Cinnamon Aqueous Extract Attenuates Diclofenac Sodium and Oxytetracycline Mediated Hepato-Renal Toxicity and Modulates Oxidative Stress, Cell Apoptosis, and Inflammation in Male Albino Rats
Abstract
1. Introduction
2. Material and Methods
2.1. Plant Extract Preparation
2.2. Phytochemical Analysis
2.3. Chemicals
2.4. Experimental Animals and Design
2.5. Samples Collection
2.6. Biochemical Analysis
2.6.1. Serum Liver and Kidney Markers
2.6.2. Oxidative Stress and Antioxidant Markers
2.6.3. Serum Immunoglobulin, C-Reactive Proteins (CRP) and Cytokines
2.7. Histopathological Examination
2.8. Immunohistochemistry
2.9. Statistical Analysis
3. Results
3.1. Phytochemical Components of Cinnamon Aqueous Extract
3.2. Serum Hepatic and Renal Injury Biomarkers
3.3. Hepatic and Renal Oxidative Stress and Antioxidant Markers
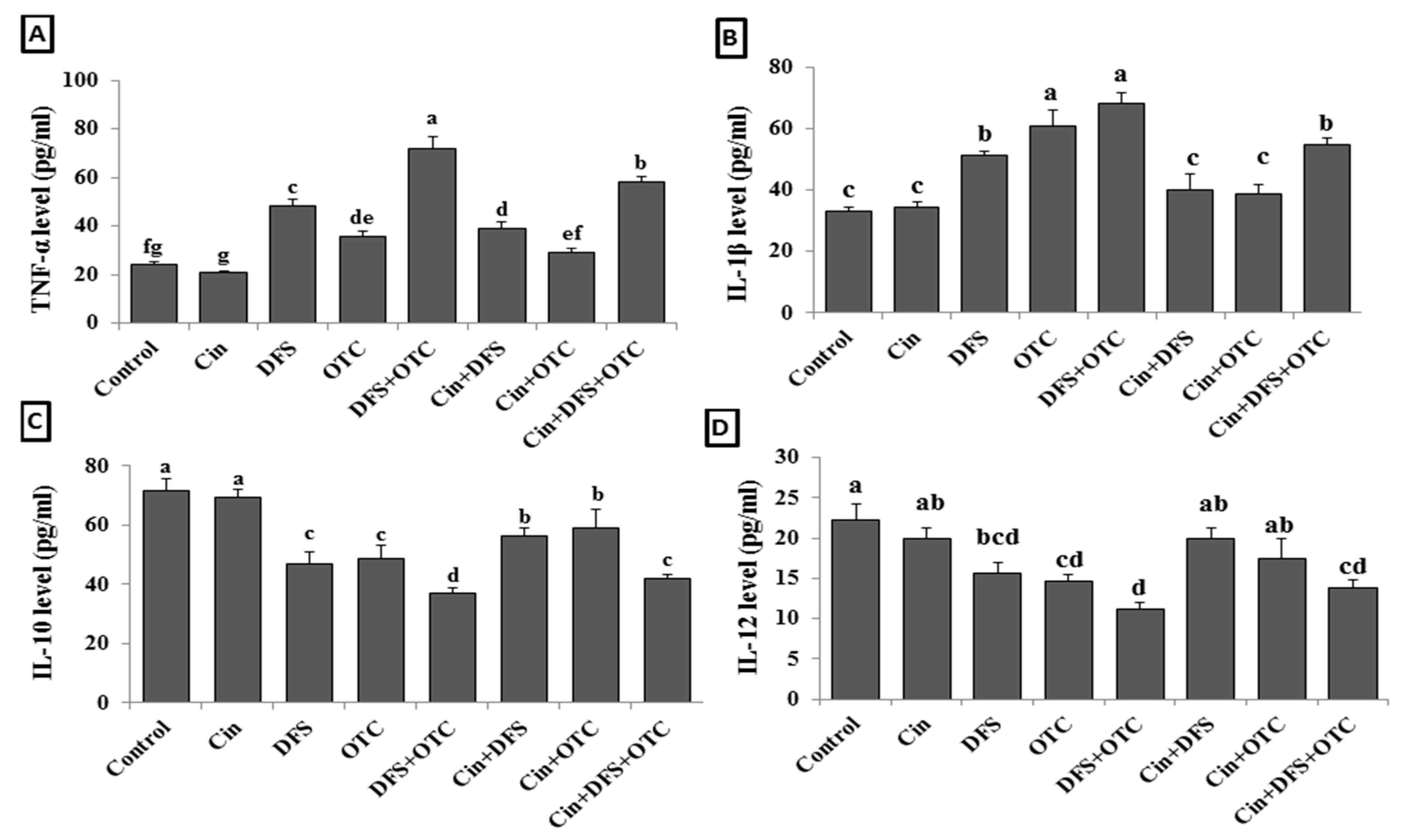
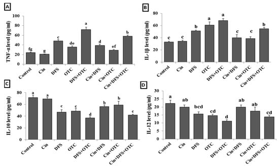
3.4. Serum Immunoglobulin, C-Reactive Poteins (CRP) and Cytokines
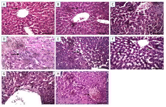
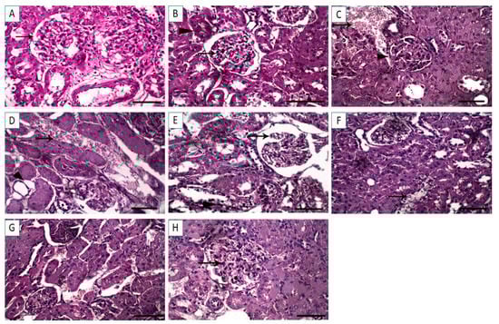
3.5. Histopathological Assessments
3.5.1. Liver Histopathology
3.5.2. Kidney Histopathology
3.6. Immunohistochemical Findings
3.6.1. Liver IHC
3.6.2. Kidney IHC
4. Discussion
5. Conclusions
Author Contributions
Funding
Institutional Review Board Statement
Informed Consent Statement
Data Availability Statement
Conflicts of Interest
Abbreviations
| Cin | Cinnamon, |
| DFS | Diclofenic sodium, |
| OTC | Oxytetracycline, |
| AST | Aspartate transferase, |
| ALT | Alanine transferase, |
| ALP | Alkaline phosphatase, |
| CAT | Catalase, |
| GSH | Reduced glutathione, |
| MDA | Malondialdehyde, |
| SOD | Superoxide dismutase, |
| TNF-α | Tumor necrosis factor alpha, |
| IL-1β | Interleukin-1β, |
| IL-10 | Interleukin-10, |
| IL-12 | Interleukin-12. |
References
- Hawkins, C.; Hanks, G.W. The gastroduodenal toxicity of nonsteroidal anti-inflammatory drugs. A review of the literature. J. Pain Symptom Manag. 2000, 20, 140–151. [Google Scholar] [CrossRef]
- He, B.-s.; Wang, J.; Liu, J.; Hu, X.-m. Eco-pharmacovigilance of non-steroidal anti-inflammatory drugs: Necessity and opportunities. Chemosphere 2017, 181, 178–189. [Google Scholar] [CrossRef] [PubMed]
- Rogoveanu, O.C.; Calina, D.; Cucu, M.G.; Burada, F.; Docea, A.O.; Sosoi, S.; Stefan, E.; Ioana, M.; Burada, E. Association of cytokine gene polymorphisms with osteoarthritis susceptibility. Exp. Ther. Med. 2018, 16, 2659–2664. [Google Scholar] [CrossRef] [PubMed]
- Gan, T.J. Diclofenac: An update on its mechanism of action and safety profile. Curr. Med Res. Opin. 2010, 26, 1715–1731. [Google Scholar] [CrossRef]
- Owumi, S.E.; Dim, U.J. Biochemical alterations in diclofenac-treated rats: Effect of selenium on oxidative stress, inflammation, and hematological changes. Toxicol. Res. Appl. 2019, 3, 2397847319874359. [Google Scholar] [CrossRef]
