Pathological Characteristics of Pregnant Tree Shrews Infected by Zoonotic Hepatitis E Virus Genotype and the Effect of Estrogen on Virus Replication
Simple Summary
Abstract
1. Introduction
2. Materials and Methods
2.1. Experimental Animals and Reagents
2.2. Procedure for HEV Infection in Tree Shrews
2.3. Liver Function Analysis
2.4. Estrogen Level Measurement
2.5. Histopathological Examination
2.6. Effect of Estrogen on Kernow-C1 Replication in A549 Cells
2.7. Quantification of HEV Titer
3. Results
3.1. Clinical Observations and Pathological Changes
3.2. Quantification of HEV Replication in Tissues
3.3. Serum ALT and AST Dynamics in Liver Function Tests
3.4. Dynamic of Serum Estrogen
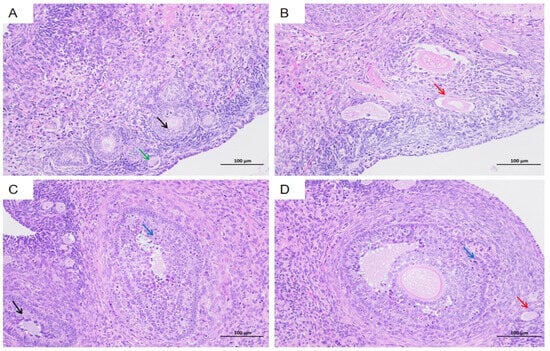
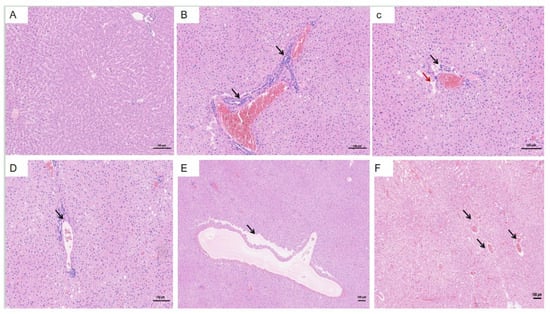
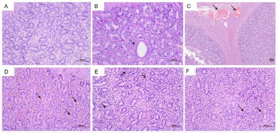
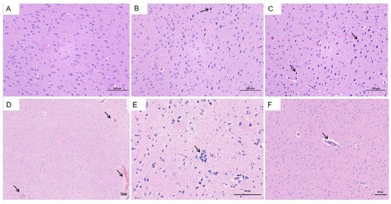
3.5. Histopathological Changes in HEV-Infected Pregnant Tree Shrews
3.6. The Effect of Estrogen on HEV Replication in Cell Culture
4. Discussion
Author Contributions
Funding
Institutional Review Board Statement
Informed Consent Statement
Data Availability Statement
Acknowledgments
Conflicts of Interest
Abbreviations
| HEV | hepatitis E virus |
| AST | Aspartate aminotransferase |
| ALT | Alanine aminotransferase |
| A549 | human lung cancer cells |
| Huh-7 | human hepatocellular carcinoma cells |
| DES | Diethylstilbestrol tablets |
References
- Aggarwal, R.; Krawczynski, K. Hepatitis E: An overview and recent advances in clinical and laboratory research. J. Gastroenterol. Hepatol. 2000, 15, 9–20. [Google Scholar] [CrossRef] [PubMed]
- Berglov, A.; Hallager, S.; Weis, N. Hepatitis E during pregnancy: Maternal and foetal case-fatality rates and adverse outcomes-a systematic review. J. Viral Hepat. 2019, 26, 1240–1248. [Google Scholar] [CrossRef] [PubMed]
- Khuroo, M.S.; Kamili, S. Aetiology, clinical course and outcome of sporadic acute viral hepatitis in pregnancy. J. Viral Hepat. 2003, 10, 61–69. [Google Scholar] [CrossRef] [PubMed]
- Rein, D.B.; Stevens, G.A.; Theaker, J.; Wittenborn, J.S.; Wiersma, S.T. The global burden of hepatitis E virus genotypes 1 and 2 in 2005. Hepatology 2012, 55, 988–997. [Google Scholar] [CrossRef]
- Patra, S.; Kumar, A.; Trivedi, S.S.; Puri, M.; Sarin, S.K. Maternal and fetal outcomes in pregnant women with acute hepatitis E virus infection. Ann. Intern. Med. 2007, 147, 28–33. [Google Scholar] [CrossRef]
- Krain, L.J.; Nelson, K.E.; Labrique, A.B. Host immune status and response to hepatitis E virus infection. Clin. Microbiol. Rev. 2014, 27, 139–165. [Google Scholar] [CrossRef]
- Krawczynski, K.; Aggarwal, R.; Kamili, S. Hepatitis E. Infect. Dis. Clin. North. Am. 2000, 14, 669–687. [Google Scholar] [CrossRef]
- Aslan, A.T.; Balaban, H.Y. Hepatitis E virus: Epidemiology, diagnosis, clinical manifestations, and treatment. World J. Gastroenterol. 2020, 26, 5543–5560. [Google Scholar] [CrossRef]
- Lhomme, S.; Marion, O.; Abravanel, F.; Chapuy-Regaud, S.; Kamar, N.; Izopet, J. Hepatitis E Pathogenesis. Viruses 2016, 8, 212. [Google Scholar] [CrossRef]
