Computed Tomographic Findings of Liver Cirrhosis in Dogs: Comparison between Compensated and Decompensated Cirrhosis
Abstract
Simple Summary
Abstract
1. Introduction
2. Materials and Methods
2.1. Animals
2.2. Computed Tomographic Examination
2.3. Computed Tomographic Evaluation
3. Results
3.1. Study Populations
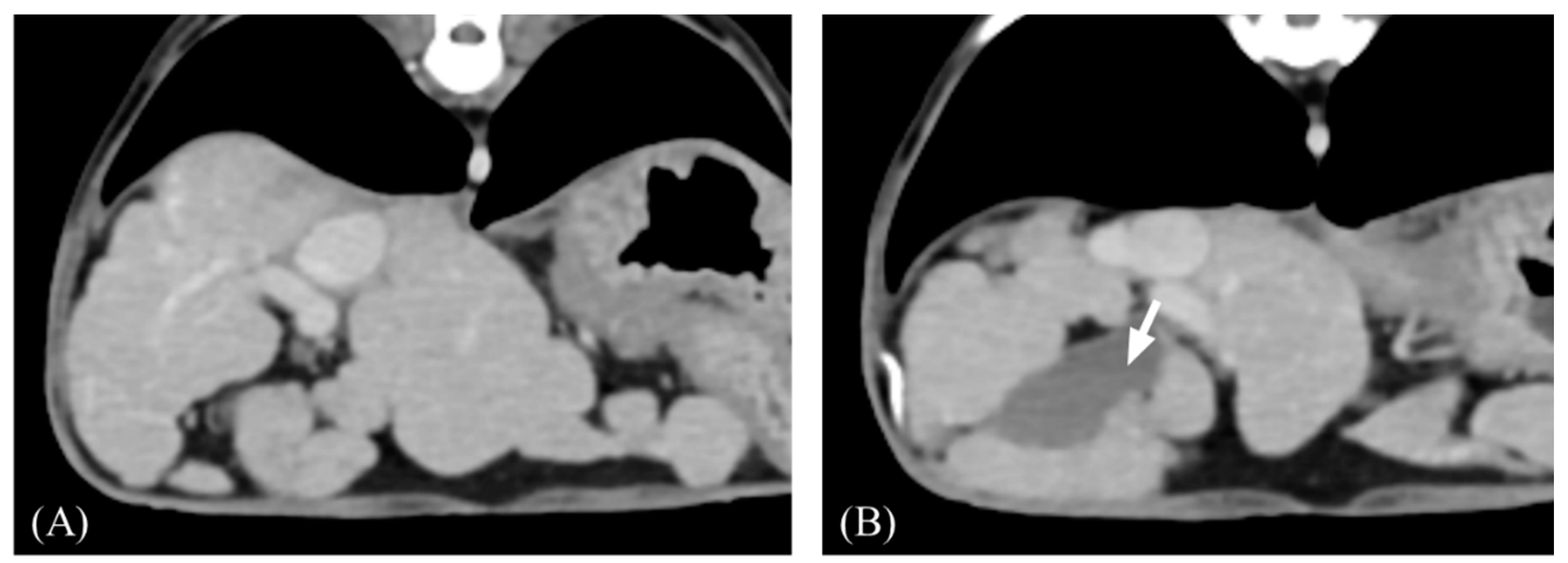
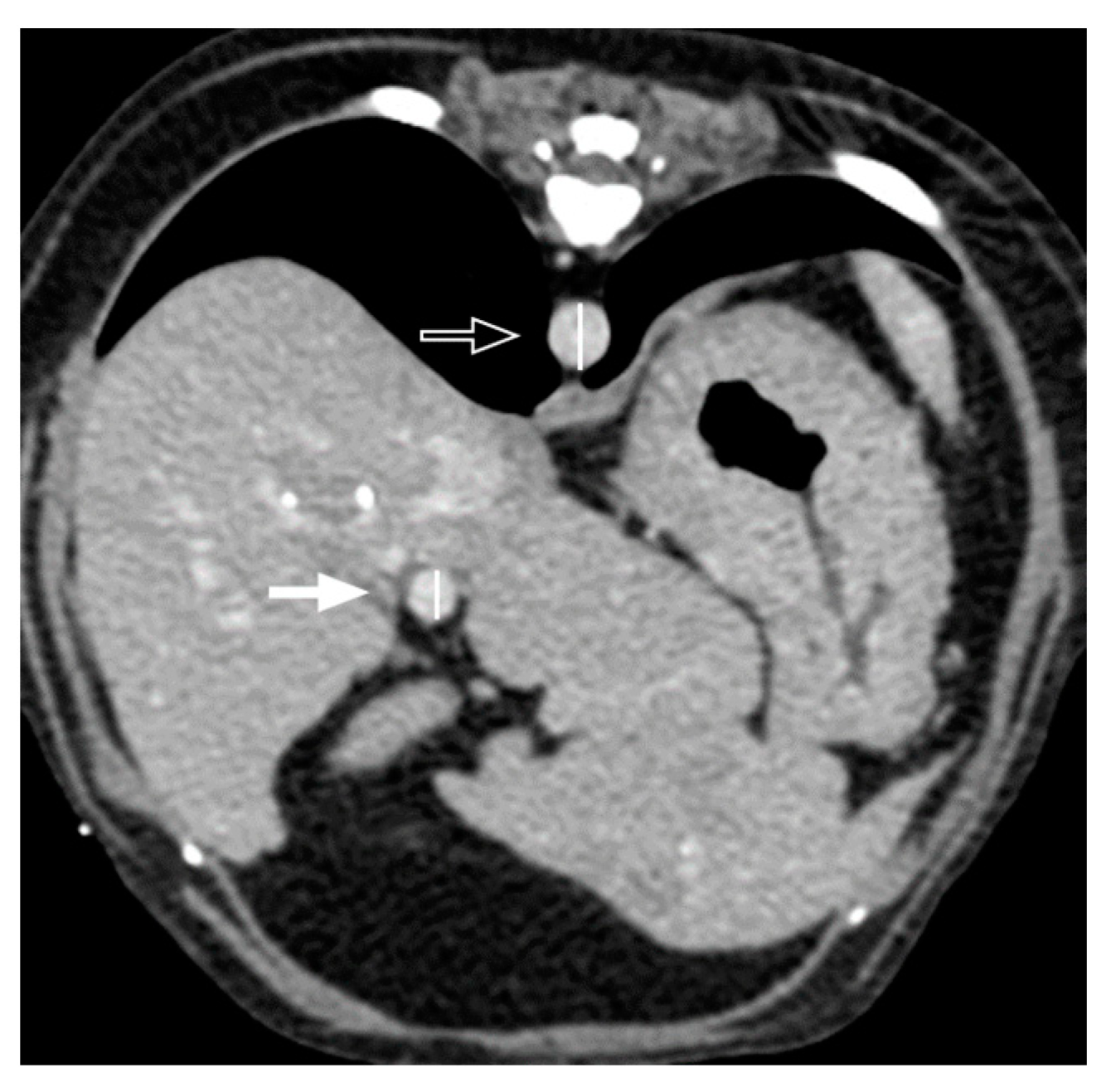
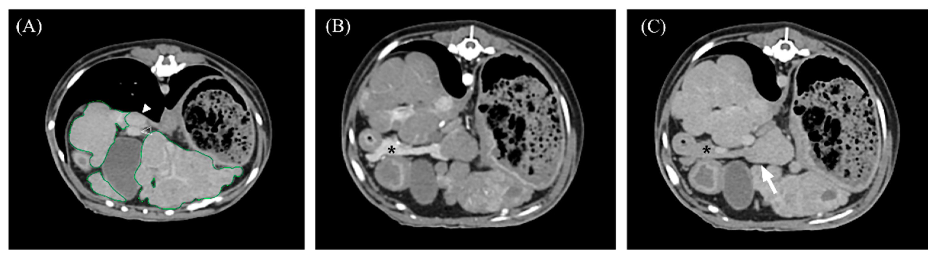
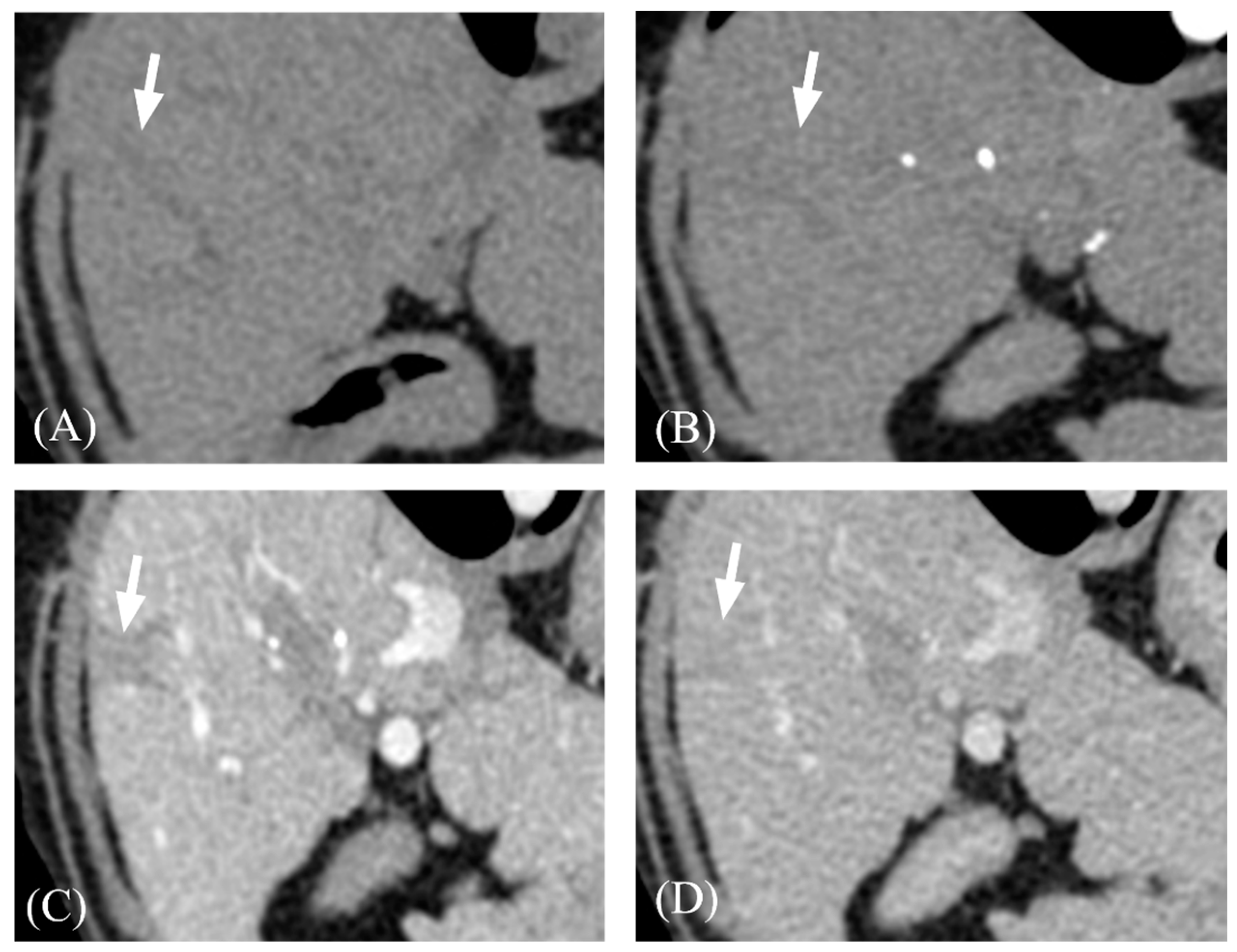
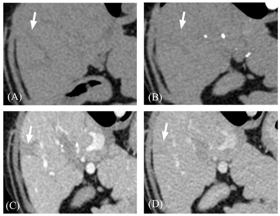
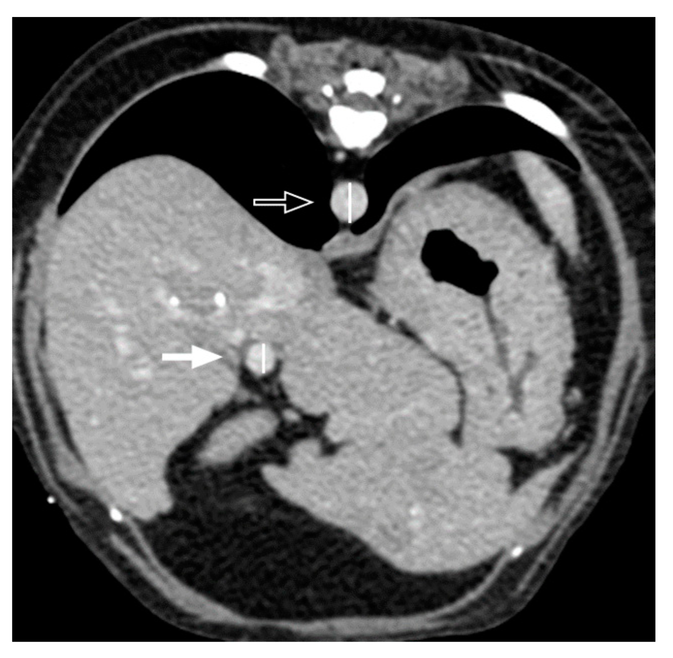
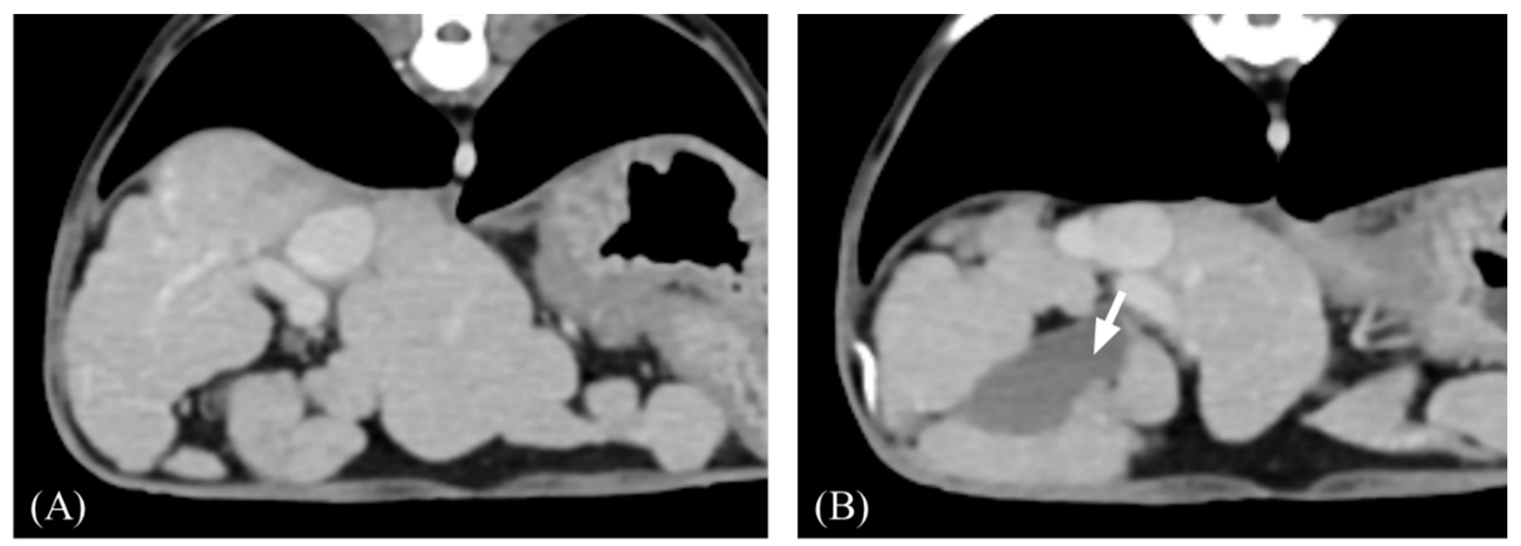
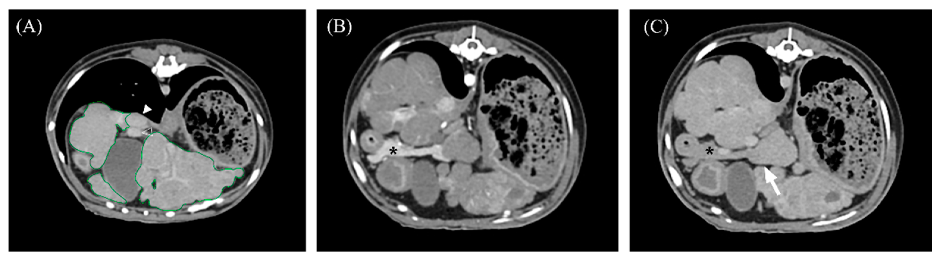
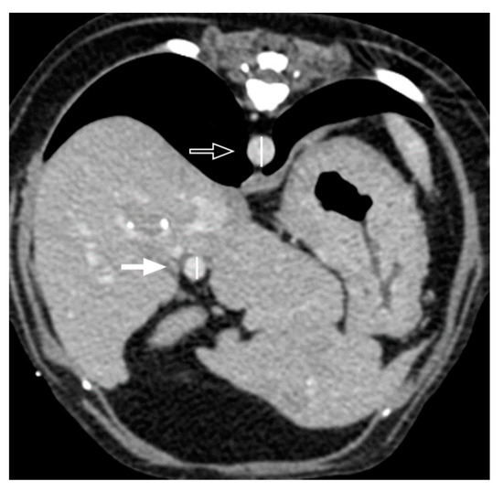
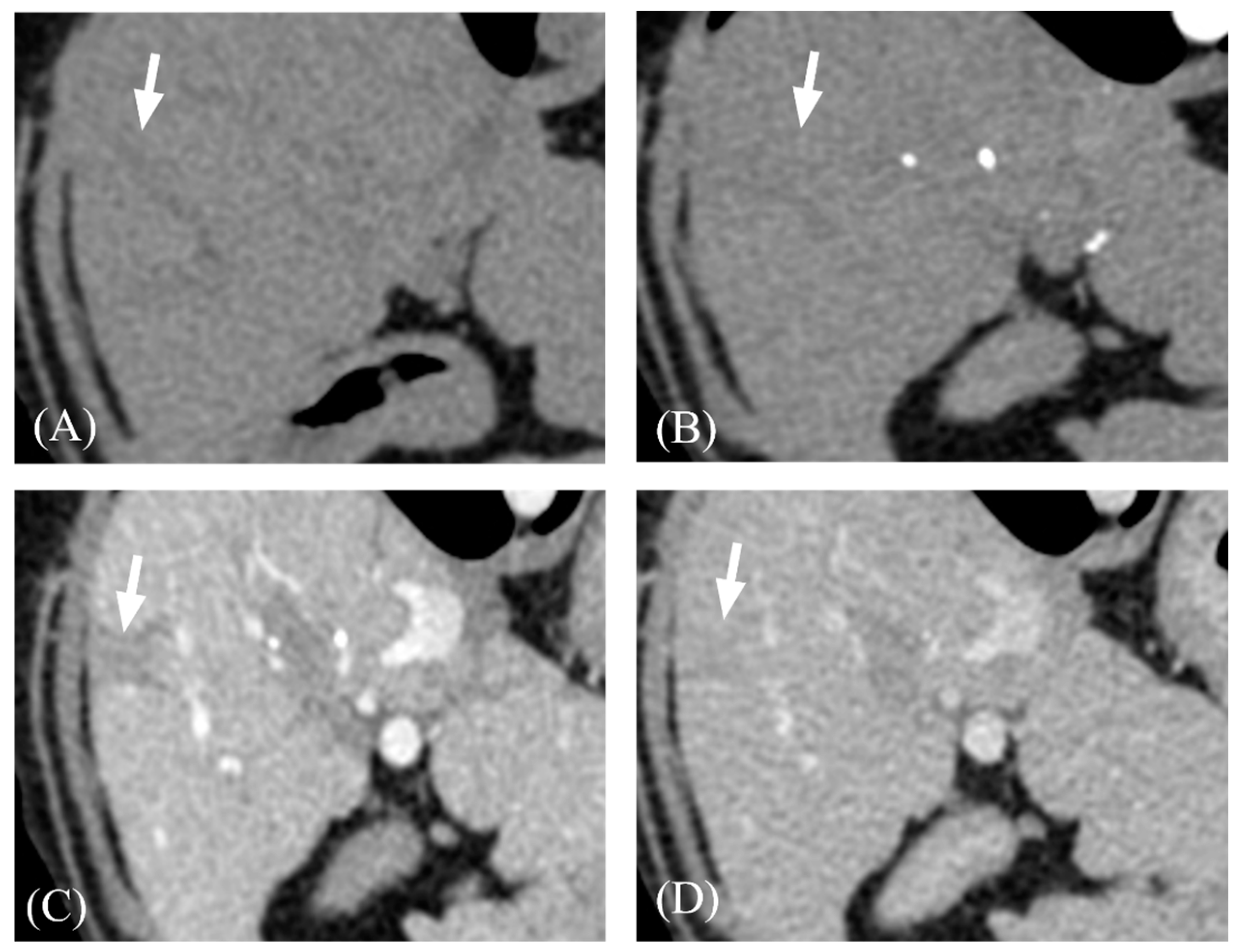
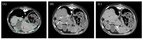
3.2. Qualitative Computed Tomographic Features
3.3. Quantitative Computed Tomographic Parameters
3.4. Laboratory Data
4. Discussion
5. Conclusions
Author Contributions
Funding
Institutional Review Board Statement
Informed Consent Statement
Data Availability Statement
Conflicts of Interest
References
- Webster, C.R.L.; Center, S.A.; Cullen, J.M.; Penninck, D.G.; Richter, K.P.; Twedt, D.C.; Watson, P.J. ACVIM Consensus Statement on the Diagnosis and Treatment of Chronic Hepatitis in Dogs. J. Vet. Intern. Med. 2019, 33, 1173–1200. [Google Scholar] [CrossRef] [PubMed]
- Sevelius, E. Diagnosis and Prognosis of Chronic Hepatitis and Cirrhosis in Dogs. J. Small Anim. Pract. 1995, 36, 521–528. [Google Scholar] [CrossRef] [PubMed]
- van den Ingh, T.S.G.A.M.; Van Winkle, T.; Cullen, J.M.; Charles, J.A.; Desmet, V.J. Morphological Classification of Parenchymal Disorders of the Canine and Feline Liver 2; Hepatocellular Death, Hepatitis and Cirrhosis; Society of Comparative Hepatology: Utrecht, The Netherlands, 2021. [Google Scholar]
- Eulenberg, V.M.; Lidbury, J.A. Hepatic Fibrosis in Dogs. J. Vet. Intern. Med. 2018, 32, 26–41. [Google Scholar] [CrossRef] [PubMed]
