King Abdulaziz University Breast Cancer Mammogram Dataset (KAU-BCMD)
Abstract
:1. Summary
2. Related Work
2.1. The Digital Dataset for Screening Mammography (DDSM) Dataset
2.2. The Curated Breast Imaging Subset (CBIS-DDSM) Dataset
2.3. The INBREAST Dataset
2.4. The Mammographic Image Analysis Society (MIAS) Dataset
2.5. Other Datasets
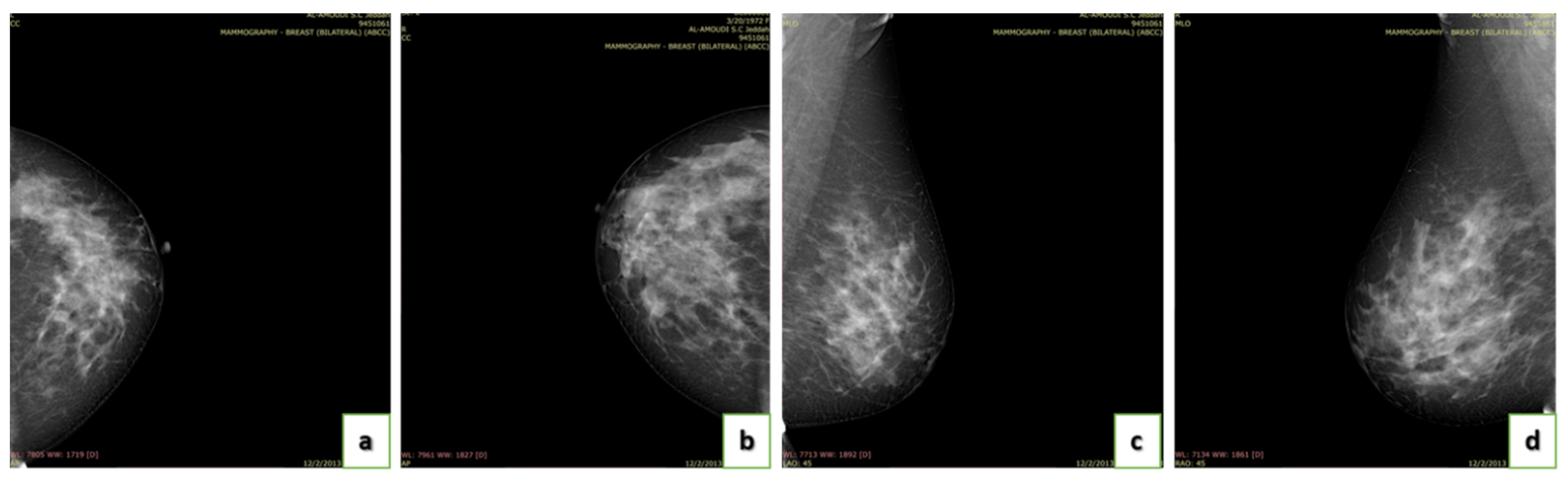
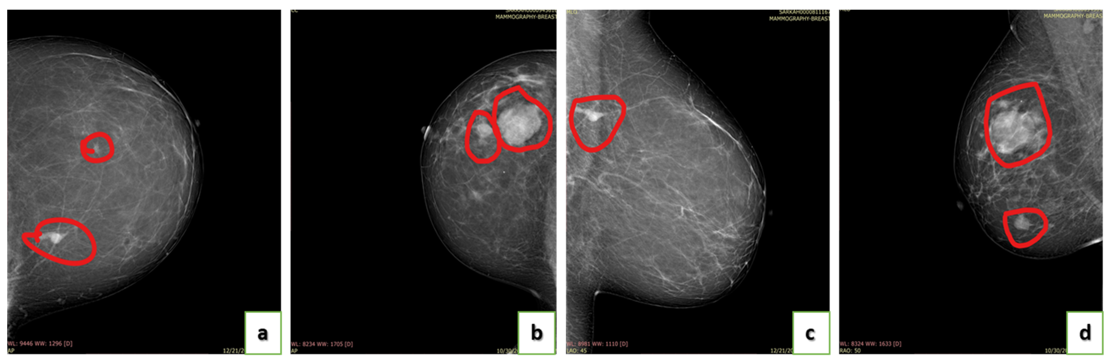
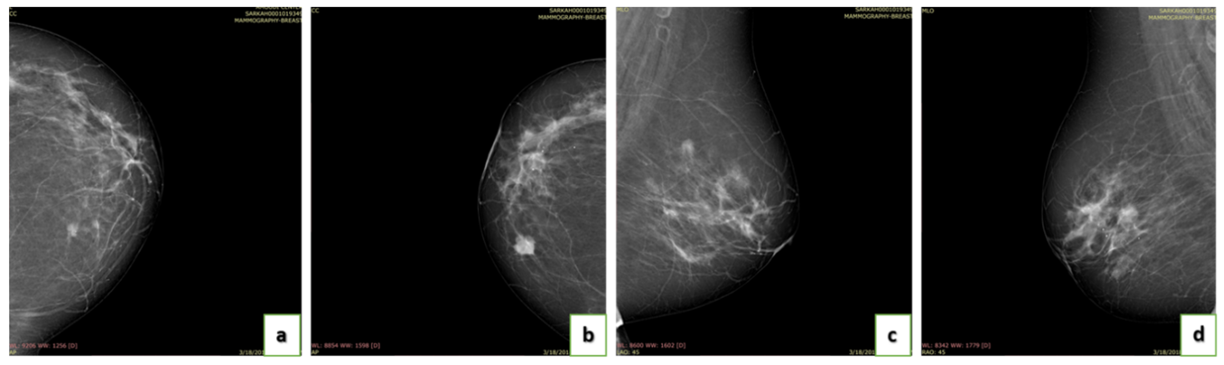
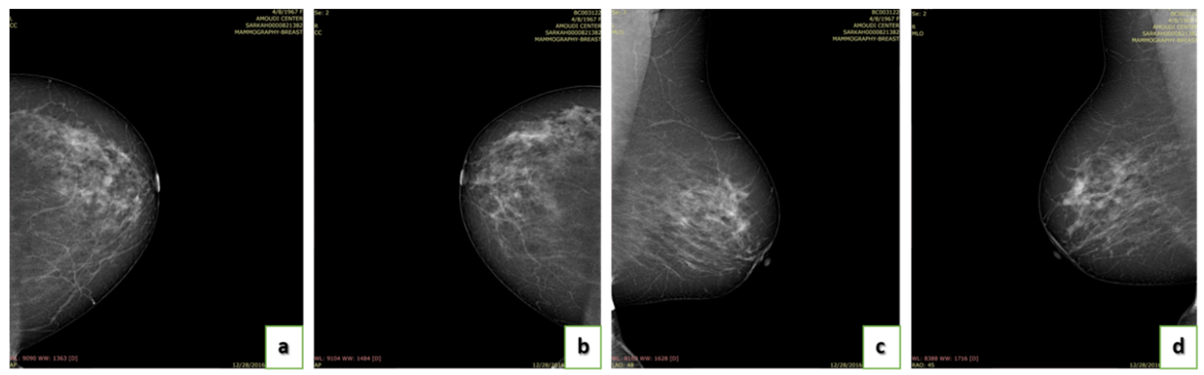
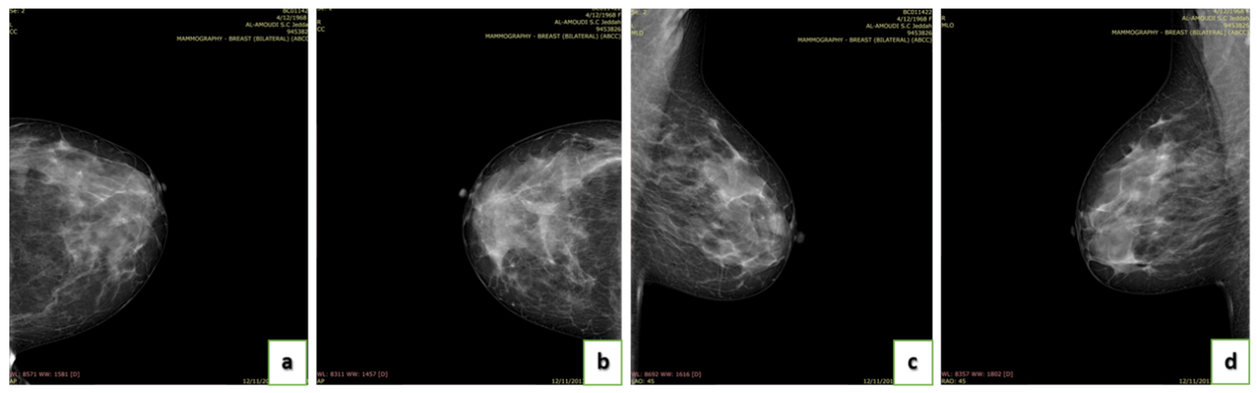
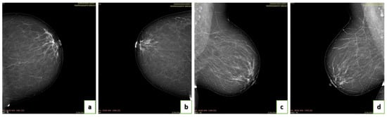