- Wu, C.; Wu, X.; Xia, J. Hepatitis E virus infection during pregnancy. Virol. J. 2020, 17, 1–11. [Google Scholar] [CrossRef]
- Bhatnagar, N.; Prakash, S.; Ramakrishna, V.; Khan, D.N.; Shrivastava, S.S.; Venkatesh, V.; Reddy, D.H.; Jain, A. Molecular characterisation of hepatitis E virus isolates from north India. Indian. J. Med. Microbiol. 2022, 40, 91–95. [Google Scholar] [CrossRef] [PubMed]
- Navaneethan, U.; Al Mohajer, M.; Shata, M.T. Hepatitis E and pregnancy: Understanding the pathogenesis. Liver Int. Off. J. Int. Assoc. Study Liver 2008, 28, 1190–1199. [Google Scholar] [CrossRef]
- Bose, P.D.; Das, B.C.; Kumar, A.; Gondal, R.; Kumar, D.; Kar, P. High viral load and deregulation of the progesterone receptor signaling pathway: Association with hepatitis E-related poor pregnancy outcome. J. Hepatol. 2011, 54, 1107–1113. [Google Scholar] [CrossRef]
- Pal, R.; Aggarwal, R.; Naik, S.R.; Das, V.; Das, S.; Naik, S. Immunological alterations in pregnant women with acute hepatitis E. J. Gastroenterol. Hepatol. 2005, 20, 1094–1101. [Google Scholar] [CrossRef]
- Bi, Y.; Yang, C.; Yu, W.; Zhao, X.; Zhao, C.; He, Z.; Jing, S.; Wang, H.; Huang, F. Pregnancy serum facilitates hepatitis E virus replication in vitro. J. Gen. Virol. 2015, 96, 1055–1061. [Google Scholar] [CrossRef]
- Singh, S.; Daga, M.K.; Kumar, A.; Husain, S.A.; Kar, P. Role of oestrogen and its receptors in HEV-associated feto-maternal outcomes. Liver Int. Off. J. Int. Assoc. Study Liver 2019, 39, 633–639. [Google Scholar] [CrossRef]
- Tamada, Y.; Yano, K.; Yatsuhashi, H.; Inoue, O.; Mawatari, F.; Ishibashi, H. Consumption of wild boar linked to cases of hepatitis E. J. Hepatol. 2004, 40, 869–870. [Google Scholar] [CrossRef]
- Pallerla, S.R.; Harms, D.; Johne, R.; Todt, D.; Steinmann, E.; Schemmerer, M.; Wenzel, J.J.; Hofmann, J.; Shih, J.W.K.; Wedemeyer, H.; et al. Hepatitis E Virus Infection: Circulation, Molecular Epidemiology, and Impact on Global Health. Pathogens 2020, 9, 856. [Google Scholar] [CrossRef]
- Haipeng, L.; Yanan, D. Relationship between thyroid hormone, estrogen, progesterone and pregnancy in pregnant women. Health Prot. Promot. 2023, 23, 1124–1126. [Google Scholar]
- Jothikumar, N.; Cromeans, T.L.; Robertson, B.H.; Meng, X.J.; Hill, V.R. A broadly reactive one-step real-time RT-PCR assay for rapid and sensitive detection of hepatitis E virus. J. Virol. Methods 2006, 131, 65–71. [Google Scholar] [CrossRef]
- Huang, F.F.; Haqshenas, G.; Guenette, D.K.; Halbur, P.G.; Schommer, S.K.; Pierson, F.W.; Toth, T.E.; Meng, X.J. Detection by reverse transcription-PCR and genetic characterization of field isolates of swine hepatitis E virus from pigs in different geographic regions of the United States. J. Clin. Microbiol. 2002, 40, 1326–1332. [Google Scholar] [CrossRef] [PubMed]
- Smith, D.B.; Izopet, J.; Nicot, F.; Simmonds, P.; Jameel, S.; Meng, X.J.; Norder, H.; Okamoto, H.; van der Poel, W.H.M.; Reuter, G.; et al. Update: Proposed reference sequences for subtypes of hepatitis E virus (species Orthohepevirus A). J. Gen. Virol. 2020, 101, 692–698. [Google Scholar] [CrossRef] [PubMed]
