Predictive Neuromarker Patterns for Calcification Metaplasia in Early Tendon Healing
Abstract
Simple Summary
Abstract
1. Introduction
2. Materials and Methods
2.1. Experimental Plan
2.2. Surgical Procedure
2.3. Histological Analysis of Explanted Tendon ECM
- -
- Haematoxylin–Eosin (H-E), for a standard histological observation [25].
- -
- Alcian Blue 1% w/v solution in acetic acid pH 2.5, which stains acidic polysaccharides (especially glycosaminoglycans) and serves as an indirect marker for chondrocyte cells according to commercially available kit used (Bio-Optica S.p.A-20134, Milano, Italy) [26].
- -
- Alizarin Red, used to detect the presence of calcium deposits in the tissue [27].
2.4. Immunofluorescence Assessment of Neurogenic Markers
- -
- Sensory innervation: Calcitonin gene-related peptide (CGRP);
- -
- Opioid-like signalling: Galanin (GAL);
- -
- Autonomic innervation: Neuropeptide Y (NPY—Sympathetic);
- -
- Neuropeptides: Nerve growth factor (NGF), Neurofilament-200 (NF200);
- -
- Mature tenocyte-related marker: Tenomodulin—for the double IF for intra-cellular positivity.
2.4.1. Single Immunostaining
2.4.2. Double Immunostaining
2.5. Fluorescence Quantification Analysis
2.6. Statistical Analysis
3. Results
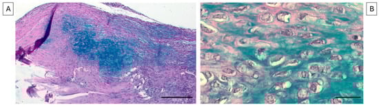
3.1. Histological Assessment of the Tendon ECM
3.2. Neuromarkers’ Distribution within the Healing Tendons during the Inflammatory and Proliferative/Early Remodelling Phases
3.3. Neuromarkers’ Expression during the Inflammatory, Proliferative/Early Remodelling Stage of Spontaneous Healing
4. Discussion
5. Conclusions
Author Contributions
Funding
Institutional Review Board Statement
Informed Consent Statement
Data Availability Statement
Conflicts of Interest
References
- Hopkins, C.; Fu, S.-C.; Chua, E.; Hu, X.; Rolf, C.; Mattila, V.M.; Qin, L.; Yung, P.S.-H.; Chan, K.-M. Critical Review on the Socio-Economic Impact of Tendinopathy. Asia-Pac. J. Sports Med. Arthrosc. Rehabil. Technol. 2016, 4, 9–20. [Google Scholar] [CrossRef] [PubMed]
- Canosa-Carro, L.; Bravo-Aguilar, M.; Abuín-Porras, V.; Almazán-Polo, J.; García-Pérez-de-Sevilla, G.; Rodríguez-Costa, I.; López-López, D.; Navarro-Flores, E.; Romero-Morales, C. Current Understanding of the Diagnosis and Management of the Tendinopathy: An Update from the Lab to the Clinical Practice. Disease-a-Month 2022, 68, 101314. [Google Scholar] [CrossRef] [PubMed]
- Lomas, A.J.; Ryan, C.N.M.; Sorushanova, A.; Shologu, N.; Sideri, A.I.; Tsioli, V.; Fthenakis, G.C.; Tzora, A.; Skoufos, I.; Quinlan, L.R.; et al. The Past, Present and Future in Scaffold-Based Tendon Treatments. Adv. Drug Deliv. Rev. 2015, 84, 257–277. [Google Scholar] [CrossRef] [PubMed]
- Warden, S.J. Animal Models for the Study of Tendinopathy. Br. J. Sports Med. 2007, 41, 232–240. [Google Scholar] [CrossRef] [PubMed]
- Ikeda, Y.; Ishihara, A.; Nakajima, M.; Yamada, K. Risk Factors for Superficial Digital Flexor Tendinopathy in Thoroughbred Racing Horses in Japan. JES 2019, 30, 93–98. [Google Scholar] [CrossRef]
- Reifenrath, J.; Wellmann, M.; Kempfert, M.; Angrisani, N.; Welke, B.; Gniesmer, S.; Kampmann, A.; Menzel, H.; Willbold, E. TGF–Β3 Loaded Electrospun Polycaprolacton Fibre Scaffolds for Rotator Cuff Tear Repair: An in Vivo Study in Rats. IJMS 2020, 21, 1046. [Google Scholar] [CrossRef]
