Successful Treatment of Renal Cell Carcinoma Associated with Hypertrophic Osteopathy in a Cat
Simple Summary
Abstract
1. Introduction
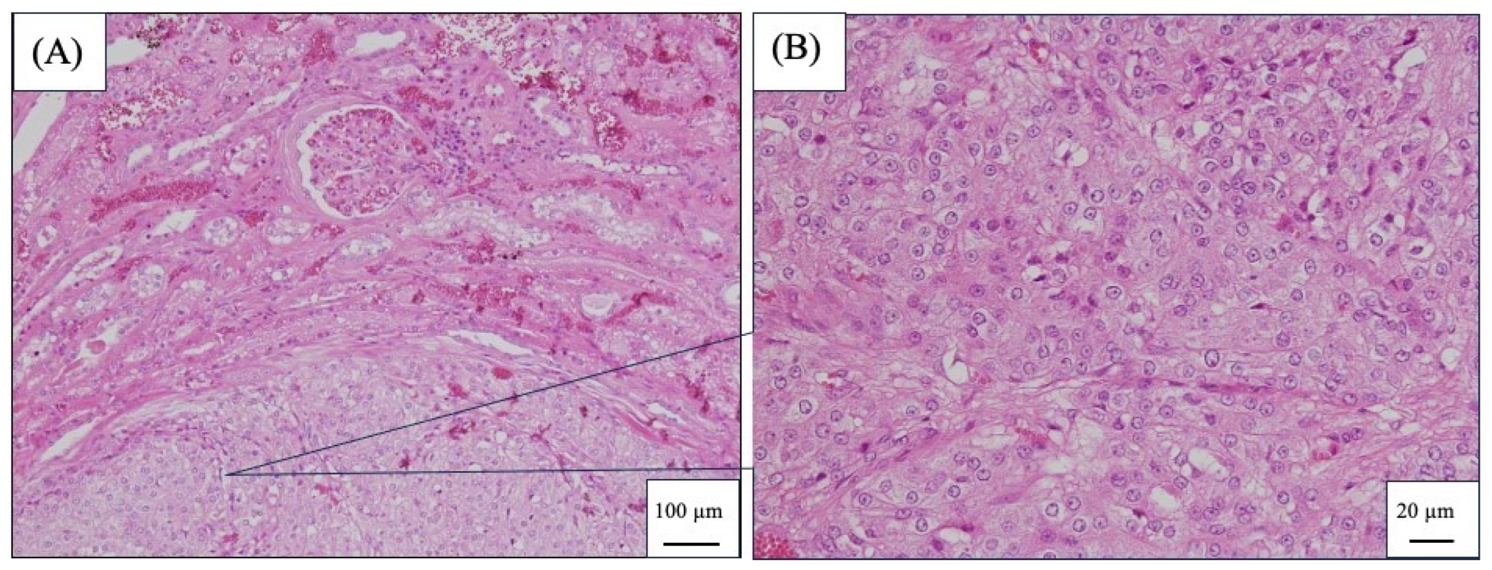
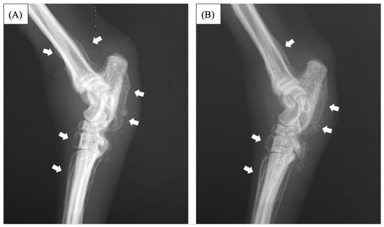
2. Case Description
3. Discussion
4. Conclusions
Author Contributions
Funding
Institutional Review Board Statement
Informed Consent Statement
Data Availability Statement
Conflicts of Interest
References
- Guillermo Couto, C. What is new on feline lymphoma? J. Feline Med. Surg. 2001, 3, 171–176. [Google Scholar] [CrossRef] [PubMed]
- Henry, C.; Turnquist, S.; Smith, A.; Graham, J.; Thamm, D.; O’brien, M.; Clifford, C. Primary renal tumours in cats: 19 cases (1992–1998). J. Feline Med. Surg. 1999, 1, 165–170. [Google Scholar] [CrossRef] [PubMed]
- Ocarino, N.D.; Fukushima, F.B.; Gomes, A.D.; Bueno, D.F.; de Oliveira, T.S.; Serakides, R. Idiopathic hypertrophic osteopathy in a cat. J. Feline Med. Surg. 2006, 8, 345–348. [Google Scholar] [CrossRef] [PubMed]
- Çetinkaya, M.; Yardimci, B.; Yardimci, C. Hypertrophic osteopathy in a dog associated with intra-thoracic lesions: A case report and a review. Vet. Med. 2011, 56, 595–601. [Google Scholar] [CrossRef]
- Johnson, R.L.; Lenz, S.D. Hypertrophic osteopathy associated with a renal adenoma in a cat. J. Vet. Diagn. Investig. 2011, 23, 171–175. [Google Scholar] [CrossRef]
- Elhamiani Khatat, S.; Vallefuoco, R.; El Mrini, M.; Canonne-Guibert, M.; Rosenberg, D. Renal adenocarcinoma associated with hypertrophic osteopathy in a cat. J. Feline Med. Surg. Open Rep. 2020, 6, 2055116920962433. [Google Scholar] [CrossRef]
- Lee, J.-H.; Lee, J.-H.; Yoon, H.-Y.; Kim, N.-H.; Sur, J.-H.; Jeong, S.-W. Hypertrophic osteopathy associated with pulmonary adenosquamous carcinoma in a dog. J. Vet. Med. Sci. 2012, 74, 667–672. [Google Scholar] [CrossRef][Green Version]
- Martínez-Lavín, M. Hypertrophic osteoarthropathy. Best Pract. Res. Clin. Rheumatol. 2020, 34, 101507. [Google Scholar] [CrossRef]
- Huang, C.-H.; Jeng, C.-R.; Lin, C.-T.; Yeh, L.-S. Feline hypertrophic osteopathy: A collection of seven cases in Taiwan. J. Am. Anim. Hosp. Assoc. 2010, 46, 346–352. [Google Scholar] [CrossRef]
- Becker, T.; Perry, R.; Watson, G. Regression of hypertrophic osteopathy in a cat after surgical excision of an adrenocortical carcinoma. J. Am. Anim. Hosp. Assoc. 1999, 35, 499–505. [Google Scholar] [CrossRef]