- Lhomme, S.; Legrand-Abravanel, F.; Kamar, N.; Izopet, J. Screening, diagnosis and risks associated with Hepatitis E virus infection. Expert Rev. Anti Infect. Ther. 2019, 17, 403–418. [Google Scholar] [CrossRef] [PubMed]
- Yang, F.M.; Duan, S.Q.; Guo, Y.Q.; Li, Y.Y.; Yoshizaki, S.; Takeda, N.; Wakita, T.; Muramatsu, M.; Zhao, Y.; He, Z.L.; et al. Current status of hepatitis E virus infection at a rhesus monkey farm in China. Vet. Microbiol. 2019, 230, 244–248. [Google Scholar] [CrossRef]
- Xia, J.; Liu, L.; Wang, L.; Zhang, Y.; Zeng, H.; Liu, P.; Zou, Q.; Wang, L.; Zhuang, H. Experimental infection of pregnant rabbits with hepatitis E virus demonstrating high mortality and vertical transmission. J. Viral Hepat. 2015, 22, 850–857. [Google Scholar] [CrossRef]
- Wang, L.; Liang, C.N.; Li, X.B.; Wang, J.; Fu, R.; Xing, J.; Shu, J.Y.; Zhao, C.Y.; Huang, W.J. Prevalence of Hepatitis E Virus Infection among Laboratory Rabbits in China. Pathogens 2021, 10, 780. [Google Scholar] [CrossRef]
- Wang, Y.; Liu, H.; Liu, S.; Yang, C.; Jiang, Y.; Wang, S.; Liu, A.; Peppelenbosch, M.P.; Kamar, N.; Pan, Q.; et al. Incidence, predictors and prognosis of genotype 4 hepatitis E related liver failure: A tertiary nested case-control study. Liver Int. Off. J. Int. Assoc. Study Liver 2019, 39, 2291–2300. [Google Scholar] [CrossRef]
- Pérez-Gracia, M.T.; Suay-García, B.; Mateos-Lindemann, M.L. Hepatitis E and pregnancy: Current state. Rev. Med. Virol. 2017, 27, e1929. [Google Scholar] [CrossRef]
- Huang, F.; Long, F.; Yu, W.; Situ, J.; Fu, L.; He, Z.; Dong, H.; Yang, C.; Li, Y.; Yang, F.; et al. High prevalence of hepatitis E virus in semen of infertile male and causes testis damage. Gut 2018, 67, 1199–1201. [Google Scholar] [CrossRef]
- Kamar, N.; Mansuy, J.M.; Esposito, L.; Legrand-Abravanel, F.; Peron, J.M.; Durand, D.; Rostaing, L.; Izopet, J. Acute hepatitis and renal function impairment related to infection by hepatitis E virus in a renal allograft recipient. Am. J. Kidney Dis. 2005, 45, 193–196. [Google Scholar] [CrossRef]
- Li, C.; Wang, H.F. Hepatitis E virus-related acute liver failure associated with pure red cell aplasia. Hepatobiliary Pancreat. Dis. Int. 2011, 10, 557–558. [Google Scholar] [CrossRef] [PubMed]
- Liang, J.; Shang, Y. Estrogen and cancer. Annu. Rev. Physiol. 2013, 75, 225–240. [Google Scholar] [CrossRef] [PubMed]
- Pérez-López, F.R.; Chedraui, P.; Troyano-Luque, J.M. Peri- and post-menopausal incidental adnexal masses and the risk of sporadic ovarian malignancy: New insights and clinical management. Gynecol. Endocrinol. Off. J. Int. Soc. Gynecol. Endocrinol. 2010, 26, 631–643. [Google Scholar] [CrossRef]
- Ulitzky, L.; Lafer, M.M.; KuKuruga, M.A.; Silberstein, E.; Cehan, N.; Taylor, D.R. A new signaling pathway for HCV inhibition by estrogen: GPR30 activation leads to cleavage of occludin by MMP-9. PLoS ONE 2016, 11, e0145212. [Google Scholar] [CrossRef]
