Histopathological Findings in Testes from Apparently Healthy Drones of Apis mellifera ligustica
Abstract
1. Introduction
2. Materials and Methods
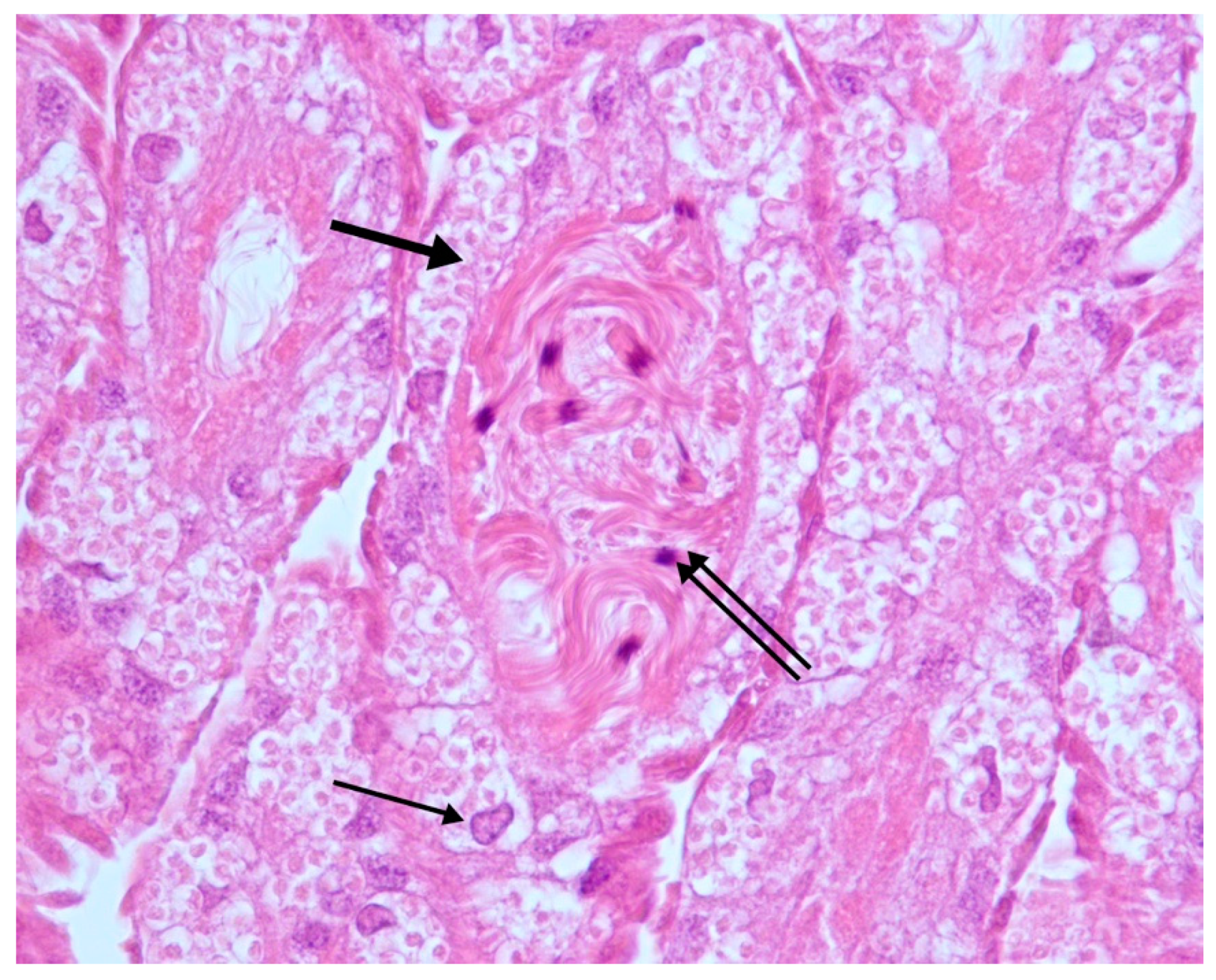
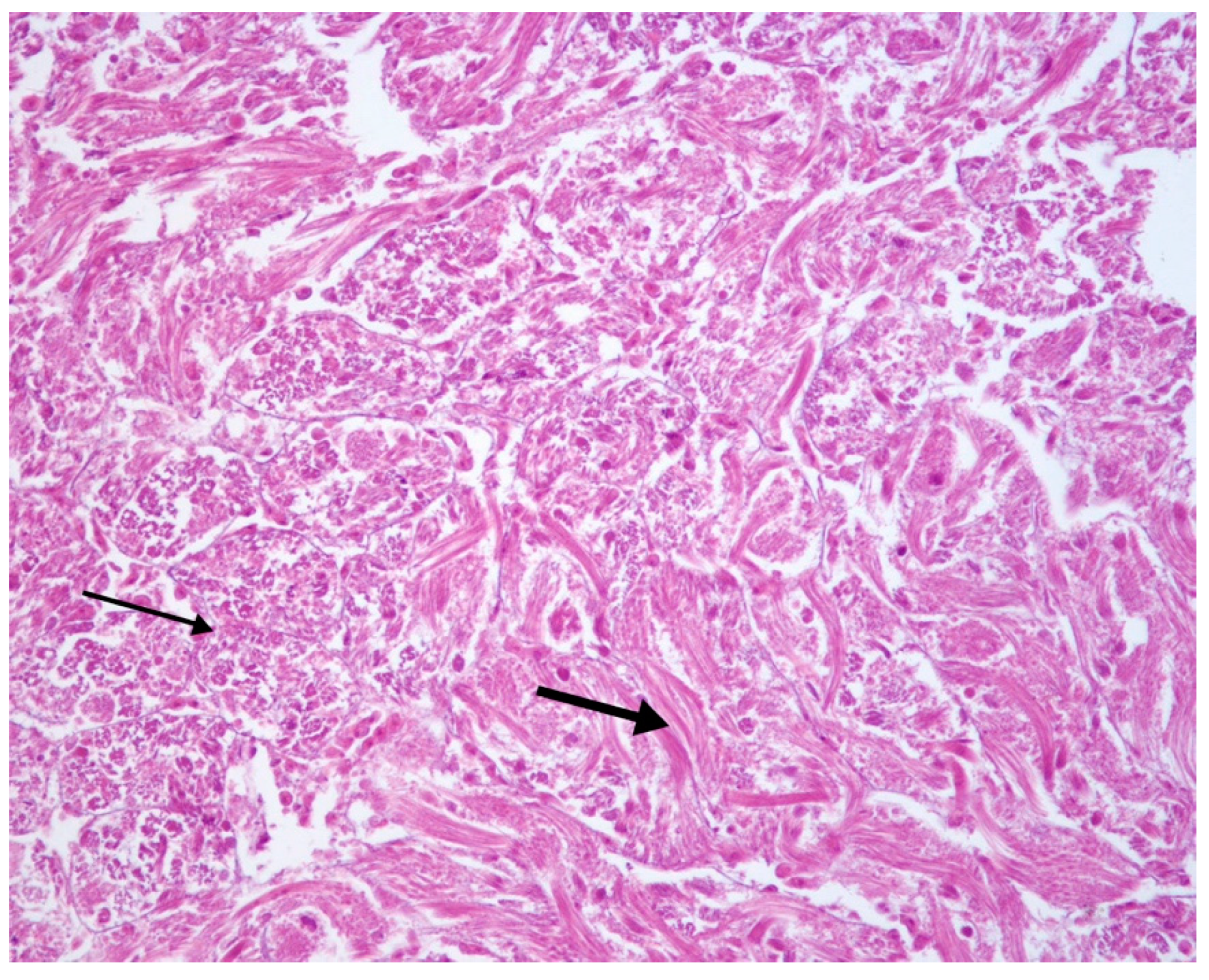
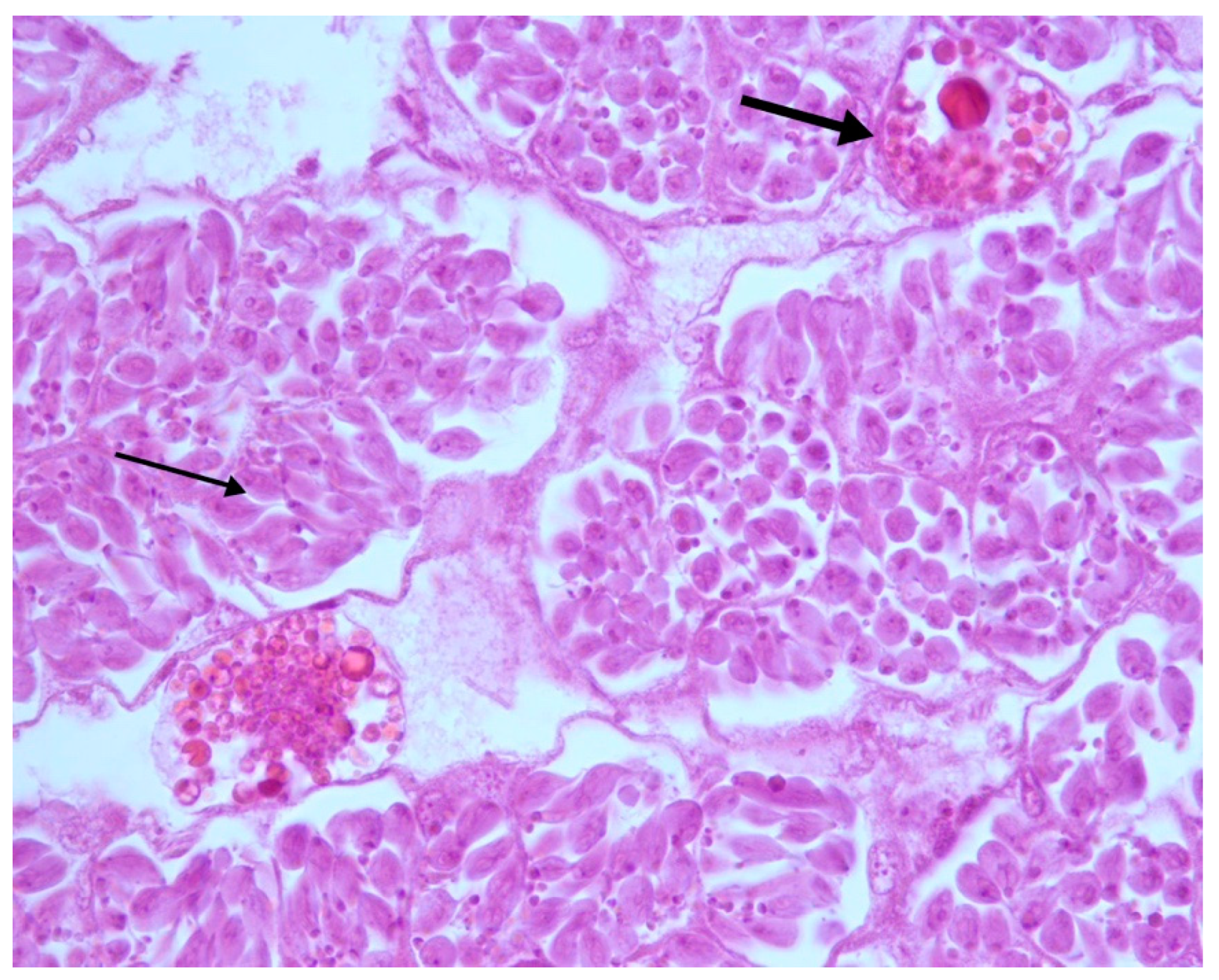
3. Results
4. Discussion
5. Conclusions
Author Contributions
Funding
Conflicts of Interest
References
- Potts, S.G.; Biesmeijer, J.C.; Kremen, C.; Neumann, P.; Schweiger, O.; Kunin, W.E. Global pollinator declines: Trends, impacts and drivers. Trends Ecol. Evol. 2010, 25, 345–353. [Google Scholar] [CrossRef] [PubMed]
- Hung, K.J.; Kingston, J.M.; Albrecht, M.; Holway, D.A.; Kohn, J.R. The worldwide importance of honey bees as pollinators in natural habitats. Proc. Biol. Sci. USA 2018, 285, 20172140. [Google Scholar] [CrossRef]
- Garibaldi, L.A.; Steffan-Dewenter, I.; Winfree, R.; Aizen, M.A.; Bommarco, R.; Cunningham, S.A.; Kremen, C.; Carvalheiro, L.G.; Harder, L.D.; Afik, O.; et al. Wild pollinators enhance fruit set of crops regardless of honey bee abundance. Science 2013, 339, 1608–1611. [Google Scholar] [CrossRef] [PubMed]
- Le Conte, Y.; Navajas, M. Climate change: Impact on honey bee populations and diseases. Rev. Sci. Tech. 2008, 27, 485–510. [Google Scholar] [CrossRef]
- Goulson, D.; Nicholls, E.; Botías, C.; Rotheray, E.L. Bee declines driven by combined stress from parasites, pesticides, and lack of flowers. Science 2015, 347, 1255957. [Google Scholar] [CrossRef] [PubMed]
- Pettis, J.S.; Rice, N.; Joselow, K.; van Engelsdorp, D.; Chaimanee, V. Colony failure linked to low sperm viability in honey bee (Apis mellifera) queens and an exploration of potential causative factors. PLoS ONE 2016, 11, e0147220. [Google Scholar] [CrossRef]
- Straub, L.; Villamar-Bouza, L.; Bruckner, S.; Chantawannakul, P.; Gauthier, L.; Khongphinitbunjong, K.; Retsching, G.; Troxler, A.; Vindondo, B.; Neuman, P.; et al. Neonicotinoid insecticides can serve as inadvertent insect contraceptives. Proc. Biol. Sci. USA 2016, 283, 20160506. [Google Scholar] [CrossRef]
