Unveiling Oxidative Stress-Induced Genotoxicity and Its Alleviation through Selenium and Vitamin E Therapy in Naturally Infected Cattle with Lumpy Skin Disease
Abstract
Simple Summary
Abstract
1. Introduction
2. Materials and Methods
3. Results
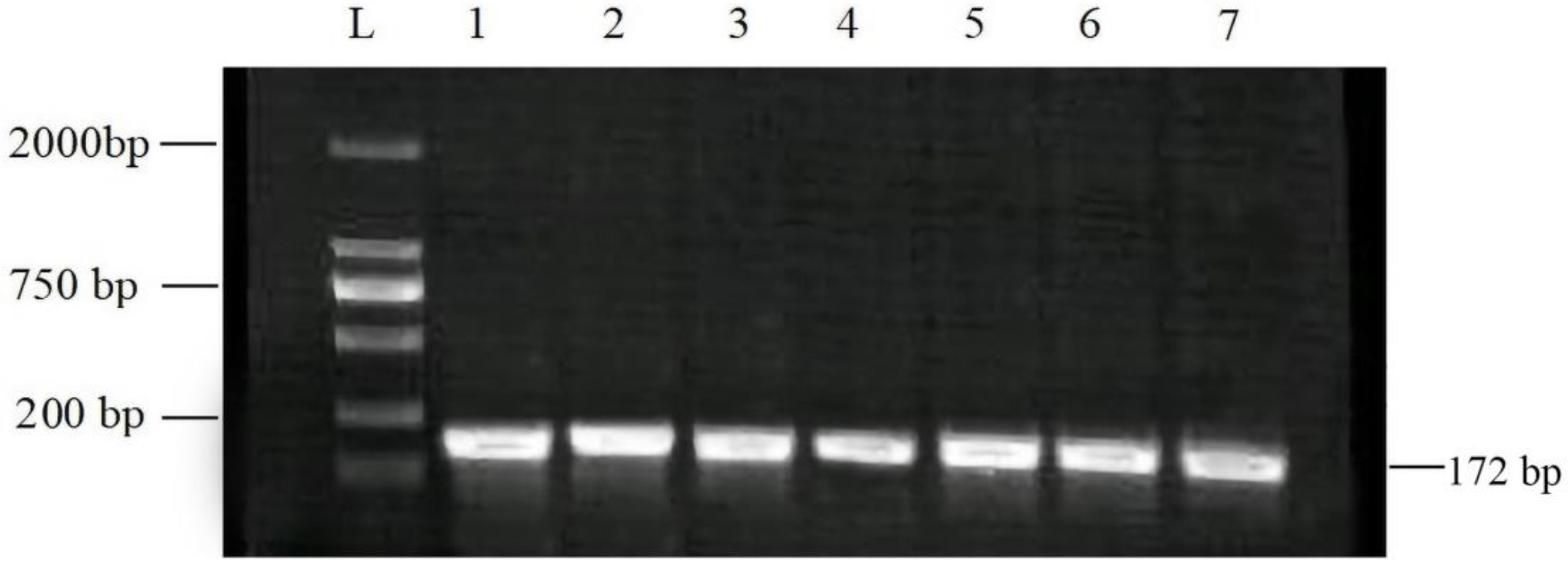
3.1. Confirmation through PCR
3.2. Hematological Findings
3.3. Evaluation of Oxidative Stress
3.4. Evaluation of Genotoxicity
4. Discussion
5. Conclusions
Supplementary Materials
Author Contributions
Funding
Institutional Review Board Statement
Informed Consent Statement
Data Availability Statement
Conflicts of Interest
Abbreviations
| Lumpy skin disease | LSD |
| Principal component analysis | PCA |
| Lumpy skin disease virus | LSDV |
| Selenium | Se |
| Nitric oxide | NO |
| Malondialdehyde | MDA |
| Principal component | PC |
| Superoxide dismutase | SOD |
| Catalase | CAT |
| Glutathione | GSH |
| Glutathione peroxidase | GPx |
| Reactive oxygen species | ROS |
| Ethylenediaminetetraacetic acid | EDTA |
| Revolutions per minute | RPM |
| Phosphate-buffered saline | PBS |
| Polymerase chain reaction | PCR |
| Base pairs | bp |
| Thiobarbituric acid | TBA |
| Roswell park memorial institute 1640 medium | RPMI |
| Analysis of variance | ANOVA |
| Red blood cells | RBCs, |
| Packed cell volume | PCV |
| Hemoglobin | Hb |
| Mean corpuscular volume | MCV |
| Total leucocyte count | TLC |
| Standard error of mean | SEM |
| Tricarboxylic acid | TCA cycle |
| Inducible Nitric oxide synthase | iNOS, |
| Interferon-γ | IFN-γ |
References
- Kumar, N.; Chander, Y.; Kumar, R.; Khandelwal, N.; Riyesh, T.; Chaudhary, K.; Shanmugasundaram, K.; Kumar, S.; Kumar, A.; Gupta, M.K. Isolation and characterization of lumpy skin disease virus from cattle in India. PLoS ONE 2021, 16, e0241022. [Google Scholar] [CrossRef] [PubMed]
- Hamdi, J.; Munyanduki, H.; Omari Tadlaoui, K.; El Harrak, M.; Fassi Fihri, O. Capripoxvirus infections in ruminants: A review. Microorganisms 2021, 9, 902. [Google Scholar] [CrossRef] [PubMed]
- Lu, G.; Xie, J.; Luo, J.; Shao, R.; Jia, K.; Li, S. Lumpy skin disease outbreaks in China, since 3 August 2019. Transbound. Emerg. Dis. 2021, 68, 216–219. [Google Scholar] [CrossRef] [PubMed]
- Khatri, G.; Rai, A.; Aashish; Shahzaib; Hyder, S.; Priya; Hasan, M.M. Epidemic of lumpy skin disease in Pakistan. Vet. Med. Sci. 2023, 9, 982–984. [Google Scholar] [CrossRef]
- Molla, W.; de Jong, M.C.; Gari, G.; Frankena, K. Economic impact of lumpy skin disease and cost effectiveness of vaccination for the control of outbreaks in Ethiopia. Prev. Vet. Med. 2017, 147, 100–107. [Google Scholar] [CrossRef]
