Shape of the Doppler Sonographic Systolic Blood Flow Profile of the Pulmonary Artery of Healthy Racing Pigeons and the Influence of Anesthesia
Simple Summary
Abstract
1. Introduction
2. Materials and Methods
2.1. Examined Racing Pigeons
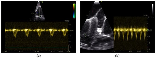
2.2. Doppler Sonographic Examination
2.3. Anesthesia
2.4. Measurements of the Doppler Blood Flow Profile
2.5. Statistical Analysis
3. Results
3.1. Shape of PAFP and AOFP
3.2. Influence of the Heart Rate on the Shape of the PAFP and AOFP
3.3. Influence of Anaesthesia with Isoflurane on the Shape of the PAFP and AOFP
3.4. Correlation of the Blood Flow Velocities with the Shape of the PAFP and AOFP
3.5. Correlation of Pulmonary and Aortic Blood Flow Pattern with Weight, Age, Sex, and Heart Score
4. Discussion
5. Conclusions
Author Contributions
Funding
Institutional Review Board Statement
Informed Consent Statement
Data Availability Statement
Acknowledgments
Conflicts of Interest
References
- Boon, J.A. Manual of Veterinary Echocardiography, 1st ed.; Blackwell Publishing: Oxford, UK, 2006. [Google Scholar]
- Kirberger, R.M.; Bland-van den Berg, P.; Darazs, B. Doppler echocardiography in the normal dog: Part I Velocity findings and flow patterns. Vet. Radiol. Ultrasound 1992, 33, 370–379. [Google Scholar] [CrossRef]
- Kirberger, R.M.; Bland-van den Berg, P.; Grimbeek, R.J. Doppler echocardiography in the normal dog: Part II Factors influencing blood flow velocities and a comparison between left and right heart blood flow. Vet. Radiol. Ultrasound 1992, 33, 380–386. [Google Scholar] [CrossRef]
- Arkles, J.S.; Opotowsky, A.R.; Ojeda, J.; Rogers, F.; Liu, T.; Prassana, V.; Marzec, L.; Palevsky, H.I.; Ferrari, V.A.; Forfia, P.R. Shape of the right ventricular Doppler envelope predicts hemodynamics and right heart function in pulmonary hypertension. Am. J. Respir. Crit. Care Med. 2011, 183, 268–276. [Google Scholar] [CrossRef] [PubMed]
- Legler, M.; Koy, L.; Kummerfeld, N.; Fehr, M. Evaluation of blood flow velocity in the ascending aorta and pulmonary artery of clinically healthy racing pigeons (Columba livia f. dom.) by pulsed-wave Doppler echocardiography. Wiener Tierärztliche Mon. 2019, 106, 179–187. [Google Scholar]
- Legler, M.; Koy, L.; Kummerfeld, N.; Fehr, M. The influence of anesthesia with isoflurane on the pulmonary and aortic blood flow of Racing Pigeons (Columba livia f. domestica) measured by pulsed wave Doppler echocardiography. Open Vet. J. 2019, 9, 18–26. [Google Scholar] [CrossRef]
- Joye, S.; Bhattacharya, S.; Kharrat, A.; Jasani, B.; Giesinger, R.E.; McNamara, P.J.; Jain, A. Shape of Pulmonary Artery Doppler Flow Profile and Right Ventricular Hemodynamics in Neonates. J. Pediatr. 2024, 266, 113864. [Google Scholar] [CrossRef]
