Efficacy of Chlorogenic Acid in Treating Tripterygium Glycoside-Induced Asthenozoospermia in Rats and Its Possible Mechanisms
Simple Summary
Abstract
1. Introduction
2. Materials and Methods
2.1. Experimental Animals
2.2. Tripterygium Wilfordii Glycosides (TGs) Dosage Preparation and Administration
2.3. Chlorogenic Acid (CGA) and Levo-Carnitine (L-C) Dosage Preparation and Administration
2.4. Blood and Tissue Sample Collection and Sample Processing
2.5. Sperm Quality Analysis
2.6. Serum Sex Hormone Levels Measurement
2.7. Measurement of Oxidative Stress Levels in Testicular Tissue
2.8. Measurement of Biochemical and Physiological Parameters
2.9. Possible Mechanisms
2.10. Western Blotting Analysis
2.11. Intra-Testicular Sex Hormone Measurement
2.12. Data Analysis
3. Results
3.1. CGA Treatment Improves Bodyweight Measurement
3.2. CGA Treatment Improves Sperm Quality
3.3. CGA Ameliorates TG-Induced Toxicity on Serum Sex Hormone Levels and Restores Hormonal Balance
3.4. CGA Improves Antioxidant Capacity and Ameliorates Oxidative Imbalance in Rat Testes
3.5. CGA Mitigates Renal and Hepatic Organs Damage in Rats
3.6. Possible Mechanisms Using Network Pharmacology
3.7. CGA Upregulates the Expression of PI3K and AKT
3.8. CGA Ameliorates Intra-Testicular Hormonal Concentrations
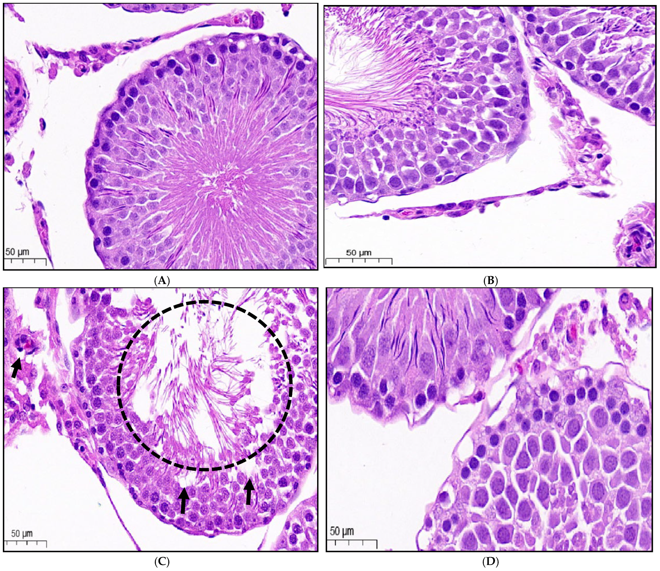
3.9. Histopathological Analysis of Testicular Tissues
4. Discussion
5. Conclusions
Supplementary Materials
Author Contributions
Funding
Institutional Review Board Statement
Informed Consent Statement
Data Availability Statement
Conflicts of Interest
References
- Lü, S.; Wang, Q.; Li, G.; Sun, S.; Guo, Y.; Kuang, H. The treatment of rheumatoid arthritis using Chinese medicinal plants: From pharmacology to potential molecular mechanisms. J. Ethnopharmacol. 2015, 176, 177–206. [Google Scholar] [CrossRef] [PubMed]
- Lv, H.; Jiang, L.; Zhu, M.; Li, Y.; Luo, M.; Jiang, P.; Tong, S.; Zhang, H.; Yan, J. The genus Tripterygium: A phytochemistry and pharmacological review. Fitoterapia 2019, 137, 104190. [Google Scholar] [CrossRef] [PubMed]
- Wang, H.L.; Jiang, Q.; Feng, X.H.; Zhang, H.D.; Ge, L.; Luo, C.G.; Gong, X.; Li, B. Tripterygium wilfordii Hook F versus conventional synthetic disease-modifying anti-rheumatic drugs as monotherapy for rheumatoid arthritis: A systematic review and network meta-analysis. BMC Complement. Altern. Med. 2016, 16, 215. [Google Scholar] [CrossRef]
- Xie, Z.J.; Cao, W.; Huang, L.; Xun, Y.Q.; Yang, N.; Wang, P.; Wang, Q.; Ren, M.J.; Li, H.C.; Liu, Y.L.; et al. Guideline for the diagnosis and treatment of rheumatoid arthritis with integrated traditional Chinese medicine and Western medicine to increase efficiency and reduce toxicity. Tradit. Med. Res. 2023, 8, 15. [Google Scholar] [CrossRef]
- Li, J.; Chen, D.; Suo, J.; Zhang, Y.; Wang, Y.; Deng, Z.; Zhang, Q.; Ma, B. Triptolide induced spermatogenesis dysfunction via ferroptosis activation by promoting K63-linked GPX4 polyubiquitination in spermatocytes. Chem. Biol. Interact. 2024, 399, 111130. [Google Scholar] [CrossRef] [PubMed]
- Zhou, S.H.; Deng, Y.F.; Weng, Z.W.; Weng, H.W.; Liu, Z.D. Traditional Chinese medicine as a remedy for male infertility: A review. World J. Men’s Health 2019, 37, 175–185. [Google Scholar] [CrossRef]
- Liang, S.; Yin, Y.; Zhang, Z.; Fang, Y.; Lu, G.; Li, H.; Yin, Y.; Shen, M. Moxibustion Prevents Tripterygium Glycoside-Induced Oligoasthenoteratozoospermia in Rats via Reduced Oxidative Stress and Modulation of the Nrf2/HO-1 Signaling Pathway. Aging 2024, 16, 2141–2160. [Google Scholar] [CrossRef]
- Zhang, X.; Xia, J.; Jiang, Y.; Pisetsky, D.S.; Smolen, J.S.; Mu, R.; Dai, S.; Weinblatt, M.E.; Kvien, T.K.; Li, J.; et al. 2023 International Consensus Guidance for the use of Tripterygium wilfordii Hook F in the treatment of active rheumatoid arthritis. J. Autoimmun. 2024, 142, 103148. [Google Scholar] [CrossRef] [PubMed]