- Rees, J.D.; Maffulli, N.; Cook, J. Management of Tendinopathy. Am. J. Sports Med. 2009, 37, 1855–1867. [Google Scholar] [CrossRef] [PubMed]
- Maffulli, N.; Longo, U.G.; Loppini, M.; Denaro, V. Current Treatment Options for Tendinopathy. Expert Opin. Pharmacother. 2010, 11, 2177–2186. [Google Scholar] [CrossRef]
- Li, R.; Lai, C.; Luo, H.; Lan, Y.; Duan, X.; Bao, D.; Hou, Z.; Liu, H.; Fu, S. Animal Models of Tendon Calcification: Past, Present, and Future. Anim. Models Exp. Med. 2024, 7, 471–483. [Google Scholar] [CrossRef]
- Bosworth, B.M. Calcium Deposits in the Shoulder and Subacromial Bursitis: A Survey of 12,122 Shoulders. JAMA 1941, 116, 2477. [Google Scholar] [CrossRef]
- Kim, M.-S.; Kim, I.-W.; Lee, S.; Shin, S.-J. Diagnosis and Treatment of Calcific Tendinitis of the Shoulder. Clin. Shoulder Elb. 2020, 23, 210–216. [Google Scholar] [CrossRef] [PubMed]
- Chianca, V.; Albano, D.; Messina, C.; Midiri, F.; Mauri, G.; Aliprandi, A.; Catapano, M.; Pescatori, L.C.; Monaco, C.G.; Gitto, S.; et al. Rotator Cuff Calcific Tendinopathy: From Diagnosis to Treatment. Acta Biomed. Atenei Parm. 2018, 89, 186–196. [Google Scholar] [CrossRef]
- Faydaver, M.; El Khatib, M.; Russo, V.; Rigamonti, M.; Raspa, M.; Di Giacinto, O.; Berardinelli, P.; Mauro, A.; Scavizzi, F.; Bonaventura, F.; et al. Unraveling the Link: Locomotor Activity Exerts a Dual Role in Predicting Achilles Tendon Healing and Boosting Regeneration in Mice. Front. Vet. Sci. 2023, 10, 1281040. [Google Scholar] [CrossRef]
- Pierantoni, M.; Hammerman, M.; Silva Barreto, I.; Andersson, L.; Novak, V.; Isaksson, H.; Eliasson, P. Heterotopic Mineral Deposits in Intact Rat Achilles Tendons Are Characterized by a Unique Fiber-like Structure. J. Struct. Biol. X 2023, 7, 100087. [Google Scholar] [CrossRef]
- Shahid, H.; Morya, V.K.; Oh, J.-U.; Kim, J.-H.; Noh, K.-C. Hypoxia-Inducible Factor and Oxidative Stress in Tendon Degeneration: A Molecular Perspective. Antioxidants 2024, 13, 86. [Google Scholar] [CrossRef]
- Peserico, A.; Barboni, B.; Russo, V.; Bernabò, N.; El Khatib, M.; Prencipe, G.; Cerveró-Varona, A.; Haidar-Montes, A.A.; Faydaver, M.; Citeroni, M.R.; et al. Mammal Comparative Tendon Biology: Advances in Regulatory Mechanisms through a Computational Modeling. Front. Vet. Sci. 2023, 10, 1175346. [Google Scholar] [CrossRef] [PubMed]
- Russo, V.; Mauro, A.; Martelli, A.; Di Giacinto, O.; Di Marcantonio, L.; Nardinocchi, D.; Berardinelli, P.; Barboni, B. Cellular and Molecular Maturation in Fetal and Adult Ovine Calcaneal Tendons. J. Anat. 2015, 226, 126–142. [Google Scholar] [CrossRef] [PubMed]
- Ackermann, P.W. Neuronal Regulation of Tendon Homoeostasis. Int. J. Exp. Path. 2013, 94, 271–286. [Google Scholar] [CrossRef] [PubMed]
- Ackermann, P.W. Neuronal Pathways in Tendon Healing. Front. Biosci. 2009, 14, 5165. [Google Scholar] [CrossRef]
- Lui, P.P.-Y.; Chan, L.; Fu, S.; Chan, K. Expression of Sensory Neuropeptides in Tendon Is Associated with Failed Healing and Activity-Related Tendon Pain in Collagenase-Induced Tendon Injury. Am. J. Sports Med. 2010, 38, 757–764. [Google Scholar] [CrossRef]