- Neamat-Allah, A.N. Immunological, hematological, biochemical, and histopathological studies on cows naturally infected with lumpy skin disease. Vet. World 2015, 8, 1131. [Google Scholar] [CrossRef]
- Tuppurainen, E.; Oura, C. lumpy skin disease: An emerging threat to Europe, the Middle East and Asia. Transbound. Emerg. Dis. 2012, 59, 40–48. [Google Scholar] [CrossRef]
- Duguma, B.; Kechero, Y.; Janssens, G.P. Survey of major diseases affecting dairy cattle in Jimma town, Oromia, Ethiopia. Glob. Vet. 2012, 8, 62–66. [Google Scholar]
- Helal, M.A.; Marawan, M.A.; El Bahgy, H.E. Clinico-biochemical and Electrocardiographic Changes in Cattle Naturally Infected with Lumpy Skin Disease. Alex. J. Vet. Sci. 2019, 60, 41–48. [Google Scholar] [CrossRef]
- Gharban, H.A.; Al-Shaeli, S.J.; Al-Fattli, H.H.; Altaee, M.N. Molecular and histopathological confirmation of clinically diagnosed lumpy skin disease in cattle, Baghdad Province of Iraq. Vet. World 2019, 12, 1826. [Google Scholar] [CrossRef]
- Rouby, S.R.; Safwat, N.M.; Hussein, K.H.; Abdel-Ra’ouf, A.M.; Madkour, B.S.; Abdel-Moneim, A.S.; Hosein, H.I. Lumpy skin disease outbreaks in Egypt during 2017–2018 among sheeppox vaccinated cattle: Epidemiological, pathological, and molecular findings. PLoS ONE 2021, 16, e0258755. [Google Scholar] [CrossRef] [PubMed]
- Tuppurainen, E.; Venter, E.H.; Shisler, J.; Gari, G.; Mekonnen, G.; Juleff, N.; Lyons, N.; De Clercq, K.; Upton, C.; Bowden, T. Capripoxvirus diseases: Current status and opportunities for control. Transbound. Emerg. Dis. 2017, 64, 729–745. [Google Scholar] [CrossRef] [PubMed]
- El-Mandrawy, S.A.; Alam, R.T. Hematological, biochemical and oxidative stress studies of lumpy skin disease virus infection in cattle. J. Appl. Anim. Res. 2018, 46, 1073–1077. [Google Scholar] [CrossRef]
- Kamr, A.; Hassan, H.; Toribio, R.; Anis, A.; Nayel, M.; Arbaga, A. Oxidative stress, biochemical, and histopathological changes associated with acute lumpy skin disease in cattle. Vet. World 2022, 15, 1916–1923. [Google Scholar] [CrossRef]
- Bahorun, T.; Soobrattee, M.; Luximon-Ramma, V.; Aruoma, O. Free radicals and antioxidants in cardiovascular health and disease. Internet J. Med. Update 2006, 1, 25–41. [Google Scholar] [CrossRef]
- Lalasangi, S.; Rao, S.; Byregowda, S.; Kumar, C.; HB, S.N.; Patil, S.; Yogisharadhya, R.; Girish, M.; GB, M.R. Haematological and biochemical profile of cattle naturally infected with lumpy skin disease (LSD) virus. Pharma Innov. J. 2023, 12, 2913–2916. [Google Scholar]
- Demir, E.; Kaya, B.; Cenkci, S.K. Antigenotoxic Activities of Ascorbic acid, Chlorophyll a, and Chlorophyll b in Acrolein and Malondialdehyde-Induced Genotoxicity in Drosophila melanogaster. Ekoloji Derg. 2013, 22, 36–42. [Google Scholar] [CrossRef]
