Concurrent Chorioptic Mange and Dermatophytosis in Dairy Goats: A Case Report
Abstract
Simple Summary
Abstract
1. Introduction
2. Materials and Methods
2.1. History and Signalment
2.2. Clinical Examination and Samplings
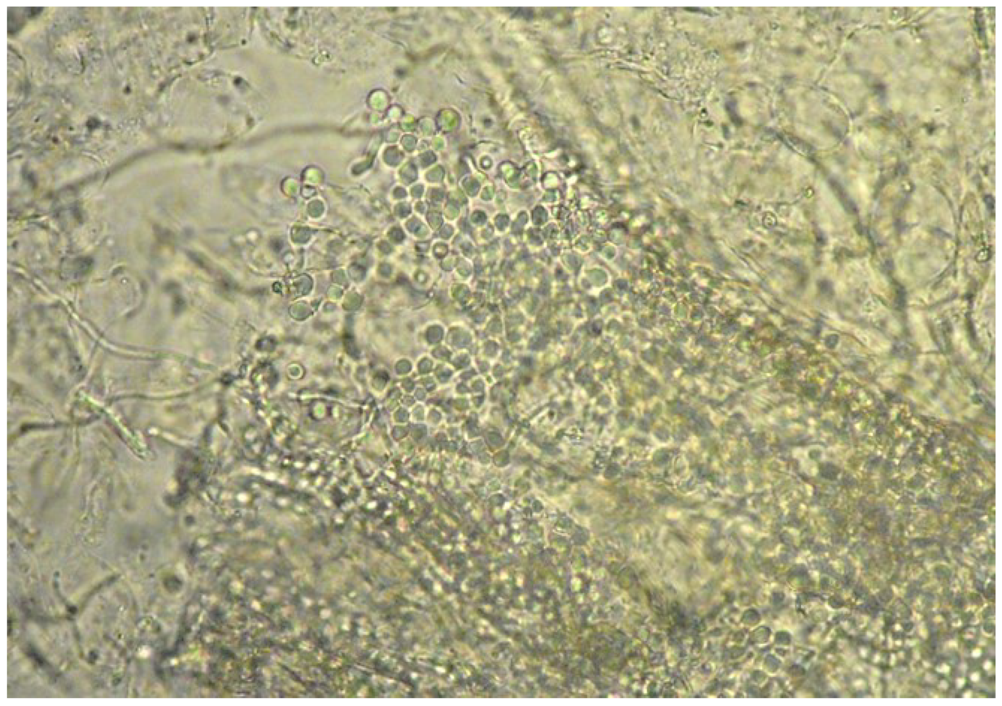
2.3. Laboratory Procedures
3. Results
4. Discussion
Author Contributions
Funding
Institutional Review Board Statement
Informed Consent Statement
Data Availability Statement
Conflicts of Interest
References
- Colebrook, E.; Wall, R. Ectoparasites of livestock in Europe and the Mediterranean region. Veter. Parasitol. 2004, 120, 251–274. [Google Scholar] [CrossRef]
- Cornall, K.; Wall, R. Ectoparasites of goats in the UK. Veter. Parasitol. 2015, 207, 176–179. [Google Scholar] [CrossRef]
- Lusat, J.; Morgan, E.; Wall, R. Mange in alpacas, llamas and goats in the UK: Incidence and risk. Veter. Parasitol. 2009, 163, 179–184. [Google Scholar] [CrossRef]
- Cremers, H.J.W.M. The incidence ofChorioptes bovis(Acarina: Psoroptidae) on the feet of horses, sheep, and goats in the Netherlands. Veter. Q. 1985, 7, 283–289. [Google Scholar] [CrossRef]
- Foster, A.; Mitchell, S.; Wall, R. Cattle ectoparasites in Great Britain. Cattle Pract. 2015, 23, 280–287. [Google Scholar]
- Castilla-Castaño, E.; Herman, N.; Martinelli, E.; Lecru, L.A.; Pressanti, C.; Schelcher, F.; Cadiergues, M.C. Treatment of sarcoptic and chorioptic mange in an alpaca (Vicugna pacos) herd with a combination of topical amitraz and subcutaneous ivermectin. New Zealand Veter. J. 2020, 69, 121–126. [Google Scholar] [CrossRef]
- Chermette, R.; Ferreiro, L.; Guillot, J. Dermatophytoses in Animals. Mycopathologia 2008, 166, 385–405. [Google Scholar] [CrossRef]
- Agnetti, F.; Righi, C.; Scoccia, E.; Felici, A.; Crotti, S.; Moretta, I.; Moretti, A.; Maresca, C.; Troiani, L.; Papini, M. Trichophyton verrucosum infection in cattle farms of Umbria (Central Italy) and transmission to humans. Mycoses 2014, 57, 400–405. [Google Scholar] [CrossRef]
- Pasquetti, M.; Min, A.R.M.; Scacchetti, S.; Dogliero, A.; Peano, A. Infection by Microsporum canis in Paediatric Patients: A Veterinary Perspective. Veter. Sci. 2017, 4, 46. [Google Scholar] [CrossRef]
- Veraldi, S.; Genovese, G.; Peano, A. Tinea corporis caused by Trichophyton equinum in a rider and review of the literature. Infection 2017, 46, 135–137. [Google Scholar] [CrossRef]
- Čmoková, A.; Kolařík, M.; Dobiáš, R.; Hoyer, L.L.; Janouškovcová, H.; Kano, R.; Kuklová, I.; Lysková, P.; Machová, L.; Maier, T.; et al. Resolving the taxonomy of emerging zoonotic pathogens in the Trichophyton benhamiae complex. Fungal Divers. 2020, 104, 333–387. [Google Scholar] [CrossRef]