- Bindu, S.; Mazumder, S.; Dey, S.; Pal, C.; Goyal, M.; Alam, A.; Iqbal, M.S.; Sarkar, S.; Siddiqui, A.A.; Banerjee, C. Nonsteroidal anti-inflammatory drug induces proinflammatory damage in gastric mucosa through NF-κB activation and neutrophil infiltration: Anti-inflammatory role of heme oxygenase-1 against nonsteroidal anti-inflammatory drug. Free Radic. Biol. Med. 2013, 65, 456–467. [Google Scholar] [CrossRef]
- Alabi, Q.K.; Akomolafe, R.O.; Olukiran, O.S.; Adeyemi, W.J.; Nafiu, A.O.; Adefisayo, M.A.; Omole, J.G.; Kajewole, D.I.; Odujoko, O.O. The Garcinia kola biflavonoid kolaviron attenuates experimental hepatotoxicity induced by diclofenac. Pathophysiology 2017, 24, 281–290. [Google Scholar] [CrossRef]
- Adeyemi, W.J.; Olayaki, L.A. Diclofenac–induced hepatotoxicity: Low dose of omega-3 fatty acids have more protective effects. Toxicol. Rep. 2018, 5, 90–95. [Google Scholar] [CrossRef]
- Olayaki, L.A.; Adeyemi, W.J.; Yinusa, J.S.; Adedayo, G.A. Omega-3 fatty acids moderate oxidative and proinflammatory events in experimental hepatotoxicity in Wistar rats: Comparison with livolin. Synergy 2018, 7, 17–24. [Google Scholar] [CrossRef]
- Ahmed, A.Y.; Gad, A.M.; El-Raouf, O.M.A. Curcumin ameliorates diclofenac sodium-induced nephrotoxicity in male albino rats. J. Biochem. Mol. Toxicol. 2017, 31, e21951. [Google Scholar] [CrossRef]
- Inoue, A.; Muranaka, S.; Fujita, H.; Kanno, T.; Tamai, H.; Utsumi, K. Molecular mechanism of diclofenac-induced apoptosis of promyelocytic leukemia: Dependency on reactive oxygen species, Akt, Bid, cytochrome and caspase pathway. Free Radic. Biol. Med. 2004, 37, 1290–1299. [Google Scholar] [CrossRef] [PubMed]
- Galati, G.; Tafazoli, S.; Sabzevari, O.; Chan, T.S.; O’Brien, P.J. Idiosyncratic NSAID drug induced oxidative stress. Chem. -Biol. Interact. 2002, 142, 25–41. [Google Scholar] [CrossRef]
- Masubuchi, Y.; Nakayama, S.; Horie, T. Role of mitochondrial permeability transition in diclofenac-induced hepatocyte injury in rats. Hepatology 2002, 35, 544–551. [Google Scholar] [CrossRef] [PubMed]
- Nelson, M.L.; Levy, S.B. The history of the tetracyclines. Ann. N. Y. Acad. Sci. 2011, 1241, 17–32. [Google Scholar] [CrossRef]
- Oda, S.S.; Waheeb, R.S.; El-Maddawy, Z.K. Potential efficacy of Coenzyme Q10 against oxytetracycline-induced hepatorenal and reproductive toxicity in male rats. J. Appl. Pharm. Sci. 2018, 8, 098–107. [Google Scholar]
- Saraswat, B.; Visen, P.; Patnaik, G.; Dhawan, B. Protective effect of picroliv, active constituent of Picrorhiza kurrooa, against oxytetracycline induced hepatic damage. Indian J. Exp. Biol. 1997, 35, 1302. [Google Scholar] [PubMed]
- Gnanasoundari, M.; Pari, L. Impact of naringenin on oxytetracycline-mediated oxidative damage in kidney of rats. Ren. Fail. 2006, 28, 599–605. [Google Scholar] [CrossRef]
- Ahsan, M.R.; Islam, K.M.; Bulbul, I.J.; Musaddik, M.A.; Haque, E. Hepatoprotective activity of methanol extract of some medicinal plants against carbon tetrachloride-induced hepatotoxicity in rats. Eur. J. Sci. Res. 2009, 37, 302–310. [Google Scholar]