- Temple, I.P.; Monfredi, O.; Quigley, G.; Schneider, H.; Zi, M.; Cartwright, E.J.; Boyett, M.R.; Mahadevan, V.S.; Hart, G. Macitentan treatment retards the progression of established pulmonary arterial hypertension in an animal model. Int. J. Cardiol. 2014, 177, 423–428. [Google Scholar] [CrossRef]
- Kitabatake, A.; Inoue, M.; Asao, M.; Masuyama, T.; Tanouchi, J.; Morita, T.; Mishima, M.; Uematsu, M.; Shimazu, T.; Hori, M. Noninvasive evaluation of pulmonary hypertension by a pulsed Doppler technique. Circulation 1983, 68, 302–309. [Google Scholar] [CrossRef]
- Kushwaha, S.P.; Zhao, Q.H.; Liu, Q.Q.; Wu, W.H.; Wang, L.; Yuan, P.; Zhang, R.; Jing, Z.C. Shape of the Pulmonary Artery Doppler-Flow Profile Predicts the Hemodynamics of Pulmonary Hypertension Caused by Left-Sided Heart Disease. Clin. Cardiol. 2016, 39, 150–156. [Google Scholar] [CrossRef]
- López-Candales, A.; Edelman, K. Shape of the right ventricular outflow Doppler envelope and severity of pulmonary hypertension. Eur. Heart J.-Cardiovasc. Imaging 2012, 13, 309–316. [Google Scholar] [CrossRef]
- Legler, M.L.; Beykirch, C.; Pees, M. The shape and clinical interpretation of the pulmonary artery Doppler-flow profile measured by pulsed-wave Doppler echocardiography in healthy and atherosclerotic diseased. In Proceedings of the International Conference on Avian, Herpetological, Exotic Mammal, Zoo and Wildlife Medicine, Ghent, Belgium, 20–24 May 2024. [Google Scholar]
- Pees, M.; Krautwald-Junghanns, M.-E.; Straub, J. Evaluation and treating the cardio-vascular system. In Clinical Avian Medicine, 1st ed.; Harrison, G.J., Lightfoot, T., Eds.; Spix Publishing: Palm Beach, FL, USA, 2006; pp. 379–394. [Google Scholar]
- Fitzgerald, B.C.; Beaufrère, H. Cardiology. In Current Therapy in Avian Medicine and Surgery, 1st ed.; B. L. SPEER (Hrsg.); ELSEVIER: St. Louis, MO, USA, 2016; pp. 252–328. [Google Scholar]
- Sargo, R.; Alves, J.; Silva, F. Feasibility of pulmonary artery blood flow evaluation in 10 wild avian species, a retrospective study . In Proceedings of the International Conference on Avian, Herpetological, Exotic Mammal, Zoo and Wildlife Medicine, Budapest, Hungary, 27–30 March 2022. [Google Scholar]
- Masoudifard, M.; Bidgoli, V.R.; Madani, S.A.; Vahji, A.; Davoodipoor, S.; Vali, Y. Normal echocardiographic findings in healthy pigeons. Iran. J. Vet. Surg. 2016, 11, 7–13. [Google Scholar]
- Fudge, A.M. Laboratory Medicine Avian and Exotic Pets; W.B. Saunders: Philadelphia, PA, USA, 2000; p. 377. [Google Scholar]
- Lumeij, J.T.; Stokhof, A.A. Electrocardiogram of the Racing Pigeon (Columba livia forma domestica). Res. Vet. Sci. 1985, 38, 275–278. [Google Scholar] [CrossRef] [PubMed]
- Riedel, U. Die Ultraschalluntersuchung des Vogels am Beispiel der Brieftaube (Columba livia forma domestica) mit Hilfe der Schnittbildechokardiographie. Doctoral Thesis, Justus-Liebig-Universität Gießen, Gießen, Germany, 1995. [Google Scholar]
