First Molecular Identification and Prevalence of Sarcocystis spp. in Sheep Intended for Human Consumption in Shanxi Province, China
Abstract
Simple Summary
Abstract
1. Introduction
2. Materials and Methods
2.1. Sample Collection
2.2. DNA Extraction and PCR Amplification
2.3. Sequence and Phylogenetic Analyses
2.4. Histopathology
2.5. Statistical Analysis
3. Results
3.1. Prevalence of Sarcocystis spp. in Sheep in Shanxi Province
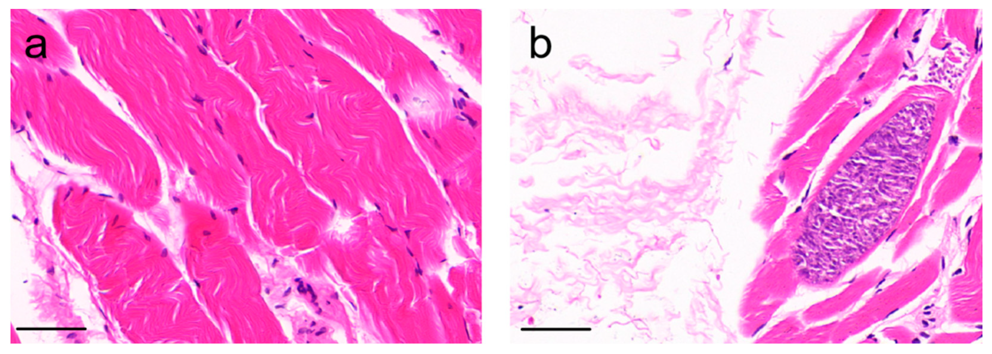
3.2. Sarcocysts in the Muscle of Sheep
3.3. Phylogenetic Analysis
4. Discussion
5. Conclusions
Supplementary Materials
Author Contributions
Funding
Institutional Review Board Statement
Informed Consent Statement
Data Availability Statement
Conflicts of Interest
References
- Fayer, R.; Esposito, D.H.; Dubey, J.P. Human infections with Sarcocystis species. Clin. Microbiol. Rev. 2015, 28, 295–311. [Google Scholar] [CrossRef] [PubMed]
- Fayer, R. Sarcocystis spp. in human infections. Clin. Microbiol. Rev. 2004, 17, 894–902. [Google Scholar] [CrossRef]
- Anvari, D.; Narouei, E.; Hosseini, M.; Narouei, M.R.; Daryani, A.; Shariatzadeh, S.A.; Pagheh, A.S.; Gholami, S.; Sarvi, S.; Sargazi, D.; et al. Sarcocystosis in ruminants of Iran, as neglected food-borne disease: A systematic review and meta-analysis. Acta Parasitol. 2020, 65, 555–568. [Google Scholar] [CrossRef] [PubMed]
- Rosenthal, B.M. Zoonotic Sarcocystis. Res. Vet. Sci. 2021, 136, 151–157. [Google Scholar] [CrossRef] [PubMed]
- Dubey, J.P.; Calero, B.R.; Rosenthal, B.M.; Speer, C.A.; Fayer, R. Sarcocystosis of Animals and Humans, 2nd ed.; CRC Press: Boca Raton, FL, USA, 2016. [Google Scholar]
- Zhu, Z.; Ying, Z.; Feng, Z.; Liu, Q.; Liu, J. The occurrence and meta-analysis of investigations on Sarcocystis infection among ruminants (Ruminantia) in mainland China. Animals 2022, 13, 149. [Google Scholar] [CrossRef] [PubMed]
- Verma, S.K.; Lindsay, D.S.; Grigg, M.E.; Dubey, J.P. Isolation, Culture and Cryopreservation of Sarcocystis species. Curr. Protoc. Microbiol. 2017, 45, 20d.1.1–20d.1.27. [Google Scholar] [CrossRef] [PubMed]
- Feng, Y.; Guo, R.; Sang, X.; Zhang, X.; Li, M.; Li, X.; Yang, N.; Jiang, T. A systematic meta-analysis of global Sarcocystis infection in Sheep and Goats. Pathogens 2023, 12, 902. [Google Scholar] [CrossRef]
- Gokpinar, S.; Yildiz, K.; Gurcan, I.S. Prevalence and concentration of Sarcocystis spp. microscopic cysts in sheep muscles using Percoll gradient centrifugation. Isr. J. Vet. Med. 2014, 69, 16–19. [Google Scholar]
- Al Quraishy, S.; Morsy, K.; Bashtar, A.R.; Ghaffar, F.A.; Mehlhorn, H. Sarcocystis arieticanis (Apicomplexa: Sarcocystidae) infecting the heart muscles of the domestic sheep, Ovis aries (Artiodactyla: Bovidae), from K. S. A. on the basis of light and electron microscopic data. Parasitol. Res. 2014, 113, 3823–3831. [Google Scholar] [CrossRef]
