Ultrasonographic Evidence of Synovitis Correlates with Synovial Citrate and TBARS in Equine Osteoarthritis
Simple Summary
Abstract
1. Introduction
2. Materials and Methods
2.1. Ethical Approval
2.2. Study Design and Experimental Animals
2.3. Orthopedic Evaluation
2.4. Radiographic Evaluation
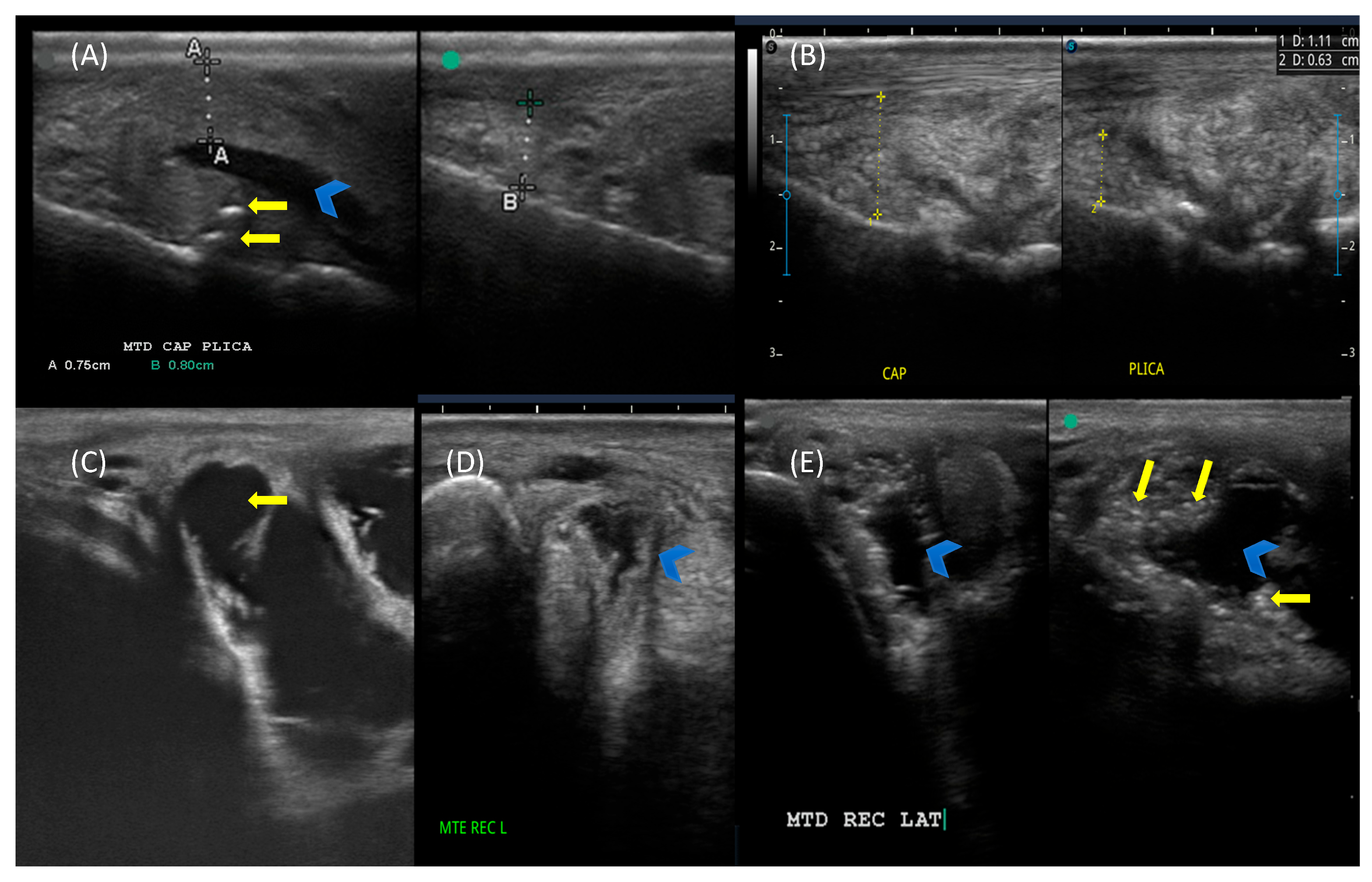
2.5. Ultrasonographic Evaluation
2.6. Group Classification Criteria
2.7. Synovial Fluid Collection, Transport, and Basic Analyses
2.8. Collagen Metabolism Analysis
2.9. Global 1H NMR-Based Metabolomics
2.10. TBARS Analysis
2.11. Statistical Analysis
3. Results
3.1. Experimental Animals Profile
3.2. Orthopedic Results
3.3. Radiographic Scoring
3.4. Ultrasonographic Scoring
3.5. Synovial Fluid Basic Results
3.6. Collagen Metabolism Results
3.7. Global 1H NMR-Based Metabolomics Results
3.8. TBARS Concentration
3.9. Correlation Between Imaging Scores and Potential Biomarkers
4. Discussion
4.1. Clinical Trial
4.2. Radiographic Findings
4.3. Ultrasonographic Findings
4.4. Synovial Sample Handling and Basic Analyses
4.5. Collagen Metabolism Biomarker
4.6. Global Metabolomics
4.7. Lipid Peroxidation Analysis
5. Conclusions
Supplementary Materials
Author Contributions
Funding
Institutional Review Board Statement
Informed Consent Statement
Data Availability Statement
Acknowledgments
Conflicts of Interest
Abbreviations
| OAG | Osteoarthritis group |
| CG | Control group |
| 1H NMR | Hydrogen nuclear magnetic resonance spectroscopy |
| TBARS | Thiobarbituric acid reactive substances |
| C2C | Type II collagen degradation biomarker |
| CPII | Type II collagen C-pro-peptide biomarker |
| CS846 | Chondroitin sulfate 846 epitope biomarker |
| HA | Hyaluronan |
| MRI | Magnetic resonance imaging |
| MDA | Malondialdehyde |
| EDTA | Ethylenediaminetetraacetic acid |
| PCA | Principal component analysis |
| PLS-DA | Partial least squares discriminant analysis |
| VIP | Variable importance in projection |
References
- Daghestani, H.N.; Kraus, V.B. Inflammatory biomarkers in osteoarthritis. Osteoarthr. Cartil. 2015, 23, 1890–1896. [Google Scholar] [CrossRef]
- McIlwraith, C.W.; Frisbie, C.D.; Kawcak, C.E.; Van Weeren, R.P. Joint Disease in the Horse, 2nd ed.; Elsevier: Amsterdam, The Netherlands, 2016. [Google Scholar]
- De Sousa, E.B.; Dos Santos Junior, G.C.; Duarte, M.E.L.; Moura Neto, V.; Aguiar, D.P. Metabolomics as a promising tool for early osteoarthritis diagnosis. Braz. J. Med. Biol. Res. 2017, 50, e6485. [Google Scholar] [CrossRef]
- Felson, D.T.; Neogi, T. Osteoarthritis: Is it a disease of cartilage or of bone? Arthritis Rheum. 2004, 50, 341–344. [Google Scholar] [CrossRef]
- Madry, H.; Luyten, F.P.; Facchini, A. Biological aspects of early osteoarthritis. Knee Surg. Sports Traumatol. Arthrosc. 2012, 20, 407–422. [Google Scholar] [CrossRef]