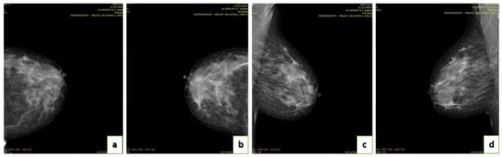
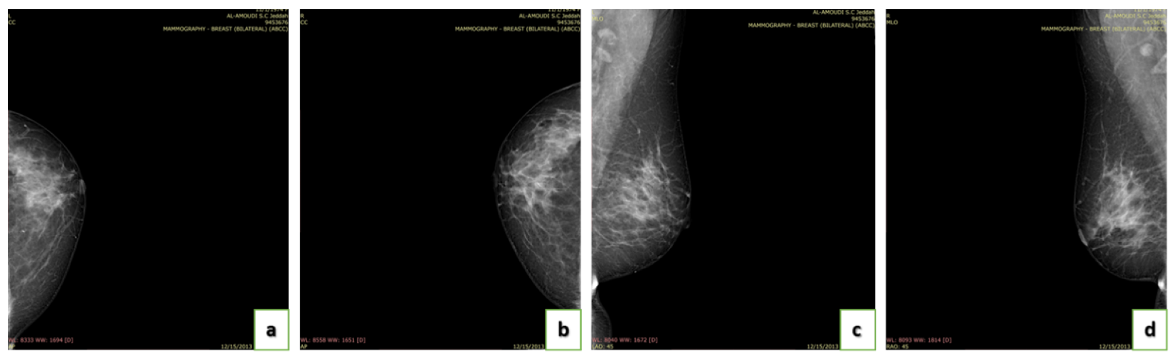
3. KAU-BCMD Data Description
- Date of the scan: the study of mammogram screening.
- Patient ID: It is a unique number to distinguish the records.
- Patient age.
- Breast type: left or right breast.
- Breast view: CC or MLO.
- Assessment: BIRAD categories level.
- Images path: contains the scan folder.

4. Methods
4.1. Ethics Statement
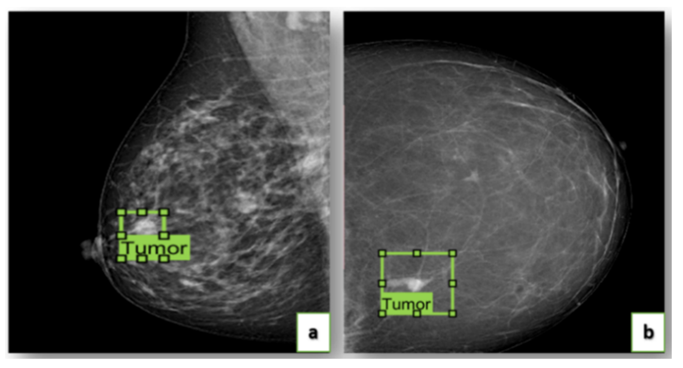
4.2. Annotation of Images
4.3. Data Acquisition
- Image preparing and collecting.
- Image labeling.
- Image validation by a committee of radiologists.
- Publish the dataset.
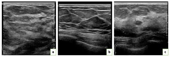
US Images
4.4. Breast Density
- A (0–25%): Almost entirely fatty indicates that the breasts are almost entirely composed of fat. One out of ten women has this result.
- B (25–50%): Scattered areas of fibroglandular density indicate some scattered areas of density, but most of the breast tissue is non-dense. Four out of ten women have this result.
- C (50–75%): Heterogeneously dense indicates that there are some areas of non-dense tissue but that most of the breast tissue is dense. Four out of ten women have this result.
