Sol-Gel Derived Hydroxyapatite Coatings for Titanium Implants: A Review
Abstract
1. Introduction
2. Deposition Techniques of Hydroxyapatite
3. Sol-Gel Deposition of Hydroxyapatite
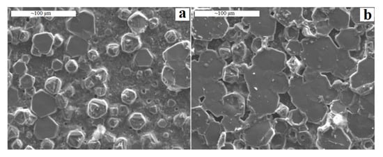
3.1. Preparation of the Hydroxyapatite Sol
3.2. Deposition Approaches of Hydroxyapatite Sol
3.3. Limitations of Sol-Gel Derived Hydroxyapatite Coatings
4. Optimizing the Sol-Gel Processing Parameters
5. Engineering of the Interface
5.1. TiO2 Interlayer Prepared by Sol-Gel
5.2. TiO2 Interlayer Prepared by Anodization
5.3. Other Types of Interlayer
6. Reinforcement of Sol-Gel Derived Hydroxyapatite by Composite Formation and Ion Exchange
6.1. Hydroxyapatite—Ceramic Systems
6.2. Hydroxyapatite—Carbon Nanotube Systems
6.3. Substituted Hydroxyapatite Coating Systems
6.4. Hydroxyapatite—Polymer System
7. Summary and Future Perspectives
Funding
Conflicts of Interest
References
- Chen, J.; Shi, W.; Norman, A.J.; Ilavarasan, P. Electrical impact of high-speed bus crossing plane split. In Proceedings of the 2002 IEEE International Symposium on Electromagnetic Compatibility, Minneapolis, MN, USA, 19–23 August 2002; Volume 2, pp. 861–865. [Google Scholar] [CrossRef]
- De Viteri, V.S.; Fuentes, E. Titanium and Titanium Alloys as Biomaterials. In Tribology—Fundamentals and Advancements; Gegner, J., Ed.; IntechOpen: London, UK, 2013; Volume 55, pp. 561–565. [Google Scholar] [CrossRef]
- Asri, R.; Harun, W.; Hassan, M.; Ghani, S.; Buyong, Z. A review of hydroxyapatite-based coating techniques: Sol–gel and electrochemical depositions on biocompatible metals. J. Mech. Behav. Biomed. Mater. 2016, 57, 95–108. [Google Scholar] [CrossRef] [PubMed]
- Niinomi, M.; Nakai, M.; Hieda, J. Development of new metallic alloys for biomedical applications. Acta Biomater. 2012, 8, 3888–3903. [Google Scholar] [CrossRef] [PubMed]
- Qin, L.; Liu, C.; Yang, K.; Tang, B. Characteristics and wear performance of borided Ti6Al4V alloy prepared by double glow plasma surface alloying. Surf. Coat. Technol. 2013, 225, 92–96. [Google Scholar] [CrossRef]
- İzmir, M.; Ercan, B. Anodization of titanium alloys for orthopedic applications. Front. Chem. Sci. Eng. 2019, 13, 28–45. [Google Scholar] [CrossRef]
- Prasad, K.; Bazaka, O.; Chua, M.; Rochford, M.; Fedrick, L.; Spoor, J.; Symes, R.; Tieppo, M.; Collins, C.; Cao, A.; et al. Metallic Biomaterials: Current Challenges and Opportunities. Materials 2017, 10, 884. [Google Scholar] [CrossRef] [PubMed]
- Butev, E.; Esen, Z. Bor, Şakir Characterization of Ti6Al7Nb alloy foams surface treated in aqueous NaOH and CaCl 2 solutions. J. Mech. Behav. Biomed. Mater. 2016, 60, 127–138. [Google Scholar] [CrossRef]
- Catauro, M.; Bollino, F.; Giovanardi, R.; Veronesi, P. Modification of Ti6Al4V implant surfaces by biocompatible TiO 2 /PCL hybrid layers prepared via sol-gel dip coating: Structural characterization, mechanical and corrosion behavior. Mater. Sci. Eng. C 2017, 74, 501–507. [Google Scholar] [CrossRef]
- Pałka, K.; Pokrowiecki, R. Porous Titanium Implants: A Review. Adv. Eng. Mater. 2018, 20, 1–18. [Google Scholar] [CrossRef]
- Wolford, L. Factors to Consider in Joint Prosthesis Systems. Bayl. Univ. Med. Cent. Proc. 2006, 19, 232–238. [Google Scholar] [CrossRef]
- Chandra, A.; Ryu, J.; Karra, P.; Shrotriya, P.; Tvergaard, V.; Gaisser, M.; Weik, T. Life expectancy of modular Ti6Al4V hip implants: Influence of stress and environment. J. Mech. Behav. Biomed. Mater. 2011, 4, 1990–2001. [Google Scholar] [CrossRef]
- Manivasagam, G.; Dhinasekaran, D.; Rajamanickam, A. Biomedical Implants: Corrosion and its Prevention—A Review. Recent Patents Corros. Sci. 2010, 2, 40–54. [Google Scholar] [CrossRef]
- Balamurugan, A.; Rajeswari, S.; Balossier, G.; Rebelo, A.H.S.; Ferreira, J.M.F. Corrosion aspects of metallic implants - An overview. Mater. Corros. 2008, 59, 855–869. [Google Scholar] [CrossRef]
- Wen, C.; Xu, W.; Hu, W.; Hodgson, P. Hydroxyapatite/titania sol–gel coatings on titanium–zirconium alloy for biomedical applications☆. Acta Biomater. 2007, 3, 403–410. [Google Scholar] [CrossRef] [PubMed]
- Daculsi, G. History of Development and Use of the Bioceramics and Biocomposites; Springer International Publishing: Cham, Switzerland, 2016. [Google Scholar]
- Su, Y.; Luo, C.; Zhang, Z.; Hermawan, H.; Zhu, D.; Huang, J.; Liang, Y.; Lian, J.; Ren, L. Bioinspired surface functionalization of metallic biomaterials. J. Mech. Behav. Biomed. Mater. 2018, 77, 90–105. [Google Scholar] [CrossRef] [PubMed]
- Wu, G.; Li, P.; Feng, H.; Zhang, X.; Chu, P.K. Engineering and functionalization of biomaterials via surface modification. J. Mater. Chem. B 2015, 3, 2024–2042. [Google Scholar] [CrossRef]
- Su, Y.; Wang, K.; Gao, J.; Yang, Y.; Qin, Y.-X.; Zheng, Y.; Zhu, D. Enhanced cytocompatibility and antibacterial property of zinc phosphate coating on biodegradable zinc materials. Acta Biomater. 2019, 98, 174–185. [Google Scholar] [CrossRef]
- Dehghanghadikolaei, A.; Ansary, J.; Ghoreishi, R. Sol-gel process applications: A mini-review. Proc. Nat. Res. Soc. 2018, 2, 02008. [Google Scholar] [CrossRef]