- Nusrat, S.; Khan, M.S.; Fazili, J.; Madhoun, M.F. Cirrhosis and Its Complications: Evidence Based Treatment. World J. Gastroenterol. 2014, 20, 5442–5460. [Google Scholar] [CrossRef]
- Sangster, G.P.; Previgliano, C.H.; Nader, M.; Chwoschtschinsky, E.; Heldmann, M.G. MDCT Imaging Findings of Liver Cirrhosis: Spectrum of Hepatic and Extrahepatic Abdominal Complications. HPB Surg. 2013, 2013, 129396. [Google Scholar] [CrossRef]
- D’Amico, G.; Garcia-Tsao, G.; Pagliaro, L. Natural History and Prognostic Indicators of Survival in Cirrhosis: A Systematic Review of 118 Studies. J. Hepatol. 2006, 44, 217–231. [Google Scholar] [CrossRef]
- Twedt, D.C. Cirrhosis: A Consequence of Chronic Liver Disease. Vet. Clin. N. Am. Small Anim. Pract. 1985, 15, 151–176. [Google Scholar] [CrossRef]
- D’Amico, G.; Perricone, G. Prediction of Decompensation in Patients with Compensated Cirrhosis: Does Etiology Matter? Curr. Hepatol. Rep. 2019, 18, 144–156. [Google Scholar] [CrossRef]
- Romero-Cristóbal, M.; Clemente-Sánchez, A.; Peligros, M.I.; Ramón, E.; Matilla, A.M.; Colón, A.; Alonso, S.; Catalina, M.V.; Fernández-Yunquera, A.; Caballero, A.; et al. Liver and Spleen Volumes Are Associated with Prognosis of Compensated and Decompensated Cirrhosis and Parallel Its Natural History. United Eur. Gastroenterol. J. 2022, 10, 805–816. [Google Scholar] [CrossRef]
- Shih, J.L.; Keating, J.H.; Freeman, L.M.; Webster, C.R.L. Chronic Hepatitis in Labrador Retrievers: Clinical Presentation and Prognostic Factors. J. Vet. Intern. Med. 2007, 21, 33–39. [Google Scholar] [CrossRef]
- Bigge, L.A.; Brown, D.J.; Penninck, D.G. Correlation between Coagulation Profile Findings and Bleeding Complications after Ultrasound-Guided Biopsies: 434 Cases (1993–1996). J. Am. Anim. Hosp. Assoc. 2001, 37, 228–233. [Google Scholar] [CrossRef] [PubMed]
- Kemp, S.D.; Zimmerman, K.L.; Panciera, D.L.; Monroe, W.E.; Leib, M.S. Histopathologic Variation between Liver Lobes in Dogs. J. Vet. Intern. Med. 2015, 29, 58–62. [Google Scholar] [CrossRef] [PubMed]