- Tenter, A.M. Current research on Sarcocystis species of domestic animals. Int. J. Parasitol. 1995, 25, 1311–1330. [Google Scholar] [CrossRef] [PubMed]
- Blagojevic, B.; Antic, D. Assessment of potential contribution of official meat inspection and abattoir process hygiene to biological safety assurance of final beef and pork carcasses. Food Control 2014, 36, 174–182. [Google Scholar] [CrossRef]
- Jiang, Y.; Xie, M.; Chen, W.; Talbot, R.; Maddox, J.F.; Faraut, T.; Wu, C.; Muzny, D.M.; Li, Y.; Zhang, W.; et al. The sheep genome illuminates biology of the rumen and lipid metabolism. Science 2014, 344, 1168–1173. [Google Scholar] [CrossRef]
- Li, Q.; Chao, T.; Wang, Y.; Xuan, R.; Guo, Y.; He, P.; Zhang, L.; Wang, J. Comparative metabolomics reveals serum metabolites changes in goats during different developmental stages. Sci. Rep. 2024, 14, 7291. [Google Scholar] [CrossRef] [PubMed]
- Fowler, S.M.; Morris, S.; Hopkins, D.L. Nutritional composition of lamb retail cuts from the carcases of extensively finished lambs. Meat Sci. 2019, 154, 126–132. [Google Scholar] [CrossRef]
- Lan, Z.; Yu, J.; Zhang, X.; Zhang, A.; Deng, R.; Li, B.; Lv, Q.; Ma, X.; Gao, J.; Wang, C. Prevalence and risk factors of ovine and caprine fasciolosis in the last 20 years in China: A systematic review and meta-analysis. Animals 2023, 13, 1687. [Google Scholar] [CrossRef]
- Mugridge, N.B.; Morrison, D.A.; Jäkel, T.; Heckeroth, A.R.; Tenter, A.M.; Johnson, A.M. Effects of sequence alignment and structural domains of ribosomal DNA on phylogeny reconstruction for the protozoan family sarcocystidae. Mol. Biol. Evol. 2000, 17, 1842–1853. [Google Scholar] [CrossRef]
- Bahari, P.; Salehi, M.; Seyedabadi, M.; Mohammadi, A. Molecular identification of macroscopic and microscopic cysts of sarcocystis in sheep in north khorasan province, iran. Int. J. Mol. Cell Med. 2014, 3, 51–56. [Google Scholar]
- Gjerde, B.; Hilali, M.; Mawgood, S.A. Molecular characterisation of three regions of the nuclear ribosomal DNA unit and the mitochondrial cox1 gene of Sarcocystis fusiformis from water buffaloes (Bubalus bubalis) in Egypt. Parasitol. Res. 2015, 114, 3401–3413. [Google Scholar] [CrossRef]
- Kolenda, R.; Ugorski, M.; Bednarski, M. Molecular characterization of Sarcocystis species from Polish roe deer based on ssu rRNA and cox1 sequence analysis. Parasitol. Res. 2014, 113, 3029–3039. [Google Scholar] [CrossRef]
- Dong, H.; Su, R.; Wang, Y.; Tong, Z.; Zhang, L.; Yang, Y.; Hu, J. Sarcocystis species in wild and domestic sheep (Ovis ammon and Ovis aries) from China. BMC Vet. Res. 2018, 14, 377. [Google Scholar] [CrossRef]
- Sun, Y.; Ju, J.; Su, X.; Xie, C.; Li, Y.; Kang, M. Infection survey and morphological characteristics of Sarcocystis spp. in naturally infected Tibetan sheep from Qinghai in northwestern China. Parasitol. Int. 2021, 80, 102219. [Google Scholar] [CrossRef]