- Kairo, G.; Provost, B.; Tchamitchian, S.; Abdelkader, F.B.; Bonnet, M.; Cousin, M.; Sénéchal, J.; Benet, P.; Kretzschmar, A.; Belzunces, L.P.; et al. Drone exposure to the systemic insecticide Fipronil indirectly impairs queen reproductive potential. Sci. Rep. 2016, 6, 31904. [Google Scholar] [CrossRef]
- McAfee, A.; Pettis, J.S.; Tarpy, D.R.; Foster, L.J. Feminizer and doublesex knock-outs cause honey bees to switch sexes. PLoS Biol. 2019, 17, e3000256. [Google Scholar] [CrossRef]
- Brutscher, L.M.; Baer, B.; Niño, E.L. Putative drone copulation factors regulating honey bee (Apis mellifera) queen reproduction and health: A review. Insects 2019, 10, 8. [Google Scholar] [CrossRef]
- Stürup, M.; Baer-Imhoof, B.; Nash, D.R.; Boomsma, J.J.; Baer, B. When every sperm counts: Factors affecting male fertility in the honeybee Apis mellifera. Behav. Ecol. 2013, 24, 1192–1198. [Google Scholar] [CrossRef]
- Boes, K.E. Honeybee colony drone production and maintenance in accordance with environmental factors: An interplay of queen and worker decisions. Insectes Soc. 2010, 57, 1–9. [Google Scholar] [CrossRef]
- Metz, B.N.; Tarpy, D.R. Reproductive Senescence in Drones of the Honey Bee (Apis mellifera). Insects 2019, 10, 11. [Google Scholar] [CrossRef] [PubMed]
- Boomsma, J.J.; Baer, B.; Heinze, J. The evolution of male traits in social insects. Annu. Rev. Entomol. 2005, 50, 395–420. [Google Scholar] [CrossRef] [PubMed]
- Amiri, E.; Strand, M.; Rueppell, O.; Tarpy, D. Queen Quality and the impact of honey bee diseases on queen health: Potential for interactions between two major threats to colony health. Insects 2017, 8, 48. [Google Scholar] [CrossRef] [PubMed]
- Snodgrass, R.E. The Anatomy of the Honey Bee; USDA Bureau of Entomology: Washington, DC, USA, 1910; Volume 18.
- Koeniger, G.; Koeniger, N.; Jamie, E.; Lawrence, C. Mating Biology of Honey Bees (Apis Mellifera); Wicwas Press: Kalamazoo, MI, USA, 2014. [Google Scholar]
