Feline Uveal Melanoma Review: Our Current Understanding and Recent Research Advances
Abstract
:1. Introduction
2. Diagnostic Evaluation
2.1. Introduction
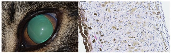
2.2. Iris Biopsy
2.3. Histologic Evaluation
3. Factors Associated with Metastatic Disease
3.1. Histologic and Morphologic Characteristics
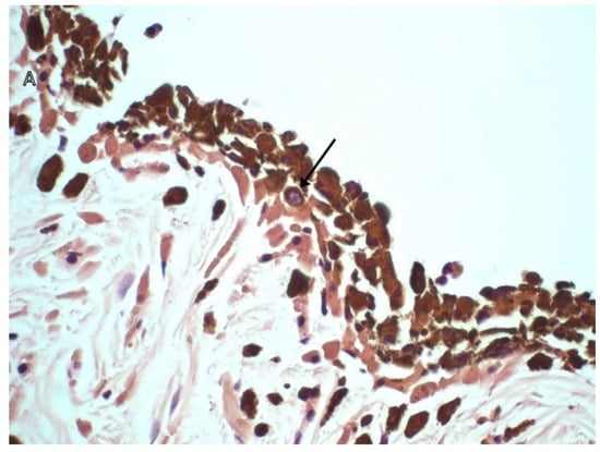
3.2. Immunohistochemical Markers
3.3. Circulating Cell-Free DNA (cfDNA)
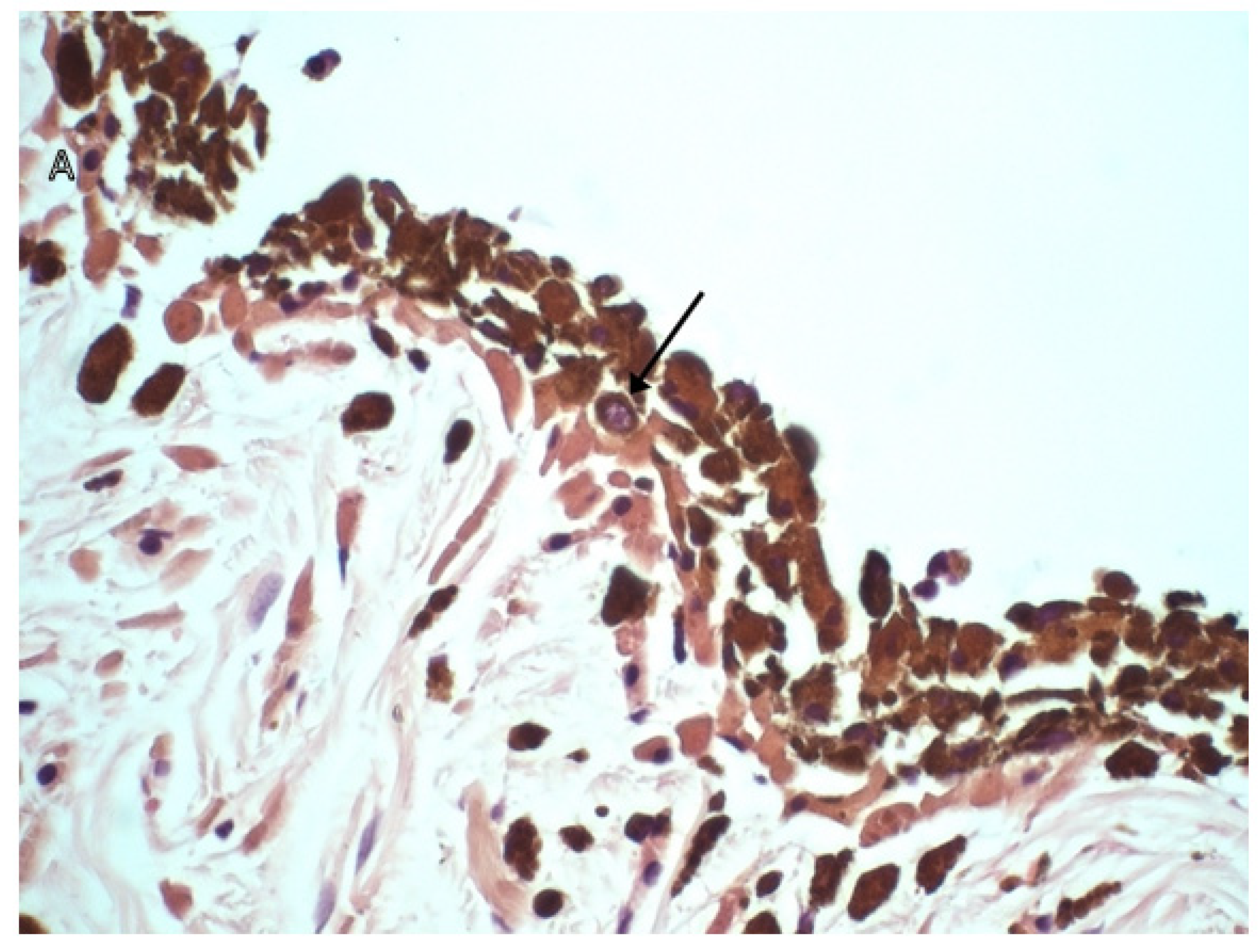
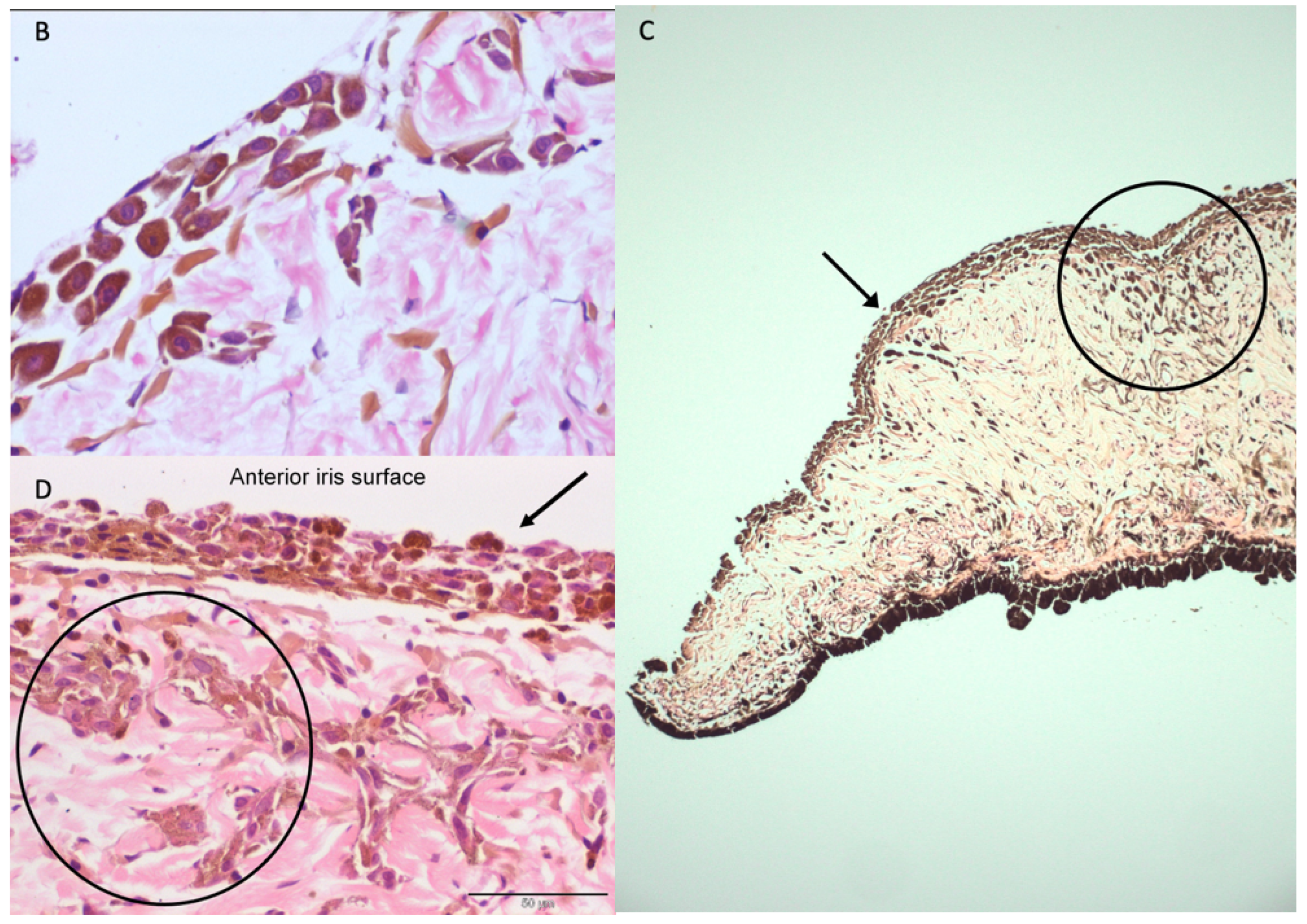
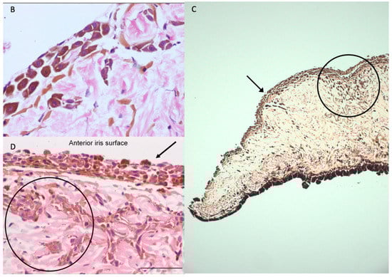
3.4. The Role of Tumour Infiltrating Lymphocytes (TILs)
3.5. Secondary Glaucoma
4. Gene Expression and Mutational Analysis
5. Adjuvant Therapy
6. Discussion
7. Conclusions
Author Contributions
Funding
Institutional Review Board Statement
Informed Consent Statement
Data Availability Statement
Acknowledgments
Conflicts of Interest
References