- Scott, A. Neuropeptides in Tendinopathy. Front. Biosci. 2009, 14, 2203. [Google Scholar] [CrossRef] [PubMed]
- Ackermann, P.W.; Li, J.; Lundeberg, T.; Kreicbergs, A. Neuronal Plasticity in Relation to Nociception and Healing of Rat Achilles Tendon. J. Orthop. Res. 2003, 21, 432–441. [Google Scholar] [CrossRef] [PubMed]
- Kang, X.; Qian, Z.; Liu, J.; Feng, D.; Li, H.; Zhang, Z.; Jin, X.; Ma, Z.; Xu, M.; Li, F.; et al. Neuropeptide Y Acts Directly on Cartilage Homeostasis and Exacerbates Progression of Osteoarthritis Through NPY2R. J. Bone Miner. Res. 2020, 35, 1375–1384. [Google Scholar] [CrossRef]
- Faul, F.; Erdfelder, E.; Lang, A.-G.; Buchner, A. G*Power 3: A Flexible Statistical Power Analysis Program for the Social, Behavioral, and Biomedical Sciences. Behav. Res. Methods 2007, 39, 175–191. [Google Scholar] [CrossRef]
- Titford, M. The Long History of Hematoxylin. Biotech. Histochem. 2005, 80, 73–78. [Google Scholar] [CrossRef]
- Lach, M.S.; Wroblewska, J.; Kulcenty, K.; Richter, M.; Trzeciak, T.; Suchorska, W.M. Chondrogenic Differentiation of Pluripotent Stem Cells under Controllable Serum-Free Conditions. IJMS 2019, 20, 2711. [Google Scholar] [CrossRef] [PubMed]
- Coralli, C.V.; Xue, J.; Chester, A.H.; Bertazzo, S. Alizarin Red Fluorescence Imaging for Nano Calcification. bioRxiv 2022. [Google Scholar] [CrossRef]
- Russo, V.; Mauro, A.; Peserico, A.; Di Giacinto, O.; Khatib, M.E.; Citeroni, M.R.; Rossi, E.; Canciello, A.; Mazzotti, E.; Barboni, B. Tendon Healing Response Is Dependent on Epithelial–Mesenchymal–Tendon Transition State of Amniotic Epithelial Stem Cells. Biomedicines 2022, 10, 1177. [Google Scholar] [CrossRef]
- Chu, C.; Artis, D.; Chiu, I.M. Neuro-Immune Interactions in the Tissues. Immunity 2020, 52, 464–474. [Google Scholar] [CrossRef]
- Russo, V.; El Khatib, M.; Prencipe, G.; Citeroni, M.R.; Faydaver, M.; Mauro, A.; Berardinelli, P.; Cerveró-Varona, A.; Haidar-Montes, A.A.; Turriani, M.; et al. Tendon Immune Regeneration: Insights on the Synergetic Role of Stem and Immune Cells during Tendon Regeneration. Cells 2022, 11, 434. [Google Scholar] [CrossRef]
- Rajpar, I.; Tomlinson, R.E. Function of Peripheral Nerves in the Development and Healing of Tendon and Bone. Semin. Cell Dev. Biol. 2022, 123, 48–56. [Google Scholar] [CrossRef] [PubMed]
- Boesmueller, S.; Nógrádi, A.; Heimel, P.; Albrecht, C.; Nürnberger, S.; Redl, H.; Fialka, C.; Mittermayr, R. Neurofilament Distribution in the Superior Labrum and the Long Head of the Biceps Tendon. J. Orthop. Surg. Res. 2017, 12, 181. [Google Scholar] [CrossRef] [PubMed]
- Gafson, A.R.; Barthélemy, N.R.; Bomont, P.; Carare, R.O.; Durham, H.D.; Julien, J.-P.; Kuhle, J.; Leppert, D.; Nixon, R.A.; Weller, R.O.; et al. Neurofilaments: Neurobiological Foundations for Biomarker Applications. Brain 2020, 143, 1975–1998. [Google Scholar] [CrossRef] [PubMed]
- Ackermann, P.W.; Ahmed, M.; Kreicbergs, A. Early Nerve Regeneration after Achilles Tendon Rupture—A Prerequisite for Healing? A Study in the Rat. J. Orthop. Res. 2002, 20, 849–856. [Google Scholar] [CrossRef]
