The Development of a One-Step PCR Assay for Rapid Detection of an Attenuated Vaccine Strain of Duck Hepatitis Virus Type 3 in Korea
Simple Summary
Abstract
1. Introduction
2. Materials and Methods
2.1. Virus Strains
2.2. SNP Site Analysis and Primer Design
2.3. RNA Extraction and MAMA-PCR Reaction
2.4. Sensitivity and Specificity of MAMA-PCR
2.5. Detection of Clinical Samples
3. Results
3.1. Development of a MAMA-PCR Assay Based on a Single Mutation
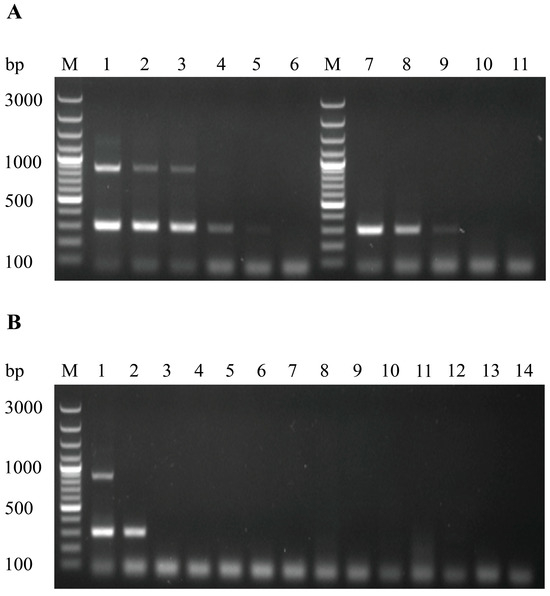
3.2. Validation of Sensitivity and Specificity of the MAMA-PCR Method
3.3. Application in Clinical Samples
4. Discussion
5. Conclusions
Author Contributions
Funding
Institutional Review Board Statement
Informed Consent Statement
Data Availability Statement
Conflicts of Interest
References
- WOAH. Duck Virus Hepatitis. In Manual of Diagnostic Tests and Vaccines for Terrestrial Animals, 12th ed.; WOAH: Paris, France, 2024; Chapter 3.3.6; Available online: https://www.woah.org/fileadmin/Home/eng/Health_standards/tahm/3.03.06_DVH.pdf (accessed on 4 November 2024).
- Kim, M.C.; Kwon, Y.K.; Joh, S.J.; Kwon, J.H.; Kim, J.H.; Kim, S.J. Development of one-step reverse transcriptase-polymerase chain reaction to detect duck hepatitis virus type 1. Avian Dis. 2007, 51, 540–545. [Google Scholar] [CrossRef] [PubMed]
- Tseng, C.H.; Knowles, N.J.; Tsai, H.J. Molecular analysis of duck hepatitis virus type 1 indicates that it should be assigned to a new genus. Virus Res. 2007, 123, 190–203. [Google Scholar] [CrossRef]
- Fehér, E.; Jakab, S.; Bali, K.; Kaszab, E.; Nagy, B.; Ihász, K.; Bálint, Á.; Palya, V.; Bányai, K. Genomic Epidemiology and Evolution of Duck Hepatitis A Virus. Viruses 2021, 13, 1592. [Google Scholar] [CrossRef] [PubMed]
- Rajendran, R.; Srinivasan, J.; Natarajan, J.; Govindan, K.; Kumaragurubaran, K.; Muthukrishnan, M.; Seeralan, M.; Subbiah, M.; Sundaram, R.S.; Rao, P.L.; et al. First report of Duck Hepatitis A virus genotype 2 in India. Vet. Res. Commun. 2023, 47, 1231–1241. [Google Scholar] [CrossRef] [PubMed]
- Soliman, M.; Alfajaro, M.M.; Lee, M.H.; Jeong, Y.J.; Kim, D.S.; Son, K.Y.; Kwon, J.; Choi, J.S.; Lim, J.S.; Choi, J.S.; et al. The prevalence of duck hepatitis A virus types 1 and 3 on Korean duck farms. Arch. Virol. 2015, 160, 493–498. [Google Scholar] [CrossRef]
- Doan, H.T.; Le, X.T.; Do, R.T.; Hoang, C.T.; Nguyen, K.T.; Le, T.H. Molecular genotyping of duck hepatitis A viruses (DHAV) in Vietnam. J. Infect. Dev. Ctries. 2016, 10, 988–995. [Google Scholar] [CrossRef]
- Yehia, N.; Erfan, A.M.; Omar, S.E.; Soliman, M.A. Dual Circulation of Duck Hepatitis A Virus Genotypes 1 and 3 in Egypt. Avian Dis. 2021, 65, 1–9. [Google Scholar] [CrossRef]