- Jeong, J.; Kim, J.H.; Shim, J.H.; Hwang, N.S.; Heo, C.Y. Bioactive calcium phosphate materials and applications in bone regeneration. Biomater. Res. 2019, 23, 4. [Google Scholar] [CrossRef]
- Gross, K.A.; Chai, C.S.; Kannangara, G.S.; Ben-Nissan, B.; Hanley, L. Thin hydroxyapatite coatings via sol–gel synthesis. J. Mater. Sci. Mater. Med. 1998, 9, 839–843. [Google Scholar] [CrossRef]
- Liu, D.; Savino, K.; Yates, M.Z. Coating of hydroxyapatite films on metal substrates by seeded hydrothermal deposition. Surf. Coat. Technol. 2011, 205, 3975–3986. [Google Scholar] [CrossRef]
- Liu, D.-M.; Troczynski, T.; Tseng, W.J. Water-based sol–gel synthesis of hydroxyapatite: Process development. Biomaterials 2001, 22, 1721–1730. [Google Scholar] [CrossRef]
- Song, Y.; Shan, D.; Han, E.H. Electrodeposition of hydroxyapatite coating on AZ91D magnesium alloy for biomaterial application. Mater. Lett. 2008, 62, 3276–3279. [Google Scholar] [CrossRef]
- Zhong, Z.; Qin, J.; Ma, J. Cellulose acetate/hydroxyapatite/chitosan coatings for improved corrosion resistance and bioactivity. Mater. Sci. Eng. C 2015, 49, 251–255. [Google Scholar] [CrossRef] [PubMed]
- Yang, Y.; Kim, K.-H.; Ong, J.L. A review on calcium phosphate coatings produced using a sputtering process?an alternative to plasma spraying. Biomaterials 2005, 26, 327–337. [Google Scholar] [CrossRef] [PubMed]
- Wang, H.; Chen, C.; Wang, D. Development of Hydroxyapatite Coating Prepared by Sol–Gel Technique. Surf. Rev. Lett. 2006, 13, 737–745. [Google Scholar] [CrossRef]
- Ellies, L.; Nelson, D.; Featherstone, J. Crystallographic changes in calcium phosphates during plasma-spraying. Biomaterials 1992, 13, 313–316. [Google Scholar] [CrossRef]
- Nimb, L.; Gotfredsen, K.; Jensen, J.S. Mechanical failure of hydroxyapatite-coated titanium and cobalt-chromium-molybdenum alloy implants. An animal study. Acta Orthop. Belg. 1993, 59, 333–338. [Google Scholar] [PubMed]
- Jafari, H.; Hessam, H.; Shahri, S.M.G.; Assadian, M.; Pour Shairazifard, S.H.; Idris, M.H. Characterizing Sintered Nano-Hydroxyapatite Sol-Gel Coating Deposited on a Biomedical Ti-Zr-Nb Alloy. J. Mater. Eng. Perform. 2016, 25, 901–909. [Google Scholar] [CrossRef]
- Wang, D.; Chen, C.; He, T.; Lei, T. Hydroxyapatite coating on Ti6Al4V alloy by a sol–gel method. J. Mater. Sci. Mater. Electron. 2007, 19, 2281–2286. [Google Scholar] [CrossRef] [PubMed]
- Azari, R.; Rezaie, H.; Khavandi, A. Investigation of functionally graded HA-TiO2 coating on Ti–6Al–4V substrate fabricated by sol-gel method. Ceram. Int. 2019, 45, 17545–17555. [Google Scholar] [CrossRef]
- Suwanprateeb, J.; Suvannapruk, W.; Chokevivat, W.; Kiertkrittikhoon, S.; Jaruwangsanti, N.; Tienboon, P. Bioactivity of a sol–gel-derived hydroxyapatite coating on titanium implants in vitro and in vivo. Asian Biomed. 2018, 12, 35–44. [Google Scholar] [CrossRef]
- Wu, C.; Ramaswamy, Y.; Liu, X.; Wang, G.; Zreiqat, H. Plasma-sprayed CaTiSiO 5 ceramic coating on Ti-6Al-4V with excellent bonding strength, stability and cellular bioactivity. J. R. Soc. Interface 2008, 6, 159–168. [Google Scholar] [CrossRef] [PubMed]
- Guipont, V.; Molins, R.; Jeandin, M.; Barbezat, G. Plasma-sprayed Ti-6Al-4V coatings in a reactive nitrogen atmpsphere up to 250 kPa. In Proceedings of the International Thermal Spray Conference (ITSC 2002), Banff, AB, Canada, 3–5 June 2002; pp. 247–252. [Google Scholar]
- Khalid, M.; Mujahid, M.; Khan, A.N.; Rawat, R.S.; Salam, I.U.; Mehmood, K. Plasma Sprayed Alumina Coating on Ti6Al4V Alloy for Orthopaedic Implants: Microstructure and Phase Analysis. Key Eng. Mater. 2012, 510, 547–553. [Google Scholar] [CrossRef]
- Fatehi, K.; Moztarzadeh, F.; Solati-Hashjin, M.; Tahriri, M.; Rezvannia, M.; Saboori, A. Biomimetic hydroxyapatite coatings deposited onto heat and alkali treated Ti6Al4V surface. Surf. Eng. 2009, 25, 583–588. [Google Scholar] [CrossRef]
- Dinh, T.M.T.; Nguyen, T.T.; Pham, T.N.; Nguyen, T.P.; Hoang, T.; Grossin, D.; Bertrand, G.; Drouet, C. Electrodeposition of HAp coatings on Ti6Al4V alloy and its electrochemical behavior in simulated body fluid solution. Adv. Nat. Sci. Nanosci. Nanotechnol. 2016, 7, 25008. [Google Scholar] [CrossRef]
- Zhang, Y.; Tao, J. ScienceDirect—Transactions of Nonferrous Metals Society of China: Electrochemical deposition of hydroxyapatite coatings on titanium. Trans. Nonferrous Met. Soc. China 2006, 16, 633–637. [Google Scholar] [CrossRef]
- Gunawarman; Nuswantoro, N.F.; Juliadmi, D.; Fajri, H.; Budiman, A.; Tjong, D.H.; Manjas, M. Hydroxyapatite Coatings on Titanium Alloy TNTZ using Electrophoretic Deposition. In Proceedings of the IOP Conference Series Materials Science and Engineering 2019, Padang, Indonesia, 8–9 November 2018; Volume 602, p. 012071. [Google Scholar] [CrossRef]
- Drevet, R.; Ben Jaber, N.; Fauré, J.; Tara, A.; Larbi, A.B.C.; Benhayoune, H. Electrophoretic deposition (EPD) of nano-hydroxyapatite coatings with improved mechanical properties on prosthetic Ti6Al4V substrates. Surf. Coat. Technol. 2016, 301, 94–99. [Google Scholar] [CrossRef]
- Surmenev, R.A. A review of plasma-assisted methods for calcium phosphate-based coatings fabrication. Surf. Coat. Technol. 2012, 206, 2035–2056. [Google Scholar] [CrossRef]
