Cervical Disc Extrusion with Dorsal Migration in a Pet Rabbit
Abstract
Simple Summary
Abstract
1. Introduction
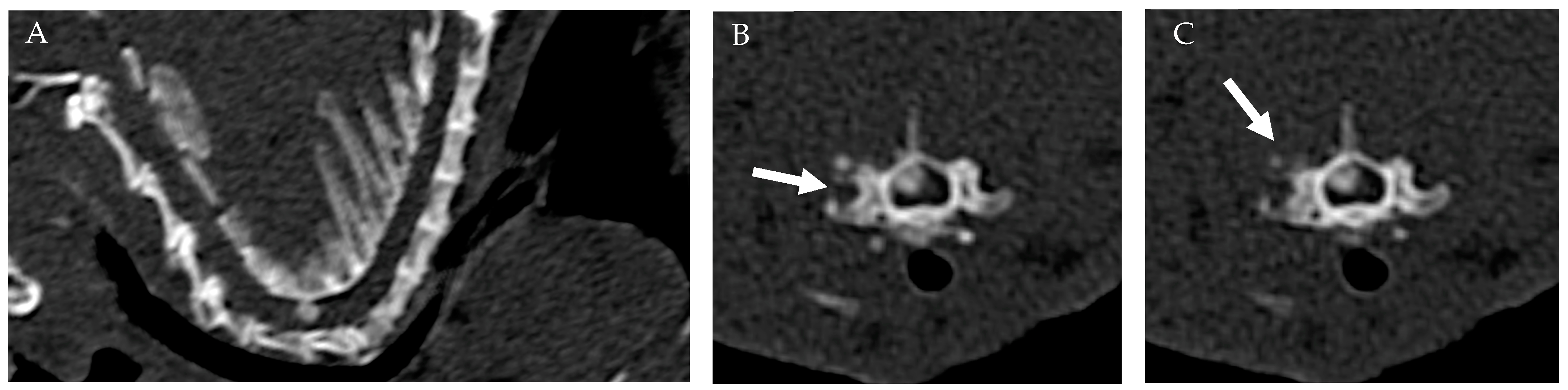
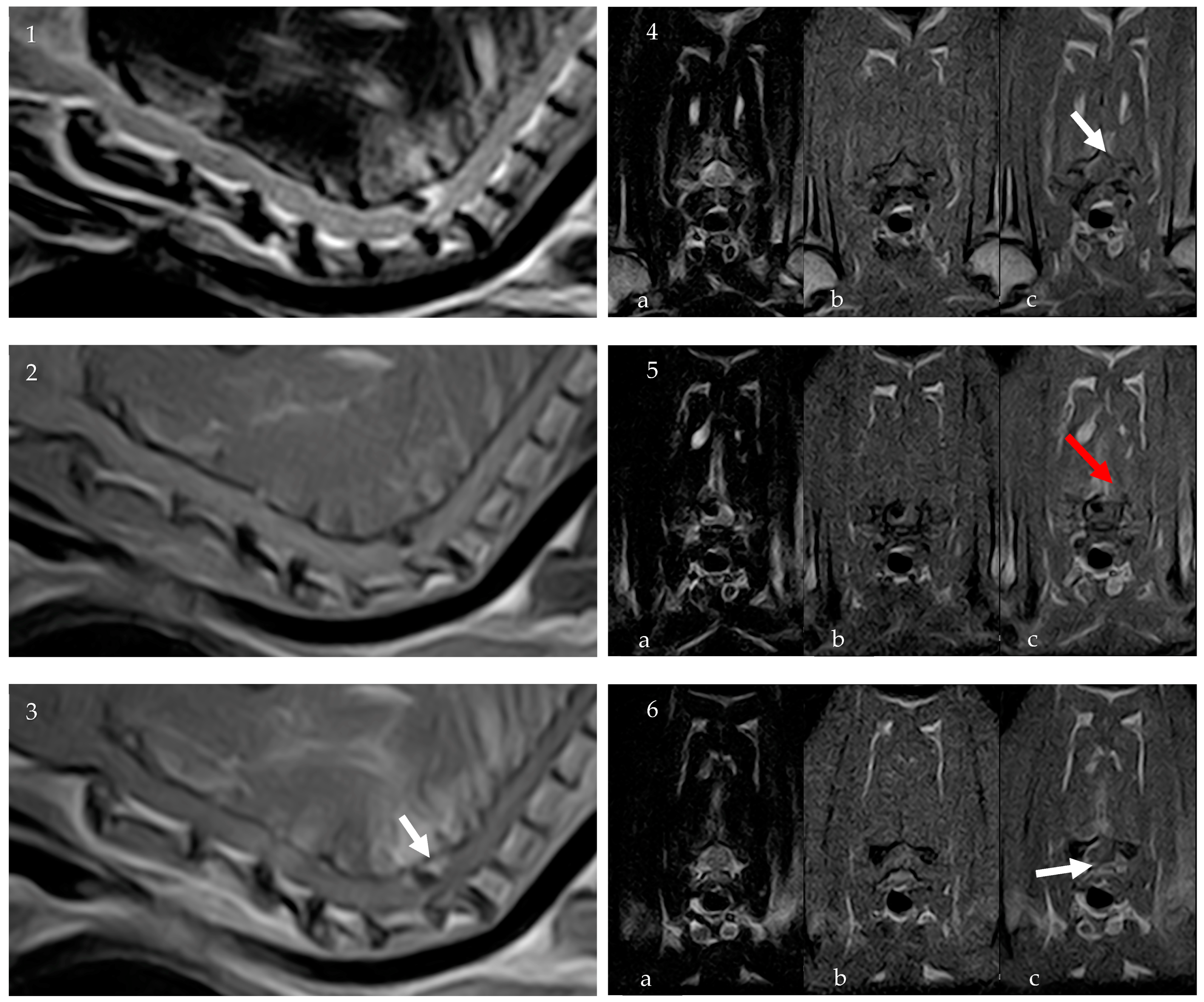
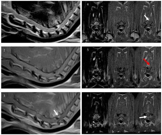
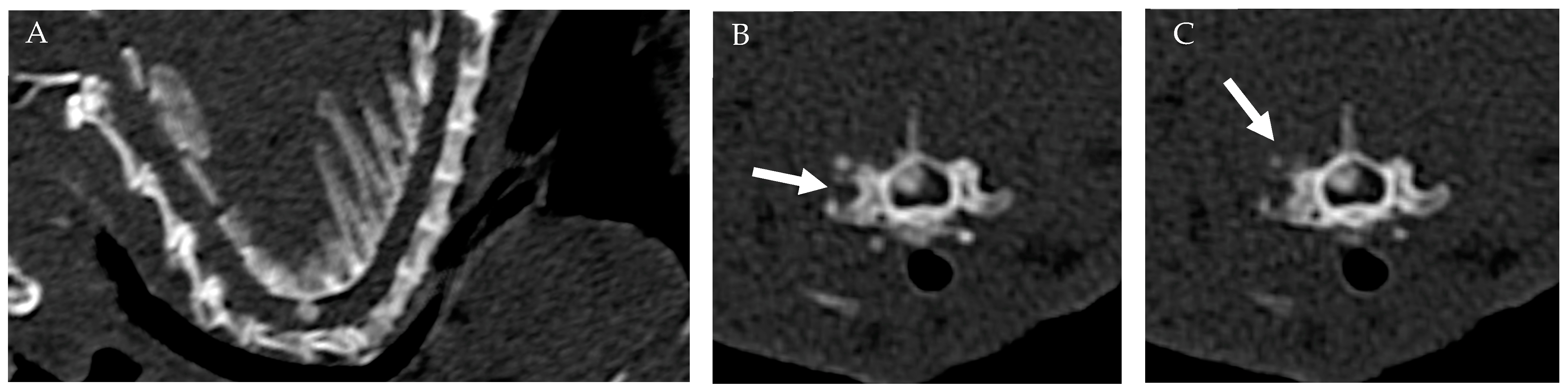
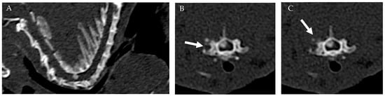
2. Case Description
3. Discussion
4. Conclusions
Supplementary Materials
Author Contributions
Funding
Institutional Review Board Statement
Informed Consent Statement
Data Availability Statement
Conflicts of Interest
References
- Bibbiani, L.; Gelendi, S.; Bernardini, M.; Balducci, F.; Contiero, B.; Canal, S. Prevalence, Clinical Presentation and MRI of Intervertebral Disc Herniations in Cats. J. Feline Med. Surg. 2022, 24, e443–e452. [Google Scholar] [CrossRef]
- De Decker, S.; Warner, A.-S.; Volk, H.A. Prevalence and Breed Predisposition for Thoracolumbar Intervertebral Disc Disease in Cats. J. Feline Med. Surg. 2017, 19, 419–423. [Google Scholar] [CrossRef] [PubMed]
- Bergknut, N.; Egenvall, A.; Hagman, R.; Gustås, P.; Hazewinkel, H.A.W.; Meij, B.P.; Lagerstedt, A.-S. Incidence of Intervertebral Disk Degeneration–Related Diseases and Associated Mortality Rates in Dogs. J. Am. Vet. Med. Assoc. 2012, 240, 1300–1309. [Google Scholar] [CrossRef]
- Amey, J.A.; Liatis, T.; Cherubini, G.B.; De Decker, S.; Foreman, M.H. Outcomes of Surgically and Conservatively Managed Thoracolumbar and Lumbosacral Intervertebral Disc Herniations in Cats. J. Vet. Intern. Med. 2024, 38, 247–257. [Google Scholar] [CrossRef]
- Smolders, L.A.; Bergknut, N.; Grinwis, G.C.M.; Hagman, R.; Lagerstedt, A.-S.; Hazewinkel, H.A.W.; Tryfonidou, M.A.; Meij, B.P. Intervertebral Disc Degeneration in the Dog. Part 2: Chondrodystrophic and Non-Chondrodystrophic Breeds. Vet. J. 2013, 195, 292–299. [Google Scholar] [CrossRef] [PubMed]