- Zhou, S.; Li, S.; Wang, Y.; Li, X.; Zhang, T. Duck hepatitis A virus prevalence in mainland China between 2009 and 2021: A systematic review and meta-analysis. Prev. Vet. Med. 2022, 208, 105730. [Google Scholar] [CrossRef]
- Kim, M.C.; Kim, M.J.; Kwon, Y.K.; Lindberg, A.M.; Joh, S.J.; Kwon, H.M.; Lee, Y.J.; Kwon, J.H. Development of duck hepatitis A virus type 3 vaccine and its use to protect ducklings against infections. Vaccine 2009, 27, 6688–6894. [Google Scholar] [CrossRef] [PubMed]
- Yugo, D.M.; Hauck, R.; Shivaprasad, H.L.; Meng, X.J. Hepatitis Virus Infections in Poultry. Avian Dis. 2016, 60, 576–588. [Google Scholar] [CrossRef] [PubMed]
- Zhang, Y.; Wu, S.; Liu, W.; Hu, Z. Current status and future direction of duck hepatitis A virus vaccines. Avian Pathol. 2023, 52, 89–99. [Google Scholar] [CrossRef]
- van Oirschot, J.T. Diva vaccines that reduce virus transmission. J. Biotechnol. 1999, 73, 195–205. [Google Scholar] [CrossRef] [PubMed]
- Kim, M.C.; Kwon, Y.K.; Joh, S.J.; Lindberg, A.M.; Kwon, J.H.; Kim, J.H.; Kim, S.J. Molecular analysis of duck hepatitis virus type 1 reveals a novel lineage close to the genus Parechovirus in the family Picornaviridae. J. Gen. Virol. 2006, 87, 3307–3316. [Google Scholar] [CrossRef]
- Li, C.; Chen, Z.; Meng, C.; Li, L.; Liu, G. High yield expression of duck hepatitis A virus VP1 protein in Escherichia coli, and production and characterization of polyclonal antibody. J. Virol. Methods 2013, 191, 69–75. [Google Scholar] [CrossRef] [PubMed]
- Ma, X.; Sheng, Z.; Huang, B.; Qi, L.; Li, Y.; Yu, K.; Liu, C.; Qin, Z.; Wang, D.; Song, M.; et al. Molecular Evolution and Genetic Analysis of the Major Capsid Protein VP1 of Duck Hepatitis A Viruses: Implications for Antigenic Stability. PLoS ONE 2015, 10, e0132982. [Google Scholar] [CrossRef] [PubMed]
- Wen, X.J.; Cheng, A.C.; Wang, M.S.; Jia, R.Y.; Zhu, D.K.; Chen, S.; Liu, M.F.; Liu, F.; Chen, X.Y. Detection, differentiation, and VP1 sequencing of duck hepatitis A virus type 1 and type 3 by a 1-step duplex reverse-transcription PCR assay. Poult. Sci. 2014, 93, 2184–2192. [Google Scholar] [CrossRef] [PubMed]
- Birdsell, D.N.; Pearson, T.; Price, E.P.; Hornstra, H.M.; Nera, R.D.; Stone, N.; Gruendike, J.; Kaufman, E.L.; Pettus, A.H.; Hurbon, A.N.; et al. Melt analysis of mismatch amplification mutation assays (Melt-MAMA): A functional study of a cost-effective SNP genotyping assay in bacterial models. PLoS ONE 2012, 7, e32866. [Google Scholar] [CrossRef] [PubMed]
- Bekő, K.; Kovács, Á.B.; Kreizinger, Z.; Marton, S.; Bányai, K.; Bánáti, L.; Catania, S.; Bradbury, J.; Lysnyansky, I.; Olaogun, O.M.; et al. Development of mismatch amplification mutation assay for the rapid differentiation of Mycoplasma gallisepticum K vaccine strain from field isolates. Avian Pathol. 2020, 49, 317–324. [Google Scholar] [CrossRef] [PubMed]