- Schulz, M. Morphologische und funktionelle Messungen am Herzen von Brieftauben (Columba livia forma domestica) mit Hilfe der Schnittbildechokardiographie. Doctoral Thesis, Justus-Liebig-Universität Gießen, Gießen, Germany, 1995. [Google Scholar]
- Legler, M.; Koy, L.; Kummerfeld, N.; Fehr, M. Differences between the filling velocities of the left and right heart ventricle in racing pigeons (Columba livia f. domestica) and the influence of anesthesia with isoflurane. Vet. Sci. 2019, 6, 79. [Google Scholar] [CrossRef]
- Kawasaki, T.; Hoka, S.; Okamoto, H.; Okuyama, T.; Takahashi, S. The difference of isoflurane and halothane in ventriculoarterial coupling in dogs. Anesth. Analg. 1994, 79, 681–686. [Google Scholar] [CrossRef] [PubMed]
- Klide, A.M. Cardiopulmonary effects of enflurane and isoflurane in the dog. Am. J. Vet. Res. 1976, 37, 127–131. [Google Scholar] [PubMed]
- Eger, E.I. The pharmacology of isoflurane. Br. J. Anaesth. 1984, 56, 71–99. [Google Scholar]
- Korbel, R. Vergleichende Untersuchungen zur Inhalationsanaesthesie mit Isofluran (Forene) und Sevofluran (SEVOrane) bei Haustauben (Columba livia Gmel., 1789, var. domestica) und Vorstellung eines Referenz-Narkoseprotokolls für Vögel. Tierärztl. Prax. 1998, 26, 211–223. [Google Scholar]
- Touzot-Jourde, G.; Hernandez-Divers, S.J.; Trim, C.M. Cardiopulmonary effects of controlled versus spontaneous ventilation in pigeons anesthetized for coelioscopy. J. Am. Vet. Med. Assoc. 2005, 227, 1424–1428. [Google Scholar] [CrossRef]
- Ginghina, C.; Muraru, D.; Vladaia, A.; Jurcut, R.; Popescu, B.A.; Calin, A.; Giusca, S. Doppler Flow Patterns in the Evaluation of Pulmonary Hypertension. Rom. J. Intern. Med. 2009, 47, 109–121. [Google Scholar]
- Rosenkranz, S.; Gibbs, J.S.; Wachter, R.; De Marco, T.; Vonk-Noordegraaf, A.; Vachiéry, J.L. Left ventricular heart failure and pulmonary hypertension. Eur. Heart J. 2016, 37, 942–954. [Google Scholar] [CrossRef]
- Kubale, V.; Merry, K.; Miller, G.; Diaz, M.R.; Rutland, C.S. Avian Cardiovascular Disease Characteristics, Causes and Genomics. In Application of Genetics and Genomics in Poultry Science; Liu, X., Ed.; InTech: London, UK, 2018; pp. 145–147. [Google Scholar]
- Olkowski, A.A. Pathophysiology of Heart Failure in Broiler Chickens: Structural, Biochemical, and Molecular Characteristics. Poult. Sci. 2007, 86, 999–1005. [Google Scholar] [CrossRef] [PubMed]
- Olkowski, A.A.; Classen, H.L.; Kumor, L. Left atrioventricular valve degeneration, left ventricular dilation and right ventricular failure: A possible association with pulmonary hypertension and aetiology of ascites in broiler chickens. Avian Pathol. 1998, 27, 51–59. [Google Scholar] [CrossRef] [PubMed][Green Version]
- West, J.B.; Watson, R.R.; Fu, Z. Major differences in the pulmonary circulation between birds and mammals. Respir. Physiol. Neurobiol. 2007, 157, 382–390. [Google Scholar] [CrossRef] [PubMed]
