Pseudomonas-Enterobacter Co-Infection Drives Cellulitis and Lymphangitis in Equines: A Case Report
Simple Summary
Abstract
1. Introduction
2. Materials and Methods
2.1. Case Description
2.2. Blood Examination
2.3. Bacteriologic Examination
2.4. Bacterial Genomics Analysis
2.5. Anti-Elastin Antibody (AEAb) ELISA
2.6. Survey Radiograph, Lymphangiogram and Ultrasonography
2.7. Data Analysis
3. Results
3.1. Blood Work Results
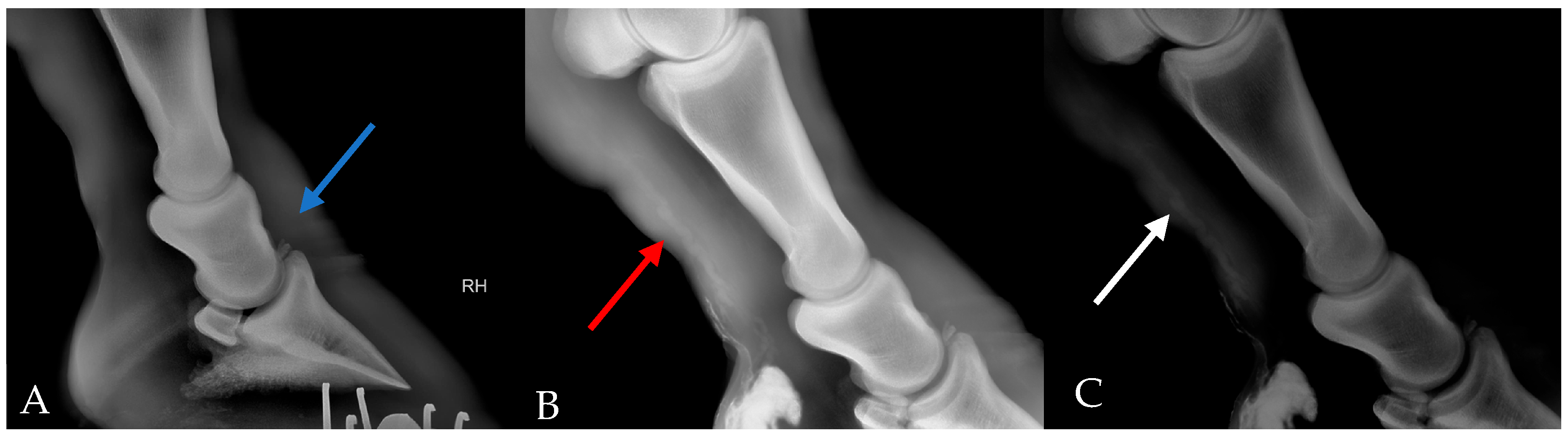
3.2. Diagnostic Imaging Results
3.3. Bacteriologic Examination and Pathogen Identification
3.4. Anti-Elastin Antibody (AEAb) ELISA Results
4. Discussion
5. Conclusions
Supplementary Materials
Author Contributions
Funding
Institutional Review Board Statement
Informed Consent Statement
Data Availability Statement
Acknowledgments
Conflicts of Interest
References
- Cooper, H.E.; Davidson, E.J.; Slack, J.; Ortved, K.F. Treatment and Outcome of Eight Horses with Limb Cellulitis and Septic Tendonitis or Desmitis. Vet. Surg. 2021, 50, 1542–1552. [Google Scholar] [CrossRef] [PubMed]
- Braid, H.R.; Ireland, J.L. A Cross-sectional Survey of the Diagnosis and Treatment of Distal Limb Cellulitis in Horses by Veterinary Surgeons in the United Kingdom. Equine Vet. Educ. 2022, 34, E234–E244. [Google Scholar] [CrossRef]
- Adam, E.N.; Southwood, L.L. Primary and Secondary Limb Cellulitis in Horses: 44 Cases (2000–2006). J. Am. Veter-Med Assoc. 2007, 231, 1696–1703. [Google Scholar] [CrossRef]
- Rendle, D. Cellulitis and Lymphangitis. Medicine 2017, 1, 16–20. [Google Scholar] [CrossRef]
- Oddsdóttir, C.; Sigurðardóttir, Ó.G.; Friðriksdóttir, V.; Svansson, V.; Bragason, B.Þ.; Björnsdóttir, S. Severe Subcutaneous Infection with Clostridium septicum in a Herd of Native Icelandic Horses. Acta Vet. Scand. 2025, 67, 8. [Google Scholar] [CrossRef]
- Kano, Y.; Momose, T. Acute Lymphangitis. Clevel. Clin. J. Med. 2020, 87, 129–130. [Google Scholar] [CrossRef] [PubMed]
- Braid, H. Diagnosing and treating cellulitis in horses. InPractice 2024, 46, 536–540. [Google Scholar] [CrossRef]
- Adam, E.N. Cellulitis: Any Change? Equine Vet. Educ. 2019, 31, 625–626. [Google Scholar] [CrossRef]
- Long, B.; Gottlieb, M. Diagnosis and Management of Cellulitis and Abscess in the Emergency Department Setting: An Evidence-Based Review. J. Emerg. Med. 2022, 62, 16–27. [Google Scholar] [CrossRef]
- Adam, E.N.; Southwood, L.L. Surgical and Traumatic Wound Infections, Cellulitis, and Myositis in Horses. Vet. Clin. N. Am. Equine Pract. 2006, 22, 335–361. [Google Scholar] [CrossRef]