- Peano, A.; Hubka, V.; Cavana, P.; Ottino, C.; Blandolino, M.; Molinar Min, A.R.; Pasquetti, M. Cases of dermatophytosis caused by Trichophyton benhamiae var. luteum and T. europaeum, newly described dermatophytes within the T. benhamiae complex. Vet. Dermatol. 2022, 33, 440–445. [Google Scholar] [CrossRef] [PubMed]
- Bond, R. Superficial veterinary mycoses. Clin. Dermatol. 2010, 28, 226–236. [Google Scholar] [CrossRef] [PubMed]
- Hameed, K.; Ch, F.R.; Nawaz, M.A.; Naqvi, S.M.S.; Gräser, Y.; Kupsch, C.; Pasquetti, M.; Rossi, L.; Min, A.R.M.; Tizzani, P.; et al. Trichophyton verrucosum infection in livestock in the Chitral district of Pakistan. J. Infect. Dev. Ctries. 2017, 11, 326–333. [Google Scholar] [CrossRef] [PubMed][Green Version]
- Ming, P.X.; Ti, Y.L.X.; Bulmer, G.S. Outbreak of Trichophyton verrucosum in China Transmitted from Cows to Humans. Mycopathologia 2006, 161, 225–228. [Google Scholar] [CrossRef]
- Papini, R.; Nardoni, S.; Fanelli, A.; Mancianti, F. High Infection Rate of Trichophyton verrucosum in Calves from Central Italy. Zoonoses Public Health 2009, 56, 59–64. [Google Scholar] [CrossRef]
- Wabacha, J.K.; Gitau, G.K.; Bebora, L.C.; Bwanga, C.O.; Wamuri, Z.M.; Mbithi, P.M. Occurrence of dermatomycosis (ringworm) due to Trichophyton verrucosum in dairy calves and its spread to animal attendants. J. S. Afr. Vet. Assoc. 1998, 69, 172–173. [Google Scholar] [CrossRef][Green Version]
- Gnat, S.; Łagowski, D.; Dyląg, M.; Osińska, M.; Nowakiewicz, A. Airborne dermatophyte propagules concentration in cowsheds as an underestimated reservoir of potential zoonoses. J. Appl. Microbiol. 2022, 133, 544–554. [Google Scholar] [CrossRef]
- Liu, X.; Li, R.; Song, Y.; Wang, A. Generalized tinea corporis caused by Trichophyton verrucosum misdiagnosed as allergic dermatitis and erythema annulare in an adult. Int. J. Infect. Dis. 2021, 113, 339–340. [Google Scholar] [CrossRef]
- Silver, S.; Vinh, D.C.; Embil, J.M. The man who got too close to his cows. Diagn. Microbiol. Infect. Dis. 2008, 60, 419–420. [Google Scholar] [CrossRef]
- Shokri, H.; Khosravi, A. An epidemiological study of animals dermatomycoses in Iran. J. De Mycol. Médicale 2016, 26, 170–177. [Google Scholar] [CrossRef] [PubMed]
- Begum, J.; Kumar, R. Prevalence of dermatophytosis in animals and antifungal susceptibility testing of isolated Trichophyton and Microsporum species. Trop. Anim. Health Prod. 2020, 53, 1–8. [Google Scholar] [CrossRef] [PubMed]
- White, S.D.; Affolter, V.K.; Molinaro, A.M.; Depenbrock, S.M.; Chigerwe, M.; Heller, M.C.; Rowe, J.D. Skin disease in goats (Capra aegagrus hircus): A retrospective study of 358 cases at a university veterinary teaching hospital (1988–2020). Veter. Dermatol. 2021, 33, 227. [Google Scholar] [CrossRef] [PubMed]
