Development of a Multiplex Conventional PCR Assay for Concurrent Detection of FAdV-4, FAdV-8b, and FAdV-11
Simple Summary
Abstract
1. Introduction
2. Materials and Methods
2.1. Primer Design for Multiplex PCR
2.2. Determining PCR Sensitivity Using Plasmid DNA Standards
2.3. Optimization of Simplex and Multiplex PCR Assay
2.4. Specificity of the Simplex and Multiplex PCR Assay
2.5. Sample Preparation for Multiplex PCR
2.6. Verification of Primer Specificity by an In-Depth In Silico PCR
2.7. Ethical Approval
3. Results
3.1. Primer Design of FAdV-4, FAdV-8b, and FAdV-11
3.2. Optimization of Thermocycling Conditions
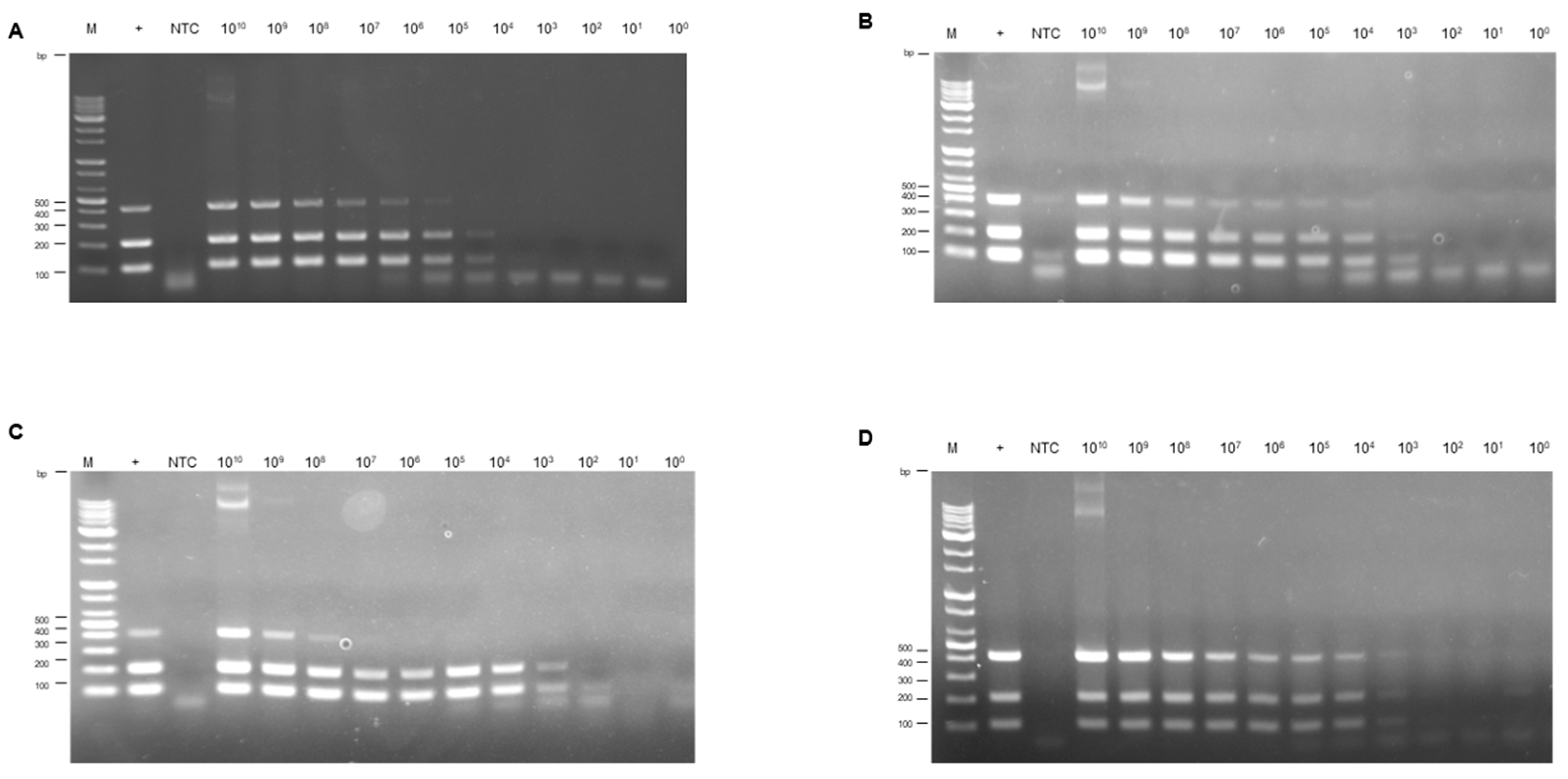
3.3. Assessing the Sensitivity of Multiplex PCR Based on Primer Concentrations
3.4. Assessing the Specificity of Multiplex PCR
3.5. Evaluating the Multiplex PCR for Clinical Purposes
3.6. Primer Specificity Verified by an In-Depth In Silico PCR
4. Discussion
Supplementary Materials
Author Contributions
Funding
Institutional Review Board Statement
Informed Consent Statement
Data Availability Statement
Acknowledgments
Conflicts of Interest
References
- Zsák, L.; Kisary, J. Grouping of Fowl Adenoviruses Based upon the Restriction Patterns of DNA Generated by Bam HI and Hin dIII: Restriction Patterns of DNA Generated by Bam HI and Hind III. Intervirology 1984, 22, 110–114. [Google Scholar] [PubMed]
- Hess, M. Detection and differentiation of avian adenoviruses: A review. Avian Pathol. 2000, 29, 195–206. [Google Scholar] [CrossRef] [PubMed]
- King, A.M.; Lefkowitz, E.; Adams, M.J.; Carstens, E.B. Virus Taxonomy: Ninth Report of the International Committee on Taxonomy of Viruses; Elsevier: Amsterdam, The Netherlands, 2011; Volume 9. [Google Scholar]
- Harrach, B.; Benko, M. Phylogenetic analysis of adenovirus sequences. In Adenovirus Methods and Protocols: Volume 2: Ad Proteins, RNA Lifecycle, Host Interactions, and Phylogenetics; Humana: Totowa, NJ, USA, 2007; pp. 299–334. [Google Scholar]
- Raue, R.; Hess, M. Hexon based PCRs combined with restriction enzyme analysis for rapid detection and differentiation of fowl adenoviruses and egg drop syndrome virus. J. Virol. Methods 1998, 73, 211–217. [Google Scholar] [CrossRef]
- Marek, A.; Günes, A.; Schulz, E.; Hess, M. Classification of fowl adenoviruses by use of phylogenetic analysis and high-resolution melting-curve analysis of the hexon L1 gene region. J. Virol. Methods 2010, 170, 147–154. [Google Scholar] [CrossRef] [PubMed]
- Schachner, A.; Marek, A.; Jaskulska, B.; Bilic, I.; Hess, M. Recombinant FAdV-4 fiber-2 protein protects chickens against hepatitis–hydropericardium syndrome (HHS). Vaccine 2014, 32, 1086–1092. [Google Scholar] [CrossRef]