- Dzialowski, E.M.; Crossley, D.A. The cardiovascular system. In Sturkie`s Avian Physiology, 6th ed.; Scanes, C.G., Ed.; Academic Press: New York, NY, USA, 2015; pp. 193–283. [Google Scholar]
- Galiè, N.; Hoeper, M.M.; Humbert, M.; Torbicki, A.; Vachiery, J.-L.; Barbera, J.A.; Beghetti, M.; Corris, P.; Gaine, S.; Gibbs, J.S.; et al. Guidelines for the diagnosis and treatment of pulmonary hypertension: The Task Force for the Diagnosis and Treatment of Pulmonary Hypertension of the European Society of Cardiology (ESC) and the European Respiratory Society (ERS), endorsed by the International Society of Heart and Lung Transplantation. Europ. Heart J. 2009, 30, 2493–2537. [Google Scholar]


| Abbreviation | Unit | Doppler Sonographic Parameter |
|---|---|---|
| AO | - | Aorta |
| PA | - | Pulmonary artery |
| AT | ms | Acceleration time |
| DT | ms | Deceleration time |
| ET | ms | Ejection time |
| AP | % | Percentage of AT on ET |
| DP | % | Percentage of DT on ET |
| PAAT | ms | AT of the blood flow of the PA |
| PADT | ms | DT of the blood flow of the PA |
| PAAP (%) | % | AP of the blood flow of the PA |
| PADP (%) | % | DP of the blood flow of the PA |
| PAET (ms) | ms | ET of the blood flow of the PA |
| PAVmax (m/s) | m/s | Peak flow velocities of the PA |
| ERVVmax (m/s) | m/s | Peak E wave velocities of the right heart |
| ARVVmax (m/s) | m/s | Peak A wave velocities of the right heart |
| E-to-A ratio right | - | E-to-A wave velocity ratio of the right heart |
| HRPA (beats/min) | beats/min | Heart rate during measurements of the PA |
| AOAT (ms) | ms | AT of the blood flow of the AO |
| AODT (ms) | ms | DT of the blood flow of the AO |
| AOAP (%) | % | AP of the blood flow of the AO |
| AODP (%) | % | DP of the blood flow of the AO |
| AOET (ms) | ms | ET of the blood flow of the AO |
| AOVmax (m/s) | m/s | Peak flow velocities of the AO |
| ELVVmax (m/s) | m/s | Peak E wave velocities of the left heart |
| ALVVmax (m/s) | m/s | Peak A wave velocities of the left heart |
| E-to-A ratio left | - | E-to-A wave velocity ratio of the left heart |
| HRAO (beats/min) | beats/min | Heart rate during measurement of the AO |
| Parameter | Mean ± SD | Xmin–Xmax | Median | 25% Percentile | 75% Percentile |
|---|---|---|---|---|---|
| PAAT (ms) | 38.1 ± 5.2 | 29.6–56.1 | 38.2 | 34.1 | 41.6 |
| PADT (ms) | 34.0 ± 7.5 | 12.1–53.0 | 34.2 | 28.7 | 38.2 |
| PAAP (%) | 53.3 ± 7.0 | 41.7–82.3 | 52.8 | 48.9 | 58.0 |
| PADP (%) | 46.7 ± 7.0 | 17.7–58.3 | 47.3 | 42.0 | 51.1 |
| PAET (ms) | 71.9 ± 8.3 | 53.6–92.4 | 71.5 | 67.2 | 77.1 |
| PAVmax | 1.08 ± 0.20 | 0.70–1.59 | 1.06 | 0.93 | 1.21 |
| ERVVmax (m/s) | 0.22 ± 0.06 | 0.12–0.42 | 0.20 | 0.19 | 0.25 |
| ARVVmax (m/s) | 0.52 ± 0.09 | 0.31–0.72 | 0.51 | 0.45 | 0.60 |
| E-to-A ratio, right | 0.43 ± 0.11 | 0.25–0.71 | 0.40 | 0.36 | 0.50 |