- Osama, A.; Engy, R.; Gehad, E. Immunomodulatory effect of artichoke (Cynara scolymus) on carbon tetrachloride induced immunosuppression in rats. Ann. Vet. Anim. Sci. 2014, 1, 66–76. [Google Scholar]
- Hussain, Z.; Khan, J.A.; Arshad, A.; Asif, P.; Rashid, H.; Arshad, M.I. Protective effects of Cinnamomum zeylanicum L.(Darchini) in acetaminophen-induced oxidative stress, hepatotoxicity and nephrotoxicity in mouse model. Biomed. Pharmacother. 2019, 109, 2285–2292. [Google Scholar] [CrossRef]
- Su, L.; Yin, J.-J.; Charles, D.; Zhou, K.; Moore, J.; Yu, L.L. Total phenolic contents, chelating capacities, and radical-scavenging properties of black peppercorn, nutmeg, rosehip, cinnamon and oregano leaf. Food Chem. 2007, 100, 990–997. [Google Scholar] [CrossRef]
- Rice-Evans, C.; Miller, N.; Paganga, G. Antioxidant properties of phenolic compounds. Trends Plant Sci. 1997, 2, 152–159. [Google Scholar] [CrossRef]
- Elkomy, A.; Aboubakr, M.; Ashraf, L. Ameliorative effect of thymus oil on paracetamol induced hepato-renal toxicity: A biochemical, antioxidant and histopathological studies. J. Pharm. Clin. Res. 2017, 4, 1–8. [Google Scholar] [CrossRef]
- Abdeen, A.; Abdelkader, A.; Abdo, M.; Wareth, G.; Aboubakr, M.; Aleya, L.; Abdel-Daim, M. Protective effect of cinnamon against acetaminophen-mediated cellular damage and apoptosis in renal tissue. Environ. Sci. Pollut. Res. 2019, 26, 240–249. [Google Scholar] [CrossRef] [PubMed]
- Dorri, M.; Hashemitabar, S.; Hosseinzadeh, H. Cinnamon (Cinnamomum zeylanicum) as an antidote or a protective agent against natural or chemical toxicities: A review. Drug Chem. Toxicol. 2018, 41, 338–351. [Google Scholar] [CrossRef]
- Morgan, A.M.; El-Ballal, S.S.; El-Bialy, B.E.; El-Borai, N.B. Studies on the potential protective effect of cinnamon against bisphenol A-and octylphenol-induced oxidative stress in male albino rats. Toxicol. Rep. 2014, 1, 92–101. [Google Scholar] [CrossRef] [PubMed]
- Hafizur, R.M.; Hameed, A.; Shukrana, M.; Raza, S.A.; Chishti, S.; Kabir, N.; Siddiqui, R.A. Cinnamic acid exerts anti-diabetic activity by improving glucose tolerance in vivo and by stimulating insulin secretion in vitro. Phytomedicine 2015, 22, 297–300. [Google Scholar] [CrossRef]
- Wolfe, K.; Wu, X.; Liu, R.H. Antioxidant activity of apple peels. J. Agric. Food Chem. 2003, 51, 609–614. [Google Scholar] [CrossRef]
- Okada, Y.; Okada, M.; Sagesaka, Y. Screening of dried plant seed extracts for adiponectin production activity and tumor necrosis factor-alpha inhibitory activity on 3T3-L1 adipocytes. Plant Foods Hum. Nutr. 2010, 65, 225–232. [Google Scholar] [CrossRef]
- Sadasivam, S.; Manickam, A. Biochemical Methods, 3rd ed.; New Age International Publishers: New Delhi, India, 2008. [Google Scholar]