- Han, S.-H.; Kim, H.K.; Jang, Y.; Lee, H.H.; Rhie, J.; Han, D.; Oh, J.; Lee, S. The Expression of Substance P and Calcitonin Gene-Related Peptide Is Associated with the Severity of Tendon Degeneration in Lateral Epicondylitis. BMC Musculoskelet Disord. 2021, 22, 210. [Google Scholar] [CrossRef]
- Ackermann, P.W.; Renström, P. Tendinopathy in Sport. Sports Health 2012, 4, 193–201. [Google Scholar] [CrossRef]
- Mitsukawa, K.; Lu, X.; Bartfai, T. Galanin, Galanin Receptors, and Drug Targets. In Galanin; Hökfelt, T., Ed.; Experientia Supplementum; Springer: Basel, Switzerland, 2010; Volume 102, pp. 7–23. ISBN 978-3-0346-0227-3. [Google Scholar]
- Mansour, A.A.; Krautter, F.; Zhi, Z.; Iqbal, A.J.; Recio, C. The Interplay of Galectins-1, -3, and -9 in the Immune-Inflammatory Response Underlying Cardiovascular and Metabolic Disease. Cardiovasc. Diabetol. 2022, 21, 253. [Google Scholar] [CrossRef]
- Brzozowska, M.; Całka, J. Review: Occurrence and Distribution of Galanin in the Physiological and Inflammatory States in the Mammalian Gastrointestinal Tract. Front. Immunol. 2021, 11, 602070. [Google Scholar] [CrossRef]
- Law, H.L.; Wright, R.D.; Iqbal, A.J.; Norling, L.V.; Cooper, D. A Pro-Resolving Role for Galectin-1 in Acute Inflammation. Front. Pharmacol. 2020, 11, 274. [Google Scholar] [CrossRef]
- Ray, J.C.; Allen, P.; Bacsi, A.; Bosco, J.J.; Chen, L.; Eller, M.; Kua, H.; Lim, L.L.; Matharu, M.S.; Monif, M.; et al. Inflammatory Complications of CGRP Monoclonal Antibodies: A Case Series. J. Headache Pain 2021, 22, 121. [Google Scholar] [CrossRef]
- Sohn, I.; Sheykhzade, M.; Edvinsson, L.; Sams, A. The Effects of CGRP in Vascular Tissue—Classical Vasodilation, Shadowed Effects and Systemic Dilemmas. Eur. J. Pharmacol. 2020, 881, 173205. [Google Scholar] [CrossRef] [PubMed]
- Chen, H.; Lu, H.; Huang, J.; Wang, Z.; Chen, Y.; Zhang, T. Calcitonin Gene-Related Peptide Influences Bone-Tendon Interface Healing Through Osteogenesis: Investigation in a Rabbit Partial Patellectomy Model. Orthop. J. Sports Med. 2021, 9, 232596712110039. [Google Scholar] [CrossRef]
- Chéret, J.; Lebonvallet, N.; Buhé, V.; Carre, J.L.; Misery, L.; Le Gall-Ianotto, C. Influence of Sensory Neuropeptides on Human Cutaneous Wound Healing Process. J. Dermatol. Sci. 2014, 74, 193–203. [Google Scholar] [CrossRef]
- Fong, G.; Backman, L.J.; Hart, D.A.; Danielson, P.; McCormack, B.; Scott, A. Substance P Enhances Collagen Remodeling and MMP-3 Expression by Human Tenocytes. J. Orthop. Res. 2013, 31, 91–98. [Google Scholar] [CrossRef]
- Ivanov, E.; Akhmetshina, M.; Erdiakov, A.; Gavrilova, S. Sympathetic System in Wound Healing: Multistage Control in Normal and Diabetic Skin. IJMS 2023, 24, 2045. [Google Scholar] [CrossRef] [PubMed]
- Amiya, E.; Watanabe, M.; Komuro, I. The Relationship between Vascular Function and the Autonomic Nervous System. Ann. Vasc. Dis. 2014, 7, 109–119. [Google Scholar] [CrossRef]
- Ackermann, P.W.; Salo, P.; Hart, D.A. Tendon Innervation. In Metabolic Influences on Risk for Tendon Disorders; Ackermann, P.W., Hart, D.A., Eds.; Advances in Experimental Medicine and Biology; Springer International Publishing: Cham, Switzerland, 2016; Volume 920, pp. 35–51. ISBN 978-3-319-33941-2. [Google Scholar]
