Reconstruction of Soft Biological Tissues Using Laser Soldering Technology with Temperature Control and Biopolymer Nanocomposites
Abstract
1. Introduction
2. Materials and Methods
2.1. Laser System
2.2. Biopolymer Nanocomposite Solder
2.3. Laser Soldering Process
2.4. Scanning Electron Microscopy
2.5. Laser Scanning Microscopy
2.6. Histological and Immunohistochemical Studies
2.7. Tensile Strength of Welds
3. Results and Discussion
3.1. In Vivo Studies
3.2. Laser Solders Structure
3.3. Sutures Structure
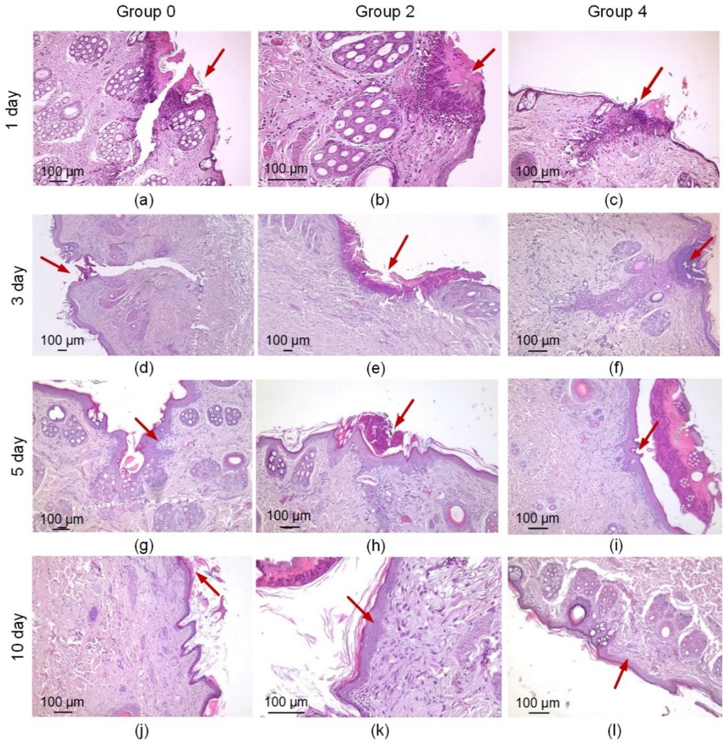
3.4. Histological and Immunohistochemical Analyses
3.5. Tensile Strength of Welds
4. Conclusions
Author Contributions
Funding
Institutional Review Board Statement
Acknowledgments
Conflicts of Interest
References
- Suter, V.G.A.; Altermatt, H.J.; Bornstein, M.M. A randomized controlled trial comparing surgical excisional biopsies using CO2 laser, Er:YAG laser and scalpel. Int. J. Oral Maxillofac. Surg. 2020, 49, 99–106. [Google Scholar] [CrossRef] [PubMed]
- Zorec, B.; Skrabelj, D.; Marincek, M.; Miklavcic, D.; Pavselj, N. The effect of pulse duration, power and energy of fractional Er:YAG laser for transdermal delivery of differently sized FITC dextrans. Int. J. Pharm. 2017, 516, 204–213. [Google Scholar] [CrossRef] [PubMed]
- Gabay, I.; Barequet, I.; Varssano, D.; Rosner, M.; Katzir, A. Bonding surgical incisions using a temperature-controlled laser system based on a single infrared fiber. J. Biomed. Opt. 2013, 18, 111416. [Google Scholar] [CrossRef] [PubMed]
- Hu, L.; Lu, Z.; Wang, B.; Cao, J.; Ma, X.; Tian, Z.; Gao, Z.; Qin, L.; Wu, X.; Liu, Y.; et al. Closure of skin incisions by laser-welding with a combination of two near-infrared diode lasers: Preliminary study for determination of optimal parameters. J. Biomed. Opt. 2011, 16, 038001. [Google Scholar] [CrossRef] [PubMed][Green Version]
- Matteini, P.; Ratto, F.; Rossi, F.; Pini, R. Emerging concepts of laser-activated nanoparticles for tissue bonding. J. Biomed. Opt. 2012, 17, 010701. [Google Scholar] [CrossRef]
- Pretel, H.; Lizarelli, R.; Ramalho, L. Effect of Low-Level Laser Therapy on Bone Repair: Histological Study in Rats. Lasers Surg. Med. 2007, 39, 788–796. [Google Scholar] [CrossRef]
- Atasoy, K.T.; Korkmaz, Y.T.; Odaci, E.; Hanci, H. The efficacy of low-level 940 nm laser therapy with different energy intensities on bone healing. Braz. Oral Res. 2017, 31, 1–9. [Google Scholar] [CrossRef][Green Version]
- Yammine, S.; Jabbour, E.; El Toum, S.; Cassia, A. Histological Study of Induced Incisions on Rabbits’ Tongues with Three Diode Lasers with Different Wavelengths in Continuous Mode. Scientifica 2018, 2018, 2691942. [Google Scholar] [CrossRef]
- Mistry, Y.A.; Natarajan, S.S.; Ahuja, S.A. Evaluation of laser tissue welding and laser-tissue soldering for mucosal and vascular repair. Ann. Maxillofac. Surg. 2018, 8, 35–41. [Google Scholar] [CrossRef]