- Maharaj, B.; Leary, W.P.; Naran, A.D.; Maharaj, R.J.; Cooppan, R.M.; Pirie, D.; Pudifin, D.J. Sampling variability and its influence on the diagnostic yield of percutaneous needle biopsy of the liver. Lancet 1986, 327, 523–525. [Google Scholar] [CrossRef] [PubMed]
- Kudo, M.; Zheng, R.Q.; Kim, S.R.; Okabe, Y.; Osaki, Y.; Iijima, H.; Itani, T.; Kasugai, H.; Kanematsu, M.; Ito, K.; et al. Diagnostic Accuracy of Imaging for Liver Cirrhosis Compared to Histologically Proven Liver Cirrhosis. Intervirology 2008, 51, 17–26. [Google Scholar] [CrossRef]
- Yeom, S.K.; Lee, C.H.; Cha, S.H.; Park, C.M. Prediction of Liver Cirrhosis, Using Diagnostic Imaging Tools. World J. Hepatol. 2015, 7, 2069–2079. [Google Scholar] [CrossRef]
- Choi, H.-J.; Lee, K.-J.; Chang, J.-H.; An, J.-Y.; Ahn, S.-J.; Jeong, S.-M.; Park, S.-J.; Cho, S.-W.; Lee, Y.-W. Diagnostic Imaging of Liver Cirrhosis in a Shih-Tzu Dog. J. Vet. Clin. 2009, 26, 367–370. [Google Scholar]
- Tüfenk, D.Ş.; Olivry, T. Necrolytic Migratory Erythema in a Dog. Ank. Üniv. Vet. Fakültesi Derg. 2016, 63, 83–88. [Google Scholar]
- D’Amico, G.; Bernardi, M.; Angeli, P. Towards a New Definition of Decompensated Cirrhosis. J. Hepatol. 2022, 76, 202–207. [Google Scholar] [CrossRef]
- Teodori, S.; Aste, G.; Tamburro, R.; Morselli-Labate, A.M.; Simeoni, F.; Vignoli, M. Computed Tomography Evaluation of Normal Canine Abdominal Lymph Nodes: Retrospective Study of Size and Morphology According to Body Weight and Age in 45 Dogs. Vet. Sci. 2021, 8, 44. [Google Scholar] [CrossRef]
- Kinoshita, K.; Kurihara, H.; Moore, G.E.; Murakami, M. Pilot Study: The Effects of Slice Parameters and the Interobserver Measurement Variability in Computed Tomographic Hepatic Volumetry in Dogs without Hepatic Disease. Vet. Sci. 2023, 10, 177. [Google Scholar] [CrossRef]
- Israeliantz, N.; Lodzinska, J.; Woods, G.; Pontes, J.; Parys, M.; Schwarz, T. A Simplified CT-Volumetry Method for the Canine Liver. Vet. Radiol. Ultrasound 2022, 63, 47–53. [Google Scholar] [CrossRef]