- Sohaimi, N.M.; Hair-Bejo, M. A recent perspective on fiber and hexon genes proteins analyses of fowl adenovirus toward virus infectivity—A review. Open Vet. J. 2021, 11, 569–580. [Google Scholar] [CrossRef]
- Abe, T.; Nakamura, K.; Tojo, T.; Yuasa, N. Gizzard erosion in broiler chicks by group I avian adenovirus. Avian Dis. 2001, 45, 234–239. [Google Scholar] [CrossRef]
- Tanimura, N.; Nakamura, K.; Imai, K.; Maeda, M.; Gobo, T.; Nitta, S.; Ishihara, T.; Amano, H. Necrotizing pancreatitis and gizzard erosion associated with adenovirus infection in chickens. Avian Dis. 1993, 37, 606–611. [Google Scholar] [CrossRef] [PubMed]
- Okuda, Y.; Ono, M.; Yazawa, S.; Imai, Y.; Shibata, I.; Sato, S. Pathogenicity of serotype 1 fowl adenovirus in commercial broiler chickens. Avian Dis. 2001, 45, 819–827. [Google Scholar] [CrossRef] [PubMed]
- Schade, B.; Schmitt, F.; Böhm, B.; Alex, M.; Fux, R.; Cattoli, G.; Terregino, C.; Monne, I.; Currie, R.J.; Olias, P. Adenoviral gizzard erosion in broiler chickens in Germany. Avian Dis. 2013, 57, 159–163. [Google Scholar] [CrossRef] [PubMed]
- Li, P.; Zheng, P.; Zhang, T.; Wen, G.; Shao, H.; Luo, Q. Fowl adenovirus serotype 4: Epidemiology, pathogenesis, diagnostic detection, and vaccine strategies. Poult. Sci. 2017, 96, 2630–2640. [Google Scholar] [CrossRef] [PubMed]
- Cheema, A.; Ahmad, J.; Afzal, M. An adenovirus infection of poultry in Pakistan. Rev. Sci. Tech. (Int. Off. Epizoot.) 1989, 8, 789–795. [Google Scholar] [CrossRef] [PubMed]
- Mazaheri, A.; Prusas, C.; Voss, M.; Hess, M. Some strains of serotype 4 fowl adenoviruses cause inclusion body hepatitis and hydropericardium syndrome in chickens. Avian Pathol. 1998, 27, 269–276. [Google Scholar] [CrossRef] [PubMed]
- Saifuddin, M.; Wilks, C. Pathogenesis of an acute viral hepatitis: Inclusion body hepatitis in the chicken. Arch. Virol. 1991, 116, 33–43. [Google Scholar] [CrossRef]
- Helmboldt, C.; Frazier, M. Avian hepatic inclusion bodies of unknown significance. Avian Dis. 1963, 7, 446–450. [Google Scholar] [CrossRef] [PubMed]
- Itakura, C.; Yasuba, M.; Goto, M. Histopathological studies on inclusion body hepatitis in broiler chickens. Nihon Juigaku Zasshi. Jpn. J. Vet. Sci. 1974, 36, 329–340. [Google Scholar] [CrossRef]
- Chandra, R.; Shukla, S.; Kumar, M. The hydropericardium syndrome and inclusion body hepatitis in domestic fowl. Trop. Anim. Health Prod. 2000, 32, 99–111. [Google Scholar] [CrossRef] [PubMed]
- Gomis, S.; Goodhope, R.; Ojkic, D.; Willson, P. Inclusion body hepatitis as a primary disease in broilers in Saskatchewan, Canada. Avian Dis. 2006, 50, 550–555. [Google Scholar] [CrossRef]
