Development and Application of nanoPCR Method for Detection of Feline Panleukopenia Virus
Abstract
Simple Summary
Abstract
1. Introduction
2. Materials and Methods
2.1. Virus and Clinical Samples
2.2. Primer Design
2.3. Establishment of PCR Reaction
2.4. Optimization of Reaction System and Procedure for nanoPCR
2.5. Sensitivity Detection
2.6. Specificity Testing
2.7. Initial Clinical Application
2.8. Analysis of the Genetic Evolution of Amino Acids
3. Results
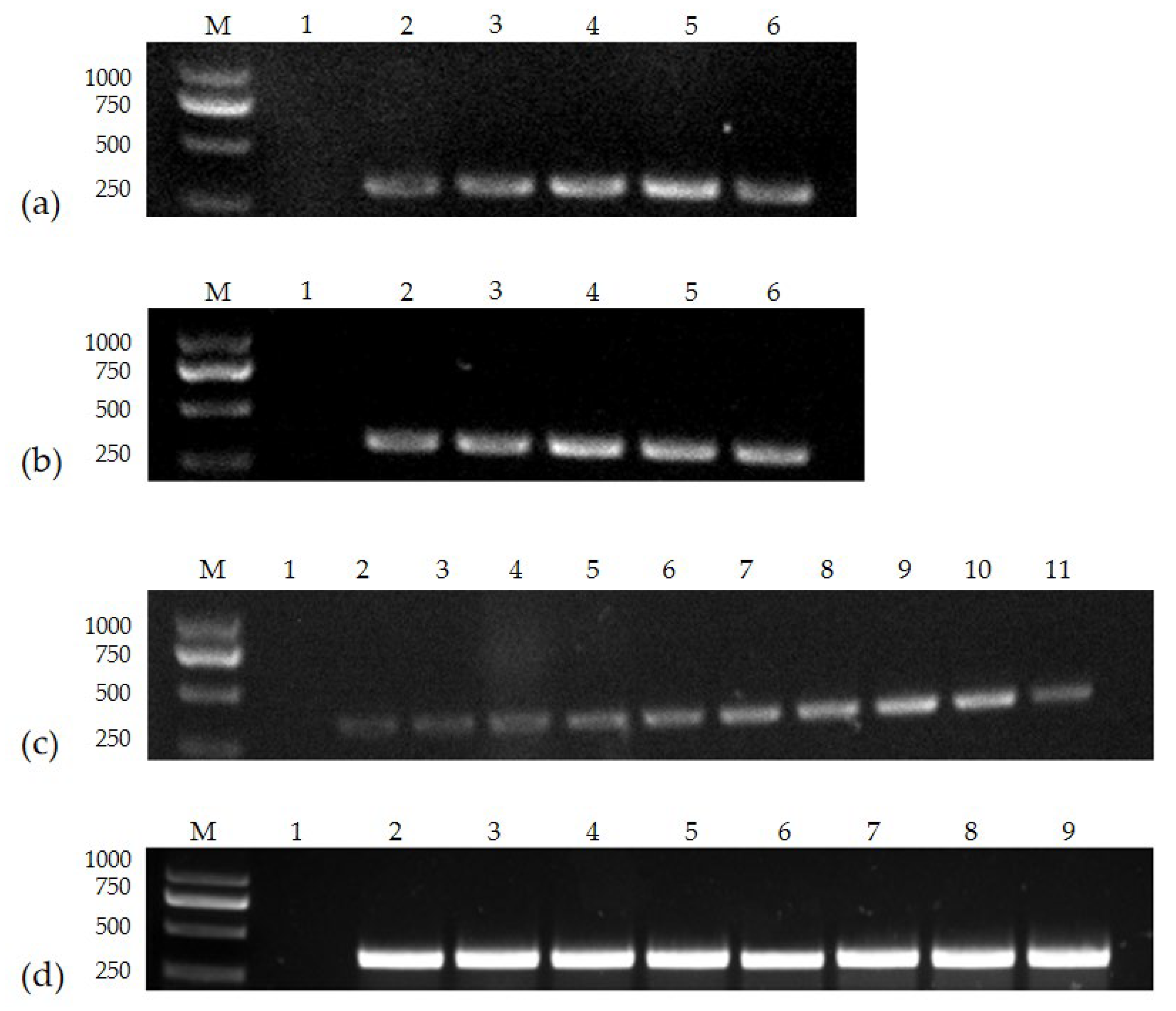
3.1. Establishment of nanoPCR Method and Reaction Optimization
3.2. Sensitivity of the nanoPCR Method
3.3. Specificity of the nanoPCR Method
3.4. Initial Clinical Application of the nanoPCR Method
3.5. Genetic Evolutionary Analysis of Some Positive Samples
4. Discussion
5. Conclusions
Supplementary Materials
Author Contributions
Funding
Institutional Review Board Statement
Informed Consent Statement
Data Availability Statement
Conflicts of Interest
References
- Ikeda, Y.; Shinozuka, J.; Miyazawa, T.; Kurosawa, K.; Izumiya, Y.; Nishimura, Y.; Nakamura, K.; Cai, J.; Fujita, K.; Doi, K.; et al. Apoptosis in feline panleukopenia virus-infected lymphocytes. J. Virol. 1998, 72, 6932–6936. [Google Scholar] [CrossRef] [PubMed]
- Johnson, R.H. Feline panleucopaenia. I. Identification of a virus associated with the syndrome. Res. Vet. Sci. 1965, 6, 466–471. [Google Scholar] [CrossRef]
- Steinel, A.; Munson, L.; Vuuren, M.V.; Truyen, U. Genetic characterization of feline parvovirus sequences from various carnivores. J. Gen. Virol. 2000, 81, 345–350. [Google Scholar] [CrossRef]
- Garigliany, M.; Gilliaux, G.; Jolly, S.; Casanova, T.; Bayrou, C.; Gommeren, K.; Fett, T.; Mauroy, A.; Lévy, E.; Cassart, D.; et al. Feline panleukopenia virus in cerebral neurons of young and adult cats. BMC Vet. Res. 2016, 12, 28. [Google Scholar] [CrossRef]
- Reed, A.P.; Jones, E.V.; Miller, T.J. Nucleotide sequence and genome organization of canine parvovirus. J. Virol. 1988, 62, 266–276. [Google Scholar] [CrossRef]
- Christensen, J.; Tattersall, P. Parvovirus initiator protein NS1 and RPA coordinate replication fork progression in a reconstituted DNA replication system. J. Virol. 2002, 76, 6518–6531. [Google Scholar] [CrossRef]
- Kariatsumari, T.; Horiuchi, M.; Hama, E.; Yaguchi, K.; Ishigurio, N.; Goto, H.; Shinagawa, M. Construction and nucleotide sequence analysis of an infectious DNA clone of the autonomous parvovirus, mink enteritis virus. J. Gen. Virol. 1991, 72 Pt 4, 867–875. [Google Scholar] [CrossRef]
