Evaluating the Histologic Grade of Digital Squamous Cell Carcinomas in Dogs and Copy Number Variation of KIT Ligand—A Correlation Study
Abstract
Simple Summary
Abstract
1. Introduction
2. Materials and Methods
2.1. Histological Examination
2.1.1. Invasive Front Grading System (IFGS)
2.1.2. Tumor Cell Budding Grading System (TCBGS)
2.2. Genetic Analysis
2.3. Statistical Analysis
3. Results
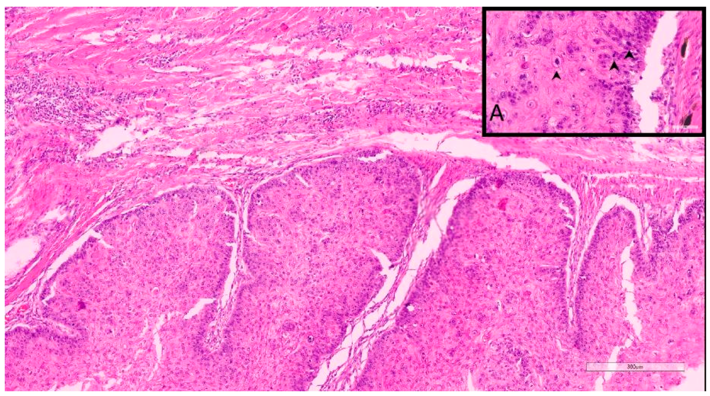
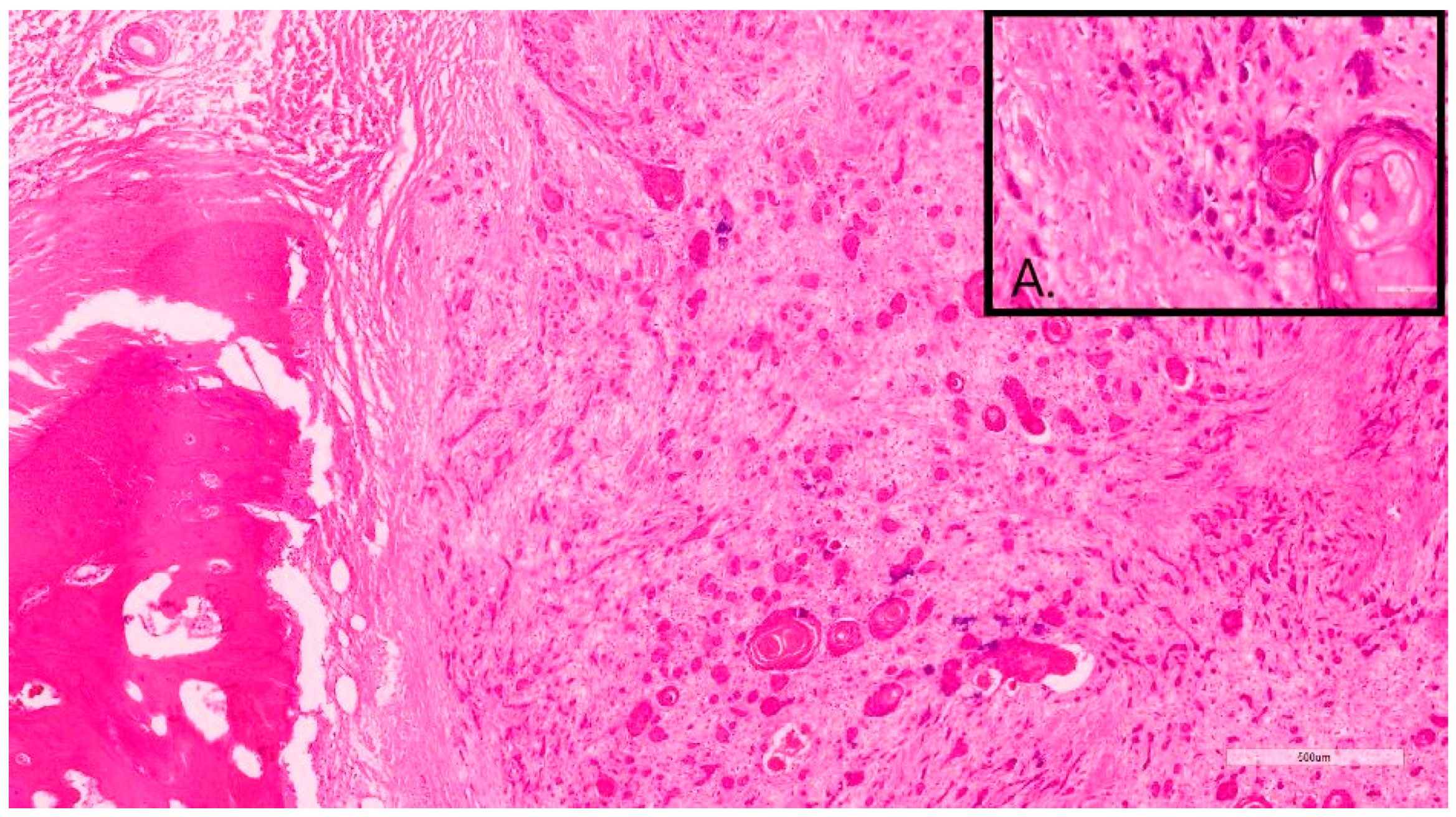
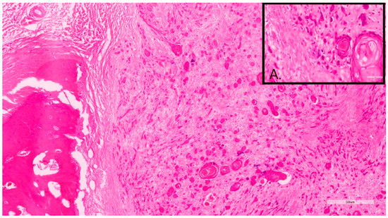
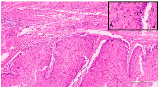
3.1. Histological Assessment
Histological Grades according to Groups
3.2. Copy Number Variation on KITLG
4. Discussion
5. Conclusions
Further Studies
Supplementary Materials
Author Contributions
Funding
Institutional Review Board Statement
Informed Consent Statement
Data Availability Statement
Acknowledgments
Conflicts of Interest
References
- Grassinger, J.M.; Floren, A.; Müller, T.; Cerezo-Echevarria, A.; Beitzinger, C.; Conrad, D.; Törner, K.; Staudacher, M.; Aupperle-Lellbach, H. Digital Lesions in Dogs: A Statistical Breed Analysis of 2912 Cases. Vet. Sci. 2021, 8, 136. [Google Scholar] [CrossRef] [PubMed]
- Wobeser, B.K.; Kidney, B.A.; Powers, B.E.; Withrow, S.J.; Mayer, M.N.; Spinato, M.T.; Allen, A.L. Diagnoses and Clinical Outcomes Associated with Surgically Amputated Canine Digits Submitted to Multiple Veterinary Diagnostic Laboratories. Vet. Pathol. 2007, 44, 355–361. [Google Scholar] [CrossRef] [PubMed]
- Belluco, S.; Brisebard, E.; Watrelot, D.; Pillet, E.; Marchal, T.; Ponce, F. Digital Squamous Cell Carcinoma in Dogs: Epidemiological, Histological, and Imunohistochemical Study. Vet. Pathol. 2013, 50, 1078–1082. [Google Scholar] [CrossRef] [PubMed]
- O’Brien, M.G.; Berg, J.; Engler, S.J. Treatment by Digital Amputation of Subungual Squamous Cell Carcinoma in Dogs: 21 Cases (1987–1988). J. Am. Vet. Med. Assoc. 1992, 201, 759–761. [Google Scholar] [PubMed]
- Marino, D.J.; Matthiesen, D.T.; Stefanacci, J.D.; Moroff, S.D. Evaluation of Dogs with Digit Masses: 117 Cases (1981–1991). J. Am. Vet. Med. Assoc. 1995, 207, 726–728. [Google Scholar]
- Henry, C.J.; Brewer, W.G., Jr.; Whitley, E.M.; Tyler, J.W.; Ogilvie, G.K.; Norris, A.; Fox, L.E.; Morrison, W.B.; Hammer, A.; Vail, D.M.; et al. Canine Digital Tumors: A Veterinary Cooperative Oncology Group Retrospective Study of 64 Dogs. J. Vet. Intern. Med. 2005, 19, 720–724. [Google Scholar] [CrossRef]