- Colonello, N.; Hartfelder, K. Protein content and pattern during mucus gland maturation and its ecdysteroid controlin honey bee drones. Apidologie 2003, 34, 257–267. [Google Scholar] [CrossRef]
- Bishop, G.H. Fertilization in the honey-bee I. The male sexual organs their histological structure and physiological functioning. J. Exp. Zool. 1920, 31, 225–265. [Google Scholar] [CrossRef]
- Page, R.E., Jr.; Peng, C.Y. Aging and development in social insects with emphasis on the honey bee, Apis mellifera L. Exp. Gerontol. 2001, 36, 695–711. [Google Scholar] [CrossRef]
- Ruttner, F. The Instrumental Insemination of the Queen Bee; Apimondia International Beekeeping Technology and Economy Institute: Bucharest, Romania, 1976. [Google Scholar]
- Rousseau, A.; Fournier, V.; Giovenazzo, P. Apis mellifera (Hymenoptera: Apidae) drone sperm quality in relation to age, genetic line, and time of breeding. Can. Entomol. 2015, 147, 702–711. [Google Scholar] [CrossRef]
- Czekońska, K.; Chuda-Mickiewicz, B.; Samborski, J. Quality of honeybee drones reared in colonies with limited and unlimited access to pollen. Apidologie 2015, 46, 1–9. [Google Scholar] [CrossRef]
- Rousseau, A.; Giovenazzo, P. Optimizing Drone Fertility With Spring Nutritional Supplements to Honey Bee (Hymenoptera: Apidae) Colonies. J. Econ. Entomol. 2016, 109, 1009–1014. [Google Scholar] [CrossRef] [PubMed]
- Duay, P.; De Jong, D.; Engels, W. Decreased flight performance and sperm production in drones of the honey bee (Apis mellifera) slightly infested by Varroa destructor mites during pupal development. Genet. Mol. Res. 2002, 1, 227–232. [Google Scholar] [PubMed]
- Peng, Y.; Baer-Imhoof, B.; Millar, A.H.; Baer, B. Consequences of Nosema apis infection for male honey bees and their fertility. Sci. Rep. 2015, 5, 10565. [Google Scholar] [CrossRef] [PubMed]
- Locke, S.J.; Peng, Y.S. The effects of drone age, semen storage and contamination on semen quality in the honey bee (Apis mellifera). Physiol. Entomol. 1993, 18, 144–148. [Google Scholar] [CrossRef]
