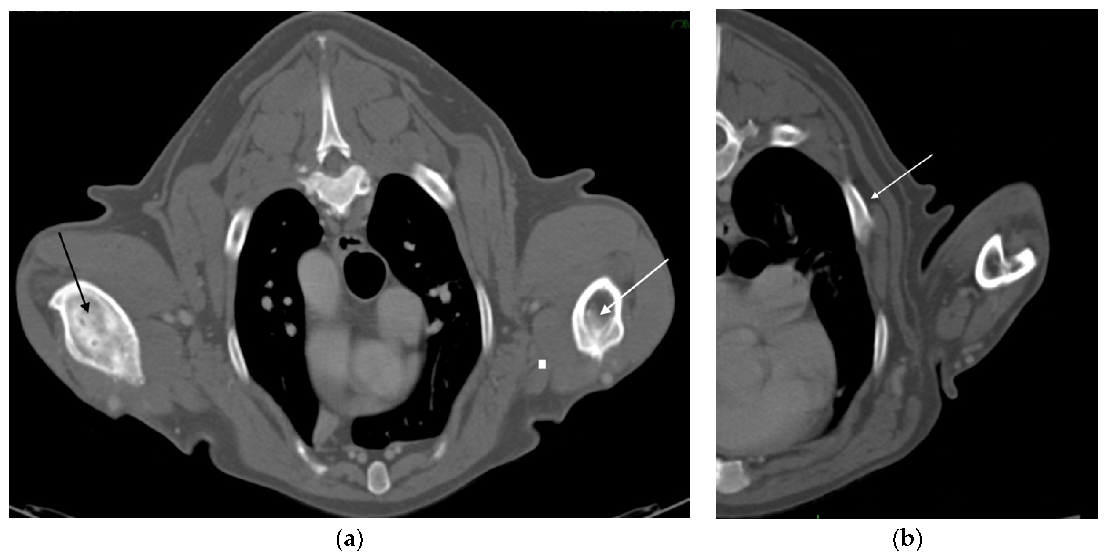
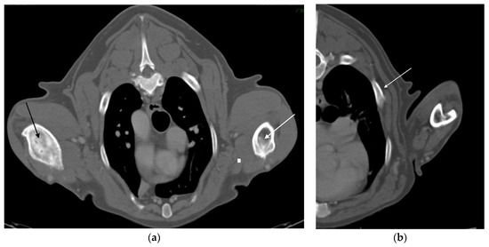
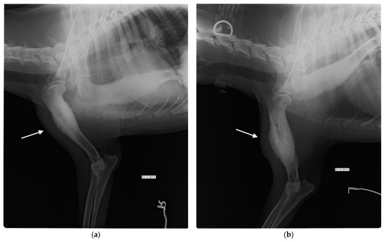
2. Case Presentation
3. Discussion
4. Conclusions
Author Contributions
Funding
Institutional Review Board Statement
Informed Consent Statement
Data Availability Statement
Conflicts of Interest
References
- Caywood, D.; LJ, W.; Braden, T.D. Osteomyelitis in the dog: A review of 67 cases. J. Am. Vet. Med. Assoc. 1978, 172, 943–946. [Google Scholar] [PubMed]
- Genain, M.; Brioschi, V.; Hare, C.; Ortiz, A.; Herrtage, M.E. Osteomyelitis caused by β-haemolytic Listeria species in a dog. Vet. Rec. Case Rep. 2017, 5, e000520. [Google Scholar] [CrossRef] [Green Version]
- Weisbrode, S.E.; Knochen, G. Pathologie der Haustiere: Allgemeine, Spezielle und Funktionelle Veterinärpathologie; McGavin, M.D., Zachary, J.F., Eds.; Urban and Fischer in Elsevier: München, Germany, 2009; p. 966. [Google Scholar]
- Wigney, D.I.; Allan, G.S.; Hay, L.E.; Hocking, A.D. Osteomyelitis associated with Penicillium verruculosum in a German shepherd dog. J. Small Anim. Pract. 1990, 31, 449–452. [Google Scholar] [CrossRef]
- Yanai, H.; Jakovljevic, S.; Dye, C.; Tappin, S. Polyostotic osteomyelitis following open pyometra in a dog. Vet. Rec. Case Rep. 2015, 3, e000153. [Google Scholar] [CrossRef]
- Rabillard, M.; Souchu, L.; Niebauer, G.W.; Gauthier, O. Haematogenous osteomyelitis: Clinical presentation and outcome in three dogs. Vet. Comp. Orthop. Traumatol. 2011, 24, 146–150. [Google Scholar] [CrossRef]
- Frank, I.; Mann, K.; Duerr, F. Fluorine-18-fluoro-2-deoxy-d-glucose PET-CT aids in detection of soft-tissue injuries for dogs with thoracic or pelvic limb lameness. Vet. Radiol. Ultrasound. 2019, 60, 575–585. [Google Scholar] [CrossRef]
- Gieling, F.; Peters, S.; Erichsen, C.; Richards, R.G.; Zeiter, S.; Moriarty, T.F. Bacterial osteomyelitis in veterinary orthopedics: Pathophysiology, clinical presentation and advances in treatment across multiple species. Vet. J. 2019, 250, 44–54. [Google Scholar] [CrossRef]
- Simionato, A.C.; Ramos, M.C.C.; Coutinho, S.D.A. Aerobic bacterial isolates and susceptibility to antimicrobial agents in canine osteomyelitis. Arq. Bras. Med. Vet. Zootec. 2003, 55, 148–154. [Google Scholar] [CrossRef]
- Jackson, L.C.; Pacchiana, P.D. Common complications of fracture repair. Clin. Tech. Small Anim. Pract. 2004, 19, 168–179. [Google Scholar] [CrossRef]