- D (75–100%): Extremely dense indicates that nearly all breast tissue is dense. One out of each women has this result.
5. Discussion
6. Conclusions
Author Contributions
Funding
Institutional Review Board Statement
Informed Consent Statement
Data Availability Statement
Acknowledgments
Conflicts of Interest
References
- Observatory, G.C. World Health Organization. 2021. Available online: http://gco.iarc.fr/ (accessed on 20 October 2021).
- Ahmad, A. Breast cancer statistics: Recent trends. In Breast Cancer Metastasis and Drug Resistance; Springer: Berlin/Heidelberg, Germany, 2019; Volume 1152, pp. 1–7. [Google Scholar]
- Sung, H.; Ferlay, J.; Siegel, R.L.; Laversanne, M.; Soerjomataram, I.; Jemal, A.; Bray, F. Global cancer statistics 2020: GLOBOCAN estimates of incidence and mortality worldwide for 36 cancers in 185 countries. CA Cancer J. Clin. 2021, 71, 209–249. [Google Scholar] [CrossRef]
- Moh.gov. Women’s Health—National Breast Cancer Early Detection Campaign. 2021. Available online: https://www.moh.gov.sa/en/HealthAwareness/EducationalContent/wh/Pages/005.aspx (accessed on 20 October 2021).
- Krishnamoorthy, Y.; Ganesh, K.; Sakthivel, M. Prevalence and determinants of breast and cervical cancer screening among women aged between 30 and 49 years in India: Secondary data analysis of National Family Health Survey–4. Indian J. Cancer 2021. [CrossRef]
- Van der Meer, D.J.; Kramer, I.; van Maaren, M.C.; van Diest, P.J.; Linn, S.; Maduro, J.H.; Strobbe, L.; Siesling, S.; Schmidt, M.K.; Voogd, A.C. Comprehensive trends in incidence, treatment, survival and mortality of first primary invasive breast cancer stratified by age, stage and receptor subtype in the Netherlands between 1989 and 2017. Int. J. Cancer 2021, 148, 2289–2303. [Google Scholar] [CrossRef]
- Debelee, T.G.; Schwenker, F.; Ibenthal, A.; Yohannes, D. Survey of Deep Learning in Breast Cancer Image Analysis; Springer: Berlin/Heidelberg, Germany, 2020; pp. 143–163. [Google Scholar]
- Sheppard, V.B.; Sutton, A.L.; Hurtado-de-Mendoza, A.; He, J.; Dahman, B.; Edmonds, M.C.; Hackney, M.H.; Tadesse, M.G. Race and Patient-reported Symptoms in Adherence to Adjuvant Endocrine Therapy: A Report from the Women’s Hormonal Initiation and Persistence Study. Cancer Epidemiol. Prev. Biomark. 2021, 30, 699–709. [Google Scholar] [CrossRef] [PubMed]
- Tan, M.; Al-Shabi, M.; Chan, W.Y.; Thomas, L.; Rahmat, K.; Ng, K.H. Comparison of two-dimensional synthesized mammograms versus original digital mammograms: A quantitative assessment. Med. Biol. Eng. Comput. 2021, 59, 355–367. [Google Scholar] [CrossRef]
- The Radiology Assistant. 2021. Available online: https://radiologyassistant.nl/breast/bi-rads/bi-rads-for-mammography-and-ultrasound-2013 (accessed on 20 October 2021).