- Czekonska, K.; Chorbinski, P.; Czekońska, K. The Influence of Honey Bee (Apis Mellifera) Drone Age on Volume of Semen and Viability of Spermatozoa. J. Apic. Sci. 2013, 57, 61–66. [Google Scholar] [CrossRef]
- Fievet, J.; Tentcheva, D.; Gauthier, L.; De Miranda, J.; Cousserans, F.; Colin, M.E.; Bergoin, M. Localization of deformed wing virus infection in queen and drone Apis mellifera L. Virol. J. 2006, 3, 16. [Google Scholar] [CrossRef] [PubMed]
- Johnson, R.M.; Dahlgren, L.; Siegfried, B.E.; Ellis, M.D. Effect of in-hive miticides on drone honey bee survival and sperm viability. J. Apic. Res. 2013, 52, 88–95. [Google Scholar] [CrossRef]
- Gatimel, N.; Moreau, J.; Parinaud, J.; Léandri, R.D. Sperm morphology: Assessment, pathophysiology, clinical relevance, and state of the art in 2017. Andrology 2017, 5, 845–862. [Google Scholar] [CrossRef]
- Human, H.; Brodschneider, R.; Dietemann, V. Miscellaneous Standard Methods for Apis mellifera Research. J. Apic. Res. 2013, 52. [Google Scholar] [CrossRef]
- Kastelic, J.P. Male involvement in fertility and factors affecting semen quality in bulls. Anim. Front. 2013, 3, 20–25. [Google Scholar] [CrossRef]
- Kunavongkrit, A.; Suriyasomboon, A.; Lundeheim, N.; Heard, T.W.; Einarsson, S. Management and sperm production of boars under differing environmental conditions. Theriogenology 2005, 63, 657–667. [Google Scholar] [CrossRef]
- Power, K.; D’Anza, E.; Martano, M.; Albarella, S.; Ciotola, F.; Peretti, V.; Maiolino, P. Morphological and morphometric analysis of the Italian honeybee (Apis mellifera ligustica) spermatozoa: A preliminary study in Campania region. Vet. Med. Anim. Sci. 2018, 6, 2. [Google Scholar] [CrossRef]
- Babazadeh, M.; Najafi, G. Effect of chlorpyrifos on sperm characteristics and testicular tissue changes in adult male rats. Vet. Res. Forum. 2017, 8, 319–326. [Google Scholar] [PubMed]
- Ebrahimi, M.; Taherianfard, M. The effects of heavy metals exposure on reproductive system of cyprinid fish from Kor River. Iran. J. Fish. Sci. 2011, 10, 13–26. [Google Scholar]