- Soontornvipart, K.; Nečas, A.; Dvořák, M.; Zatloukal, J.; Smola, J. Posttraumatic Bacterial Infections in Extremities before and after Osteosynthesis in Small Animals. Acta Vet. Brno 2003, 72, 249–260. [Google Scholar] [CrossRef] [Green Version]
- Mahlen, S.D. Serratia infections: From military experiments to current practice. Clin. Microbiol. Rev. 2011, 24, 755–791. [Google Scholar] [CrossRef] [PubMed] [Green Version]
- Robert, H.W. Malignant Versus Nonmalignant Bone Disease. Vet. Clin. North. Am. Small Anim. Pract. 2000, 30, 315–347. [Google Scholar] [CrossRef]
- Raposo, T.P.; Beirão, B.C.; Pang, L.Y.; Queiroga, F.L.; Argyle, D.J. Inflammation and cancer: Till death tears them apart. Vet. J. 2015, 205, 161–174. [Google Scholar] [CrossRef] [PubMed]
- Sica, A.; Allavena, P.; Mantovani, A. Cancer related inflammation: The macrophage connection. Cancer Lett. 2008, 267, 204–215. [Google Scholar] [CrossRef]
- Eiró, N.; Vizoso, F.J. Inflammation and cancer. World J. Gastrointest. Surg. 2012, 4, 62–72. [Google Scholar] [CrossRef]
- Lu, H.; Ouyang, W.; Huang, C. Inflammation, a key event in cancer development. Mol. Cancer Res. 2006, 4, 221–233. [Google Scholar] [CrossRef] [Green Version]
- Fernandes, J.V.; Cobucci, R.N.; Jatobá, C.A.; Fernandes, T.A.; de Azevedo, J.W.; de Araújo, J.M. The role of the mediators of inflammation in cancer development. Pathol. Oncol. Res. 2015, 21, 527–534. [Google Scholar] [CrossRef]
- Moura, D.L.; Ferreira, R.; Garruço, A. Malignant transformation in chronic osteomyelitis. Rev. Bras. Ortop. 2017, 52, 141–147. [Google Scholar] [CrossRef] [Green Version]
- Ettinger, J.; Feldman, E.C. Veterinary Internal Medicine, 7th ed.; Saunders Elsevier: London, UK, 2010. [Google Scholar]
- Forsberg, J.A.; Potter, B.K.; Cierny, G., III; Webb, L. Diagnosis and management of chronic infection. J. Am. Acad Orthop. Surg. 2011, 19, S8–S19. [Google Scholar] [CrossRef] [Green Version]
- Lobetti, R.G.; Joubert, K.E.; Picard, J.; Carstens, J.; Pretorius, E. Bacterial colonization of intravenous catheters in young dogs suspected to have parvoviral enteritis. J. Am. Vet. Med. Assoc. 2002, 220, 1321–1324. [Google Scholar] [CrossRef]
- Salfa, I.; Cantarutti, N.; Angelino, G.; Di Matteo, G.; Capo, V.; Farinelli, G.; Cancrini, C.; Aiuti, A.; Palma, P.; Finocchi, A. Serratia marcescens osteomyelitis in a newborn with chronic granulomatous disease. Pediatr. Infect. Dis. J. 2013, 32, 926. [Google Scholar] [CrossRef] [PubMed]
- Baylin, G.J.; Glenn, J.C. Soft tissue changes in acute osteomyelitis. Am. J. Roentgenol. 1947, 59, 142–144. [Google Scholar]