- Kozlov, N.; Pozyabin, S.; Bhattarai, B.; Liptak, T.; Fuchs, J.; Maresova, S.; Kuricova, M. Surgical Management of Intervertebral Disc Extrusion in a Rabbit. J. Small Anim. Pract. 2022, 63, 570. [Google Scholar] [CrossRef] [PubMed]
- Gruber, A.; Pakozdy, A.; Weissenböck, H.; Csokai, J.; Künzel, F. A Retrospective Study of Neurological Disease in 118 Rabbits. J. Comp. Pathol. 2009, 140, 31–37. [Google Scholar] [CrossRef]
- Meredith, A.; Lord, B. BSAVA Manual of Rabbit Medicine; British Small Animal Veterinary Association: Quedgeley, UK, 2014; ISBN 978-1-905319-49-7. [Google Scholar]
- Meredith, A.L.; Richardson, J. Neurological Diseases of Rabbits and Rodents. J. Exot. Pet Med. 2015, 24, 21–33. [Google Scholar] [CrossRef]
- Baxter, J. Posterior Paralysis in the Rabbit. J. Small Anim. Pract. 2008, 16, 267–271. [Google Scholar] [CrossRef]
- Quesenberry, K.; Carpenter, J.W. Ferrets, Rabbits and Rodents—E-Book: Clinical Medicine and Surgery; Elsevier Health Sciences: Amsterdam, The Netherlands, 2021; ISBN 978-0-323-48435-0. [Google Scholar]
- Della Camera, N.; Sola, S.; Falzone, C. Conservative Treatment of Recurrent Intervertebral Disc Extrusions in a Lionhead Rabbit. Vet. Rec. Case Rep. 2024, 12, e790. [Google Scholar] [CrossRef]
- Armstrong, J.F. Neurologic Assessment and Critical Care of Exotic Animals: Approach to the Neurologic Exam, Species Differences, Prognostic Scales, Commonly Encountered Conditions, Ancillary Diagnostic Tests, and Caring for Neurologically Impaired Patients. Vet. Clin. Exot. Anim. Pract. 2023, 26, 545–566. [Google Scholar] [CrossRef] [PubMed]
