Immunohistochemical Analysis of Inter-Alpha-Trypsin Inhibitor Heavy Chain 2 and Enolase 1 in Canine Mammary Tumors: Associations with Tumor Aggressiveness and Prognostic Significance
Simple Summary
Abstract
1. Introduction
2. Inter-Alpha-Trypsin Inhibitor Heavy Chain 2 (ITIH2)
2.1. ITIH2 and Breast Cancer in Women
2.2. ITIH2 and Mammary Tumors in Bitches
3. Enolase 1 (ENO1)
3.1. ENO1 and Breast Cancer in Women
3.2. ENO1 and Mammary Tumors in Bitches
4. Materials and Methods
4.1. Samples and Histological Processing
4.2. Positive and Negative Controls
4.3. Single Immunohistochemical Labeling
4.4. Double Immunohistochemical Labeling
4.5. Microscopy and Quantification of Immunohistochemical Labeling Intensity
4.6. Statistical Analyses
4.7. Prognostic Classification
5. Results
5.1. Age and Breed
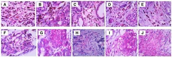
5.2. Anatomopathological Profile
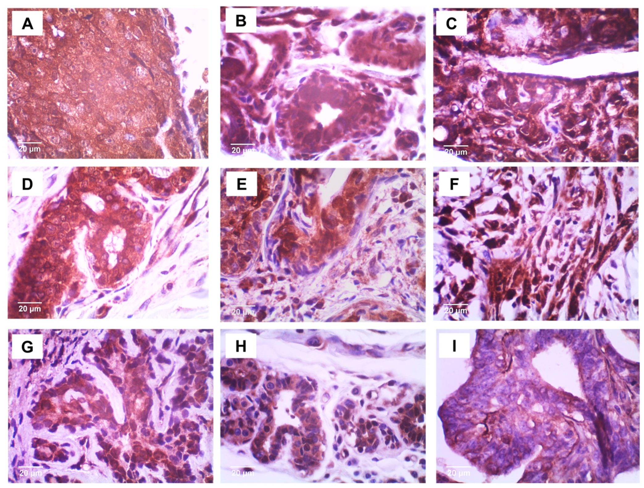
5.3. Protein Expression
5.4. Test to Evaluate the Association of ITIH2 and ENO1 with ZEB1 in Female Dog Mammary Tumors
5.5. Predictive Potential
6. Discussion
7. Conclusions
Supplementary Materials
Author Contributions
Funding
Institutional Review Board Statement
Informed Consent Statement
Data Availability Statement
Acknowledgments
Conflicts of Interest
References
- Sorenmo, K.U.; Kristiansen, V.M.; Cofone, M.A.; Shofer, F.S.; Breen, A.M.; Langeland, M.; Mongil, C.M.; Grondahl, A.M.; Teige, J.; Goldschmidt, M.H. Canine mammary gland tumours, a histological continuum from benign to malignant; clinical and histopathological evidence. Veter- Comp. Oncol. 2009, 7, 162–172. [Google Scholar] [CrossRef] [PubMed]
- Kaszak, I.; Ruszczak, A.; Kanafa, S.; Kacprzak, K.; Król, M.; Jurka, P. Current biomarkers of canine mammary tumors. Acta Vet. Scand. 2018, 60, 66. [Google Scholar] [CrossRef] [PubMed] [PubMed Central]
- Zuccari, D.A.P.D.C.; Santana, A.E.; Rocha, N.S. Correlação entre a citologia aspirativa por agulha fina e a histologia no diagnóstico de tumores mamários de cadelas. Braz. J. Vet. Res. Anim. Sci. 2001, 38, 38–41. [Google Scholar] [CrossRef]
- Borecka, P.; Ciaputa, R.; Janus, I.; Bubak, J.; Piotrowska, A.; Ratajczak-Wielgomas, K.; Podhorska-Okolów, M.; Dzięgiel, P.; Nowak, M. Expression of Periostin in Mammary Cancer Cells of Female Dogs. In Vivo 2020, 34, 3255–3262. [Google Scholar] [CrossRef] [PubMed] [PubMed Central]
- Vigneau, A.; Rico, C.; Boerboom, D.; Paquet, M. Statins downregulateYAPandTAZand exert anti-cancer effects in canine mammary tumour cells. Veter- Comp. Oncol. 2021, 20, 437–448. [Google Scholar] [CrossRef] [PubMed]
