A Case of Infectious Laryngotracheitis in an Organic Broiler Chicken Farm in Greece
Abstract
1. Introduction
2. Case History
2.1. Flock History
2.2. Clinical Manifestation
2.3. Gross Findings
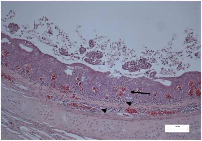
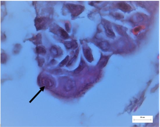
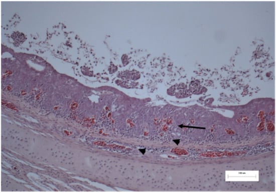
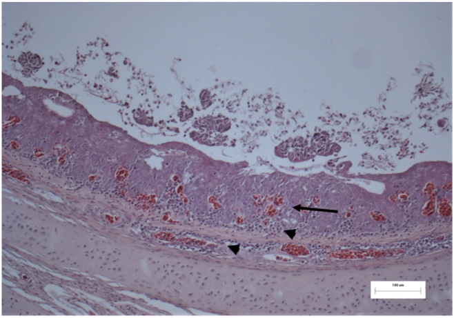
2.4. Histopathological Examination
2.5. Molecular Examination
2.6. Differential Diagnosis
2.7. Therapeutic Approach
3. Discussion
Author Contributions
Funding
Institutional Review Board Statement
Informed Consent Statement
Data Availability Statement
Conflicts of Interest
References
- Ou, S.-C.; Giambrone, J.J. Infectious laryngotracheitis virus in chickens. World J. Virol. 2012, 1, 142–149. [Google Scholar] [CrossRef] [PubMed]
- Gowthaman, V.; Kumar, S.; Koul, M.; Dave, U.; Murthy, T.R.G.K.; Munuswamy, P.; Tiwari, R.; Karthik, K.; Dhama, K.; Michalak, I.; et al. Infectious laryngotracheitis: Etiology, epidemiology, pathobiology, and advances in diagnosis and control—A comprehensive review. Vet. Q. 2020, 40, 140–161. [Google Scholar] [CrossRef] [PubMed]
- Dormitorio, T.V.; Giambrone, J.J.; Macklin, K.S. Detection and Isolation of Infectious Laryngotracheitis Virus on a Broiler Farm After a Disease Outbreak. Avian Dis. 2013, 57, 803–807. [Google Scholar] [CrossRef] [PubMed]
- Dufour-Zavala, L. Epizootiology of Infectious Laryngotracheitis and Presentation of an Industry Control Program. Avian Dis. 2008, 52, 1–7. [Google Scholar] [CrossRef]
- Chacón, J.L.; Nuñez, L.; Vejarano, M.P.; Parra, S.H.S.; Astolfi-Ferreira, C.S.; Ferreira, A.J.P. Persistence and spreading of field and vaccine strains of infectious laryngotracheitis virus (ILTV) in vaccinated and unvaccinated geographic regions, in Brazil. Trop. Anim. Heal. Prod. 2015, 47, 1101–1108. [Google Scholar] [CrossRef]
- Pattison, M.; McMullin, P.; Bradbury, J.; Alexander, D. Poultry Diseases, 6th ed.; Saunders Elsevier: Philadelphia, PA, USA, 2008. [Google Scholar]
- Hidalgo, H. Infectious laryngotracheitis: A review. Revista Brasileira de Ciência Avícola 2003, 5, 157–168. [Google Scholar] [CrossRef]
- Oldoni, I.; Rodríguez-Avila, A.; Riblet, S.; García, M. Characterization of Infectious Laryngotracheitis Virus (ILTV) Isolates from Commercial Poultry by Polymerase Chain Reaction and Restriction Fragment Length Polymorphism (PCR-RFLP). Avian Dis. 2008, 52, 59–63. [Google Scholar] [CrossRef]
- Sellers, H.S.; Garcia, M.; Glisson, J.R.; Brown, T.P.; Sander, J.S.; Guy, J.S. Mild Infectious Laryngotracheitis in Broilers in the Southeast. Avian Dis. 2004, 48, 430–436. [Google Scholar] [CrossRef]
- Bagust, T.J.; Johnson, M.A. Avian infectious laryngotracheitis: Virus-host interactions in relation to prospects for eradication. Avian Pathol. 1995, 24, 373–391. [Google Scholar] [CrossRef]