- Niedernhofer, L.J.; Daniels, J.S.; Rouzer, C.A.; Greene, R.E.; Marnett, L.J. Malondialdehyde, a product of lipid peroxidation, is mutagenic in human cells. J. Biol. Chem. 2003, 278, 31426–31433. [Google Scholar] [CrossRef]
- Zhao, L.; Chu, X.-H.; Liu, S.; Li, R.; Zhu, Y.-F.; Li, F.-N.; Jiang, J.; Zhou, J.-C.; Lei, X.G.; Sun, L.-H. Selenium-enriched Cardamine violifolia increases selenium and decreases cholesterol concentrations in liver and pectoral muscle of broilers. J. Nutr. 2022, 152, 2072–2079. [Google Scholar] [CrossRef]
- Pincemail, J.; Meziane, S. On the Potential Role of the Antioxidant Couple Vitamin E/Selenium Taken by the Oral Route in Skin and Hair Health. Antioxidants 2022, 11, 2270. [Google Scholar] [CrossRef]
- Xiao, J.; Khan, M.Z.; Ma, Y.; Alugongo, G.M.; Ma, J.; Chen, T.; Khan, A.; Cao, Z. The antioxidant properties of selenium and vitamin E; their role in periparturient dairy cattle health regulation. Antioxidants 2021, 10, 1555. [Google Scholar] [CrossRef] [PubMed]
- Khan, M.Z.; Ma, Y.; Xiao, J.; Chen, T.; Ma, J.; Liu, S.; Wang, Y.; Khan, A.; Alugongo, G.M.; Cao, Z. Role of Selenium and Vitamins E and B9 in the Alleviation of Bovine Mastitis during the Periparturient Period. Antioxidants 2022, 11, 657. [Google Scholar] [CrossRef] [PubMed]
- Hassan, M.; Abd-Elwahab, W.; Megahed, R.; Mohammed, A. An Evaluation of Hepatotoxicity, Nephrotoxicity, and Genotoxicity Induced by Acute Toxicity of Hexavalent Chromium and Comparison of the Possible Protective Role of Selenium and Vitamin E on These Effects. Ain Shams J. Forensic Med. Clin. Toxicol. 2019, 33, 48–58. [Google Scholar] [CrossRef]
- Babiuk, S. Treatment of lumpy skin disease. In Lumpy Skin Disease; Springer: Cham, Switzerland, 2018; 81p. [Google Scholar] [CrossRef][Green Version]
- Ahmad, W.; Shabbir, M.A.B.; Ahmad, M.; Omer, M.O.; Mushtaq, R.M.Z.; Aroosa, S.; Iqbal, A.; Majeed, A. Insights into the Prognostic Role of Serum Interleukin-6 and Hematobiochemical Alterations in Cattle during Recent Outbreaks of Lumpy Skin Disease in Lodhran District, Pakistan. Vaccines 2023, 11, 113. [Google Scholar] [CrossRef]
- Aminu, R.; Ibrahim, M.A.; Rahman, M.A.; Dash, R.; Umar, I.A. Trypanosuppresive effects of ellagic acid and amelioration of the trypanosome-associated pathological features coupled with inhibitory effects on trypanosomal sialidase in vitro and in silico. Phytomedicine 2017, 30, 67–73. [Google Scholar] [CrossRef]
- Lamien, C.E.; Le Goff, C.; Silber, R.; Wallace, D.B.; Gulyaz, V.; Tuppurainen, E.; Madani, H.; Caufour, P.; Adam, T.; El Harrak, M. Use of the Capripoxvirus homologue of Vaccinia virus 30 kDa RNA polymerase subunit (RPO30) gene as a novel diagnostic and genotyping target: Development of a classical PCR method to differentiate Goat poxvirus from Sheep poxvirus. Vet. Microbiol. 2011, 149, 30–39. [Google Scholar] [CrossRef]