- Magny, S.J.; Shikhman, R.; Keppke, A.L. Breast, Imaging, Reporting and Data System (BI-RADS); StatPearls Publishing: Treasure Island, FL, USA, 2020. [Google Scholar]
- Menezes, G.L.; Winter-Warnars, G.A.; Koekenbier, E.L.; Groen, E.J.; Verkooijen, H.M.; Pijnappel, R.M. Simplifying Breast Imaging Reporting and Data System classification of mammograms with pure suspicious calcifications. J. Med. Screen. 2017, 25, 82–87. [Google Scholar] [CrossRef] [PubMed] [Green Version]
- De Margerie-Mellon, C.; Debry, J.B.; Dupont, A.; Cuvier, C.; Giacchetti, S.; Teixeira, L.; Espié, M.; de Bazelaire, C. Nonpalpable breast lesions: Impact of a second-opinion review at a breast unit on BI-RADS classification. Eur. Radiol. 2021, 31, 5913–5923. [Google Scholar] [CrossRef]
- Davis, J.; Liang, J.; Roh, A.; Kittrell, L.; Petterson, M.; Winton, L.; Connell, M.; Viscusi, R.; Komenaka, I.; Jamshidi, R. Use of breast imaging-reporting and data system (BI-RADS) ultrasound classification in pediatric and adolescent patients overestimates likelihood of malignancy. J. Pediatr. Surg. 2021, 56, 1000–1003. [Google Scholar] [CrossRef] [PubMed]
- Jagadesh, B.; Kumari, L.K. A GLCM based Feature Extraction in Mammogram Images using Machine Learning Algorithms. Int. J. Curr. Res. Rev. 2021, 13, 145–149. [Google Scholar] [CrossRef]
- Shaikh, K.; Krishnan, S.; Thanki, R. Deep Learning Model for Classification of Breast Cancer. In Artificial Intelligence in Breast Cancer Early Detection and Diagnosis; Springer: Cham, Switzerland, 2021; pp. 93–100. [Google Scholar]
- Sharma, R. Global, regional, national burden of breast cancer in 185 countries: Evidence from GLOBOCAN 2018. Breast Cancer Res. Treat. 2021, 187, 557–567. [Google Scholar] [CrossRef]
- Turbow, S.D.; White, M.C.; Breslau, E.S.; Sabatino, S.A. Mammography use and breast cancer incidence among older U.S. women. Breast Cancer Res. Treat. 2021, 188, 307–316. [Google Scholar] [CrossRef]
- Alsheik, N.; Blount, L.; Qiong, Q.; Talley, M.; Pohlman, S.; Troeger, K.; Abbey, G.; Mango, V.L.; Pollack, E.; Chong, A.; et al. Outcomes by Race in Breast Cancer Screening With Digital Breast Tomosynthesis Versus Digital Mammography. J. Am. Coll. Radiol. 2021, 18, 906–918. [Google Scholar] [CrossRef]
- Alsolami, F.J.; Azzeh, F.S.; Ghafouri, K.J.; Ghaith, M.M.; Almaimani, R.A.; Almasmoum, H.A.; Abdulal, R.H.; Abdulaal, W.H.; Jazar, A.S.; Tashtoush, S.H. Determinants of breast cancer in Saudi women from Makkah region: A case-control study (breast cancer risk factors among Saudi women). BMC Public Health 2019, 19, 1554. [Google Scholar] [CrossRef] [PubMed]
- Alshahrani, M.; Alhammam, S.Y.M.; Al Munyif, H.A.S.; AlWadei, A.M.A.; AlWadei, A.M.A.; Alzamanan, S.S.M.; Aljohani, N.S.M. Knowledge, Attitudes, and Practices of Breast Cancer Screening Methods Among Female Patients in Primary Healthcare Centers in Najran, Saudi Arabia. J. Cancer Educ. 2018, 34, 1167–1172. [Google Scholar] [CrossRef] [PubMed] [Green Version]
- USF Digital Mammography Home. 2021. Available online: http://marathon.csee.usf.edu/Mammography/Database.html (accessed on 20 October 2021).
- University of South Florida Digital Mammography Home Page. 2021. Available online: http://www.eng.usf.edu/cvprg/Mammography/Database.html (accessed on 20 October 2021).
- Lee, R.S.; Gimenez, F.; Hoogi, A.; Miyake, K.K.; Gorovoy, M.; Rubin, D. A curated mammography data set for use in computer-aided detection and diagnosis research. Sci. Data 2017, 4, 170177. [Google Scholar] [CrossRef]
- CBIS-DDSM. 2021. Available online: https://wiki.cancerimagingarchive.net/display/Public/CBIS-DDSM (accessed on 20 October 2021).
- Moreira, I.C.; Amaral, I.; Domingues, I.; Cardoso, A.; Cardoso, M.J.; Cardoso, J. INbreast: Toward a Full-field Digital Mammographic Database. Acad. Radiol. 2012, 19, 236–248. [Google Scholar] [CrossRef] [PubMed] [Green Version]
- The Mini-MIAS Database of Mammograms. UK Research Groups. 2021. Available online: http://peipa.essex.ac.uk/info/mias.html (accessed on 20 October 2021).