- Roncalli, M.; Roz, E.; Coggi, G.; Di Rocco, M.G.; Bossi, P.; Minola, E.; Gambacorta, M.; Borzio, M. The Vascular Profile of Regenerative and Dysplastic Nodules of the Cirrhotic Liver: Implications for Diagnosis and Classification. Hepatology 1999, 30, 1174–1178. [Google Scholar] [CrossRef]
- Brancatelli, G.; Federle, M.P.; Ambrosini, R.; Lagalla, R.; Carriero, A.; Midiri, M.; Vilgrain, V. Cirrhosis: CT and MR Imaging Evaluation. Eur. J. Radiol. 2007, 61, 57–69. [Google Scholar] [CrossRef]
- Ohtomo, K.; Baron, R.L.; Dodd, G.D.; Federle, M.P.; Miller, W.J.; Campbell, W.L.; Confer, S.R.; Weber, K.M. Confluent Hepatic Fibrosis in Advanced Cirrhosis: Appearance at CT. Radiology 1993, 188, 31–35. [Google Scholar] [CrossRef]
- Griebie, E.R.; David, F.H.; Ober, C.P.; Feeney, D.A.; Anderson, K.L.; Wuenschmann, A.; Jessen, C.R. Evaluation of Canine Hepatic Masses by Use of Triphasic Computed Tomography and B-Mode, Color Flow, Power, and Pulsed-Wave Doppler Ultrasonography and Correlation with Histopathologic Classification. Am. J. Vet. Res. 2017, 78, 1273–1283. [Google Scholar] [CrossRef]
- Fukui, N.; Kitagawa, K.; Matsui, O.; Takashima, T.; Kidani, H.; Hirano, M.; Masuda, S.; Nakanuma, Y. Focal Ischemic Necrosis of the Liver Associated with Cirrhosis: Radiologic Findings. Am. J. Roentgenol. 1992, 159, 1021–1022. [Google Scholar] [CrossRef][Green Version]
- Kim, T.; Baron, R.L.; Nalesnik, M.A. Infarcted Regenerative Nodules in Cirrhosis: CT and MR Imaging Findings with Pathologic Correlation. Am. J. Roentgenol. 2000, 175, 1121–1125. [Google Scholar] [CrossRef]
- Kim, Y.K.; Park, G.; Kim, C.S.; Han, Y.M. CT and MRI Findings of Cirrhosis-Related Benign Nodules with Ischaemia or Infarction after Variceal Bleeding. Clin. Radiol. 2010, 65, 801–808. [Google Scholar] [CrossRef]
- Scholtze, D.; Reineke, T.; Müllhaupt, B.; Gubler, C. Multiple Infarcted Regenerative Nodules in Liver Cirrhosis after Decompensation of Cirrhosis: A Case Series. J. Med. Case Rep. 2010, 4, 375. [Google Scholar] [CrossRef]