- Karyadi, D.M.; Karlins, E.; Decker, B.; vonHoldt, B.M.; Carpintero-Ramirez, G.; Parker, H.G.; Wayne, R.K.; Ostrander, E.A. A Copy Number Variant at the KITLG Locus Likely Confers Risk for Canine Squamous Cell Carcinoma of the Digit. PLoS Genet. 2013, 9, e1003409. [Google Scholar] [CrossRef]
- Marconato, L.; Murgia, D.; Finotello, R.; Meier, V.; Morello, E.M.; Pisoni, L.; Foglia, A.; Guerra, D.; Chalfon, C.; Aralla, M.; et al. Clinical Features and Outcome of 79 Dogs With Digital Squamous Cell Carcinoma Undergoing Treatment: A SIONCOV Observational Study. Front. Vet. Sci. 2021, 8, 645982. [Google Scholar] [CrossRef]
- Mauldin, E.; Peters-Kennedy, J. Integumentary System. In Jubb, Kennedy, and Palmer´s Pathology of Domestic Animals; Elsiever: Amsterdam, The Netherlands, 2016; Volume 1, pp. 509–736. ISBN 978-0-7020-5317-7. [Google Scholar]
- Paradis, M.; Scott, D.W.; Breton, L. Squamous Cell Carcinoma of the Nail Bed in Three Related Giant Schnauzers. Vet. Rec. 1989, 125, 322–324. [Google Scholar] [CrossRef]
- Internationale, Federation Cynologique. FCI-Standard N 345: Jack Russell Terrier. Available online: https://www.fci.be/es/nomenclature/TERRIER-JACK-RUSSELL-345.html (accessed on 10 October 2022).
- KITLG Protein Expression Summary—The Human Protein Atlas. Available online: https://www.proteinatlas.org/ENSG00000049130-KITLG (accessed on 18 October 2022).
- Hachiya, A.; Sriwiriyanont, P.; Kobayashi, T.; Nagasawa, A.; Yoshida, H.; Ohuchi, A.; Kitahara, T.; Visscher, M.; Takema, Y.; Tsuboi, R.; et al. Stem Cell Factor-KIT Signalling Plays a Pivotal Role in Regulating Pigmentation in Mammalian Hair. J. Pathol. 2009, 218, 30–39. [Google Scholar] [CrossRef]
- Aoki, H.; Tomita, H.; Hara, A.; Kunisada, T. Conditional Deletion of Kit in Melanocytes: White Spotting Phenotype Is Cell Autonomous. J. Investig. Dermatol. 2015, 135, 1829–1838. [Google Scholar] [CrossRef] [PubMed]
- Weich, K.; Affolter, V.; York, D.; Rebhun, R.; Grahn, R.; Kallenberg, A.; Bannasch, D. Pigment Intensity in Dogs Is Associated with a Copy Number Variant Upstream of KITLG. Genes 2020, 11, 75, Correction in Genes 2021, 12, 357. [Google Scholar] [CrossRef] [PubMed]
- Saif, R.; Iftekhar, A.; Asif, F.; Alghanem, M.S. Dog Coat Colour Genetics: A Review. Adv. Life Sci. 2020, 7, 215–224. [Google Scholar]
- Cerezo-Echevarria, A.; Grassinger, J.M.; Beitzinger, C.; Klopfleisch, R.; Aupperle-Lellbach, H. Evaluating the Histologic Grade of Digital Squamous Cell Carcinomas in Dogs with Dark and Light Haircoat—A Comparative Study of the Invasive Front and Tumor Cell Budding Systems. Vet. Sci. 2020, 8, 3. [Google Scholar] [CrossRef] [PubMed]