- Vernau, K.M.; Osofsky, A.; LeCouteur, R.A. The Neurological Examination and Lesion Localization in the Companion Rabbit (Oryctolagus cuniculus). Vet. Clin. N. Am. Exot. Anim. Pract. 2007, 10, 731–758. [Google Scholar] [CrossRef] [PubMed]
- Reed, S.D.; Shaw, S.; Evans, D.E. Spinal Lymphoma and Pulmonary Filariasis in a Pet Domestic Rabbit (Oryctolagus cuniculus Domesticus). J. VET Diagn. Investig. 2009, 21, 253–256. [Google Scholar] [CrossRef] [PubMed]
- McCullough, A.W.; Guzman, D.S.-M.; Keller, D.; Ellison, M.; Petersen, S.; Sladky, K. Medical Management of Multiple Traumatic Vertebral Subluxations and Fractures in a Rabbit (Oryctolagus cuniculus). J. Exot. Pet Med. 2012, 21, 172–180. [Google Scholar] [CrossRef]
- Crawford, A.H.; Hedley, J.E.; Lam, R.; Drożdżyńska, M.J.; De Decker, S. Surgical Treatment of a Paraspinal Abscess with Osteomyelitis and Spinal Cord Compression in a Rabbit. J. Am. Vet. Med. Assoc. 2017, 251, 340–344. [Google Scholar] [CrossRef] [PubMed]
- Delamaide Gasper, J.A.; Rylander, H.; Mans, C.; Waller, K.R.; Imai, D.M. Surgical Management of Vertebral Synovial Cysts in a Rabbit (Oryctolagus cuniculus). J. Am. Vet. Med. Assoc. 2014, 244, 830–834. [Google Scholar] [CrossRef] [PubMed]
- Nessler, J.N.; Attig, F.; Thöle, M.; Raddatz, B.; Beineke, A.; Fehr, M.; Tipold, A.; Stein, V.M. Cervical Myelopathy Due to Complex Atlanto-axial Malformation Including Partial Atlantal Dorsal Arch Aplasia in a Domestic Rabbit. J. Small Anim. Pract. 2019, 60, 384–389. [Google Scholar] [CrossRef]
- Dickinson, P.J.; Bannasch, D.L. Current Understanding of the Genetics of Intervertebral Disc Degeneration. Front. Vet. Sci. 2020, 7, 431. [Google Scholar] [CrossRef] [PubMed]
- Lee, H.W.; Machin, H.; Adami, C. Peri-Anaesthetic Mortality and Nonfatal Gastrointestinal Complications in Pet Rabbits: A Retrospective Study on 210 Cases. Vet. Anaesth. Analg. 2018, 45, 520–528. [Google Scholar] [CrossRef]