- Duggan, M.; Mair, T.; Fews, D. Equine Limb Cellulitis/Lymphangitis Resulting in Distal Limb Ischaemia and Avulsion of the Hoof Capsule. Equine Vet. Educ. 2022, 34, E406–E412. [Google Scholar] [CrossRef]
- Fjordbakk, C.T.; Arroyo, L.G.; Hewson, J. Retrospective Study of the Clinical Features of Limb Cellulitis in 63 Horses. Vet. Rec. 2008, 162, 233–236. [Google Scholar] [CrossRef] [PubMed]
- Liu, Y.; Zhai, Y.; Jiang, C.; Liu, H.; Li, Z.; Yuan, Y.; Song, J.; Yuan, S. Surveillance of Antimicrobial Resistance in Hospitalized Companion Animals in China in 2022–2023. JAC-Antimicrob. Resist. 2024, 7, dlaf007. [Google Scholar] [CrossRef] [PubMed]
- Reis, J.; Carmo, F.; Soares, I.; Salvado, C.; Fidalgo, M. Pseudomonas Mendocina Bacteraemia Secondary to Cellulitis—A Report and Brief Series of Cases. Eur. J. Case Rep. Intern. Med. 2025, 12, 005094. [Google Scholar] [CrossRef]
- Annavajhala, M.K.; Gomez-Simmonds, A.; Uhlemann, A.-C. Multidrug-Resistant Enterobacter Cloacae Complex Emerging as a Global, Diversifying Threat. Front. Microbiol. 2019, 10, 44. [Google Scholar] [CrossRef]
- Böhm, L.; Schaller, M.E.; Balczun, C.; Krüger, A.; Schummel, T.; Ammon, A.; Klein, N.; Helbing, D.L.; Eming, R.; Fuchs, F. A Case of Pseudomonas Straminea Blood Stream Infection in an Elderly Woman with Cellulitis. Infect. Dis. Rep. 2024, 16, 699–706. [Google Scholar] [CrossRef]
- Tohya, M.; Tada, T.; Watanabe, S.; Kuwahara-Arai, K.; Zin, K.N.; Zaw, N.N.; Aung, M.Y.; Mya, S.; Zan, K.N.; Kirikae, T.; et al. Emergence of Carbapenem-Resistant Pseudomonas Asiatica Producing NDM-1 and VIM-2 Metallo-β-Lactamases in Myanmar. Antimicrob. Agents Chemother. 2019, 63, e00475-19. [Google Scholar] [CrossRef]
- Liu, S.; Huang, N.; Zhou, C.; Lin, Y.; Zhang, Y.; Wang, L.; Zheng, X.; Zhou, T.; Wang, Z. Molecular Mechanisms and Epidemiology of Carbapenem-Resistant Enterobacter Cloacae Complex Isolated from Chinese Patients During 2004–2018. Infect. Drug Resist. 2021, 14, 3647–3658. [Google Scholar] [CrossRef]
- Wenger, P.N.; Tokars, J.I.; Brennan, P.; Samel, C.; Bland, L.; Miller, M.; Carson, L.; Arduino, M.; Edelstein, P.; Aguero, S.; et al. An Outbreak of Enterobacter hormaechei Infection and Colonization in an Intensive Care Nursery. Clin. Infect. Dis. 1997, 24, 1243–1244. [Google Scholar] [CrossRef]
- Tohya, M.; Watanabe, S.; Teramoto, K.; Uechi, K.; Tada, T.; Kuwahara-Arai, K.; Kinjo, T.; Maeda, S.; Nakasone, I.; Zaw, N.N.; et al. Pseudomonas asiatica sp. Nov., Isolated from Hospitalized Patients in Japan and Myanmar. Int. J. Syst. Evol. Microbiol. 2019, 69, 1361–1368. [Google Scholar] [CrossRef]
