Molecular Identification and Phylogenetic Analysis of Trypanosoma evansi with Assessment of Associated Risk Factors in Camels (Camelus dromedarius) Across Ten Districts of Punjab, Pakistan
Simple Summary
Abstract
1. Introduction
2. Materials and Methods
2.1. Study Area and Sample Collection
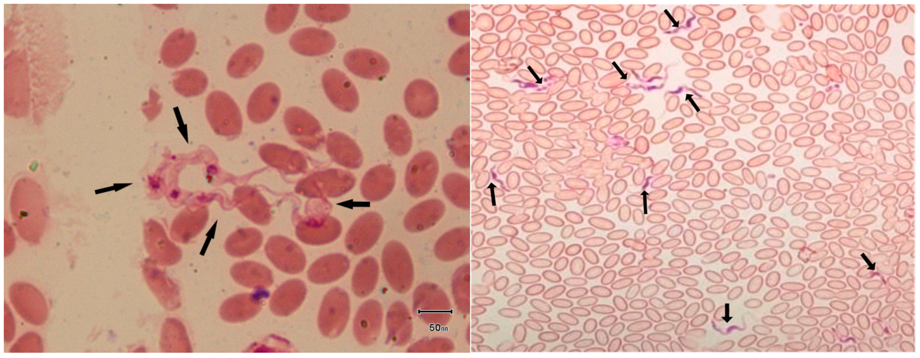
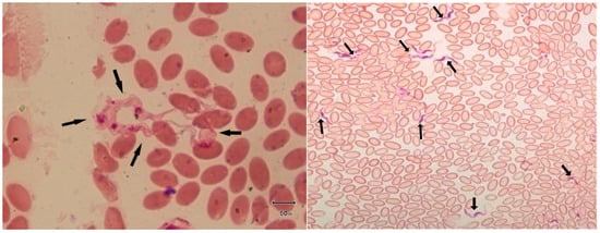
2.2. Microscopic Examination
2.3. DNA Extraction and PCR Amplification
2.4. Gel Electrophoresis
2.5. Sequencing and Phylogenetic Analysis
2.6. Serum Biochemistry
2.7. Statistical Analysis
3. Results
3.1. Microscopic Findings
3.2. Molecular Detection Through PCR
3.3. Comparison of the Diagnostic Performance
3.4. Phylogenetic Analysis
3.5. Risk Factors Associated with T. evansi Prevalence
3.6. Serum Biochemical Findings
4. Discussion
5. Conclusions
Supplementary Materials
Author Contributions
Funding
Institutional Review Board Statement
Informed Consent Statement
Data Availability Statement
Conflicts of Interest
Abbreviations
| T. evansi | Trypanosoma evansi |
| FAT | Fisher’s exact test |
| PCR | Polymerase chain reaction |
| DNA | Deoxyribonucleic acid |
| BLAST | Basic Local Alignment Search Tool |
| CI | 95% binomial exact confidence interval |
| PC | Positive control |
| NC | Negative control |
| CP | Control positive |
| CN | Control negative |
| MS | Microscopy |
| OR | Odds ratio |
| GSBS | Giemsa-stained blood smears |
References
- Ahmad, S.; Kour, G.; Singh, A.; Gulzar, M. Animal Genetic Resources of India—An Overview. Int. J. Livest. Res. 2019, 9, 1. [Google Scholar] [CrossRef]
- Faraz, A.; Mustafa, M.I.; Lateef, M.; Yaqoob, M.; Younas, M. Production Potential of Camel and Its Prospects in Pakistan. Punjab Univ. J. Zool. 2013, 28, 89–95. [Google Scholar]
- Alhassani, W.E. Camel Milk: Nutritional Composition, Therapeutic Properties, and Benefits for Human Health. Open Vet. J. 2024, 14, 3164. [Google Scholar] [CrossRef]
- Kula, J.; Nejash, A.; Golo, D.; Makida, E. Camel Trypanosomiasis: A Review on Past and Recent Research in Africa and Middle East. Am. J. Sci. Res. 2017, 12, 13–20. [Google Scholar] [CrossRef]
- N’Djetchi, M.K.; Ilboudo, H.; Koffi, M.; Kaboré, J.; Kaboré, J.W.; Kaba, D.; Courtin, F.; Coulibaly, B.; Fauret, P.; Kouakou, L.; et al. The Study of Trypanosome Species Circulating in Domestic Animals in Two Human African Trypanosomiasis Foci of Côte d’Ivoire Identifies Pigs and Cattle as Potential Reservoirs of Trypanosoma brucei gambiense. PLoS Negl. Trop. Dis. 2017, 11, e0005993. [Google Scholar] [CrossRef]
- Selim, A.; Alafari, H.A.; Attia, K.; AlKahtani, M.D.F.; Albohairy, F.M.; Elsohaby, I. Prevalence and Animal Level Risk Factors Associated with Trypanosoma evansi Infection in Dromedary Camels. Sci. Rep. 2022, 12, 8933. [Google Scholar] [CrossRef]
- Aregawi, W.G.; Agga, G.E.; Abdi, R.D.; Büscher, P. Systematic Review and Meta-Analysis on the Global Distribution, Host Range, and Prevalence of Trypanosoma evansi. Parasites Vectors 2019, 12, 67. [Google Scholar] [CrossRef] [PubMed]
- Ereqat, S.; Nasereddin, A.; Al-Jawabreh, A.; Al-Jawabreh, H.; Al-Laham, N.; Abdeen, Z. Prevalence of Trypanosoma evansi in livestock in Palestine. Parasites Vectors 2020, 13, 21. [Google Scholar] [CrossRef]