- Heimann, R.B. Plasma-Sprayed Hydroxylapatite-Based Coatings: Chemical, Mechanical, Microstructural, and Biomedical Properties. J. Therm. Spray Technol. 2016, 25, 827–850. [Google Scholar] [CrossRef]
- Safavi, M.S.; Etminanfar, M. A review on the prevalent fabrication methods, microstructural, mechanical properties, and corrosion resistance of nanostructured hydroxyapatite containing bilayer and multilayer coatings used in biomedical applications. J. Ultrafine Grained Nanostruct. Mat. 2019, 52, 1–17. [Google Scholar] [CrossRef]
- Milella, E. Preparation and characterisation of titania/hydroxyapatite composite coatings obtained by sol–gel process. Biomaterials 2001, 22, 1425–1431. [Google Scholar] [CrossRef]
- Fathi, M.H.; Hanifi, A. Sol–gel derived nanostructure hydroxyapatite powder and coating: Aging time optimisation. Adv. Appl. Ceram. 2009, 108, 363–368. [Google Scholar] [CrossRef]
- Wang, X.; Cai, S.; Liu, T.; Ren, M.; Huang, K.; Zhang, R.; Zhao, H. Fabrication and corrosion resistance of calcium phosphate glass-ceramic coated Mg alloy via a PEG assisted sol–gel method. Ceram. Int. 2014, 40, 3389–3398. [Google Scholar] [CrossRef]
- Stoch, A.; Jastrze, W.; Długoń, E.; Lejda, W.; Trybalska, B.; Stoch, G.; Adamczyk, A. Sol–gel derived hydroxyapatite coatings on titanium and its alloy Ti6Al4V. J. Mol. Struct. 2005, 633–640. [Google Scholar] [CrossRef]
- Liu, D.; Yang, Q.; Troczynski, T. Sol–gel hydroxyapatite coatings on stainless steel substrates. Biomaterials 2002, 23, 691–698. [Google Scholar] [CrossRef]
- Hung, K.-Y.; Lo, S.-C.; Shih, C.-S.; Yang, Y.-C.; Feng, H.-P.; Lin, Y.-C. Titanium surface modified by hydroxyapatite coating for dental implants. Surf. Coat. Technol. 2013, 231, 337–345. [Google Scholar] [CrossRef]
- Mohseni, E.; Zalnezhad, E.; Bushroa, A.R. Comparative investigation on the adhesion of hydroxyapatite coating on Ti–6Al–4V implant: A review paper. Int. J. Adhes. Adhes. 2014, 48, 238–257. [Google Scholar] [CrossRef]
- Latifi, A.; Imani, M.; Khorasani, M.T.; Joupari, M.D. Plasma surface oxidation of 316L stainless steel for improving adhesion strength of silicone rubber coating to metal substrate. Appl. Surf. Sci. 2014, 320, 471–481. [Google Scholar] [CrossRef]
- Grandfield, K.; Palmquist, A.; Goncalves, S.; Taylor, A.; Taylor, M.; Emanuelsson, L.; Thomsen, P.; Engqvist, H. Free form fabricated features on CoCr implants with and without hydroxyapatite coating in vivo: A comparative study of bone contact and bone growth induction. J. Mater. Sci. Mater. Electron. 2011, 22, 899–906. [Google Scholar] [CrossRef]
- Rojaee, R.; Fathi, M.; Raeissi, K.; Sharifnabi, A. Biodegradation assessment of nanostructured fluoridated hydroxyapatite coatings on biomedical grade magnesium alloy. Ceram. Int. 2014, 40, 15149–15158. [Google Scholar] [CrossRef]
- Rojaee, R.; Fathi, M.; Raeissi, K. Electrophoretic deposition of nanostructured hydroxyapatite coating on AZ91 magnesium alloy implants with different surface treatments. Appl. Surf. Sci. 2013, 285, 664–673. [Google Scholar] [CrossRef]
- Rad, A.T.; Solati-Hashjin, M.; Abu Osman, N.A.; Faghihi, S. Improved bio-physical performance of hydroxyapatite coatings obtained by electrophoretic deposition at dynamic voltage. Ceram. Int. 2014, 40, 12681–12691. [Google Scholar] [CrossRef]
- Qiu, D.; Wang, A.; Yin, Y. Characterization and corrosion behavior of hydroxyapatite/zirconia composite coating on NiTi fabricated by electrochemical deposition. Appl. Surf. Sci. 2010, 257, 1774–1778. [Google Scholar] [CrossRef]
- Wang, L.-N.; Luo, J.-L. Preparation of hydroxyapatite coating on CoCrMo implant using an effective electrochemically-assisted deposition pretreatment. Mater. Charact. 2011, 62, 1076–1086. [Google Scholar] [CrossRef]
- Eliaz, N.; Sridhar, T.M.; Mudali, U.K.; Raj, B. Electrochemical and electrophoretic deposition of hydroxyapatite for orthopaedic applications. Surf. Eng. 2005, 21, 238–242. [Google Scholar] [CrossRef]
- Anil, S.; Venkatesan, J.; Shim, M.; Chalisserry, E.; Kim, S.-K. Bone Response to Calcium Phosphate Coatings for Dental Implants; Elsevier BV: Amsterdam, The Netherlands, 2017; pp. 65–88. [Google Scholar]
- Roy, M.; Bandyopadhyay, A.; Bose, S. Ceramics in Bone Grafts and Coated Implants; Elsevier BV: Amsterdam, The Netherlands, 2017; pp. 265–314. [Google Scholar]
- Bigi, A.; Boanini, E.; Bracci, B.; Facchini, A.; Panzavolta, S.; Segatti, F.; Sturba, L. Nanocrystalline hydroxyapatite coatings on titanium: A new fast biomimetic method. Biomaterials 2005, 26, 4085–4089. [Google Scholar] [CrossRef]
- Kim, H.-W.; Kim, H.-E.; Knowles, J.C. Improvement of Hydroxyapatite Sol-Gel Coating on Titanium with Ammonium Hydroxide Addition. J. Am. Ceram. Soc. 2004, 88, 154–159. [Google Scholar] [CrossRef]
- Wu, C.; Ramaswamy, Y.; Gale, D.; Yang, W.; Xiao, K.; Zhang, L.; Yin, Y.; Zreiqat, H. Novel sphene coatings on Ti–6Al–4V for orthopedic implants using sol–gel method. Acta Biomater. 2008, 4, 569–576. [Google Scholar] [CrossRef]
- Chai, C.S. Critical ageing of hydroxyapatite sol–gel solutions. Biomaterials 1998, 19, 2291–2296. [Google Scholar] [CrossRef]