- Fischer, A.H.; Zhao, C.; Li, Q.K.; Gustafson, K.S.; Eltoum, I.; Tambouret, R.; Benstein, B.; Savaloja, L.C.; Kulesza, P. The cytologic criteria of malignancy. J. Cell. Biochem. 2010, 110, 795–811. [Google Scholar] [CrossRef]
- Gómez, B.; Ramirez, M.; Maldonado, J. Presence of lung metastases in bitches affected by malignant mammary neoplasms in Medellin (Colombia). Rev. MVZ Córdoba 2012, 17, 2983–2990. [Google Scholar] [CrossRef]
- de Almeida, L.G.N.; Young, D.; Chow, L.; Nicholas, J.; Lee, A.; Poon, M.-C.; Dufour, A.; Agbani, E.O. Proteomics and Metabolomics Profiling of Platelets and Plasma Mediators of Thrombo-Inflammation in Gestational Hypertension and Preeclampsia. Cells 2022, 11, 1256. [Google Scholar] [CrossRef] [PubMed]
- Bost, F.; Diarra-Mehrpour, M.; Martin, J.P. Inter-alpha-trypsin inhibitor proteoglycan family—A group of proteins binding and stabilizing the extracellular matrix. Eur. J. Biochem. 1998, 252, 339–346. [Google Scholar] [CrossRef] [PubMed]
- Lee, S.; Park, J.; Kim, E.J.; Park, S.; Kurie, J.M.; Ahn, Y.H. ZEB1-driven reconstruction of the hyaluronan network establishes a pro-metastatic microenvironment in lung adenocarcinoma. In Proceedings of the American Association for Cancer Research Annual Meeting, Orlando, FL, USA, April 2023. [Google Scholar]
- Kang, X.; Bai, L.; Qi, X.; Wang, J.; Kang, X.; Bai, L.; Qi, X. Screening and identification of key genes between liver hepatocellular carcinoma (LIHC) and cholangiocarcinoma (CHOL) by bioinformatic analysis. Medicine 2020, 99, e23563. [Google Scholar] [CrossRef] [PubMed] [PubMed Central]
- Hamm, A.; Veeck, J.; Bektas, N.; Wild, P.J.; Hartmann, A.; Heindrichs, U.; Kristiansen, G.; Werbowetski-Ogilvie, T.; Del Maestro, R.; Knuechel, R.; et al. Frequent expression loss of Inter-alpha-trypsin inhibitor heavy chain (ITIH) genes in multiple human solid tumors: A systematic expression analysis. BMC Cancer 2008, 8, 25. [Google Scholar] [CrossRef] [PubMed]
- Niu, L.; Gao, C.; Li, Y. Identification of potential core genes in colorectal carcinoma and key genes in colorectal cancer liver metastasis using bioinformatics analysis. Sci. Rep. 2021, 11, 23938. [Google Scholar] [CrossRef] [PubMed]
- Gao, J.; Zhao, R.; Xue, Y.; Niu, Z.; Cui, K.; Yu, F.; Zhang, B.; Li, S. Role of enolase-1 in response to hypoxia in breast cancer: Exploring the mechanisms of action. Oncol. Rep. 2013, 29, 1322–1332. [Google Scholar] [CrossRef] [PubMed]
- Li, A.; Li, H.; Jin, G.; Xiu, R. A proteomic study on cell cycle progression of endothelium exposed to tumor conditioned medium the possible role of cyclin, D.1/E. Clin. Hemorheol. Microcirc. 2003, 29, 383–390. [Google Scholar] [PubMed]