- Cha, R.S.; Zarbl, H.; Keohavong, P.; Thilly, W.G. Mismatch amplification mutation assay (MAMA): Application to the c-H-ras gene. PCR Methods Appl. 1992, 2, 14–20. [Google Scholar] [CrossRef]
- Cha, S.Y.; Roh, J.H.; Kang, M.; Kim, B.; Jang, H.K. Isolation and characterization of a low pathogenic duck hepatitis A virus 3 from South Korea. Vet. Microbiol. 2013, 162, 254–258. [Google Scholar] [CrossRef]
- Kang, M.; Roh, J.H.; Jang, H.K. Protective efficacy of a bivalent live attenuated vaccine against duck hepatitis A virus types 1 and 3 in ducklings. Vet. Microbiol. 2018, 214, 108–112. [Google Scholar] [CrossRef]
- Reed, L.J.; Muench, H. A simple method of estimating fifty per cent endpoints. Am. J. Epidemiol. 1938, 27, 493–497. [Google Scholar] [CrossRef]
- Kim, M.C.; Kwon, Y.K.; Joh, S.J.; Kim, S.J.; Tolf, C.; Kim, J.H.; Sung, H.W.; Lindberg, A.M.; Kwon, J.H. Recent Korean isolates of duck hepatitis virus reveal the presence of a new geno- and serotype when compared to duck hepatitis virus type 1 type strains. Arch. Virol. 2007, 152, 2059–2072. [Google Scholar] [CrossRef]
- Hézard, N.; Cornillet, P.; Droullé, C.; Gillot, L.; Potron, G.; Nguyen, P. Factor V Leiden: Detection in whole blood by ASA PCR using an additional mismatch in antepenultimate position. Thromb Res 1997, 88, 59–66. [Google Scholar] [CrossRef]
- Chen, X.; Chen, Y.; Liu, C.; Li, X.; Liu, H.; Yin, X.; Bai, X.; Ge, M.; Chen, H.; Liu, M.; et al. Improved one-tube RT-PCR method for simultaneous detection and genotyping of duck hepatitis A virus subtypes 1 and 3. PLoS ONE 2019, 14, e0219750. [Google Scholar] [CrossRef] [PubMed]
- Yu, C.D.; Choi, Y.R.; Park, J.Y.; Kim, S.W.; Cha, S.Y.; Jang, H.K.; Kang, M.; Wei, B. Establishment and Application of Mismatch Amplification Mutation Assay-PCR for Rapid Detection and Differentiation of Duck Hepatitis A Virus-1 Attenuated Vaccine and Wild Strains. Animals 2024, 14, 2733. [Google Scholar] [CrossRef]
- Pasick, J. Application of DIVA vaccines and their companion diagnostic tests to foreign animal disease eradication. Anim. Health Res. Rev. 2004, 5, 257–262. [Google Scholar] [CrossRef] [PubMed]
- Blome, S.; Gabriel, C.; Staubach, C.; Leifer, I.; Strebelow, G.; Beer, M. Genetic differentiation of infected from vaccinated animals after implementation of an emergency vaccination strategy against classical swine fever in wild boar. Vet. Microbiol. 2011, 153, 373–376. [Google Scholar] [CrossRef]
- Zhang, X.; Cao, C.; Qu, Z.; Zhang, W.; Liu, Y.; Qi, H.; Hao, C.; Zhang, W.; Gao, M.; Wang, J.; et al. Pathogenicity of duck hepatitis A virus type 3 and innate immune responses of the ducklings to virulent DHAV-3. Mol. Immunol. 2018, 95, 30–38. [Google Scholar] [CrossRef] [PubMed]