- Finkel, T.; Holbrook, N.J. Oxidants, oxidative stress and the biology of ageing. Nature 2000, 408, 239–247. [Google Scholar] [CrossRef] [PubMed]
- Li-Byarlay, H.; Huang, M.H.; Simone-Finstrom, M.; Strand, M.K.; Tarpy, D.R.; Rueppell, O. Honey bee (Apis mellifera) drones survive oxidative stress due to increased tolerance instead of avoidance or repair of oxidative damage. Exp. Gerontol. 2016, 83, 15–21. [Google Scholar] [CrossRef]
- Lago, D.C.; Martins, J.R.; Rodrigo, P.D.; Santos, D.E.; Bitondi, M.M.; Hartfelder, K. Testis development and spermatogenesis in drones of the honey bee Apis mellifera L. Apidologie 2020. [Google Scholar] [CrossRef]
- Hayes, T.B.; Anderson, L.L.; Beasley, V.R.; De Solla, S.R.; Iguchi, T.; Ingraham, H.; Kestemon, P.; Kniewald, J.; Kniewald, Z.; Longlois, V.S.; et al. Demasculinization and feminization of male gonads by atrazine: Consistent effects across vertebrate classes. J. Steroid Biochem. Mol. Biol. 2011, 127, 64–73. [Google Scholar] [CrossRef]
- Huang, G.Y.; Liu, Y.S.; Chen, X.W.; Liang, Y.Q.; Liu, S.S.; Yang, Y.Y.; Hu, L.X.; Shi, W.-J.; Tian, F.; Zhao, J.-L.; et al. Feminization and masculinization of western mosquitofish (Gambusia affinis) observed in rivers impacted by municipal wastewaters. Sci. Rep. 2016, 6, 20884. [Google Scholar] [CrossRef]
- Sandroc, C.; Tanadini, L.G.; Pettis, J.S.; Biesmeijer, J.C.; Potts, S.G.; Neumann, P. Sublethal neonicotinoid insecticide exposure reduces solitary bee reproductive success. Agric. For. Entomol. 2014, 16, 119–128. [Google Scholar] [CrossRef]
- Baines, D.; Wilton, E.; Pawluk, A.; de Gorter, M.; Chomistek, N. Neonicotinoids act like endocrine disrupting chemicals in newly-emerged bees and winter bees. Sci. Rep. 2017, 7, 10979. [Google Scholar] [CrossRef]
- Tufail, M.; Nagaba, Y.; Elgendy, A.M.; Takeda, M. Regulation of vitellogenin genes in insects. Entomol. Sci. 2014, 17, 269–282. [Google Scholar] [CrossRef]
- Amdam, G.V.; Norberg, K.; Hagen, A.; Omholt, S.W. Social exploitation of vitellogenin. Proc. Natl. Acad. Sci. USA 2003, 100, 1799–1802. [Google Scholar] [CrossRef] [PubMed]