- Lin, N.; Zhang, Y.Q.; Jiang, Q.; Liu, W.; Liu, J.; Huang, Q.C.; Wu, K.Y.; Tu, S.H.; Zhou, Z.S.; Chen, W.H.; et al. Clinical practice guideline for tripterygium glycosides/tripterygium wilfordii tablets in the treatment of rheumatoid arthritis. Front. Pharmacol. 2021, 11, 608703. [Google Scholar] [CrossRef] [PubMed]
- Jing, X.; Cheng, W.; Guo, S.; Zou, Y.; Zhang, T.; He, L. Toxic effects of Tripterygium wilfordii Hook F on the reproductive system of adolescent male rats. Biomed. Pharmacother. 2017, 95, 1338–1345. [Google Scholar] [CrossRef]
- Setty, A.R.; Sigal, L.H. Herbal medications commonly used in the practice of rheumatology: Mechanisms of action, efficacy, and side effects. Semin. Arthritis. Rheum. 2005, 34, 773–784. [Google Scholar] [CrossRef] [PubMed]
- Zhao, L.; Hartung, T. Metabonomics and Toxicology. In Metabonomics: Methods and Protocols; Bjerrum, J.T., Ed.; Springer: New York, NY, USA, 2015; pp. 209–231. [Google Scholar]
- Zhen, Q.S.; Ye, X.; Wei, Z.J. Recent progress in research on Tripterygium: A male antifertility plant. Contraception 1995, 51, 121–129. [Google Scholar] [CrossRef] [PubMed]
- Fan, Y.F.; Xu, Y.; Su, X.H.; Liu, L.L.; Tian, Y.G.; Zhao, Y.; Kong, X.Y.; Lin, N. Effect of Tripterygium Glycosides Tablets on reproductive toxicity in male rats with II type collagen induced arthritis. Zhongguo Zhong yao za zhi = Zhongguo Zhongyao Zazhi = China J. Chin. Mater. Medica 2020, 45, 755–763. [Google Scholar]
- Fan, Y.F.; Xu, Y.; Su, X.H.; Liu, L.L.; Tian, Y.G.; Zhao, Y.; Kong, X.Y.; Lin, N. Effect of Tripterygium Glycosides Tablets on reproductive toxicity in female rats with II type collagen induced arthritis. Zhongguo Zhong yao za zhi = Zhongguo Zhongyao Zazhi = China J. Chin. Mater. Medica 2019, 44, 3486–3493. [Google Scholar]
- Milardi, D.; Grande, G.; Sacchini, D.; Astorri, A.L.; Pompa, G.; Giampietro, A.; De Marinis, L.; Pontecorvi, A.; Spagnolo, A.G. Male fertility and reduction in semen parameters: A single tertiary-care center experience. Int. J. Endocrinol. 2012, 2012, 649149. [Google Scholar] [CrossRef]
- Akhter, A.; Momen, S.H.M.; Fatema, K.; Nath, S.D. Prevalence of Abnormal Semen Parameters among the Infertile Couples Seeking Infertility Treatment. Mymensingh Med. J. 2024, 33, 586–591. [Google Scholar] [PubMed]
- Rowe, B.H.; Bretzlaff, J.; Bourdon, C.; Bota, G.; Blitz, S.; Camargo, C.A., Jr. Cochrane Airways Group. Magnesium Sulfate for Treating Exacerbations of Acute Asthma in the Emergency Department. Cochrane Database Syst. Rev. 2016. [Google Scholar] [CrossRef]
- Alarcón, R.D.; Becker, A.E.; Lewis-Fernandez, R.; Like, R.C.; Desai, P.; Foulks, E.; Gonzales, J.; Hansen, H.; Kopelowicz, A.; Lu, F.G.; et al. Issues for DSM-V: The role of culture in psychiatric diagnosis. J. Nerv. Ment. Dis. 2009, 197, 559–660. [Google Scholar] [CrossRef]
- Mahfouz, R.; Sharma, R.; Thiyagarajan, A.; Kale, V.; Gupta, S.; Sabanegh, E.; Agarwal, A. Semen characteristics and sperm DNA fragmentation in infertile men with low and high levels of seminal reactive oxygen species. Fertil. Steril. 2010, 94, 2141–2146. [Google Scholar] [CrossRef]
- Desai, N.; Sharma, R.; Makker, K.; Sabanegh, E.; Agarwal, A. Physiologic and pathologic levels of reactive oxygen species in neat semen of infertile men. Fertil. Steril. 2009, 92, 1626–1631. [Google Scholar] [CrossRef]
- Liguori, I.; Russo, G.; Curcio, F.; Bulli, G.; Aran, L.; Della-Morte, D.; Gargiulo, G.; Testa, G.; Cacciatore, F.; Bonaduce, D.; et al. Oxidative stress, aging, and diseases. Clin. Interv. Aging 2018, 13, 757–772. [Google Scholar] [CrossRef]
- Valko, M.; Leibfritz, D.; Moncol, J.; Cronin, M.T.; Mazur, M.; Telser, J. Free radicals and antioxidants in normal physiological functions and human disease. Int. J. Biochem. Cell Biol. 2007, 39, 44–84. [Google Scholar] [CrossRef] [PubMed]