- Valls, C.; Andía, E.; Roca, Y.; Cos, M.; Figueras, J. CT in Hepatic Cirrhosis and Chronic Hepatitis. Semin. Ultrasound CT MRI 2002, 23, 37–61. [Google Scholar] [CrossRef]
- Petre, S.L.; McClaran, J.K.; Bergman, P.J.; Monette, S. Safety and Efficacy of Laparoscopic Hepatic Biopsy in Dogs: 80 Cases (2004–2009). J. Am. Vet. Med. Assoc. 2012, 240, 181–185. [Google Scholar] [CrossRef]
- Mueller, S. Liver Stiffness: A Novel Parameter for the Diagnosis of Liver Disease. Hepat. Med. 2010, 2, 49–67. [Google Scholar] [CrossRef]
- del Olmo, J.A.; Esteban, J.M.; Maldonado, L.; Rodríguez, F.; Escudero, A.; Serra, M.Á.; Rodrigo, J.M. Clinical Significance of Abdominal Lymphadenopathy in Chronic Liver Disease. Ultrasound Med. Biol. 2002, 28, 297–301. [Google Scholar] [CrossRef]
- Dodd, G.D.; Baron, R.L.; Oliver, J.H.; Federle, M.P.; Baumgartel, P.B. Enlarged Abdominal Lymph Nodes in End-Stage Cirrhosis: CT- Histopathologic Correlation in 507 Patients. Radiology 1997, 203, 127–130. [Google Scholar] [CrossRef]
- Yamasaki, M.; Furukawa, A.; Murata, K.; Morita, R. Transient Hepatic Attenuation Difference (THAD) in Patients without Neoplasm: Frequency, Shape, Distribution, and Causes. Radiat. Med. 1999, 17, 91–96. [Google Scholar]
- Colagrande, S.; Centi, N.; Carmignani, L.; Salvatori Politi, L.; Villari, N. Meaning and Etiopathogenesis of Sectorial Transient Hepatic Attenuation Differences (THAD). Radiol. Med. 2003, 105, 180–187. [Google Scholar]
- Bookstein, J.J.; Cho, K.J.; Davis, G.B.; Dail, D. Arterioportal Communications: Observations and Hypotheses Concerning Transsinusoidal and Transvasal Types. Radiology 1982, 142, 581–590. [Google Scholar] [CrossRef]
- Villeneuve, J.; Dagenais, M.; Huet, P.; Roy, A.; Lapointe, R.; Marleau, D. The Hepatic Microcirculation in the Isolated Perfused Human Liver. Hepatology 1996, 23, 24–31. [Google Scholar] [CrossRef]
- Choi, B.I.; Chung, J.W.; Itai, Y.; Matsui, O.; Han, J.K.; Han, M.C. Hepatic Abnormalities Related to Blood Flow: Evaluation with Dual-Phase Helical CT. Abdom. Imaging 1999, 24, 340–356. [Google Scholar] [CrossRef]