- Fadda, A.; Oevermann, A.; Vandevelde, M.; Doherr, M.G.; Forterre, F.; Henke, D. Clinical and Pathological Analysis of Epidural Inflammation in Intervertebral Disk Extrusion in Dogs. J. Vet. Intern. Med. 2013, 27, 924–934. [Google Scholar] [CrossRef]
- Züger, L.; Fadda, A.; Oevermann, A.; Forterre, F.; Vandevelde, M.; Henke, D. Differences in Epidural Pathology between Cervical and Thoracolumbar Intervertebral Disk Extrusions in Dogs. J. Vet. Intern. Med. 2018, 32, 305–313. [Google Scholar] [CrossRef] [PubMed]
- Głodek, J.; Adamiak, Z.; Przeworski, A. Magnetic Resonance Imaging of Reptiles, Rodents, and Lagomorphs for Clinical Diagnosis and Animal Research. Comp. Med. 2016, 66, 216–219. [Google Scholar] [PubMed]
- Gomes, S.A.; Volk, H.A.; Packer, R.M.; Kenny, P.J.; Beltran, E.; De Decker, S. Clinical and magnetic resonance imaging characteristics of thoracolumbar intervertebral disk extrusions and protrusions in large breed dogs. Vet. Radiol. Ultrasound 2016, 57, 417–426. [Google Scholar] [CrossRef]
- Furtado, A.R.R.; Cherubini, G.B.; Taeymans, O. Low-Field Magnetic Resonance Changes in the Paravertebral Musculature of Dogs with Acute Intervertebral Disc Extrusion. J. Small Anim. Pract. 2019, 60, 367–373. [Google Scholar] [CrossRef] [PubMed]
- Suran, J.N.; Durham, A.; Mai, W.; Seiler, G.S. Contrast Enhancement of Extradural Compressive Material on Magnetic Resonance Imaging. Vet. Radiol. Ultrasound 2011, 52, 10–16. [Google Scholar] [CrossRef] [PubMed]
- Fox, R.R.; Crary, D.D. Hereditary Chondrodystrophy in the Rabbit: Genetics and Pathology of a New Mutant, a Model for Metatropic Dwarfism. J. Hered. 1975, 66, 271–276. [Google Scholar] [CrossRef]
