Mott Cell Differentiation in Canine Multicentric B Cell Lymphoma with Cross-Lineage Rearrangement and Lineage Infidelity in a Dog
Abstract
Simple Summary
Abstract
1. Introduction
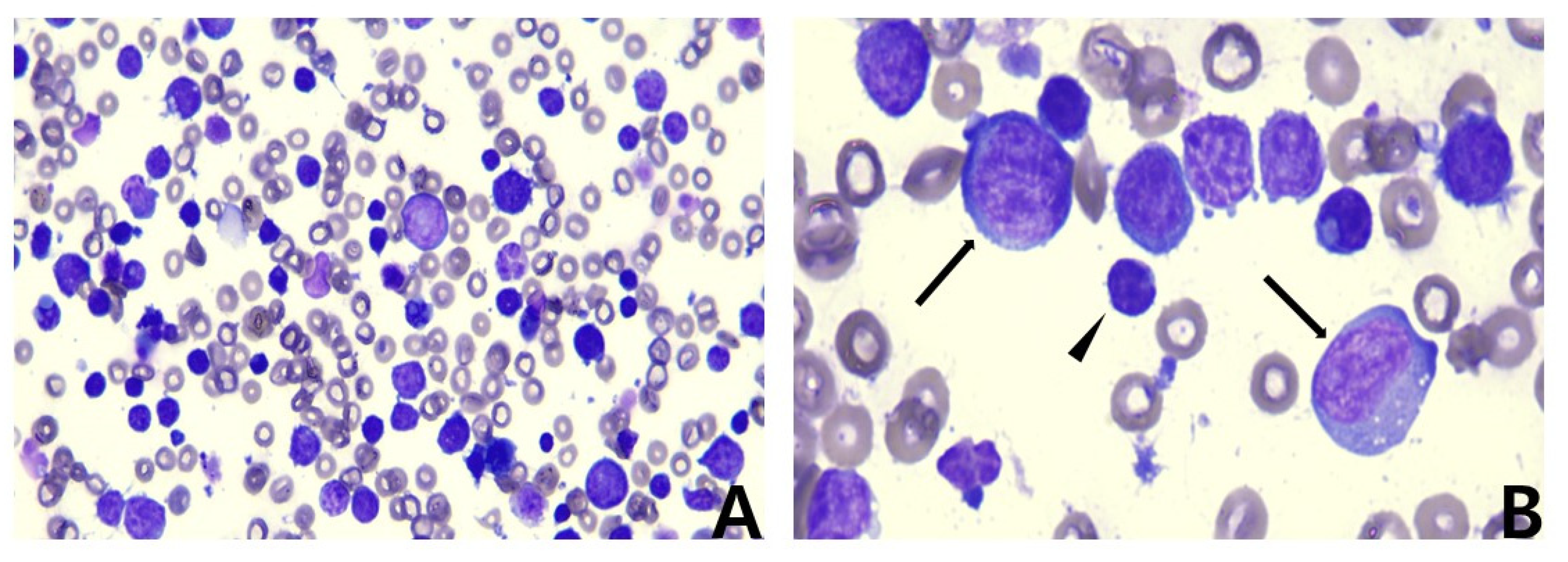
2. Case Presentation
3. Discussion
4. Conclusions
Author Contributions
Funding
Institutional Review Board Statement
Data Availability Statement
Acknowledgments
Conflicts of Interest
References
- Vail, D.M.; Pinkerton, M.; Young, K.M. Hematopoietic Tumors. In Withrow and MacEwen’s Small Animal Clinical Oncology, 6th ed.; Vail, D.M., Thamm, D.H., Liptak, J.M., Eds.; W.B. Saunders: St. Louis, MO, USA, 2019; pp. 688–772. [Google Scholar]
- Marconato, L.; Gelain, M.E.; Comazzi, S. The dog as a possible animal model for human non-Hodgkin lymphoma: A review. Hematol. Oncol. 2013, 31, 1–9. [Google Scholar] [CrossRef] [PubMed]
- Vail, D.M. Hematopoietic tumors. In Textbook of Veterinary Internal Medicine, 8th ed.; Ettinger, S.J., Feldmanm, E., Cote, E., Eds.; Elsevier Health Sciences: Philadelphia, PA, USA, 2017; pp. 2065–2077. [Google Scholar]
- Burkhard, M.J.; Bienzle, D. Making sense of lymphoma diagnostics in small animal patients. Clin. Lab. Med. 2015, 35, 591–607. [Google Scholar] [CrossRef]
- Valli, V.E.; San Myint, M.S.; Barthel, A.; Bienzle, D.; Caswell, J.; Colbatzky, F.; Durham, A.; Ehrhart, E.J.; Johnson, Y.; Jones, C.; et al. Classification of canine malignant lymphomas according to the World Health Organization criteria. Vet. Pathol. 2011, 48, 198–211. [Google Scholar] [CrossRef]
- Chun, R. Lymphoma: Which chemotherapy protocol and why? Top. Companion Anim. Med. 2009, 24, 157–162. [Google Scholar] [CrossRef] [PubMed]
- Jagielski, D.; Lechowski, R.; Hoffmann-Jagielska, M.; Winiarczyk, S. A retrospective study of the incidence and prognostic factors of multicentric lymphoma in dogs (1998–2000). J. Vet. Med. A Physiol. Pathol. Clin. Med. 2002, 49, 419–424. [Google Scholar] [CrossRef] [PubMed]
- Kiupel, M.; Teske, E.; Bostock, D. Prognostic factors for treated canine malignant lymphoma. Vet. Pathol. 1999, 36, 292–300. [Google Scholar] [CrossRef] [PubMed]
- Alanen, A.; Pira, U.; Colman, A.; Franklin, R.M. Mott cells: A model to study immunoglobulin secretion. Eur. J. Immunol. 1987, 17, 1573–1577. [Google Scholar] [CrossRef] [PubMed]
- Bain, B.J. Russell bodies and Mott cells. Am. J. Hematol. 2009, 84, 516. [Google Scholar] [CrossRef]
- Bavle, R.M. Bizzare plasma cell—Mott cell. J. Oral Maxillofac. Pathol. 2013, 17, 2–3. [Google Scholar] [CrossRef]
- Montes-Moreno, S.; Gonzalez-Medina, A.-R.; Rodriguez-Pinilla, S.-M.; Maestre, L.; Sanchez-Verde, L.; Roncador, G.; Mollejo, M.; Garcia, J.F.; Menarguez, J.; Montalban, C.; et al. Aggressive Large B-Cell Lymphoma with Plasma Cell Differentiation: Immunohistochemical Characterization of Plasmablastic Lymphoma and Diffuse Large B-Cell Lymphoma with Partial Plasmablastic Phenotype. Haematologica 2010, 95, 1342–1349. [Google Scholar] [CrossRef] [PubMed]