- Colonello-Frattini, N.A.; Guidugli-Lazzarini, K.R.; Simões, Z.L.; Hartfelder, K. Mars is close to venus--female reproductive proteins are expressed in the fat body and reproductive tract of honey bee (Apis mellifera L.) drones. J. Insect Physiol. 2010, 56, 1638–1644. [Google Scholar] [CrossRef] [PubMed]
- Lipiński, Z.; Żółtowska, K. Preliminary evidence associating oxidative stress in honey bee drone brood with Varroa destructor. J. Apic. Res. 2005, 44, 126–128. [Google Scholar] [CrossRef]
- Di Prisco, G.; Annoscia, D.; Margiotta, M.; Ferrara, R.; Varricchio, P.; Zanni, V.; Caprio, E.; Nazzi, F.; Pennacchio, F. A mutualistic symbiosis between a parasitic mite and a pathogenic virus undermines honey bee immunity and health. Proc. Natl. Acad. Sci. USA 2016, 113, 3203–3208. [Google Scholar] [CrossRef]




© 2020 by the authors. Licensee MDPI, Basel, Switzerland. This article is an open access article distributed under the terms and conditions of the Creative Commons Attribution (CC BY) license (http://creativecommons.org/licenses/by/4.0/).
Share and Cite
Power, K.; Martano, M.; Altamura, G.; Maiolino, P. Histopathological Findings in Testes from Apparently Healthy Drones of Apis mellifera ligustica. Vet. Sci. 2020, 7, 124. https://doi.org/10.3390/vetsci7030124
Power K, Martano M, Altamura G, Maiolino P. Histopathological Findings in Testes from Apparently Healthy Drones of Apis mellifera ligustica. Veterinary Sciences. 2020; 7(3):124. https://doi.org/10.3390/vetsci7030124
Chicago/Turabian StylePower, Karen, Manuela Martano, Gennaro Altamura, and Paola Maiolino. 2020. "Histopathological Findings in Testes from Apparently Healthy Drones of Apis mellifera ligustica" Veterinary Sciences 7, no. 3: 124. https://doi.org/10.3390/vetsci7030124
APA StylePower, K., Martano, M., Altamura, G., & Maiolino, P. (2020). Histopathological Findings in Testes from Apparently Healthy Drones of Apis mellifera ligustica. Veterinary Sciences, 7(3), 124. https://doi.org/10.3390/vetsci7030124

