Subtotal Ovariohysterectomy Following Fetal Maceration and Pyometra in a Maiden Welsh Pony Mare
Abstract
Simple Summary
Abstract
1. Introduction
2. Case Description
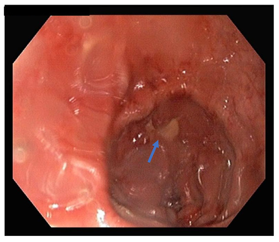
2.1. Presentation
2.2. Treatment
2.3. Surgery
2.4. Outcome
3. Discussion
4. Conclusions
Author Contributions
Funding
Institutional Review Board Statement
Informed Consent Statement
Data Availability Statement
Acknowledgments
Conflicts of Interest
References
- Card, C. Fetal maceration and mummification. In Equine Reproduction, 2nd ed.; Blackwell: Ames, Lowa, 2011; pp. 2373–2375. [Google Scholar]
- Imani, M.; Vosough, D. Death of an Arabian mare due to incomplete treatment of fetal maceration: A case report. Comp. Clin. Pathol. 2018, 27, 1723–1725. [Google Scholar] [CrossRef]
- Zachary, J.F. Pathologic Basis of Veterinary Disease, 6th ed.; Elsevier: St. Louis, MO, USA, 2017. [Google Scholar]
- McNaughten, J.W.; Wallace, R.C. Theriogenology Question of the Month. J. Am. Vet. Med. Assoc. 2019, 254, 209–211. [Google Scholar] [CrossRef] [PubMed]
- Heijltjes, J.M.; Rijkenhuizen, A.B.M.; Hendriks, W.K.; Stout, T.A.E. Removal by laparoscopic partial ovariohysterectomy of a uterine leiomyoma assumed to have caused fetal death in a mare. Equine Vet. Educ. 2009, 21, 198–203. [Google Scholar] [CrossRef]
- Burns, T.E.; Card, C.E. Fetal maceration and retention of fetal bones in a mare. J. Am. Vet. Med. Assoc. 2000, 217, 878–880+845. [Google Scholar] [CrossRef] [PubMed]
- Vézina, J.; Marcoux, M.; Phaneuf, J.B. Fetal maceration in a mare. Can. Vet. J. 1975, 16, 20–21. [Google Scholar] [PubMed]
- Boussauw, B.; Santschi, E.M.; Wilderjans, H.; Troedsson, M.H.T.; Adams, A.P. Uterine drainage under general anaesthesia before ovariohysterectomy in two mares. Vet. Rec. 1998, 142, 582–583. [Google Scholar] [CrossRef] [PubMed]
- Vaughan, J. The equine female; surgery of the cervix and uterus. In Bovine and Equine Urogenital Surgery; Lea & Febiger: Philadelphia, PA, USA, 1980; pp. 225–240. [Google Scholar]
- Walker, D.; Vaughan, J. Surgery of the cervix and uterus. In Bovine and Equine Urogenital Surgery; Philadelphia, Lea & Febiger: Philadelphia, PA, USA, 1980; pp. 85–90. [Google Scholar]
- Kadic, D.T.N.; Bonilla, A.G. A two-step ovariohysterectomy with unilateral left flank laparoscopic assistance in a Quarter Horse mare. Equine Vet. Educ. 2020, 32, e199–e202. [Google Scholar] [CrossRef]
- Santschi, E.M.; Adams, S.B.; Robertson, J.T.; DeBowes, R.M.; Mitten, L.A.; Sojka, J.E. Ovariohysterectomy in six mares. Vet. Surg. 1995, 24, 165–171. [Google Scholar] [CrossRef] [PubMed]
- Kantharaj, S.; Hemalatha, H.; Murugavel, K.; Antoine, D. Surgical Management of Fetal Maceration in a Cow-A Case Report. Intas Polivet 2021, 21, 76. [Google Scholar]
- Serin, G.; Parin, U. Recurrent vaginal discharge causing by retained foetal bones in a bitch: A case report. Veterinární Med. 2009, 54, 287–290. [Google Scholar] [CrossRef]
- Youngquist, R.S.; Threlfall, W.R. Current Therapy in Large Animal Theriogenology; Elsevier Health Sciences: St. Louis, MO, USA, 2006. [Google Scholar]
- Nie, G.J.; Barnes, A.J. Use of prostaglandin E1 to induce cervical relaxation in a maiden mare with post breeding endometritis. Equine Vet. Educ. 2003, 15, 172–174. [Google Scholar] [CrossRef]
- Rötting, A.K.; Freeman, D.E.; Doyle, A.J.; Lock, T.; Sauberli, D. Total and partial ovariohysterectomy in seven mares. Equine Vet. J. 2004, 36, 29–33. [Google Scholar] [CrossRef] [PubMed]
- Hopper, R.M. Bovine Reproduction; John Wiley & Sons: Hoboken, NJ, USA, 2021. [Google Scholar]
- Delling, U.; Howard, R.D.; Pleasant, R.S.; Lanz, O.I. Hand-assisted laparoscopic ovariohysterectomy in the mare. Vet. Surg. 2004, 33, 487–494. [Google Scholar] [CrossRef] [PubMed]
- Woodford, N.S.; Payne, R.J.; McCluskie, L.K. Laparoscopically-assisted ovariohysterectomy in three mares with pyometra. Equine Vet. Educ. 2014, 26, 75–78. [Google Scholar] [CrossRef]
- Gablehouse, K.; Cary, J.; Farnsworth, K.; Ragle, C. Standing laparoscopic-assisted vaginal ovariohysterectomy in a mare. Equine Vet. Educ. 2009, 21, 303–306. [Google Scholar] [CrossRef]
- Herrmann, J.; Sathe, S. Reproductive performance of an Angus cow after removal of a macerated fetus via caudal flank laparotomy and hysterotomy. Clin.Theriogenol. 2014, 6, 47–52. [Google Scholar]
- Purohit, G.N. Surgical Management of a macerated bovine fetus. Rumin. Sci. 2013, 2, 107–108. [Google Scholar]




Publisher’s Note: MDPI stays neutral with regard to jurisdictional claims in published maps and institutional affiliations. |
© 2022 by the authors. Licensee MDPI, Basel, Switzerland. This article is an open access article distributed under the terms and conditions of the Creative Commons Attribution (CC BY) license (https://creativecommons.org/licenses/by/4.0/).
Share and Cite
Nevard, R.; Labens, R.; Stephen, C.P. Subtotal Ovariohysterectomy Following Fetal Maceration and Pyometra in a Maiden Welsh Pony Mare. Vet. Sci. 2022, 9, 584. https://doi.org/10.3390/vetsci9110584
Nevard R, Labens R, Stephen CP. Subtotal Ovariohysterectomy Following Fetal Maceration and Pyometra in a Maiden Welsh Pony Mare. Veterinary Sciences. 2022; 9(11):584. https://doi.org/10.3390/vetsci9110584
Chicago/Turabian StyleNevard, Rory, Raphael Labens, and Cyril P Stephen. 2022. "Subtotal Ovariohysterectomy Following Fetal Maceration and Pyometra in a Maiden Welsh Pony Mare" Veterinary Sciences 9, no. 11: 584. https://doi.org/10.3390/vetsci9110584
APA StyleNevard, R., Labens, R., & Stephen, C. P. (2022). Subtotal Ovariohysterectomy Following Fetal Maceration and Pyometra in a Maiden Welsh Pony Mare. Veterinary Sciences, 9(11), 584. https://doi.org/10.3390/vetsci9110584