- Li, A.; Li, H.; Zhang, J.; Jin, G.; Xiu, R. The mitogenic and anti[1]apoptotic activity of tumor conditioned medium on endothelium. Clin. Hemorheol. Microcirc. 2003, 29, 375–382. [Google Scholar] [PubMed]
- Ma, J.; Yang, F.; Both, S.K.; Prins, H.J.; Helder, M.N.; Pan, J.; Cui, F.-Z.; Jansen, J.A.; van den Beucken, J.J. In vitro and in vivo angiogenic capacity of BM-MSCs/HUVECs and AT-MSCs/HUVECs cocultures. Biofabrication 2014, 6, 015005. [Google Scholar] [CrossRef]
- Gou, Y.; Li, F.; Huo, X.; Hao, C.; Yang, X.; Pei, Y.; Li, N.; Liu, H.; Zhu, B. ENO1 monoclonal antibody inhibits invasion, proliferation and clone formation of cervical cancer cells. Am. J. Cancer Res. 2021, 11, 1946–1961. [Google Scholar] [PubMed]
- Mishra, M.; Sharma, A.; Thacker, G.; Trivedi, A.K. Nano-LC based proteomic approach identifies that E6AP interacts with ENO1 and targets it for degradation in breast cancer cells. IUBMB Life 2019, 71, 1896–1905. [Google Scholar] [CrossRef] [PubMed]
- Chu, P.Y.; Hsu, N.C.; Liao, A.T.; Shih, N.Y.; Hou, M.F.; Liu, C.H. Overexpression of α-enolase correlates with poor survival in canine mammary carcinoma. BMC Vet. Res. 2011, 7, 1. [Google Scholar] [CrossRef] [PubMed]
- Jensen, K.; Krusenstjerna-Hafstrøm, R.; Lohse, J.; Petersen, K.H.; Derand, H. A novel quantitative immunohistochemistry method for precise protein measurements directly in formalin-fixed, paraffin-embedded specimens: Analytical performance measuring HER2. Mod. Pathol. 2017, 30, 180–193. [Google Scholar] [CrossRef]
- Varghese, F.; Bukhari, A.B.; Malhotra, R.; De, A. IHC Profiler: An Open Source Plugin for the Quantitative Evaluation and Automated Scoring of Immunohistochemistry Images of Human Tissue Samples. PLoS ONE 2014, 9, e96801. [Google Scholar] [CrossRef] [PubMed]
- Capello, M.; Ferri-Borgogno, S.; Cappello, P.; Novelli, F. α-Enolase: A promising therapeutic and diagnostic tumor target. FEBS J. 2011, 278, 1064–1074. [Google Scholar] [CrossRef]
- Cassali, G.D.; Jark, P.C.; Gamba, C.; Damasceno, K.A.; Lima, A.E.; Nardi, A.B.D.; Ferreira, E.; Horta, R.S.; Firmo, B.F.; Sueiro, F.A.; et al. Consensus Regarding the Diagnosis, Prognosis and Treatment of Canine and Feline Mammary Tumors—2019. Braz. J. Vet. Pathol. 2020, 13, 555–574. [Google Scholar] [CrossRef]
- Posit Team. RStudio: Integrated Development Environment for R; Posit Software: Boston, MA, USA, 2024. [Google Scholar]
- R Core Team. R: A Language and Environment for Statistical Computing. Vienna: R Foundation for Statistical Computing. 2024. Available online: https://www.R-project.org/ (accessed on 26 January 2025).
- Villanueva RA, M.; Chen, Z.J. Ggplot2: Elegant Graphics for Data Analysis. 2019. Available online: https://ms.mcmaster.ca/~bolker/misc/ggb.pdf (accessed on 26 January 2025).