- Tehseen, S.; Jahan, N.; Qamar, M.F.; Desquesnes, M.; Shahzad, M.I.; Deborggraeve, S.; Büscher, P. Parasitological, Serological and Molecular Survey of Trypanosoma evansi Infection in Dromedary Camels from Cholistan Desert, Pakistan. Parasites Vectors 2015, 8, 415. [Google Scholar] [CrossRef]
- Mamman, S.A.; Dakul, D.A.; Yohanna, J.A.; Dogo, G.A.; Reuben, R.C.; Ogunleye, O.O.; Tyem, D.A.; Peter, J.G.; Kamani, J. Parasitological, Serological, and Molecular Survey of Trypanosomosis (Surra) in Camels Slaughtered in Northwestern Nigeria. Trop. Anim. Health Prod. 2021, 53, 537. [Google Scholar] [CrossRef]
- Desquesnes, M.; Holzmuller, P.; Lai, D.H.; Dargantes, A.; Lun, Z.R.; Jittaplapong, S. Trypanosoma evansi and Surra: A Review and Perspectives on Origin, History, Distribution, Taxonomy, Morphology, Hosts, and Pathogenic Effects. BioMed Res. Int. 2013, 2013, 194176. [Google Scholar] [CrossRef]
- Olani, A.; Habtamu, Y.; Wegayehu, T.; Anberber, M. Prevalence of Camel Trypanosomosis (Surra) and Associated Risk Factors in Borena Zone, Southern Ethiopia. Parasitol. Res. 2016, 115, 1141–1147. [Google Scholar] [CrossRef]
- Hussain, R.; Khan, A.; Abbas, R.Z.; Ghaffar, A.; Abbas, G.; Rahman, T.; Ali, F. Clinico-Hematological and Biochemical Studies on Naturally Infected Camels with Trypanosomiasis. Pak. J. Zool. 2016, 48, 311–316. [Google Scholar]
- Parreira, D.R.; Jansen, A.M.; Abreu, U.G.P.; Macedo, G.C.; Silva, A.R.S.; Mazur, C.; Andrade, G.B.; Herrera, H.M. Health and Epidemiological Approaches of Trypanosoma evansi and Equine Infectious Anemia Virus in Naturally Infected Horses at Southern Pantanal. Acta Trop. 2016, 163, 98–102. [Google Scholar] [CrossRef] [PubMed]
- Sivajothi, S.; Rayulu, V.C.; Sudhakara Reddy, B. Haematological and Biochemical Changes in Experimental Trypanosoma evansi Infection in Rabbits. J. Parasit. Dis. 2015, 39, 216–220. [Google Scholar] [CrossRef] [PubMed]
- Reddy, B.S.; Kumari, K.N.; Sivajothi, S.; Rayulu, V.C. Haemato-Biochemical and Thyroxin Status in Trypanosoma evansi Infected Dogs. J. Parasit. Dis. 2016, 40, 491–495. [Google Scholar] [CrossRef]
- Abera, Z.; Box, P.O.; Usmane, A.; Ayana, Z. Review on Camel Trypanosomosis: Its Epidemiology and Economic Importance. Acta Parasitol. Glob. 2015, 6, 117–128. [Google Scholar]
- Ramírez, J.D.; Herrera, G.; Hernández, C.; Cruz-Saavedra, L.; Muñoz, M.; Flórez, C.; Butcher, R. Evaluation of the Analytical and Diagnostic Performance of a Digital Droplet Polymerase Chain Reaction (DdPCR) Assay to Detect Trypanosoma Cruzi DNA in Blood Samples. PLoS Negl. Trop. Dis. 2018, 12, e0007063. [Google Scholar] [CrossRef]
- Kidambasi, K.O.; Masiga, D.K.; Villinger, J.; Carrington, M.; Bargul, J.L. Detection of Blood Pathogens in Camels and Their Associated Ectoparasitic Camel Biting Keds, Hippobosca Camelina: The Potential Application of Keds in Xenodiagnosis of Camel Haemopathogens. AAS Open Res. 2019, 2, 164. [Google Scholar] [CrossRef]
- Ashraf, S.; Chaudhry, H.R.; Chaudhry, M.; Iqbal, Z.; Ali, M.; Jamil, T.; Sial, N.; Shahzad, M.I.; Basheer, F.; Akhter, S.; et al. Prevalence of Common Diseases in Camels of Cholistan Desert, Pakistan. J. Infect. Mol. Biol. 2014, 2, 49–52. [Google Scholar] [CrossRef]