- Beutler, E.; Duron, O.; Kelly, B.M. Improved method for the determination of blood glutathione. J. Lab. Clin. Med. 1963, 61, 882–888. [Google Scholar]
- Rehman, T.; Naz, S.; Hussain, R.; Manan Mustafa Chatha, A.; Ahmad, F.; Yamin, A.; Akram, R.; Naz, H.; Shaheen, A. Exposure to heavy metals causes histopathological changes and alters antioxidant enzymes in fresh water fish (Oreochromis niloticus). Asian J. Agric. Biol. 2021, 1. [Google Scholar] [CrossRef]
- Menaka, K.; Ramesh, A.; Thomas, B.; Kumari, N.S. Estimation of nitric oxide as an inflammatory marker in periodontitis. J. Indian Soc. Periodontol. 2009, 13, 75. [Google Scholar] [CrossRef]
- Kakkar, P.; Das, B.; Viswanathan, P. A modified spectrophotometric assay of superoxide dismutase. Indian J. Biochem. Biophys. 1984, 21, 130–132. [Google Scholar]
- Nishikimi, M.; Rao, N.A.; Yagi, K. The occurrence of superoxide anion in the reaction of reduced phenazine methosulfate and molecular oxygen. Biochem. Biophys. Res. Commun. 1972, 46, 849–854. [Google Scholar] [CrossRef] [PubMed]
- Aroosa, S.; Sattar, A.; Javeed, A.; Usman, M.; Hafeez, M.A.; Ahmad, M. Protective Effects of Dexmedetomidine Infusion on Genotoxic Potential of Isoflurane in Patients Undergoing Emergency Surgery. Int. J. Clin. Pract. 2023, 2023, 7414655. [Google Scholar] [CrossRef]
- Eren, K.; Özmeriç, N.; Şardaş, S. Monitoring of buccal epithelial cells by alkaline comet assay (single cell gel electrophoresis technique) in cytogenetic evaluation of chlorhexidine. Clin. Oral Investig. 2002, 6, 150–154. [Google Scholar] [CrossRef] [PubMed]
- Langie, S.A.; Cameron, K.M.; Waldron, K.J.; Fletcher, K.P.; von Zglinicki, T.; Mathers, J.C. Measuring DNA repair incision activity of mouse tissue extracts towards singlet oxygen-induced DNA damage: A comet-based in vitro repair assay. Mutagenesis 2011, 26, 461–471. [Google Scholar] [CrossRef] [PubMed]
- Araldi, R.P.; Melo, T.C.; Diniz, N.; Mazzuchelli-de-Souza, J.; Carvalho, R.F.d.; Beçak, W.; Stocco, R.d.C. Bovine papillomavirus clastogenic effect analyzed in comet assay. BioMed Res. Int. 2013, 2013, 630683. [Google Scholar] [CrossRef]
- Valencia-Quintana, R.; Gómez-Arroyo, S.; Waliszewski, S.M.; Sánchez-Alarcón, J.; Gómez-Olivares, J.L.; Flores-Márquez, A.R.; Cortés-Eslava, J.; Villalobos-Pietrini, R. Evaluation of the genotoxic potential of dimethyl sulfoxide (DMSO) in meristematic cells of the root of Vicia faba. Toxicol. Environ. Health Sci. 2012, 4, 154–160. [Google Scholar] [CrossRef]
- Costantini, D. Complex trade-offs in the pigeon (Columba livia): Egg antioxidant capacity and female serum oxidative status in relation to diet quality. J. Comp. Physiol. B 2010, 180, 731–739. [Google Scholar] [CrossRef]