- Thaipong, K.; Boonprakob, U.; Crosby, K.; Cisneros-Zevallos, L.; Byrne, D.H. Comparison of ABTS, DPPH, FRAP, and ORAC assays for estimating antioxidant activity from guava fruit extracts. J. Food Compos. Anal. 2006, 19, 669–675. [Google Scholar] [CrossRef]
- Odiase, D.; Om’iniabohs, F. Protective effects of aqueous extract of cinnamon on diabetes-induced nephrotoxicity in wistar rats. J. Appl. Sci. Environ. Manag. 2017, 21, 504–508. [Google Scholar] [CrossRef][Green Version]
- Abdel-Daim, M.M.; Eltaysh, R.; Hassan, A.; Mousa, S.A. Lycopene attenuates tulathromycin and diclofenac sodium-induced cardiotoxicity in mice. Int. J. Mol. Sci. 2018, 19, 344. [Google Scholar] [CrossRef] [PubMed]
- Abdel-Daim, M.M.; Ghazy, E.W. Effects of Nigella sativa oil and ascorbic acid against oxytetracycline-induced hepato-renal toxicity in rabbits. Iran. J. Basic Med Sci. 2015, 18, 221. [Google Scholar] [PubMed]
- Abdalla, O.A.; Risha, E.F.; Elshopakey, G.E. Hepatoprotective and antioxidant effects of artichoke against carbon tetrachloride-toxicity in rats. Life Sci. J. 2013, 10, 1436–1444. [Google Scholar]
- Bancroft, J.D.; Layton, C. Connective and mesenchymal tissues with their stains. In Bancroft’s Theory and Practice of Histological Techniques; Elsevier: Amsterdam, The Netherlands, 2012; pp. 187–214. [Google Scholar]
- El-Maddawy, Z.K.; El-Ashmawy, I.M. Hepato-renal and hematological effects of diclofenac sodium in rats. Glob. J. Pharmacol. 2013, 7, 123–132. [Google Scholar]
- Aycan, İ.Ö.; Elpek, Ö.; Akkaya, B.; Kıraç, E.; Tuzcu, H.; Kaya, S.; Coşkunfırat, N.; Aslan, M. Diclofenac induced gastrointestinal and renal toxicity is alleviated by thymoquinone treatment. Food Chem. Toxicol. 2018, 118, 795–804. [Google Scholar] [CrossRef]
- Hamza, A.A. Curcuma longa, Glycyrrhiza glabra and Moringa oleifera ameliorate diclofenac-induced hepatoxicity in rats. Am. J. Pharm. Toxicol. 2007, 2, 80–88. [Google Scholar] [CrossRef]
- Lettéron, P.; Sutton, A.; Mansouri, A.; Fromenty, B.; Pessayre, D. Inhibition of microsomal triglyceride transfer protein: Another mechanism for drug-induced steatosis in mice. Hepatology 2003, 38, 133–140. [Google Scholar] [CrossRef]
- Orabi, S.H.; Abd Eldaium, D.; Hassan, A.; El Sabagh, H.S.; Abd Eldaim, M.A. Allicin modulates diclofenac sodium induced hepatonephro toxicity in rats via reducing oxidative stress and caspase 3 protein expression. Environ. Toxicol. Pharmacol. 2020, 74, 103306. [Google Scholar] [CrossRef]
- Gómez-Lechón, M.J.; Ponsoda, X.; O’Connor, E.; Donato, T.; Castell, J.V.; Jover, R. Diclofenac induces apoptosis in hepatocytes by alteration of mitochondrial function and generation of ROS. Biochem. Pharmacol. 2003, 66, 2155–2167. [Google Scholar] [CrossRef]
- Goda, K.; Takahashi, T.; Kobayashi, A.; Shoda, T.; Kuno, H.; Sugai, S. Usefulness of in vitro combination assays of mitochondrial dysfunction and apoptosis for the estimation of potential risk of idiosyncratic drug induced liver injury. J. Toxicol. Sci. 2016, 41, 605–615. [Google Scholar] [CrossRef] [PubMed]