- Oliver, J.; Vincelette, R.; Noojin, G.; Clark, C.; Harbert, C.; Schuster, K.; Shingledecker, A.; Kumru, S.; Maughan, J.; Kitzis, N.; et al. Infrared skin damage thresholds from 1319-nm continuous-wave laser exposures. J. Biomed. Opt. 2013, 18, 125002. [Google Scholar] [CrossRef][Green Version]
- Vincelette, R.; Noojin, G.; Harbert, C.; Schuster, K.; Shingledecker, A.; Stolarski, D.; Kumru, S.; Oliver, J. Porcine skin damage thresholds for 0.6 to 9.5 cm beam diameters from 1070-nm continuous-wave infrared laser radiation. J. Biomed. Opt. 2014, 19, 035007. [Google Scholar] [CrossRef] [PubMed]
- Tan, H.; Teng, S.; Lo, W.; Lin, W.; Lin, S.; Jee, S.; Dong, C. Characterizing the thermally induced structural changes to intact porcine eye, part 1: Second harmonic generation imaging of cornea stroma. J. Biomed. Opt. 2005, 10, 054019. [Google Scholar] [CrossRef] [PubMed]
- Tal, K.; Strassmann, E.; Loya, N. Corneal cut closure using temperature-controlled CO2 laser soldering system. Lasers Med. Sci. 2015, 30, 1367–1371. [Google Scholar] [CrossRef] [PubMed]
- Sriramoju, V.; Alfano, R. Management of Heat in Laser Tissue Welding Using NIR Cover Window Material. Lasers Surg. Med. 2011, 43, 991–997. [Google Scholar] [CrossRef] [PubMed]
- Ting, C.; Fukuda, M.; Watanabe, T.; Sanaoka, A.; Mitani, A.; Noguchi, T. Morphological Alterations of Periodontal Pocket Epithelium Following Nd:YAG Laser Irradiation. Photomed. Laser Surg. 2014, 32, 649–657. [Google Scholar] [CrossRef]
- Rezende, S.B.; Ribeiro, M.S.; Núñez, S.C.; Garcia, V.G.; Maldonado, E.P. Effects of a single near-infrared laser treatment on cutaneous wound healing: Biometrical and histological study in rats. J. Photochem. Photobiol. 2007, 87, 145–153. [Google Scholar] [CrossRef]
- Unver, T.; Aytugar, E.; Ozturan, O.; Kiran, T.; Ademci, E.; Usumez, A. Histological Effects of Er:YAG Laser Irradiation with Snoring Handpiece in the Rat Soft Palate. Photomed. Laser Surg. 2016, 34, 321–325. [Google Scholar] [CrossRef]
- Vescovi, P.; Merigo, E.; Fornaini, C.; Rocca, J.; Nammour, S. Thermal increase in the oral mucosa and in the jawbone during Nd:YAG laser applications. Ex vivo study. Med. Oral Patol. Oral Cir. Bucal 2012, 17, 697–704. [Google Scholar] [CrossRef]
- Gomes, D.F.; Galvana, I.; Ramos Loja, M.A. Overview on the Evolution of Laser Welding of Vascular and Nervous Tissues. Appl. Sci. 2019, 9, 2157. [Google Scholar] [CrossRef]
- Strassmanna, E.; Livnyb, E.; Loyab, N.; Karivc, N.; Ravidd, A.; Katzird, A.; Gaton, A.D.D. CO2 Laser Welding of Corneal Cuts with Albumin Solder Using Radiometric Temperature Control. Ophthalmic Res. 2013, 50, 174–179. [Google Scholar] [CrossRef]
- Elanchezhiyan, S.; Renukadevi, R.; Vennila, K. Comparison of diode laser-assisted surgery and conventional surgery in the management of hereditary ankyloglossia in siblings: A case report with scientific review. Lasers Med. Sci. 2013, 28, 7–12. [Google Scholar] [CrossRef] [PubMed]