- Antoniou, Z.C.; Giannakopoulou, G.P.; Andreadis, I.I.; Nikita, K.S.; Ligomenides, P.A.; Spyrou, G.M. A web-accessible mammographic image database dedicated to combined training and evaluation of radiologists and machines. In Proceedings of the Information Technology and Applications in Biomedicine, Larnaka, Cyprus, 4–7 November 2009. [Google Scholar]
- Tangaro, S.; Bellotti, R.; De Carlo, F.; Gargano, G.; Lattanzio, E.; Monno, P.; Massafra, R.; Delogu, P.; Fantacci, M.E.; Retico, A.; et al. MAGIC-5: An Italian mammographic database of digitised images for research. La Radiol. Med. 2008, 113, 477–485. [Google Scholar] [CrossRef]
- Karssemeijer, N.; Thijssen, M.; Hendriks, J.; van Erning, L. (Eds.) Digital Mammography: Nijmegen; Springer Science & Business Media: Berlin/Heidelberg, Germany, 1998; Volume 13. [Google Scholar]
- Oliveira, J.E.; Gueld, M.O.; Araújo, A.D.A.; Ott, B.; Deserno, T.M. Toward a standard reference database for computer-aided mammography. In Medical Imaging 2008: Computer-Aided Diagnosis; International Society for Optics and Photonics: Bellingham, WA, USA, 2008; Volume 6915, p. 69151Y. [Google Scholar]
- Trueta Database. 2021. Available online: http://eia.udg.edu/aoliver/publications/tesi/node137.html (accessed on 20 October 2021).
- Oliver, A.; Lladó, X.; Pérez, E.; Pont, J.; Denton, E.R.E.; Freixenet, J.; Martí, J. A statistical approach for breast density segmentation. J. Digit. Imaging 2010, 23, 527–537. [Google Scholar] [CrossRef] [Green Version]
- Zimmermann, D. IMS Giotto—GMM Group—Giotto Class. 2021. Available online: https://healthcare-in-europe.com/en/radbook/mammography/731-ims-giotto-gmm-group-giotto-class.html (accessed on 20 October 2021).
- Nishikawa. Development of a Common Database for Digital Mammography Research; University of Chicago: Chicago, IL, USA, 1996. [Google Scholar]
- Kohli, M.D.; Summers, R.M.; Geis, J.R. Medical Image Data and Datasets in the Era of Machine Learning—Whitepaper from the 2016 C-MIMI Meeting Dataset Session. J. Digit. Imaging 2017, 30, 392–399. [Google Scholar] [CrossRef] [Green Version]
- Harvey, H.; Glocker, B. A Standardised Approach for Preparing Imaging Data for Machine Learning Tasks in Radiology. In Artificial Intelligence in Medical Imaging; Ranschaert, E., Morozov, S., Algra, P., Eds.; Springer: Cham, Switzerland, 2019. [Google Scholar] [CrossRef]
- Vilmun, B.M.; Vejborg, I.; Lynge, E.; Lillholm, M.; Nielsen, M.; Nielsen, M.B.; Carlsen, J.F. Impact of adding breast density to breast cancer risk models: A systematic review. Eur. J. Radiol. 2020, 127, 109019. [Google Scholar] [CrossRef]
- Alonzo-Proulx, O.; Mawdsley, G.; Patrie, J.T.; Yaffe, M.J.; Harvey, J.A. Reliability of Automated Breast Density Measurements. Radiol. 2015, 275, 366–376. [Google Scholar] [CrossRef] [PubMed]
- DSpak, D.; Plaxco, J.; Santiago, L.; Dryden, M.; Dogan, B. BI-RADS ® fifth edition: A summary of changes. Diagn. Interv. Imaging 2017, 98, 179–190. [Google Scholar] [CrossRef]
- Chugh, G.; Kumar, S.; Singh, N. Survey on Machine Learning and Deep Learning Applications in Breast Cancer Diagnosis. Cogn. Comput. 2021, 1–20. [Google Scholar] [CrossRef]

















| BIRADS | Category | Description |
|---|---|---|
| 0 | Mammography incomplete | Needs additional image |
| 1 | Negative | Normal |
| 2 | Benign | 5% changes |
| 3 | Probably benign | Follow up (6 months) |
| 4 | Suspicious malignant | Probability of malignancy |