- Molini, U.; Aikukutu, G.; Khaiseb, S.; Kahler, B.; Van Der Westhuizen, J.; Cattoli, G.; Dundon, W.G. Investigation of infectious laryngotracheitis outbreaks in Namibia in 2018. Trop. Anim. Heal. Prod. 2019, 51, 2105–2108. [Google Scholar] [CrossRef]
- Dolka, I.; Sapierzyński, R.; Bielecki, W.; Malicka, E.; Żbikowski, A.; Szeleszczuk, P. Histopathology in diagnosis of broiler chicken and layer diseases—Review of cases 1999–2010. Pol. J. Vet. Sci. 2012, 15, 773–779. [Google Scholar] [CrossRef][Green Version]
- Swayne, D.E.; Boulianne, M.; Logue, C.M.; Mcdougald, L.R.; Nair, V.; Suarez, D.L. Diseases of Poultry, 14th ed.; Wiley-Blackwell: Hoboken, NJ, USA, 2020; pp. 189–209. [Google Scholar]
- Callison, S.A.; Hilt, D.A.; Boynton, T.O.; Sample, B.F.; Robison, R.; Swayne, D.E.; Jackwood, M.W. Development and evaluation of a real-time Taqman RT-PCR assay for the detection of infectious bronchitis virus from infected chickens. J. Virol. Methods 2006, 138, 60–65. [Google Scholar] [CrossRef]
- Han, M.G.; Kim, S.J. Analysis of Korean strains of infectious laryngotracheitis virus by nucleotide sequences and restriction fragment length polymorphism. Vet. Microbiol. 2001, 83, 321–331. [Google Scholar] [CrossRef]
- Neff, C.; Sudler, C.; Hoop, R.K. Characterization of Western European Field Isolates and Vaccine Strains of Avian Infectious Laryngotracheitis Virus by Restriction Fragment Length Polymorphism and Sequence Analysis. Avian Dis. 2008, 52, 278–283. [Google Scholar] [CrossRef]
- Yang, Z.; Murata, S.; Fujisawa, S.; Takehara, M.; Katakura, K.; Hmoon, M.M.; Win, S.Y.; Bawm, S.; Konnai, S.; Ohashi, K. Molecular detection and genetic characterization of infectious laryngotracheitis virus in poultry in Myanmar. BMC Vet. Res. 2020, 16, 1–10. [Google Scholar] [CrossRef]
- Menendez, K.R.; García, M.; Spatz, S.; Tablante, N.L. Molecular epidemiology of infectious laryngotracheitis: A review. Avian Pathol. 2014, 43, 108–117. [Google Scholar] [CrossRef]
- García, M. Current and future vaccines and vaccination strategies against infectious laryngotracheitis (ILT) respiratory disease of poultry. Vet. Microbiol. 2017, 206, 157–162. [Google Scholar] [CrossRef]
- García, M.; Zavala, G. Commercial Vaccines and Vaccination Strategies Against Infectious Laryngotracheitis: What We Have Learned and Knowledge Gaps That Remain. Avian Dis. 2019, 63, 325–334. [Google Scholar] [CrossRef]
- Wolfrum, N. Infectious laryngotracheitis: An update on current approaches for prevention of an old disease. J. Anim. Sci. 2020, 98, S27–S35. [Google Scholar] [CrossRef]
- Esaki, M.; Noland, L.; Eddins, T.; Godoy, A.; Saeki, S.; Saitoh, S.; Yasuda, A.; Dorsey, K.M. Safety and Efficacy of a Turkey Herpesvirus Vector Laryngotracheitis Vaccine for Chickens. Avian Dis. 2013, 57, 192–198. [Google Scholar] [CrossRef]