- McKight, P.E.; Najab, J. Kruskal-wallis test. Corsini Encycl. Psychol. 2010, 1. [Google Scholar] [CrossRef]
- Dinno, A. Nonparametric pairwise multiple comparisons in independent groups using Dunn’s test. Stata J. 2015, 15, 292–300. [Google Scholar] [CrossRef]
- Rossiter, P.B.; Al Hammadi, N. Living with transboundary animal diseases (TADs). Trop. Anim. Health Prod. 2009, 41, 999. [Google Scholar] [CrossRef]
- Trinder, P. Enzymatic methods for glucose determination. Ann. Clin. Biochem. 1969, 6, 24–26. [Google Scholar] [CrossRef]
- Leão, T.L.; da Fonseca, F.G. Subversion of cellular stress responses by poxviruses. World J. Clin. Infect. Dis. 2014, 4, 27–40. [Google Scholar] [CrossRef]
- Fontaine, K.A.; Camarda, R.; Lagunoff, M. Vaccinia virus requires glutamine but not glucose for efficient replication. J. Virol. 2014, 88, 4366–4374. [Google Scholar] [CrossRef]
- Greseth, M.D.; Traktman, P. De novo fatty acid biosynthesis contributes significantly to establishment of a bioenergetically favorable environment for vaccinia virus infection. PLoS Pathog. 2014, 10, e1004021. [Google Scholar] [CrossRef] [PubMed]
- Chang, C.-W.; Li, H.-C.; Hsu, C.-F.; Chang, C.-Y.; Lo, S.-Y. Increased ATP generation in the host cell is required for efficient vaccinia virus production. J. Biomed. Sci. 2009, 16, 80. [Google Scholar] [CrossRef]
- Gal, A.; Wogan, G.N. Mutagenesis associated with nitric oxide production in transgenic SJL mice. Proc. Natl. Acad. Sci. USA 1996, 93, 15102–15107. [Google Scholar] [CrossRef]
- Calmels, S.; Hainaut, P.; Ohshima, H. Nitric oxide induces conformational and functional modifications of wild-type p53 tumor suppressor protein. Cancer Res. 1997, 57, 3365–3369. [Google Scholar]
- Jaiswal, M.; LaRusso, N.F.; Burgart, L.J.; Gores, G.J. Inflammatory cytokines induce DNA damage and inhibit DNA repair in cholangiocarcinoma cells by a nitric oxide-dependent mechanism. Cancer Res. 2000, 60, 184–190. [Google Scholar] [CrossRef]
- Akaike, T. Role of free radicals in viral pathogenesis and mutation. Rev. Med. Virol. 2001, 11, 87–101. [Google Scholar] [CrossRef]
- Weiss, S. Oxygen, ischemia and inflamation. Acta Physiol Scand 1986, 1086, 9–37. [Google Scholar]
- Fridovich, I. Superoxide radical and superoxide dismutases. Annu. Rev. Biochem. 1995, 64, 97–112. [Google Scholar] [CrossRef] [PubMed]
- Granger, D.L.; Hibbs, J.; Perfect, J.R.; Durack, D.T. Specific amino acid (L-arginine) requirement for the microbiostatic activity of murine macrophages. J. Clin. Investig. 1988, 81, 1129–1136. [Google Scholar] [CrossRef] [PubMed]