- Kamstock, D.A.; Ehrhart, E.J.; Getzy, D.M.; Bacon, N.J.; Rassnick, K.M.; Moroff, S.D.; Liu, S.M.; Straw, R.C.; McKnight, C.A.; Amorim, R.L.; et al. Recommended Guidelines for Submission, Trimming, Margin Evaluation, and Reporting of Tumor Biopsy Specimens in Veterinary Surgical Pathology. Vet. Pathol. 2011, 48, 19–31. [Google Scholar] [CrossRef]
- Nagamine, E.; Hirayama, K.; Matsuda, K.; Okamoto, M.; Ohmachi, T.; Uchida, K.; Kadosawa, T.; Taniyama, H. Invasive Front Grading and Epithelial-Mesenchymal Transition in Canine Oral and Cutaneous Squamous Cell Carcinomas. Vet. Pathol. 2017, 54, 783–791. [Google Scholar] [CrossRef]
- Meuten, D.J.; Moore, F.M.; George, J.W. Mitotic Count and the Field of View Area: Time to Standardize. Vet. Pathol. 2015, 53, 7–9. [Google Scholar] [CrossRef]
- Jesinghaus, M.; Strehl, J.; Boxberg, M.; Brühl, F.; Wenzel, A.; Konukiewitz, B.; Schlitter, A.M.; Steiger, K.; Warth, A.; Schnelzer, A.; et al. Introducing a Novel Highly Prognostic Grading Scheme Based on Tumour Budding and Cell Nest Size for Squamous Cell Carcinoma of the Uterine Cervix. J. Pathol. Clin. Res. 2018, 4, 93–102. [Google Scholar] [CrossRef]
- Boxberg, M.; Kuhn, P.-H.; Reiser, M.; Erb, A.; Steiger, K.; Pickhard, A.; Straßen, U.; Koob, I.; Kolk, A.; Warth, A.; et al. Tumor Budding and Cell Nest Size Are Highly Prognostic in Laryngeal and Hypopharyngeal Squamous Cell Carcinoma: Further Evidence for a Unified Histopathologic Grading System for Squamous Cell Carcinomas of the Upper Aerodigestive Tract. Am. J. Surg. Pathol. 2019, 43, 303–313. [Google Scholar] [CrossRef]
- Lüdecke, D. SjPlot: Data Visualization for Statistics in Social Science. R Package Version 2.8.12. Available online: https://CRAN.R-project.org/package=sjPlot (accessed on 22 December 2022).
- Venables, W.N.; Ripley, B.D. Classification. In Modern Applied Statistics with S; Venables, W.N., Ripley, B.D., Eds.; Statistics and Computing; Springer: New York, NY, USA, 2002; pp. 331–351. ISBN 978-0-387-21706-2. [Google Scholar]
- Marin, D. Repmod: Create Report Table from Different Objects. R Package Version 0.1.7 . 2021. Available online: https://cran.r-project.org/web/packages/repmod/repmod.pdf (accessed on 22 December 2022).
- Jónasdóttir, T.J.; Mellersh, C.S.; Moe, L.; Heggebø, R.; Gamlem, H.; Ostrander, E.A.; Lingaas, F. Genetic Mapping of a Naturally Occurring Hereditary Renal Cancer Syndrome in Dogs. Proc. Natl. Acad. Sci. USA 2000, 97, 4132–4137. [Google Scholar] [CrossRef]
