Development and Standardization of Indirect ELISA for African Swine Fever Virus Using Recombinant p30 Protein Produced in Prokaryotic System
Abstract
Simple Summary
Abstract
1. Introduction
2. Materials and Methods
2.1. Cloning and Overexpression of ASFV-p30 Protein
2.2. Antigenic Evaluation of ASFV-rp30 Protein In Vivo
2.3. Optimization of ASFV-rp30 Coated Indirect ELISA
2.4. Statistical Analysis
2.5. Indirect ELISA Cut-Off Determination
3. Results
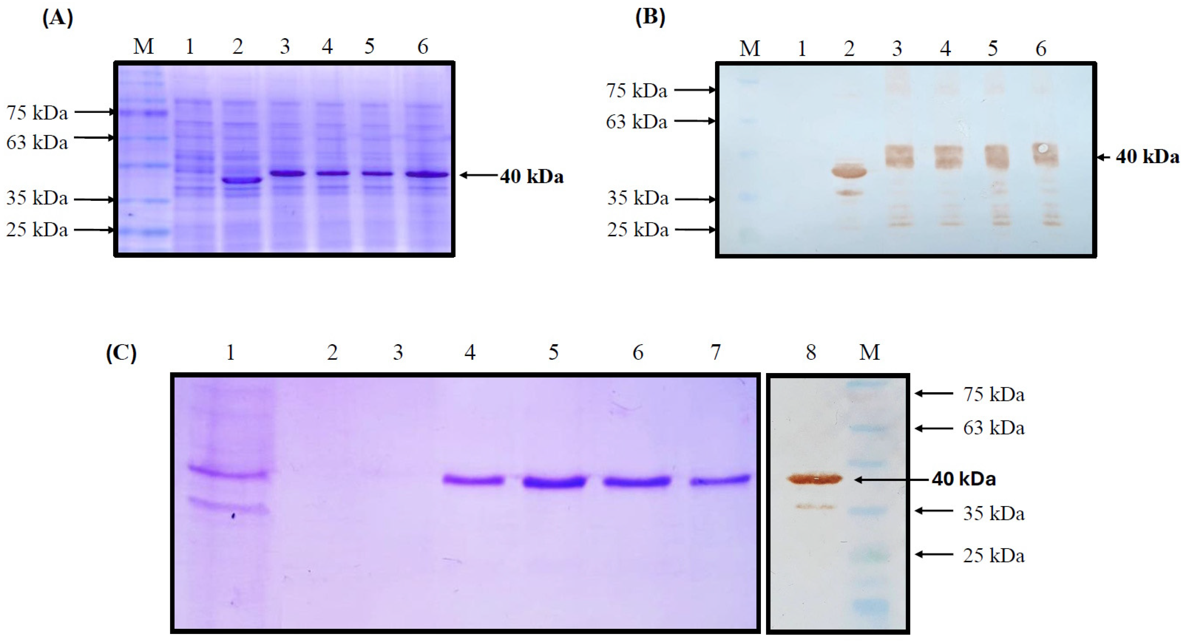
3.1. Development and Expression of the Recombinant System for rp30
3.2. Humoral Evaluation of rp30
3.3. Standardization and Validation of the iELISA Using rp30 as the Antigen
3.4. Cut-Off Point, Sensitivity, Specificity, and Kappa Index of the iELISA
4. Discussion
5. Conclusions
Supplementary Materials
Author Contributions
Funding
Institutional Review Board Statement
Informed Consent Statement
Data Availability Statement
Acknowledgments
Conflicts of Interest
References
- Parker, J.; Plowright, W.; Pierce, M.A. The epizootiology of African swine fever in Africa. Vet. Rec. 1969, 85, 668–674. [Google Scholar]
- Gallardo, C.; Soler, A.; Nieto, R.; Cano, C.; Pelayo, V.; Sánchez, M.A.; Pridotkas, G.; Fernandez-Pinero, J.; Briones, V.; Arias, M. Experimental Infection of Domestic Pigs with African Swine Fever Virus Lithuania 2014 Genotype II Field Isolate. Transbound. Emerg. Dis. 2017, 64, 300–304. [Google Scholar] [CrossRef]
- Blome, S.; Franzke, K.; Beer, M. African swine fever—A review of current knowledge. Virus Res. 2020, 287, 198099. [Google Scholar] [CrossRef]
- Montgomery, R.E. On a form of swine fever occurring in british east Africa (Kenya Colony). J. Comp. Pathol. Ther 1921, 34, 159–191. [Google Scholar] [CrossRef]