- Gjerde, B. Phylogenetic relationships among Sarcocystis species in cervids, cattle and sheep inferred from the mitochondrial cytochrome c oxidase subunit I gene. Int. J. Parasitol. 2013, 43, 579–591. [Google Scholar] [CrossRef]
- Gjerde, B. Sarcocystis species in red deer revisited: With a re-description of two known species as Sarcocystis elongata n. sp. and Sarcocystis truncata n. sp. based on mitochondrial cox1 sequences. Parasitology 2014, 141, 441–452. [Google Scholar] [CrossRef]
- Kimura, M. A simple method for estimating evolutionary rates of base substitutions through comparative studies of nucleotide sequences. J. Mol. Evol. 1980, 16, 111–120. [Google Scholar] [CrossRef]
- Pipia, A.P.; Varcasia, A.; Zidda, A.; Dessì, G.; Panzalis, R.; Tamponi, C.; Marrosu, R.; Tosciri, G.; Sanna, G.; Dore, F.; et al. Cross-sectional investigation on sheep sarcosporidiosis in Sardinia, Italy. Vet. Parasitol. Reg. Stud. Rep. 2016, 3–4, 13–17. [Google Scholar] [CrossRef][Green Version]
- Bittencourt, M.V.; Meneses, I.D.; Ribeiro-Andrade, M.; de Jesus, R.F.; de Araújo, F.R.; Gondim, L.F. Sarcocystis spp. in sheep and goats: Frequency of infection and species identification by morphological, ultrastructural, and molecular tests in Bahia, Brazil. Parasitol. Res. 2016, 115, 1683–1689. [Google Scholar] [CrossRef]
- Fukuyo, M.; Battsetseg, G.; Byambaa, B. Prevalence of Sarcocystis infection in meat-producing animals in Mongolia. Southeast Asian J. Trop. Med. 2002, 33, 490–495. [Google Scholar]
- Dong, H.; Lu, Y.; Yang, Y. Epidemiology and classification of Sarcocystis in sheep and goat. Chin. J. Zoonoses 2017, 33, 828–836. [Google Scholar]
- Hu, J.J.; Huang, S.; Wen, T.; Esch, G.W.; Liang, Y.; Li, H.L. Sarcocystis spp. in domestic sheep in Kunming City, China: Prevalence, morphology, and molecular characteristics. Parasite 2017, 24, 30. [Google Scholar] [CrossRef]
- Gjerde, B. Morphological and molecular characteristics of four Sarcocystis spp. in Canadian moose (Alces alces), including Sarcocystis taeniata n. sp. Parasitol. Res. 2014, 113, 1591–1604. [Google Scholar] [CrossRef]
- Marandykina-Prakienė, A.; Butkauskas, D.; Gudiškis, N.; Juozaitytė-Ngugu, E.; Januškevičius, V.; Rudaitytė-Lukošienė, E.; Prakas, P. Molecular identification of Sarcocystis species in sheep from Lithuania. Animals 2022, 12, 2048. [Google Scholar] [CrossRef] [PubMed]
- El-Morsey, A.; Abdo, W.; Sultan, K.; Elhawary, N.M.; AbouZaid, A.A. Ultrastructural and molecular identification of the sarcocysts of Sarcocystis tenella and Sarcocystis arieticanis infecting domestic sheep (Ovis aries) from Egypt. Acta Parasitol. 2019, 64, 501–513. [Google Scholar] [CrossRef] [PubMed]
- Zhu, Z.; Chen, Y.; Yang, X.; Wang, L.; Liu, Q.; Liu, J. Molecular detection and identification of three intracellular parasites of retail mutton products in Beijing, China. Front. Vet. Sci. 2022, 9, 1018788. [Google Scholar] [CrossRef] [PubMed]