- Shearin, A.L.; Hedan, B.; Cadieu, E.; Erich, S.A.; Schmidt, E.V.; Faden, D.L.; Cullen, J.; Abadie, J.; Kwon, E.M.; Gröne, A.; et al. The MTAP-CDKN2A Locus Confers Susceptibility to a Naturally Occurring Canine Cancer. Cancer Epidemiol. Biomark. Prev. 2012, 21, 1019–1027. [Google Scholar] [CrossRef] [PubMed]
- Abadie, J.; Hédan, B.; Cadieu, E.; De Brito, C.; Devauchelle, P.; Bourgain, C.; Parker, H.G.; Vaysse, A.; Margaritte-Jeannin, P.; Galibert, F.; et al. Epidemiology, Pathology, and Genetics of Histiocytic Sarcoma in the Bernese Mountain Dog Breed. J. Hered. 2009, 100, S19–S27. [Google Scholar] [CrossRef] [PubMed]
- Asada, H.; Tsuboi, M.; Chambers, J.K.; Uchida, K.; Tomiyasu, H.; Goto-Koshino, Y.; Ohno, K.; Tsujimoto, H. A 2-Base Insertion in Exon 5 Is a Common Mutation of the TP53 Gene in Dogs with Histiocytic Sarcoma. J. Vet. Med. Sci. 2017, 79, 1721–1726. [Google Scholar] [CrossRef] [PubMed]
- Goldstein, O.; Zangerl, B.; Pearce-Kelling, S.; Sidjanin, D.J.; Kijas, J.W.; Felix, J.; Acland, G.M.; Aguirre, G.D. Linkage Disequilibrium Mapping in Domestic Dog Breeds Narrows the Progressive Rod-Cone Degeneration (Prcd) Interval and Identifies Ancestral Disease Transmitting Chromosome. Genomics 2006, 88, 541–550. [Google Scholar] [CrossRef]
- Parker, H.G.; Kukekova, A.V.; Akey, D.T.; Goldstein, O.; Kirkness, E.F.; Baysac, K.C.; Mosher, D.S.; Aguirre, G.D.; Acland, G.M.; Ostrander, E.A. Breed Relationships Facilitate Fine-Mapping Studies: A 7.8-Kb Deletion Cosegregates with Collie Eye Anomaly across Multiple Dog Breeds. Genome Res. 2007, 17, 1562–1571. [Google Scholar] [CrossRef]
- Mellersh, C.S.; McLaughlin, B.; Ahonen, S.; Pettitt, L.; Lohi, H.; Barnett, K.C. Mutation in HSF4 Is Associated with Hereditary Cataract in the Australian Shepherd. Vet. Ophthalmol. 2009, 12, 372–378. [Google Scholar] [CrossRef]
- Mikkola, L.; Holopainen, S.; Pessa-Morikawa, T.; Lappalainen, A.K.; Hytönen, M.K.; Lohi, H.; Iivanainen, A. Genetic Dissection of Canine Hip Dysplasia Phenotypes and Osteoarthritis Reveals Three Novel Loci. BMC Genom. 2019, 20, 1027. [Google Scholar] [CrossRef]
- van de Sluis, B.; Rothuizen, J.; Pearson, P.L.; van Oost, B.A.; Wijmenga, C. Identification of a New Copper Metabolism Gene by Positional Cloning in a Purebred Dog Population. Hum. Mol. Genet. 2002, 11, 165–173. [Google Scholar] [CrossRef]