- Bao, D.; Huang, L.; Yan, J.; Li, Y.; Ruan, Z.; Jiang, T. First Identification of a Multidrug-Resistant Pseudomonas Putida Co-Carrying Five β-Lactam Resistance Genes Recovered from a Urinary Tract Infection in China. Infect. Drug Resist. 2022, 15, 2229–2234. [Google Scholar] [CrossRef] [PubMed]
- Brys, M.; Claerebout, E.; Chiers, K. Chronic Progressive Lymphedema in Belgian Draft Horses: Understanding and Managing a Challenging Disease. Vet. Sci. 2023, 10, 347. [Google Scholar] [CrossRef] [PubMed]
- Fulop, T., Jr.; Jacob, M.P.; Robert, L. Determination of anti-elastin peptide antibodies in normal and arteriosclerotic human sera by ELISA. J. Clin. Lab. Immunol. 1989, 30, 69–74. [Google Scholar]
- De Cock, H.E.; Van Brantegem, L.; Affolter, V.K.; Oosterlinck, M.; Ferraro, G.L.; Ducatelle, R. Quantitative and qualitative evaluation of dermal elastin of draught horses with chronic progressive lymphoedema. J. Comp. Pathol. 2009, 140, 132–139. [Google Scholar] [CrossRef] [PubMed]
- Petersen, E.; Wågberg, F.; Ängquist, K.-A. Serum Concentrations of Elastin-Derived Peptides in Patients with Specific Manifestations of Atherosclerotic Disease. Eur. J. Vasc. Endovasc. Surg. 2002, 24, 440–444. [Google Scholar] [CrossRef]
- Van Brantegem, L.; De Cock, H.E.V.; Affolter, V.K.; Duchateau, L.; Hoogewijs, M.K.; Govaere, J.; Ferraro, G.L.; Ducatelle, R. Antibodies to Elastin Peptides in Sera of Belgian Draught Horses with Chronic Progressive Lymphoedema. Equine Vet. J. 2007, 39, 418–421. [Google Scholar] [CrossRef]
- De Keyser, K.; Berth, M.; Christensen, N.; Willaert, S.; Janssens, S.; Ducatelle, R.; Goddeeris, B.M.; De Cock, H.E.; Buys, N. Assessment of plasma anti-elastin antibodies for use as a diagnostic aid for chronic progressive lymphoedema in Belgian Draught Horses. Vet. Immunol. Immunopathol. 2015, 163, 16–22. [Google Scholar] [CrossRef]
- Powell, H.; Affolter, V.K. Combined Decongestive Therapy Including Equine Manual Lymph Drainage to Assist Management of Chronic Progressive Lymphoedema in Draught Horses. Equine Vet. Educ. 2012, 24, 81–89. [Google Scholar] [CrossRef]



| 10.25 | 10.27 | 10.30 | 11.02 | 11.16 | 12.23 | 3.15 | Units | Reference Range | |
|---|---|---|---|---|---|---|---|---|---|
| RBC | 5.68 | 5.49 | 6.65 | 5.9 | 5.59 | 9.65 | 7.92 | 1012/L | 5.3–10.5 |
| HGB | 88 ↓ | 84 ↓ | 101 | 89 ↓ | 86 ↓ | 155 | 131 | g/L | 100–170 |
| HCT | 24.2 ↓ | 21.7 ↓ | 26.7 ↓ | 23.6 ↓ | 22.9 ↓ | 40.1 | 36.3 | % | 30–49 |
| WBC | 22.24 ↑ | 19.11 ↑ | 11.24 | 13.18 ↑ | 7.47 | 10.70 | 7.79 | 109/L | 5.00–12.00 |
| Lymphocytes | 1.27 ↓ | 1.8 | 2.39 | 2.16 | 2.70 | 3.25 | 3.00 | 109/L | 1.32–5.86 |