- Govindasamy, L.; Hueffer, K.; Parrish, C.R.; Agbandje-McKenna, M. Structures of host range-controlling regions of the capsids of canine and feline parvoviruses and mutants. J. Virol. 2003, 77, 12211–12221. [Google Scholar] [CrossRef]
- Mani, B.; Baltzer, C.; Valle, N.; Almendral, J.M.; Kempf, C.; Ros, C. Low pH-dependent endosomal processing of the incoming parvovirus minute virus of mice virion leads to externalization of the VP1 N-terminal sequence (N-VP1), N-VP2 cleavage, and uncoating of the full-length genome. J. Virol. 2006, 80, 1015–1024. [Google Scholar] [CrossRef]
- Mullis, K.; Faloona, F.; Scharf, S.; Saiki, R.; Horn, G.; Erlich, H. Specific enzymatic amplification of DNA in vitro: The polymerase chain reaction. Cold Spring Harb. Symp. Quant. Biol. 1986, 51 Pt 1, 263–273. [Google Scholar] [CrossRef]
- Green, M.R.; Sambrook, J. Nested Polymerase Chain Reaction (PCR). Cold Spring Harb. Protoc. 2019, 2019, 436–456. [Google Scholar] [CrossRef]
- Wang, S.; Yang, F.; Li, D.; Qin, J.; Hou, W.; Jiang, L.; Kong, M.; Wu, Y.; Zhang, Y.; Zhao, F.; et al. Clinical application of a multiplex genetic pathogen detection system remaps the aetiology of diarrhoeal infections in Shanghai. Gut Pathog. 2018, 10, 37. [Google Scholar] [CrossRef]
- Harshitha, R.; Arunraj, D.R. Real-time quantitative PCR: A tool for absolute and relative quantification. Biochem. Mol. Biol. Educ. 2021, 49, 800–812. [Google Scholar] [CrossRef]
- Liu, Y.; Wu, H.; Zhou, Q.; Song, Q.; Rui, J.; Zou, B.; Zhou, G. Digital quantification of gene methylation in stool DNA by emulsion-PCR coupled with hydrogel immobilized bead-array. Biosens. Bioelectron. 2017, 92, 596–601. [Google Scholar] [CrossRef]
- Wanzhe, Y.; Jianuan, L.; Peng, L.; Jiguo, S.; Ligong, C.; Juxiang, L. Development of a nano-particle-assisted PCR assay for detection of duck tembusu virus. Lett. Appl. Microbiol. 2016, 62, 63–67. [Google Scholar] [CrossRef]
- Hsieh, M.J.; Yang, W.C. A Field-Deployable Insulated Isothermal PCR (iiPCR) for the Global Surveillance of Toxoplasma gondii Infection in Cetaceans. Animals 2022, 12, 506. [Google Scholar] [CrossRef]
- Song, S.; Liu, Z.; Abubaker, M.A.; Ding, L.; Zhang, J.; Yang, S.; Fan, Z. Antibacterial polyvinyl alcohol/bacterial cellulose/nano-silver hydrogels that effectively promote wound healing. Mater. Sci. Eng. C Mater. Biol. Appl. 2021, 126, 112171. [Google Scholar] [CrossRef] [PubMed]