- Yuan, F.; Song, H.; Hou, L.; Wei, L.; Zhu, S.; Quan, R.; Wang, J.; Wang, D.; Jiang, H.; Liu, H. Age-dependence of hypervirulent fowl adenovirus type 4 pathogenicity in specific-pathogen-free chickens. Poult. Sci. 2021, 100, 101238. [Google Scholar] [CrossRef] [PubMed]
- Eregae, M.E.; Dewey, C.E.; McEwen, S.A.; Ouckama, R.; Ojkić, D.; Guerin, M.T. Flock prevalence of exposure to avian adeno-associated virus, chicken anemia virus, fowl adenovirus, and infectious bursal disease virus among Ontario broiler chicken flocks. Avian Dis. 2014, 58, 71–77. [Google Scholar] [CrossRef]
- Steer, P.; O’rourke, D.; Ghorashi, S.; Noormohammadi, A. Application of high-resolution melting curve analysis for typing of fowl adenoviruses in field cases of inclusion body hepatitis. Aust. Vet. J. 2011, 89, 184–192. [Google Scholar] [CrossRef]
- Fadly, A.; Winterfield, R.; Olander, H. Role of the bursa of Fabricius in the pathogenicity of inclusion body hepatitis and infectious bursal disease viruses. Avian Dis. 1976, 20, 467–477. [Google Scholar] [CrossRef] [PubMed]
- McFerran, J. Adenoviruses of vertebrate animals. Vertebr. Anim. Relat. Viruses 1981, 101–165. [Google Scholar] [CrossRef]
- Rosenberger, J.; Eckroade, R.; Klopp, S.; Krauss, W. Characterization of several viruses isolated from chickens with inclusion body hepatitis and aplastic anemia. Avian Dis. 1974, 18, 399–409. [Google Scholar] [CrossRef]
- Grafl, B.; Aigner, F.; Liebhart, D.; Marek, A.; Prokofieva, I.; Bachmeier, J.; Hess, M. Vertical transmission and clinical signs in broiler breeders and broilers experiencing adenoviral gizzard erosion. Avian Pathol. 2012, 41, 599–604. [Google Scholar] [CrossRef] [PubMed]
- El-Attrache, J.; Villegas, P. Genomic identification and characterization of avian adenoviruses associated with inclusion body hepatitis. Avian Dis. 2001, 45, 780–787. [Google Scholar] [CrossRef] [PubMed]
- VJ, Y.; DE, F. Observations on a chicken embryo lethal orphan (CELO) virus. Am. J. Vet. Res. 1957, 18, 657–660. [Google Scholar]
- Toro, H.; Gonzalez, O.; Escobar, C.; Cerda, L.; Morales, M.; Gonzalez, C. Vertical induction of the inclusion body hepatitis/hydropericardium syndrome with fowl adenovirus and chicken anemia virus. Avian Dis. 2001, 45, 215–222. [Google Scholar] [CrossRef] [PubMed]
- Schachner, A.; Matos, M.; Grafl, B.; Hess, M. Fowl adenovirus-induced diseases and strategies for their control–a review on the current global situation. Avian Pathol. 2018, 47, 111–126. [Google Scholar] [CrossRef]
- Chen, L.; Yin, L.; Zhou, Q.; Peng, P.; Du, Y.; Liu, L.; Zhang, Y.; Xue, C.; Cao, Y. Epidemiological investigation of fowl adenovirus infections in poultry in China during 2015–2018. BMC Vet. Res. 2019, 15, 271. [Google Scholar] [CrossRef] [PubMed]