- Costard, S.; Wieland, B.; de Glanville, W.; Jori, F.; Rowlands, R.; Vosloo, W.; Roger, F.; Pfeiffer, D.U.; Dixon, L.K. African swine fever: How can global spread be prevented? Philos. Trans. R. Soc. London Ser. B Biol. Sci. 2009, 364, 2683–2696. [Google Scholar] [CrossRef] [PubMed]
- Woźniakowski, G.; Kozak, E.; Kowalczyk, A.; Łyjak, M.; Pomorska-Mól, M.; Niemczuk, K.; Pejsak, Z. Current Status of African Swine Fever Virus in a Population of Wild Boar in Eastern Poland (2014–2015). Arch. Virol. 2016, 161, 189–195. [Google Scholar] [CrossRef]
- Rowlands, R.J.; Michaud, V.; Heath, L.; Hutchings, G.; Oura, C.; Vosloo, W.; Dwarka, R.; Onashvili, T.; Albina, E.; Dixon, L.K. African Swine Fever Virus Isolate, Georgia, 2007. Emerg. Infect. Dis. 2008, 14, 1870–1874. [Google Scholar] [CrossRef] [PubMed]
- Pautienius, A.; Grigas, J.; Pileviciene, S.; Zagrabskaite, R.; Buitkuviene, J.; Pridotkas, G.; Stankevicius, R.; Streimikyte, Z.; Salomskas, A.; Zienius, D.; et al. Prevalence and Spatiotemporal Distribution of African Swine Fever in Lithuania, 2014–2017. Virol. J. 2018, 15, 177. [Google Scholar] [CrossRef]
- Martínez-Avilés, M. African Swine Fever: Epidemiology, the Design of New Diagnostic Methods, and Vaccine Development. Pathogens 2023, 12, 1042. [Google Scholar] [CrossRef]
- Mighell, E.; Ward, M.P. African Swine Fever spread across Asia, 2018–2019. Transbound. Emerg. Dis. 2021, 68, 2722–2732. [Google Scholar] [CrossRef] [PubMed]
- USDA Statement on Confirmation of African Swine Fever in the Dominican Republic—American Association of Swine Veterinarians. Available online: https://www.aasv.org/2021/07/usda-statement-on-confirmation-of-african-swine-fever-in-the-dominican-republic/ (accessed on 10 June 2025).
- ASF Dominican Republic: “We Are up Against an Invisible Enemy”. Pig Progress. 2022. Available online: https://www.pigprogress.net/health-nutrition/health/interview-we-are-up-against-an-invisible-enemy/ (accessed on 9 June 2025).