- Chah, K.F.; Majiagbe, K.A.; Kazeem, H.M.; Ezeanyika, O.; Agbo, I.C. Dermatophytes from skin lesions of domestic animals in Nsukka, Enugu State, Nigeria. Veter. Dermatol. 2012, 23, 522-e104. [Google Scholar] [CrossRef] [PubMed]
- Mitra, S.K.; Sikdar, A.; Das, P. Dermatophytes isolated from selected ruminants in India. Mycopathologia 1998, 142, 13–16. [Google Scholar] [CrossRef] [PubMed]
- Emenuga, V.N.; Oyeka, C.A. Epidemiology, Health Effects and Treatment of Cutaneous Mycoses of Goat and Sheep from Some Eastern States of Nigeria. Am. J. Infect. Dis. Microbiol. 2013, 1, 106–110. [Google Scholar] [CrossRef]
- Rebell and Taplin. Dermatophytes: Their Recognition and Identification, 2nd ed.; Miami Press Publisher: Coral Gables, FL, USA, 1970. [Google Scholar]
- De Hoog, G.S.; Guarro, J.; Gene, J.F.M. Atlas of Clinical Fungi, 2nd ed.; Virgili, U.R.I., Reus, S., Eds.; Schimmel, Centralbureau Voorcultures: Utrecht, The Netherlands, 2000. [Google Scholar]
- Heath, A.; Bishop, D.M.; Tenquist, J. The prevalence and pathogenicity of Chorioptes bovis (Hering, 1845) and Psoroptes cuniculi (Delafond, 1859) (Acari: Psoroptidae) infestations in feral goats in New Zealand. Veter. Parasitol. 1983, 13, 159–169. [Google Scholar] [CrossRef]
- Alogninouwa, T.; Parent, R. Traitement par l’ivermectine d’une gale mixte (Sarcoptes scabiei et Chorioptes caprae) chez la chèvre au Senegal. Observations cliniques. Bull. Mens. Soc. Vet. Prat. Fr. 1986, 70, 399–403. [Google Scholar]
- Steelman, C.D.; Brown, M.A.; Gbur, E.E.; Tolley, G. The effects of hair density of beef cattle on Haematobia irritans horn fly populations. Med Veter. Èntomol. 1997, 11, 257–264. [Google Scholar] [CrossRef]
- Steelman, C.D.; Brown, A.H.; Gbur, E.E.; Tolley, G. Interactive Response of the Horn Fly (Diptera: Muscidae) and Selected Breeds of Beef Cattle. J. Econ. Èntomol. 1991, 84, 1275–1282. [Google Scholar] [CrossRef]
- Herrera, M.L.; Arguedas, B.E. Comparison of two racial groups of cattle in terms of incidence of ticks (acari: Ixodidae) and torsos (diptera: Ooestridae). Nutr. Anim. Trop. 2014, 8, 1–9. [Google Scholar]
- Perito Cardoso, C.; Da Silva, B.F.; Gonçalves, D.S.; Tagliari, N.J.; Saito, M.E.; Amarane, A.F.T. Resistance against ectoparasites in Crioulo Lageano and crossbred Angus cattle in southern Brazil under natural conditions. Pesqui. Vet. Bras. 2014, 34, 141–146. [Google Scholar]