- Pourahmad, J.; Mortada, Y.; Eskandari, M.R.; Shahraki, J. Involvement of lysosomal labilisation and lysosomal/mitochondrial cross-talk in diclofenac induced hepatotoxicity. Iran. J. Pharm. Res. IJPR 2011, 10, 877. [Google Scholar] [PubMed]
- Haddad, J.J. Oxygen-sensitive pro-inflammatory cytokines, apoptosis signaling and redox-responsive transcription factors in development and pathophysiology. Cytokinescellular Mol. Ther. 2002, 7, 1–14. [Google Scholar] [CrossRef] [PubMed]
- Anderson, M.T.; Staal, F.; Gitler, C.; Herzenberg, L.A. Separation of oxidant-initiated and redox-regulated steps in the NF-kappa B signal transduction pathway. Proc. Natl. Acad. Sci. USA 1994, 91, 11527–11531. [Google Scholar] [CrossRef]
- Flohé, L.; Brigelius-Flohé, R.; Saliou, C.; Traber, M.G.; Packer, L. Redox regulation of NF-kappa B activation. Free Radic. Biol. Med. 1997, 22, 1115–1126. [Google Scholar] [CrossRef]
- Boshra, S.A.; Hussein, M.A. The protective role of colchicine on diclofenac sodium induced hepatorenal toxicity in albino rats model. Int. J. Pharm. Sci. Res. 2014, 5, 5136. [Google Scholar]
- Jayanthi, R.; Subash, P. Antioxidant effect of caffeic acid on oxytetracycline induced lipid peroxidation in albino rats. Indian J. Clin. Biochem. 2010, 25, 371–375. [Google Scholar] [CrossRef]
- Begriche, K.; Massart, J.; Robin, M.-A.; Borgne-Sanchez, A.; Fromenty, B. Drug-induced toxicity on mitochondria and lipid metabolism: Mechanistic diversity and deleterious consequences for the liver. J. Hepatol. 2011, 54, 773–794. [Google Scholar] [CrossRef]
- El Sayed, A.; Badawi, A.; Asmaa, M. The protective effect of olive leaf and pomegranate peel extracts on oxidative stress and liver injury induced by oxytetracycline in albino rats. Egypt. J. Drug Res. Egypt 2014, 35, 33–41. [Google Scholar]
- Gong, Q.; Qu, N.; Niu, M.; Qin, C.; Cheng, M.; Sun, X.; Zhang, A. Immune responses and protective efficacy of a novel DNA vaccine encoding outer membrane protein of avian Pasteurella multocida. Vet. Immunol. Immunopathol. 2013, 152, 317–324. [Google Scholar] [CrossRef]
- Grönwall, C.; Vas, J.; Silverman, G.J. Protective roles of natural IgM antibodies. Front. Immunol. 2012, 3, 66. [Google Scholar] [CrossRef] [PubMed]
- Aschermann, S.; Lux, A.; Baerenwaldt, A.; Biburger, M.; Nimmerjahn, F. The other side of immunoglobulin G: Suppressor of inflammation. Clin. Exp. Immunol. 2010, 160, 161–167. [Google Scholar] [CrossRef] [PubMed]
- Shabana, M.; Ibrahim, H.M.; Khadre, S.E.; Elemam, M.G. Influence of rifampicin and tetracycline administration on some biochemical and histological parameters in albino rats. J. Basic Appl. Zool. 2012, 65, 299–308. [Google Scholar] [CrossRef]
- Zhang, J.-M.; An, J. Cytokines, inflammation and pain. Int. Anesthesiol. Clin. 2007, 45, 27. [Google Scholar] [CrossRef] [PubMed]