- O’Donnell, V.; Spinard, E.; Xu, L.; Berninger, A.; Barrette, R.W.; Gladue, D.P.; Faburay, B. Full-Length ASFV B646L Gene Sequencing by Nanopore Offers a Simple and Rapid Approach for Identifying ASFV Genotypes. Viruses 2024, 16, 1522. [Google Scholar] [CrossRef] [PubMed]
- Dhollander, S.; Chinchio, E.; Tampach, S.; Mur, L.; Méroc, E.; Thulke, H.-H.; Cortiñas, J.A.; Boklund, A.E.; Stahl, K.; Stegeman, J.A. A Systematic Literature Review of Variables Associated with the Occurrence of African Swine Fever. Viruses 2025, 17, 192. [Google Scholar] [CrossRef] [PubMed]
- Wang, G.; Xie, M.; Wu, W.; Chen, Z. Structures and Functional Diversities of ASFV Proteins. Viruses 2021, 13, 2124. [Google Scholar] [CrossRef]
- Duan, X.; Ru, Y.; Yang, W.; Ren, J.; Hao, R.; Qin, X.; Li, D.; Zheng, H. Research Progress on the Proteins Involved in African Swine Fever Virus Infection and Replication. Front. Immunol. 2022, 13, 947180. [Google Scholar] [CrossRef]
- Wang, Y.; Kang, W.; Yang, W.; Zhang, J.; Li, D.; Zheng, H. Structure of African Swine Fever Virus and Associated Molecular Mechanisms Underlying Infection and Immunosuppression: A Review. Front. Immunol. 2021, 12, 715582. [Google Scholar] [CrossRef]
- Noll, J.C.G.; Rani, R.; Butt, S.L.; Fernandes, M.H.V.; Do Nascimento, G.M.; Martins, M.; Caserta, L.C.; Covaleda, L.; Diel, D.G. Identification of an Immunodominant B-Cell Epitope in African Swine Fever Virus P30 Protein and Evidence of P30 Antibody-Mediated Antibody Dependent Cellular Cytotoxicity. Viruses 2024, 16, 758. [Google Scholar] [CrossRef]
- Lim, J.-W.; Vu, T.T.H.; Le, V.P.; Yeom, M.; Song, D.; Jeong, D.G.; Park, S.-K. Advanced Strategies for Developing Vaccines and Diagnostic Tools for African Swine Fever. Viruses 2023, 15, 2169. [Google Scholar] [CrossRef]
- Zhou, J.; Ni, Y.; Wang, D.; Fan, B.; Zhu, X.; Zhou, J.; Hu, Y.; Li, L.; Li, B. Development of a Competitive Enzyme-Linked Immunosorbent Assay Targeting the-P30 Protein for Detection of Antibodies against African Swine Fever Virus. Viruses 2023, 15, 154. [Google Scholar] [CrossRef]
- Zhou, L.; Song, J.; Wang, M.; Sun, Z.; Sun, J.; Tian, P.; Zhuang, G.; Zhang, A.; Wu, Y.; Zhang, G. Establishment of a Dual-Antigen Indirect ELISA Based on P30 and pB602L to Detect Antibodies against African Swine Fever Virus. Viruses 2023, 15, 1845. [Google Scholar] [CrossRef]
- Lara-Romero, R.; Cerriteño-Sánchez, J.L.; Mendoza-Elvira, S.; García-Cambrón, J.B.; Castañeda-Montes, M.A.; Pérez-Aguilar, J.M.; Cuevas-Romero, J.S. Development of Novel Recombinant Antigens of Nucleoprotein and Matrix Proteins of Porcine Orthorubulavirus: Antigenicity and Structural Prediction. Viruses 2022, 14, 1946. [Google Scholar] [CrossRef] [PubMed]
- Cuevas-Romero, J.S.; Rivera-Benítez, J.F.; Hernández-Baumgarten, E.; Hernández-Jaúregui, P.; Vega, M.; Blomström, A.L.; Berg, M.; Baule, C. Cloning, expression and characterization of potential immunogenic recombinant hemagglutinin-neuraminidase protein of Porcine rubulavirus. Protein Expr. Purif. 2016, 128, 1–7. [Google Scholar] [CrossRef] [PubMed]
- Norma Oficial Mexicana NOM-062-ZOO-1999. Especificaciones Técnicas Para la Producción, Cuidado y Uso de Los Animales de Laboratorio. Available online: https://www.gob.mx/cms/uploads/attachment/file/203498/NOM-062-ZOO-1999_220801.pdf (accessed on 14 June 2025).
- Validation Guideline 3.6.2.: Development and Optimisation of Antigen Detection Assays. Available online: https://www.woah.org/fileadmin/Home/eng/Health_standards/aahm/current/GUIDELINE_3.6.2_ANTIGEN_DETECT.pdf (accessed on 21 June 2025).
- Calculating Inter-and Intra-Assay Coefficients of Variability. Available online: https://salimetrics.com/calculating-inter-and-intra-assay-coefficients-of-variability/ (accessed on 22 June 2025).