- Aitken, R.J.; Baker, M.A. Oxidative stress, sperm survival and fertility control. Mol. Cell. Endocrinol. 2006, 250, 66–69. [Google Scholar] [CrossRef]
- Aitken, R.J. Human spermatozoa: Revelations on the road to conception. F1000Prime Rep. 2013, 5, 39. [Google Scholar] [CrossRef] [PubMed]
- Kumar, K.; Thilagavathi, J.; Deka, D.; Dada, R. Unexplained early pregnancy loss: Role of paternal DNA. Indian J. Med. Res. 2012, 136, 296–298. [Google Scholar]
- Kodama, H.; Yamaguchi, R.; Fukuda, J.; Kasai, H.; Tanaka, T. Increased oxidative deoxyribonucleic acid damage in the spermatozoa of infertile male patients. Fertil. Steril. 1997, 68, 519–524. [Google Scholar] [CrossRef] [PubMed]
- Dorostghoal, M.; Kazeminejad, S.R.; Shahbazian, N.; Pourmehdi, M.; Jabbari, A. Oxidative stress status and sperm DNA fragmentation in fertile and infertile men. Andrologia 2017, 49, e12762. [Google Scholar] [CrossRef]
- Iommiello, V.M.; Albani, E.; Di Rosa, A.; Marras, A.; Menduni, F.; Morreale, G.; Levi, S.L.; Pisano, B.; Levi-Setti, P.E. Ejaculate oxidative stress is related with sperm DNA fragmentation and round cells. Int. J. Endocrinol. 2015, 2015, 321901. [Google Scholar] [CrossRef] [PubMed]
- Bay, B.; Mortensen, E.L.; Hvidtjørn, D.; Kesmodel, U.S. Fertility treatment and risk of childhood and adolescent mental disorders: Register based cohort study. BMJ 2013, 347, f3978. [Google Scholar] [CrossRef] [PubMed]
- Davies, M.J.; Moore, V.M.; Willson, K.J.; Van Essen, P.; Priest, K.; Scott, H.; Haan, E.A.; Chan, A. Reproductive technologies and the risk of birth defects. N. Engl. J. Med. 2012, 366, 1803–1813. [Google Scholar] [CrossRef]
- Dianov, G.L.; Souza-Pinto, N.; Nyaga, S.G.; Thybo, T.; Stevnsner, T.; Bohr, V.A. Base excision repair in nuclear and mitochondrial DNA. Prog. Nucleic Acid Res. Mol. Biol. 2001, 68, 285–297. [Google Scholar] [PubMed]
- Shamsi, M.B.; Kumar, R.; Bhatt, A.; Bamezai, R.N.K.; Kumar, R.; Gupta, N.P.; Das, T.K.; Dada, R. Mitochondrial DNA mutations in etiopathogenesis of male infertility. Indian J. Urol. 2008, 24, 150–154. [Google Scholar] [PubMed]
- Feng, C.Q.; Song, Y.B.; Zou, Y.G.; Mao, X.M. Mutation of MTCYB and MTATP6 is associated with asthenospermia. Zhonghua Nan Ke Xue = Natl. J. Androl. 2008, 14, 321–323. [Google Scholar]
- Aitken, R.J.; Clarkson, J.S.; Fishel, S. Generation of reactive oxygen species, lipid peroxidation, and human sperm function. Biol. Reprod. 1989, 41, 183–197. [Google Scholar] [CrossRef] [PubMed]
- Mei, Y.; Pan, D.; Jiang, Y.; Zhang, W.; Yao, X.; Dai, Y.; Yu, Y.; Yao, X. Target discovery of chlorogenic acid derivatives from the flower buds of Lonicera macranthoides and their MAO B inhibitory mechanism. Fitoterapia 2019, 134, 297–304. [Google Scholar] [CrossRef]
- Zhang, X.; Zeng, L.; Sun, T.; Liu, X.; Hou, J.; Ma, Q.; Li, Y.; Lu, Q.; Chen, S. Purification of chlorogenic acid from Heijingang potatoes and evaluation of its binding properties to recombinant human serum albumin. J. Chromatogr. B 2019, 1110, 87–93. [Google Scholar] [CrossRef] [PubMed]
- Nishihara, M.; Osumi, Y.; Tanaka, H. Examination of Extraction Conditions of Chlorogenic Acid and Its Content in Domestic Phellodendron amurense Leaves. Yakugaku Zasshi J. Pharm. Soc. Jpn. 2019, 140, 113–116. [Google Scholar] [CrossRef] [PubMed]
- Qin, G.; Ma, J.; Wei, W.; Li, J.; Yue, F. The enrichment of chlorogenic acid from Eucommia ulmoides leaves extract by mesoporous carbons. J. Chromatogr. B 2018, 1087, 6–13. [Google Scholar] [CrossRef] [PubMed]
- Xia, Z.; Sun, Y.; Cai, C.; He, Y.; Nie, P. Rapid determination of chlorogenic acid, luteoloside and 3, 5-o-dicaffeoylquinic acid in chrysanthemum using near-infrared spectroscopy. Sensors 2019, 19, 1981. [Google Scholar] [CrossRef]