- Grierson, J.; Burton, C.; Brearley, M. Hypertrophic osteopathy secondary to pulmonary sarcoma in a cat. Vet. Comp. Oncol. 2003, 1, 227–231. [Google Scholar] [CrossRef] [PubMed]
- Kenny, S.A.; Cook, M.R.; Lenz, J.A.; Maritato, K.C.; Skorupski, K.A.; Wustefeld-Janssens, B.G.; Pellin, M.A.; Silveira, C.J.; Veytsman, S.; Selmic, L.E. Clinical outcomes in cats with renal carcinoma undergoing nephrectomy: A retrospective study. Vet. Comp. Oncol. 2023, 21, 587–594. [Google Scholar] [CrossRef] [PubMed]
- Hanzlicek, A.S.; Ganta, C.; Myers, C.B.; Grauer, G.F. Renal transitional-cell carcinoma in two cats with chronic kidney disease. J. Feline Med. Surg. 2012, 14, 280–284. [Google Scholar] [CrossRef] [PubMed]
- Grader, I.; Southard, T.L.; Neaderland, M.H. Renal transitional cell carcinoma with bilateral ocular metastasis in a cat. J. Feline Med. Surg. Open Rep. 2016, 2, 2055116916659516. [Google Scholar] [CrossRef]
- Gómez Selgas, A.; Scase, T.J.; Foale, R.D. Unilateral squamous cell carcinoma of the renal pelvis with hydronephrosis in a cat. J. Feline Med. Surg. 2014, 16, 183–188. [Google Scholar] [CrossRef]
- Evans, D.; Fowlkes, N. Renal leiomyosarcoma in a cat. J. Vet. Diagn. Investig. 2016, 28, 315–318. [Google Scholar] [CrossRef]
- Da Silva, T.O.; Zuliani, F.; Rocha, N.S.; Alves, C.E.F. Renal myxoma in a feline. Acta Sci. Vet. 2019, 47, 422. [Google Scholar] [CrossRef]
- Madere, B.C.; Dedeaux, A.; Negrao Watanabe, T.T.; Wakamatsu, N.; Gaschen, L.; Bennett, R.; Lara, D.; Boudreaux, B. Myxosarcoma associated with the kidney in a cat: Case report. J. Am. Anim. Hosp. Assoc. 2020, 56, e56202. [Google Scholar] [CrossRef]
- Carter, A.J.; Friedlein, R.B.; Last, R.D.; Clift, S. The diagnosis of bilateral primary renal paragangliomas in a cat. J. S. Afr. Vet. Assoc. 2017, 88, 1412. [Google Scholar]
- Bryan, J.N.; Henry, C.J.; Turnquist, S.E.; Tyler, J.W.; Liptak, J.M.; Rizzo, S.A.; Sfiligoi, G.; Steinberg, S.J.; Smith, A.N.; Jackson, T. Primary renal neoplasia of dogs. J. Vet. Intern. Med. 2006, 20, 1155–1160. [Google Scholar] [CrossRef]
- Edmondson, E.; Hess, A.; Powers, B. Prognostic significance of histologic features in canine renal cell carcinomas: 70 nephrectomies. Vet. Pathol. 2015, 52, 260–268. [Google Scholar] [CrossRef] [PubMed]
- Matsumoto, I.; Chambers, J.K.; Nibe, K.; Kinoshita, R.; Nishimura, R.; Nakayama, H.; Uchida, K. Histopathologic and immunohistochemistry findings in feline renal cell carcinoma. Vet. Pathol. 2018, 55, 663–672. [Google Scholar] [CrossRef] [PubMed]