- Jepsen, P.L.; Kinkler, R.J. Chondrodystrophy in a Rabbit. Vet. Med. Small Anim. Clin. 1977, 72, 1374–1375. [Google Scholar]



Disclaimer/Publisher’s Note: The statements, opinions and data contained in all publications are solely those of the individual author(s) and contributor(s) and not of MDPI and/or the editor(s). MDPI and/or the editor(s) disclaim responsibility for any injury to people or property resulting from any ideas, methods, instructions or products referred to in the content. |
© 2024 by the authors. Licensee MDPI, Basel, Switzerland. This article is an open access article distributed under the terms and conditions of the Creative Commons Attribution (CC BY) license (https://creativecommons.org/licenses/by/4.0/).
Share and Cite
Porcarelli, L.; Dell’Era, E.; Collarile, T.; De Palma, V.; Morara, N.; Matiasek, K.; Corlazzoli, D. Cervical Disc Extrusion with Dorsal Migration in a Pet Rabbit. Vet. Sci. 2024, 11, 328. https://doi.org/10.3390/vetsci11070328
Porcarelli L, Dell’Era E, Collarile T, De Palma V, Morara N, Matiasek K, Corlazzoli D. Cervical Disc Extrusion with Dorsal Migration in a Pet Rabbit. Veterinary Sciences. 2024; 11(7):328. https://doi.org/10.3390/vetsci11070328
Chicago/Turabian StylePorcarelli, Laura, Elena Dell’Era, Tommaso Collarile, Valeria De Palma, Noemi Morara, Kaspar Matiasek, and Daniele Corlazzoli. 2024. "Cervical Disc Extrusion with Dorsal Migration in a Pet Rabbit" Veterinary Sciences 11, no. 7: 328. https://doi.org/10.3390/vetsci11070328
APA StylePorcarelli, L., Dell’Era, E., Collarile, T., De Palma, V., Morara, N., Matiasek, K., & Corlazzoli, D. (2024). Cervical Disc Extrusion with Dorsal Migration in a Pet Rabbit. Veterinary Sciences, 11(7), 328. https://doi.org/10.3390/vetsci11070328