- Heimann, R.B.; Lehmann, H.D. Bioceramic Coatings for Medical Implants; Wiley-VCH: Weinheim, Germany, 2015. [Google Scholar]
- Lee, K.; Kang, J.; Jin, S.; Lee, S.; Bae, J. A novel sol–gel coating method for fabricating dense layers on porous surfaces particularly for metal-supported SOFC electrolyte. Int. J. Hydrogen Energy 2017, 42, 6220–6230. [Google Scholar] [CrossRef]
- Lončarević, D.; Čupić, Ž. The perspective of using nanocatalysts in the environmental requirements and energy needs of industry. In Industrial Applications of Nanomaterials; Elsevier BV: Amsterdam, The Netherlands, 2019; pp. 91–122. [Google Scholar]
- Costa, D.O.; Dixon, S.J.; Rizkalla, A.S. One- and Three-Dimensional Growth of Hydroxyapatite Nanowires during Sol–Gel–Hydrothermal Synthesis. ACS Appl. Mater. Interfaces 2012, 4, 1490–1499. [Google Scholar] [CrossRef] [PubMed]
- Cardoso, D.A.; Jansen, J.A.; Leeuwenburgh, S. Synthesis and application of nanostructured calcium phosphate ceramics for bone regeneration. J. Biomed. Mater. Res. Part B Appl. Biomater. 2012, 100, 2316–2326. [Google Scholar] [CrossRef] [PubMed]
- Shadanbaz, S.; Dias, G.J. Calcium phosphate coatings on magnesium alloys for biomedical applications: A review. Acta Biomater. 2012, 8, 20–30. [Google Scholar] [CrossRef] [PubMed]
- Ishikawa, K.; Garskaite, E.; Kareiva, A. Sol–gel synthesis of calcium phosphate-based biomaterials—A review of environmentally benign, simple, and effective synthesis routes. J. Sol-Gel Sci. Technol. 2020, 94, 551–572. [Google Scholar] [CrossRef]
- Fernández, C.P.; Zabotto, F.L.; Garcia, D.; Kiminami, R.H. In situ sol-gel co-synthesis at as low hydrolysis rate and microwave sintering of PZT/Fe 2 CoO 4 magnetoelectric composite ceramics. Ceram. Int. 2017, 43, 5925–5933. [Google Scholar] [CrossRef]
- Hijón, N.; Cabañas, M.V.; Peña, J.; Vallet-Regí, M. Dip coated silicon-substituted hydroxyapatite films. Acta Biomater. 2006, 2, 567–574. [Google Scholar] [CrossRef]
- Svagrova, K. Optimization of Composition and Formation of Titania Sol-Gel Coatings on Titanium Substrate Using Dip-Coating Technique. Ceram. Silik. 2019, 63, 255–260. [Google Scholar] [CrossRef]
- Dorozhkin, S.V. Calcium orthophosphate coatings on magnesium and its biodegradable alloys. Acta Biomater. 2014, 10, 2919–2934. [Google Scholar] [CrossRef]
- Stankevičiute, Ž.; Malakauskaite, M.; Beganskiene, A.; Kareiva, A. Sol-gel synthesis of calcium phosphate coatings on Ti substrate using dip-coating technique. Chemija 2013, 24, 288–295. [Google Scholar]
- Jonauske, V.; Stanionytė, S.; Chen, S.-W.; Zarkov, A.; Juškėnas, R.; Selskis, A.; Matijošius, T.; Yang, T.C.-K.; Ishikawa, K.; Ramanauskas, R.; et al. Characterization of Sol-Gel Derived Calcium Hydroxyapatite Coatings Fabricated on Patterned Rough Stainless Steel Surface. Coatings 2019, 9, 334. [Google Scholar] [CrossRef]
- Jonauske, V.; Prichodko, A.; Skaudžius, R.; Kareiva, A. Sol-gel derived calcium hydroxyapatite thin films on 316L stainless steel substrate: Comparison of spin-coating and dip-coating techniques. Chemija 2016, 27, 192–201. [Google Scholar]
- Abrishamchian, A.; Hooshmand, T.; Mohammadi, M.; Najafi, F. Preparation and characterization of multi-walled carbon nanotube/hydroxyapatite nanocomposite film dip coated on Ti–6Al–4V by sol–gel method for biomedical applications: An in vitro study. Mater. Sci. Eng. C 2013, 33, 2002–2010. [Google Scholar] [CrossRef] [PubMed]
- Anjaneyulu, U.; Vijayalakshmi, U. Preparation and characterization of novel sol-gel derived hydroxyapatite/Fe3O4 composites coatings on Ti-6Al-4V for biomedical applications. Mater. Lett. 2017, 189, 118–121. [Google Scholar] [CrossRef]
- Sidane, D.; Khireddine, H.; Bir, F.; Yala, S.; Montagne, A.; Sidane, D.; Khireddine, H.; Bir, F.; Yala, S.; Montagne, A. Hydroxyapatite-TiO2-SiO2-Coated 316L Stainless Steel for Biomedical Application. Metall. Mat. Trans. A 2017, 48, 3570–3582. [Google Scholar] [CrossRef]
- Ergün, Y.; Başpınar, M.S. Effect of acid passivation and H 2 sputtering pretreatments on the adhesive strength of sol–gel derived Hydroxyapatite coating on titanium surface. Int. J. Hydrogen Energy 2017, 42, 20420–20429. [Google Scholar] [CrossRef]
- Pourbaghi-Masouleh, M.; Asgharzadeh, H. Optimization of sol-gel technique for coating of metallic substrates by hydroxyapatite using the Taguchi method. Mater. Sci. 2013, 31, 424–433. [Google Scholar] [CrossRef]
- Ji, X.; Lou, W.; Wang, Q.; Ma, J.; Xu, H.; Bai, Q.; Liu, C.; Liu, J. Sol-Gel-Derived Hydroxyapatite-Carbon Nanotube/Titania Coatings on Titanium Substrates. Int. J. Mol. Sci. 2012, 13, 5242–5253. [Google Scholar] [CrossRef]
- Kang, K.; Lim, H.; Yun, K.-D.; Park, S.; Jeong, C.; Lee, K. Effect of Viscosities on the Surface Morphology and Crystallographic Properties of Hydroxyapatite Coated Titanium Dioxide Nanotubes. J. Nanosci. Nanotechnol. 2015, 15, 5310–5313. [Google Scholar] [CrossRef]
- Park, J.-E.; Jang, Y.-S.; Park, I.-S.; Jeon, J.-G.; Bae, T.-S.; Lee, M.-H. The effect of multi-walled carbon nanotubes/hydroxyapatite nanocomposites on biocompatibility. Adv. Compos. Mater. 2017, 27, 53–65. [Google Scholar] [CrossRef]