- Aloe, L.; Rocco, M.; Balzamino, B.; Micera, A. Nerve Growth Factor: A Focus on Neuroscience and Therapy. Curr. Neuropharmacol. 2015, 13, 294–303. [Google Scholar] [CrossRef]
- Wu, J.-Q.; Jiang, N.; Yu, B. Mechanisms of Action of Neuropeptide Y on Stem Cells and Its Potential Applications in Orthopaedic Disorders. World J. Stem Cells 2020, 12, 986–1000. [Google Scholar] [CrossRef]
- Wasker, S.V.Z.; Challoumas, D.; Weng, W.; Murrell, G.A.C.; Millar, N.L. Is Neurogenic Inflammation Involved in Tendinopathy? A Systematic Review. BMJ Open Sport Exerc. Med. 2023, 9, e001494. [Google Scholar] [CrossRef]
- Mueller, A.J.; Tew, S.R.; Vasieva, O.; Clegg, P.D.; Canty-Laird, E.G. A Systems Biology Approach to Defining Regulatory Mechanisms for Cartilage and Tendon Cell Phenotypes. Sci. Rep. 2016, 6, 33956. [Google Scholar] [CrossRef]
- Lee, S.; Hwang, C.; Marini, S.; Tower, R.J.; Qin, Q.; Negri, S.; Pagani, C.A.; Sun, Y.; Stepien, D.M.; Sorkin, M.; et al. NGF-TrkA Signaling Dictates Neural Ingrowth and Aberrant Osteochondral Differentiation after Soft Tissue Trauma. Nat. Commun. 2021, 12, 4939. [Google Scholar] [CrossRef] [PubMed]
- Jiang, Y.; Tuan, R.S. Role of NGF-TrkA Signaling in Calcification of Articular Chondrocytes. FASEB J. 2019, 33, 10231–10239. [Google Scholar] [CrossRef] [PubMed]
- Lui, P.P.; Fu, S.; Chan, L.; Hung, L.; Chan, K. Chondrocyte Phenotype and Ectopic Ossification in Collagenase-Induced Tendon Degeneration. J. Histochem. Cytochem. 2009, 57, 91–100. [Google Scholar] [CrossRef] [PubMed]
- Shukunami, C.; Yoshimoto, Y.; Takimoto, A.; Yamashita, H.; Hiraki, Y. Molecular Characterization and Function of Tenomodulin, a Marker of Tendons and Ligaments That Integrate Musculoskeletal Components. Jpn. Dent. Sci. Rev. 2016, 52, 84–92. [Google Scholar] [CrossRef] [PubMed]
- Zeng, F.; Beck, V.; Schuierer, S.; Garnier, I.; Manneville, C.; Agarinis, C.; Morelli, L.; Quinn, L.; Knehr, J.; Roma, G.; et al. A Simple and Efficient CRISPR Technique for Protein Tagging. Cells 2020, 9, 2618. [Google Scholar] [CrossRef]
- Bagge, J.; Lorentzon, R.; Alfredson, H.; Forsgren, S. Unexpected Presence of the Neurotrophins NGF and BDNF and the Neurotrophin Receptor P75 in the Tendon Cells of the Human Achilles Tendon. Histol. Histopathol. 2009, 24, 839–848. [Google Scholar] [CrossRef]
- Hadjileontis, C.; Kontakis, G. Evidence of Neuronal Differentiation of Tendon Stromal Cells in Patients with Biceps Branchi Muscle Pain: A Histological and Immunohistochemical Study of 12 Patients. J. Nov. Physiother. 2013, 2, 2. [Google Scholar] [CrossRef]
- Samario-Román, J.; Larqué, C.; Pánico, P.; Ortiz-Huidobro, R.I.; Velasco, M.; Escalona, R.; Hiriart, M. NGF and Its Role in Immunoendocrine Communication during Metabolic Syndrome. IJMS 2023, 24, 1957. [Google Scholar] [CrossRef]
- Bjur, D.; Alfredson, H.; Forsgren, S. Presence of the Neuropeptide Y1 Receptor in Tenocytes and Blood Vessel Walls in the Human Achilles Tendon. Br. J. Sports Med. 2009, 43, 1136–1142. [Google Scholar] [CrossRef]
- Fonseca-Rodrigues, D.; Almeida, A.; Pinto-Ribeiro, F. A New Gal in Town: A Systematic Review of the Role of Galanin and Its Receptors in Experimental Pain. Cells 2022, 11, 839. [Google Scholar] [CrossRef]