- Şahindokuyucu, İ.; Çöven, F.; Kılıç, H.; Yılmaz, Ö.; Kars, M.; Yazıcıoğlu, Ö.; Ertunç, E.; Yazıcı, Z. First report of fowl aviadenovirus serotypes FAdV-8b and FAdV-11 associated with inclusion body hepatitis in commercial broiler and broiler-breeder flocks in Turkey. Arch. Virol. 2020, 165, 43–51. [Google Scholar] [CrossRef] [PubMed]
- Abghour, S.; Mouahid, M.; Darkaoui, S.; Berrada, J.; Zro, K.; Kichou, F. Pathogenicity of field strain of fowl aviadenovirus serotype 11 isolated from chickens with inclusion body hepatitis in Morocco. PLoS ONE 2021, 16, e0261284. [Google Scholar] [CrossRef]
- Mo, J. Historical investigation of fowl adenovirus outbreaks in South Korea from 2007 to 2021: A comprehensive review. Viruses 2021, 13, 2256. [Google Scholar] [CrossRef] [PubMed]
- Dey, P. Polymerase chain reaction: Principle, technique and applications in pathology. In Basic and Advanced Laboratory Techniques in Histopathology and Cytology; Springer: Singapore, 2023; pp. 215–228. [Google Scholar]
- Freick, M.; Müller, H.; Raue, R. Rapid detection of pigeon herpesvirus, fowl adenovirus and pigeon circovirus in young racing pigeons by multiplex PCR. J. Virol. Methods 2008, 148, 226–231. [Google Scholar] [CrossRef]
- Yao, M.; Zhang, X.; Gao, Y.; Song, S.; Xu, D.; Yan, L. Development and application of multiplex PCR method for simultaneous detection of seven viruses in ducks. BMC Vet. Res. 2019, 15, 103. [Google Scholar] [CrossRef] [PubMed]
- Günes, A.; Marek, A.; Grafl, B.; Berger, E.; Hess, M. Real-time PCR assay for universal detection and quantitation of all five species of fowl adenoviruses (FAdV-A to FAdV-E). J. Virol. Methods 2012, 183, 147–153. [Google Scholar] [CrossRef] [PubMed]
- Hess, M. Aviadenovirus Infections, 14th ed.; John Wiley & Sons, Inc.: Hokoben, NJ, USA, 2020; pp. 322–331. [Google Scholar]
- Sabarudin, N.S.; Tan, S.W.; Phang, Y.F.; Omar, A.R. Molecular characterization of Malaysian fowl adenovirus (FAdV) serotype 8b species E and pathogenicity of the virus in specific-pathogen-free chicken. J. Vet. Sci. 2021, 22, e42. [Google Scholar] [CrossRef] [PubMed]
- Silaen, O.S.M.; Murtini, S.; Pamungkas, J.; Nugroho, C.M.H. Isolation and molecular characterization of fowl aviadenovirus associated with inclusion body hepatitis from poultry in Banten and West Java, Indonesia. Vet. World 2020, 13, 1940. [Google Scholar] [CrossRef]
- Morshed, R.; Hosseini, H.; Langeroudi, A.G.; Fard, M.H.B.; Charkhkar, S. Fowl adenoviruses D and E cause inclusion body hepatitis outbreaks in broiler and broiler breeder pullet flocks. Avian Dis. 2017, 61, 205–210. [Google Scholar] [CrossRef] [PubMed]