- Sobia, M.; Mirza, I.S.; Sonia, T.; Abul, H.; Hafiz, M.A.; Muhammad, D.; Muhammad, F.Q. Prevalence and Characterization of Trypanosoma Species from Livestock of Cholistan Desert of Pakistan. Trop. Biomed. 2018, 35, 140–148. [Google Scholar] [PubMed]
- Hasan, M.U.; Muhammad, G.; Gutierrez, C.; Iqbal, Z.; Shakoor, A.; Jabbar, A. Prevalence of Trypanosoma evansi Infection in Equines and Camels in the Punjab Region, Pakistan. Ann. N. Y. Acad. Sci. 2006, 1081, 322–324. [Google Scholar] [CrossRef]
- Khan, S.; Aimen, U.; Rizwan, M.; Ali, A.; Khan, I.; Safiullah; Abidullah; Imdad, S.; Waseemullah; Khan, A. Epidemiological Survey of Trypanosomiasis in the Dromedary Camels Raised in Dera Ismail Khan, Khyber Pakhtunkhwa, Pakistan. Agrobiol. Rec. 2021, 7, 10–17. [Google Scholar] [CrossRef] [PubMed]
- Tariq, M.; Badshah, F.; Khan, M.S.; Ibáñez-Arancibia, E.; De los Ríos-Escalante, P.R.; Khan, N.U.; Naeem, S.; Manzoor, A.; Tahir, R.; Mubashir, M.; et al. Prevalence of Trypanosomiasis Caused by Trypanosoma evansi (Kinetoplastea, Trypanosomatidae) in Domestic Ruminants from Southern Punjab, Pakistan. Vet. World 2024, 17, 1955. [Google Scholar] [CrossRef]
- Pakistan Bureau of Statistics. Pakistan Livestock Census 2006; Government of Pakistan: Islamabad, Pakistan, 2006. [Google Scholar]
- Thrusfield, M.; Christley, R.; Brown, H.; Diggle, P.J.; French, N.; Howe, K.; Kelly, L.; O’Connor, A.; Sargeant, J.; Wood, H. Veterinary Epidemiology; John Wiley & Sons, Ltd.: Chichester, UK, 2018; ISBN 9781118280249. [Google Scholar]
- Modrý, D.; Hofmannová, L.; Mihalca, A.D.; Juránková, J.; Neumayerová, H.; D’Amico, G. Field and Laboratory Diagnostics of Parasitic Diseases of Domestic Animals: From Sampling to Diagnosis; Department of Pathology and Parasitology, University of Veterinary and Pharmaceutical Sciences: Brno, Czech Republic, 2017. [Google Scholar]
- Hoare, C.A. The Trypanosomes of Mammals: A Zoological Monograph. Med. J. Aust. 1973, 1, 140. [Google Scholar] [CrossRef]
- Saleem, S.; Ijaz, M.; Farooqi, S.H.; Rashid, M.I.; Khan, A.; Masud, A.; Aqib, A.I.; Hussain, K.; Mehmood, K.; Zhang, H. First Molecular Evidence of Equine Granulocytic Anaplasmosis in Pakistan. Acta Trop. 2018, 180, 18–25. [Google Scholar] [CrossRef] [PubMed]
- Metwally, D.M.; Al-Turaiki, I.M.; Altwaijry, N.; Alghamdi, S.Q.; Alanazi, A.D. Molecular Identification of Trypanosoma evansi Isolated from Arabian Camels (Camelus dromedarius) in Riyadh and Al-Qassim, Saudi Arabia. Animals 2021, 11, 1149. [Google Scholar] [CrossRef]
- Pruvot, M.; Kamyingkird, K.; Desquesnes, M.; Sarataphan, N.; Jittapalapong, S. A Comparison of Six Primer Sets for Detection of Trypanosoma evansi by Polymerase Chain Reaction in Rodents and Thai Livestock. Vet. Parasitol. 2010, 171, 185–193. [Google Scholar] [CrossRef]
- Njiru, Z.K.; Constantine, C.C.; Guya, S.; Crowther, J.; Kiragu, J.M.; Thompson, R.C.A.; Dávila, A.M.R. The Use of ITS1 RDNA PCR in Detecting Pathogenic African Trypanosomes. Parasitol. Res. 2005, 95, 186–192. [Google Scholar] [CrossRef]
- Sudan, V.; Jaiswal, A.K.; Shanker, D.; Verma, A.K. First Report of Molecular Characterization and Phylogenetic Analysis of RoTat 1.2 VSG of Trypanosoma evansi from Equine Isolate. Trop. Anim. Health Prod. 2017, 49, 1793–1796. [Google Scholar] [CrossRef]