- Gardner, H.L.; Sivaprakasam, K.; Briones, N.; Zismann, V.; Perdigones, N.; Drenner, K.; Facista, S.; Richholt, R.; Liang, W.; Aldrich, J.; et al. Canine Osteosarcoma Genome Sequencing Identifies Recurrent Mutations in DMD and the Histone Methyltransferase Gene SETD2. Commun. Biol. 2019, 2, 1–13. [Google Scholar] [CrossRef]
- Karlsson, E.K.; Sigurdsson, S.; Ivansson, E.; Thomas, R.; Elvers, I.; Wright, J.; Howald, C.; Tonomura, N.; Perloski, M.; Swofford, R.; et al. Genome-Wide Analyses Implicate 33 Loci in Heritable Dog Osteosarcoma, Including Regulatory Variants near CDKN2A/B. Genome Biol. 2013, 14, R132. [Google Scholar] [CrossRef]
- Megquier, K.; Turner-Maier, J.; Swofford, R.; Kim, J.-H.; Sarver, A.L.; Wang, C.; Sakthikumar, S.; Johnson, J.; Koltookian, M.; Lewellen, M.; et al. Comparative Genomics Reveals Shared Mutational Landscape in Canine Hemangiosarcoma and Human Angiosarcoma. Mol. Cancer Res. 2019, 17, 2410–2421. [Google Scholar] [CrossRef] [PubMed]
- Costa Casagrande, T.A.; de Oliveira Barros, L.M.; Fukumasu, H.; Cogliati, B.; Chaible, L.M.; Dagli, M.L.Z.; Matera, J.M. The Value of Molecular Expression of KIT and KIT Ligand Analysed Using Real-Time Polymerase Chain Reaction and Immunohistochemistry as a Prognostic Indicator for Canine Cutaneous Mast Cell Tumours. Vet. Comp. Oncol. 2015, 13, 1–10. [Google Scholar] [CrossRef] [PubMed]
- Seung, B.-J.; Cho, S.-H.; Kim, S.-H.; Bae, M.-K.; Lim, H.-Y.; Sur, J.-H. In Situ C-KIT MRNA Quantification of Canine Cutaneous Mast Cell Tumours and Its Relationship to Prognostic Factors. Vet. Comp. Oncol. 2021, 19, 132–139. [Google Scholar] [CrossRef] [PubMed]
- Thamm, D.H.; Avery, A.C.; Berlato, D.; Bulman-Fleming, J.; Clifford, C.A.; Hershey, A.E.; Intile, J.L.; Jones, P.D.; Kamstock, D.A.; Liptak, J.M.; et al. Prognostic and Predictive Significance of KIT Protein Expression and C-Kit Gene Mutation in Canine Cutaneous Mast Cell Tumours: A Consensus of the Oncology-Pathology Working Group. Vet. Comp. Oncol. 2019, 17, 451–455. [Google Scholar] [CrossRef]
- Kiupel, M.; Webster, J.D.; Kaneene, J.B.; Miller, R.; Yuzbasiyan-Gurkan, V. The Use of KIT and Tryptase Expression Patterns as Prognostic Tools for Canine Cutaneous Mast Cell Tumors. Vet. Pathol. 2004, 41, 371–377. [Google Scholar] [CrossRef]
- Morini, M.; Bettini, G.; Preziosi, R.; Mandrioli, L. C-Kit Gene Product (CD117) Immunoreactivity in Canine and Feline Paraffin Sections. J. Histochem. Cytochem. 2004, 52, 705–708. [Google Scholar] [CrossRef]