- Snyman, H.N.; Fromstein, J.M.; Vince, A.R.; Rare, A. A rare Variant of multicentric large B-cell lymphoma with plasmacytoid and Mott cell differentiation in a dog. J. Comp. Pathol. 2013, 148, 329–334. [Google Scholar] [CrossRef] [PubMed]
- Seelig, D.M.; Perry, J.A.; Zaks, K.; Avery, A.C.; Avery, P.R. Monoclonal immunoglobulin protein production in two dogs with secretory B-cell lymphoma with Mott cell differentiation. J. Am. Vet. Med. Assoc. 2011, 239, 1477–1482. [Google Scholar] [CrossRef] [PubMed]
- Kodama, A.; Sakai, H.; Kobayashi, K.; Mori, T.; Maruo, K.; Kudo, T.; Yanai, T.; Masegi, T. B-cell intestinal lymphoma with Mott cell differentiation in a 1-year-old miniature Dachshund. Vet. Clin. Pathol. 2008, 37, 409–415. [Google Scholar] [CrossRef] [PubMed]
- Stacy, N.I.; Nabity, M.B.; Hackendahl, N.; Buote, M.; Ward, J.; Ginn, P.E.; Vernau, W.; Clapp, W.L.; Harvey, J.W. B-Cell Lymphoma with Mott Cell Differentiation in Two Young Adult Dogs. Vet. Clin. Pathol. 2009, 38, 113–120. [Google Scholar] [CrossRef]
- Kol, A.; Christopher, M.M.; Skorupski, K.A.; Tokarz, D.; Vernau, W. B-cell lymphoma with plasmacytoid differentiation, atypical cytoplasmic inclusions, and secondary leukemia in a dog. Vet. Clin. Pathol. 2013, 42, 40–46. [Google Scholar] [CrossRef] [PubMed]
- De Zan, G.; Zappulli, V.; Cavicchioli, L.; Martino, L.D.; Ros, E.; Conforto, G.; Castagnaro, M. Gastric B-Cell Lymphoma with Mott Cell Differentiation in a Dog. J. Vet. Diagn. Investig. 2009, 21, 715–719. [Google Scholar] [CrossRef] [PubMed]
- Yang, Y.; Jung, J.-H.; Hwang, S.-H.; Kim, Y. Canine Multicentric Large B Cell Lymphoma with Increased Mott Cells Diagnosed by Flow Cytometry. J. Vet. Clin. 2021, 38, 36–40. [Google Scholar] [CrossRef]
- Tamizharasan, S.; Vairamuthu, S.; Pazhanivel, N.; Savitha, S.; Chandrasekar, M.; Tirumurugaan, K.G.; Rao, G.V.S. Clinicopathological study of diffuse large B cell lymphoma in a Labrador dog: A case report. Pharma Innov. J. 2022, 11, 509–514. [Google Scholar]
- Rimpo, K.; Hirabayashi, M.; Tanaka, A. Lymphoma in Miniature Dachshunds: A retrospective multicenter study of 108 cases (2006–2018) in Japan. J. Vet. Intern. Med. 2022, 36, 1390–1397. [Google Scholar] [CrossRef] [PubMed]
- Vernau, W.; Moore, P.F. An immunophenotypic study of canine leukemias and preliminary assessment of clonality by polymerase chain reaction. Vet. Immunol. Immunopathol. 1999, 69, 145–164. [Google Scholar] [CrossRef]
- Satterthwaite, A.B.; Burn, T.C.; Le Beau, M.M.; Tenen, D.G. Structure of the gene encoding CD34, a human hematopoietic stem cell antigen. Genomics 1992, 12, 788–794. [Google Scholar] [CrossRef]
- Lana, S.E.; Jackson, T.L.; Burnett, R.C.; Morley, P.S.; Avery, A.C. Utility of polymerase chain reaction for analysis of antigen receptor rearrangement in staging and predicting prognosis in dogs with lymphoma. J. Veter-Intern. Med. 2006, 20, 329–334. [Google Scholar] [CrossRef]
- Krejci, O.; Prouzova, Z.; Horvath, O.; Trka, J.; Hrusak, O. Cutting edge: TCR δ gene is frequently rearranged in adult B lymphocytes. J. Immunol. 2003, 171, 524–527. [Google Scholar] [CrossRef] [PubMed]