- Wasmuth, H.E.; Lammert, F.; Matern, S. Genetic risk factors for hepatic fibrosis in chronic liver diseases. Med. Klin. 2003, 98, 754–762. [Google Scholar] [CrossRef]
- Gong, S.L.; Hao, X.H.; Bi, Y.H.; Yang, C.C.; Wang, W.J.; Mickael, H.K.; Zhang, Y.K.; Chen, S.F.; Qian, Z.Y.; Huang, F.; et al. Hepatitis E viral infection regulates estrogen signaling pathways: Inhibition of the cAMPK-PKA-CREB and PI3K-AKT-mTOR signaling pathways. J. Med. Virol. 2021, 93, 3769–3778. [Google Scholar] [CrossRef]
- Kumar, A.; Devi, S.G.; Kar, P.; Agarwal, S.; Husain, S.A.; Gupta, R.K.; Sharma, S. Association of cytokines in hepatitis E with pregnancy outcome. Cytokine 2014, 65, 95–104. [Google Scholar] [CrossRef]
- Jilani, N.; Das, B.C.; Husain, S.A.; Baweja, U.K.; Chattopadhya, D.; Gupta, R.K.; Sardana, S.; Kar, P. Hepatitis E virus infection and fulminant hepatic failure during pregnancy. J. Gastroenterol. Hepatol. 2007, 22, 676–682. [Google Scholar] [CrossRef]










Disclaimer/Publisher’s Note: The statements, opinions and data contained in all publications are solely those of the individual author(s) and contributor(s) and not of MDPI and/or the editor(s). MDPI and/or the editor(s) disclaim responsibility for any injury to people or property resulting from any ideas, methods, instructions or products referred to in the content. |
© 2025 by the authors. Licensee MDPI, Basel, Switzerland. This article is an open access article distributed under the terms and conditions of the Creative Commons Attribution (CC BY) license (https://creativecommons.org/licenses/by/4.0/).
Share and Cite
Zhu, P.; Wang, G.; Punyapornwithaya, V.; Jainonthee, C.; Tian, J.; Liu, Y.; Suksawat, F.; Angkititrakul, S.; Nan, Y.; Li, Z.; et al. Pathological Characteristics of Pregnant Tree Shrews Infected by Zoonotic Hepatitis E Virus Genotype and the Effect of Estrogen on Virus Replication. Vet. Sci. 2025, 12, 483. https://doi.org/10.3390/vetsci12050483
Zhu P, Wang G, Punyapornwithaya V, Jainonthee C, Tian J, Liu Y, Suksawat F, Angkititrakul S, Nan Y, Li Z, et al. Pathological Characteristics of Pregnant Tree Shrews Infected by Zoonotic Hepatitis E Virus Genotype and the Effect of Estrogen on Virus Replication. Veterinary Sciences. 2025; 12(5):483. https://doi.org/10.3390/vetsci12050483
Chicago/Turabian StyleZhu, Peiying, Guojun Wang, Veerasak Punyapornwithaya, Chalita Jainonthee, Jijing Tian, Yan Liu, Fanan Suksawat, Sunpetch Angkititrakul, Yuchen Nan, Zailei Li, and et al. 2025. "Pathological Characteristics of Pregnant Tree Shrews Infected by Zoonotic Hepatitis E Virus Genotype and the Effect of Estrogen on Virus Replication" Veterinary Sciences 12, no. 5: 483. https://doi.org/10.3390/vetsci12050483
APA StyleZhu, P., Wang, G., Punyapornwithaya, V., Jainonthee, C., Tian, J., Liu, Y., Suksawat, F., Angkititrakul, S., Nan, Y., Li, Z., Duan, X., & Li, W. (2025). Pathological Characteristics of Pregnant Tree Shrews Infected by Zoonotic Hepatitis E Virus Genotype and the Effect of Estrogen on Virus Replication. Veterinary Sciences, 12(5), 483. https://doi.org/10.3390/vetsci12050483

