Molecular Identification and Survey of Trichomonad Species in Pigs in Shanxi Province, North China
Abstract
Simple Summary
Abstract
1. Introduction
2. Materials and Methods
2.1. Sample Collection and DNA Extraction
2.2. PCR Analysis
2.3. Sequencing and Phylogenetic Analysis
2.4. Statistical Analysis
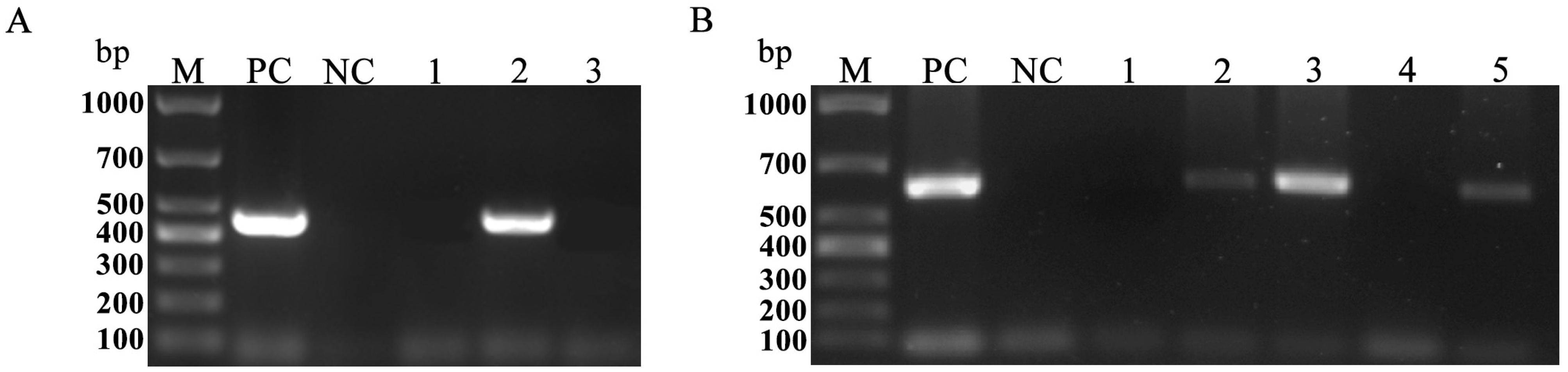
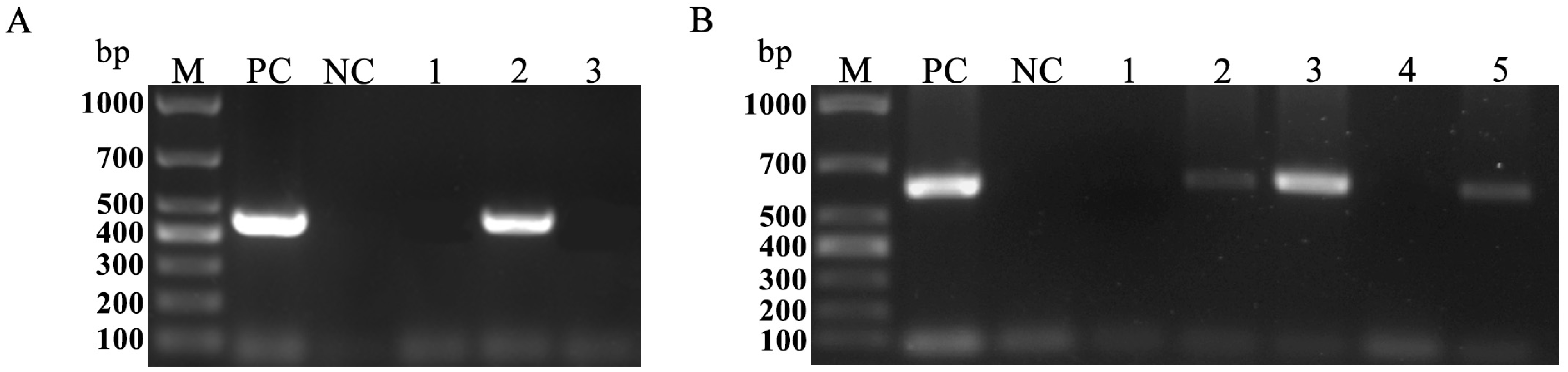
3. Results
3.1. Prevalence of Trichomonads in Pigs
3.2. DNA Sequence Analysis
4. Discussion
5. Conclusions
Author Contributions
Funding
Institutional Review Board Statement
Informed Consent Statement
Data Availability Statement
Conflicts of Interest
References
- Maritz, J.M.; Land, K.M.; Carlton, J.M.; Hirt, R.P. What is the importance of zoonotic trichomonads for human health? Trends Parasitol. 2014, 30, 333–341. [Google Scholar] [CrossRef] [PubMed]
- Ramayo-Caldas, Y.; Prenafeta-Boldú, F.; Zingaretti, L.M.; Gonzalez-Rodriguez, O.; Dalmau, A.; Quintanilla, R.; Ballester, M. Gut eukaryotic communities in pigs: Diversity, composition and host genetics contribution. Anim. Microbiome 2020, 2, 18. [Google Scholar] [CrossRef] [PubMed]
- Dąbrowska, J.; Karamon, J.; Kochanowski, M.; Sroka, J.; Zdybel, J.; Cencek, T. Tritrichomonas foetus as a causative agent of tritrichomonosis in different animal hosts. J. Vet. Res. 2019, 63, 533–541. [Google Scholar] [CrossRef] [PubMed]
- Michi, A.N.; Favetto, P.H.; Kastelic, J.; Cobo, E.R. A review of sexually transmitted bovine trichomoniasis and campylobacteriosis affecting cattle reproductive health. Theriogenology 2016, 85, 781–791. [Google Scholar] [CrossRef] [PubMed]
- Yao, C.; Köster, L.S. Tritrichomonas foetus infection, a cause of chronic diarrhea in the domestic cat. Vet. Res. 2015, 46, 35. [Google Scholar] [CrossRef] [PubMed]
- Bastos, B.F.; Almeida, F.M.; Brener, B. What is known about Tritrichomonas foetus infection in cats? Rev. Bras. Parasitol. Vet. 2019, 28, 1–11. [Google Scholar] [CrossRef] [PubMed]
- Shi, Y.; Jiang, W.; Ma, Z.; Qiu, Y. A case report of pulmonary tritrichomonosis in a pig. BMC Vet. Res. 2017, 13, 348. [Google Scholar] [CrossRef] [PubMed]
- Dimasuay, K.G.; Rivera, W.L. Molecular characterization of trichomonads isolated from animal hosts in the Philippines. Vet. Parasitol. 2013, 196, 289–295. [Google Scholar] [CrossRef] [PubMed]
- Mostegl, M.M.; Richter, B.; Nedorost, N.; Maderner, A.; Dinhopl, N.; Weissenböck, H. Investigations on the prevalence and potential pathogenicity of intestinal trichomonads in pigs using in situ hybridization. Vet. Parasitol. 2011, 178, 58–63. [Google Scholar] [CrossRef] [PubMed]
- Li, W.; Li, W.; Gong, P.; Zhang, C.; Yang, J.; Zhang, X.; Li, J. The prevalence of intestinal trichomonads in Chinese pigs. Vet. Parasitol. 2015, 211, 12–15. [Google Scholar] [CrossRef] [PubMed]