| HRPA (beats/min) | 207.5 ± 46.0 | 136.0–360.0 | 195.5 | 177.3 | 238.0 |
| AOAT (ms) | 18.9 ± 5.3 | 7.3–38.2 | 17.9 | 15.4 | 22.2 |
| AODT (ms) | 48.3 ± 6.2 | 38.5–72.7 | 47.4 | 44.7 | 50.8 |
| AOAP (%) | 28.1 ± 6.0 | 12.8–40.8 | 27.6 | 24.3 | 32.4 |
| AODP (%) | 71.9 ± 6.0 | 59.2–87.2 | 72.4 | 44.7 | 75.7 |
| AOET (ms) | 71.9 ± 8.3 | 53.6–92.4 | 71.5 | 67.2 | 77.1 |
| AOVmax (m/s) | 1.19 ± 0.15 | 0.79–1.55 | 1.19 | 1.08 | 1.28 |
| ELVVmax (m/s) | 0.37 ± 0.06 | 0.25–0.53 | 0.37 | 0.32 | 0.41 |
| ALVVmax (m/s) | 0.58 ± 0.20 | 0.24–0.96 | 0.57 | 0.42 | 0.72 |
| E-to-A ratio, left | 0.72 ± 0.28 | 0.31–1.63 | 0.64 | 0.50 | 0.91 |
| HRAO (beats/min) | 209.8 ± 44.0 | 118.0–330.0 | 202.0 | 176.0 | 238.0 |
| Flow Profile Parameter | Heart Rate: Awake PA | Heart Rate: Awake AO | Heart Rate: Anesthetized PA | Heart Rate: Anesthetized AO |
|---|---|---|---|---|
| PAAT (ms) | p = 0.02 r = −0.30 | p = 0.07 r = −0.27 | ||
| PADT (ms) | p = < 0.001 r = −0.55 | p = 0.01 r = −0.41 | ||
| PAAP (%) | p = 0.02 r = 0.31 | p = 0.15 r = 0.21 | ||
| PADP (%) | p = 0.02 r = −0.31 | p = 0.15 r = −0.22 | ||
| AOAT (ms) | p = 0.05 r = −0.25 | p = 0.24 r = −0.18 | ||
| AODT (ms) | p = 0.01 r = −0.31 | p = < 0.001 r = −0.52 | ||
| AOAP (%) | p = 0.3 r = −0.13 | p = 0.04 r = 0.3 | ||
| AODP (%) | p = 0.3 r = 0.13 | p = 0.04 r = −0.3 |
| Parameters | Mean ± SD | Xmin–Xmax | Median | 25% Percentile | 75% Percentile |
|---|---|---|---|---|---|
| PAAT (ms) | 51.3 ± 7.1 | 30.3–65.3 | 51.1 | 46.7 | 55.8 |
| PADT (ms) | 51.7 ± 11.5 | 31.8–81.3 | 52.2 | 42.5 | 58.5 |
| PAAP (%) | 50.2 ± 6.5 | 36.9–64.9 | 50.0 | 44.8 | 54.7 |
| PADP (%) | 49.8 ± 6.4 | 35.1–61.6 | 50.0 | 45.3 | 55.2 |
| PAET (ms) | 103.0 ± 13.9 | 78.3–146.6 | 102.0 | 96.3 | 110.9 |
| PAVmax (m/s) | 0.64 ± 0.11 | 0.40–0.88 | 0.64 | 0.56 | 0.71 |
| ERVVmax (m/s) | 0.18 ± 0.06 | 0.03–0.38 | 0.18 | 0.15 | 0.20 |
| ARVVmax (m/s) | 0.47 ± 0.11 | 0.24–0.80 | 0.45 | 0.41 | 0.53 |
| E-to-A ratio right | 0.42 ± 0.24 | 0.09–1.58 | 0.37 | 0.32 | 0.45 |
| HRPA (beats/min) | 148.9 ± 30.6 | 98.0–248.0 | 149.0 | 131.0 | 162.0 |
| AOAT (ms) | 25.8 ± 5.2 | 15.7–38.0 | 25.3 | 22.2 | 29.3 |
| AODT (ms) | 64.5 ± 12.8 | 37.6–102.6 | 64.7 | 55.5 | 70.2 |
| AOAP (%) | 28.9 ± 5.3 | 18.7–39.6 | 28.3 | 24.7 | 32.4 |
| AODP (%) | 71.1 ± 5.3 | 60.4–81.3 | 71.7 | 67.6 | 75.3 |
| AOET (ms) | 90.3 ± 14.8 | 62.2–137.6 | 88.7 | 80.9 | 95.7 |
| AOVmax (m/s) | 0.95 ± 0.15 | 0.60–1.22 | 0.94 | 0.88 | 1.05 |
| ELVVmax (m/s) | 0.34 ± 0.07 | 0.26–0.52 | 0.33 | 0.29 | 0.38 |
| ALVVmax (m/s) | 0.42 ± 0.12 | 0.22–0.67 | 0.41 | 0.33 | 0.51 |
| E-to-A ratio left | 0.87 ± 0.32 | 0.44–1.79 | 0.78 | 0.62 | 1.14 |
| HRAO (beats/min) | 154.6 ± 45.2 | 72.0–270.0 | 144.0 | 130.5 | 177.5 |
| FP Parameter | Eleft | Aleft | E-to-Aleft | Eright | Aright | E-to-Aright | PA | Ao |
|---|---|---|---|---|---|---|---|---|
