Investigating a Prognostic Factor for Canine Hepatocellular Carcinoma: Analysis of Different Histological Grading Systems and the Role of PIVKA-II
Abstract
Simple Summary
Abstract
1. Introduction
2. Materials and Methods
2.1. Sample Collection and Clinical Follow-Up
2.2. Histological Examination
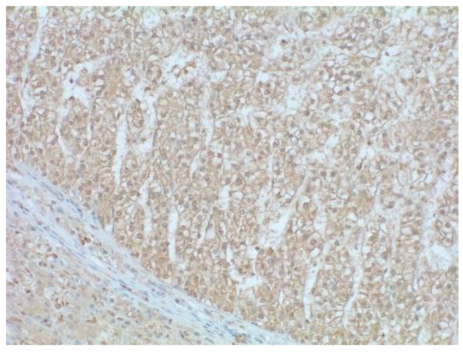
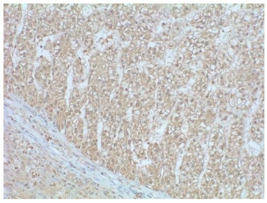
2.3. Immunohistochemistry
2.4. Statistical Analysis
3. Results
3.1. Clinico-Pathological Results
3.2. Statistical Analysis
4. Discussion
5. Conclusions
Author Contributions
Funding
Institutional Review Board Statement
Informed Consent Statement
Data Availability Statement
Conflicts of Interest
References
- Liptak, J.; Dernell, W.; Monnet, E.; Powers, B.; Bachand, A.; Kenney, J.; Withrow, S. Massive hepatocellular carcinoma in dogs: 48 cases (1992–2002). J. Am. Vet. Med. Assoc. 2004, 225, 1225–1230. [Google Scholar] [CrossRef]
- Gibson, E.A.; Goldman, R.E.; Culp, W.T.N. Comparative Oncology: Management of Hepatic Neoplasia in Humans and Dogs. Vet. Sci. 2022, 9, 489. [Google Scholar] [CrossRef]
- Kinsey, J.R.; Gilson, S.D.; Hauptman, J.; Mehler, S.J.; May, L.R. Factors associated with long-term survival in dogs undergoing liver lobectomy as treatment for liver tumors. Can. Vet. J. 2015, 56, 598–604. [Google Scholar] [PubMed]
- Martins-Filho, S.N.; Paiva, C.; Azevedo, R.S.; Alves, V.A.F. Histological Grading of Hepatocellular Carcinoma-A Systematic Review of Literature. Front. Med. 2017, 4, 193. [Google Scholar] [CrossRef] [PubMed]
- Liebman, H.A.; Furie, B.C.; Tong, M.J.; Blanchard, R.A.; Lo, K.J.; Lee, S.D.; Coleman, M.S.; Furie, B. Des-gamma-carboxy (abnormal) prothrombin as a serum marker of primary hepatocellular carcinoma. N. Engl. J. Med. 1984, 310, 1427–1431. [Google Scholar] [CrossRef] [PubMed]
- Dong, R.; Wang, N.; Yang, Y.; Ma, L.; Du, Q.; Zhang, W.; Tran, A.H.; Jung, H.; Soh, A.; Zheng, Y.; et al. Review on Vitamin K Deficiency and its Biomarkers: Focus on the Novel Application of PIVKA-II in Clinical Practice. Clin. Lab. 2018, 64, 413–424. [Google Scholar] [CrossRef]
- Feng, H.; Li, B.; Li, Z.; Wei, Q.; Ren, L. PIVKA-II serves as a potential biomarker that complements AFP for the diagnosis of hepatocellular carcinoma. BMC Cancer 2021, 21, 401. [Google Scholar] [CrossRef]
- Huang, S.; Jiang, F.; Wang, Y.; Yu, Y.; Ren, S.; Wang, X.; Yin, P.; Lou, J. Diagnostic performance of tumor markers AFP and PIVKA-II in Chinese hepatocellular carcinoma patients. Tumour Biol. 2017, 39, 1010428317705763. [Google Scholar] [CrossRef]
- Card, D.J.; Gorska, R.; Harrington, D.J. Laboratory assessment of vitamin K status. J. Clin. Pathol. 2020, 73, 70–75. [Google Scholar] [CrossRef]
- Kim, D.Y.; Paik, Y.H.; Ahn, S.H.; Youn, Y.J.; Choi, J.W.; Kim, J.K.; Lee, K.S.; Chon, C.Y.; Han, K.H. PIVKA-II is a useful tumor marker for recurrent hepatocellular carcinoma after surgical resection. Oncology 2007, 72 (Suppl. 1), 52–57. [Google Scholar] [CrossRef]
- Kim, J.M.; Kwon, C.H.; Joh, J.W.; Park, J.B.; Lee, J.H.; Kim, S.J.; Paik, S.W.; Park, C.K. PIVKA-II is a useful marker in patients with modified UICC T3 stage hepatocellular carcinoma. Hepatogastroenterology 2013, 60, 1456–1462. [Google Scholar] [CrossRef] [PubMed]
- Kim, J.M.; Hyuck, C.; Kwon, D.; Joh, J.W.; Lee, J.H.; Paik, S.W.; Park, C.K. Protein induced by vitamin K antagonist-II (PIVKA-II) is a reliable prognostic factor in small hepatocellular carcinoma. World J. Surg. 2013, 37, 1371–1378. [Google Scholar] [CrossRef] [PubMed]