- Nathan, C.F.; Hibbs, J.B., Jr. Role of nitric oxide synthesis in macrophage antimicrobial activity. Curr. Opin. Immunol. 1991, 3, 65–70. [Google Scholar] [CrossRef] [PubMed]
- Moncada, S.; Higgs, A. The L-arginine-nitric oxide pathway. New Engl. J. Med. 1993, 329, 2002–2012. [Google Scholar] [CrossRef]
- Kann, O.; Almouhanna, F.; Chausse, B. Interferon γ: A master cytokine in microglia-mediated neural network dysfunction and neurodegeneration. Trends Neurosci. 2022, 45, 913–917. [Google Scholar] [CrossRef]
- Alkharfy, K.; Rehman, M.U.; Ahmad, A. Nitric oxide pathway as a potential therapeutic target in COVID-19. Farmacia 2020, 68, 966–969. [Google Scholar] [CrossRef]
- Cherian, D.A.; Peter, T.; Narayanan, A.; Madhavan, S.S.; Achammada, S.; Vynat, G.P. Malondialdehyde as a marker of oxidative stress in periodontitis patients. J. Pharm. Bioallied Sci. 2019, 11, S297. [Google Scholar] [CrossRef]
- Khoubnasabjafari, M.; Ansarin, K.; Jouyban, A. Reliability of malondialdehyde as a biomarker of oxidative stress in psychological disorders. BioImpacts BI 2015, 5, 123. [Google Scholar] [CrossRef]
- Paulose, S.; Rangdhol, V.; Ramesh, R.; Jeelani, S.A.; Brooklyin, S. Estimation of serum malondialdehyde and assessment of DNA damage using comet assay in patients with oral submucous fibrosis. J. Investig. Clin. Dent. 2016, 7, 286–293. [Google Scholar] [CrossRef]
- Wang, X.; Quinn, P.J. Vitamin E and its function in membranes. Prog. Lipid Res. 1999, 38, 309–336. [Google Scholar] [CrossRef]
- El-Demerdash, F.M.; Yousef, M.I.; Kedwany, F.S.; Baghdadi, H.H. Cadmium-induced changes in lipid peroxidation, blood hematology, biochemical parameters and semen quality of male rats: Protective role of vitamin E and β-carotene. Food Chem. Toxicol. 2004, 42, 1563–1571. [Google Scholar] [CrossRef] [PubMed]
- Stephensen, C.B.; Marquis, G.S.; Douglas, S.D.; Kruzich, L.A.; Wilson, C.M. Glutathione, glutathione peroxidase, and selenium status in HIV-positive and HIV-negative adolescents and young adults. Am. J. Clin. Nutr. 2007, 85, 173–181. [Google Scholar] [CrossRef] [PubMed]
- Ali, A.M. The effect of antioxidant nutrition against fenvalerate toxicity in rat liver (histological and immunohistochemical studies). Annu. Res. Rev. Biol. 2013, 3, 636–648. [Google Scholar]
- Camandola, S.; Aragno, M.; Cutrin, J.C.; Tamagno, E.; Danni, O.; Chiarpotto, E.; Parola, M.; Leonarduzzi, G.; Biasi, F.; Poli, G. Liver AP-1 activation due to carbon tetrachloride is potentiated by 1, 2-dibromoethane but is inhibited by α-tocopherol or gadolinium chloride. Free. Radic. Biol. Med. 1999, 26, 1108–1116. [Google Scholar] [CrossRef]
- Kropacova, K.; Misurova, E.; Hakova, H. Protective and therapeutic effect of silymarin on the development of latent liver damage. Radiatsionnaia Biol. Radioecol. 1998, 38, 411–415. [Google Scholar]