- Kakita, H.; Aoyama, M.; Nagaya, Y.; Asai, H.; Hussein, M.H.; Suzuki, M.; Kato, S.; Saitoh, S.; Asai, K. Diclofenac enhances proinflammatory cytokine-induced phagocytosis of cultured microglia via nitric oxide production. Toxicol. Appl. Pharmacol. 2013, 268, 99–105. [Google Scholar] [CrossRef]
- Nouri, A.; Heidarian, E. Nephroprotective effect of silymarin against diclofenacinduced renal damage and oxidative stress in male rats. J. Herbmed Pharmacol. 2019, 8, 146–152. [Google Scholar] [CrossRef]
- Di Cerbo, A.; Palatucci, A.; Rubino, V.; Centenaro, S.; Giovazzino, A.; Fraccaroli, E.; Cortese, L.; Ruggiero, G.; Guidetti, G.; Canello, S. Toxicological implications and inflammatory response in human lymphocytes challenged with oxytetracycline. J. Biochem. Mol. Toxicol. 2016, 30, 170–177. [Google Scholar] [CrossRef]
- Al Mamun, A.; Hossain, M.; Uddin, M.S.; Islam, M.T.; Hossain, S.; Hossain, M.S.; Hossain, M.F.; Sujan, A.R.; Rashid, M.; Rahman, M.M. Comparison of the Hypoglycemic, Hypolipidemic and Hepatoprotective Effects of Asparagus racemosus Linn. in Combination with Gliclazide and Pioglitazone on Alloxan-Induced Diabetic Rats. Pharmacol. Pharm. 2017, 8, 52–74. [Google Scholar] [CrossRef]
- El-Yamani, M. Cinnamon, cardamom and ginger impacts as evaluated on hyperglycemic rats. Res. J. Specif. Educ. 2011, 20, 665–678. [Google Scholar]
- Hussain, S.; Ashafaq, M.; Alshahrani, S.; Siddiqui, R.; Ahmed, R.A.; Khuwaja, G.; Islam, F. Cinnamon oil against acetaminophen-induced acute liver toxicity by attenuating inflammation, oxidative stress and apoptosis. Toxicol. Rep. 2020, 7, 1296–1304. [Google Scholar] [CrossRef]
- Burda, S.; Oleszek, W. Antioxidant and antiradical activities of flavonoids. J. Agric. Food Chem. 2001, 49, 2774–2779. [Google Scholar] [CrossRef] [PubMed]
- Azab, K.S.; Mostafa, A.-H.A.; Ali, E.M.; Abdel-Aziz, M.A. Cinnamon extract ameliorates ionizing radiation-induced cellular injury in rats. Ecotoxicol. Environ. Saf. 2011, 74, 2324–2329. [Google Scholar] [CrossRef] [PubMed]
- Jayaprakasha, G.; Rao, L.J.M. Chemistry, biogenesis, and biological activities of Cinnamomum zeylanicum. Crit. Rev. Food Sci. Nutr. 2011, 51, 547–562. [Google Scholar] [CrossRef] [PubMed]
- Gülçin, İ. Antioxidant activity of eugenol: A structure–activity relationship study. J. Med. Food 2011, 14, 975–985. [Google Scholar] [CrossRef] [PubMed]
- Rao, P.V.; Gan, S.H. Cinnamon: A multifaceted medicinal plant. Evid. -Based Complementary Altern. Med. 2014, 2014, 642942. [Google Scholar] [CrossRef]
- Niphade, S.R.; Asad, M.; Chandrakala, G.K.; Toppo, E.; Deshmukh, P. Immunomodulatory activity of Cinnamomum zeylanicum bark. Pharm. Biol. 2009, 47, 1168–1173. [Google Scholar] [CrossRef]
- Lin, C.-T.; Chen, C.-J.; Lin, T.-Y.; Tung, J.C.; Wang, S.-Y. Anti-inflammation activity of fruit essential oil from Cinnamomum insularimontanum Hayata. Bioresour. Technol. 2008, 99, 8783–8787. [Google Scholar] [CrossRef]