- Miskad, U.A.; Yano, Y.; Nakaji, M.; Kishi, S.; Itoh, H.; Kim, S.R.; Ku, Y.; Kuroda, Y.; Hayashi, Y. Histological study of PIVKA-II expression in hepatocellular carcinoma and adenomatous hyperplasia. Pathol. Int. 2001, 51, 916–922. [Google Scholar] [CrossRef] [PubMed]
- Tamano, M.; Sugaya, H.; Oguma, M.; Murohisa, T.; Tomita, Y.; Matsumura, A.; Kojima, K.; Terano, A. Immunolocalisation of PIVKA-II in paraffin-embedded specimens of hepatocellular carcinoma. Liver 1999, 19, 406–410. [Google Scholar] [CrossRef]
- Maniscalco, L.; Varello, K.; Zoppi, S.; Abbamonte, G.; Ferrero, M.; Torres, E.; Ostorero, F.; Rossi, F.; Bozzetta, E. Abnormal Prothrombin (PIVKA-II) Expression in Canine Tissues as an Indicator of Anticoagulant Poisoning. Animals 2021, 11, 2612. [Google Scholar] [CrossRef]
- Nagtegaal, I.D.; Odze, R.D.; Klimstra, D.; Paradis, V.; Rugge, M.; Schirmacher, P.; Washington, K.M.; Carneiro, F.; Cree, I.A.; Board, W.C.o.T.E. The 2019 WHO classification of tumours of the digestive system. Histopathology 2020, 76, 182–188. [Google Scholar] [CrossRef] [PubMed]
- Brenner, B.; Kuperman, A.A.; Watzka, M.; Oldenburg, J. Vitamin K-dependent coagulation factors deficiency. Semin. Thromb. Hemost. 2009, 35, 439–446. [Google Scholar] [CrossRef]
- Ajisaka, H.; Shimizu, K.; Miwa, K. Immunohistochemical study of protein induced by vitamin K absence or antagonist II in hepatocellular carcinoma. J. Surg. Oncol. 2003, 84, 89–93. [Google Scholar] [CrossRef]
- Arnesen, H.; Smith, P. The predictability of bleeding by prothrombin times sensitive or insensitive to PIVKA during intensive oral anticoagulation. Thromb. Res. 1991, 61, 311–314. [Google Scholar] [CrossRef]
- Basile, U.; Miele, L.; Napodano, C.; Ciasca, G.; Gulli, F.; Pocino, K.; De Matthaeis, N.; Liguori, A.; De Magistris, A.; Marrone, G.; et al. The diagnostic performance of PIVKA-II in metabolic and viral hepatocellular carcinoma: A pilot study. Eur. Rev. Med. Pharm. Sci. 2020, 24, 12675–12685. [Google Scholar] [CrossRef]
- Heckemann, H.J.; Ruby, C.; Rossner, K. Simultaneous determination of functional coagulation factors and competitive (PIVKA-) inhibitors based on enzyme kinetics. Folia Haematol. Int. Mag. Klin. Morphol. Blutforsch. 1988, 115, 533–537. [Google Scholar] [PubMed]
- Mount, M.E.; Kim, B.U.; Kass, P.H. Use of a test for proteins induced by vitamin K absence or antagonism in diagnosis of anticoagulant poisoning in dogs: 325 cases (1987–1997). J. Am. Vet. Med. Assoc. 2003, 222, 194–198. [Google Scholar] [CrossRef] [PubMed]
- Lim, T.S.; Kim, D.Y.; Han, K.H.; Kim, H.S.; Shin, S.H.; Jung, K.S.; Kim, B.K.; Kim, S.U.; Park, J.Y.; Ahn, S.H. Combined use of AFP, PIVKA-II, and AFP-L3 as tumor markers enhances diagnostic accuracy for hepatocellular carcinoma in cirrhotic patients. Scand. J. Gastroenterol. 2016, 51, 344–353. [Google Scholar] [CrossRef] [PubMed]



| Nuclear Grade | |
| I | Homogeneous, near-normal nuclei |
| II | Mild pleomorphism |
| III | Moderate pleomorphism, irregular distribution of chromatin |
| IV | Marked pleomorphism, bizarre nuclei |
| Nucleolar Grade | |
| I | Nucleoli barely seen at 400× |
| II | Evident nucleoli at 100–200× |
| III | Large nucleoli visible at 100× |
| IV | Prominent nucleoli visible at 40× |
| Architectural Grade | |
| I | Trabecular. 2–3 cell wide |
| II | Pseudoglandular pattern |
| III | Mild trabecular (4–10 cells wide) |
| IV | Macro-trabecular (<10 cells wide) or solid bizarre patterns |