- Berger, M.L.; Bhatt, H.; Combes, B.; Estabrook, R.W. CCl4− induced toxicity in isolated hepatocytes: The importance of direct solvent injury. Hepatology 1986, 6, 36–45. [Google Scholar] [CrossRef]
- Šiviková, K.; Piešová, E.; Dianovský, J. The protection of Vitamin E and selenium against carbon tetrachloride-induced genotoxicity in ovine peripheral blood lymphocytes. Mutat. Res. Genet. Toxicol. Environ. Mutagen. 2001, 494, 135–142. [Google Scholar] [CrossRef]





| Variable | Control (n = 30) | Treated (n = 30) | ||
|---|---|---|---|---|
| Initial Sampling | Final Sampling | Initial Sampling | Final Sampling | |
| RBCs × 106/µL | 5.37 ± 0.021 c | 5.57 ± 0.012 b | 5.41 ± 0.019 c | 5.71 ± 0.025 a |
| Hb gm/dL | 8.88 ± 0.022 b | 9.11 ± 0.01 a | 8.89 ± 0.022 b | 9.17 ± 0.019 a |
| PCV % | 28.7 ± 0.026 b | 31.2 ± 0.023 a | 28.6 ± 0.027 b | 31.2 ± 0.02 a |
| MCV fl | 53.4 ± 0.222 c | 56 ± 0.127 a | 52.9 ± 0.193 c | 54.8 ± 0.234 b |
| MCHC % | 31 ± 0.090 a | 29.2 ± 0.039 b | 31.1 ± 0.081 a | 29.4 ± 0.060 b |
| Platelets × 103/µL | 132 ± 0.165 b | 112 ± 0.139 c | 132 ± 0.165 b | 141 ± 0.172 a |
| TLC × 103/µL | 8.74 ± 0.027 b | 9.71 ± 0.011 a | 8.77 ± 0.026 b | 6.25 ± 0.024 c |
| Neutrophil × 103/µL | 3.53 ± 0.011 a | 3.45 ± 0.004 b | 3.54 ± 0.01 a | 2.22 ± 0.009 c |
| Eosinophil × 103/µL | 0.138 ± 0.0004 b | 0.153 ± 0.0001 a | 0.139 ± 0.0004 b | 0.0988 ± 0.0003 c |
| Lymphocyte × 103/µL | 4.81 ± 0.015 b | 5.84 ± 0.006 a | 4.82 ± 0.014 b | 3.78 ± 0.014 c |
| Monocyte × 103/µL | 0.267 ± 0.0008 a | 0.259 ± 0.0003 b | 0.268 ± 0.0007 a | 0.156 ± 0.0006 c |
| Variable | Control (n = 30) | Treated (n = 30) | ||
|---|---|---|---|---|
| Initial Sampling | Final Sampling | Initial Sampling | Final Sampling | |
| NO (ng/μL) | 52.8 ± 0.161 a | 53 ± 0.15 a | 52.5 ± 0.165 a | 38.5 ± 0.147 b |
| MDA (nmol/mL) | 62.2 ± 0.332 a | 50.6 ± 0.203 b | 50.6 ± 0.225 b | 32.3 ± 0.218 c |
| GSH (mg/dL) | 5.47 ± 0.048 c | 6.43 ± 0.050 b | 5.56 ± 0.047 c | 11.3 ± 0.14 a |
| CAT (U/L) | 211 ± 0.161 c | 241 ± 0.163 b | 211 ± 0.177 c | 313 ± 0.257 a |
| SOD (U/mL) | 7.41 ± 0.049 c | 8.45 ± 0.05 b | 7.51 ± 0.044 c | 13.5 ± 0.047 a |
| Groups | Sampling Interval | Row-Wise Percentages (95% Confidence Interval) of Cells Counted for Genetic Damage | |||
|---|---|---|---|---|---|
| Class 0 | Class 1 | Class 2 | Class 3 | ||
| Control (n = 30) | Initial | 21.10% | 35.28% | 36.10% | 7.54% |
| (19.1–23.2) | (32.8–37.8) | (33.7–38.6) | (6.2–9) | ||
| Final | 34.82% | 35.71% | 22.71% | 6.78% | |
| (32.4–37.3) | (33.3–38.2) | (20.6–24.9) | (5.6–8.2) | ||
| Treated (n = 30) | Initial | 22.02% | 35.33% | 36.01% | 6.66% |
| (19.9–24.2) | (32.9–37.8) | (33.6–38.5) | (5.5–8) | ||