- Tighe, P.J.; Ryder, R.R.; Todd, I.; Fairclough, L.C. ELISA in the Multiplex Era: Potentials and Pitfalls. Proteom. Clin. Apps. 2015, 9, 406–422. [Google Scholar] [CrossRef]
- Abraira, V. El Índice Kappa. Semer.—Med. Fam. 2001, 27, 247–249. [Google Scholar] [CrossRef]
- Dierksheide, C.W. Medical decisions: Interpreting clinical test; in clinical practice, the predictive value helps reduce uncertainties when tests are used in diagnosis. ASM News 1987, 53, 677–680. [Google Scholar]
- Power, M.; Fell, G.; Wright, M. Principles for high-quality, high-value testing. Evid.-Based Med. 2013, 18, 5–10. [Google Scholar] [CrossRef]
- López-Ratón, M.; Rodríguez-Álvarez, M.X.; Cadarso-Suárez, C.; Gude-Sampedro, F. Optimal Cutpoints: An R Package for Selecting Optimal Cutpoints in Diagnostic Tests. J. Stat. Softw. 2014, 61, 1–36. [Google Scholar] [CrossRef]
- Cuevas-Romero, J.S.; Zavala-Ocampo, P.L.; Pina-Pedrero, S.; Ganges, L.; Muñoz-Aguilera, A.; García-Cambrón, J.B.; Rodriguez, F.; Ambagala, A.; Cerriteño-Sánchez, J.L. Cloning and Expression of a Truncated Form of the P72 Protein of the African Swine Fever Virus (ASFV) for Application in an Efficient Indirect ELISA System. Pathogens 2025, 14, 542. [Google Scholar] [CrossRef] [PubMed]
- Li, Z.; Chen, W.; Qiu, Z.; Li, Y.; Fan, J.; Wu, K.; Li, X.; Zhao, M.; Ding, H.; Fan, S.; et al. African Swine Fever Virus: A Review. Life 2022, 12, 1255. [Google Scholar] [CrossRef] [PubMed]
- Dixon, L.K.; Islam, M.; Nash, R.; Reis, A.L. African swine fever virus evasion of host defences. Virus Res. 2019, 266, 25–33. [Google Scholar] [CrossRef]
- El USDA. Continúa Monitoreando la Peste Porcina Africana Mientras Persiste a Nivel Mundial; AVMA: Schaumburg, IL, USA, 2024. Available online: https://www.avma.org/news/usda-continues-monitoring-african-swine-fever-it-persists-globally (accessed on 22 June 2025).
- Gupta, R.; Brunak, S. Prediction of glycosylation across the human proteome and the correlation to protein function. Pac. Symp. Biocomput. 2002, 7, 310–322. [Google Scholar]
- Castañeda-Montes, M.A.; Cuevas-Romero, J.S.; Cerriteño-Sánchez, J.L.; De María Ávila-De La Vega, L.; García-Cambrón, J.B.; Ramírez-Álvarez, H. Small Ruminant Lentivirus Capsid Protein (SRLV-P25) Antigenic Structural Prediction and Immunogenicity to Recombinant SRLV- r P25-Coupled to Immunostimulatory Complexes Based on Glycyrrhizinic Acid. Biosci. Biotechnol. Biochem. 2023, 87, 267–278. [Google Scholar] [CrossRef]
- Weeks, S.D.; Drinker, M.; Loll, P.J. Ligation independent cloning vectors for expression of SUMO fusions. Protein Expr. Purif. 2007, 53, 40–50. [Google Scholar] [CrossRef] [PubMed]
- García-Cambrón, J.B.; Cerriteño-Sánchez, J.L.; Lara-Romero, R.; Quintanar-Guerrero, D.; Blancas-Flores, G.; Sánchez-Gaytán, B.L.; Herrera-Camacho, I.; Cuevas-Romero, J.S. Development of Glycyrrhizinic Acid-Based Lipid Nanoparticle (LNP-GA) as An Adjuvant That Improves the Immune Response to Porcine Epidemic Diarrhea Virus Spike Recombinant Protein. Viruses 2024, 16, 431. [Google Scholar] [CrossRef]
- Muzykina, L.; Barrado-Gil, L.; Gonzalez-Bulnes, A.; Crespo-Piazuelo, D.; Cerón, J.J.; Alonso, C.; Montoya, M. Overview of Modern Commercial Kits for Laboratory Diagnosis of African Swine Fever and Swine Influenza A Viruses. Viruses 2024, 16, 505. [Google Scholar] [CrossRef] [PubMed]
