Spontaneous Polycystic Kidneys with Chronic Renal Failure in an Aged House Musk Shrew (Suncus murinus)
Abstract
1. Introduction
2. Materials and Methods
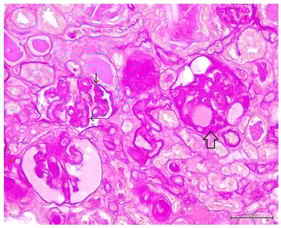
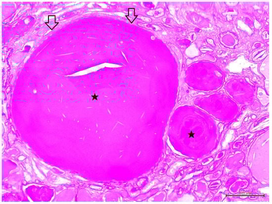
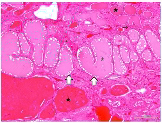
3. Results
4. Discussion
5. Conclusions
Funding
Institutional Review Board Statement
Informed Consent Statement
Data Availability Statement
Conflicts of Interest
References
- Foo, J.N.; Xia, Y. Polycystic kidney disease: New knowledge and future promises. Curr. Opin. Genet. Dev. 2019, 56, 69–75. [Google Scholar]
- Raptis, V.; Loutradis, C.; Sarafidis, P.A. Renal injury progression in autosomal dominant polycystic kidney disease: A look beyond the cysts. Nephrol. Dial. Transplant. 2018, 33, 1887–1895. [Google Scholar] [CrossRef]
- Colbert, G.B.; Elrggal, M.; Gaur, L.; Lerma, E.V. Update and review of adult polycystic kidney disease. Disease-a-Month 2019, 66, 100887. [Google Scholar] [CrossRef]
- Gómez, B.I.; Little, J.S.; Leon, A.J.; Stewart, I.J.; Burmaeister, D.M. A 30% incidence of renal cysts with varying sizes and den-sities in biomedical research swine is not associated with renal dysfunction. Anim. Model Exp. Med. 2020, 3, 273–281. [Google Scholar] [CrossRef]
- Paepe, D.; Saunders, J.H.; Bavegems, V.; Paës, G.; Peelman, L.J.; Makay, C.; Daminet, S. Screening of ragdoll cats for kidney -disease: A retrospective evaluation. J. Small Anim. Pract. 2012, 53, 572–577. [Google Scholar] [CrossRef]
- Guerra, J.M.; Daniel, A.G.T.; Cardoso, N.C.; Grandi, F.; Queiroga, F.; Cogliati, B. Congenital hepatic fibrosis and polycystic kidney disease not linked to C >A mutation in exon 29 of PKD1 in a Persian cat. J. Feline Med. Surg. Open Rep. 2015, 1, 2055116915619191. [Google Scholar] [CrossRef]
- Stebbins, K. Polycystic disease of the kidney and liver in an adult Persian cat. J. Comp. Pathol. 1989, 100, 327–330. [Google Scholar] [CrossRef]
- Northington, J.W.; Juliana, M.M. Polycystic kidney disease in a cat. J. Small Anim. Pract. 1977, 18, 663–666. [Google Scholar] [CrossRef]
- Rendano, V.T.; Parker, R.B. Polycystic kidneys and peritoneopericardial diaphragmatic hernia in the cat: A case report. J. Small Anim. Pract. 1976, 17, 479–485. [Google Scholar] [CrossRef]
- Jones, T.C.; Hunt, R.D.; King, N.W. Cyst in the kidney. In Veterinary Pathology, 6th ed.; Jones, T.C., Hunt, R.D., King, N.W., Eds.; Williams & Wilkins: Baltimore, MD, USA, 1997; pp. 1114–1116. [Google Scholar]
- Cianciolo, R.E.; Williams, K.J. Renal cysts. In Jubb, Kennedy, and Palmer’s Pathology of Domestic Animals, 6th ed.; Maxie, M.G., Ed.; Elsevier: St. Louis, MO, USA, 2016; pp. 394–397. [Google Scholar]
- Confer, A.W.; Panciera, R.J. Renal cysts. In Thomson’s Special Veterinary Pathology, 3rd ed.; McGavin, M.D., Carlton, W.W., Zachary, J.F., Eds.; Mosby: St. Louis, MO, USA, 2001; pp. 240–241. [Google Scholar]
- Newman, S.J. Renal cysts. In Pathologic Basis of Veterinary Disease, 5th ed.; Zachary, J.F., McGavin, M.D., Eds.; Elsevier: St. Louis, MO, USA, 2012; pp. 618–620. [Google Scholar]
- Koslowski, S.; Latapy, C.; Auvray, P.; Blondel, M.; Meijer, L. An Overview of In Vivo and In Vitro Models for Autosomal Dominant Polycystic Kidney Disease: A Journey from 3D-Cysts to Mini-Pigs. Int. J. Mol. Sci. 2020, 21, 4537. [Google Scholar] [CrossRef]
- Kaneko, J.J.; Harvey, J.W.; Bruss, M.L. Appendix Ⅸ Blood Analyte Reference Values in Small and some Laboratory Ani-mals. In Clinical Biochemistry of Domestic Animals, 6th ed.; Kaneko, J.J., Harvey, J.W., Bruss, M.L., Eds.; Elsevier: Burlington, VT, USA, 2008; pp. 889–895. [Google Scholar]