- Dubielzig, R.R. World Small Animal Veterinary Association World Congress Proceedings. VIN.com. 2011. Available online: https://www.vin.com/apputil/content/defaultadv1.aspx?pId=11343&meta=VIN&catId=34577&id=5124351 (accessed on 29 May 2021).
- Duncan, D.E.; Peiffer, R.L. Morphology and prognostic indicators of anterior uveal melanomas in cats. Prog. Vet. Comp. Ophthalmol. 1991, 1, 25–32. [Google Scholar]
- Dubielzig, R.R.; Lindley, D.M. The relationship between pigmented spots on the feline iris and diffuse iris melanoma (abstract 96). Vet. Pathol. 1993, 30, 451. [Google Scholar]
- Gelatt, K.N.; Gilger, B.C.; Kern, T.J. Veterinary Ophthalmology; Wiley-Blackwell: Hoboken, NJ, USA, 2021; Volume 28, p. 1715. [Google Scholar]
- Kalishman, J.B.; Chappell, R.; Flood, L.A.; Dubielzig, R.R. A matched observational study of survival in cats with enucleation due to diffuse iris melanoma. Vet. Ophthalmol. 1998, 1, 25–29. [Google Scholar] [CrossRef] [PubMed]
- Patnaik, A.K.; Mooney, S. Feline Melanoma: A Comparative Study of Ocular, Oral, and Dermal Neoplasms. Vet. Pathol. 1988, 25, 105–112. [Google Scholar] [CrossRef] [PubMed]
- Wiggans, K.T.; Reilly, C.M.; Kass, P.H.; Maggs, D.J. Histologic and immunohistochemical predictors of clinical behavior for feline diffuse iris melanoma. Vet. Ophthalmol. 2016, 19, 44–55. [Google Scholar] [CrossRef] [PubMed] [Green Version]
- Dubielzig, R.R. Veterinary Ocular Pathology: A Comparative Review; Edinburgh; Saunders: New York, NY, USA, 2010. [Google Scholar]
- Featherstone, H.J.; Scurrell, E.J.; Rhodes, M.; De Lacerda, R.P. Iris biopsy to investigate feline iris hyperpigmentation. Vet. Ophthalmol. 2019, 23, 269–276. [Google Scholar] [CrossRef]
- Jajou, S. Uveal Amelanotic Melanoma in a Ragdoll Cat. Can. Vet. J. 2020, 61, 645–647. Available online: https://www.ncbi.nlm.nih.gov/pmc/articles/PMC7238484/ (accessed on 27 November 2021).