| PAAT (ms) | p = 0.32 r = 0.17 | p = 0.5 r = −0.12 | p = 0.28 r = 0.18 | p = 0.91 r = 0.02 | p = 0.62 r = −0.09 | p = 0.9 r = 0.03 | p = 0.03 r = −0.28 | p = 0.43 r = −0.11 |
| PADT (ms) | p = 0.37 r = 0.15 | p = 0.08 r = 0.30 | p = 0.21 r = −0.22 | p = 0.09 r = 0.29 | p = 0.34 r = 0.17 | p = 0.9 r = 0.02 | p = 0.001 r = −0.42 | p = 0.42 r =- 0.11 |
| PAAP (%) | p = 0.84 r = 0.03 | p = 0.03 r = −0.37 | p = 0.03 r = 0.37 | p = 0.40 r = −0.14 | p = 0.56 r = −0.10 | p = 0.96 r = 0.01 | p = 0.09 r = 0.22 | p = 0.57 r = 0.08 |
| PADP (%) | p =0.80 r = −0.04 | p = 0.02 r = 0.37 | p = 0.02 r = −0.38 | p = 0.36 r = 0.16 | p = 0.54 r = 0.10 | p = 0.97 r = 0.01 | p = 0.09 r = −0.22 | p = 0.57 r = −0.08 |
| AOAT (ms) | p = 0.85 r = 0.03 | p = 0.17 r = 0.22 | p = 0.07 r = −0.29 | p = 0.38 r = −0.14 | p = 0.4 r = −0.33 | p = 0.26 r = −0.18 | p = 0.82 r = −0.03 | p = 0.29 r = 0.14 |
| AODT (ms) | p = 0.25 r = −0.19 | p = 0.36 r = 0.15 | p = 0.21 r = −0.20 | p = 0.79 r = 0.04 | p = 0.96 r = 0.01 | p = 0.9 r = −0.02 | p = 0.08 r = −0.24 | p = 0.98 r = 0.01 |
| AOAP (%) | p = 0.76 r = 0.05 | p = 0.44 r = 0.13 | p = 0.25 r = −0.19 | p = 0.32 r = −0.16 | p = 0.60 r = −0.09 | p = 0.37 r = −0.15 | p = 0.78 r = 0.04 | p = 0.56 r = 0.08 |
| AODP (%) | p = 0.76 r = −0.05 | p = 0.44 r = −0.13 | p = 0.25 r = 0.19 | p = 0.32 r = 0.16 | p = 0.60 r = 0.09 | p = 0.37 r = 0.15 | p = 0.78 r = −0.04 | p = 0.56 r = −0.08 |
| FP Parameter | Eleft | Aleft | E-to-Aleft | Eright | Aright | E-to-Aright | PA | Ao |
|---|---|---|---|---|---|---|---|---|
| PAAT (ms) | p = 0.21 r = 0.23 | p = 0.08 r = −0.32 | p = 0.05 r = 0.35 | p = 0.25 r = −0.22 | p = 0.6 r = −0.1 | p = 0.66 r = 0.09 | p = 0.15 r = −0.22 | p = 0.72 r = 0.06 |
| PADT (ms) | p = 0.21 r = 0.23 | p = 0.67 r = 0.08 | p = 0.93 r = 0.17 | p = 0.14 r = 0.28 | p = 0.03 r = 0.40 | p = 0.42 r = −0.16 | p = 0.12 r = 0.23 | p = 0.71 r = −0.07 |
| PAAP (%) | p = 0.65 r = −0.08 | p = 0.22 r = −0.23 | p = 0.46 r = 0.14 | p = 0.09 r = −0.32 | p = 0.13 r = −0.27 | p = 0.59 r = 0.11 | p = 0.03 r = −0.32 | p = 0.82 r = 0.04 |
| PADP (%) | p = 0.64 r = 0.09 | p = 0.22 r = 0.23 | p = 0.46 r = −0.14 | p = 0.10 r = 0.31 | p = 0.11 r = 0.28 | p = 0.55 r = −0.12 | p = 0.03 r = 0.32 | p = 0.80 r = −0.04 |
| AOAT (ms) | p = 0.1 r = 0.26 | p = 0.23 r = −0.19 | p = 0.11 r = 0.26 | p = 0.91 r = −0.02 | p = 0.29 r = 0.17 | p = 0.63 r = −0.08 | p = 0.33 r = 0.18 | p = 0.69 r = 0.06 |
| AODT (ms) | p = 0.03 r = 0.33 | p = 0.55 r = −0.1 | p = 0.03 r = 0.33 | p = 0.43 r = 0.13 | p = 0.08 r = 0.27 | p = 0.45 r = −0.13 | p = 0.82 r = −0.04 | p = 0.01 r = 0.38 |
| AOAP (%) | p = 0.57 r = −0.09 | p = 0.85 r = −0.03 | p = 0.53 r = −0.10 | p = 0.47 r = −0.12 | p = 0.79 r = −0.04 | p = 0.95 r = −0.01 | p = 0.45 r = 0.13 | p = 0.06 r = −0.28 |