- Moore, P.F.; Woo, J.C.; Vernau, W.; Kosten, S.; Graham, P.S. Characterization of feline T cell receptor gamma (TCRG) variable region genes for the molecular diagnosis of feline intestinal T cell lymphoma. Vet. Immunol. Immunopathol. 2005, 106, 167–178. [Google Scholar] [CrossRef]
- Burnett, R.C.; Vernau, W.; Modiano, J.F.; Olver, C.S.; Moore, P.F.; Avery, A.C. Diagnosis of canine lymphoid neoplasia using clonal rearrangements of antigen receptor genes. Vet. Pathol. 2003, 40, 32–41. [Google Scholar] [CrossRef]
- Wilkerson, M.J.; Dolce, K.; Koopman, T.; Shuman, W.; Chun, R.; Garrett, L.; Barber, L.; Avery, A. Lineage differentiation of canine lymphoma/leukemias and aberrant expression of CD molecules. Vet. Immunol. Immunopathol. 2005, 106, 179–196. [Google Scholar] [CrossRef] [PubMed]
- Gelain, M.E.; Mazzilli, M.; Riondato, F.; Marconato, L.; Comazzi, S. Aberrant phenotypes and quantitative antigen expression in different subtypes of canine lymphoma by flow cytometry. Vet. Immunol. Immunopathol. 2008, 121, 179–188. [Google Scholar] [CrossRef] [PubMed]
- Valli, V.E.; Vernau, W.; de Lorimier, L.P.; Graham, P.S.; Moore, P.F. Canine indolent nodular lymphoma. Vet. Pathol. 2006, 43, 241–256. [Google Scholar] [CrossRef] [PubMed]
- Thalheim, L.; Williams, L.E.; Borst, L.B.; Fogle, J.E.; Suter, S.E. Lymphoma immunophenotype of dogs determined by immunohistochemistry, flow cytometry, and polymerase chain reaction for antigen receptor rearrangements. J. Vet. Intern. Med. 2013, 27, 1509–1516. [Google Scholar] [CrossRef] [PubMed]
- Chetty, R.; Gatter, K. CD3: Structure, function, and role of immunostaining in clinical practice. J. Pathol. 1994, 173, 303–307. [Google Scholar] [CrossRef] [PubMed]
- Hartley, G.; Elmslie, R.; Dow, S.; Guth, A. Checkpoint molecule expression by B and T cell lymphomas in dogs. Vet. Comp. Oncol. 2018, 16, 352–360. [Google Scholar] [CrossRef] [PubMed]
- Wolach, O.; Stone, R.M.; How, I. How I Treat mixed-phenotype acute leukemia. Blood 2015, 125, 2477–2485. [Google Scholar] [CrossRef] [PubMed]
- Liu, J.; Tan, X.; Ma, Y.Y.; Liu, Y.; Gao, L.; Gao, L.; Kong, P.; Peng, X.G.; Zhang, X.; Zhang, C. Study on the prognostic value of aberrant antigen in patients with acute B lymphocytic leukemia. Clin. Lymphoma Myeloma Leuk. 2019, 19, e349–e358. [Google Scholar] [CrossRef] [PubMed]
- Legrand, O.; Perrot, J.Y.; Simonin, G.; Baudard, M.; Cadiou, M.; Blanc, C.; Ramond, S.; Viguié, F.; Marie, J.P.; Zittoun, R. Adult biphenotypic acute leukaemia: An entity with poor prognosis which is related to unfavourable cytogenetics and P-glycoprotein over-expression. Br. J. Haematol. 1998, 100, 147–155. [Google Scholar] [CrossRef] [PubMed]
- Nakagawa, Y.; Hasegawa, M.; Kurata, M.; Yamamoto, K.; Abe, S.; Inoue, M.; Takemura, T.; Hirokawa, K.; Suzuki, K.; Kitagawa, M. Expression of IAP-family proteins in adult acute mixed lineage leukemia (AMLL). Am. J. Hematol. 2005, 78, 173–180. [Google Scholar] [CrossRef]