- Park, J.-E.; Jang, Y.-S.; Bae, T.-S.; Lee, M.-H. Biocompatibility Characteristics of Titanium Coated with Multi Walled Carbon Nanotubes—Hydroxyapatite Nanocomposites. Materials 2019, 12, 224. [Google Scholar] [CrossRef]
- Esfahani, H.; Dabir, F.; Taheri, M.; Sohrabi, N.; Toroghinejad, M.R. Sol–gel derived hydroxyapatite coating on TiB 2 /TiB/Ti substrate. Surf. Eng. 2012, 28, 526–531. [Google Scholar] [CrossRef]
- Yusoff, M.F.M.; Kadir, M.R.A.; Iqbal, N.; Hassan, M.A.; Hussain, R. Dipcoating of poly (ε-caprolactone)/hydroxyapatite composite coating on Ti6Al4V for enhanced corrosion protection. Surf. Coat. Technol. 2014, 245, 102–107. [Google Scholar] [CrossRef]
- Im, K.-H.; Lee, S.-B.; Kim, K.-M.; Lee, Y.-K. Improvement of bonding strength to titanium surface by sol–gel derived hybrid coating of hydroxyapatite and titania by sol–gel process. Surf. Coat. Technol. 2007, 202, 1135–1138. [Google Scholar] [CrossRef]
- Robertson, S.F.; Bandyopadhyay, A.; Bose, S. Titania nanotube interface to increase adhesion strength of hydroxyapatite sol-gel coatings on Ti-6Al-4V for orthopedic applications. Surf. Coat. Technol. 2019, 372, 140–147. [Google Scholar] [CrossRef]
- El Hadad, A.A.; Peón, E.; García-Galván, F.; Barranco, V.; Parra, J.; Jiménez-Morales, A.; Galvan, J.C. Biocompatibility and Corrosion Protection Behaviour of Hydroxyapatite Sol-Gel-Derived Coatings on Ti6Al4V Alloy. Materials 2017, 10, 94. [Google Scholar] [CrossRef]
- Xiong, J.Y.; Li, Y.; Hodgson, P.D.; Wen, C. Bioactive Hydroxyapatite Coating on Titanium-Niobium Alloy through a Sol-Gel Process. Mater. Sci. Forum 2009, 618, 325–328. [Google Scholar] [CrossRef]
- Zhang, J.; Guan, R.; Zhang, X. Synthesis and characterization of sol–gel hydroxyapatite coatings deposited on porous NiTi alloys. J. Alloy. Compd. 2011, 509, 4643–4648. [Google Scholar] [CrossRef]
- Sidane, D.; Rammal, H.; Beljebbar, A.; Gangloff, S.; Chicot, D.; Evelard, F.; Khireddine, H.; Montagne, A.; Kerdjoudj, H. Biocompatibility of sol-gel hydroxyapatite-titania composite and bilayer coatings. Mater. Sci. Eng. C 2017, 72, 650–658. [Google Scholar] [CrossRef]
- Neacşu, I.A.; Nicoară, A.; Vasile, O.R.; Vasile, B.Ş. Inorganic micro- and nanostructured implants for tissue engineering. In Nanobiomaterials in Hard Tissue Engineering; William Andrew: Norwich, NY, USA, 2016; pp. 271–295. [Google Scholar] [CrossRef]
- Nguyen, N.-T. Fabrication Technologies. In Micromixers: Fundamentals, Design and Fabrication (Micro and Nano Technologies); William Andrew: Norwich, NY, USA, 2012; ISBN 9781437735208. [Google Scholar]
- Faustini, M.; Louis, B.; Albouy, P.A.; Kuemmel, M.; Grosso, D. Preparation of Sol−Gel Films by Dip-Coating in Extreme Conditions. J. Phys. Chem. C 2010, 114, 7637–7645. [Google Scholar] [CrossRef]
- Baddeley, M. Keynes on Rationality, Expectations and Investment. In Keynes, Post-Keynesianism and Political Economy; Routledge: London, UK, 1999. [Google Scholar] [CrossRef]
- Bell, B.; Scholvin, D.; Jin, C.; Narayan, R.J. Pulsed laser deposition of hydroxyapatite-diamondlike carbon multilayer films and their adhesion aspects. J. Adhes. Sci. Technol. 2006, 20, 221–231. [Google Scholar] [CrossRef]
- Liu, X.; Chu, P.K.; Ding, C. Surface modification of titanium, titanium alloys, and related materials for biomedical applications. Mater. Sci. Eng. R Rep. 2004, 47, 49–121. [Google Scholar] [CrossRef]
- Liu, X.; Ding, C.; Chu, P.K. Mechanism of apatite formation on wollastonite coatings in simulated body fluids. Biomaterials 2004, 25, 1755–1761. [Google Scholar] [CrossRef]
- Carradò, A.; Viart, N. Nanocrystalline spin coated sol–gel hydroxyapatite thin films on Ti substrate: Towards potential applications for implants. Solid State Sci. 2010, 12, 1047–1050. [Google Scholar] [CrossRef]
- Family, R.; Solati-Hashjin, M.; Nik, S.N.; Nemati, A. Surface modification for titanium implants by hydroxyapatite nanocomposite. Casp. J. Intern. Med. 2012, 3, 460–465. [Google Scholar]
- White, A.A.; Best, S.M.; Kinloch, I.A. Hydroxyapatite?Carbon Nanotube Composites for Biomedical Applications: A Review. Int. J. Appl. Ceram. Technol. 2007, 4, 1–13. [Google Scholar] [CrossRef]
- Teh, S.J.; Lai, C.W. Carbon Nanotubes for Dental Implants; Elsevier BV: Amsterdam, The Netherlands, 2019; pp. 93–105. [Google Scholar]
- Gineste, L.; Gineste, M.; Ranz, X.; Ellefterion, A.; Guilhem, A.; Rouquet, N.; Frayssinet, P. Degradation of hydroxylapatite, fluorapatite, and fluorhydroxyapatite coatings of dental implants in dogs. J. Biomed. Mater. Res. 1999, 48, 224–234. [Google Scholar] [CrossRef]
- Overgaard, S.; Lind, M.; Josephsen, K.; Maunsbach, A.B.; Bünger, C.; Søballe, K. Resorption of hydroxyapatite and fluorapatite ceramic coatings on weight-bearing implants: A quantitative and morphological study in dogs. J. Biomed. Mater. Res. 1997, 39, 141–152. [Google Scholar] [CrossRef]
- Xue, W.; Tao, S.; Liu, X.; Zheng, X.; Ding, C. In vivo evaluation of plasma sprayed hydroxyapatite coatings having different crystallinity. Biomaterials 2004, 25, 415–421. [Google Scholar] [CrossRef]