| N° | Breed | Age | Sex | Nuclear Grade | Nucleolar Grade | Architecture Grade | WHO Grading | PIVKA | DFI Days | OS Days | Note |
|---|---|---|---|---|---|---|---|---|---|---|---|
| 1 | Samoyed | 10 | M | 2 | 4 | 4 | 4 | 1 | 35 | 60 | Metastases |
| 2 | Yorkshire | 13 | FS | 1 | 2 | 2 | 2 | 1 | 730 | 730 | * |
| 3 | Beagle | 12 | M | 1 | 1 | 1 | 1 | 0 | 730 | 730 | * |
| 4 | Mixed | 10 | FS | 3 | 3 | 2 | 3 | 0 | 1 | 1 | Death due to surgical complications |
| 5 | Golden R. | 10 | M | 1 | 1 | 4 | 3 | 0 | 730 | 730 | * |
| 6 | Dachshund | 7 | m | 1 | 1 | 1 | 1 | 0 | 730 | 730 | * |
| 7 | Mixed | 13 | Fs | 1 | 1 | 4 | 3 | 0 | 730 | 730 | * |
| 8 | Mixed | 8 | M | 1 | 1 | 2 | 2 | 0 | 730 | 730 | * |
| 9 | Mixed | 9 | FS | 2 | 3 | 2 | 2 | 1 | 730 | 730 | * |
| 10 | Mixed | 13.5 | M | 2 | 3 | 2 | 2 | 1 | 730 | 730 | * |
| 11 | Mixed | 12 | M | 3 | 4 | 4 | 4 | 1 | 365 | 365 | * |
| 12 | Cocker Spaniel | 10 | F | 1 | 2 | 2 | 2 | 1 | 730 | 730 | Relapsed at 900 days but alive |
| 13 | Mixed | 11 | FS | 2 | 1 | 3 | 3 | 1 | 365 | 365 | Metastases |
| 14 | Siberian Husky | 13 | FS | 2 | 4 | 2 | 3 | 1 | 5 | 5 | Death due to surgical complications |
| 15 | Cocker S. | 11 | FS | 1 | 3 | 1 | 2 | 1 | 365 | 365 | * |
| 16 | Golden R | 8 | M | 1 | 3 | 3 | 2 | 1 | 730 | 730 | * |
| 17 | Schnautzer | 13 | M | 1 | 2 | 2 | 2 | 1 | 730 | 730 | * |
| 18 | Golden R, | 10 | M | 2 | 4 | 3 | 3 | 1 | 730 | 730 | * |
| 19 | Mixed | 12 | FS | 4 | 4 | 4 | 4 | 1 | 730 | 730 | * |
| 20 | Rottweiler | 12 | MC | 1 | 2 | 3 | 3 | 0 | 30 | 30 | Metastases |
| 21 | Yorkshire | 13 | FS | 2 | 4 | 1 | 2 | 1 | 730 | 730 | * |
| 22 | Mixed | 13 | FS | 2 | 1 | 1 | 2 | 1 | 730 | 730 | * |
Publisher’s Note: MDPI stays neutral with regard to jurisdictional claims in published maps and institutional affiliations. |
© 2022 by the authors. Licensee MDPI, Basel, Switzerland. This article is an open access article distributed under the terms and conditions of the Creative Commons Attribution (CC BY) license (https://creativecommons.org/licenses/by/4.0/).
Share and Cite
Maniscalco, L.; Varello, K.; Morello, E.; Montemurro, V.; Olimpo, M.; Giacobino, D.; Abbamonte, G.; Gola, C.; Iussich, S.; Bozzetta, E. Investigating a Prognostic Factor for Canine Hepatocellular Carcinoma: Analysis of Different Histological Grading Systems and the Role of PIVKA-II. Vet. Sci. 2022, 9, 689. https://doi.org/10.3390/vetsci9120689
Maniscalco L, Varello K, Morello E, Montemurro V, Olimpo M, Giacobino D, Abbamonte G, Gola C, Iussich S, Bozzetta E. Investigating a Prognostic Factor for Canine Hepatocellular Carcinoma: Analysis of Different Histological Grading Systems and the Role of PIVKA-II. Veterinary Sciences. 2022; 9(12):689. https://doi.org/10.3390/vetsci9120689
Chicago/Turabian StyleManiscalco, Lorella, Katia Varello, Emanuela Morello, Vittoria Montemurro, Matteo Olimpo, Davide Giacobino, Giuseppina Abbamonte, Cecilia Gola, Selina Iussich, and Elena Bozzetta. 2022. "Investigating a Prognostic Factor for Canine Hepatocellular Carcinoma: Analysis of Different Histological Grading Systems and the Role of PIVKA-II" Veterinary Sciences 9, no. 12: 689. https://doi.org/10.3390/vetsci9120689
APA StyleManiscalco, L., Varello, K., Morello, E., Montemurro, V., Olimpo, M., Giacobino, D., Abbamonte, G., Gola, C., Iussich, S., & Bozzetta, E. (2022). Investigating a Prognostic Factor for Canine Hepatocellular Carcinoma: Analysis of Different Histological Grading Systems and the Role of PIVKA-II. Veterinary Sciences, 9(12), 689. https://doi.org/10.3390/vetsci9120689