- Bursac, Z.; Gauss, C.H.; Williams, D.K.; Hosmer, D.W. Purposeful Selection of Variables in Logistic Regression. Source Code Biol. Med. 2008, 3, 17. [Google Scholar] [CrossRef]
- Lan, Y. Molecular Investigation of Important Protozoal Infections in Yaks. Pak. Vet. J. 2021, 41, 557–561. [Google Scholar] [CrossRef]
- Sazmand, A. Paleoparasitology and Archaeoparasitology in Iran: A Retrospective in Differential Diagnosis. Int. J. Paleopathol. 2021, 32, 50–60. [Google Scholar] [CrossRef]
- Yawoz, M.; Jaafar, S.; Alahi, F.; Babur, C. Seroprevalence of Camels Listeriosis, Brucellosis and Toxoplasmosis from Kirkuk Province-Iraq. Pak. Vet. J. 2021, 41, 335–340. [Google Scholar] [CrossRef]
- Sana, K.; Monia, L.; Ameni, B.S.; Haikel, H.; Imed, B.S.; Walid, C.; Bouabdella, H.; Bassem, B.H.M.; Hafedh, D.; Samed, B.; et al. Serological Survey and Associated Risk Factors’ Analysis of Trypanosomiasis in Camels from Southern Tunisia. Parasite Epidemiol. Control 2022, 16, e00231. [Google Scholar] [CrossRef]
- Cadioli, F.A.; Barnabé, P.D.A.; Machado, R.Z.; Teixeira, M.C.A.; André, M.R.; Sampaio, P.H.; Fidélis Junior, O.L.; Teixeira, M.M.G.; Marques, L.C. First report of Trypanosoma vivax outbreak in dairy cattle in São Paulo state, Brazil. Rev. Bras. Parasitol. Vet. 2012, 21, 118–124. [Google Scholar] [CrossRef] [PubMed]
- Desquesnes, M.; Dávila, A. Applications of PCR-Based Tools for Detection and Identification of Animal Trypanosomes: A Review and Perspectives. Vet. Parasitol. 2002, 109, 213–231. [Google Scholar] [CrossRef] [PubMed]
- Hussain, M.; Saeed, Z.; Gulsher, M.; Shaikh, R.S.; Ali, M.; Ahmad, A.N.; Hussain, I.; Akhtar, M.; Iqbal, F. A Report on the Molecular Detection and Seasonal Prevalence of Trypanosoma brucei in Dromedary Camels from Dera Ghazi Khan District in Southern Punjab Pakistan. Trop. Biomed. 2016, 33, 268–275. [Google Scholar]
- Birhanu, H.; Gebrehiwot, T.; Goddeeris, B.M.; Büscher, P.; Van Reet, N. New Trypanosoma evansi Type B Isolates from Ethiopian Dromedary Camels. PLoS Negl. Trop. Dis. 2016, 10, e0004556. [Google Scholar] [CrossRef] [PubMed]
- Hassan-Kadle, A.A.; Ibrahim, A.M.; Nyingilili, H.S.; Yusuf, A.A.; Vieira, T.S.W.J.; Vieira, R.F.C. Parasitological, Serological and Molecular Survey of Camel Trypanosomiasis in Somalia. Parasites Vectors 2019, 12, 598. [Google Scholar] [CrossRef]
- Boushaki, D.; Adel, A.; Dia, M.L.; Büscher, P.; Madani, H.; Brihoum, B.A.; Sadaoui, H.; Bouayed, N.; Issad, N.K. Epidemiological Investigations on Trypanosoma evansi Infection in Dromedary Camels in the South of Algeria. Heliyon 2019, 5, e02086. [Google Scholar] [CrossRef]
- Al-Afaleq, A.I.; Elamin, E.A.; Fatani, A.; Homeida, A.G.M. Epidemiological Aspects of Camel Trypanosomosis in Saudi Arabia. J. Camel Pract. Res. 2015, 22, 231. [Google Scholar] [CrossRef]
- Salah, A.A.; Robertson, I.; Mohamed, A. Prevalence and Distribution of Trypanosoma evansi in Camels in Somaliland. Trop. Anim. Health Prod. 2019, 51, 2371–2377. [Google Scholar] [CrossRef]
- El-Naga, T.; Barghash, S. Blood Parasites in Camels (Camelus dromedarius) in Northern West Coast of Egypt. J. Bacteriol. Parasitol. 2016, 7, 258. [Google Scholar] [CrossRef]