- Harun, W.; Asri, R.; Alias, J.; Zulkifli, F.; Kadirgama, K.; Ghani, S.; Shariffuddin, J. A comprehensive review of hydroxyapatite-based coatings adhesion on metallic biomaterials. Ceram. Int. 2018, 44, 1250–1268. [Google Scholar] [CrossRef]
- Tian, B.; Chen, W.; Dong, Y.; Marymont, J.V.; Lei, Y.; Ke, Q.; Guo, Y.; Zhu, Z.-A. Silver nanoparticle-loaded hydroxyapatite coating: Structure, antibacterial properties, and capacity for osteogenic induction in vitro. RSC Adv. 2016, 6, 8549–8562. [Google Scholar] [CrossRef]
- Sadat-Shojai, M.; Khorasani, M.-T.; Jamshidi, A. Hydrothermal processing of hydroxyapatite nanoparticles—A Taguchi experimental design approach. J. Cryst. Growth 2012, 361, 73–84. [Google Scholar] [CrossRef]
- Jung, Y.-I.; Kim, H.-G.; Park, J.-Y.; Park, D.-J.; Park, J.-H. Effect of heat-treatment on phase formation and crystallization of sol–gel derived Al2O3, ZrO2–Y2O3, and Ta2O5 oxide coatings. J. Asian Ceram. Soc. 2015, 3, 217–220. [Google Scholar] [CrossRef]
- de Castro Braga, A.V.; do Lago, D.C.; Pimenta, A.R.; de Senna, L.F. The influence of heat treatment of inorganic conversion coatings produced by sol-gel dip coating on the anticorrosive properties of alumina films deposited on steel substrate—Part I: Single conversion coatings. Surf. Coat. Technol. 2019, 372, 190–200. [Google Scholar] [CrossRef]
- Jafari, S.; Atabaki, M.M.; Idris, J. Comparative study on bioactive coating of Ti-6Al-4V alloy and 316 L stainless steel. Assoc. Metall. Eng. Serbia AMES 2012, 18, 145–158. [Google Scholar]
- Wang, H.; Chen, C.; Wang, D. Effect of heating rate on structure of HA coating prepared by sol–gel. Surf. Eng. 2009, 25, 131–135. [Google Scholar] [CrossRef]
- Kim, H.-W.; Kim, H.-E.; Salih, V.; Knowles, J.C. Sol-gel-modified titanium with hydroxyapatite thin films and effect on osteoblast-like cell responses. J. Biomed. Mater. Res. Part A 2005, 74, 294–305. [Google Scholar] [CrossRef]
- Narayan, R.J. Hydroxyapatite–diamondlike carbon nanocomposite films. Mater. Sci. Eng. C 2005, 25, 398–404. [Google Scholar] [CrossRef]
- Kim, H.-W.; Kim, H.-E.; Salih, V.; Knowles, J.C. Hydroxyapatite and titania sol-gel composite coatings on titanium for hard tissue implants; Mechanical andin vitro biological performance. J. Biomed. Mater. Res. 2004, 72, 1–8. [Google Scholar] [CrossRef]
- Velten, D.; Biehl, V.; Aubertin, F.; Valeske, B.; Possart, W.; Breme, J. Preparation of TiO(2) layers on cp-Ti and Ti6Al4V by thermal and anodic oxidation and by sol-gel coating techniques and their characterization. J. Biomed. Mater. Res. 2002, 59, 18–28. [Google Scholar] [CrossRef]
- Gollwitzer, H.; Haenle, M.; Mittelmeier, W.; Heidenau, F.; Harrasser, N. A biocompatible sol–gel derived titania coating for medical implants with antibacterial modification by copper integration. AMB Express 2018, 8, 24. [Google Scholar] [CrossRef]
- Marycz, K.; Krzak, J.; Urbański, W.; Pezowicz, C. In VitroandIn VivoEvaluation of Sol-Gel Derived TiO2Coatings Based on a Variety of Precursors and Synthesis Conditions. J. Nanomater. 2014, 2014, 1–14. [Google Scholar] [CrossRef]
- Kim, H.-W.; Koh, Y.-H.; Li, L.-H.; Lee, S.; Kim, H.-E. Hydroxyapatite coating on titanium substrate with titania buffer layer processed by sol–gel method. Biomaterials 2004, 25, 2533–2538. [Google Scholar] [CrossRef]
- Balakrishnan, A.; Lee, B.C.; Kim, T.N.; Panigrahi, B.B. Strength and Reliability Performance of Hydroxyapatite Coatings on Titania Treated Ti6Al4V Alloy Using Sol-Gel Precursor. Solid State Phenom. 2007, 124, 1161–1164. [Google Scholar] [CrossRef]
- Xu, W.; Hu, W.; Li, M.; Wen, C. Sol–gel derived hydroxyapatite/titania biocoatings on titanium substrate. Mater. Lett. 2006, 60, 1575–1578. [Google Scholar] [CrossRef]
- Hussein, S.M.; Mohammed, M.T. Pure and bilayer sol-gel nanolayers derived on a novel Ti surface for load bearing applications. Mater. Today Proc. 2019, 18, 2217–2224. [Google Scholar] [CrossRef]
- Roest, R.; Ben-nissan, B. Surface Modification of Anodized Titanium for Calcium Phosphate Coatings. In Proceedings of the 2001 Engineering Materials, Houston, TX, USA, 10–13 October 2001; pp. 115–120. [Google Scholar]
- Roest, R.; Latella, B.; Heness, G.; Ben-Nissan, B. Adhesion of sol–gel derived hydroxyapatite nanocoatings on anodised pure titanium and titanium (Ti6Al4V) alloy substrates. Surf. Coat. Technol. 2011, 205, 3520–3529. [Google Scholar] [CrossRef]
- Kang, K.; Zakiyuddin, A.; Lee, K.; KyungHo, K.; Ahmad, Z.; Kwangmin, L. Electrochemical Properties of HA Coated Titanium Dioxide Nanotubes. J. Nanosci. Nanotechnol. 2016, 16, 1708–1710. [Google Scholar] [CrossRef]
- Kazemi, M.; Ahangarani, S.; Esmailian, M.; Shanaghi, A. Investigation on the corrosion behavior and biocompatibility of Ti-6Al-4V implant coated with HA/TiN dual layer for medical applications. Surf. Coat. Technol. 2020, 397, 126044. [Google Scholar] [CrossRef]
- Han, J.Y.; Yu, Z.T.; Zhou, L. Hydroxyapatite/titania composite bioactivity coating processed by the sol–gel method. Biomed. Mater. 2008, 3, 44109. [Google Scholar] [CrossRef]
- Dikici, B.; Niinomi, M.; Topuz, M.; Say, Y.; Aksakal, B.; Yilmazer, H.; Nakai, M. Synthesis and Characterization of Hydroxyapatite/TiO2 Coatings on the β-Type Titanium Alloys with Different Sintering Parameters using Sol-Gel Method. Prot. Met. Phys. Chem. Surfaces 2018, 54, 457–462. [Google Scholar] [CrossRef]