- Liu, M.; Liu, T.; Chen, X.; Yang, J.; Deng, J.; He, W.; Zhang, X.; Lei, Q.; Hu, X.; Luo, G.; et al. Nano-silver-incorporated biomimetic polydopamine coating on a thermoplastic polyurethane porous nanocomposite as an efficient antibacterial wound dressing. J. Nanobiotechnol. 2018, 16, 89. [Google Scholar] [CrossRef]
- Abram, S.L.; Fromm, K.M. Handling (Nano)Silver as Antimicrobial Agent: Therapeutic Window, Dissolution Dynamics, Detection Methods and Molecular Interactions. Chem. Eur. J. 2020, 26, 10948–10971. [Google Scholar] [CrossRef] [PubMed]
- Kumar, A.; Hosseindoust, A.; Kim, M.; Kim, K.; Choi, Y.; Lee, S.; Lee, S.; Lee, J.; Cho, H.; Kang, W.S.; et al. Nano-sized Zinc in Broiler Chickens: Effects on Growth Performance, Zinc Concentration in Organs, and Intestinal Morphology. J. Poult. Sci. 2021, 58, 21–29. [Google Scholar] [CrossRef] [PubMed]
- Swain, P.S.; Rao, S.B.N.; Rajendran, D.; Dominic, G.; Selvaraju, S. Nano zinc, an alternative to conventional zinc as animal feed supplement: A review. Anim. Nutr. (Zhongguo Xu Mu Shou Yi Xue Hui) 2016, 2, 134–141. [Google Scholar] [CrossRef]
- Li, M.; Lin, Y.C.; Wu, C.C.; Liu, H.S. Enhancing the efficiency of a PCR using gold nanoparticles. Nucleic Acids Res. 2005, 33, e184. [Google Scholar] [CrossRef]
- Rudramurthy, G.R.; Swamy, M.K. Potential applications of engineered nanoparticles in medicine and biology: An update. JBIC J. Biol. Inorg. Chem. 2018, 23, 1185–1204. [Google Scholar] [CrossRef]
- Li, H.; Rothberg, L. Colorimetric detection of DNA sequences based on electrostatic interactions with unmodified gold nanoparticles. Proc. Natl. Acad. Sci. USA 2004, 101, 14036–14039. [Google Scholar] [CrossRef] [PubMed]
- Battilani, M.; Scagliarini, A.; Ciulli, S.; Morganti, L.; Prosperi, S. High genetic diversity of the VP2 gene of a canine parvovirus strain detected in a domestic cat. Virology 2006, 352, 22–26. [Google Scholar] [CrossRef]
- Stuetzer, B.; Hartmann, K. Feline parvovirus infection and associated diseases. Vet. J. 2014, 201, 150–155. [Google Scholar] [CrossRef]
- Haynes, S.M.; Holloway, S.A. Identification of parvovirus in the bone marrow of eight cats. Aust. Vet. J. 2012, 90, 136–139. [Google Scholar] [CrossRef] [PubMed]