- Nakadate, R.; Omori, S. Improving the strength of sutureless laser-assisted vessel repair using preloaded longitudinal compression on tissue edge. Lasers Surg. Med. 2017, 49, 533–538. [Google Scholar] [CrossRef] [PubMed]
- Schonfeld, A.; Kabra, Z.; Constantinescu, M. Binding of indocyanine green in polycaprolactone fibers using blend electrospinning for in vivo laser-assisted vascular anastomosis. Lasers Surg. Med. 2017, 49, 928–938. [Google Scholar] [CrossRef] [PubMed]
- Mbaidjol, Z.; Kiermeir, D.; Schönfeld, A.; Arnoldi, J. Endoluminal laser-assisted vascular anastomosis-an in vivo study in a pig model. Lasers Med. Sci. 2017, 32, 1343–1348. [Google Scholar] [CrossRef] [PubMed]
- Matteini, P.; Ratto, F.; Rossi, F.; de Angelis, M.; Cavigli, L.; Pini, R. Hybrid nanocomposite films for laser-activated tissue bonding. J. Biophotonics 2012, 5, 868–877. [Google Scholar] [CrossRef] [PubMed]
- Ratto, F.; Matteini, P.; Centi, S.; Rossi, F.; Pini, R. Gold nanorods as new nanochromophores for photothermal therapies. J. Biophotonics 2011, 4, 64–73. [Google Scholar] [CrossRef]
- Khhosroshahi, M.E.; Nourbakhsh, M.S.; Saremi, S. Characterization of skin tissue soldering using diode laser and indocyanine green: In vitro studies. Lasers Med. Sci. 2010, 25, 207–212. [Google Scholar] [CrossRef]
- Bogni, S.; Ortner, M.A.; Vajtai, I.; Jost, C.; Reinert, M.; Dallemagne, B.; Frenz, M. New laser soldering-based closures: A promising method in natural orifice transluminal endoscopic surgery. Gastrointest. Endosc. 2012, 76, 151–158. [Google Scholar] [CrossRef]
- Lauto, A. Repair strength dependence on solder protein concentration: A study in laser tissue-welding. Lasers Surg. Med. 1998, 22, 120–125. [Google Scholar] [CrossRef]
- Kasálková, N.S.; Slepička, P.; Kolská, Z. Grafting of bovine serum albumin proteins on plasma-modified polymers for potential application in tissue engineering. Nanoscale Res. Lett. 2014, 9, 161. [Google Scholar] [CrossRef]
- Horváthy, D.B.; Simon, M.; Schwarz, C.M.; Masteling, M.; Vácz, G.; Hornyák, I.; Lacza, Z. Serum albumin as a local therapeutic agent in cell therapy and tissue engineering. Biofactors 2017, 43, 315–330. [Google Scholar] [CrossRef] [PubMed]
- Schoni, S.; Bogni, S.; Bregy, A.; Wirth, A.; Raabe, A.; Vajtai, I.; Pieles, U.; Reinert, M.; Frenz, M. Nanoshell Assisted Laser Soldering of Vascular Tissue. Lasers Surg. Med. 2011, 43, 975–983. [Google Scholar] [CrossRef] [PubMed]
- Gerasimenko, A.Y.; Ichkitidze, L.P.; Piyankov, E.S. Use of Indocyanine Green in Nanocomposite Solders to Increase Strength and Homogeneity in Laser Welding of Tendons. Biomed. Eng. 2017, 50, 310–313. [Google Scholar] [CrossRef]
- Hiebla, B.; Ascherb, L.; Luetzowb, K.; Kratzb, K.; Grubera, C.; Mrowietzb, C.; Nehringa, M.E.; Lendleinb, A.; Frankee, R.; Jung, F. Albumin solder covalently bound to a polymer membrane: New approach to improve binding strength in laser tissue soldering in–vitro. Clin. Hemorheol. 2018, 69, 317–326. [Google Scholar] [CrossRef]