- Choudhury, P.; Agrawal, D. Sol–gel derived hydroxyapatite coatings on titanium substrates. Surf. Coat. Technol. 2011, 206, 360–365. [Google Scholar] [CrossRef]
- Mukherjee, S.; Nandi, S.K.; Kundu, B.; Chanda, A.; Sen, S.; Das, P.K. Enhanced bone regeneration with carbon nanotube reinforced hydroxyapatite in animal model. J. Mech. Behav. Biomed. Mater. 2016, 60, 243–255. [Google Scholar] [CrossRef] [PubMed]
- Liu, J.S.; Ji, X.L. Hydroxyapatite–Carbon Nanotubes Composite Coatings on Ti Substrate. Adv. Mater. Res. 2012, 424, 86–89. [Google Scholar] [CrossRef]
- Arcos, D.; Vallet-Regí, M. Substituted hydroxyapatite coatings of bone implants. J. Mater. Chem. B 2020, 8, 1781–1800. [Google Scholar] [CrossRef]
- Iconaru, S.L.; Chapon, P.; Le Coustumer, P.; Predoi, D. Antimicrobial Activity of Thin Solid Films of Silver Doped Hydroxyapatite Prepared by Sol-Gel Method. Sci. World J. 2014, 2014, 1–8. [Google Scholar] [CrossRef]
- Samani, S.; Hossainalipour, S.M.; Tamizifar, M.; Rezaie, H.R. In vitroantibacterial evaluation of sol-gel-derived Zn-, Ag-, and (Zn + Ag)-doped hydroxyapatite coatings against methicillin-resistantStaphylococcus aureus. J. Biomed. Mater. Res. Part A 2012, 101, 222–230. [Google Scholar] [CrossRef]
- Zhang, J. Biocompatibility and Anti-Bacterial Activity of Zn-Containing HA/TiO2 Hybrid Coatings on Ti Substrate. J. Hard Tissue Biol. 2013, 22, 311–318. [Google Scholar] [CrossRef]
- Batebi, K.; Khazaei, B.A.; Afshar, A. Characterization of sol-gel derived silver/fluor-hydroxyapatite composite coatings on titanium substrate. Surf. Coat. Technol. 2018, 352, 522–528. [Google Scholar] [CrossRef]
- Bi, Q.; Song, X.; Chen, Y.; Zheng, Y.; Yin, P.; Lei, T. Zn-HA/Bi-HA biphasic coatings on Titanium: Fabrication, characterization, antibacterial and biological activity. Colloids Surfaces B Biointerfaces 2020, 189, 110813. [Google Scholar] [CrossRef]
- Wang, X.H.; Yan, W.Q.; Shu, W.B.; Luo, X.T.; Zhang, S. Biological and Biomechanical Behavior of Titanium Implants with Fluoridated Hydroxyapatite Coatings. Key Eng. Mater. 2007, 361, 1087–1090. [Google Scholar] [CrossRef]
- Barinov, S.M.; Tumanov, S.V.; Fadeeva, I.V.; Bibikov, V.Y. Environment Effect on the Strength of Hydroxy- and Fluorohydroxyapatite Ceramics. Inorg. Mater. 2003, 39, 877–880. [Google Scholar] [CrossRef]
- Kim, H.-W.; Kong, Y.-M.; Bae, C.-J.; Noh, Y.-J.; Kim, H.-E. Sol–gel derived fluor-hydroxyapatite biocoatings on zirconia substrate. Biomaterials 2004, 25, 2919–2926. [Google Scholar] [CrossRef] [PubMed]
- Zhang, S.; Xianting, Z.; Yongsheng, W.; Kui, C.; Wenjian, W. Adhesion strength of sol–gel derived fluoridated hydroxyapatite coatings. Surf. Coat. Technol. 2006, 200, 6350–6354. [Google Scholar] [CrossRef]
- Zhang, S.; Wang, Y.; Zeng, X.; Khor, K.; Weng, W.; Sun, D. Evaluation of adhesion strength and toughness of fluoridated hydroxyapatite coatings. Thin Solid Films 2008, 516, 5162–5167. [Google Scholar] [CrossRef]
- Tredwin, C.J.; Young, A.M.; Georgiou, G.; Shin, S.-H.; Kim, H.-W.; Knowles, J.C. Hydroxyapatite, fluor-hydroxyapatite and fluorapatite produced via the sol–gel method. Optimisation, characterisation and rheology. Dent. Mater. 2013, 29, 166–173. [Google Scholar] [CrossRef] [PubMed]
- Sun, L.; Berndt, C.; Gross, K.A. Hydroxyapatite/polymer composite flame-sprayed coatings for orthopedic applications. J. Biomater. Sci. Polym. Ed. 2002, 13, 977–990. [Google Scholar] [CrossRef]
- Ansari, Z.; Kalantar, M.; Kharaziha, M.; Ambrosio, L.; Raucci, M.G. Polycaprolactone/fluoride substituted-hydroxyapatite (PCL/FHA) nanocomposite coatings prepared by in-situ sol-gel process for dental implant applications. Prog. Org. Coat. 2020, 147, 105873. [Google Scholar] [CrossRef]
- Owens, G.J.; Singh, R.K.; Foroutan, F.; Alqaysi, M.; Han, C.-M.; Mahapatra, C.; Kim, H.-W.; Knowles, J.C. Sol–gel based materials for biomedical applications. Prog. Mater. Sci. 2016, 77, 1–79. [Google Scholar] [CrossRef]
Publisher’s Note: MDPI stays neutral with regard to jurisdictional claims in published maps and institutional affiliations. |








| Property | Specification |
|---|---|
| Thickness | Not specified |
| Crystallinity | 62% minimum |
| Phase purity | 95% minimum |
| Ca/P ratio | 1.67–1.76 |
| Density | 2.98 g/cm3 |
| Heavy metals | <50 ppm |
| Tensile strength | >50.8 MPa |
| Shear strength | >22 MPa |
| Abrasion | Not specified |
| Approach | Thickness | Benefits | Weaknesses | References |
|---|---|---|---|---|
| Sol–gel | <1 µm | Low processing temperature, inexpensive and produce pure and very thin coating on flat and complex shapes. | Poor adhesion to substrate and controlled atmosphere is required in some stages. | [48,49,50] |
| Plasma spraying | <20 µm | Lower possibility of coating degradation, rapid deposition and in expensive method. | Non-uniform coating density, poor adhesion and high processing temperature causes decomposition of HAp and phase transformation of substrate. | [51,52,53,54] |