- Barata, P.C.; Rini, B.I. Treatment of renal cell carcinoma: Current status and future directions. CA Cancer J. Clin. 2017, 67, 507–524. [Google Scholar] [CrossRef]
- Nelson, E.C.; Evans, C.P.; Lara, P.N., Jr. Renal cell carcinoma: Current status and emerging therapies. Cancer Treat. Rev. 2007, 33, 299–313. [Google Scholar] [CrossRef]
- Burgess, K.E.; DeRegis, C.J. Urologic oncology. Vet. Clin. Small Anim. Pract. 2019, 49, 311–323. [Google Scholar] [CrossRef]
- Sparkes, A.H.; Caney, S.; Chalhoub, S.; Elliott, J.; Finch, N.; Gajanayake, I.; Langston, C.; Lefebvre, H.P.; White, J.; Quimby, J. ISFM Consensus Guidelines on the Diagnosis and Management of Feline Chronic Kidney Disease. J. Feline Med. Surg. 2016, 18, 219–239. [Google Scholar] [CrossRef]





Disclaimer/Publisher’s Note: The statements, opinions and data contained in all publications are solely those of the individual author(s) and contributor(s) and not of MDPI and/or the editor(s). MDPI and/or the editor(s) disclaim responsibility for any injury to people or property resulting from any ideas, methods, instructions or products referred to in the content. |
© 2024 by the authors. Licensee MDPI, Basel, Switzerland. This article is an open access article distributed under the terms and conditions of the Creative Commons Attribution (CC BY) license (https://creativecommons.org/licenses/by/4.0/).
Share and Cite
Tanaka, T.; Tanaka, M.; Tezuka, T.; Shimada, K.; Tanaka, R. Successful Treatment of Renal Cell Carcinoma Associated with Hypertrophic Osteopathy in a Cat. Vet. Sci. 2024, 11, 669. https://doi.org/10.3390/vetsci11120669
Tanaka T, Tanaka M, Tezuka T, Shimada K, Tanaka R. Successful Treatment of Renal Cell Carcinoma Associated with Hypertrophic Osteopathy in a Cat. Veterinary Sciences. 2024; 11(12):669. https://doi.org/10.3390/vetsci11120669
Chicago/Turabian StyleTanaka, Takashi, Midori Tanaka, Tomoyuki Tezuka, Kazumi Shimada, and Ryo Tanaka. 2024. "Successful Treatment of Renal Cell Carcinoma Associated with Hypertrophic Osteopathy in a Cat" Veterinary Sciences 11, no. 12: 669. https://doi.org/10.3390/vetsci11120669
APA StyleTanaka, T., Tanaka, M., Tezuka, T., Shimada, K., & Tanaka, R. (2024). Successful Treatment of Renal Cell Carcinoma Associated with Hypertrophic Osteopathy in a Cat. Veterinary Sciences, 11(12), 669. https://doi.org/10.3390/vetsci11120669