- Agnew-Crumpton, R.; Vaz, P.K.; Devlin, J.M.; O’Rourke, D.; Blacker-Smith, H.P.; Konsak-Ilievski, B.; Hartley, C.A.; Noormohammadi, A.H. Spread of the newly emerging infectious laryngotracheitis viruses in Australia. Infect. Genet. Evol. 2016, 43, 67–73. [Google Scholar] [CrossRef] [PubMed]
- Parra, S.; Nuñez, L.; Ferreira, A. Epidemiology of Avian Infectious Laryngotracheitis with Special Focus to South America: An update. Braz. J. Poult. Sci. 2016, 18, 551–562. [Google Scholar] [CrossRef]
- Sary, K.; Chénier, S.; Gagnon, C.A.; Shivaprasad, H.L.; Sylvestre, D.; Boulianne, M. Esophagitis and Pharyngitis Associated with Avian Infectious Laryngotracheitis in Backyard Chickens: Two Cases. Avian Dis. 2017, 61, 255–260. [Google Scholar] [CrossRef] [PubMed]
- Al-Saadi, M.H.A. Multilocus analysis of Gallid herpesvirus 1 in layer chickens in Iraq. Vet. World 2020, 13, 170–176. [Google Scholar] [CrossRef]
- Bayoumi, M.; El-Saied, M.; Amer, H.; Bastami, M.; Sakr, E.E.; El-Mahdy, M. Molecular characterization and genetic diversity of the infectious laryngotracheitis virus strains circulating in Egypt during the outbreaks of 2018 and 2019. Arch. Virol. 2020, 165, 661–670. [Google Scholar] [CrossRef]
- Oldoni, I.; Rodríguez-Avila, A.; Riblet, S.M.; Zavala, G.; García, M. Pathogenicity and growth characteristics of selected infectious laryngotracheitis virus strains from the United States. Avian Pathol. 2009, 38, 47–53. [Google Scholar] [CrossRef]
- Pitesky, M.; Chin, R.P.; Carnaccini, S.; Sentíes–Cué, C.G.; Charlton, B.; Woolcock, P.R.; Shivaprasad, H.L. Spatial and Temporal Epidemiology of Infectious Laryngotracheitis in Central California: 2000–2012. Avian Dis. 2014, 58, 558–565. [Google Scholar] [CrossRef]
- OIE. World Animal Health Information System. Available online: https://www.oie.int/wahis_2/public/wahid.php/Diseaseinformation/statuslist (accessed on 15 February 2021).
- Menasse, I.; Seimenis, A.; Veimos, G.; Loucas, S. The Avian Infectious Laryngotracheitis in Greece. Epizootiological data, aspect of the disease and measures of control. J. Hell. Vet. Med Soc. 1977, 28, 3–18. [Google Scholar]
- Koutoulis, K. Present and future of poultry industry in Greece. In Proceedings of the 12th Pan-Hellenic Veterinary Congress, Athens, Greece, 5–8 April 2012. [Google Scholar]
- Kumar, S.; Stecher, G.; Tamura, K. MEGA7: Molecular Evolutionary Genetics Analysis Version 7.0 for Bigger Datasets. Mol. Biol. Evol. 2016, 33, 1870–1874. [Google Scholar] [CrossRef]
- Moreno, A.; Piccirillo, A.; Mondin, A.; Morandini, E.; Gavazzi, L.; Cordioli, P. Epidemic of Infectious Laryngotracheitis in Italy: Characterization of Virus Isolates by PCR–Restriction Fragment Length Polymorphism and Sequence Analysis. Avian Dis. 2010, 54, 1172–1177. [Google Scholar] [CrossRef]