- O’Reilly, K.J.; Whitaker, A.M. The development of feline cell lines for the growth of feline infectious enteritis (panleucopaenia) virus. J. Hyg. 1969, 67, 115–124. [Google Scholar] [CrossRef] [PubMed]
- Pfeffer, M.; Wiedmann, M.; Batt, C.A. Applications of DNA amplification techniques in veterinary diagnostics. Vet. Res. Commun. 1995, 19, 375–407. [Google Scholar] [CrossRef]
- Schunck, B.; Kraft, W.; Truyen, U. A simple touch-down polymerase chain reaction for the detection of canine parvovirus and feline panleukopenia virus in feces. J. Virol. Methods 1995, 55, 427–433. [Google Scholar] [CrossRef]
- Cao, N.; Tang, Z.; Zhang, X.; Li, W.; Li, B.; Tian, Y.; Xu, D. Development and Application of a Triplex TaqMan Quantitative Real-Time PCR Assay for Simultaneous Detection of Feline Calicivirus, Feline Parvovirus, and Feline Herpesvirus 1. Front. Vet. Sci. 2021, 8, 792322. [Google Scholar] [CrossRef] [PubMed]
- Streck, A.F.; Rüster, D.; Truyen, U.; Homeier, T. An updated TaqMan real-time PCR for canine and feline parvoviruses. J. Virol. Methods 2013, 193, 6–8. [Google Scholar] [CrossRef] [PubMed]
- Wang, Y.; Pan, Y.; Wu, J.; Tong, X.; Sun, J.; Xu, F.; Cheng, B.; Li, Y. Simultaneous detection of feline parvovirus and feline bocavirus using SYBR Green I-based duplex real-time polymerase chain reaction. 3 Biotech 2021, 11, 400. [Google Scholar] [CrossRef]
- Sun, L.; Xu, Z.; Wu, J.; Cui, Y.; Guo, X.; Xu, F.; Li, Y.; Wang, Y. A duplex SYBR green I-based real-time polymerase chain reaction assay for concurrent detection of feline parvovirus and feline coronavirus. J. Virol. Methods 2021, 298, 114294. [Google Scholar] [CrossRef] [PubMed]
- Liu, Z.; Li, J.; Liu, Z.; Li, J.; Li, Z.; Wang, C.; Wang, J.; Guo, L. Development of a nanoparticle-assisted PCR assay for detection of bovine respiratory syncytial virus. BMC Vet. Res. 2019, 15, 110. [Google Scholar] [CrossRef] [PubMed]
- Wang, J.; Cheng, Y.; Zhang, M.; Zhao, H.; Lin, P.; Yi, L.; Tong, M.; Cheng, S. Development of a nanoparticle-assisted PCR (nanoPCR) assay for detection of mink enteritis virus (MEV) and genetic characterization of the NS1 gene in four Chinese MEV strains. BMC Vet. Res. 2015, 11, 1. [Google Scholar] [CrossRef]
- Wang, Y.; Wang, Y.; Chen, Z.; Liu, G.; Jiang, S.; Li, C. A multiplex nanoparticle-assisted polymerase chain reaction assay for detecting three canine epidemic viruses using a dual priming oligonucleotide system. J. Virol. Methods 2021, 298, 114290. [Google Scholar] [CrossRef]