- Planellas, M.; Pastor, J.; Torres, M.D.; Pena, T.; Leiva, M. Unusual presentation of a metastatic uveal melanoma in a cat. Vet. Ophthalmol. 2010, 13, 391–394. [Google Scholar] [CrossRef]
- Grahn, B.H.; Peiffer, R.L.; Cullen, C.L.; Haines, D.M. Classification of feline intraocular neoplasms based on morphology, histochemical staining, and immunohistochemical labeling. Vet. Ophthalmol. 2006, 9, 395–403. [Google Scholar] [CrossRef]
- Wang, A.L.; Kern, T. Melanocytic Ophthalmic Neoplasms of the Domestic Veterinary Species: A Review. Top. Companion Anim. Med. 2015, 30, 148–157. [Google Scholar] [CrossRef]
- Albert, D.M.; Shadduck, J.A.; Craft, J.L.; Niederkorn, J.Y. Feline uveal melanoma model induced with feline sarcoma virus. Investig. Ophthalmol. Vis. Sci. 1981, 20, 606–624. Available online: https://iovs.arvojournals.org/article.aspx?articleid=2159067 (accessed on 29 November 2021).
- Stiles, J.; Bienzle, D.; Render, J.; Buyukmihci, N.; Johnson, E. Use of nested polymerase chain reaction (PCR) for detection of retroviruses from formalin-fixed, paraffin-embedded uveal melanomas in cats. Vet. Ophthalmol. 1999, 2, 113–116. Available online: https://escholarship.org/uc/item/6zj8m893 (accessed on 29 November 2021). [CrossRef] [PubMed] [Green Version]
- Cullen, C.L.; Haines, D.M.; Jackson, M.L.; Grahn, B.H. Lack of Detection of Feline Leukemia and Feline Sarcoma Viruses in Diffuse Iris Melanomas of Cats by Immunohistochemistry and Polymerase Chain Reaction. J. Veter. Diagn. Investig. 2002, 14, 340–343. [Google Scholar] [CrossRef] [PubMed] [Green Version]
- Harris, B.P.; Dubielzig, R.R. Atypical primary ocular melanoma in cats. Vet. Ophthalmol. 1999, 2, 121–124. [Google Scholar] [CrossRef] [PubMed]
- Semin, M.O.; Serra, F.; Mahe, V.; Deviers, A.; Regnier, A.; Raymond-Letron, I. Choroidal melanocytoma in a cat. Vet. Ophthalmol. 2011, 14, 205–208. [Google Scholar] [CrossRef]
- Bourguet, A.; Piccicuto, V.; Donzel, E.; Carlus, M.; Chahory, S. A case of primary choroidal malignant melanoma in a cat. Vet. Ophthalmol. 2014, 18, 345–349. [Google Scholar] [CrossRef]
- Lamagna, B.; Uccello, V.; Prisco, F.; Russo, V.; Lamagna, F.; Navas, L.; Mennonna, G.; Murino, C.; Meomartino, L. Iris melanoma associated with unilateral phthisis bulbi in a 13-year-old domestic shorthair female cat. Vet. Q. 2019, 39, 131–135. [Google Scholar] [CrossRef] [Green Version]
- Fragola, J.A.; Dubielzig, R.R.; Bentley, E.; Teixeira, L.B.C. Iridociliary cysts masquerading as neoplasia in cats: A morphologic review of 14 cases. Vet. Ophthalmol. 2017, 21, 125–131. [Google Scholar] [CrossRef]
- Blacklock, B.T.; Grundon, R.A.; Meehan, M.; Pont, R.T.; Hartley, C. Uveal cysts in domestic cats: A retrospective evaluation of thirty-six cases. Vet. Ophthalmol. 2016, 19, 56–60. [Google Scholar] [CrossRef]