- Kumavat, R.; Kumar, V.; Malhotra, R.; Pandit, H.; Jones, E.; Ponchel, F.; Biswas, S. Biomarkers of joint damage in osteoarthritis: Current status and future directions. Mediat. Inflamm. 2021, 2021, 5574582. [Google Scholar] [CrossRef]
- Novakofski, K.D.; Berg, L.C.; Bronzini, I.; Bonnevie, E.D.; Poland, S.G.; Bonassar, L.J.; Fortier, L.A. Joint-dependent response to impact and implications for post-traumatic osteoarthritis. Osteoarthr. Cartil. 2015, 23, 1130–1137. [Google Scholar] [CrossRef]
- Dwivedi, A.; More, U.; Deo, S.; Kishore, J.V.S.; Kopparth, R.M. Pro-inflammatory biomarkers and cytokines. J. Pharm. Negat. Results 2023, 14, 466–472. [Google Scholar]
- Vanderperren, K.; Saunders, J.H. Diagnostic imaging of the equine fetlock region using radiography and ultrasonography. Part 2: The bony disorders. Vet. J. 2009, 181, 123–136. [Google Scholar] [PubMed]
- Rasera, L.; Macoris, D.G.; Canola, J.C.; Aita, A.C.; Gomes, T.L.S. Early radiographic and ultrasonographic alterations in experimental equine osteoarthritis. Arq. Bras. Med. Vet. Zootec. 2007, 59, 3. [Google Scholar]
- Raynauld, J.P.; Martel-Pelletier, J.; Berthiaume, M.J.; Labonté, F.; Beaudoin, G.; De Guise, J.A.; Bloch, D.A.; Choquette, D.; Haraoui, B.; Altman, R.D.; et al. Quantitative magnetic resonance imaging evaluation of knee osteoarthritis progression over two years and correlation with clinical symptoms and radiologic changes. Arthritis Rheum. 2004, 50, 476–487. [Google Scholar] [CrossRef] [PubMed]
- Denoix, J.M. Ultrasonographic examination of joints: A revolution in equine locomotor pathology. Bull. Acad. Vet. Fr. 2009, 162, 313–325. [Google Scholar] [CrossRef][Green Version]
- Berg-Johansson, J. Biomarkers in Equine Bone and Joint Disorders. Master’s Thesis, Swedish University of Agricultural Sciences, Uppsala, Sweden, 2009. [Google Scholar]
- Canuto, G.A.B.; Costa, J.L.; Cruz, P.L.R.; Souza, A.R.L.; Faccio, A.T.; Klassen, A.; Rodrigues, K.T.; Tavares, M.F.M. Metabolomics: Definitions, state of the art and representative applications. Quim. Nova 2018, 41, 75–91. [Google Scholar]
- Anderson, J.R.; Phelan, M.M.; Clegg, P.D.; Peffers, M.J.; Rubio-Martinez, L.M. Synovial fluid metabolites differentiate between septic and nonseptic joint pathologies. J. Proteome Res. 2018, 17, 2735–2743. [Google Scholar] [CrossRef]
- Laus, F.; Gialletti, R.; Bazzano, M.; Laghi, L.; Dini, F.; Marchegiani, A. Synovial fluid metabolome differentiates healthy joints from osteoarthritic joints in horses. Metabolites 2023, 13, 913. [Google Scholar] [CrossRef]