- Oliveira Filho, J.C.; Kommers, G.D.; Masuda, E.K.; Marques, B.M.; Fighera, R.A.; Irigoyen, L.F.; Barros, C.S. Estudo retrospectivo de 1.647 tumores mamários em cães. Pesqui. Veterinária Bras. 2010, 30, 177–185. [Google Scholar] [CrossRef]
- Bitencourt, A.G.V.; Lima, E.N.P.; Chojniak, R.; Marques, E.F.; Souza, J.A.D.; Graziano, L.; Andrade, W.P.; Osório, C.A.B.D.T. Correlação entre resultado do PET/CT e achados histológicos e imuno-histoquímicos em carcinomas mamários. Radiol. Bras. 2014, 47, 67–73. [Google Scholar] [CrossRef] [PubMed][Green Version]
- Mendes, T.C.; Guim, T.N.; Dias, M.F.; Bonel-Raposo, J.; Fernandes, C.G. Comparação entre os sistemas histomorfológico e de graduação histológica para classificação prognóstica de tumores mamários em cadelas. Acta Sci. Vet. 2007, 35, 339–343. [Google Scholar] [CrossRef]
- Zhang, X.-F.; Zhang, X.-L.; Guo, L.; Bai, Y.-P.; Tian, Y.; Luo, H.-Y. The function of the inter-alpha-trypsin inhibitors in the development of disease. Front. Med. 2024, 11, 1432224. [Google Scholar] [CrossRef] [PubMed]
- Arnold, J.M.; Gu, F.; Ambati, C.R.; Rasaily, U.; Ramirez-Pena, E.; Joseph, R.; Manikkam, M.; Martin, R.S.; Charles, C.; Pan, Y.; et al. UDP-glucose 6-dehydrogenase regulates hyaluronic acid production and promotes breast cancer progression. Oncogene 2020, 39, 3089–3101, Erratum in Oncogene 2020, 39, 3226–3228. [Google Scholar] [CrossRef] [PubMed] [PubMed Central]
- García, G.A.; Hernández, S.; Mejía, Ó.R.; Baez, S.A.; García, A. Biología y patobiología humana del ácido hialurónico en la estabilización de la matriz extracelular y la inflamación. Rev. Med. 2006, 14, 80–87. [Google Scholar]
- Ruibal, A.; Arias, J.; Del Rio, M.C.; Resino, C.; Tejerina, A. Carcinomas ductales infiltrantes de mama en mujeres mayores de 60 años. Asociación con mayor proliferación celular y menores concentraciones de pS2 y ácido hialurónico citosólico y de membrana. Rev. Española De Med. Nucl. 2001, 20, 525–529. [Google Scholar] [CrossRef] [PubMed]
- Xu, Y.; Benedikt, J.; Ye, L. Moléculas Interagindo com Ácido Hialurônico Mediadas Crosstalk entre Células Cancerosas e Microambiente de Tumor Primário a Metástase Distante. Cânceres 2024, 16, 1907. [Google Scholar]
- Didiasova, M.; Schaefer, L.; Wygrecka, M. When place matters: Shuttling of enolase-1 across cellular compartments. Front. Cell Dev. Biol. 2019, 7, 61. [Google Scholar] [CrossRef]
- Lo Presti, M.; Ferro, A.; Contino, F.; Mazzarella, C.; Sbacchi, S.; Roz, E.; Feo, S. Myc promoter-binding protein-1 (MBP-1) is a novel potential prognostic marker in invasive ductal breast carcinoma. PLoS ONE 2010, 5, e12961. [Google Scholar] [CrossRef] [PubMed]
- Lee, S.; Park, J.; Kim, E.J.; Cho, S.; Park, S.; Kurie, J.M.; Ahn, Y.H. ZEB1-regulated hyaluronan network in the lung tumor microenvironment. Cancer Res. 2024, 84 (Suppl. S6), 4265. [Google Scholar] [CrossRef]
- de Tótaro, P.I.S. Aplicação de Nanopartículas Multifuncionais Baseadas em Fosfato de Cálcio Como Plataforma Para Imageamento e Tratamento do Câncer de Mama In Vitro; Universidade Federal de Minas Gerais: Belo Horizonte, Brazil, 2017. [Google Scholar]









| Malignant | Benign | Control | p | |
|---|---|---|---|---|
| Necrosis n (%) | ||||
| Absent | 14 (37) | 19 (50) | 05 (13) | 0.027 * |