- Yasuhara, M.; Ohama, T.; Matsuki, N.; Saito, H.; Shiga, J.; Inoue, K.; Kurokawa, K.; Teramoto, T. Induction of fatty liver by fasting in suncus. J. Lipid Res. 1991, 32, 887–891. [Google Scholar] [CrossRef]
- Yasuhara, M.; Ohama, T.; Teramoto, T.; Matsuki, N.; Saito, H.; Matsushima, T.; Kurokawa, K. Deficiency of Apolipoprotein B Synthesis in Suncus murinus. J. Biochem. 1991, 110, 751–755. [Google Scholar] [CrossRef] [PubMed]
- Ohama, T.; Mateuki, N.; Wang, C.-H.; Saito, H.; Kinoshita, M.; Tsukamoto, K.; Kurokawa, K.; Katsuragawa, K.; Yamanaka, M.; Teramoto, T. Characterization of Serum Lipoproteins from Suncus: A Candidate Animal Model for Abetalipoproteinemia. J. Biochem. 1993, 113, 786–789. [Google Scholar] [CrossRef] [PubMed]
- Nagayoshi, A.; Matsuki, N.; Saito, H.; Tsukamoto, K.; Wakashima, M.; Kinoshita, M.; Yamanaka, M.; Teramoto, T. Deficiency of Acyl CoA Cholesterol Acyl Transferase Activity in Suncus Liver. J. Biochem. 1994, 115, 858–861. [Google Scholar] [CrossRef]
- Ohama, T.; Matsuki, N.; Saito, H.; Tsukamoto, K.; Kinoshita, M.; Katsuragawa, K.; Okazaki, S.; Yamanaka, M.; Teramoto, T. Effect of Starving and Refeeding on Lipid Metabolism in Suncus. J. Biochem. 1994, 115, 190–193. [Google Scholar] [CrossRef]
- Nagayoshi, A.; Matsuki, N.; Saito, H.; Tsukamoto, K.; Kaneko, K.; Wakashima, M.; Kinoshita, M.; Yamanaka, M.; Teramoto, T. Defect in Assembly Process of Very-Low-Density Lipoprotein in Suncus Liver: An Animal Model of Fatty Liver. J. Biochem. 1995, 117, 787–793. [Google Scholar] [CrossRef]
- Nagayoshi, A.; Saito, H.; Kaneko, K.; Shimazu, N.; Suga, S.; Wakashima, M.; Kinoshita, M.; Yamanaka, M.; Teramoto, T. Role of Acyl Coenzyme A Cholesterol Acyltransferase in Intrahepatic Processing of apo B-Lipoprotein in Suncus. J. Biochem. 1995, 118, 259–264. [Google Scholar] [CrossRef]
- Bush, B.M. Plasma triglycerides. Plasma cholesterol. In Interpretation of Laboratory Results for Small Animal Clinicians; Blackwell Scientific Publications: Hoboken, NJ, USA, 1991; pp. 267–277. [Google Scholar]
- Pedersen, K.M.; Pedersen, H.D.; Häggström, J.; Koch, J.; Elsbøll. Increased mean arterial pressure and aldosterone-to-renin ratio in Persian cats with polycystic kidney disease. J. Vet. Intern. Med. 2003, 17, 21–27. [Google Scholar]
- Wilson, P.D.; Norman, J.T.; Kuo, N.T.; Burrow, C.R. Abnormalities in extracellular matrix regulation in autosomal domi-nant polycystic kidney disease. Contrib. Nephrol. 1996, 118, 126–134. [Google Scholar]
- Grantham, J.J.; Mulamalla, S.; Swenson-Fields, K.I. Why kidneys fail in autosomal dominant polycystic kidney disease. Nat. Rev. Nephrol. 2011, 7, 556–566. [Google Scholar] [CrossRef]
- Xue, C.; Mei, C.-L. Polycystic Kidney Disease and Renal Fibrosis. Ren. Fibros. Mech. Ther. 2019, 1165, 81–100. [Google Scholar] [CrossRef]
- Whary, M.T.; Baumagarth, N.; Fox, J.G.; Barthold, S.W. Urinary tract. In Laboratory Animal Medicine, 3rd ed.; Fox, J.G., Anderson, L.C., Otto, G., Pritchett-Corning, K.R., Whary, M.T., Eds.; Academic Press: London, UK, 2015; pp. 133–134. [Google Scholar]
- Jang, H.-S.; Kim, J.I.; Jung, K.-J.; Kim, J.; Han, K.-H.; Park, K.M. Bone marrow-derived cells play a major role in kidney fibrosis via proliferation and differentiation in the infiltrated site. Biochim. Biophys. Acta Mol. Basis Dis. 2013, 1832, 817–825. [Google Scholar] [CrossRef] [PubMed]
- Sheng, J.; Ruedl, C.; Karjalainen, K. Most tissue-resident macrophages except microglia are derived from fetal hematopoiet-ic stem cells. Immunity 2015, 43, 382–393. [Google Scholar] [CrossRef] [PubMed]