| 5 | Malignant | Highly suggestive of malignancy (>95% probability of malignancy) |
| 6 | Proven malignant | Known biopsy |
| Subject Area | Breast Cancer, Mammogram |
|---|---|
| More specific subject area | Breast cancer early detection based on BIRAD system |
| Modality | Mammogram, Ultrasound (US) |
| Type of data | DICOM, JPG |
| How data was acquired | Breast imaging technology from IMS Giotto as DICOM images |
| Data format | Raw and Annotations |
| Experimental factors | All the patients were subjected to breast cancer classification with one of BIRAD level |
| Experimental features | Provide enough data for breast cancer detection and classification using deep learning classification. |
| Data source location | Sheikh Mohammed Hussein Al-Amoudi Center of Excellence in Breast Cancer in King Abdul-Aziz University, Jeddah, Saudi Arabia |
| Data accessibility | https://www.kaggle.com/asmaasaad/king-abdulaziz-university-mammogram-dataset (accessed on 20 October 2021) |
| Dataset | MIAS [27] | DDSM [23] | CBIS-DDSM [24,25] | INbreast [26] | MIRacle [28] | Magic5 [29] | Nijmegen [30] | Trueta [32,33] | IRAM [31] | Malaga [33] | LLNL [30] |
|---|---|---|---|---|---|---|---|---|---|---|---|
| Original | UK | USA | USA | Portugal | Greece | Italian | Netherlands | Spain | Germany | Spain | USA |
| Year | 1994 | 1999 | 2017–2018 | 2010 | 2009 | 2002 | 1998 | 2008 | 2008 | 2008 | 2008 |
| Number of cases | 161 | 2620 | 6775 | 115 | 196 | 967 | 21 | 89 | NA | 35 | 50 |
| Number of images | 322 | 10,480 | 10,239 | 410 | 204 | 3369 | 40 | 320 | 10,500 | NA | 198 |
| Views | MLO | MLO, CC | MLO, CC | MLO, CC | NA | MLO, CC | MLO, CC | MLO, CC | MLO, CC | MLO, CC | MLO, CC |
| Image type file | PGM | LJPEG | DICOM | DICOM, XML | NA | DICOM | NA | DICOM | Several | Raw | ICS |
| BI-RADS | NO | YES | YES | YES | YES | NO | NO | YES | YES | NA | NA |
| Ground truth | YES | YES | YES | NO | YES | YES | YES | YES | NO | NO | NO |
| Patient information | NO | YES, AGE | YES, AGE | YES | NO | YES, AGE | NA | NA | NA | NA | NO |
| Dataset type | Private | Public | Public | Public | Private | Private | Private | Private | Private | Private | Private |
Publisher’s Note: MDPI stays neutral with regard to jurisdictional claims in published maps and institutional affiliations. |
© 2021 by the authors. Licensee MDPI, Basel, Switzerland. This article is an open access article distributed under the terms and conditions of the Creative Commons Attribution (CC BY) license (https://creativecommons.org/licenses/by/4.0/).
Share and Cite
Alsolami, A.S.; Shalash, W.; Alsaggaf, W.; Ashoor, S.; Refaat, H.; Elmogy, M. King Abdulaziz University Breast Cancer Mammogram Dataset (KAU-BCMD). Data 2021, 6, 111. https://doi.org/10.3390/data6110111
Alsolami AS, Shalash W, Alsaggaf W, Ashoor S, Refaat H, Elmogy M. King Abdulaziz University Breast Cancer Mammogram Dataset (KAU-BCMD). Data. 2021; 6(11):111. https://doi.org/10.3390/data6110111
Chicago/Turabian StyleAlsolami, Asmaa S., Wafaa Shalash, Wafaa Alsaggaf, Sawsan Ashoor, Haneen Refaat, and Mohammed Elmogy. 2021. "King Abdulaziz University Breast Cancer Mammogram Dataset (KAU-BCMD)" Data 6, no. 11: 111. https://doi.org/10.3390/data6110111
APA StyleAlsolami, A. S., Shalash, W., Alsaggaf, W., Ashoor, S., Refaat, H., & Elmogy, M. (2021). King Abdulaziz University Breast Cancer Mammogram Dataset (KAU-BCMD). Data, 6(11), 111. https://doi.org/10.3390/data6110111