- Backman, L.J. Neuropeptide and Catecholamine Effects on Tenocytes in Tendinosis Development. Ph.D. Thesis, Umeå Universitet, Umeå, Sweden, 2013. [Google Scholar]









| Primary Antibody | Primary Antibody Dilution | Secondary Antibody | Secondary Antibody Dilution |
|---|---|---|---|
| CGRP (Chemicon, Lansing, NC, USA, polyclonal AB1971) | 1:100 | Anti-Rabbit AlexaFluor 488 (AP132C Sigma Aldrich, St. Louis, MO, USA) | 1:600 |
| GAL (MyBioSource, San Diego, CA, USA, Polyclonal, MBS565327) | 1:400 | Anti-Rabbit AlexaFluor 488 (AP132C Sigma Aldrich, St. Louis, MO, USA) | 1:600 |
| NGF (Sigma Aldrich, St. Louis, MO, USA, Polyclonal, N6655) | 1:400 | Anti-Rabbit AlexaFluor 488 (AP132C Sigma Aldrich, St. Louis, MO, USA) | 1:600 |
| NF200 (Sigma Aldrich, St. Louis, MO, USA, Polyclonal, N4142) | 1:400 | Anti-Rabbit AlexaFluor 488 (Abcam, Cambridge, UK, Code:AB 150077) | 1:600 |
| NPY (Sigma Aldrich, St. Louis, MO, Polyclonal, N9528) | 1:500 | Anti-Rabbit AlexaFluor 488 (AP132C Sigma Aldrich, St. Louis, MO, USA) | 1:600 |
| Tenomodulin (Abcam, Cambridge, UK, ab203676) | 1:500 | Anti-Rabbit CY3 (Abcam, Cambridge, UK, AB 150077) | 1:600 |
Disclaimer/Publisher’s Note: The statements, opinions and data contained in all publications are solely those of the individual author(s) and contributor(s) and not of MDPI and/or the editor(s). MDPI and/or the editor(s) disclaim responsibility for any injury to people or property resulting from any ideas, methods, instructions or products referred to in the content. |
© 2024 by the authors. Licensee MDPI, Basel, Switzerland. This article is an open access article distributed under the terms and conditions of the Creative Commons Attribution (CC BY) license (https://creativecommons.org/licenses/by/4.0/).
Share and Cite
Faydaver, M.; Festinese, V.; Di Giacinto, O.; El Khatib, M.; Raspa, M.; Scavizzi, F.; Bonaventura, F.; Mastrorilli, V.; Berardinelli, P.; Barboni, B.; et al. Predictive Neuromarker Patterns for Calcification Metaplasia in Early Tendon Healing. Vet. Sci. 2024, 11, 441. https://doi.org/10.3390/vetsci11090441
Faydaver M, Festinese V, Di Giacinto O, El Khatib M, Raspa M, Scavizzi F, Bonaventura F, Mastrorilli V, Berardinelli P, Barboni B, et al. Predictive Neuromarker Patterns for Calcification Metaplasia in Early Tendon Healing. Veterinary Sciences. 2024; 11(9):441. https://doi.org/10.3390/vetsci11090441
Chicago/Turabian StyleFaydaver, Melisa, Valeria Festinese, Oriana Di Giacinto, Mohammad El Khatib, Marcello Raspa, Ferdinando Scavizzi, Fabrizio Bonaventura, Valentina Mastrorilli, Paolo Berardinelli, Barbara Barboni, and et al. 2024. "Predictive Neuromarker Patterns for Calcification Metaplasia in Early Tendon Healing" Veterinary Sciences 11, no. 9: 441. https://doi.org/10.3390/vetsci11090441
APA StyleFaydaver, M., Festinese, V., Di Giacinto, O., El Khatib, M., Raspa, M., Scavizzi, F., Bonaventura, F., Mastrorilli, V., Berardinelli, P., Barboni, B., & Russo, V. (2024). Predictive Neuromarker Patterns for Calcification Metaplasia in Early Tendon Healing. Veterinary Sciences, 11(9), 441. https://doi.org/10.3390/vetsci11090441

