Successful Treatment of Mucocutaneous Lupus Erythematosus in a Dog with Prednisolone, Mycophenolate Mofetil and Tacrolimus
Abstract
1. Introduction
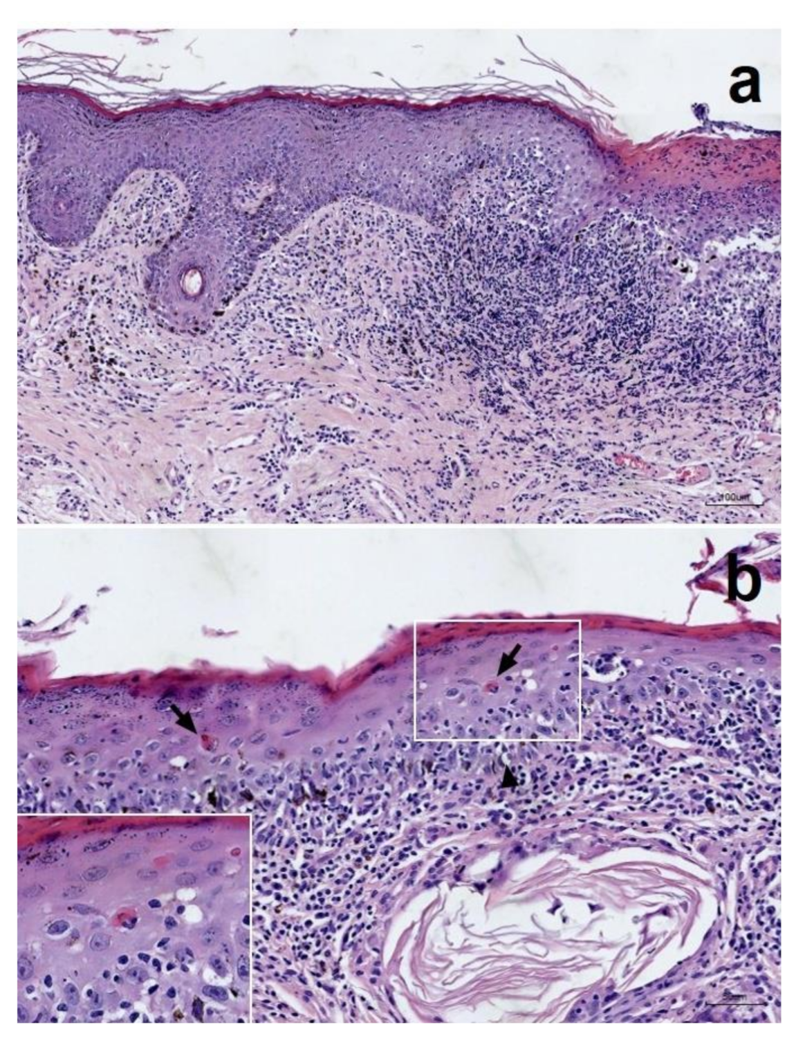
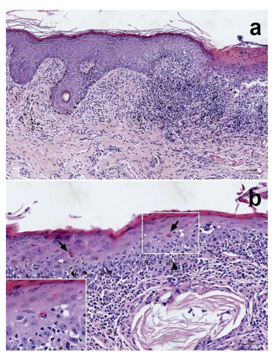
2. Case History
3. Discussion
4. Conclusions
Author Contributions
Funding
Institutional Review Board Statement
Informed Consent Statement
Data Availability Statement
Conflicts of Interest
References
- Burge, S.M.; Frith, P.A.; Juniper, R.P.; Wojnarowska, F. Mucosal involvement in systemic and chronic cutaneous lupus erythematosus. Br. J. Dermatol. 1989, 121, 727–741. [Google Scholar] [CrossRef] [PubMed]
- Poirier, N. Discoid lupus erythematosus. Can. Vet. J. 1995, 36, 493. [Google Scholar] [PubMed]
- Olivry, T.; Linder, K.E.; Banovic, F. Cutaneous lupus erythematosus in dogs: A comprehensive review. BMC Vet. Res. 2018, 14, 132. [Google Scholar] [CrossRef] [PubMed]
- Olivry, T.; Rossi, M.A.; Banovic, F.; Linder, K.E. Mucocutaneous lupus erythematosus in dogs (21 cases). Vet. Dermatol. 2015, 26, 256. [Google Scholar] [CrossRef] [PubMed]
- Ackermann, A.L.; May, E.R.; Frank, L.A. Use of mycophenolate mofetil to treat immune-mediated skin disease in 14 dogs—A retrospective evaluation. Vet. Dermatol. 2017, 28, 195. [Google Scholar] [CrossRef] [PubMed]
- Ferrigno, A.; Hoover, K.; Blubaugh, A.; Rissi, D.; Banovic, F. Treatment of exfoliative cutaneous lupus erythematosus in a German Shorthaired Pointer dog with mycophenolate mofetil. Vet. Dermatol. 2019, 30, 350. [Google Scholar] [CrossRef] [PubMed]
- Ginel, P.J.; Blanco, B.; Lucena, R.; Jiménez, C.R.; Peinado-Guitart, C.; Mozos, E. Steroid-sparing effect of mycophenolate mofetil in the treatment of a subepidermal blistering autoimmune disease in a dog. J. S. Afr. Vet. Assoc. 2010, 81, 253–257. [Google Scholar] [CrossRef] [PubMed]
- Wang, A.; Smith, J.R.; Creevy, K.E. Treatment of canine idiopathic immune-mediated haemolytic anaemia with mycophenolate mofetil and glucocorticoids: 30 cases (2007–2011). J. Small Anim. Pract. 2013, 54, 399–404. [Google Scholar] [CrossRef] [PubMed]
- Griffies, J.D.; Mendelsohn, C.L.; Rosenkrantz, W.S.; Muse, R.; Boord, M.J.; Griffin, C.E. Topical 0.1% tacrolimus for the treatment of discoid lupus erythematosus and pemphigus erythematosus in dogs. J. Am. Anim. Hosp. Assoc. 2004, 40, 29–41. [Google Scholar] [CrossRef] [PubMed]
- Lehner, G.M.; Linek, M. A case of vesicular cutaneous lupus erythematosus in a Border collie successfully treated with topical tacrolimus and nicotinamide–tetracycline. Vet. Dermatol. 2013, 24, 639. [Google Scholar] [CrossRef] [PubMed]
- Olivry, T.; Dunston, S.M.; Schachter, M.; Xu, L.; Nguyen, N.; Marinkovich, M.P.; Chan, L.S. A spontaneous canine model of mucous membrane (cicatricial) pemphigoid, an autoimmune blistering disease affecting mucosae and mucocutaneous junctions. J. Autoimmun. 2001, 16, 411–421. [Google Scholar] [CrossRef] [PubMed]
- Schrauwen, E.; Junius, G.; Swinnen, C.; Maenhout, T. Dyschezia in dogs with discrete erosive anal disease and histological lesions suggestive of mucocutaneous lupus erythematosus. Vet. Rec. 2004, 154, 752–754. [Google Scholar] [CrossRef] [PubMed]