- Da Silva, A.M.; Alencar, M.; Regitano, L.; Oliveira, M.; Júnior, W.B. Artificial infestation of Boophilus microplus in beef cattle heifers of four genetic groups. Genet. Mol. Biol. 2007, 30, 1150–1155. [Google Scholar] [CrossRef]
- Bemji, M.N.; Ogundiyi, A.I.; Adebambo, O.A.; Dipeolu, M.A.; Onagbesan, O.M.; James, I.J.; Osinowo, O. Prevalence of coat colour phenotypes and its influence on mange infestation of West African Dwarf goat. Bull. Anim. Health Prod. Africa. 2012, 60, 427. [Google Scholar]
- Durdu, M.; Errichetti, E.; Eskiocak, A.H.; Ilkit, M. High accuracy of recognition of common forms of folliculitis by dermoscopy: An observational study. J. Am. Acad. Dermatol. 2019, 81, 463–471. [Google Scholar] [CrossRef]
- Scarampella, F.; Zanna, G.; Peano, A. Dermoscopic features in canine dermatophytosis: Some preliminary observations. Veter. Dermatol. 2016, 28, 255–256. [Google Scholar] [CrossRef]
- Bin Lin, B.; Pattle, N.; Kelley, P.; Jaksic, A.S. Multiplex RT-PCR provides improved diagnosis of skin and nail dermatophyte infections compared to microscopy and culture: A laboratory study and review of the literature. Diagn. Microbiol. Infect. Dis. 2021, 101, 115413. [Google Scholar] [CrossRef]
- Łagowski, D.; Gnat, S.; Nowakiewicz, A.; Trościańczyk, A. Real-Time PCR as an Alternative Technique for Detection of Dermatophytes in Cattle Herds. Animals 2021, 11, 1662. [Google Scholar] [CrossRef]




Publisher’s Note: MDPI stays neutral with regard to jurisdictional claims in published maps and institutional affiliations. |
© 2022 by the authors. Licensee MDPI, Basel, Switzerland. This article is an open access article distributed under the terms and conditions of the Creative Commons Attribution (CC BY) license (https://creativecommons.org/licenses/by/4.0/).
Share and Cite
Rambozzi, L.; Meneguz, P.G.; Molinar Min, A.R.; Pasquetti, M.; Peano, A. Concurrent Chorioptic Mange and Dermatophytosis in Dairy Goats: A Case Report. Vet. Sci. 2022, 9, 677. https://doi.org/10.3390/vetsci9120677
Rambozzi L, Meneguz PG, Molinar Min AR, Pasquetti M, Peano A. Concurrent Chorioptic Mange and Dermatophytosis in Dairy Goats: A Case Report. Veterinary Sciences. 2022; 9(12):677. https://doi.org/10.3390/vetsci9120677
Chicago/Turabian StyleRambozzi, Luisa, Pier Giuseppe Meneguz, Anna Rita Molinar Min, Mario Pasquetti, and Andrea Peano. 2022. "Concurrent Chorioptic Mange and Dermatophytosis in Dairy Goats: A Case Report" Veterinary Sciences 9, no. 12: 677. https://doi.org/10.3390/vetsci9120677
APA StyleRambozzi, L., Meneguz, P. G., Molinar Min, A. R., Pasquetti, M., & Peano, A. (2022). Concurrent Chorioptic Mange and Dermatophytosis in Dairy Goats: A Case Report. Veterinary Sciences, 9(12), 677. https://doi.org/10.3390/vetsci9120677