- Tiribelli, M.; Damiani, D.; Masolini, P.; Candoni, A.; Calistri, E.; Fanin, R. Biological and clinical features of T-biphenotypic acute leukaemia: Report from a single centre. Br. J. Haematol. 2004, 125, 814–815. [Google Scholar] [CrossRef]
- Manola, K.N. Cytogenetic abnormalities in acute leukaemia of ambiguous lineage: An overview. Br. J. Haematol. 2013, 163, 24–39. [Google Scholar] [CrossRef]
- Baskin, C.R.; Couto, C.G.; Wittum, T.E. Factors influencing first remission and survival in 145 dogs with lymphoma: A retrospective study. J. Am. Anim. Hosp. Assoc. 2000, 36, 404–409. [Google Scholar] [CrossRef]
- Richards, K.L.; Suter, S.E. Man’s best friend: What can pet dogs teach us about non-Hodgkin’s lymphoma? Immunol. Rev. 2015, 263, 173–191. [Google Scholar] [CrossRef]





| Parameters | Reference Interval | Results |
|---|---|---|
| RBC (×1012/L) | 5.7–8.8 | 4.4 |
| Hct (%) | 37.1–57.0 | 30.9 |
| Hgb (g/dL) | 12.9–18.4 | 9.79 |
| WBC (×109/L) | 5.20–13.90 | 28.85 |
| Neutrophils (×109/L) | 3.90–8.00 | 9.42 |
| Lymphocytes (×109/L) | 1.30–4.10 | 16.39 |
| Monocytes (×109/L) | 0.20–1.10 | 2.59 |
| Eosinophils (×109/L) | 0.00–0.60 | 0.08 |
| Platelets (×109/L) | 143–400 | 370 |
| Antibody | Reactivity | Clone | Fluorochromes | Supplier |
|---|---|---|---|---|
| CD3 | T cells | CA17.2A12 | FITC | Bio-Rad |
| CD5 | T cells | YKIX322.3 | APC-eFluor780 | Thermo Fisher Scientific |
| CD21 | Mature B cells | CA2.1D6 | PE | Bio-Rad |
| CD34 | Hematopoietic stem cells | 1H6 | Alexa Fluor 405 | R&D system |
Publisher’s Note: MDPI stays neutral with regard to jurisdictional claims in published maps and institutional affiliations. |
© 2022 by the authors. Licensee MDPI, Basel, Switzerland. This article is an open access article distributed under the terms and conditions of the Creative Commons Attribution (CC BY) license (https://creativecommons.org/licenses/by/4.0/).
Share and Cite
Kim, W.-S.; Song, K.-H.; Bae, H.; Yu, D.; Song, J.-H. Mott Cell Differentiation in Canine Multicentric B Cell Lymphoma with Cross-Lineage Rearrangement and Lineage Infidelity in a Dog. Vet. Sci. 2022, 9, 549. https://doi.org/10.3390/vetsci9100549
Kim W-S, Song K-H, Bae H, Yu D, Song J-H. Mott Cell Differentiation in Canine Multicentric B Cell Lymphoma with Cross-Lineage Rearrangement and Lineage Infidelity in a Dog. Veterinary Sciences. 2022; 9(10):549. https://doi.org/10.3390/vetsci9100549
Chicago/Turabian StyleKim, Woo-Sub, Kun-Ho Song, Hyeona Bae, DoHyeon Yu, and Joong-Hyun Song. 2022. "Mott Cell Differentiation in Canine Multicentric B Cell Lymphoma with Cross-Lineage Rearrangement and Lineage Infidelity in a Dog" Veterinary Sciences 9, no. 10: 549. https://doi.org/10.3390/vetsci9100549
APA StyleKim, W.-S., Song, K.-H., Bae, H., Yu, D., & Song, J.-H. (2022). Mott Cell Differentiation in Canine Multicentric B Cell Lymphoma with Cross-Lineage Rearrangement and Lineage Infidelity in a Dog. Veterinary Sciences, 9(10), 549. https://doi.org/10.3390/vetsci9100549

