Oclacitinib Treatment and Surgical Management in a Case of Periocular Eosinophilic Furunculosis and Vasculitis with Secondary Eyelid Fusion in a Diabetic Cat
Simple Summary
Abstract
1. Background
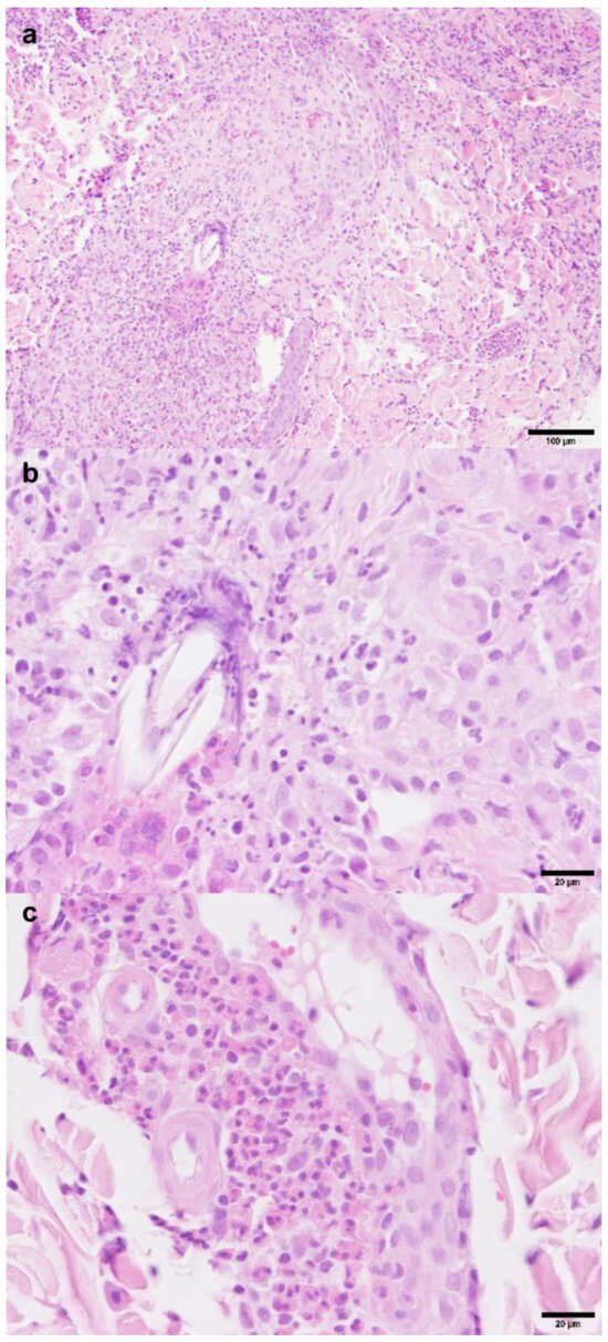
2. Case Presentation
3. Discussion
4. Conclusions
Supplementary Materials
Author Contributions
Funding
Institutional Review Board Statement
Informed Consent Statement
Data Availability Statement
Conflicts of Interest
References
- Bloom, P.B. Canine and feline eosinophilic skin diseases. Vet. Clin. N. Am. Small Anim. Pract. 2006, 36, 141–160. [Google Scholar] [CrossRef] [PubMed]
- Forsythe, P. Feline eosinophilic dermatoses Part 2: Further investigation and long-term management. Companion Anim. 2011, 16, 31–35. [Google Scholar] [CrossRef]
- Forsythe, P. Feline eosinophilic dermatoses Part 1: Aetiology, clinical signs and investigation. Companion Anim. 2011, 16, 40–45. [Google Scholar] [CrossRef]
- Kouro, T.; Takatsu, K. IL-5- and eosinophil-mediated inflammation: From discovery to therapy. Int. Immunol. 2009, 21, 1303–1309. [Google Scholar] [CrossRef]
- Jasiecka-Mikolajczyk, A.; Jaroszewski, J.J.; Maslanka, T. Oclacitinib, a Janus Kinase Inhibitor, Reduces the Frequency of IL-4- and IL-10-, but Not IFN-gamma-, Producing Murine CD4(+) and CD8(+) T Cells and Counteracts the Induction of Type 1 Regulatory T Cells. Molecules 2021, 26, 5655. [Google Scholar] [CrossRef]
- Gonzales, A.J.; Bowman, J.W.; Fici, G.J.; Zhang, M.; Mann, D.W.; Mitton-Fry, M. Oclacitinib (APOQUEL((R))) is a novel Janus kinase inhibitor with activity against cytokines involved in allergy. J. Vet. Pharmacol. Ther. 2014, 37, 317–324. [Google Scholar] [CrossRef]
- Marsella, R.; Doerr, K.; Gonzales, A.; Rosenkrantz, W.; Schissler, J.; White, A. Oclacitinib 10 years later: Lessons learned and directions for the future. J. Am. Vet. Med. Assoc. 2023, 261, S36–S47. [Google Scholar] [CrossRef]
- Carrasco, I.; Martinez, M.; Albinyana, G. Beneficial effect of oclacitinib in a case of feline pemphigus foliaceus. Vet. Dermatol. 2021, 32, 299–301. [Google Scholar] [CrossRef]
- Ferrer, L.; Carrasco, I.; Cristofol, C.; Puigdemont, A. A pharmacokinetic study of oclacitinib maleate in six cats. Vet. Dermatol. 2020, 31, 134-e24. [Google Scholar] [CrossRef]
- Gross, T.L.; Ihrke, P.J.; Walder, E.J.; Affolter, V.K. Skin Diseases of the Dog and Cat: Clinical and Histopathologic Diagnosis, 2nd ed.; Blackwell Science Ltd.: New York, NY, USA, 2005; p. 452, Print ISBN 9780632064526, Online ISBN 9780470752487. [Google Scholar] [CrossRef]