- Chen, X.; Cai, W.; Xia, J.; Yu, H.; Wang, Q.; Pang, F.; Zhao, M. Metabolomic and transcriptomic analyses reveal that blue light promotes chlorogenic acid synthesis in strawberry. J. Agric. Food Chem. 2020, 68, 12485–12492. [Google Scholar] [CrossRef]
- Wang, X.; Zeng, Z.; Tian, Z.; Sun, J.; Li, Y.; Fan, X. Validation of spectrophotometric determination of chlorogenic acid in fermentation broth and fruits. Food Chem. 2019, 278, 170–177. [Google Scholar] [CrossRef]
- McDougall, G.J.; Foito, A.; Dobson, G.; Austin, C.; Sungurtas, J.; Su, S.; Wang, L.; Feng, C.; Li, S.; Wang, L.; et al. Glutathionyl-S-chlorogenic acid is present in fruit of Vaccinium species, potato tubers and apple juice. Food Chem. 2020, 330, 127227. [Google Scholar] [CrossRef]
- Zhao, L.; Wang, D.; Liu, J.; Yu, X.; Wang, R.; Wei, Y.; Wen, C.; Ouyang, Z. Transcriptomic analysis of key genes involved in chlorogenic acid biosynthetic pathway and characterization of MaHCT from Morus alba L. Protein Expr. Purif. 2019, 156, 25–35. [Google Scholar] [CrossRef] [PubMed]
- Sanlier, N.; Atik, A.; Atik, I. Consumption of green coffee and the risk of chronic diseases. Crit. Rev. Food Sci. Nutr. 2019, 59, 2573–2585. [Google Scholar] [CrossRef] [PubMed]
- Banožić, M.; Jozinović, A.; Grgić, J.; Miličević, B.; Jokić, S. High voltage electric discharge for recovery of chlorogenic acid from tobacco waste. Sustainability 2021, 13, 4481. [Google Scholar] [CrossRef]
- Wang, L.; Pan, X.; Jiang, L.; Chu, Y.; Gao, S.; Jiang, X.; Zhang, Y.; Chen, Y.; Luo, S.; Peng, C. The Biological Activity Mechanism of Chlorogenic Acid and Its Applications in Food Industry: A Review. Front. Nutr. 2022, 9, 943911. [Google Scholar] [CrossRef]
- Friboulet, A.; Thomas, D. Systems Biology-an interdisciplinary approach. Biosens. Bioelectron. 2005, 20, 2404–2407. [Google Scholar] [CrossRef] [PubMed]
- Yuan, Z.; Pan, Y.; Leng, T.; Chu, Y.; Zhang, H.; Ma, J.; Ma, X. Progress and Prospects of Research Ideas and Methods in the Network Pharmacology of Traditional Chinese Medicine. J. Pharm. Pharm. Sci. 2022, 25, 218–226. [Google Scholar] [CrossRef] [PubMed]
- Barabási, A.L.; Gulbahce, N.; Loscalzo, J. Network Medicine: Network medicine: A network-based approach to human disease. Nat. Rev. Genet. 2011, 12, 56–68. [Google Scholar] [CrossRef]
- Percie du Sert, N.; Hurst, V.; Ahluwalia, A.; Alam, S.; Avey, M.T.; Baker, M.; Browne, W.J.; Clark, A.; Cuthill, I.C.; Dirnagl, U.; et al. The ARRIVE Guidelines 2.0: Updated Guidelines for Reporting Animal Research. PLoS Biol. 2020, 18, e3000410. [Google Scholar] [CrossRef]
- Gao, Y.; Qian, Q.; Xun, G.; Zhang, J.; Sun, S.; Liu, X.; Liu, F.; Ge, J.; Zhang, H.; Fu, Y.; et al. Integrated metabolomics and network analysis reveal changes in lipid metabolisms of tripterygium glycosides tablets in rats with collagen-induced arthritis. Comput. Struct. Biotechnol. J. 2023, 21, 1828–1842. [Google Scholar] [CrossRef] [PubMed]
- Ma, J.; Sun, B.; Te, L.G.; Huang, X.; Zuo, X.; Han, X.K.; Wang, S.S. A Dietary Supplement Jinghuosu Ameliorates Reproductive Damage Induced by Tripterygium Glycosides. Chin. J. Integr. Med. 2024, 30, 330–338. [Google Scholar] [CrossRef] [PubMed]
- Zhang, K.; Ge, Z.; Fu, L.; An, Q.; Zhou, F.; Guo, Y.; Wang, X.; Lu, W.; Liang, X.; Wang, S.; et al. Qilin pills alleviate oligoasthenospermia by inhibiting Bax-caspase-9 apoptosis pathway in the testes of model rats. Oncotarget 2018, 9, 21770. [Google Scholar] [CrossRef]
- Ding, Q.; Wu, Y.; Liu, W. Molecular mechanism of reproductive toxicity induced by Tripterygium Wilfordii based on network pharmacology. Medicine 2021, 100, e26197. [Google Scholar] [CrossRef] [PubMed]
- Aleksander, S.A.; Balhoff, J.; Carbon, S.; Cherry, J.M.; Drabkin, H.J.; Ebert, D.; Feuermann, M.; Gaudet, P.; Harris, N.L.; Hill, D.P. The Gene Ontology knowledgebase in 2023. Genetics 2023, 224, iyad031. [Google Scholar]