- Kumar, S.; Stecher, G.; Tamura, K. MEGA7: Molecular evolutionary genetics analysis version 7.0 for bigger datasets. Mol. Biol. Evol. 2016, 33, 1870–1874. [Google Scholar] [CrossRef] [PubMed]
- Xu, A.-h.; Sun, L.; Tu, K.-h.; Teng, Q.-y.; Xue, J.; Zhang, G.-z. Experimental co-infection of variant infectious bursal disease virus and fowl adenovirus serotype 4 increases mortality and reduces immune response in chickens. Vet. Res. 2021, 52, 61. [Google Scholar] [CrossRef]
- Lu, H.; Xie, Q.; Zhang, W.; Zhang, J.; Wang, W.; Lian, M.; Zhao, Z.; Ren, D.; Xie, S.; Lin, Y. A novel recombinant FAdV-4 virus with fiber of FAdV-8b provides efficient protection against both FAdV-4 and FAdV-8b. Viruses 2022, 14, 376. [Google Scholar] [CrossRef] [PubMed]
- Wang, T.; Meng, F.; Chen, C.; Shen, Y.; Li, P.; Xu, J.; Feng, Z.; Qu, X.; Wang, F.; Li, B. Pathogenicity and epidemiological survey of fowl adenovirus in Shandong Province from 2021 to 2022. Front. Microbiol. 2023, 14, 1166078. [Google Scholar] [CrossRef] [PubMed]
- Oliver-Ferrando, S.; Dolz, R.; Calderón, C.; Valle, R.; Rivas, R.; Pérez, M.; Biarnés, M.; Blanco, A.; Bertran, K.; Ramis, A. Epidemiological and pathological investigation of fowl aviadenovirus serotypes 8b and 11 isolated from chickens with inclusion body hepatitis in Spain (2011–2013). Avian Pathol. 2017, 46, 157–165. [Google Scholar] [CrossRef]
- Ono, M.; Okuda, Y.; Shibata, I.; Sato, S.; OKAD, K. Reproduction of adenoviral gizzard erosion by the horizontal transmission of fowl adenovirus serotype 1. J. Vet. Med. Sci. 2007, 69, 1005–1008. [Google Scholar] [CrossRef]
- Grgic, H.; Philippe, C.; Ojkic, D.; Nagy, É. Study of vertical transmission of fowl adenoviruses. Can. J. Vet. Res. 2006, 70, 230. [Google Scholar]
- Ganesh, K.; Raghavan, R.; Gowda, R.; Satyanarayana, M.; Suryanarayana, V. Purification and characterization of the aetiological agent of hydropericardium hepatitis syndrome from infected liver tissues of broiler chickens. Trop. Anim. Health Prod. 2002, 34, 7–17. [Google Scholar] [CrossRef] [PubMed]
- Steer, P.A.; Sandy, J.R.; O’Rourke, D.; Scott, P.C.; Browning, G.F.; Noormohammadi, A.H. Chronological analysis of gross and histological lesions induced by field strains of fowl adenovirus serotypes 1, 8b and 11 in one-day-old chickens. Avian Pathol. 2015, 44, 106–113. [Google Scholar] [CrossRef]
- Schachner, A.; Gonzalez, G.; Endler, L.; Ito, K.; Hess, M. Fowl adenovirus (FAdV) recombination with intertypic crossovers in genomes of FAdV-D and FAdV-E, displaying hybrid serological phenotypes. Viruses 2019, 11, 1094. [Google Scholar] [CrossRef]
- Schachner, A.; Marek, A.; Grafl, B.; Hess, M. Detailed molecular analyses of the hexon loop-1 and fibers of fowl aviadenoviruses reveal new insights into the antigenic relationship and confirm that specific genotypes are involved in field outbreaks of inclusion body hepatitis. Vet. Microbiol. 2016, 186, 13–20. [Google Scholar] [CrossRef] [PubMed]