- Pouleur-Larrat, B.; Fantini, O.; Pin, D. Dermatitis due to Pelodera strongyloides with eosinophilic folliculitis-furunculosis in 2 young dogs. Summa Anim. Compagnia 2017, 34, 43–50. [Google Scholar]
- Bevier, D.E. Insect and arachnid hypersensitivity. Vet. Clin. N. Am. Small Anim. Pract. 1999, 29, 1385–1405. [Google Scholar] [CrossRef] [PubMed]
- Guaguere, E. Topical treatment of canine and feline pyoderma. Vet. Dermatol. 1996, 7, 145–151. [Google Scholar] [CrossRef] [PubMed]
- Porcellato, I.; Giontella, A.; Mechelli, L.; Del Rossi, E.; Brachelente, C. Feline eosinophilic dermatoses: A retrospective immunohistochemical and ultrastructural study of extracellular matrix remodelling. Vet. Dermatol. 2014, 25, 86-e26. [Google Scholar] [CrossRef] [PubMed]
- Hopke, K.P.; Sargent, S.J. Novel presentation of eosinophilic granuloma complex in a cat. JFMS Open Rep. 2019, 5, 2055116919891548. [Google Scholar] [CrossRef]
- McCann, T.M.; Simpson, K.E.; Shaw, D.J.; Butt, J.A.; Gunn-Moore, D.A. Feline diabetes mellitus in the UK: The prevalence within an insured cat population and a questionnaire-based putative risk factor analysis. J. Feline Med. Surg. 2007, 9, 289–299. [Google Scholar] [CrossRef]
- Nerhagen, S.; Moberg, H.L.; Boge, G.S.; Glanemann, B. Prednisolone-induced diabetes mellitus in the cat: A historical cohort. J. Feline Med. Surg. 2021, 23, 175–180. [Google Scholar] [CrossRef]
- Case, J.B.; Kyles, A.E.; Nelson, R.W.; Aronson, L.; Kass, P.H.; Klose, T.C.; Bailiff, N.L.; Gregory, C.R. Incidence of and risk factors for diabetes mellitus in cats that have undergone renal transplantation: 187 cases (1986–2005). J. Am. Vet. Med. Assoc. 2007, 230, 880–884. [Google Scholar] [CrossRef]
- Noli, C.; Scarampella, F. Prospective open pilot study on the use of ciclosporin for feline allergic skin disease. J. Small Anim. Pract. 2006, 47, 434–438. [Google Scholar] [CrossRef]
- Carrasco, I.; Ferrer, L.; Puigdemont, A. Efficacy of oclacitinib for the control of feline atopic skin syndrome: Correlating plasma concentrations with clinical response. J. Feline Med. Surg. 2022, 24, 787–793. [Google Scholar] [CrossRef]
- Lopes, N.L.; Campos, D.R.; Machado, M.A.; Alves, M.S.R.; de Souza, M.S.G.; da Veiga, C.C.P.; Merlo, A.; Scott, F.B.; Fernandes, J.I. A blinded, randomized, placebo-controlled trial of the safety of oclacitinib in cats. BMC Vet. Res. 2019, 15, 137. [Google Scholar] [CrossRef]