- Spitzer, A.L.; Parrish, C.R.; Maxwell, I.H. Tropic determinant for canine parvovirus and feline panleukopenia virus functions through the capsid protein VP2. J. Gen. Virol. 1997, 78 Pt 4, 925–928. [Google Scholar] [CrossRef] [PubMed]
- Xue, H.; Hu, C.; Ma, H.; Song, Y.; Zhu, K.; Fu, J.; Mu, B.; Gao, X. Isolation of feline panleukopenia virus from Yanji of China and molecular epidemiology from 2021 to 2022. J. Vet. Sci. 2023, 24, e29. [Google Scholar] [CrossRef]
- Decaro, N.; Desario, C.; Miccolupo, A.; Campolo, M.; Parisi, A.; Martella, V.; Amorisco, F.; Lucente, M.S.; Lavazza, A.; Buonavoglia, C. Genetic analysis of feline panleukopenia viruses from cats with gastroenteritis. J. Gen. Virol. 2008, 89 Pt 9, 2290–2298. [Google Scholar] [CrossRef] [PubMed]





Disclaimer/Publisher’s Note: The statements, opinions and data contained in all publications are solely those of the individual author(s) and contributor(s) and not of MDPI and/or the editor(s). MDPI and/or the editor(s) disclaim responsibility for any injury to people or property resulting from any ideas, methods, instructions or products referred to in the content. |
© 2023 by the authors. Licensee MDPI, Basel, Switzerland. This article is an open access article distributed under the terms and conditions of the Creative Commons Attribution (CC BY) license (https://creativecommons.org/licenses/by/4.0/).
Share and Cite
Xue, H.; Liang, Y.; Gao, X.; Song, Y.; Zhu, K.; Yang, M.; Hao, J.; Ma, H.; Yu, K. Development and Application of nanoPCR Method for Detection of Feline Panleukopenia Virus. Vet. Sci. 2023, 10, 440. https://doi.org/10.3390/vetsci10070440
Xue H, Liang Y, Gao X, Song Y, Zhu K, Yang M, Hao J, Ma H, Yu K. Development and Application of nanoPCR Method for Detection of Feline Panleukopenia Virus. Veterinary Sciences. 2023; 10(7):440. https://doi.org/10.3390/vetsci10070440
Chicago/Turabian StyleXue, Haowen, Yang Liang, Xu Gao, Yanhao Song, Kunru Zhu, Meng Yang, Jingrui Hao, Haoyuan Ma, and Kai Yu. 2023. "Development and Application of nanoPCR Method for Detection of Feline Panleukopenia Virus" Veterinary Sciences 10, no. 7: 440. https://doi.org/10.3390/vetsci10070440
APA StyleXue, H., Liang, Y., Gao, X., Song, Y., Zhu, K., Yang, M., Hao, J., Ma, H., & Yu, K. (2023). Development and Application of nanoPCR Method for Detection of Feline Panleukopenia Virus. Veterinary Sciences, 10(7), 440. https://doi.org/10.3390/vetsci10070440