| AODP (%) | p = 0.57 r = 0.09 | p = 0.85 r = 0.03 | p = 0.53 r = 0.10 | p = 0.47 r = 0.12 | p = 0.79 r = 0.04 | p = 0.95 r = 0.01 | p = 0.45 r = −0.13 | p = 0.06 r =0.28 |
| Awake Pigeons | Anesthetized Pigeons | |||
|---|---|---|---|---|
| FP Parameters | Body Mass | Heart Score | Body Mass | Heart Score |
| PAAT (ms) | p = 0.22 r = 0.16 | p = 0.03 r = 0.29 | p = 0.04 r = 0.32 | p = 0.15 r = 0.22 |
| PADT (ms) | p = 0.99 r = 0.01 | p = 0.32 r = 0.13 | p = 0.23 r = −0.18 | p = 0.13 r = −0.23 |
| PAAP (%) | p = 0.54 r = 0.08 | p = 0.02 r = 0.33 | p = 0.03 r = 0.33 | p = 0.02 r = 0.33 |
| PADP (%) | p = 0.56 r = −0.08 | p = 0.02 r = −0.34 | p = 0.03 r = −0.32 | p = 0.02 r = −0.34 |
| AOAT (ms) | p = 0.23 r = 0.15 | p = 0.60 r = −0.68 | p = 0.32 r = −0.16 | p = 0.45 r = −0.12 |
| AODT (ms) | p = 0.63 r = −0.06 | p = 0.61 r = −0.07 | p = 0.26 r = −0.17 | p = 0.91 r = −0.02 |
| AOAP (%) | p = 0.10 r = 0.21 | p = 0.7 r = −0.05 | p = 0.78 r = 0.04 | p = 0.58 r = −0.08 |
| AODP (%) | p = 0.10 r = −0.21 | p = 0.70 r = 0.05 | p = 0.78 r = −0.04 | p = 0.58 r = 0.08 |
Disclaimer/Publisher’s Note: The statements, opinions and data contained in all publications are solely those of the individual author(s) and contributor(s) and not of MDPI and/or the editor(s). MDPI and/or the editor(s) disclaim responsibility for any injury to people or property resulting from any ideas, methods, instructions or products referred to in the content. |
© 2024 by the authors. Licensee MDPI, Basel, Switzerland. This article is an open access article distributed under the terms and conditions of the Creative Commons Attribution (CC BY) license (https://creativecommons.org/licenses/by/4.0/).
Share and Cite
Girard, C.; Koy, L.; Kummerfeld, N.; Pees, M.; Fehr, M.; Legler, M. Shape of the Doppler Sonographic Systolic Blood Flow Profile of the Pulmonary Artery of Healthy Racing Pigeons and the Influence of Anesthesia. Vet. Sci. 2024, 11, 679. https://doi.org/10.3390/vetsci11120679
Girard C, Koy L, Kummerfeld N, Pees M, Fehr M, Legler M. Shape of the Doppler Sonographic Systolic Blood Flow Profile of the Pulmonary Artery of Healthy Racing Pigeons and the Influence of Anesthesia. Veterinary Sciences. 2024; 11(12):679. https://doi.org/10.3390/vetsci11120679
Chicago/Turabian StyleGirard, Carolin, Lajos Koy, Norbert Kummerfeld, Michael Pees, Michael Fehr, and Marko Legler. 2024. "Shape of the Doppler Sonographic Systolic Blood Flow Profile of the Pulmonary Artery of Healthy Racing Pigeons and the Influence of Anesthesia" Veterinary Sciences 11, no. 12: 679. https://doi.org/10.3390/vetsci11120679
APA StyleGirard, C., Koy, L., Kummerfeld, N., Pees, M., Fehr, M., & Legler, M. (2024). Shape of the Doppler Sonographic Systolic Blood Flow Profile of the Pulmonary Artery of Healthy Racing Pigeons and the Influence of Anesthesia. Veterinary Sciences, 11(12), 679. https://doi.org/10.3390/vetsci11120679