- Grahn, B.H.; Peiffer, R.L.; Wilcock, B.P. Histologic Basis of Ocular Disease in Animals; John Wiley & Sons: Hoboken, NJ, USA, 2019; pp. 409–422. [Google Scholar]
- Ramos-Vara, J.A.; Miller, M.A. Immunohistochemical Identification of Canine Melanocytic Neoplasms with Antibodies to Melanocytic Antigen PNL2 and Tyrosinase. Vet. Ophthalmol. 2010, 48, 443–450. [Google Scholar] [CrossRef]
- Porcellato, I.; Silvestri, S.; Sforna, M.; Banelli, A.; Giudice, A.L.; Mechelli, L.; Brachelente, C. Tumor-infiltrating lymphocytes (TILs) in feline melanocytic tumors: A preliminary investigation. Vet. Immunol. Immunopathol. 2021, 242, 110337. [Google Scholar] [CrossRef] [PubMed]
- De Vries, T.J.; Trančikova, D.; Ruiter, D.J.; Van Muijen, G.N.P. High expression of immunotherapy candidate proteins gp100, MART-1, tyrosinase and TRP-1 in uveal melanoma. Br. J. Cancer 1998, 78, 1156–1161. [Google Scholar] [CrossRef] [PubMed] [Green Version]
- Kawakami, Y.; Eliyahu, S.; Delgado, C.H.; Robbins, P.F.; Rivoltini, L.; Topalian, S.L.; Rosenberg, S.A. Cloning of the gene coding for a shared human melanoma antigen recognized by autologous T cells infiltrating into tumor. Proc. Natl. Acad. Sci. USA 1994, 91, 3515–3519. [Google Scholar] [CrossRef] [Green Version]
- Smith, S.H.; Goldschmidt, M.; McManus, P.M. A Comparative Review of Melanocytic Neoplasms. Vet. Pathol. 2002, 39, 651–678. [Google Scholar] [CrossRef] [PubMed]
- McGary, E.C.; Lev, D.C.; Bar-Eli, M. Cellular adhesion pathways and metastatic potential of human melanoma. Cancer Biol. Ther. 2002, 1, 459–465. [Google Scholar] [CrossRef] [Green Version]
- Onken, M.D.; Ehlers, J.P.; Worley, L.A.; Makita, J.; Yokota, Y.; Harbour, J.W. Functional Gene Expression Analysis Uncovers Phenotypic Switch in Aggressive Uveal Melanoma. Cancer Res. 2006, 66, 4602–4609. [Google Scholar] [CrossRef] [Green Version]
- Malho, P.; Dunn, K.; Donaldson, D.; Dubielzig, R.R.; Birand, Z.; Starkey, M. Investigation of prognostic indicators for human uveal melanoma as biomarkers of canine uveal melanoma metastasis. J. Small Anim. Pr. 2013, 54, 584–593. [Google Scholar] [CrossRef]
- Schwarzenbach, H.; Hoon, D.S.B.; Pantel, K. Cell-free nucleic acids as biomarkers in cancer patients. Nat. Rev. Cancer 2011, 11, 426–437. [Google Scholar] [CrossRef]
- Rushton, J.G.; Ertl, R.; Klein, D.; Tichy, A.; Nell, B. Circulating cell-free DNA does not harbour a diagnostic benefit in cats with feline diffuse iris melanomas. J. Feline Med. Surg. 2018, 21, 124–132. [Google Scholar] [CrossRef]
- Berry, J.L.; Xu, L.; Polski, A.; Jubran, R.; Kuhn, P.; Kim, J.W.; Hicks, J. Aqueous Humor Is Superior to Blood as a Liquid Biopsy for Retinoblastoma. Ophthalmology 2020, 127, 552–554. Available online: https://reader.elsevier.com/reader/sd/pii/S0161642019321840?tken=1EEAC7A973630FA81DCB95A68DA748EBEA0A76658EB38FDC5E126E5319A1F1F3385BA8DD8A4AC1E3BCF170DC34AF6BA6&originRegion=eu-west-1&originCreation=20211230192031 (accessed on 30 December 2021). [CrossRef]