- Bennett, D.; Campbell, J.R.; Brown, P. Osteosarcoma associated with healed fractures. J. Small Anim. Pract. 1979, 20, 13–18. [Google Scholar] [CrossRef] [PubMed]
- Ehrhart, N.P.; Christensen, N.I.; Timothy, M.F. Tumors of skeletan system. In Withrow & Macewen’s Small Animal Clinical Oncology, 6th ed.; Saunders Elsevier: St. Louis, MI, USA, 2020. [Google Scholar]
- Gellasch, K.L.; Kalscheur, V.L.; Clayton, M.K.; Muir, P. Fatigue microdamage in the radial predilection site for osteosarcoma in dogs. Am. J. Vet. Res. 2002, 63, 896–899. [Google Scholar] [CrossRef]
- Multhoff, G.; Molls, M.; Radons, J. Chronic inflammation in cancer development. Front. Immunol. 2012, 2, 98. [Google Scholar] [CrossRef] [Green Version]
- Kenny, P.A.; Nelson, C.M.; Bissell, M.J. The ecology of tumors: By perturbing the microenvironment, wounds and infection may be key to tumor development. Scientist 2006, 20, 30. [Google Scholar]
- Coussens, L.M.; Werb, Z. Inflammation and cancer. Nature 2002, 420, 860–867. [Google Scholar] [CrossRef]




Publisher’s Note: MDPI stays neutral with regard to jurisdictional claims in published maps and institutional affiliations. |
© 2022 by the authors. Licensee MDPI, Basel, Switzerland. This article is an open access article distributed under the terms and conditions of the Creative Commons Attribution (CC BY) license (https://creativecommons.org/licenses/by/4.0/).
Share and Cite
Franchini, D.; Paci, S.; Ciccarelli, S.; Valastro, C.; Greco, G.; Di Bello, A. Chondroblastic Osteosarcoma Associated with Previous Chronic Osteomyelitis Caused by Serratia liquefaciens in a German Shepherd Dog. Vet. Sci. 2022, 9, 96. https://doi.org/10.3390/vetsci9030096
Franchini D, Paci S, Ciccarelli S, Valastro C, Greco G, Di Bello A. Chondroblastic Osteosarcoma Associated with Previous Chronic Osteomyelitis Caused by Serratia liquefaciens in a German Shepherd Dog. Veterinary Sciences. 2022; 9(3):96. https://doi.org/10.3390/vetsci9030096
Chicago/Turabian StyleFranchini, Delia, Serena Paci, Stefano Ciccarelli, Carmela Valastro, Grazia Greco, and Antonio Di Bello. 2022. "Chondroblastic Osteosarcoma Associated with Previous Chronic Osteomyelitis Caused by Serratia liquefaciens in a German Shepherd Dog" Veterinary Sciences 9, no. 3: 96. https://doi.org/10.3390/vetsci9030096
APA StyleFranchini, D., Paci, S., Ciccarelli, S., Valastro, C., Greco, G., & Di Bello, A. (2022). Chondroblastic Osteosarcoma Associated with Previous Chronic Osteomyelitis Caused by Serratia liquefaciens in a German Shepherd Dog. Veterinary Sciences, 9(3), 96. https://doi.org/10.3390/vetsci9030096