- Muhammad, G.; Jabbar, A.; Iqbal, Z.; Athar, M.; Saqib, M. A Preliminary Passive Surveillance of Clinical Diseases of Cart Pulling Camels in Faisalabad Metropolis (Pakistan). Prev. Vet. Med. 2006, 76, 273–279. [Google Scholar] [CrossRef] [PubMed]
- Azeem, T.; Tipu, M.Y.; Aslam, A.; Ahmed, S.; Abid, S.A.; Iqbal, A.; Akhtar, N.; Saleem, M.; Mushtaq, A.; Umar, S. Hematobiochemical Disorder in Camels Suffering from Different Hemoparasites. Pak. J. Zool. 2019, 51, 591–596. [Google Scholar] [CrossRef]
- Bhutto, B.; Gadahi, J.A.; Shah, G.; Dewani, P.; Arijo, A.G. Field Investigation on the Prevalence of Trypanosomiasis in Camels in Relation to Sex, Age, Breed and Herd Size. Pak. Vet. J. 2010, 30, 175–177. [Google Scholar]
- Maqsood, N.; Tunio, M.; Dad, R. Effect of Season and Topography on the Prevalence of Trypanosoma evansi in Camels of District Khushab of Punjab Province, Pakistan. J. Anim. Health Prod. 2023, 11, 139–143. [Google Scholar] [CrossRef]
- Khan, W.; Hafeez, M.A.; Lateef, M.; Awais, M.; Wajid, A.; Shah, B.A.; Ali, S.; Asif, Z.; Ahmed, M.; Kakar, N.; et al. Parasitological, Molecular, and Epidemiological Investigation of Trypanosoma evansi Infection among Dromedary Camels in Balochistan Province. Parasitol. Res. 2023, 122, 1833–1839. [Google Scholar] [CrossRef]
- Sazmand, A.; Rasooli, A.; Nouri, M.; Hamidinejat, H.; Hekmatimoghaddam, S. Serobiochemical Alterations in Subclinically Affected Dromedary Camels with Trypanosoma evansi in Iran. Pak. Vet. J. 2011, 31, 223–226. [Google Scholar]
- Habeeba, S.; Khan, R.A.; Zackaria, H.; Yammahi, S.; Mohamed, Z.; Sobhi, W.; AbdelKader, A.; Alhosani, M.A.; Muhairi, S. Al Comparison of Microscopy, Card Agglutination Test for Trypanosoma evansi, and Real-Time PCR in the Diagnosis of Trypanosomosis in Dromedary Camels of the Abu Dhabi Emirate, UAE. J. Vet. Res. 2022, 66, 125–129. [Google Scholar] [CrossRef] [PubMed]
- Zaitoun, A.; Malek, S.; El-Khabaz, K.; Abd-El-Hameed, S. Some Studies on Trypanosomiasis in Imported Camels. Assiut Vet. Med. J. 2016, 63, 39–51. [Google Scholar] [CrossRef]
- Abdel-Hakeem, S.S.; Megahed, G.; Al-Hakami, A.M.; Tolba, M.E.M.; Karar, Y.F.M. Impact of Trypanosomiasis on Male Camel Infertility. Front. Vet. Sci. 2025, 11, 1506532. [Google Scholar] [CrossRef] [PubMed]
- Barghash, S.M.; Abou El-Naga, T.R.; El-Sherbeny, E.A.; Darwish, A.M. Prevalence of Trypanosoma evansi in Maghrabi Camels (Camelus dromedarius) in Northern-West Coast, Egypt Using Molecular and Parasitological Methods. Acta Parasitol. Glob. 2014, 5, 125–132. [Google Scholar] [CrossRef]
- Mirshekar, F.; Yakhchali, M.; Shariati-Sharifi, F. Trypanosoma evansi Infection and Major Risk Factors for Iranian One-Humped Camels (Camelus dromedarius). J. Parasit. Dis. 2017, 41, 854–858. [Google Scholar] [CrossRef]
- Argungu, S.; Bala, A.; Liman, B. Pattern of Trypanosoma evansi Infection among Slaughtered Camels (Camelus dromedarius) in Sokoto Central Abattoir. J. Zool. Biosci. Res. 2015, 2, 1–7. [Google Scholar]
- Ngaira, J.; Bett, B.; Karanja, S.; Njagi, E. Evaluation of Antigen and Antibody Rapid Detection Tests for Trypanosoma evansi Infection in Camels in Kenya. Vet. Parasitol. 2003, 114, 131–141. [Google Scholar] [CrossRef]