- Polski, A.; Xu, L.; Prabakar, R.K.; Kim, J.W.; Shah, R.; Jubran, R.; Kuhn, P.; Cobrinik, D.; Hicks, J.; Berry, J.L. Cell-Free DNA Tumor Fraction in the Aqueous Humor Is Associated with Therapeutic Response in Retinoblastoma Patients. Transl. Vis. Sci. Technol. 2020, 9, 30. Available online: https://www.ncbi.nlm.nih.gov/pmc/articles/PMC7533735/ (accessed on 30 December 2021). [CrossRef] [PubMed]
- Lee, N.; Zakka, L.R.; Mihm, M.C., Jr.; Schatton, T. Tumour-infiltrating lymphocytes in melanoma prognosis and cancer immunotherapy. Pathology 2016, 48, 177–187. [Google Scholar] [CrossRef] [PubMed]
- Rushton, J.G.; Ertl, R.; Klein, D.; Nell, B. Mutation analysis and gene expression profiling of ocular melanomas in cats. Vet. Comp. Oncol. 2017, 15, 1403–1416. [Google Scholar] [CrossRef] [PubMed]
- Rushton, J.G.; Korb, M.; Kummer, S.; Reichart, U.; Fuchs Baumgartinger, A.; Tichy, A.; Nell, B. Protein expression of KIT, BRAF, GNA11, GNAQ and RASSF1 in feline diffuse iris melanomas. Vet. J. 2019, 249, 33–40. Available online: https://www.sciencedirect.com/science/article/pii/S1090023319300504?via%3Dihub (accessed on 29 May 2021). [CrossRef]
- Dhomen, N.; Marais, R. New insight into BRAF mutations in cancer. Curr. Opin. Genet. Dev. 2007, 17, 31–39. [Google Scholar] [CrossRef]
- Davies, H.; Bignell, G.R.; Cox, C.; Stephens, P.; Edkins, S.; Clegg, S.; Teague, J.; Woffendin, H.; Garnett, M.J.; Bottomley, W.; et al. Mutations of the BRAF gene in human cancer. Nature 2002, 417, 949–954. Available online: https://www.nature.com/nature/journal/v417/n6892/full/nature00766.html (accessed on 22 January 2022). [CrossRef]
- Van Raamsdonk, C.D.; Bezrookove, V.; Green, G.; Bauer, J.; Gaugler, L.; O’Brien, J.M.; Simpson, E.M.; Barsh, G.S.; Bastian, B.C. Frequent somatic mutations of GNAQ in uveal melanoma and blue naevi. Nature 2009, 457, 599–602. [Google Scholar] [CrossRef] [Green Version]
- Yu, F.-X.; Luo, J.; Mo, J.-S.; Liu, G.; Kim, Y.; Meng, Z.; Zhao, L.; Peyman, G.; Ouyang, H.; Jiang, W.; et al. Mutant Gq/11 Promote Uveal Melanoma Tumorigenesis by Activating YAP. Cancer Cell 2014, 25, 822–830. [Google Scholar] [CrossRef] [Green Version]
- Wettschureck, N.; Offermanns, S. Mammalian G Proteins and Their Cell Type Specific Functions. Physiol. Rev. 2005, 85, 1159–1204. [Google Scholar] [CrossRef] [Green Version]
- Pereira, P.R.; Odashiro, A.N.; Marshall, J.C.; Correa, Z.M.; Belfort, R.; Burnier, M.N. The role of c-kit and imatinib mesylate in uveal melanoma. J. Carcinog. 2005, 4, 19. Available online: https://www.ncbi.nlm.nih.gov/pmc/articles/PMC1282581/ (accessed on 27 November 2021). [CrossRef]