| Neutrophils | 20.15 ↑ | 15.78 | 8.40 ↑ | 10.44 ↑ | 4.02 | 6.73 | 4.24 | 109/L | 2.18–6.96 |
| Monocytes | 0.81 | 1.32 ↑ | 0.35 | 0.50 | 0.38 | 0.37 | 0.31 | 109/L | 0.05–0.92 |
| NEUT% | 90.6 ↑ | 82.6 ↑ | 74.8 ↑ | 79.3 ↑ | 53.8 | 62.9 | 54.4 | % | 38.0–70.0 |
| LYMPH% | 5.8 ↓ | 9.4 ↓ | 21.3 ↓ | 16.4 ↓ | 36.1 | 30.4 | 38.5 | % | 25.0–62.0 |
| Serum amyloid A(SAA) | / | / | 101.2 | / | <5 | / | / | Ug/mL | <10 |
| Albumin | / | / | / | 24.0 ↓ | 23.0 ↓ | 30 ↓ | / | g/L | 40–55 |
| Globulin | / | / | / | 53.0 ↑ | 46.0 ↑ | 49 ↑ | / | g/L | 20–45 |
| Alb/Glob | / | / | / | 0.5 ↓ | 0.5 ↓ | 0.6 ↓ | / | g/L | 1.5–2.5 |
| Group 1 Baseline | Group 2 Follow-Up | |
|---|---|---|
| Number of horses | 1 | 1 |
| Mean OD ± SD | 0.530 ± 0.073 | 0.675 ± 0.106 * |
| Median | 0.569 | 0.704 |
| Group 3 Healthy Warmblood Horses | Group 4 Lymphedematous Warmblood Horses | Group 5 Healthy Draft Horses | |
|---|---|---|---|
| Number of horses | 4 | 4 | 4 |
| Mean OD ± SD | 0.332 ± 0.041 | 0.436 ± 0.044 * | 0.515 ± 0.014 * |
| Median | 0.325 | 0.420 | 0.516 |
Disclaimer/Publisher’s Note: The statements, opinions and data contained in all publications are solely those of the individual author(s) and contributor(s) and not of MDPI and/or the editor(s). MDPI and/or the editor(s) disclaim responsibility for any injury to people or property resulting from any ideas, methods, instructions or products referred to in the content. |
© 2025 by the authors. Licensee MDPI, Basel, Switzerland. This article is an open access article distributed under the terms and conditions of the Creative Commons Attribution (CC BY) license (https://creativecommons.org/licenses/by/4.0/).
Share and Cite
Huang, X.; Deng, R.; Huang, H.; Xie, H.; Chen, A. Pseudomonas-Enterobacter Co-Infection Drives Cellulitis and Lymphangitis in Equines: A Case Report. Vet. Sci. 2025, 12, 574. https://doi.org/10.3390/vetsci12060574
Huang X, Deng R, Huang H, Xie H, Chen A. Pseudomonas-Enterobacter Co-Infection Drives Cellulitis and Lymphangitis in Equines: A Case Report. Veterinary Sciences. 2025; 12(6):574. https://doi.org/10.3390/vetsci12060574
Chicago/Turabian StyleHuang, Xiangning, Renjie Deng, Haoen Huang, Huisheng Xie, and Aolei Chen. 2025. "Pseudomonas-Enterobacter Co-Infection Drives Cellulitis and Lymphangitis in Equines: A Case Report" Veterinary Sciences 12, no. 6: 574. https://doi.org/10.3390/vetsci12060574
APA StyleHuang, X., Deng, R., Huang, H., Xie, H., & Chen, A. (2025). Pseudomonas-Enterobacter Co-Infection Drives Cellulitis and Lymphangitis in Equines: A Case Report. Veterinary Sciences, 12(6), 574. https://doi.org/10.3390/vetsci12060574