- Al Malki, J.S.; Hussien, N.A. Molecular Characterization of Trypanosoma evansi, T. vivax and T. congolense in Camels (Camelus dromedarius) of KSA. BMC Vet. Res. 2022, 18, 45. [Google Scholar] [CrossRef]
- Al-Kharusi, A.H.; Elshafie, E.I.; Ali, K.E.M.; AL-Sinadi, R.; Baniuraba, N.; AL-Saifi, F. Seroprevalence of Trypanosoma evansi Infections among Dromedary Camels (Camelus dromedaries) in North Al-Sharqiya Governorate, Sultanate of Oman. J. Agric. Mar. Sci. 2025, 26, 51–55. [Google Scholar] [CrossRef]
- Alemu, G.; Abebe, R. Prevalence and Risk Factors of Trypanosomosis in Dromedary Camels in the Pastoral Areas of the Guji Zone in Ethiopia. J. Parasitol. Res. 2023, 2023, 8611281. [Google Scholar] [CrossRef]
- Ngaira, J.; Bett, B.K.; Karanja, S. Animal-Level Risk Factors for Trypanosoma evansi Infection in Camels in Eastern and Central Parts of Kenya. Onderstepoort J. Vet. Res. 2002, 69, 263–271. [Google Scholar]
- Ismail-Hamdi, S.; Hamdi, N.; Chandoul, W.; Smida, B.B.; Romdhane, S. Ben Microscopic and Serological Survey of Trypanosoma evansi Infection in Tunisian Dromedary Camels (Camelus dromedarius). Vet. Parasitol. Reg. Stud. Rep. 2022, 32, 100741. [Google Scholar] [CrossRef]
- Pasalary, M.; Arbabi, M.; Pashei, S.; Abdigoudarzi, M. Fauna of ticks (Acari: Ixodidae) and their seasonal infestation rate on Camelus dromedarius (Mammalia: Camelidae) in Masileh region, Qom province, Iran. Persian J. Acarol. 2017, 6, 31–37. [Google Scholar] [CrossRef]
- Chaudhary, Z.I.; Iqbal, J. Incidence, Biochemical and Haematological Alterations Induced by Natural Trypanosomosis in Racing Dromedary Camels. Acta Trop. 2000, 77, 209–213. [Google Scholar] [CrossRef] [PubMed]
- Mishra, R.R.; Senapati, S.; Sahoo, S.C.; Das, M.; Sahoo, G.; Patra, R. Trypanosomiasis Induced Oxidative Stress and Hemato-Biochemical Alteration in Cattle. J. Entomol. Zool. Stud. 2017, 5, 721–727. [Google Scholar]
- Ahmadi-hamedani, M.; Ghazvinian, K.; Darvishi, M.M. Hematological and Serum Biochemical Aspects Associated with a Camel (Camelus dromedarius) Naturally Infected by Trypanosoma evansi with Severe Parasitemia in Semnan, Iran. Asian Pac. J. Trop. Biomed. 2014, 4, 743–745. [Google Scholar] [CrossRef]
- Singh, S.K.; Singh, V.K.; Kumari, P.; Nakade, U.P.; Garg, S.K. Trypanosoma evansi Induces Detrimental Immuno-Catabolic Alterations and Condition like Type-2 Diabetes in Buffaloes. Parasitol. Int. 2018, 67, 140–143. [Google Scholar] [CrossRef]
- Da Silva, A.S.; Wolkmer, P.; Costa, M.M.; Tonin, A.A.; Eilers, T.L.; Gressler, L.T.; Otto, M.A.; Zanette, R.A.; Santurio, J.M.; Lopes, S.T.A.; et al. Biochemical Changes in Cats Infected with Trypanosoma evansi. Vet. Parasitol. 2010, 171, 48–52. [Google Scholar] [CrossRef]








| Primer | Primer Sequence (5′ To 3′) | Expected Product (bp) | Reference |
|---|---|---|---|
| ITS1CF/BR | F: (CCGGAAGTTCACCGATATTG) R: (TTGCTGCGTTCTTCAACGAA) | 480 | [30] |
| pMUTec | F: (TGCAGACGACCTGACGTACT) R: (CTCCTAGAAGCTTCGGTGTCCT) | 227 | [31] |
| RoTat 1.2 | F: (GCGGGGTGTTTAAAGCAATA) R: (ATTAGTGCTGCGTGTGTTCG) | 205 | [32] |
| Accession No/ID | Parasite spp. |
|---|---|
| ON868415 | Trypanosoma evansi |
| ON868416 | Trypanosoma evansi |