| Geographical Location | Category (County) | No. Tested | No. Positive | Prevalence % (95% CI) | Odds Ratio (95% CI) | p-Value |
|---|---|---|---|---|---|---|
| Northern Shanxi | Youyu | 80 | 21 | 26.25 (16.61–35.89) | 1.45 (0.65–3.25) | <0.001 |
| Huairen | 85 | 23 | 27.06 (17.61–36.50) | 1.52 (0.69–3.35) | ||
| Hunyuan | 61 | 12 | 19.67 (9.70–29.65) | 1 | ||
| Central Shanxi | Qi | 39 | 23 | 58.97 (43.54–74.41) | 5.87 (2.39–14.40) | |
| Pingyao | 50 | 15 | 30.00 (17.30–42.70) | 1.75 (0.73–4.20) | ||
| Taigu | 35 | 10 | 28.57 (13.61–43.54) | 1.63 (0.62–4.30) | ||
| Southern Shanxi | Jishan | 87 | 33 | 37.93 (27.74–48.13) | 2.50 (1.16–5.37) | |
| Fushan | 57 | 31 | 54.39(41.46–67.32) | 4.87 (2.15–11.04) | ||
| Hejin | 55 | 19 | 34.55 (21.98–47.11) | 2.16 (0.93–5.00) | ||
| Xia | 33 | 10 | 30.30 (14.62–45.98) | 1.78 (0.67–4.71) | ||
| Total | 582 | 197 | 33.85 (30.00–37.69) |
Disclaimer/Publisher’s Note: The statements, opinions and data contained in all publications are solely those of the individual author(s) and contributor(s) and not of MDPI and/or the editor(s). MDPI and/or the editor(s) disclaim responsibility for any injury to people or property resulting from any ideas, methods, instructions or products referred to in the content. |
© 2024 by the authors. Licensee MDPI, Basel, Switzerland. This article is an open access article distributed under the terms and conditions of the Creative Commons Attribution (CC BY) license (https://creativecommons.org/licenses/by/4.0/).
Share and Cite
Kang, Y.; Lu, X.-S.; He, Y.-H.; Wang, C.; Wu, Z.-X.; Wang, L.; Wu, X.-J.; Hu, J.-J.; Zhu, X.-Q. First Molecular Identification and Prevalence of Sarcocystis spp. in Sheep Intended for Human Consumption in Shanxi Province, China. Vet. Sci. 2024, 11, 504. https://doi.org/10.3390/vetsci11100504
Kang Y, Lu X-S, He Y-H, Wang C, Wu Z-X, Wang L, Wu X-J, Hu J-J, Zhu X-Q. First Molecular Identification and Prevalence of Sarcocystis spp. in Sheep Intended for Human Consumption in Shanxi Province, China. Veterinary Sciences. 2024; 11(10):504. https://doi.org/10.3390/vetsci11100504
Chicago/Turabian StyleKang, Yu, Xin-Sheng Lu, Yuan-Hui He, Chen Wang, Ze-Xuan Wu, Lu Wang, Xiao-Jing Wu, Jun-Jie Hu, and Xing-Quan Zhu. 2024. "First Molecular Identification and Prevalence of Sarcocystis spp. in Sheep Intended for Human Consumption in Shanxi Province, China" Veterinary Sciences 11, no. 10: 504. https://doi.org/10.3390/vetsci11100504
APA StyleKang, Y., Lu, X.-S., He, Y.-H., Wang, C., Wu, Z.-X., Wang, L., Wu, X.-J., Hu, J.-J., & Zhu, X.-Q. (2024). First Molecular Identification and Prevalence of Sarcocystis spp. in Sheep Intended for Human Consumption in Shanxi Province, China. Veterinary Sciences, 11(10), 504. https://doi.org/10.3390/vetsci11100504