- Wu, X.; Zhang, T.; Meng, F.; Guo, D.; Yin, X.; Wulin, S.; Li, C.; Zhang, Q.; Liu, M.; Zhang, Y. Mapping a Type-specific Epitope by Monoclonal Antibody against VP3 Protein of Duck Hepatitis A Type 1 Virus. Sci. Rep. 2017, 7, 10820. [Google Scholar] [CrossRef] [PubMed]
- Song, S.; Li, P.; Zhang, R.; Chen, J.; Lan, J.; Lin, S.; Guo, G.; Xie, Z.; Jiang, S. Oral vaccine of recombinant Lactococcus lactis expressing the VP1 protein of duck hepatitis A virus type 3 induces mucosal and systemic immune responses. Vaccine 2019, 37, 4364–4369. [Google Scholar] [CrossRef] [PubMed]
- Niu, Y.; Liu, B.; Sun, C.; Zhao, L.; Chen, H. Construction of the recombinant duck enteritis virus delivering capsid protein VP0 of the duck hepatitis A virus. Vet. Microbiol. 2020, 249, 108837. [Google Scholar] [CrossRef]
- Jiang, Y.; Xu, C.; Cheng, A.; Wang, M.; Zhang, W.; Zhao, X.; Yang, Q.; Wu, Y.; Zhang, S.; Tian, B.; et al. HSP70 positively regulates translation by interacting with the IRES and stabilizes the viral structural proteins VP1 and VP3 to facilitate duck hepatitis A virus type 1 replication. Vet. Res. 2024, 55, 63. [Google Scholar] [CrossRef] [PubMed]
- Wen, X.; Guo, J.; Sun, D.; Wang, M.; Cao, D.; Cheng, A.; Zhu, D.; Liu, M.; Zhao, X.; Yang, Q.; et al. Mutations in VP0 and 2C Proteins of Duck Hepatitis A Virus Type 3 Attenuate Viral Infection and Virulence. Vaccines 2019, 7, 111. [Google Scholar] [CrossRef] [PubMed]
- Ayyadevara, S.; Thaden, J.J.; Shmookler Reis, R.J. Discrimination of primer 3′-nucleotide mismatch by taq DNA polymerase during polymerase chain reaction. Anal. Biochem. 2000, 284, 11–18. [Google Scholar] [CrossRef] [PubMed]
- Nielsen, S.S.; Alvarez, J.; Bicout, D.J.; Calistri, P.; Canali, E.; Drewe, J.A.; Garin-Bastuji, B.; Gortázar, C.; Herskin, M.S.; Michel, V.; et al. Vaccination of poultry against highly pathogenic avian influenza—Part 2. Surveillance and mitigation measures. Efsa j. 2024, 22, e8755. [Google Scholar] [CrossRef] [PubMed]





| Strain | Type | Origin | Accession Number | Reference |
|---|---|---|---|---|
| AP-04203-P100 | Vaccine strain | South Korea | PQ479498 | In this study |
| D13-BS-004 | Wild strain | PQ479494 | ||
| D14-ETC-020 | PQ479495 | |||
| D14-JW-068 | PQ479496 | |||
| D15-ETC-011 | PQ479497 | |||
| AP-04203 | DQ256134 | [2] | ||
| AP-03337 | DQ256132 | |||
| AP-04009 | DQ256133 | |||
| AP-04114 | DQ812093 | [24] | ||
| D11-JW-018 | JX312194 | [21] |
| Primer | Sequences (5′-3′) | Target Gene | Wild-Type Strain Size (bp) | Vaccine Strains Size (bp) |
|---|---|---|---|---|
| DHAV-3-MAMA-R1 | CGATCCACTGATGCATCCACATAGG | VP0+5′-NCR | 297 | 870 and 297 |
| DHAV-3-MAMA-R2 | CGATCCACTGATGCATCCACATTAG | |||
| DHAV-3-pAF-new | GGAGGTGGTGCTGAAATATTGCAAGC | |||
| DHAV-3-pAR-new | GGCAGTGTGGATCAAAGGGGTTTTC |