- Hsu, C.-Y.; Lin, G.-M.; Chang, S.-T. Hypoglycemic activity of extracts of Chamaecyparis obtusa var. formosana leaf in rats with hyperglycemia induced by high-fat diets and streptozotocin. J. Tradit. Complement. Med. 2020, 10, 389–395. [Google Scholar] [PubMed]
- Tomar, A.; Kaushik, S.; Khan, S.I.; Bisht, K.; Nag, T.C.; Arya, D.S.; Bhatia, J. The dietary isoflavone daidzein mitigates oxidative stress, apoptosis, and inflammation in CDDP-induced kidney injury in rats: Impact of the MAPK signaling pathway. J. Biochem. Mol. Toxicol. 2020, 34, e22431. [Google Scholar] [CrossRef] [PubMed]
- Mineshita, M.; Tsuruda, K.; Pimentel, R. Glutamine supplementation reduces kidney injury in rats. Nutr. J. 2020, 2020, 110735. [Google Scholar]
- Gharavi, A.G.; Landry, D.W. Approach to the Patient with Renal Disease. In Goldman-Cecil Medicine, 27th ed.; Goldman, L., Cooney, K.A., Eds.; Elsevier: Philadelphia, PA, USA, 2024. [Google Scholar]
- Dehm, S.M.; Tindall, D.J. Androgen Receptor Structural and Functional Elements: Role and Regulation in Prostate Cancer. Mol. Endocrinol. 2007, 21, 2855–2863. [Google Scholar] [CrossRef] [PubMed]
- Chocu, S.; Calvel, P.; Rolland, A.D.; Pineau, C. Spermatogenesis in mammals: Proteomic insights. Syst. Biol. Reprod. Med. 2012, 58, 179–190. [Google Scholar] [CrossRef] [PubMed]
- Guo, J.; Huang, Y.; Lei, X.; Zhang, H.; Xiao, B.; Han, Z.; Liang, C.; Yang, W. Reproductive Systemic Toxicity and Mechanism of Glucosides of Tripterygium wilfordii Hook. F. (GTW). Ann. Clin. Lab. Sci. 2019, 49, 36–49. [Google Scholar] [PubMed]
- Mele, M.M.; Nachvak, M.; Asghari-Jafarabadi, M.; Alipour, B.; Zohourtabar, A.; Fasihi, M. The role of Tripterygium wilfordii extract in weight loss, energy expenditure, glucose and lipid metabolism. Prog. Nutr. 2018, 20, 549–553. [Google Scholar]
- Liu, J.; Lee, J.; Hernandez, M.A.S.; Mazitschek, R.; Ozcan, U. Treatment of obesity with celastrol. Cell 2015, 161, 999–1011. [Google Scholar] [CrossRef]
- Jiao, W.; Sun, J.; Zhang, X.; An, Q.; Fu, L.; Xu, W.; Xie, H.; Tang, X.; Liu, J.; Hu, W.; et al. Improvement of Qilin pills on male reproductive function in tripterygium glycoside-induced oligoasthenospermia in rats. Andrologia 2021, 53, e13923. [Google Scholar] [CrossRef] [PubMed]
- Dai, Y.; Sun, L.; Han, S.; Xu, S.; Wang, L.; Ding, Y. Proteomic study on the reproductive toxicity of Tripterygium glycosides in rats. Front. Pharmacol. 2022, 13, 888968. [Google Scholar] [CrossRef] [PubMed]
- Chen, W.Q.; Ding, C.F.; Yu, J.; Wang, C.Y.; Wan, L.Y.; Hu, H.M.; Ma, J.X. Wuzi Yanzong Pill–Based on Network Pharmacology and In Vivo Evidence—Protects Against Spermatogenesis Disorder via the Regulation of the Apoptosis Pathway. Front. Pharmacol 2020, 11, 592827. [Google Scholar] [CrossRef] [PubMed]
- Feng, Y.; Yu, Y.H.; Wang, S.T.; Ren, J.; Camer, D.; Hua, Y.Z.; Zhang, Q.; Huang, J.; Xue, D.L.; Zhang, X.F.; et al. Chlorogenic acid protects D-galactose-induced liver and kidney injury via antioxidation and anti-inflammation effects in mice. Pharm. Biol. 2016, 54, 1027–1034. [Google Scholar] [CrossRef] [PubMed]
- Zhou, X.; Zhang, B.; Zhao, X.; Lin, Y.; Wang, J.; Wang, X.; Hu, N.; Wang, S. Chlorogenic acid supplementation ameliorates hyperuricemia, relieves renal inflammation, and modulates intestinal homeostasis. Food Funct. 2021, 12, 5637–5649. [Google Scholar] [CrossRef] [PubMed]
- Aitken, J.; Fisher, H. Reactive oxygen species generation and human spermatozoa: The balance of benefit and risk. Bioessays 1994, 16, 259–267. [Google Scholar] [CrossRef]
- Agarwal, A.; Prabakaran, S.; Allamaneni, S. What an andrologist/urologist should know about free radicals and why. Urology 2006, 67, 2–8. [Google Scholar] [CrossRef]
- Barati, E.; Nikzad, H.; Karimian, M. Oxidative stress and male infertility: Current knowledge of pathophysiology and role of antioxidant therapy in disease management. Cell. Mol. Life Sci. 2020, 77, 93–113. [Google Scholar] [CrossRef]