- Piccionello, A.P.; Sassaroli, S.; Pennasilico, L.; Rossi, G.; Cerbo, A.; Riccio, V.; Bella, L.L.; Laghi, L.; Angelini, M.; Marini, C.; et al. Comparative 1H-NMR metabolomic profiling of canine synovial fluid across four stages of osteoarthritis. Sci. Rep. 2024, 14, 3627. [Google Scholar] [CrossRef] [PubMed]
- Ramírez-Noguera, P.; Marín, I.Z.; Chavarin, B.M.G.; Valderrama, M.E.; López-Barrera, L.D.; Díaz-Torres, R. Early effects of chitosan nanoparticles with glutathione in rats with osteoarthrosis. Pharmaceutics 2023, 15, 2172. [Google Scholar] [CrossRef] [PubMed]
- Müller, A.J.; Letelier, M.E.; Galleguillos, M.A.; Molina-Berríos, A.E.; Adarmes, H.H. Antioxidant effects of equine synovial fluid compared with hyaluronic acid and chondroitin sulfate. Am. J. Vet. Res. 2010, 71, 399–404. [Google Scholar] [CrossRef] [PubMed]
- Tsuzuki, N.; Kanbayashi, Y.; Kusano, K. Oxidative stress markers in synovial fluid of thoroughbred horses with carpal bone fracture. J. Equine Sci. 2019, 30, 13–16. [Google Scholar] [CrossRef]
- Kirschvink, N.; Moffarts, B.D.E.; Lekeux, P. The oxidant/antioxidant equilibrium in horses. Vet. J. 2008, 177, 178–191. [Google Scholar] [CrossRef]
- Michalska, J.; Nowicka, B.; Wessely-Szponder, J. Relationship between neutrophil activity, oxidative stress, acute phase response, and lameness grade in naturally occurring acute and chronic joint disorders in horses. J. Equine Vet. Sci. 2020, 88, 102972. [Google Scholar] [CrossRef]
- AAEP Horse Show Committee. Guide to Veterinary Services for Horse Shows, 7th ed.; American Association of Equine Practitioners: Lexington, KY, USA, 1999. [Google Scholar]
- Trumble, T.N.; Brown, M.P.; Merritt, K.A.; Billinghurst, R.C. Joint-dependent concentrations of bone alkaline phosphatase in serum and synovial fluid of horses with osteochondral injury: An analytical and clinical validation. Osteoarthr. Cartil. 2008, 16, 779–786. [Google Scholar] [CrossRef][Green Version]
- Denoix, J.M. Ultrasonographic examination in diagnosis of joint disease. In Joint Disease in the Horse; McIlwraith, C.W., Trotter, G.W., Eds.; Saunders: Philadelphia, PA, USA, 1996; pp. 165–202. [Google Scholar]
- Reef, V.B. Equine Diagnostic Ultrasound; Saunders: Philadelphia, PA, USA, 1998. [Google Scholar]
- De Sousa, E.B.; Santos Junior, G.C.; Aguiar, R.P.; Sartore, R.C.; Oliveira, A.C.L.; Almeida, F.C.L.; Moura Neto, V.; Aguiar, D.P. Osteoarthritic synovial fluid modulates cell phenotype and metabolic behavior in vitro. Stem Cells Int. 2019, 2019, 8169172. [Google Scholar] [CrossRef]
- Pang, Z.; Chong, J.; Zhou, G.; Morais, D.A.L.; Chang, L.; Barrette, M.; Gauthier, C.; Jacques, P.T.; Li, S.; Xia, J. MetaboAnalyst 5.0: Narrowing the gap between raw spectra and functional insights. Nucleic Acids Res. 2021, 49, W388–W396. [Google Scholar] [CrossRef]