- Volkova, V.; Thornton, D.; Hubbard, S.A.; Magee, D.; Cummings, T.; Luna, L.; Watson, J.; Wills, R. Factors Associated with Introduction of Infectious Laryngotracheitis Virus on Broiler Farms During a Localized Outbreak. Avian Dis. 2012, 56, 521–528. [Google Scholar] [CrossRef]
- Tesfaye, A.; Sahle, M.; Sori, T.; Kassa, T.; Garoma, A.; Koran, T.; Dima, C.; Guyassa, C.; Hilu, H.; Guta, S.; et al. Infectious Laryngotracheitis Virus in Commercial and Backyard Chicken Production Systems in Central and South Ethiopia (First report) ILT in Ethiopian Poultry Production. J. Appl. Poult. Res. 2019, 28, 1324–1329. [Google Scholar] [CrossRef]
- Loncoman, C.A.; Vaz, P.K.; Coppo, M.J.; Hartley, C.A.; Morera, F.J.; Browning, G.F.; Devlin, J.M. Natural recombination in alphaherpesviruses: Insights into viral evolution through full genome sequencing and sequence analysis. Infect. Genet. Evol. 2017, 49, 174–185. [Google Scholar] [CrossRef]
- Georgopoulou, I.; Tsiouris, V. The potential role of migratory birds in the transmission of zoonoses. Vet. Ital. 2010, 44, 671–677. [Google Scholar]
- Li, H.; Wang, F.; Han, Z.; Gao, Q.; Li, H.; Shao, Y.; Sun, N.; Liu, S. Genome-Wide Gene Expression Analysis Identifies the Proto-oncogene Tyrosine-Protein Kinase Src as a Crucial Virulence Determinant of Infectious Laryngotracheitis Virus in Chicken Cells. J. Virol. 2015, 90, 9–21. [Google Scholar] [CrossRef][Green Version]
- Loncoman, C.A. Recombination of Infectious Laryngotracheitis Virus (ILTV) and the Role of Vaccination. Ph.D. Thesis, The University of Melbourne, Melbourne, Australia, 2018. [Google Scholar]
- Alaraji, F.; Hammadi, H.; Abed, A.A.; Khudhair, Y.I. Molecular detection and phylogenetic tree of infectious laryngotracheitis virus in layers in Al-Diwaniyah province, Iraq. Vet. World 2019, 12, 605–608. [Google Scholar] [CrossRef]
- Piccirillo, A.; Lavezzo, E.; Niero, G.; Moreno, A.; Massi, P.; Franchin, E.; Toppo, S.; Salata, C.; Palù, G. Full Genome Sequence-Based Comparative Study of Wild-Type and Vaccine Strains of Infectious Laryngotracheitis Virus from Italy. PLoS ONE 2016, 11, e0149529. [Google Scholar] [CrossRef]
- Brugère-Picoux, J.; Vaillancourt, J.-P.; Shivaprasad, H.L.; Venne, D.; Bouzouaia, M. Manual of Poultry Diseases; AFAS: Paris, France, 2015; pp. 221–226. [Google Scholar]




| Acc. No. | Strain ID | Country | Year | Reference |
|---|---|---|---|---|
| MF405080 | Rus/Ck/Penza/2013/2701 | Russia | 2013 | - |
| MG775240 | TN 41/17 | Tunisia | 2017 | - |
| EU360946 | CH04 | Switzerland | Unknown | [16] |
| HM230794 | 288269/2007 | Italy | 2007 | [33] |
| KP677883 | 193435/07 | Italy | 2007 | [34] |
| KP677884 | 757/11 | Italy | 2007 | [34] |
| KP677885 | 4787/80 | Italy | 2007 | [34] |
| GenBank Acc. No. | Strain ID | 29 | 428 | 513 | 540 | 643 | 650 | 965 | 1014 | 1025 |
|---|---|---|---|---|---|---|---|---|---|---|
| D5203/3/4 | C | T | A | T | T | G | C | T | C | |
| D5203/3/5 | ∙ | ∙ | ∙ | ∙ | ∙ | ∙ | ∙ | ∙ | ∙ | |