- Munro, D.A.D.; Hughes, J. The Origins and Functions of Tissue-Resident Macrophages in Kidney Development. Front. Physiol. 2017, 8, 837. [Google Scholar] [CrossRef] [PubMed]
- Zimmerman, K.A.; Yang, Z.; Lever, J.M.; Li, Z.; Croyle, M.J.; Agarwal, A.; Yoder, B.K.; George, J.F. Kidney resident macrophages in the rat have minimal turnover and replacement by blood monocytes. Am. J. Physiol. Physiol. 2021, 321, F162–F169. [Google Scholar] [CrossRef] [PubMed]
- Zimmerman, K.A.; Song, C.J.; Li, Z.; Lever, J.M.; Crossman, D.K.; Rains, A.; Aloria, E.J.; Gonzalez, N.C.; Bassler, J.R.; Zhou, J.; et al. Tissue-resident macro-phages promote renal cystic disease. J. Am. Soc. Nephrol. 2019, 30, 1841–1856. [Google Scholar] [CrossRef] [PubMed]
- Li, Z.; Zimmerman, K.A.; Yoder, B.K. Resident Macrophages in Cystic Kidney Disease. Kidney360 2020, 2, 167–175. [Google Scholar] [CrossRef] [PubMed]





| Items | Data |
|---|---|
| Chromosome number | 40 |
| Body weight at sexual maturity | Male: 50–70 g Female: 30–50 g |
| The average of life span | 1–1.5 years |
| Sexual cycle | Copulatory ovulator Persistent estrus |
| The average gestation period | 30 days |
| Range number of offspring (average) | 4 to 8 (3) |
| The range weaning age | 20 to 21 days |
| The average basal metabolic rate | 0.403 W |
| Parameters | Measurements | Reference Values (Mean ± SD) * |
|---|---|---|
| TP (g/L) | 70 | 54.9 ± 4.2 |
| Alb (g/L) | 21 | 23.6 ± 3.0 |
| A/G ratio | 0.43 | 0.74 ± 0.09 |
| T-BIL (μmol/L) | 1.71 | 3.08 ± 2.05 |
| BUN (mmol/L) | >49.98 | 23.75 ± 4.36 |
| CRE (μmol/L) | 114.39 | 41.18 ± 25.93 |
| UA (μmol/L) | 47.58 | 111.23 ± 63.64 |
| GLU (mmol/L) | 2.94 | 12.37 ± 5.19 |
| T-CHO (mmol/L) | 3.99 | 0.96 ± 0.19 |
| TG (mmol/L) | 0.53 | 0.28 ± 0.13 |
| AST (U/L) | 285 | 590.87 ± 222.99 |
| ALT (U/L) | 78 | 255.33 ± 146.51 |
| GGT (U/L) | 17 | 24.26 ± 14.87 |
| LDH (U/L) | 186 | 606.87 ± 284.13 |
| ALP (U/L) | 1 | 61.07 ± 21.17 |
| ChE (U/L) | 1 | 1.20 ± 0.78 |
| LAP (U/L) | 26 | 34.93 ± 7.10 |
| AMY (U/L) | 2234 | 1360.87 ± 213.43 |
| CK(U/L) | >2000 | 1288.73 ± 684.33 |
| Na (mmol/L) | 169 | 161.87 ± 4.76 |
| K (mmol/L) | 6 | 4.43 ± 0.73 |
| Cl (mmol/L) | 143 | 121.60 ± 3.66 |
| Ca (mmol/L) | 4.15 | 5.22 ± 0.33 |
| IP (mmol/L) | 1.823 | 2.94 ± 0.53 |
| Mg (mmol/L) | 2.05 | 1.70 ± 0.21 |
| SAA (μg/mL) | 16 | 1.90 ± 1.19 |
Publisher’s Note: MDPI stays neutral with regard to jurisdictional claims in published maps and institutional affiliations. |
© 2022 by the author. Licensee MDPI, Basel, Switzerland. This article is an open access article distributed under the terms and conditions of the Creative Commons Attribution (CC BY) license (https://creativecommons.org/licenses/by/4.0/).
Share and Cite
Kimura, T. Spontaneous Polycystic Kidneys with Chronic Renal Failure in an Aged House Musk Shrew (Suncus murinus). Vet. Sci. 2022, 9, 123. https://doi.org/10.3390/vetsci9030123
Kimura T. Spontaneous Polycystic Kidneys with Chronic Renal Failure in an Aged House Musk Shrew (Suncus murinus). Veterinary Sciences. 2022; 9(3):123. https://doi.org/10.3390/vetsci9030123
Chicago/Turabian StyleKimura, Tohru. 2022. "Spontaneous Polycystic Kidneys with Chronic Renal Failure in an Aged House Musk Shrew (Suncus murinus)" Veterinary Sciences 9, no. 3: 123. https://doi.org/10.3390/vetsci9030123
APA StyleKimura, T. (2022). Spontaneous Polycystic Kidneys with Chronic Renal Failure in an Aged House Musk Shrew (Suncus murinus). Veterinary Sciences, 9(3), 123. https://doi.org/10.3390/vetsci9030123