- Gerasimenko, A.Y.; Ichkitidze, L.P.; Podgaetsky, V.M.; Selishchev, S.V. Biomedical applications of promising nanomaterials with carbon nanotubes. Biomed. Eng. 2015, 48, 310–314. [Google Scholar] [CrossRef]
- Sun, Y.; Liu, X.; George, M.N. Enhanced nerve cell proliferation and differentiation on electrically conductive scaffolds embedded with graphene and carbon nanotubes. Biomed. Mater. Res. 2021, 109, 193–206. [Google Scholar] [CrossRef] [PubMed]
- Chen, Y.S.; Hsiue, G.H. Directing neural differentiation of mesenchymal stem cells by carboxylated multiwalled carbon nanotubes. Biomaterials 2013, 34, 4936–4944. [Google Scholar] [CrossRef]
- Gerasimenko, A.Y.; Ten, G.N.; Ryabkin, D.I.; Shcherbakova, N.E.; Morozova, E.A.; Ichkitidze, L.P. The study of the interaction mechanism between bovine serum albumin and single-walled carbon nanotubes depending on their diameter and concentration in solid nanocomposites by vibrational spectroscopy. Spectrochim. Acta A Mol. Biomol. Spectrosc. 2020, 227, 117682. [Google Scholar] [CrossRef]
- Gerasimenko, A.Y.; Glukhova, O.E.; Savostyanov, G.V.; Podgaetsky, V.M. Laser structuring of carbon nanotubes in the albumin matrix for the creation of composite biostructures. J. Biomed. Opt. 2017, 22, 065003. [Google Scholar] [CrossRef]
- Gerasimenko, A.Y.; Ichkitidze, L.P.; Pavlov, A.A.; Piyankov, E.S.; Ryabkin, D.I.; Savelyev, M.S.; Podgaetskii, V.M. Laser system with adaptive thermal stabilization for welding of biological tissues. Biomed. Eng. 2016, 49, 344–348. [Google Scholar] [CrossRef]
- Ang, K.H.; Chong, G.; Li, Y. PID control system analysis, design, and technology. IEEE Trans. Control Syst. Technol. 2005, 13, 559–576. [Google Scholar]
- McNally, K.M.; Sorg, B.S.; Chan, E.K.; Welch, A.J.; Dawes, J.M.; Owen, E.R. Optimal parameters for laser tissue soldering. Part I: Tensile strength and scanning electron microscopy analysis. Lasers Surg. Med. 2017, 24, 319–331. [Google Scholar] [CrossRef]
- Talmor, M.; Bleustein, C.B.; Poppas, D.P. Laser tissue welding: A biotechnological advance for the future. Arch. Facial Plast. Surg. 2001, 3, 207–213. [Google Scholar] [CrossRef] [PubMed]
- Gerasimenko, A.Y.; Kuksin, A.V.; Shaman, Y.P.; Kitsyuk, E.P.; Fedorova, Y.O.; Sysa, A.V.; Glukhova, O.E. Electrically Conductive Networks from Hybrids of Carbon Nanotubes and Graphene Created by Laser Radiation. J. Nanomater. 2021, 11, 1875. [Google Scholar] [CrossRef]
- Savelyev, M.S.; Gerasimenko, A.Y.; Vasilevsky, P.N.; Fedorova, Y.O.; Groth, T.; Ten, G.N.; Telyshev, D.V. Spectral analysis combined with nonlinear optical measurement of laser printed biopolymer composites comprising chitosan/SWCNT. Anal. Biochem. 2020, 598, 113710. [Google Scholar] [CrossRef] [PubMed]
- Gerasimenko, A.Y.; Kurilova, U.E.; Savelyev, M.S.; Murashko, D.T.; Glukhova, O.E. Laser fabrication of composite layers from biopolymers with branched 3D networks of single-walled carbon nanotubes for cardiovascular implants. Compos. Struct. 2021, 260, 113517. [Google Scholar] [CrossRef]