| MF405080 | Rus/Ck/Penza/2013/2701 | ∙ | ∙ | ∙ | ∙ | ∙ | ∙ | ∙ | ∙ | ∙ |
| MG775240 | TN 41/17 | ∙ | ∙ | ∙ | ∙ | ∙ | ∙ | ∙ | ∙ | ∙ |
| EU360946 | CH04 | ∙ | ∙ | ∙ | ∙ | ∙ | ∙ | ∙ | ∙ | ∙ |
| HM230794 | 288269/2007 | ∙ | ∙ | ∙ | ∙ | ∙ | ∙ | ∙ | ∙ | ∙ |
| KP677883 | 193435/07 | ∙ | ∙ | ∙ | ∙ | ∙ | ∙ | ∙ | ∙ | ∙ |
| KP677884 | 757/11 | ∙ | ∙ | ∙ | ∙ | ∙ | ∙ | ∙ | ∙ | ∙ |
| KP677885 | 4787/80 | ∙ | ∙ | ∙ | ∙ | ∙ | ∙ | ∙ | ∙ | ∙ |
| EU360950 | TCO | ∙ | ∙ | ∙ | C | ∙ | ∙ | ∙ | ∙ | ∙ |
| EU360949 | CEO | ∙ | ∙ | ∙ | C | ∙ | ∙ | ∙ | ∙ | ∙ |
| JN580317 | CEO_low_passage | ∙ | ∙ | ∙ | C | ∙ | ∙ | ∙ | ∙ | ∙ |
| JN580316 | CEO_high_passage | ∙ | ∙ | ∙ | C | ∙ | ∙ | ∙ | ∙ | ∙ |
| JQ083494 | vaccine_Laryngo_Vac | ∙ | ∙ | ∙ | C | ∙ | ∙ | ∙ | ∙ | ∙ |
| EU423895 | SL-Laryngo-vac | ∙ | ∙ | ∙ | C | ∙ | ∙ | ∙ | C | ∙ |
| EU423888 | FDL-Laryngo-vac | ∙ | C | T | C | ∙ | ∙ | ∙ | ∙ | ∙ |
| EU423897 | SP-Trachivax | ∙ | ∙ | ∙ | C | ∙ | A | ∙ | ∙ | ∙ |
| EU423891 | Isbi-Bio-Laryngo | A | ∙ | ∙ | C | ∙ | ∙ | T | ∙ | ∙ |
| EU423890 | II-Nobilis-ILT | ∙ | ∙ | ∙ | C | C | ∙ | ∙ | ∙ | T |
| KP677881 | Nobilis_Laringovac | ∙ | ∙ | ∙ | C | ∙ | ∙ | ∙ | ∙ | ∙ |
| KP677882 | Poulvac_ILT | ∙ | ∙ | ∙ | C | ∙ | ∙ | ∙ | ∙ | ∙ |
| HQ630064 | Serva | ∙ | ∙ | ∙ | C | ∙ | ∙ | ∙ | ∙ | ∙ |
Publisher’s Note: MDPI stays neutral with regard to jurisdictional claims in published maps and institutional affiliations. |
© 2021 by the authors. Licensee MDPI, Basel, Switzerland. This article is an open access article distributed under the terms and conditions of the Creative Commons Attribution (CC BY) license (https://creativecommons.org/licenses/by/4.0/).
Share and Cite
Tsiouris, V.; Mavromati, N.; Kiskinis, K.; Mantzios, T.; Homonnay, Z.G.; Mato, T.; Albert, M.; Kiss, I.; Georgopoulou, I. A Case of Infectious Laryngotracheitis in an Organic Broiler Chicken Farm in Greece. Vet. Sci. 2021, 8, 64. https://doi.org/10.3390/vetsci8040064
Tsiouris V, Mavromati N, Kiskinis K, Mantzios T, Homonnay ZG, Mato T, Albert M, Kiss I, Georgopoulou I. A Case of Infectious Laryngotracheitis in an Organic Broiler Chicken Farm in Greece. Veterinary Sciences. 2021; 8(4):64. https://doi.org/10.3390/vetsci8040064
Chicago/Turabian StyleTsiouris, Vasileios, Natalia Mavromati, Konstantinos Kiskinis, Tilemachos Mantzios, Zalan G. Homonnay, Tamas Mato, Mihaly Albert, Istvan Kiss, and Ioanna Georgopoulou. 2021. "A Case of Infectious Laryngotracheitis in an Organic Broiler Chicken Farm in Greece" Veterinary Sciences 8, no. 4: 64. https://doi.org/10.3390/vetsci8040064
APA StyleTsiouris, V., Mavromati, N., Kiskinis, K., Mantzios, T., Homonnay, Z. G., Mato, T., Albert, M., Kiss, I., & Georgopoulou, I. (2021). A Case of Infectious Laryngotracheitis in an Organic Broiler Chicken Farm in Greece. Veterinary Sciences, 8(4), 64. https://doi.org/10.3390/vetsci8040064