| ON868417 | Trypanosoma evansi |
| ON868418 | Trypanosoma evansi |
| MZ209177 | Trypanosoma evansi |
| MZ209178 | Trypanosoma evansi |
| District | Camel Population [18] | Tested | Microscopy | PCR | ||
|---|---|---|---|---|---|---|
| Positive | Prev. % (95% CI) | Positive | Prev. % (95% CI) | |||
| Jhang | 1265 | 39 | 0 | 0 (0–9) | 1 | 2.6 (0.1–13.5) |
| Faisalabad | 687 | 15 | 1 | 6.7 (0.2–31.9) | 2 | 13.3 (1.7–40.5) |
| Bhakkar | 5310 | 90 | 7 | 7.8 (3.2–15.4) | 14 | 15.6 (8.8–24.7) |
| Mianwali | 1886 | 41 | 2 | 4.9 (0.6–16.5) | 4 | 9.8 (2.7–23.1) |
| Khushab | 3712 | 40 | 2 | 5 (0.6–16.9) | 4 | 10 (2.8–23.7) |
| Rajanpur | 7594 | 86 | 12 | 13.9 (7.4–23.1) | 19 | 22.1 (13.9–32.3) |
| Muzaffargarh | 1687 | 38 | 4 | 10.5 (2.9–24.8) | 5 | 13.2 (4.4–28.1) |
| Bahawalpur | 1078 | 14 | 2 | 14.3 (1.8–42.8) | 4 | 28.6 (8.4–58.1) |
| Bahawalnagar | 681 | 22 | 2 | 9.1 (1.1–29.2) | 5 | 22.7 (7.8–45.4) |
| Layyah | 3155 | 15 | 1 | 6.7 (0.2–31.9) | 1 | 6.7 (0.2–31.9) |
| Total | 27,055 | 400 | 33 | 8.3 (5.7–11.4) | 59 | 14.8 (11.4–18.6) |
| PCR | Microscopy | Total | ||
|---|---|---|---|---|
| Negative | Positive | |||
| Negative | Count | 316 | 25 | 341 |
| Expected Count | 312.9 | 28.1 | 341.0 | |
| Positive | Count | 51 | 8 | 59 |
| Expected Count | 54.1 | 4.9 | 59.0 | |
| Total | Count | 367 | 33 | 400 |
| Expected Count | 367.0 | 33.0 | 400.0 | |
| Comparison | Observed Agreement | SE | Kappa Value | 95% CI of Kappa | Χ2 p-Value | Strength |
|---|---|---|---|---|---|---|
| PCR vs. MS | 81.00% | 0.057 | 0.076 | −0.357, 0.188 | 0.108 | Slight |
| Variable | Category | Pos./Tested | Prev. % (95% CI) | Odds Ratio (95% CI) | p-Value |
|---|---|---|---|---|---|
| Provincial Zones | Northern and Central | 25/225 | 11.1 (7.3–16) | Ref. | χ2 = 5.416 p = 0.020 |
| Southern | 34/175 | 19.4 (13.8–26.1) | 1.93 (1.10–3.38) | ||
| Gender | Female | 46/251 | 18.3 (13.7–23.7) | 2.35 (1.22–4.51) | χ2 = 6.855 p = 0.009 |
| Male | 13/149 | 8.7 (4.7–14.5) | Ref. | ||
| Age Groups | <2 Y | 10/87 | 11.5 (5.7–20.1) | Ref. | χ2 = 1.488 p = 0.475 |
| 2–5 Y | 21/149 | 14.1 (8.9–20.7) | 1.26 (0.57–2.82) | ||
| >5 Y | 28/164 | 17.1 (11.7–23.7) | 1.59 (0.75–3.59) | ||
| Tick Infestation | No | 16/192 | 8.3 (4.8–13.2) | Ref. | χ2 = 12.090 p = 0.001 |
| Yes | 43/208 | 20.7 (15.4–26.8) | 2.87 (1.56–5.29) | ||
| Wall Cracks | No | 37/276 | 13.4 (9.6–18) | Ref. | χ2 = 1.279 p = 0.258 |
| Yes | 22/124 | 17.7 (11.5–25.6) | 1.39 (0.78–2.48) | ||
| Contact with other Livestock | No | 16/134 | 11.9 (7–18.7) | Ref. | χ2 = 1.265 p = 0.261 |
| Yes | 43/266 | 16.2 (12–21.2) | 1.42 (0.77–2.63) | ||
| Physical appearance | Emaciated | 51/307 | 16.6 (12.6–21.3) | 2.12 (0.97–4.64) | χ2 = 3.642 p = 0.056 |
| Normal | 8/93 | 8.6 (3.8–16.2) | Ref. | ||
| Housing Management | Sand based | 42/214 | 19.6 (14.5–25.6) | 2.43 (1.33–4.43) | χ2 = 8.702 p = 0.003 |
| Soil based | 17/186 | 9.1 (5.4–14.2) | Ref. | ||
| Fly Control | No | 42/296 | 14.2 (10.4–18.7) | Ref. | χ2 = 0.285 p = 0.594 |
| Yes | 17/104 | 16.4 (9.8–24.9) | 1.18 (0.64–2.18) | ||
| Location of Feed and Water | Indoor | 13/125 | 10.4 (5.7–17.1) | Ref. | χ2 = 2.736 p = 0.098 |
| Outdoor | 46/275 | 16.7 (12.5–21.7) | 1.73 (0.89–3.33) | ||