- Bisht, S.; Faiq, M.; Tolahunase, M.; Dada, R. Oxidative stress and male infertility. Nat. Rev. Urol. 2017, 14, 470–485. [Google Scholar] [CrossRef]
- Aitken, R.J.; Gibb, Z.; Baker, M.A.; Drevet, J.; Gharagozloo, P. Causes and consequences of oxidative stress in spermatozoa. Reprod. Fertil. Dev. 2016, 28, 1–10. [Google Scholar] [CrossRef]
- Owumi, S.E.; Anaikor, R.A.; Arunsi, U.O.; Adaramoye, O.A.; Oyelere, A.K. Chlorogenic acid co-administration abates tamoxifen-mediated reproductive toxicities in male rats: An experimental approach. J. Food Biochem. 2021, 45, e13615. [Google Scholar] [CrossRef]
- Jiao, S.-Y.; Yang, Y.-H.; Chen, S.-R. Molecular genetics of infertility: Loss-of-function mutations in humans and corresponding knockout/mutated mice. Hum. Reprod. Update 2021, 27, 154–189. [Google Scholar] [CrossRef]
- Smith, L.B.; Walker, W.H. The regulation of spermatogenesis by androgens. Semin. Cell. Dev. Biol. 2014, 30, 2–13. [Google Scholar] [CrossRef]
- Roth, M.Y.; Lin, K.; Amory, J.K.; Matsumoto, A.M.; Anawalt, B.D.; Snyder, C.N.; Kalhorn, T.F.; Bremner, W.J.; Page, S.T. Serum LH correlates highly with intratesticular steroid levels in normal men. J. Androl. 2010, 31, 138–145. [Google Scholar] [CrossRef] [PubMed]
- Keshani, M.; Alikiaii, B.; Babaei, Z.; Askari, G.; Heidari, Z.; Sharma, M.; Bagherniya, M. The effects of L-carnitine supplementation on inflammation, oxidative stress, and clinical outcomes in critically Ill patients with sepsis: A randomized, double-blind, controlled trial. Nutr. J. 2024, 23, 31. [Google Scholar] [CrossRef] [PubMed]
- Abd Elkader, H.T.A.E.; Hussein, M.M.; Mohammed, N.A.; Abdou, H.M. The protective role of l-carnitine on oxidative stress, neurotransmitter perturbations, astrogliosis, and apoptosis induced by thiamethoxam in the brains of male rats. Naunyn-Schmiedeberg’s Arch. Pharmacol. 2024, 397, 4365–4379. [Google Scholar] [CrossRef]
- Sawicka, A.K.; Hartmane, D.; Lipinska, P.; Wojtowicz, E.; Lysiak-Szydlowska, W.; Olek, R.A. L-Carnitine supplementation in older women. A pilot study on aging skeletal muscle mass and function. Nutrients 2018, 10, 255. [Google Scholar] [CrossRef]
- Dehghani, F.; Hassanpour, A.; Poost-Pasand, A.; Noorafshan, A.; Karbalay-Doust, S. Protective effects of L-carnitine and homogenized testis tissue on the testis and sperm parameters of busulfan-induced infertile male rats. Iran. J. Reprod. Med. 2013, 11, 693. [Google Scholar] [PubMed]
- Wang, Z.; Lam, K.L.; Hu, J.; Ge, S.; Zhou, A.; Zheng, B.; Zeng, S.; Lin, S. Chlorogenic acid alleviates obesity and modulates gut microbiota in high-fat-fed mice. Food Sci. Nutr. 2019, 7, 579–588. [Google Scholar] [CrossRef] [PubMed]
- Nguyen, V.; Taine, E.G.; Meng, D.; Cui, T.; Tan, W. Chlorogenic Acid: A Systematic Review on the Biological Functions, Mechanistic Actions, and Therapeutic Potentials. Nutrients 2024, 16, 924. [Google Scholar] [CrossRef] [PubMed]
- Namula, Z.; Hirata, M.; Wittayarat, M.; Tanihara, F.; Thi Nguyen, N.; Hirano, T.; Nii, M.; Otoi, T. Effects of chlorogenic acid and caffeic acid on the quality of frozen-thawed boar sperm. Reprod. Domest. Anim. 2018, 53, 1600–1604. [Google Scholar] [CrossRef]
- Jia, Z.C.; Liu, S.J.; Chen, T.F.; Shi, Z.Z.; Li, X.L.; Gao, Z.W.; Zhang, Q.; Zhong, C.F. Chlorogenic acid can improve spermatogenic dysfunction in rats with varicocele by regulating mitochondrial homeostasis and inhibiting the activation of NLRP3 inflammasomes by oxidative mitochondrial DNA and cGAS/STING pathway. Bioorgan. Chem. 2024, 150, 107571. [Google Scholar] [CrossRef] [PubMed]
- Pereira, B.A.; Zangeronimo, M.G.; Sousa, R.V.; Teles, M.C.; Mendez, M.F.B.; Rocha, L.G.P. Effet de l’acide chlorogénique sur la peroxydation lipidique et la capacité antioxydante du sperme de verrat. Journées De La Recherhe Porcine 2014, 46, 293–294. [Google Scholar]