- Li, W.; Li, W.; Gong, P.; Meng, Y.; Li, W.; Zhang, C.; Li, S.; Yang, J.; Li, H.; Zhang, X.; et al. Molecular and morphologic identification of Pentatrichomonas hominis in swine. Vet. Parasitol. 2014, 202, 241–247. [Google Scholar] [CrossRef] [PubMed]
- Abdo, S.M.; Ghallab, M.M.I.; Elhawary, N.M.; Elhadad, H. Pentatrichomonas hominis and other intestinal parasites in school-aged children: Coproscopic survey. J. Parasit. Dis. 2022, 46, 896–900. [Google Scholar] [CrossRef] [PubMed]
- Kim, Y.A.; Kim, H.Y.; Cho, S.H.; Cheun, H.I.; Yu, J.R.; Lee, S.E. PCR detection and molecular characterization of Pentatrichomonas hominis from feces of dogs with diarrhea in the Republic of Korea. Korean J. Parasitol. 2010, 48, 9–13. [Google Scholar] [CrossRef]
- Bastos, B.F.; Brener, B.; de Figueiredo, M.A.; Leles, D.; Mendes-de-Almeida, F. Pentatrichomonas hominis infection in two domestic cats with chronic diarrhea. JFMS Open Rep. 2018, 4, 2055116918774959. [Google Scholar] [CrossRef] [PubMed]
- Zhang, N.; Zhang, H.; Yu, Y.; Gong, P.; Li, J.; Li, Z.; Li, T.; Cong, Z.; Tian, C.; Liu, X.; et al. High prevalence of Pentatrichomonas hominis infection in gastrointestinal cancer patients. Parasit. Vectors 2019, 12, 423. [Google Scholar] [CrossRef] [PubMed]
- Li, W.C.; Wang, K.; Li, Y.; Zhao, L.P.; Xiao, Y.; Gu, Y.F. Survey and molecular characterization of trichomonads in pigs in Anhui Province, east China, 2014. Iran J. Parasitol. 2018, 13, 602–610. [Google Scholar] [PubMed]
- Kumar, S.; Stecher, G.; Li, M.; Knyaz, C.; Tamura, K. MEGA X: Molecular evolutionary genetics analysis across computing platforms. Mol. Biol. Evol. 2018, 35, 1547–1549. [Google Scholar] [CrossRef] [PubMed]
- Bailey, N.P.; Velo-Rego, E.; Hirt, R.P. Sporadic isolation of Tetratrichomonas species from the cattle urogenital tract. Parasitology 2021, 148, 1339–1344. [Google Scholar] [CrossRef] [PubMed]
- Manning, K. Update on the diagnosis and management of Tritrichomonas foetus infections in cats. Top. Companion Anim. Med. 2010, 25, 145–148. [Google Scholar] [CrossRef] [PubMed]
- Dąbrowska, J.; Karamon, J.; Kochanowski, M.; Sroka, J.; Skrzypek, K.; Zdybel, J.; Różycki, M.; Jabłoński, A.; Cencek, T. Tritrichomonas foetus: A study of prevalence in animal hosts in Poland. Pathogens 2020, 9, 203. [Google Scholar] [CrossRef] [PubMed]
- Mueller, K.; Morin-Adeline, V.; Gilchrist, K.; Brown, G.; Šlapeta, J. High prevalence of Tritrichomonas foetus ‘bovine genotype’ in faecal samples from domestic pigs at a farm where bovine trichomonosis has not been reported for over 30 years. Vet. Parasitol. 2015, 212, 105–110. [Google Scholar] [CrossRef] [PubMed]
- Doi, J.; Abe, N.; Oku, Y. Molecular survey of Tritrichomonas suis (=T. foetus) ‘cat’ and ‘cattle’ genotypes in pigs in Japan. J. Vet. Med. Sci. 2013, 75, 475–479. [Google Scholar] [CrossRef] [PubMed]