- Kwon, H.-K.; Hwang, J.-S.; Lee, C.-G.; So, J.-S.; Sahoo, A.; Im, C.-R.; Jeon, W.K.; Ko, B.S.; Lee, S.H.; Park, Z.Y. Cinnamon extract suppresses experimental colitis through modulation of antigen-presenting cells. World J. Gastroenterol. WJG 2011, 17, 976. [Google Scholar] [CrossRef]
- Roth-Walter, F.; Moskovskich, A.; Gomez-Casado, C.; Diaz-Perales, A.; Oida, K.; Singer, J.; Kinaciyan, T.; Fuchs, H.C.; Jensen-Jarolim, E. Immune suppressive effect of cinnamaldehyde due to inhibition of proliferation and induction of apoptosis in immune cells: Implications in cancer. PLoS ONE 2014, 9, e108402. [Google Scholar] [CrossRef]









| Phytochemical Constituent | Cinnamon Aqueous Extract |
|---|---|
| Total Phenols (mg GAE/mL) | 10.45 ± 1.12 |
| Flavonoids (mg CE/mL) | 4.76 ± 0.43 |
| Tannins (mg GAE/mL) | 2.51 ± 0.27 |
| IC50 (mg/mL, DPPH) | 43.58 ± 3.44 |
| Experimental Groups | ALT (U/L) | AST (U/L) | ALP (U/L) | TP (g/dL) | Albumin (g/dL) | Globulin (g/dL) |
|---|---|---|---|---|---|---|
| Control | 31.45 ± 1.07 e | 48.26 ± 2.18 f | 383.08 ± 2.97 a | 6.44 ± 0.12 a | 3.61 ± 0.20 a | 2.84 ± 0.28 a |
| Cin | 33.29 ± 0.50 e | 50.59 ± 1.03 f | 380.03 ± 2.68 a | 6.57 ± 0.16 a | 3.54 ± 0.05 a | 3.03 ± 0.13 a |
| DFS | 71.95 ± 1.26 b | 83.21 ± 2.35 c | 483.11 ± 2.43 b | 3.99 ± 0.12 d | 2.85 ± 0.29 b | 1.13 ± 0.39 bc |
| OTC | 66.719 ± 0.98 c | 81.70 ± 2.09 c | 443.62 ± 5.73 c | 5.61 ± 0.23 b | 3.12 ± 0.26 ab | 2.49 ± 0.27 a |
| DFS + OTC | 85.61 ± 1.96 a | 105.53 ± 1.95 a | 521.63 ± 2.48 a | 3.01 ± 0.17 e | 2.67 ± 0.07 b | 0.41 ± 0.16 c |
| Cin + DFS | 55.07 ± 1.94 d | 74.55 ± 2.39 d | 448.65 ± 4.64 c | 4.51 ± 0.19 c | 2.99 ± 0.15 b | 1.52 ± 0.25 b |
| Cin + OTC | 51.78 ± 2.08 d | 67.61 ± 0.70 e | 418.72 ± 3.06 d | 5.69 ± 0.08 b | 3.16 ± 0.07 ab | 2.53 ± 0.06 a |
| Cin + DFS + OTC | 73.17 ± 1.94 b | 97.26 ± 0.67 b | 485.43 ± 3.50 b | 3.40 ± 0.20 e | 2.68 ± 0.08 b | 0.73 ± 0.26 c |
| Experimental Groups | Urea (mg/dL) | Creatinine (mg/dL) | Uric Acid (mg/dL) |
|---|---|---|---|
| Control | 52.25 ± 1.31 e | 0.48 ± 0.02 e | 2.74 ± 0.20 e |
| Cin | 51.57 ± 1.19 e | 0.49 ± 0.04 e | 2.66 ± 0.23 e |
| DFS | 80.00 ± 2.35 b | 0.76 ± 0.01 c | 6.20 ± 0.26 b |
| OTC | 73.51 ± 2.72 c | 0.69 ± 0.02 d | 4.91 ± 0.43 c |
| DFS + OTC | 90.57 ± 1.71 a | 0.98 ± 0.01 a | 8.86 ± 0.20 a |
| Cin + DFS | 71.23 ± 1.70 c | 0.68 ± 0.02 d | 4.38 ± 0.41 cd |
| Cin + OTC | 60.25 ± 4.05 d | 0.66 ± 0.01 d | 3.91 ± 0.27 d |
| Cin + DFS + OTC | 83.75 ± 0.85 b | 0.84 ± 0.02 b | 6.24 ± 0.43 b |
| Experimental Groups | MDA (nmol/g. Tissue) | NO (µmol/g. Tissue) | GSH (mg/g. Tissue) | SOD (U/g. Tissue) | Catalase (U/g. Tissue) |
|---|---|---|---|---|---|
| Control | 53.24 ± 1.11 e | 33.53 ± 0.61 e | 6.46 ± 0.35 b | 435.02 ± 1.47 b | 2.42 ± 0.23 a |
| Cin | 42.11 ± 1.42 f | 35.71 ± 1.67 e | 9.41 ± 0.28 a | 470.92 ± 3.34 a | 2.32 ± 0.34 a |
| DFS | 87.36 ± 1.71 b | 47.47 ± 1.79 c | 3.25 ± 0.05 d | 402.58 ± 2.51 e | 1.14 ± 0.05 c |
| OTC | 71.83 ± 2.85 c | 41.98 ± 1.02 d | 3.81 ± 0.31 d | 410.75 ± 0.80 cd | 1.43 ± 0.21 bc |