- Moore, A.; Burrows, A.K.; Malik, R.; Ghubash, R.M.; Last, R.D.; Remaj, B. Fatal disseminated toxoplasmosis in a feline immunodeficiency virus-positive cat receiving oclacitinib for feline atopic skin syndrome. Vet. Dermatol. 2022, 33, 435–439. [Google Scholar] [CrossRef] [PubMed]
- Gelatt, K.N.; Ben-Shlomo, G.; Gilger, B.C.; Hendrix, D.V.H.; Kern, T.J.; Plummer, C.E. Veterinary Ophthalmology, 2nd ed.; Wiley-Blackwell: Hoboken, NJ, USA, 2021; p. 2752. [Google Scholar]
- Pereira, M.V.; Gloria, A.L. Lagophthalmos. Semin. Ophthalmol. 2010, 25, 72–78. [Google Scholar] [CrossRef] [PubMed]
- Al-Dossy, S.K. Correlation between Ocular Surface Parameters and the Severity of Blepharitis in Patients with Dry Eye. Pak. Heart J. 2023, 56, 1145–1151. [Google Scholar]


Disclaimer/Publisher’s Note: The statements, opinions and data contained in all publications are solely those of the individual author(s) and contributor(s) and not of MDPI and/or the editor(s). MDPI and/or the editor(s) disclaim responsibility for any injury to people or property resulting from any ideas, methods, instructions or products referred to in the content. |
© 2025 by the authors. Licensee MDPI, Basel, Switzerland. This article is an open access article distributed under the terms and conditions of the Creative Commons Attribution (CC BY) license (https://creativecommons.org/licenses/by/4.0/).
Share and Cite
Ehling, S.; Marx, A.H.; Busse, C.; Beineke, A.; Volk, A.V. Oclacitinib Treatment and Surgical Management in a Case of Periocular Eosinophilic Furunculosis and Vasculitis with Secondary Eyelid Fusion in a Diabetic Cat. Vet. Sci. 2025, 12, 589. https://doi.org/10.3390/vetsci12060589
Ehling S, Marx AH, Busse C, Beineke A, Volk AV. Oclacitinib Treatment and Surgical Management in a Case of Periocular Eosinophilic Furunculosis and Vasculitis with Secondary Eyelid Fusion in a Diabetic Cat. Veterinary Sciences. 2025; 12(6):589. https://doi.org/10.3390/vetsci12060589
Chicago/Turabian StyleEhling, Sarah, Anne Helene Marx, Claudia Busse, Andreas Beineke, and Andrea Vanessa Volk. 2025. "Oclacitinib Treatment and Surgical Management in a Case of Periocular Eosinophilic Furunculosis and Vasculitis with Secondary Eyelid Fusion in a Diabetic Cat" Veterinary Sciences 12, no. 6: 589. https://doi.org/10.3390/vetsci12060589
APA StyleEhling, S., Marx, A. H., Busse, C., Beineke, A., & Volk, A. V. (2025). Oclacitinib Treatment and Surgical Management in a Case of Periocular Eosinophilic Furunculosis and Vasculitis with Secondary Eyelid Fusion in a Diabetic Cat. Veterinary Sciences, 12(6), 589. https://doi.org/10.3390/vetsci12060589