- Yu, J.S.; Kim, K.W.; Sung, K.B.; Lee, J.T.; Yoo, H.S. Small Arterial-Portal Venous Shunts: A Cause of Pseudolesions at Hepatic Imaging. Radiology 1997, 203, 737–742. [Google Scholar] [CrossRef]
- Lankarani, K.B.; Homayon, K.; Motevalli, D.; Heidari, S.T.; Alavian, S.M.; Malek-Hosseini, S.A. Risk Factors for Portal Vein Thrombosis in Patients with Cirrhosis Awaiting Liver Transplantation in Shiraz, Iran. Hepat. Mon. 2015, 15, e26407. [Google Scholar] [CrossRef] [PubMed]
- Mantaka, A.; Augoustaki, A.; Kouroumalis, E.A.; Samonakis, D.N. Portal Vein Thrombosis in Cirrhosis: Diagnosis, Natural History, and Therapeutic Challenges. Ann. Gastroenterol. 2018, 31, 315–329. [Google Scholar] [CrossRef] [PubMed]
- Dröes, F.C.; Suchodolski, J.S.; Steiner, J.M.; Lidbury, J.A. Prevalence of Portal Vein and Splanchnic Venous Thrombosis in Dogs with Chronic Hepatitis. J. Small Anim. Pract. 2023, 64, 375–383. [Google Scholar] [CrossRef]
- Merli, M.; Nicolini, G.; Angeloni, S.; Rinaldi, V.; De Santis, A.; Merkel, C.; Attili, A.F.; Riggio, O. Incidence and Natural History of Small Esophageal Varices in Cirrhotic Patients. J. Hepatol. 2003, 38, 266–272. [Google Scholar] [CrossRef] [PubMed]
- Mantovani, A.; Tsochatzis, E.A. Epidemiology of Varices and Variceal Bleeding in Liver Cirrhosis; Springer: Berlin/Heidelberg, Germany, 2020. [Google Scholar]
- Slead, T.S.; Gremillion, C.L.; Cohen, E.B.; Tolbert, M.K. Esophageal Varices in Dogs: A Retrospective Case Series. J. Vet. Intern. Med. 2022, 36, 493–499. [Google Scholar] [CrossRef] [PubMed]
- Elwir, S.; Hal, H.; Veith, J.; Schreibman, I.; Kadry, Z.; Riley, T. Radiographical Findings in Patients with Liver Cirrhosis and Hepatic Encephalopathy. Gastroenterol. Rep. 2015, 4, 221–225. [Google Scholar] [CrossRef]
- Shen, L.; Li, J.Q.; Zeng, M.D.; Lu, L.G.; Fan, S.T.; Bao, H. Correlation between Ultrasonographic and Pathologic Diagnosis of Liver Fibrosis Due to Chronic Virus Hepatitis. World J. Gastroenterol. 2006, 12, 1292–1295. [Google Scholar] [CrossRef]