- Sarlós, P.; Molnár, A.; Kókai, M.; Gábor, G.; Rátky, J. Comparative evaluation of the effect of antioxidants in the conservation of ram semen. Acta Vet. Hung. 2002, 50, 235–245. [Google Scholar] [CrossRef]
- Schober, P.; Boer, C.; Schwarte, L.A. Correlation coefficients: Appropriate use and interpretation. Anesth. Analg. 2018, 126, 1763–1768. [Google Scholar] [CrossRef] [PubMed]
- Vanderperren, K.; Saunders, J.H. Diagnostic imaging of the equine fetlock region using radiography and ultrasonography. Part 1: Soft tissues. Vet. J. 2009, 181, 111–122. [Google Scholar] [CrossRef] [PubMed]
- Yamada, A.L.M.; Pinheiro, M.; Marsiglia, M.F.; Hagen, S.C.F.; Baccarin, R.Y.A.; Silva, L.C.L.C. Synovial fluid proteomics of equine joints affected by osteoarthritis using LC-MS/MS. J. Vet. Sci. 2019, 21, e21. [Google Scholar] [CrossRef] [PubMed]
- Rosa, G.; Krieck, A.M.T.; Padula, E.; Pfeifer, J.P.H.; Souza, J.B.; Rossi, M.; Stievani, F.; Deffune, E.; Takahira, R.; Alves, A.L.G. Allogeneic synovial membrane-derived mesenchymal stem cells do not significantly affect initial inflammatory parameters in an LPS-induced acute synovitis model. Res. Vet. Sci. 2020, 132, 485–491. [Google Scholar] [CrossRef]
- Bastiani, G.; De La Côrte, F.D.; Brass, K.E.; Kommers, G.D.; Denoix, J.M. Association of ultrasound and anatomopathologic findings of equine metacarpophalangeal lesions. J. Equine Vet. Sci. 2014, 34, 1218–1225. [Google Scholar] [CrossRef]
- Mahaffey, E.A. Synovial fluid. In Cytology and Hematology of the Horse, 2nd ed.; Cowell, R.L., Tyler, R.D., Eds.; Mosby: St. Louis, MO, USA, 2002; pp. 163–170. [Google Scholar]
- Alberts, B.; Johnson, A.; Lewis, J.; Morgan, D.; Raff, M.; Roberts, K.; Walter, P. Molecular Biology of the Cell, 6th ed.; Artmed: Porto Alegre, Brazil, 2017. [Google Scholar]
- Douzi, W.; Guillot, X.; Bon, D.; Seguin, F.; Boildieu, N.; Wendling, D.; Tordi, N.; Dupuy, O.; Dugué, B. Article1h-nmr-based analysis for exploring knee synovial fluid metabolite changes after local cryotherapy in knee arthritis patients. Metabolites 2020, 10, 460. [Google Scholar] [CrossRef]
- Burtis, C.A.; Bruns, D.E. Tietz Fundamentals of Clinical Chemistry and Molecular Diagnostics, 7th ed.; Elsevier: Rio de Janeiro, Brazil, 2016. [Google Scholar]






| PARAMETER | SCORE | |||
|---|---|---|---|---|
| 0 | 1 | 2 | 3 | |
| subchondral bone sclerosis | absent | mild | moderate | severe |
| soft tissue | normal | mild thickening | moderate thickening | mineralization |
| narrowing of the joint space | absent | <3 mm | 3–5 mm | >6 mm |
| number of oste/entheseophytes | absent | 1 a 2 | 3 a 4 | >4 |
| size of oste/entheseophytes | absent | small | medium | large |
| number of fragments | absent | 1 | 2 | >3 |