- Morini, M.; Gentilini, F.; Turba, M.E.; Gobbo, F.; Mandrioli, L.; Bettini, G. Mutational Analysis of C-KIT and PDGFRA in Canine Gastrointestinal Stromal Tumors (GISTs). Vet. Sci. 2022, 9, 376. [Google Scholar] [CrossRef]
- Gregory-Bryson, E.; Bartlett, E.; Kiupel, M.; Hayes, S.; Yuzbasiyan-Gurkan, V. Canine and Human Gastrointestinal Stromal Tumors Display Similar Mutations in C-KIT Exon 11. BMC Cancer 2010, 10, 559. [Google Scholar] [CrossRef]
- Goto, K.; Takai, T.; Fukumoto, T.; Anan, T.; Kimura, T.; Ansai, S.; Oshitani, Y.; Murata, Y.; Sakuma, T.; Hirose, T. CD117 (KIT) Is a Useful Immunohistochemical Marker for Differentiating Porocarcinoma from Squamous Cell Carcinoma. J. Cutan. Pathol. 2016, 43, 219–226. [Google Scholar] [CrossRef]
- Moreira, L.F.; Maino, M.M.; Garbin, H.I.; DA Natividade, G.R.; Volkweis, B.S.; Kulczynski, J.U. CD117 Expression in Squamous Cell Carcinoma of the Oesophagus. Anticancer Res. 2018, 38, 3929–3933. [Google Scholar] [CrossRef]
- Ramezani, M.; Masnadjam, M.; Azizi, A.; Zavattaro, E.; Khazaei, S.; Sadeghi, M.; Ramezani, M.; Masnadjam, M.; Azizi, A.; Zavattaro, E.; et al. Evaluation of C-Kit (CD117) Expression in Patients with Squamous Cell Carcinoma (SCC) and Basal Cell Carcinoma (BCC) of the Skin. AIMSMOLES 2021, 8, 51–59. [Google Scholar] [CrossRef]
- Fan, H.; Yuan, Y.; Wang, J.; Zhou, F.; Zhang, M.; Giercksky, K.-E.; Nesland, J.M.; Suo, Z. CD117 Expression in Operable Oesophageal Squamous Cell Carcinomas Predicts Worse Clinical Outcome. Histopathology 2013, 62, 1028–1037. [Google Scholar] [CrossRef] [PubMed]
- Su, Y.; Chen, R.; Han, Z.; Xu, R.; Ma, L.; Wufuli, R.; Liu, H.; Wang, F.; Ma, L.; Chen, R.; et al. Clinical and Prognostic Significance of CD117 in Non-Small Cell Lung Cancer: A Systemic Meta-Analysis. PAT 2021, 88, 267–276. [Google Scholar] [CrossRef] [PubMed]
- Nakagawa, K.; Matsuno, Y.; Kunitoh, H.; Maeshima, A.; Asamura, H.; Tsuchiya, R. Immunohistochemical KIT (CD117) Expression in Thymic Epithelial Tumors. Chest 2005, 128, 140–144. [Google Scholar] [CrossRef]
- Donnenberg, A.D.; Zimmerlin, L.; Landreneau, R.J.; Luketich, J.D.; Donnenberg, V.S. KIT (CD117) Expression in a Subset of Non-Small Cell Lung Carcinoma (NSCLC) Patients. PLoS ONE 2012, 7, e52885. [Google Scholar] [CrossRef]





| Morphological Feature | Score Value | |||
|---|---|---|---|---|
| 1 | 2 | 3 | 4 | |
| Degree of keratinization | >50% cells keratinized | 20–50% cells keratinized | 5–20% cells keratinized | 0–5% cells keratinized |