- Adolph, E.R.; Scott, D.W.; Miller, W.H.; Erb, H.N. Efficacy of tetracycline and niacinamide for the treatment of cutaneous lupus erythematosus in 17 dogs (1997–2011). Jpn. J. Vet. Dermatol. 2014, 20, 9–15. [Google Scholar] [CrossRef][Green Version]
- Balazs, V. Caso clínico: Lupus eritematoso mucocutáneo en un perro. Rev. Hosp. Vet. 2017, 9, 6–11. [Google Scholar]
- Mauldin, E.A.; Morris, D.O.; Brown, D.C.; Casal, M.L. Exfoliative cutaneous lupus erythematosus in German Shorthaired Pointer dogs: Disease development, progression and evaluation of three immunomodulatory drugs (ciclosporin, hydroxychloroquine, and adalimumab) in a controlled environment. Vet. Dermatol. 2010, 21, 373–382. [Google Scholar] [CrossRef] [PubMed]
- Banovic, F.; Olivry, T.; Linder, K.E. Ciclosporin therapy for canine generalized discoid lupus erythematosus refractory to doxycycline and niacinamide. Vet. Dermatol. 2014, 25, 483. [Google Scholar] [CrossRef] [PubMed]
- Banovic, F.; Robson, D.; Linek, M.; Olivry, T. Therapeutic effectiveness of calcineurin inhibitors in canine vesicular cutaneous lupus erythematosus. Vet. Dermatol. 2017, 28, 493. [Google Scholar] [CrossRef] [PubMed]
- Hao, J.C.; Wang, W.T.; Yan, L.N.; Li, B.; Wen, T.F.; Yang, J.Y.; Xu, M.Q.; Zhao, J.C.; Wei, Y.G. Effect of low-dose tacrolimus with mycophenolate mofetil on renal function following liver transplantation. World J. Gastroenterol. 2014, 20, 11356–11362. [Google Scholar] [CrossRef] [PubMed]
- Kobashigawa, J.A.; Miller, L.W.; Russell, S.D.; Ewald, G.A.; Zucker, M.J.; Goldberg, L.R.; Eisen, H.J.; Salm, K.; Tolzman, D.; Gao, J.; et al. Tacrolimus with mycophenolate mofetil (MMF) or sirolimus vs. cyclosporine with MMF in cardiac transplant patients: 1-year report. Am. J. Transplant. 2006, 6, 1377–1386. [Google Scholar] [CrossRef] [PubMed]



Publisher’s Note: MDPI stays neutral with regard to jurisdictional claims in published maps and institutional affiliations. |
© 2021 by the authors. Licensee MDPI, Basel, Switzerland. This article is an open access article distributed under the terms and conditions of the Creative Commons Attribution (CC BY) license (https://creativecommons.org/licenses/by/4.0/).
Share and Cite
Hyun, J.-E.; Kang, Y.-H.; Hwang, C.-Y. Successful Treatment of Mucocutaneous Lupus Erythematosus in a Dog with Prednisolone, Mycophenolate Mofetil and Tacrolimus. Vet. Sci. 2021, 8, 72. https://doi.org/10.3390/vetsci8050072
Hyun J-E, Kang Y-H, Hwang C-Y. Successful Treatment of Mucocutaneous Lupus Erythematosus in a Dog with Prednisolone, Mycophenolate Mofetil and Tacrolimus. Veterinary Sciences. 2021; 8(5):72. https://doi.org/10.3390/vetsci8050072
Chicago/Turabian StyleHyun, Jae-Eun, Yeong-Hun Kang, and Cheol-Yong Hwang. 2021. "Successful Treatment of Mucocutaneous Lupus Erythematosus in a Dog with Prednisolone, Mycophenolate Mofetil and Tacrolimus" Veterinary Sciences 8, no. 5: 72. https://doi.org/10.3390/vetsci8050072
APA StyleHyun, J.-E., Kang, Y.-H., & Hwang, C.-Y. (2021). Successful Treatment of Mucocutaneous Lupus Erythematosus in a Dog with Prednisolone, Mycophenolate Mofetil and Tacrolimus. Veterinary Sciences, 8(5), 72. https://doi.org/10.3390/vetsci8050072