| size of fragments | absent | small | medium | large |
| Structure | Size (mm) | Echogenicity | Echotexture | Shape | Fragment/Mineralization | Fiber Alignment |
|---|---|---|---|---|---|---|
| Synovial membrane | ≤5.0 (0); >5.1 (1) | Echoic (0); Hypo-/Hyperechoic (1) | Homogeneous (0); Heterogeneous (1) | Regular (0); Irregular (1) | Absent (0); Present (1) | — |
| Synovial plica | ≤5.0 (0); >5.1 (1) | Hypoechoic (0); Anechoic/Hyperechoic (1) | Homogeneous (0); Heterogeneous (1) | Regular (0); Irregular (1) | Absent (0); Present (1) | — |
| Bone contour | — | Hyperechoic (0); Hypoechoic (1) | Homogeneous (0); Heterogeneous (1) | Regular (0); Irregular (1) | Absent (0); Present (1) | — |
| Synovial fluid | Normal (0); increased/Decreased (1) | Anechoic (0); Hypo-/Hyperechoic (1) | — | — | — | — |
| LSCL | ≤4.5 (0); >4.6 (1) | Echoic (0); Hypo-/Hyperechoic (1) | Homogeneous (0); Heterogeneous (1) | Regular (0); Irregular (1) | Absent (0); Present (1) | Parallel (0); Disorganized (1) |
| LLCL | ≤4.5 (0); >4.6 (1) | Echoic (0); Hypo-/Hyperechoic (1) | Homogeneous (0); Heterogeneous (1) | Regular (0); Irregular (1) | Absent (0); Present (1) | Parallel (0); Disorganized (1) |
| MSCL | ≤4.5 (0); >4.6 (1) | Echoic (0); Hypo-/Hyperechoic (1) | Homogeneous (0); Heterogeneous (1) | Regular (0); Irregular (1) | Absent (0); Present (1) | Parallel (0); Disorganized (1) |
| MLCL | ≤4.5 (0); >4.6 (1) | Echoic (0); Hypo-/Hyperechoic (1) | Homogeneous (0); Heterogeneous (1) | Regular (0); Irregular (1) | Absent (0); Present (1) | Parallel (0); Disorganized (1) |
| Parameters | Control Group | Osteoarthritis Group | p Value | |
|---|---|---|---|---|
| Mean ± Standard Deviation | Mean ± Standard Deviation | |||
| Demographic data | Age (years) | 3.55 a ± 1.21 | 9.14 b ± 5.89 | 0.0085 |
| Weight (Kg) | 332.00 a ± 27.07 | 466.70 b ± 38.06 | <0.0001 | |
| Imaging scores | Sum of image scores | 3.27 a ± 0.79 | 17.51 b ± 6.84 | <0.0001 |
| Radiographic scores | 0.91 a ± 0.83 | 8.81 b ± 5.58 | <0.0001 | |
| Ultrasonographic scores | 2.36 a ± 0.50 | 8.70 b ± 3.32 | <0.0001 | |
| Orthopedic scores | Joint distention | 0 a ± 0 | 0.57 a ± 0.69 | 0.1479 |
| Local heat | 0 a ± 0 | 0.35 a ± 0.59 | 0.4276 | |
| Pain on palpation | 0 a ± 0 | 0.27 a ± 0.61 | 0.5864 | |
| Lameness | 0 a ± 0 | 0.59 a ± 1.07 | 0.3872 | |
| Lameness in flexion | 0 a ± 0 | 1.14 a ± 1.16 | 0.0584 | |
| Parameters of Synovial Fluid | Control Group | Osteoarthritis Group | p Value | |
|---|---|---|---|---|
| Mean ± Standard Deviation | Mean ± Standard Deviation | |||
| Physicochemical | Volume (mL) | 1.60 a ± 0.80 | 5.80 b ± 2.50 | 0.0032 |
| Color (score) | 0.91 a ± 1.58 | 2.00 a ± 1.31 | 0.0594 | |
| Turbidity (score) | 0.82 a ± 1.25 | 0.68 a ± 0.88 | 0.7527 | |