| Pattern of invasion | Pushing, well-differentiated borders | Infiltrating, Solid cords, bands and/or strands | Small groups of cells (n > 15) | Small groups and/or single cells (n < 15) |
| Host response | Marked | Moderate | Slight | None |
| Nuclear pleomorphism | <25% anaplasia | 25–50% anaplasia | 50–75% anaplasia | 75–100% anaplasia |
| Mitosis HPF * (40×) | 0–1 | 2–3 | 4–5 | >5 |
| Tumor Budding Activity/10HPF | Score Value |
|---|---|
| No budding | 1 |
| <15 budding foci | 2 |
| ≥15 budding foci | 3 |
| Smallest cell nest size | |
| >15 cells | 1 |
| 5–15 cells | 2 |
| 2–4 cells | 3 |
| Single cell invasion | 4 |
Disclaimer/Publisher’s Note: The statements, opinions and data contained in all publications are solely those of the individual author(s) and contributor(s) and not of MDPI and/or the editor(s). MDPI and/or the editor(s) disclaim responsibility for any injury to people or property resulting from any ideas, methods, instructions or products referred to in the content. |
© 2023 by the authors. Licensee MDPI, Basel, Switzerland. This article is an open access article distributed under the terms and conditions of the Creative Commons Attribution (CC BY) license (https://creativecommons.org/licenses/by/4.0/).
Share and Cite
Cerezo-Echevarria, A.; Kehl, A.; Beitzinger, C.; Müller, T.; Klopfleisch, R.; Aupperle-Lellbach, H. Evaluating the Histologic Grade of Digital Squamous Cell Carcinomas in Dogs and Copy Number Variation of KIT Ligand—A Correlation Study. Vet. Sci. 2023, 10, 88. https://doi.org/10.3390/vetsci10020088
Cerezo-Echevarria A, Kehl A, Beitzinger C, Müller T, Klopfleisch R, Aupperle-Lellbach H. Evaluating the Histologic Grade of Digital Squamous Cell Carcinomas in Dogs and Copy Number Variation of KIT Ligand—A Correlation Study. Veterinary Sciences. 2023; 10(2):88. https://doi.org/10.3390/vetsci10020088
Chicago/Turabian StyleCerezo-Echevarria, Argiñe, Alexandra Kehl, Christoph Beitzinger, Tobias Müller, Robert Klopfleisch, and Heike Aupperle-Lellbach. 2023. "Evaluating the Histologic Grade of Digital Squamous Cell Carcinomas in Dogs and Copy Number Variation of KIT Ligand—A Correlation Study" Veterinary Sciences 10, no. 2: 88. https://doi.org/10.3390/vetsci10020088
APA StyleCerezo-Echevarria, A., Kehl, A., Beitzinger, C., Müller, T., Klopfleisch, R., & Aupperle-Lellbach, H. (2023). Evaluating the Histologic Grade of Digital Squamous Cell Carcinomas in Dogs and Copy Number Variation of KIT Ligand—A Correlation Study. Veterinary Sciences, 10(2), 88. https://doi.org/10.3390/vetsci10020088