| DFS +OTC | 97.06±1.01 a | 64.96±2.67 a | 1.89±0.35 f | 374.42±2.20 g | 0.59±0.07 d |
| Cin+DFS | 75.71±2.75 c | 40.37±1.72 d | 4.11±0.05 c | 409.17±0.98 d | 1.78±0.09 b |
| Cin+OTC | 63.52±1.21 d | 36.80 ± 0.89 e | 4.82 ± 0.14 c | 415.58 ± 0.84 c | 1.51 ± 0.19 bc |
| Cin + DFS + OTC | 85.86 ± 0.97 b | 55.17 ± 1.29 b | 2.56 ±0.24 e | 391.25 ± 1.73 f | 0.66 ± 0.15 d |
| Experimental Groups | MDA (nmol/g. Tissue) | NO (µmol/g. Tissue) | GSH (mg/g. Tissue) | SOD (U/g. Tissue) | Catalase (U/g. Tissue) |
|---|---|---|---|---|---|
| Control | 38.38 ± 1.31 e | 37.87 ± 0.17 d | 5.22 ± 0.12 b | 365.58 ± 3.96 a | 1.42± 0.06 a |
| Cin | 30.01 ± 2.80 f | 34.39 ± 2.24 d | 7.94 ± 0.78 a | 372.19 ± 2.08 a | 1.62 ± 0.12 a |
| DFS | 68.79 ± 1.89 b | 58.96 ± 1.94 b | 2.75 ± 0.33 de | 333.21 ± 5.44 c | 1.15 ± 0.04 cd |
| OTC | 57.91 ± 1.53 c | 50.72 ± 2.72 c | 4.35 ± 0.13 c | 342.15 ± 2.16 b | 1.33 ± 0.04 bc |
| DFS + OTC | 78.59 ± 1.49 a | 76.21 ± 1.59 a | 2.32 ± 0.37 e | 326.51 ± 2.47 c | 0.67± 0.08 e |
| Cin + DFS | 59.79 ± 2.18 c | 51.37 ± 3.09 c | 3.72 ± 0.36 d | 339.79 ± 0.87 b | 1.17 ± 0.09 cd |
| Cin + OTC | 51.17 ± 1.00 d | 44.92 ± 1.40 c | 4.87 ± 0.45 bc | 344.08 ± 2.38 b | 1.27 ± 0.06 bc |
| Cin + DFS + OTC | 38.38 ± 1.31 e | 63.89 ± 2.36 b | 2.69 ± 0.21 de | 332.38 ± 1.89 c | 0.93 ± 0.09 d |
Publisher’s Note: MDPI stays neutral with regard to jurisdictional claims in published maps and institutional affiliations. |
© 2021 by the authors. Licensee MDPI, Basel, Switzerland. This article is an open access article distributed under the terms and conditions of the Creative Commons Attribution (CC BY) license (http://creativecommons.org/licenses/by/4.0/).
Share and Cite
Elshopakey, G.E.; Elazab, S.T. Cinnamon Aqueous Extract Attenuates Diclofenac Sodium and Oxytetracycline Mediated Hepato-Renal Toxicity and Modulates Oxidative Stress, Cell Apoptosis, and Inflammation in Male Albino Rats. Vet. Sci. 2021, 8, 9. https://doi.org/10.3390/vetsci8010009
Elshopakey GE, Elazab ST. Cinnamon Aqueous Extract Attenuates Diclofenac Sodium and Oxytetracycline Mediated Hepato-Renal Toxicity and Modulates Oxidative Stress, Cell Apoptosis, and Inflammation in Male Albino Rats. Veterinary Sciences. 2021; 8(1):9. https://doi.org/10.3390/vetsci8010009
Chicago/Turabian StyleElshopakey, Gehad E., and Sara T. Elazab. 2021. "Cinnamon Aqueous Extract Attenuates Diclofenac Sodium and Oxytetracycline Mediated Hepato-Renal Toxicity and Modulates Oxidative Stress, Cell Apoptosis, and Inflammation in Male Albino Rats" Veterinary Sciences 8, no. 1: 9. https://doi.org/10.3390/vetsci8010009
APA StyleElshopakey, G. E., & Elazab, S. T. (2021). Cinnamon Aqueous Extract Attenuates Diclofenac Sodium and Oxytetracycline Mediated Hepato-Renal Toxicity and Modulates Oxidative Stress, Cell Apoptosis, and Inflammation in Male Albino Rats. Veterinary Sciences, 8(1), 9. https://doi.org/10.3390/vetsci8010009