- Mohammadi, T.; Hosseinchi Gharehaghaji, M. The influence of rutin and chlorogenic acid on oxidative stress and in vivo fertility: Evaluation of the quality and antioxidant status of post-thaw semen from Azari water buffalo bulls. Vet. Med. Sci. 2024, 10, e31548. [Google Scholar] [CrossRef] [PubMed]
- Anvari, M.; Talebi, A.; Pourentezari, M.; Shahedi, A.; Rezvani, M.E.; Vakili, M.; Nezhad, M.T. Effect of Chlorogenic Acid on Sperm Parameters, DNA Integrity and Malondialdehyde of Carbamazepine-Consuming Epileptic Mice. J. Pharm. Negat. Res. 2022, 13, 689–695. [Google Scholar]
- Tang, Q.; Cheng, B.; Dai, R.; Wang, R. The Role of Androgen Receptor in Cross Talk Between Stromal Cells and Prostate Cancer Epithelial Cells. Front. Cell Dev. Biol. 2021, 9, 729498. [Google Scholar] [CrossRef] [PubMed]
- Tang, Y.; Fang, C.; Shi, J.; Chen, H.; Chen, X.; Yao, X. Antioxidant potential of chlorogenic acid in Age-Related eye diseases. Pharmacol. Res. Perspect. 2024, 12, e1162. [Google Scholar] [CrossRef]
- Estrada, E.; Rodriguez-Velazquez, J. Subgraph centrality in complex networks. Phys. Rev. E Stat. Nonlin. Soft. Matter. Phys. 2005, 71, 056103. [Google Scholar] [CrossRef]
- He, X.; Zhang, J. Why do hubs tend to be essential in protein networks? PLoS Genet. 2006, 2, e88. [Google Scholar] [CrossRef]
- Hossini, A.M.; Quast, A.S.; Plötz, M.; Grauel, K.; Exner, T.; Küchler, J.; Stachelscheid, H.; Eberle, J.; Rabien, A.; Makrantonaki, E.; et al. PI3K/AKT Signaling Pathway Is Essential for Survival of Induced Pluripotent Stem Cells. PLoS ONE 2016, 11, e0154770. [Google Scholar] [CrossRef]
- Sinkala, M.; Nkhoma, P.; Mulder, N.; Martin, D.P. Integrated molecular characterisation of the MAPK pathways in human cancers reveals pharmacologically vulnerable mutations and gene dependencies. Commun. Biol. 2021, 4, 9. [Google Scholar] [CrossRef]
- Almog, T.; Lazar, S.; Reiss, N.; Etkovitz, N.; Milch, E.; Rahamim, N.; Dobkin-Bekman, M.; Rotem, R.; Kalina, M.; Ramon, J.; et al. Identification of extracellular signal-regulated kinase 1/2 and p38 MAPK as regulators of human sperm motility and acrosome reaction and as predictors of poor spermatozoan quality. J. Biol. Chem. 2008, 283, 14479–14489. [Google Scholar] [CrossRef]
- Almog, T.; Naor, Z. The role of Mitogen activated protein kinase (MAPK) in sperm functions. Mol. Cell. Endocrinol. 2010, 314, 239–243. [Google Scholar] [CrossRef] [PubMed]
- Liu, S.; Tang, Y.; Chen, B.; Zhao, Y.; Aguilar, Z.P.; Tao, X.; Xu, H. Inhibition of testosterone synthesis induced by oral TiO2 NPs is associated with ROS-MAPK(ERK1/2)-StAR signaling pathway in SD rat. Toxicol. Res. 2021, 10, 937–946. [Google Scholar] [CrossRef]
- Han, A.; Zou, L.; Gan, X.; Li, Y.; Liu, F.; Chang, X.; Zhang, X.; Tian, M.; Li, S.; Su, L.; et al. ROS generation and MAPKs activation contribute to the Ni-induced testosterone synthesis disturbance in rat Leydig cells. Toxicol. Lett. 2018, 290, 36–45. [Google Scholar] [CrossRef]
- Hong, F.; Wang, Y.; Zhou, Y.; Zhang, Q.; Ge, Y.; Chen, M.; Hong, J.; Wang, L. Exposure to TiO2 nanoparticles induces immunological dysfunction in mouse testitis. J. Agric. Food Chem. 2016, 64, 346–355. [Google Scholar] [CrossRef]
- Sharafutdinova, L.A.; Fedorova, A.M.; Bashkatov, S.A.; Sinel’nikov, K.N.; Valiullin, V.V. Structural and functional analysis of the spermatogenic epithelium in rats exposed to titanium dioxide nanoparticles. Bull. Exp. Biol. Med. 2018, 166, 279–282. [Google Scholar] [CrossRef]
- Gao, G.; Ze, Y.; Zhao, X.; Sang, X.; Zheng, L.; Ze, X.; Gui, S.; Sheng, L.; Sun, Q.; Hong, J.; et al. Titanium dioxide nanoparticle-induced testicular damage, spermatogenesis suppression, and gene expression alterations in male mice. J. Hazard. Mater. 2013, 258, 133–143. [Google Scholar] [CrossRef]