| Purpose | Draught | 33/190 | 17.4 (12.3–23.5) | 1.49 (0.85–2.60) | χ2 = 1.973 p = 0.160 |
| Production | 26/210 | 12.4 (8.2–17.6) | Ref. | ||
| Herd Size | ≤3 | 27/153 | 17.7 (12–24.6) | Ref. | χ2 = 2.127 p = 0.546 |
| 4 to 6 | 11/99 | 11.1 (5.7–19) | 0.58 (0.28–1.24) | ||
| 7 to 10 | 12/87 | 13.8 (7.3–22.9) | 0.75 (0.36–1.56) | ||
| >10 | 9/61 | 14.8 (7–26.2) | 0.81 (0.36–1.84) |
| Variable Name | Exposure Variable | Comparison | OR | 95% CI | p-Value |
|---|---|---|---|---|---|
| Provincial Zones | Southern Punjab | Northern and Central Punjab | 1.9 | 1.05–3.35 | 0.034 |
| Gender | Female | Male | 2.2 | 1.11–4.24 | 0.023 |
| Tick Infestation | Yes | No | 2.6 | 1.37–4.79 | 0.003 |
| Housing Management | Sand Based | Soil Based | 2.2 | 1.16–3.99 | 0.01 |
| Parameters | Positive (n = 59) | Negative (n = 341) | p-Value |
|---|---|---|---|
| Total Protein (g/L) | 55.1 ± 0.5 | 67.7 ± 0.8 | <0.01 |
| Albumin (g/L) | 27.7 ± 0.4 | 36.5 ± 0.4 | <0.01 |
| Globulin (g/L) | 25.7 ± 0.6 | 31.2 ± 0.8 | <0.01 |
| A\G Ratio | 11.3 ± 0.4 | 11.8 ± 0.3 | 0.319 |
Disclaimer/Publisher’s Note: The statements, opinions and data contained in all publications are solely those of the individual author(s) and contributor(s) and not of MDPI and/or the editor(s). MDPI and/or the editor(s) disclaim responsibility for any injury to people or property resulting from any ideas, methods, instructions or products referred to in the content. |
© 2025 by the authors. Licensee MDPI, Basel, Switzerland. This article is an open access article distributed under the terms and conditions of the Creative Commons Attribution (CC BY) license (https://creativecommons.org/licenses/by/4.0/).
Share and Cite
Hafeez, M.A.; Aslam, F.; Saqib, M.; Hussain, M.H.; Mehdi, M.; Hassan, A.; Sattar, A.; Behan, A.A. Molecular Identification and Phylogenetic Analysis of Trypanosoma evansi with Assessment of Associated Risk Factors in Camels (Camelus dromedarius) Across Ten Districts of Punjab, Pakistan. Vet. Sci. 2025, 12, 1055. https://doi.org/10.3390/vetsci12111055
Hafeez MA, Aslam F, Saqib M, Hussain MH, Mehdi M, Hassan A, Sattar A, Behan AA. Molecular Identification and Phylogenetic Analysis of Trypanosoma evansi with Assessment of Associated Risk Factors in Camels (Camelus dromedarius) Across Ten Districts of Punjab, Pakistan. Veterinary Sciences. 2025; 12(11):1055. https://doi.org/10.3390/vetsci12111055
Chicago/Turabian StyleHafeez, Mian Abdul, Faiza Aslam, Muhammad Saqib, Muhammad Hammad Hussain, Muntazir Mehdi, Ali Hassan, Adeel Sattar, and Atique Ahmed Behan. 2025. "Molecular Identification and Phylogenetic Analysis of Trypanosoma evansi with Assessment of Associated Risk Factors in Camels (Camelus dromedarius) Across Ten Districts of Punjab, Pakistan" Veterinary Sciences 12, no. 11: 1055. https://doi.org/10.3390/vetsci12111055
APA StyleHafeez, M. A., Aslam, F., Saqib, M., Hussain, M. H., Mehdi, M., Hassan, A., Sattar, A., & Behan, A. A. (2025). Molecular Identification and Phylogenetic Analysis of Trypanosoma evansi with Assessment of Associated Risk Factors in Camels (Camelus dromedarius) Across Ten Districts of Punjab, Pakistan. Veterinary Sciences, 12(11), 1055. https://doi.org/10.3390/vetsci12111055