- Mittal, D.; Jindal, N.; Tiwari, A.K.; Khokhar, R.S. Characterization of fowl adenoviruses associated with hydropericardium syndrome and inclusion body hepatitis in broiler chickens. Virusdisease 2014, 25, 114–119. [Google Scholar] [CrossRef] [PubMed]
- Rahul, S.; Kataria, J.; Senthilkumar, N.; Dhama, K.; Sylvester, S.; Uma, R. Association of fowl adenovirus serotype 12 with hydropericardium syndrome of poultry in India. Acta Virol. 2005, 49, 139–143. [Google Scholar]
- Zhuang, Q.; Wang, S.; Zhang, F.; Zhao, C.; Chen, Q.; Zhao, R.; Guo, P.; Ju, L.; Li, J.; Hou, G. Molecular epidemiology analysis of fowl adenovirus detected from apparently healthy birds in eastern China. BMC Vet. Res. 2023, 19, 5. [Google Scholar] [CrossRef] [PubMed]
- Chandra, R.; Shukla, S.; Kumar, M.; Garg, S. Electron microscopic demonstration of an adenovirus in the hepatocytes of birds experimentally infected with hydropericardium syndrome. Vet. Rec. 1997, 140, 70–71. [Google Scholar] [CrossRef] [PubMed]
- Romanova, N.; Corredor, J.C.; Nagy, É. Detection and quantitation of fowl adenovirus genome by a real-time PCR assay. J. Virol. Methods 2009, 159, 58–63. [Google Scholar] [CrossRef] [PubMed]
- Wang, J.; Wang, J.; Chen, P.; Liu, L.; Yuan, W. Development of a TaqMan-based real-time PCR assay for rapid and specific detection of fowl aviadenovirus serotype 4. Avian Pathol. 2017, 46, 338–343. [Google Scholar] [CrossRef]
- Ugwu, C.C.; Hair-Bejo, M.; Omar, A.R.; Nurulfiza, M.I.; Aini, I. TaqMan probe-based qPCR method for specific detection and quantification of fowl adenovirus 8b challenge from chickens inoculated with live attenuated or inactivated virus. Open Vet. J. 2023, 13, 171–178. [Google Scholar] [CrossRef] [PubMed]
- Hou, L.; Su, Q.; Zhang, Y.; Liu, D.; Mao, Y.; Zhao, P. Development of a PCR-based dot blot assay for the detection of fowl adenovirus. Poult. Sci. 2022, 101, 101540. [Google Scholar] [CrossRef]
- Steer, P.A.; Kirkpatrick, N.C.; O’Rourke, D.; Noormohammadi, A.H. Classification of fowl adenovirus serotypes by use of high-resolution melting-curve analysis of the hexon gene region. J. Clin. Microbiol. 2009, 47, 311–321. [Google Scholar] [CrossRef]
- Yuan, X.-Y.; Wang, Y.-L.; Meng, K.; Zhang, Y.-X.; Xu, H.-Y.; Ai, W. LAMP real-time turbidity detection for fowl adenovirus. BMC Vet. Res. 2019, 15, 256. [Google Scholar] [CrossRef] [PubMed]
- Niczyporuk, J.S.; Kozdruń, W.; Czekaj, H.; Styś-Fijoł, N.; Piekarska, K. Detection of fowl adenovirus D strains in wild birds in Poland by Loop-Mediated Isothermal Amplification (LAMP). BMC Vet. Res. 2020, 16, 58. [Google Scholar]