| Final | 50.28% | 32.54% | 17.19% | 0% | |
| (47.7–52.8) | (30.1–34.9) | (15.3–19.2) | (0–0.2) | ||
| Parameters | NO (ng/μL) | MDA (nmol/mL) | GSH (mg/dL) | CAT (U/L) | SOD (U/mL) | GDI |
|---|---|---|---|---|---|---|
| NO (ng/μL) | - | 0.89 | −0.97 | −0.95 | −0.97 | 0.76 |
| MDA (nmol/mL) | 0.89 | - | −0.91 | −0.92 | −0.92 | 0.8 |
| GSH (mg/dL) | −0.97 | −0.91 | - | 0.98 | 0.98 | −0.83 |
| CAT (U/L) | −0.95 | −0.92 | 0.98 | - | 0.99 | −0.87 |
| SOD (U/mL) | −0.97 | −0.92 | 0.98 | 0.99 | - | −0.84 |
| GDI | 0.76 | 0.8 | −0.83 | −0.87 | −0.84 | - |
Disclaimer/Publisher’s Note: The statements, opinions and data contained in all publications are solely those of the individual author(s) and contributor(s) and not of MDPI and/or the editor(s). MDPI and/or the editor(s) disclaim responsibility for any injury to people or property resulting from any ideas, methods, instructions or products referred to in the content. |
© 2023 by the authors. Licensee MDPI, Basel, Switzerland. This article is an open access article distributed under the terms and conditions of the Creative Commons Attribution (CC BY) license (https://creativecommons.org/licenses/by/4.0/).
Share and Cite
Ahmad, W.; Sattar, A.; Ahmad, M.; Aziz, M.W.; Iqbal, A.; Tipu, M.Y.; Mushtaq, R.M.Z.; Rasool, N.; Ahmed, H.S.; Ahmad, M. Unveiling Oxidative Stress-Induced Genotoxicity and Its Alleviation through Selenium and Vitamin E Therapy in Naturally Infected Cattle with Lumpy Skin Disease. Vet. Sci. 2023, 10, 643. https://doi.org/10.3390/vetsci10110643
Ahmad W, Sattar A, Ahmad M, Aziz MW, Iqbal A, Tipu MY, Mushtaq RMZ, Rasool N, Ahmed HS, Ahmad M. Unveiling Oxidative Stress-Induced Genotoxicity and Its Alleviation through Selenium and Vitamin E Therapy in Naturally Infected Cattle with Lumpy Skin Disease. Veterinary Sciences. 2023; 10(11):643. https://doi.org/10.3390/vetsci10110643
Chicago/Turabian StyleAhmad, Waqas, Adeel Sattar, Mehmood Ahmad, Muhammad Waqar Aziz, Asif Iqbal, Muhammad Yasin Tipu, Rana Muhammad Zahid Mushtaq, Naeem Rasool, Hafiz Saleet Ahmed, and Muhammad Ahmad. 2023. "Unveiling Oxidative Stress-Induced Genotoxicity and Its Alleviation through Selenium and Vitamin E Therapy in Naturally Infected Cattle with Lumpy Skin Disease" Veterinary Sciences 10, no. 11: 643. https://doi.org/10.3390/vetsci10110643
APA StyleAhmad, W., Sattar, A., Ahmad, M., Aziz, M. W., Iqbal, A., Tipu, M. Y., Mushtaq, R. M. Z., Rasool, N., Ahmed, H. S., & Ahmad, M. (2023). Unveiling Oxidative Stress-Induced Genotoxicity and Its Alleviation through Selenium and Vitamin E Therapy in Naturally Infected Cattle with Lumpy Skin Disease. Veterinary Sciences, 10(11), 643. https://doi.org/10.3390/vetsci10110643