- Jia, F.; Sun, Z.; Yan, X.; Zhou, B.; Wang, J. Effect of pubertal nano-TiO2 exposure on testosterone synthesis and spermatogenesis in mice. Arch. Toxicol. 2014, 88, 781–788. [Google Scholar]
- Rommel, C.; Clarke, B.A.; Zimmermann, S.; Nunez, L.; Rossman, R.; Reid, K.; Moelling, K.; Yancopoulos, G.D.; Glass, D.J. Differentiation stage-specific inhibition of the Raf-MEK-ERK pathway by Akt. Science 1999, 286, 1738–1741. [Google Scholar] [CrossRef] [PubMed]
- Li, L.; Zhao, G.D.; Shi, Z.; Qi, L.L.; Zhou, L.Y.; Fu, Z.X. The Ras/Raf/MEK/ERK signaling pathway and its role in the occurrence and development of HCC. Oncol Lett 2016, 12, 3045–3050. [Google Scholar] [CrossRef]
- Pacold, M.E.; Suire, S.; Perisic, O.; Lara-Gonzalez, S.; Davis, C.T.; Walker, E.H.; Hawkins, P.T.; Stephens, L.; Eccleston, J.F.; Williams, R.L. Crystal structure and functional analysis of Ras binding to its effector phosphoinositide 3-kinase gamma. Cell 2000, 103, 931–944. [Google Scholar] [CrossRef] [PubMed]
- He, Y.; Sun, M.M.; Zhang, G.G.; Yang, J.; Chen, K.S.; Xu, W.W.; Li, B. Targeting PI3K/Akt Signal Transduction for Cancer Therapy. Signal Transduct. Target. Ther. 2021, 6, 425. [Google Scholar] [CrossRef] [PubMed]
- Wang, Z.; Xie, Y.; Chen, H.; Yao, J.; Lv, L.; Li, Y.; Deng, C.; Zhang, M.; Sun, X.; Liu, G. Guilingji Protects Against Spermatogenesis Dysfunction from Oxidative Stress via Regulation of MAPK and Apoptotic Signaling Pathways in Immp2l Mutant Mice. Front. Pharmacol. 2021, 12, 771161. [Google Scholar] [CrossRef] [PubMed]








| Group | ALT ± SD (U/L) | AST ± SD(U/L) | BUN ± SD (mmol/L) | CRE ± SD (µmol/L) |
|---|---|---|---|---|
| Control | 9.50± 0.90 a | 11.83 ± 3.3 a | 8.12 ± 1.05 a | 44.41 ±3.85 a |
| TG + LC | 15.29 ± 1.19 b,c | 9.93 ± 4.54 a | 9.89 ± 2.16 a | 56.4 ± 3.62 a,b |
| TG | 22.37 ± 1.70 d | 10.28 ± 4.1 a | 20.88 ±2.29 c | 135.58 ± 11.08 d |
| TG + CGA-L | 16.48 ± 1.29 c | 10.54 ± 5.5 a | 16.15 ± 1.93 b | 73.76 ± 4.75 c |
| TG + CGA-M | 13.74 ± 0.81 b | 8.93 ± 2.5 a | 10.42 ± 1.59 a | 61.55 ± 5.95 b,c |
| TG + CGA-H | 13.4 ± 0.73 b | 11.11 ± 3.53 a | 8.38 ± 1.25 a | 55.63 ± 6.7 a,b |
Disclaimer/Publisher’s Note: The statements, opinions and data contained in all publications are solely those of the individual author(s) and contributor(s) and not of MDPI and/or the editor(s). MDPI and/or the editor(s) disclaim responsibility for any injury to people or property resulting from any ideas, methods, instructions or products referred to in the content. |
© 2025 by the authors. Licensee MDPI, Basel, Switzerland. This article is an open access article distributed under the terms and conditions of the Creative Commons Attribution (CC BY) license (https://creativecommons.org/licenses/by/4.0/).
Share and Cite
Chen, L.; Bello-Onaghise, G.; Chen, M.; Li, S.; Zhang, Y.; Wang, H.; Qu, Q.; Li, Y. Efficacy of Chlorogenic Acid in Treating Tripterygium Glycoside-Induced Asthenozoospermia in Rats and Its Possible Mechanisms. Vet. Sci. 2025, 12, 66. https://doi.org/10.3390/vetsci12010066
Chen L, Bello-Onaghise G, Chen M, Li S, Zhang Y, Wang H, Qu Q, Li Y. Efficacy of Chlorogenic Acid in Treating Tripterygium Glycoside-Induced Asthenozoospermia in Rats and Its Possible Mechanisms. Veterinary Sciences. 2025; 12(1):66. https://doi.org/10.3390/vetsci12010066
Chicago/Turabian StyleChen, Long, God’spower Bello-Onaghise, Mo Chen, Shunda Li, Yu Zhang, Haoran Wang, Qianwei Qu, and Yanhua Li. 2025. "Efficacy of Chlorogenic Acid in Treating Tripterygium Glycoside-Induced Asthenozoospermia in Rats and Its Possible Mechanisms" Veterinary Sciences 12, no. 1: 66. https://doi.org/10.3390/vetsci12010066
APA StyleChen, L., Bello-Onaghise, G., Chen, M., Li, S., Zhang, Y., Wang, H., Qu, Q., & Li, Y. (2025). Efficacy of Chlorogenic Acid in Treating Tripterygium Glycoside-Induced Asthenozoospermia in Rats and Its Possible Mechanisms. Veterinary Sciences, 12(1), 66. https://doi.org/10.3390/vetsci12010066