- Luan, Q.; Jiang, Z.; Wang, D.; Wang, S.; Yin, Y.; Wang, J. A sensitive triple nanoparticle-assisted PCR assay for detection of fowl adenovirus, infectious bursal disease virus and chicken anemia virus. J. Virol. Methods 2022, 303, 114499. [Google Scholar] [CrossRef] [PubMed]
- Dong, G.; Meng, F.; Zhang, Y.; Cui, Z.; Lidan, H.; Chang, S.; Zhao, P. Development and evaluation of a droplet digital PCR assay for the detection of fowl adenovirus serotypes 4 and 10 in attenuated vaccines. J. Virol. Methods 2019, 265, 59–65. [Google Scholar] [CrossRef] [PubMed]






| Target Serotype | Sequences (5′ → 3′) | Product Size | |
|---|---|---|---|
| FAdV-4 | Forward | GGC AGA ACG TGT CCG CCT | 209 bp |
| Reverse | ACC GTA AGC GTA ATT GTA CTG A | ||
| FAdV-8b | Forward | GGA TCG AGG ACG ATG AAA AC | 103 bp |
| Reverse | GCG ATT GCC CCA GCT GTT GC | ||
| FAdV-11 | Forward | GTC ATC ACG GGT CAG ATG ACA | 426 bp |
| Reverse | CGG CCT GTT TGC CTT CAT GA | ||
Disclaimer/Publisher’s Note: The statements, opinions and data contained in all publications are solely those of the individual author(s) and contributor(s) and not of MDPI and/or the editor(s). MDPI and/or the editor(s) disclaim responsibility for any injury to people or property resulting from any ideas, methods, instructions or products referred to in the content. |
© 2025 by the authors. Licensee MDPI, Basel, Switzerland. This article is an open access article distributed under the terms and conditions of the Creative Commons Attribution (CC BY) license (https://creativecommons.org/licenses/by/4.0/).
Share and Cite
Kang, S.-k.; Park, D.-H.; Min, K.; Yoo, S.-S.; Yoon, I.-J.; Mo, J. Development of a Multiplex Conventional PCR Assay for Concurrent Detection of FAdV-4, FAdV-8b, and FAdV-11. Vet. Sci. 2025, 12, 177. https://doi.org/10.3390/vetsci12020177
Kang S-k, Park D-H, Min K, Yoo S-S, Yoon I-J, Mo J. Development of a Multiplex Conventional PCR Assay for Concurrent Detection of FAdV-4, FAdV-8b, and FAdV-11. Veterinary Sciences. 2025; 12(2):177. https://doi.org/10.3390/vetsci12020177
Chicago/Turabian StyleKang, Su-kyung, Dam-Hee Park, Kyeongcheol Min, Sung-Sik Yoo, In-Joong Yoon, and Jongseo Mo. 2025. "Development of a Multiplex Conventional PCR Assay for Concurrent Detection of FAdV-4, FAdV-8b, and FAdV-11" Veterinary Sciences 12, no. 2: 177. https://doi.org/10.3390/vetsci12020177
APA StyleKang, S.-k., Park, D.-H., Min, K., Yoo, S.-S., Yoon, I.-J., & Mo, J. (2025). Development of a Multiplex Conventional PCR Assay for Concurrent Detection of FAdV-4, FAdV-8b, and FAdV-11. Veterinary Sciences, 12(2), 177. https://doi.org/10.3390/vetsci12020177