- Chen, H.; Zhu, J.; Niu, X.; Cheng, Y.; Jian, W.; Gao, F.; Sunkang, Y.; Qi, W.; Huang, L. Development of a P30 protein-based indirect ELISA for detecting African swine fever antibodies utilizing the HEK293F expression system. Vet. J. 2024, 306, 106186. [Google Scholar] [CrossRef] [PubMed]
- Li, J.; Jiao, J.; Liu, N.; Ren, S.; Zeng, H.; Peng, J.; Zhang, Y.; Guo, L.; Liu, F.; Lv, T.; et al. Novel P22 and P30 Dual-Proteins Combination Based Indirect ELISA for Detecting Antibodies against African Swine Fever Virus. Front. Vet. Sci. 2023, 10, 1093440. [Google Scholar] [CrossRef]
- Li, D.; Zhang, Q.; Liu, Y.; Wang, M.; Zhang, L.; Han, L.; Chu, X.; Ding, G.; Li, Y.; Hou, Y.; et al. Indirect ELISA Using Multi–Antigenic Dominants of P30, P54 and P72 Recombinant Proteins to Detect Antibodies against African Swine Fever Virus in Pigs. Viruses 2022, 14, 2660. [Google Scholar] [CrossRef]
- Liu, H.; He, P.; Meng, F.; Jiang, M.; Xiong, J.; Li, J.; Yu, J.; Wei, H. A Semiautomated Luciferase Immunoprecipitation Assay for Rapid and Easy Detection of African Swine Fever Virus Antibody. J. Clin. Microbiol. 2021, 59, e0099021. [Google Scholar] [CrossRef]






Disclaimer/Publisher’s Note: The statements, opinions and data contained in all publications are solely those of the individual author(s) and contributor(s) and not of MDPI and/or the editor(s). MDPI and/or the editor(s) disclaim responsibility for any injury to people or property resulting from any ideas, methods, instructions or products referred to in the content. |
© 2025 by the authors. Licensee MDPI, Basel, Switzerland. This article is an open access article distributed under the terms and conditions of the Creative Commons Attribution (CC BY) license (https://creativecommons.org/licenses/by/4.0/).
Share and Cite
Cerriteño-Sánchez, J.L.; García-Cambrón, J.B.; Zavala-Ocampo, P.L.; Ganges, L.; Cuevas-Romero, J.S. Development and Standardization of Indirect ELISA for African Swine Fever Virus Using Recombinant p30 Protein Produced in Prokaryotic System. Vet. Sci. 2025, 12, 995. https://doi.org/10.3390/vetsci12100995
Cerriteño-Sánchez JL, García-Cambrón JB, Zavala-Ocampo PL, Ganges L, Cuevas-Romero JS. Development and Standardization of Indirect ELISA for African Swine Fever Virus Using Recombinant p30 Protein Produced in Prokaryotic System. Veterinary Sciences. 2025; 12(10):995. https://doi.org/10.3390/vetsci12100995
Chicago/Turabian StyleCerriteño-Sánchez, José Luis, José Bryan García-Cambrón, Perla Lucero Zavala-Ocampo, Llilianne Ganges, and Julieta Sandra Cuevas-Romero. 2025. "Development and Standardization of Indirect ELISA for African Swine Fever Virus Using Recombinant p30 Protein Produced in Prokaryotic System" Veterinary Sciences 12, no. 10: 995. https://doi.org/10.3390/vetsci12100995
APA StyleCerriteño-Sánchez, J. L., García-Cambrón, J. B., Zavala-Ocampo, P. L., Ganges, L., & Cuevas-Romero, J. S. (2025). Development and Standardization of Indirect ELISA for African Swine Fever Virus Using Recombinant p30 Protein Produced in Prokaryotic System. Veterinary Sciences, 12(10), 995. https://doi.org/10.3390/vetsci12100995