| Farm | Sample Type | Age (Days) | Anatomical Symptoms | Other Pathogen Diagnosis Results | Diagnostic Result |
|---|---|---|---|---|---|
| D13-BS-004 | Dead duck | 4 | Hepatic hemorrhage; Renal hemorrhage; Intestinal hemorrhage; Splenomegaly with hemorrhage | AIV negative; Salmonella positive | DHAV-3 positive (wild strain); S. Typhimurium positive |
| D14-ETC-020 | Dead duck | 7 | Renal hemorrhage; Thymic hemorrhage | AIV, DuCV, DEV, DPV, EDSV, RA, Salmonella, PM negative; APEC positive | DHAV-3 positive (wild strain); APEC positive |
| D14-JW-068 | Dead duck | 7 | Hepatic hemorrhage; Intestinal hemorrhage | AIV, RA, Salmonella, APEC negative | DHAV-3 positive (wild strain) |
| D15-ETC-011 | Dead duck | 11 | Hepatic degeneration; Renal hemorrhage; Uric acid deposition | AIV, DuCV, DEV, RA negative; Salmonella, APEC positive | DHAV-3 positive (wild strain); S. Typhimurium, APEC positive |
Disclaimer/Publisher’s Note: The statements, opinions and data contained in all publications are solely those of the individual author(s) and contributor(s) and not of MDPI and/or the editor(s). MDPI and/or the editor(s) disclaim responsibility for any injury to people or property resulting from any ideas, methods, instructions or products referred to in the content. |
© 2024 by the authors. Licensee MDPI, Basel, Switzerland. This article is an open access article distributed under the terms and conditions of the Creative Commons Attribution (CC BY) license (https://creativecommons.org/licenses/by/4.0/).
Share and Cite
Yu, C.-D.; Park, J.-Y.; Kim, S.-W.; Choi, Y.-R.; Cha, S.-Y.; Jang, H.-K.; Kang, M.; Wei, B. The Development of a One-Step PCR Assay for Rapid Detection of an Attenuated Vaccine Strain of Duck Hepatitis Virus Type 3 in Korea. Vet. Sci. 2025, 12, 8. https://doi.org/10.3390/vetsci12010008
Yu C-D, Park J-Y, Kim S-W, Choi Y-R, Cha S-Y, Jang H-K, Kang M, Wei B. The Development of a One-Step PCR Assay for Rapid Detection of an Attenuated Vaccine Strain of Duck Hepatitis Virus Type 3 in Korea. Veterinary Sciences. 2025; 12(1):8. https://doi.org/10.3390/vetsci12010008
Chicago/Turabian StyleYu, Cheng-Dong, Jong-Yeol Park, Sang-Won Kim, Yu-Ri Choi, Se-Yeoun Cha, Hyung-Kwan Jang, Min Kang, and Bai Wei. 2025. "The Development of a One-Step PCR Assay for Rapid Detection of an Attenuated Vaccine Strain of Duck Hepatitis Virus Type 3 in Korea" Veterinary Sciences 12, no. 1: 8. https://doi.org/10.3390/vetsci12010008
APA StyleYu, C.-D., Park, J.-Y., Kim, S.-W., Choi, Y.-R., Cha, S.-Y., Jang, H.-K., Kang, M., & Wei, B. (2025). The Development of a One-Step PCR Assay for Rapid Detection of an Attenuated Vaccine Strain of Duck Hepatitis Virus Type 3 in Korea. Veterinary Sciences, 12(1), 8. https://doi.org/10.3390/vetsci12010008