- Gerasimenko, A.Y.; Kurilova, U.E.; Suetina, I.A.; Mezentseva, M.V.; Zubko, A.V.; Sekacheva, M.I.; Glukhova, O.E. Laser Technology for the Formation of Bioelectronic Nanocomposites Based on Single-Walled Carbon Nanotubes and Proteins with Different Structures, Electrical Conductivity and Biocompatibility. Appl. Sci. 2021, 11, 8036. [Google Scholar] [CrossRef]
- Demidenko, N.A.; Kuksin, A.V.; Molodykh, V.V.; Pyankov, E.S.; Ichkitidze, L.P.; Zaborova, V.A.; Tsymbal, A.A.; Tkachenko, S.A.; Shafaei, H.; Diachkova, E.; et al. Flexible Strain-Sensitive Silicone-CNT Sensor for Human Motion Detection. Bioengineering 2022, 9, 36. [Google Scholar] [CrossRef]









| Group | Reconstruction Technology | Solder Components (wt.%) | ||
|---|---|---|---|---|
| BSA | ICG | SWCNT | ||
| 0 | Suture material | - | - | - |
| 1 | Solder | 25 | 0.0 | 0.0 |
| 2 | Solder | 25 | 0.1 | 0.0 |
| 3 | Solder | 25 | 0.0 | 0.1 |
| 4 | Solder | 25 | 0.1 | 0.1 |
Publisher’s Note: MDPI stays neutral with regard to jurisdictional claims in published maps and institutional affiliations. |
© 2022 by the authors. Licensee MDPI, Basel, Switzerland. This article is an open access article distributed under the terms and conditions of the Creative Commons Attribution (CC BY) license (https://creativecommons.org/licenses/by/4.0/).
Share and Cite
Gerasimenko, A.Y.; Morozova, E.A.; Ryabkin, D.I.; Fayzullin, A.; Tarasenko, S.V.; Molodykh, V.V.; Pyankov, E.S.; Savelyev, M.S.; Sorokina, E.A.; Rogalsky, A.Y.; et al. Reconstruction of Soft Biological Tissues Using Laser Soldering Technology with Temperature Control and Biopolymer Nanocomposites. Bioengineering 2022, 9, 238. https://doi.org/10.3390/bioengineering9060238
Gerasimenko AY, Morozova EA, Ryabkin DI, Fayzullin A, Tarasenko SV, Molodykh VV, Pyankov ES, Savelyev MS, Sorokina EA, Rogalsky AY, et al. Reconstruction of Soft Biological Tissues Using Laser Soldering Technology with Temperature Control and Biopolymer Nanocomposites. Bioengineering. 2022; 9(6):238. https://doi.org/10.3390/bioengineering9060238
Chicago/Turabian StyleGerasimenko, Alexander Yu., Elena A. Morozova, Dmitry I. Ryabkin, Alexey Fayzullin, Svetlana V. Tarasenko, Victoria V. Molodykh, Evgeny S. Pyankov, Mikhail S. Savelyev, Elena A. Sorokina, Alexander Y. Rogalsky, and et al. 2022. "Reconstruction of Soft Biological Tissues Using Laser Soldering Technology with Temperature Control and Biopolymer Nanocomposites" Bioengineering 9, no. 6: 238. https://doi.org/10.3390/bioengineering9060238
APA StyleGerasimenko, A. Y., Morozova, E. A., Ryabkin, D. I., Fayzullin, A., Tarasenko, S. V., Molodykh, V. V., Pyankov, E. S., Savelyev, M. S., Sorokina, E. A., Rogalsky, A. Y., Shekhter, A., & Telyshev, D. V. (2022). Reconstruction of Soft Biological Tissues Using Laser Soldering Technology with Temperature Control and Biopolymer Nanocomposites. Bioengineering, 9(6), 238. https://doi.org/10.3390/bioengineering9060238