| Electrophoretic deposition | 100–2000 µm | Coating complex shapes, uniform coating thickness and high deposition rate. | High processing temperature and difficulty in producing crack-free coating | [25,55,56,57] |
| Electrochemical deposition | 50–500 µm | Rapid deposition, inexpensive, coating complex shapes and produce uniform coating thickness | Poor adhesion quality between coating and substrate | [58,59,60] |
| Biomimetic coating | <30 µm | Coating complex shapes, low processing temperature and able to form bone-like apatite | Slow deposition rate and produce low degree of crystallinity | [61,62,63] |
| Precursor | Solvent | References | |
|---|---|---|---|
| Ca Precursors | Calcium acetate monohydrate | Water and 1,2-ethanediol | [78,79,80] |
| Calcium nitrate tetrahydrate | Water | [33,81] | |
| Calcium nitrate tetrahydrate | Ethanol | [47,82,83,84,85,86] | |
| Calcium nitrate tetrahydrate | Water and ethanol | [32,87] | |
| calcium chloride | Water | [31] | |
| P Precursors | Phosphoric acid | Water | [80] |
| Ammonium phosphate dibasic | Water | [33,81,88,89,90,91] | |
| Triethyl phosphite | Water and ethanol | [92,93,94,95,96] | |
| Triethyl phosphite | Ethanol | [82] | |
| Trimethyl phosphate | Water and ethanol | [32] | |
| Phosphorus pentoxide | Ethanol | [47,85,86,97] | |
| diammonium hydrogen orthophosphate | Water | [84] | |
| Trisodium phosphate | Water | [31] |
| Attempts to Improve the Adhesion of Sol-Gel Hydroxyapatite Coating on Ti Substrate. | ||||||||
| No. | Type of Improvement | Substrate | Adhesion of Pure HAp | Adhesion after Improvement | Type of Test | Sintering Temperature (°C) | Ref. | |
| 1 | TiO2 interlayer prepared by sol-gel | cp Ti | 35 MPa | 55 MPa | Pull-out test | 500 | [125] | |
| Ti6Al4V | 15.8 ± 7 MPa | 40.3 ± 3 MPa | Pull-out test | 600 | [126] | |||
| 2 | TiO2 interlayer prepared by anodization | cp Ti | 538 ± 40 MPa | 652 ± 12 MPa | Micro-tensile test | 550 | [130] | |
| Ti6Al4V | 1073 ± 30 MPa | 1086 ± 40 MPa | Micro-tensile test | [130] | ||||
| Ti6Al4V | 13.8 ± 3.28 MPa | 19.02 ± 3.36 MPa | Pull-out test | 600 | [93] | |||
| 3 | TiO2 interlayer prepared by anodization -HAp-1% MWCNTs | cp Ti | 35.2 MPa | 21.2 MPa | Pull-out test | 550 | [82] | |
| 4 | TiB and TiB2 interlayers prepared by boronisation | cp Ti | 3 MPa | 15 MPa | Pull-out test | 400 | [90] | |
| 5 | HAp-30 mol.% TiO2 composite | cp Ti | 37 MPa | 70 MPa | Pull-out test | 500 | [121] | |
| 6 | HAp-20 mol.% TiO2 composite | cp Ti | 34 MPa | 50 MPa | Pull-out test | 750 | [133] | |
| 7 | HAp-1 wt.% MWCNTs composite | cp Ti | 22.2 MPa | 32.9 MPa | Pull-out test | 550 | [137] | |
| 8 | HAp-ZrO2 composite | cp Ti | 570 MPa | 678 MPa | lag-shear strain method | 700 | [135] | |
| Attempts to Improve Corrosion Resistance of Ti Substrate Coated by Sol-Gel Hydroxyapatite | ||||||||
| No. | Type of Improvement | Substrate | C.R Indicator | C.R of Substrate | C.R of Pure HAp | C.R after Improvement | Sintering Temperature (°C) | Ref. |
| 1 | TiO2 interlayer applied by sol-gel | cp Ti | Icorr (A/cm2) | ~ 4.2 × 10−5 | ~ 9.5 × 10−7 | N/A | 500 | [125] |
| Ti-15Zr-12Nb | Corrosion resistance (mpy) | 2.3104 | N/A | 0.8633 | 550 | [128] | ||
| 2 | TiO2 interlayer applied by anodization | cp Ti | Icorr (A/cm2) | N/A | N/A | 4.05 × 10−7 | N/A | [131] |
| cp Ti | Ecorr (V) | −1.204 | N/A | −0.517 | ||||
| 3 | TiN interlayer applied by PACVD | Ti6Al4V | Icorr (A/cm2) | 1.17 × 10−6 | 1.2 × 10−7 | 0.6 × 10−7 | ||
| 4 | HAp-20 mol.% TiO2 Composite | cp Ti | Ecorr (V) | N/A | −0.36 | −0.324 | 750 | [133] |
| 5 | HAp–1 wt.% Fe3O4 Composite | Ti6Al4V | Corrosion resistance (mpy) | 0.286 ± 0.011 | N/A | 0.059 ± 0.007 | 800 | [82] |
| 6 | HAp–50 wt.% PCL Composite | Ti6Al4V | Icorr (A/cm2) | 3.3497 × 10−7 | 6.5257 × 10−8 | 9.3478 × 10−9 | No sintering | [91] |
| 7 | HAp–90% PCL Composite | Ti6Al4V | Icorr (A/cm2) | N/A | N/A | 1.41 × 10−9 | No sintering | [151] |
| 8 | Optimization of sintering temperature | Ti13.5Zr14Nb | Icorr (A/cm2) | 3.1 × 10−5 | 1.6 × 10−5 | 500 | [31] | |
| 6.2 × 10−6 | 600 | |||||||
| 1.8 × 10−6 | 700 | |||||||
© 2020 by the authors. Licensee MDPI, Basel, Switzerland. This article is an open access article distributed under the terms and conditions of the Creative Commons Attribution (CC BY) license (http://creativecommons.org/licenses/by/4.0/).
Share and Cite
Jaafar, A.; Hecker, C.; Árki, P.; Joseph, Y. Sol-Gel Derived Hydroxyapatite Coatings for Titanium Implants: A Review. Bioengineering 2020, 7, 127. https://doi.org/10.3390/bioengineering7040127
Jaafar A, Hecker C, Árki P, Joseph Y. Sol-Gel Derived Hydroxyapatite Coatings for Titanium Implants: A Review. Bioengineering. 2020; 7(4):127. https://doi.org/10.3390/bioengineering7040127
Chicago/Turabian StyleJaafar, Alaa, Christine Hecker, Pál Árki, and Yvonne Joseph. 2020. "Sol-Gel Derived Hydroxyapatite Coatings for Titanium Implants: A Review" Bioengineering 7, no. 4: 127. https://doi.org/10.3390/bioengineering7040127
APA StyleJaafar, A., Hecker, C., Árki, P., & Joseph, Y. (2020). Sol-Gel Derived Hydroxyapatite Coatings for Titanium Implants: A Review. Bioengineering, 7(4), 127. https://doi.org/10.3390/bioengineering7040127

