Enhanced Asymptomatic Systemic Infection Caused by Plesiomonas shigelloides in a Captive Gray Wolf (Canis lupus)
Abstract
:1. Introduction
2. Case Presentation
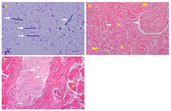
2.1. Case Description and Clinical Findings
2.2. Molecular Analysis
3. Discussion
4. Conclusions
Author Contributions
Funding
Institutional Review Board Statement
Informed Consent Statement
Data Availability Statement
Acknowledgments
Conflicts of Interest
References
- Janda, J.M.; Abbott, S.L.; Mclver, C.J. Plesiomonas shigelloides revisited. Clin. Microbiol. Rev. 2016, 29, 349–374. [Google Scholar] [CrossRef] [PubMed] [Green Version]
- Matsuyama, R.; Kuninaga, N.; Morimoto, T.; Shibano, T.; Sudo, A.; Sudo, K.; Suzuki, M.; Asai, T. Isolation and antimicrobial susceptibility of Plesiomonas shigelloides from great cormorants (Phalacrocorax carbo hanedae) in Gifu and Shiga Prefectures, Japan. J. Vet. Med. Sci. 2015, 77, 1179–1181. [Google Scholar] [CrossRef] [PubMed] [Green Version]
- Nimmervoll, H.; Wenker, C.; Robert, N.; Albini, S. Septicemia caused by Edwardsiella tarda and Plesiomonas shigelloides in captive penguin chicks. Schweiz. Arch. Tierheilk. 2011, 153, 117–121. [Google Scholar] [CrossRef] [PubMed]
- Johnston, M.A.; Porter, D.E.; Scott, G.I.; Rhodes, W.E.; Webster, L.F. Isolation of feacal coliform bacteria from the American alligator (Alligator missippiensis). J. Appl. Microbiol. 2010, 108, 965–973. [Google Scholar] [CrossRef] [PubMed]
- Ha, G.Y.; Suh, J.I.; Chong, Y. A case of septicemia by Plesiomonas shigelloides. Korean J. Clin. Pathol. 1998, 18, 598–602. [Google Scholar]
- Pence, M.A. The brief case: Wound infection with Plesiomonas shigelloides following a freshwater injury. J. Clin. Microbiol. 2016, 54, 1180–1182. [Google Scholar] [CrossRef] [PubMed] [Green Version]
- Samannodi, M.; Zhao, A.; Nemshah, Y.; Shiley, K. Plesiomonas shigelloides septic shock leading to death of postsplectomy patient with pyruvate kinase deficiency and hemochromatosis. Case Rep. Infec. Dis. 2016, 2016, 1538501. [Google Scholar]
- Wong, T.Y.; Tsui, H.Y.; So, M.K.; Lai, J.Y.; Lai, S.T.; Tse, C.W.S.; Ng, T.K. Plesiomonas shigelloides infection in Hong Kong: Retrospectively study of 167 laboratory-confirmed cases. Hong Kong Med. J. 2000, 6, 375–380. [Google Scholar] [PubMed]
- Kim, K.T.; Lee, S.H.; Kwak, D. Prevalence biochemical characteristics and antibiotic suspectibility of aeromonads, vibrios, and plaesiomonads isolated from different sources at a zoo. J. Zoo. Wildl. Med. 2015, 46, 298–305. [Google Scholar] [CrossRef] [PubMed]
- Kim, K.T.; Kwak, D. A case of Aeromonas hydrophila infection due to captivity-induced stress in a Spectacled Caiman (Caiman crocodilus). J. Anim. Plant. Sci. 2013, 23, 1761–1763. [Google Scholar]
- National Committee for Clinical Laboratory Standards. Performance Standards for Antimicribial Susceptibility Testing. 2020. Available online: https://clsi.org/standards/products/microbiology/documents/m100 (accessed on 1 June 2020).
- Van Camp, G.; Chapelle, S.; De Wachter, R. Amplification and sequencing of variable regions in bacterial 23S ribosomal RNA gene with conserved primer sequences. Curr. Microbiol. 1993, 27, 147–151. [Google Scholar] [CrossRef] [PubMed]
- Eason, J.D.; Peacock, D. Plesiomonas shigelloides septicemia and meningitis in a neonate. Can. J. Infect. Dis. 1996, 7, 380–382. [Google Scholar] [PubMed] [Green Version]
- Sule, A.A. Severe Plesiomonas shigelloides gastroenteritis in a young healthy patient. Crit. Care Shock 2009, 12, 120–122. [Google Scholar]
- Hinton, J.D.; Padilla, L.R.; Joyner, P.H.; Schnellbacher, R.; Walsh, T.F.; Aitken-Palmer, C. Gastric dilatation volvulus in adult maned wolves (Chrysocyon brachyurus). J. Zoo Wildl. Med. 2017, 48, 476–483. [Google Scholar] [CrossRef] [PubMed]
- Kinney, K.S.; Austin, C.E.; Morton, D.S.; Sonnenfeld, G. Catecholamine enhancement of Aeromonas hydrophila growth. Microb. Pathog. 1999, 26, 85–91. [Google Scholar] [CrossRef] [PubMed]
- Carlstead, K.; Shepherdson, D. Alleviating stress in zoo animals with environmental enrichment. In The Biology of Animal Stress; Moberg, G.P., Mench, J.A., Eds.; CABI Publishing: Egham, UK, 2000; pp. 337–354. [Google Scholar]



Publisher’s Note: MDPI stays neutral with regard to jurisdictional claims in published maps and institutional affiliations. |
© 2021 by the authors. Licensee MDPI, Basel, Switzerland. This article is an open access article distributed under the terms and conditions of the Creative Commons Attribution (CC BY) license (https://creativecommons.org/licenses/by/4.0/).
Share and Cite
Kim, K.-T.; Lee, H.; Kwak, D. Enhanced Asymptomatic Systemic Infection Caused by Plesiomonas shigelloides in a Captive Gray Wolf (Canis lupus). Vet. Sci. 2021, 8, 280. https://doi.org/10.3390/vetsci8110280
Kim K-T, Lee H, Kwak D. Enhanced Asymptomatic Systemic Infection Caused by Plesiomonas shigelloides in a Captive Gray Wolf (Canis lupus). Veterinary Sciences. 2021; 8(11):280. https://doi.org/10.3390/vetsci8110280
Chicago/Turabian StyleKim, Kyoo-Tae, Haeseung Lee, and Dongmi Kwak. 2021. "Enhanced Asymptomatic Systemic Infection Caused by Plesiomonas shigelloides in a Captive Gray Wolf (Canis lupus)" Veterinary Sciences 8, no. 11: 280. https://doi.org/10.3390/vetsci8110280
APA StyleKim, K.-T., Lee, H., & Kwak, D. (2021). Enhanced Asymptomatic Systemic Infection Caused by Plesiomonas shigelloides in a Captive Gray Wolf (Canis lupus). Veterinary Sciences, 8(11), 280. https://doi.org/10.3390/vetsci8110280