- Hultgren, B.D.; Stevens, J.B.; Hardy, R.M. Inherited, Chronic, Progressive Hepatic Degeneration in Bedlington Terriers with Increased Liver Copper Concentrations: Clinical and Pathologic Observations and Comparison with Other Copper-Associated Liver Diseases. Am. J. Vet. Res. 1986, 47, 365–377. [Google Scholar]






| Total | Compensated | Decompensated | p-Value | ||
|---|---|---|---|---|---|
| Liver margination | Smooth | 0/16 (0%) | 0/11 (0%) | 0/5 (0%) | |
| Irregular | 16/16 (100%) | 11/11 (100%) | 5/5 (100%) | ||
| Nodule distribution | Uniform | 13/16 (81.3%) | 8/11 (72.7%) | 5/5 (100%) | 0.509 |
| Uneven | 3/16 (18.8%) | 3/11 (27.3%) | 0/5 (0%) | ||
| Gallbladder indentation | Present | 7/16 (43.8%) | 6/11(54.5%) | 1/5 (20%) | 0.308 |
| Absent | 9/16 (56.3%) | 5/11 (45.5%) | 4/5 (80%) | ||
| Periportal lymph node enlargement (>5 mm) | Present | 11/16 (68.8%) | 8/11(72.7%) | 3/5 (60%) | 1.000 |
| Absent | 5/16 (31.3%) | 3/11 (27.3%) | 2/5 (40%) | ||
| Portal vein thrombosis | Present | 0/16 (0%) | 0/11 (0%) | 0/5 (0%) | |
| Absent | 16/16 (100%) | 11/11 (100%) | 5/5 (100%) | ||
| Transient hepatic attenuation difference | Present | 7/13 (53.8%) | 4/8 (50%) | 3/5 (60%) | 1.000 |
| Absent | 6/13 (46.2%) | 4/8 (50%) | 2/5 (40%) |
| Attenuation Value (HU) | ||||
|---|---|---|---|---|
| n | Regenerative Nodule | Hepatic Parenchyma | p-Value | |
| Pre-contrast | 16 | 60.28 ± 5.75 | 60.49 ± 6.61 | 0.919 |
| Arterial phase | 13 | 70.62 ± 21.78 | 74.86 ± 29.96 | 0.739 |
| Portal venous phase | 13 | 133.94 ± 34.8 | 136.62 ± 29.68 | 0.822 |
| Delayed phase | 16 | 126.14 ± 23.25 | 128.82 ± 16.43 | 0.700 |
| Total (n = 16) | Compensated (n = 11) | Decompensated (n = 5) | p-Value | |
|---|---|---|---|---|
| Liver volume/body weight (cm3/kg) | 41.0 ± 19.2 | 47.6 ± 16.8 | 26.5 ± 16.8 | 0.038 * |
| PV/Ao ratio | 1.11 ± 0.18 | 1.19 ± 0.15 | 0.93 ± 0.12 | 0.003 * |
| Total (n = 16) | Compensated (n = 11) | Decompensated (n = 5) | p-Value | |
|---|---|---|---|---|