- Babaei, M.A.; Kamalidehghan, B.; Saleem, M.; Huri, H.Z.; Ahmadipour, F. Receptor tyrosine kinase (c-Kit) inhibitors: A potential therapeutic target in cancer cells. Drug Des. Dev. Ther. 2016, 10, 2443–2459. [Google Scholar] [CrossRef] [PubMed] [Green Version]
- Bergman, P.; Camps-Palau, M.; McKnight, J.; Leibman, N.; Craft, D.; Leung, C.; Liao, J.; Riviere, I.; Sadelain, M.; Hohenhaus, A.; et al. Development of a xenogeneic DNA vaccine program for canine malignant melanoma at the Animal Medical Center. Vaccine 2006, 24, 4582–4585. [Google Scholar] [CrossRef] [PubMed]
- Liao, J.C.F.; Gregor, P.; Wolchok, J.D.; Orlandi, F.; Craft, D.; Leung, C.; Houghton, A.N.; Bergman, P.J. Vaccination with human tyrosinase DNA induces antibody responses in dogs with advanced melanoma. Cancer Immun. 2006, 6, 8. Available online: https://www.ncbi.nlm.nih.gov/pmc/articles/PMC1976276/ (accessed on 29 November 2021). [PubMed]
- Grosenbaugh, D.A.; Leard, A.T.; Bergman, P.J.; Klein, M.K.; Meleo, K.; Susaneck, S.; Hess, P.R.; Jankowski, M.K.; Jones, P.D.; Leibman, N.F.; et al. Safety and efficacy of a xenogeneic DNA vaccine encoding for human tyrosinase as adjunctive treatment for oral malignant melanoma in dogs following surgical excision of the primary tumor. Am. J. Veter. Res. 2011, 72, 1631–1638. [Google Scholar] [CrossRef]
- Sarbu, L.; Kitchell, B.E.; Bergman, P.J. Safety of administering the canine melanoma DNA vaccine (Oncept) to cats with malignant melanoma—A retrospective study. J. Feline Med. Surg. 2016, 19, 224–230. [Google Scholar] [CrossRef]





Publisher’s Note: MDPI stays neutral with regard to jurisdictional claims in published maps and institutional affiliations. |
© 2022 by the authors. Licensee MDPI, Basel, Switzerland. This article is an open access article distributed under the terms and conditions of the Creative Commons Attribution (CC BY) license (https://creativecommons.org/licenses/by/4.0/).
Share and Cite
Kayes, D.; Blacklock, B. Feline Uveal Melanoma Review: Our Current Understanding and Recent Research Advances. Vet. Sci. 2022, 9, 46. https://doi.org/10.3390/vetsci9020046
Kayes D, Blacklock B. Feline Uveal Melanoma Review: Our Current Understanding and Recent Research Advances. Veterinary Sciences. 2022; 9(2):46. https://doi.org/10.3390/vetsci9020046
Chicago/Turabian StyleKayes, David, and Benjamin Blacklock. 2022. "Feline Uveal Melanoma Review: Our Current Understanding and Recent Research Advances" Veterinary Sciences 9, no. 2: 46. https://doi.org/10.3390/vetsci9020046
APA StyleKayes, D., & Blacklock, B. (2022). Feline Uveal Melanoma Review: Our Current Understanding and Recent Research Advances. Veterinary Sciences, 9(2), 46. https://doi.org/10.3390/vetsci9020046