| Viscosity (score) | 3.36 a ± 1.12 | 3.08 a ± 1.50 | 0.9716 | |
| Total protein (g/dL) | 0.51 a ± 0.21 | 1.07 b ± 0.43 | <0.0001 | |
| Mucin test (score) | 0.64 a ± 0.67 | 1.97 a ± 1.22 | 0.0654 | |
| pH | 7.64 a ± 0.32 | 8.11 b ± 0.67 | 0.0089 | |
| Cytology | TNCC (cells/μL) | 114.60 a ± 72.07 | 96.05 a ± 85.30 | 0.107 |
| Neutrophils (%) | 19.88 a ± 11.46 | 11.86 b ± 13.61 | 0.043 | |
| Lymphocytes (%) | 19.13 a ± 9.93 | 18.36 a ± 15.86 | 0.900 | |
| Large mononucleated cells (%) | 59.25 a ± 18.57 | 69.68 a ± 20.41 | 0.092 | |
| Eosinophils (%) | 1.75 a ± 1.04 | 0.09 b ± 0.29 | <0.001 | |
| Cartilage degradation | C2C (ng/mL) | 4739 a ± 21.29 | 78.03 b ± 30.73 | 0.011 |
| Oxidative damage | TBARS (ng/mL) | 603.14 a ± 144.43 | 637.77 b ± 152.43 | 0.009 |
Disclaimer/Publisher’s Note: The statements, opinions and data contained in all publications are solely those of the individual author(s) and contributor(s) and not of MDPI and/or the editor(s). MDPI and/or the editor(s) disclaim responsibility for any injury to people or property resulting from any ideas, methods, instructions or products referred to in the content. |
© 2026 by the authors. Licensee MDPI, Basel, Switzerland. This article is an open access article distributed under the terms and conditions of the Creative Commons Attribution (CC BY) license.
Share and Cite
Barreira, A.P.; Moreira, T.; Silva, R.; Nunes, L.; Lioi, A.; Kraus, E.; Altheman, V.; Ribeiro, M.; Leite, C.; Silva, A.; et al. Ultrasonographic Evidence of Synovitis Correlates with Synovial Citrate and TBARS in Equine Osteoarthritis. Vet. Sci. 2026, 13, 140. https://doi.org/10.3390/vetsci13020140
Barreira AP, Moreira T, Silva R, Nunes L, Lioi A, Kraus E, Altheman V, Ribeiro M, Leite C, Silva A, et al. Ultrasonographic Evidence of Synovitis Correlates with Synovial Citrate and TBARS in Equine Osteoarthritis. Veterinary Sciences. 2026; 13(2):140. https://doi.org/10.3390/vetsci13020140
Chicago/Turabian StyleBarreira, Anna Paula, Thaís Moreira, Rafaela Silva, Letícia Nunes, Adriana Lioi, Elizabeth Kraus, Vittoria Altheman, Marcela Ribeiro, Carla Leite, Andreza Silva, and et al. 2026. "Ultrasonographic Evidence of Synovitis Correlates with Synovial Citrate and TBARS in Equine Osteoarthritis" Veterinary Sciences 13, no. 2: 140. https://doi.org/10.3390/vetsci13020140
APA StyleBarreira, A. P., Moreira, T., Silva, R., Nunes, L., Lioi, A., Kraus, E., Altheman, V., Ribeiro, M., Leite, C., Silva, A., Almeida, F., Santos Junior, G., Lessa, D., & Alves, A. L. (2026). Ultrasonographic Evidence of Synovitis Correlates with Synovial Citrate and TBARS in Equine Osteoarthritis. Veterinary Sciences, 13(2), 140. https://doi.org/10.3390/vetsci13020140