| Moderate | 01 (100) | 0 (0) | 0 (0) | |
| Central | 2 (100) | 0 (0) | 0 (0) | |
| Frequent | 08 (100) | 0 (0) | 0 (0) | |
| Abundant | 01 (100) | 0 (0) | 0 (0) | |
| Accentuated | 01 (100) | 0 (0) | 0 (0) | |
| Anisokaryosis n (%) | ||||
| Absent | 17 (47) | 14 (39) | 05 (14) | 0.005 * |
| Discret | 0 (0) | 05 (100) | 0 (0) | |
| Moderate | 07 (100) | 0 (0) | 0 (0) | |
| Frequent | 03 (100) | 0 (0) | 0 (0) | |
| Nuclear pleomorphism n (%) | ||||
| Absent | 02 (17) | 05 (42) | 05 (42) | <0.001 * |
| Discret | 05 (36) | 09 (64) | 0 (0) | |
| Moderate | 13 (72) | 05 (28) | 0 (0) | |
| accentuated | 07 (100) | 0 (0) | 0 (0) | |
| Tumor diameter (cm), mean ± SE (n) | 1.34 ± 0.87 (11) | 0.76 ± 0.40 (17) | – | 0.063 † |
| Lymphatic invasion, n (%) | ||||
| Absent | 22 (54) | 19 (46) | – | 0.067 * |
| Present | 05 (100) | 0 (0) | – | |
| Metastasis, n (%) | ||||
| Absent | 23 (55) | 19 (45) | – | 0.131 * |
| Present | 19 (100) | 0 (0) | – |
Disclaimer/Publisher’s Note: The statements, opinions and data contained in all publications are solely those of the individual author(s) and contributor(s) and not of MDPI and/or the editor(s). MDPI and/or the editor(s) disclaim responsibility for any injury to people or property resulting from any ideas, methods, instructions or products referred to in the content. |
© 2025 by the authors. Licensee MDPI, Basel, Switzerland. This article is an open access article distributed under the terms and conditions of the Creative Commons Attribution (CC BY) license (https://creativecommons.org/licenses/by/4.0/).
Share and Cite
e Silva, L.d.S.; Jordão, P.H.F.; Balieiro, B.C.; Baracioli, L.d.S.; de Nóbrega, D.F.; Novais, A.A.; Chuffa, L.G.d.A.; Zuccari, D.A.P.d.C. Immunohistochemical Analysis of Inter-Alpha-Trypsin Inhibitor Heavy Chain 2 and Enolase 1 in Canine Mammary Tumors: Associations with Tumor Aggressiveness and Prognostic Significance. Vet. Sci. 2025, 12, 110. https://doi.org/10.3390/vetsci12020110
e Silva LdS, Jordão PHF, Balieiro BC, Baracioli LdS, de Nóbrega DF, Novais AA, Chuffa LGdA, Zuccari DAPdC. Immunohistochemical Analysis of Inter-Alpha-Trypsin Inhibitor Heavy Chain 2 and Enolase 1 in Canine Mammary Tumors: Associations with Tumor Aggressiveness and Prognostic Significance. Veterinary Sciences. 2025; 12(2):110. https://doi.org/10.3390/vetsci12020110
Chicago/Turabian Stylee Silva, Luadna dos Santos, Pedro Henrique Fogaça Jordão, Beatriz Castilho Balieiro, Laura de Souza Baracioli, Daniela Farias de Nóbrega, Adriana Alonso Novais, Luiz Gustavo de Almeida Chuffa, and Debora Aparecida Pires de Campos Zuccari. 2025. "Immunohistochemical Analysis of Inter-Alpha-Trypsin Inhibitor Heavy Chain 2 and Enolase 1 in Canine Mammary Tumors: Associations with Tumor Aggressiveness and Prognostic Significance" Veterinary Sciences 12, no. 2: 110. https://doi.org/10.3390/vetsci12020110
APA Stylee Silva, L. d. S., Jordão, P. H. F., Balieiro, B. C., Baracioli, L. d. S., de Nóbrega, D. F., Novais, A. A., Chuffa, L. G. d. A., & Zuccari, D. A. P. d. C. (2025). Immunohistochemical Analysis of Inter-Alpha-Trypsin Inhibitor Heavy Chain 2 and Enolase 1 in Canine Mammary Tumors: Associations with Tumor Aggressiveness and Prognostic Significance. Veterinary Sciences, 12(2), 110. https://doi.org/10.3390/vetsci12020110