| Albumin (g/dL) | 2.9 (2.0–3.5) | 2.7 (2.0–3.0) | 2.9 (2.0–3.5) | 0.727 |
| Total bilirubin (mg/dL) | 0.3 (0.1–1.1) | 0.25 (0.1–0.4) | 0.6 (0.2–1.1) | 0.373 |
| ALP (U/L) | 623 (170–6536) | 483 (198–6536) | 2102 (170–3134) | 0.727 |
| AST (U/L) | 80 (38–287) | 70 (38–89) | 117 (49–287) | 0.376 |
| ALT (U/L) | 317 (56–793) | 260.5 (56–431) | 422 (270–793) | 0.161 |
| GGT (U/L) | 5 (0–41) | 1.5 (0–25) | 34 (5–41) | 0.100 |
Disclaimer/Publisher’s Note: The statements, opinions and data contained in all publications are solely those of the individual author(s) and contributor(s) and not of MDPI and/or the editor(s). MDPI and/or the editor(s) disclaim responsibility for any injury to people or property resulting from any ideas, methods, instructions or products referred to in the content. |
© 2024 by the authors. Licensee MDPI, Basel, Switzerland. This article is an open access article distributed under the terms and conditions of the Creative Commons Attribution (CC BY) license (https://creativecommons.org/licenses/by/4.0/).
Share and Cite
Lee, H.; Hyun, J.; Eom, K.; Kim, J. Computed Tomographic Findings of Liver Cirrhosis in Dogs: Comparison between Compensated and Decompensated Cirrhosis. Vet. Sci. 2024, 11, 404. https://doi.org/10.3390/vetsci11090404
Lee H, Hyun J, Eom K, Kim J. Computed Tomographic Findings of Liver Cirrhosis in Dogs: Comparison between Compensated and Decompensated Cirrhosis. Veterinary Sciences. 2024; 11(9):404. https://doi.org/10.3390/vetsci11090404
Chicago/Turabian StyleLee, Heesu, Jaeeun Hyun, Kidong Eom, and Jaehwan Kim. 2024. "Computed Tomographic Findings of Liver Cirrhosis in Dogs: Comparison between Compensated and Decompensated Cirrhosis" Veterinary Sciences 11, no. 9: 404. https://doi.org/10.3390/vetsci11090404
APA StyleLee, H., Hyun, J., Eom, K., & Kim, J. (2024). Computed Tomographic Findings of Liver Cirrhosis in Dogs: Comparison between Compensated and Decompensated Cirrhosis. Veterinary Sciences, 11(9), 404. https://doi.org/10.3390/vetsci11090404