- Li, W.C.; Huang, J.M.; Fang, Z.; Ren, Q.; Tang, L.; Kan, Z.Z.; Liu, X.C.; Gu, Y.F. Prevalence of Tetratrichomonas buttreyi and Pentatrichomonas hominis in yellow cattle, dairy cattle, and water buffalo in China. Parasitol. Res. 2020, 119, 637–647. [Google Scholar] [CrossRef] [PubMed]



| Factor | Category (County) | No. Tested | No. Positive | Prevalence % (95% CI) | OR (95% CI) | p-Value |
|---|---|---|---|---|---|---|
| Region | Qi | 68 | 55 | 80.88 (71.54–90.23) | 10.92 (5.25–22.72) | <0.001 |
| Shanyin | 111 | 31 | 27.93 (19.58–36.27) | Reference | ||
| Jishan | 183 | 94 | 51.37 (44.12–58.61) | 2.73 (1.64–4.52) | ||
| Age | Month ≤ 4 | 98 | 36 | 36.73 (27.19–46.28) | Reference | 0.008 |
| 4 < Month ≤ 6 | 139 | 73 | 52.52 (44.22–60.82) | 1.91 (1.12–3.23) | ||
| Month > 6 | 125 | 71 | 56.80 (48.12–65.48) | 2.26 (1.32–3.89) | ||
| Total | 362 | 180 | 49.72 (44.57–54.87) |
Disclaimer/Publisher’s Note: The statements, opinions and data contained in all publications are solely those of the individual author(s) and contributor(s) and not of MDPI and/or the editor(s). MDPI and/or the editor(s) disclaim responsibility for any injury to people or property resulting from any ideas, methods, instructions or products referred to in the content. |
© 2024 by the authors. Licensee MDPI, Basel, Switzerland. This article is an open access article distributed under the terms and conditions of the Creative Commons Attribution (CC BY) license (https://creativecommons.org/licenses/by/4.0/).
Share and Cite
Wang, Z.-R.; Fan, Q.-X.; Wang, J.-L.; Zhang, S.; Wang, Y.-X.; Zhang, Z.-D.; Gao, W.-W.; Zhu, X.-Q.; Liu, Q. Molecular Identification and Survey of Trichomonad Species in Pigs in Shanxi Province, North China. Vet. Sci. 2024, 11, 203. https://doi.org/10.3390/vetsci11050203
Wang Z-R, Fan Q-X, Wang J-L, Zhang S, Wang Y-X, Zhang Z-D, Gao W-W, Zhu X-Q, Liu Q. Molecular Identification and Survey of Trichomonad Species in Pigs in Shanxi Province, North China. Veterinary Sciences. 2024; 11(5):203. https://doi.org/10.3390/vetsci11050203
Chicago/Turabian StyleWang, Zi-Rui, Qing-Xin Fan, Jin-Long Wang, Shuo Zhang, Yu-Xuan Wang, Ze-Dong Zhang, Wen-Wei Gao, Xing-Quan Zhu, and Qing Liu. 2024. "Molecular Identification and Survey of Trichomonad Species in Pigs in Shanxi Province, North China" Veterinary Sciences 11, no. 5: 203. https://doi.org/10.3390/vetsci11050203
APA StyleWang, Z.-R., Fan, Q.-X., Wang, J.-L., Zhang, S., Wang, Y.-X., Zhang, Z.-D., Gao, W.-W., Zhu, X.-Q., & Liu, Q. (2024). Molecular Identification and Survey of Trichomonad Species in Pigs in Shanxi Province, North China. Veterinary Sciences, 11(5), 203. https://doi.org/10.3390/vetsci11050203

