Computational Simulation of LAVA Treatment of Thyroid Eye Disease Predicts Soft Tissue Outcome Comparable to Two-Wall Resection
Abstract
1. Introduction
2. Materials and Methods
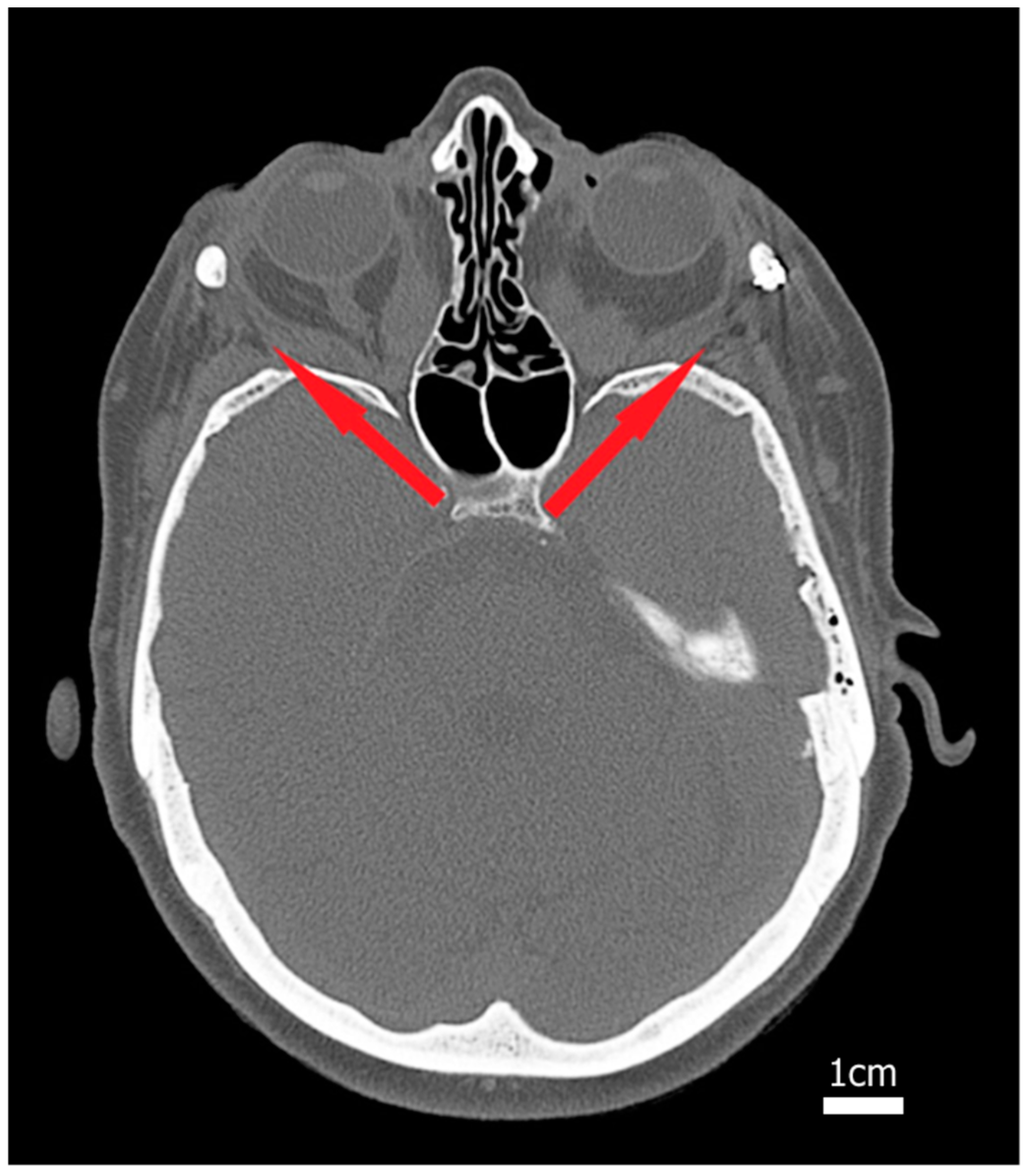
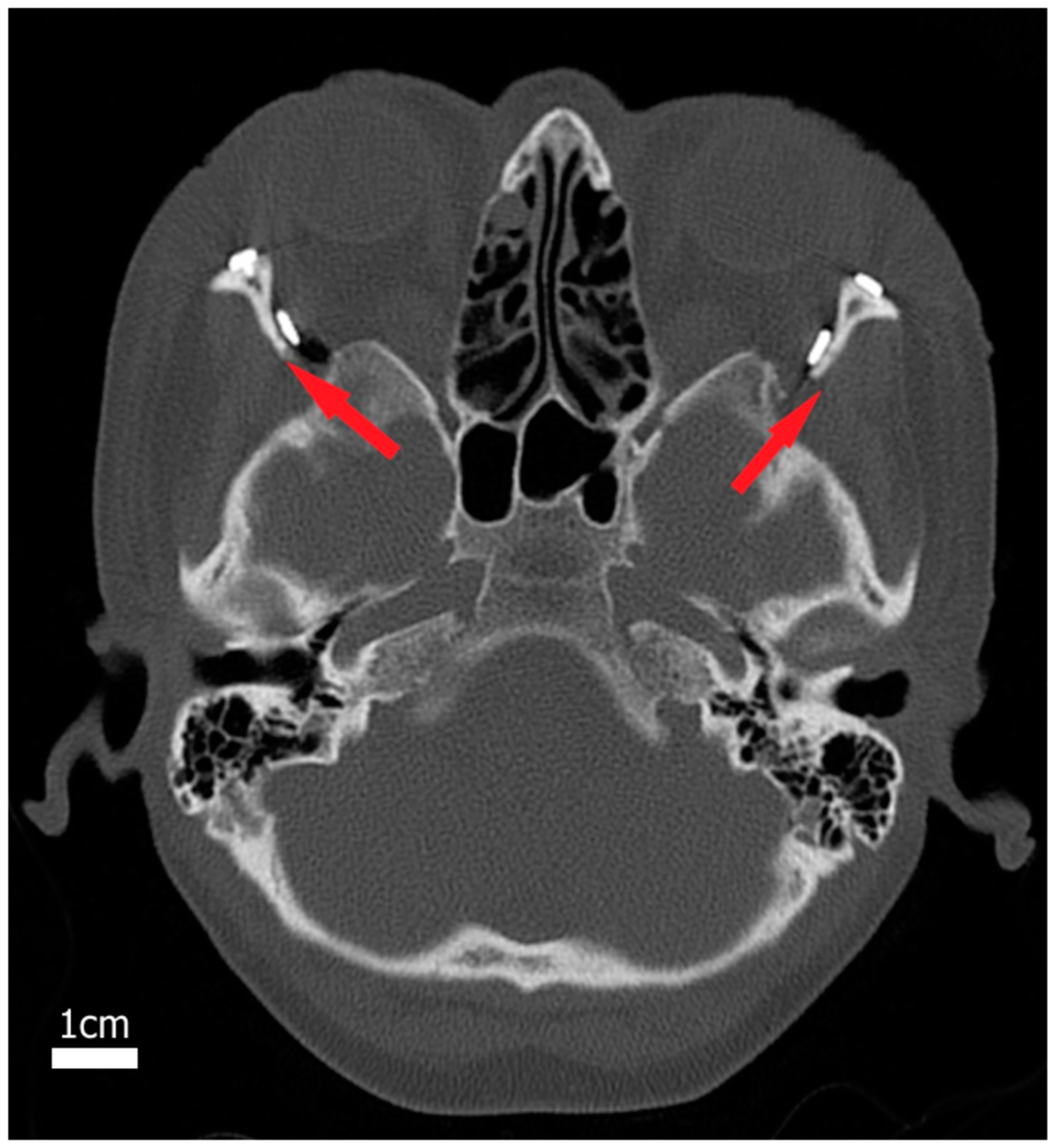
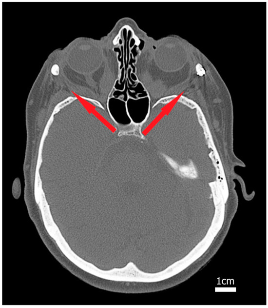
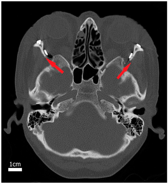
2.1. Surgical Procedure
2.2. Study Design
2.3. Three-Dimensional Image Processing and Orbital Model Generation
2.4. Physics-Based Simulation of Decompression Surgery
3. Results
4. Discussion
5. Conclusions
Author Contributions
Funding
Institutional Review Board Statement
Informed Consent Statement
Data Availability Statement
Conflicts of Interest
References
- Smith, T.; Hegedüs, L. Graves’ disease. N. Engl. J. Med. 2016, 375, 1552–1565. [Google Scholar] [CrossRef] [PubMed]
- Eckstein, A.; Dekowski, D.; Fuhrer-Sakel, D.; Berchner-Pfannschmidt, U.; Esser, J. Graves’ ophthalmopathy. Ophthalmologe 2016, 113, 349–364. [Google Scholar] [CrossRef]
- Ponto, K.; Pitz, S.; Pfeiffer, N.; Hommel, G.; Weber, M.; Kahaly, G. Quality of life and occupational disability in endocrine orbitopathy. Dtsch. Arztebl. Int. 2009, 106, 283–289. [Google Scholar] [CrossRef] [PubMed]
- Boboridis, K.; Uddin, J.; Mikropoulos, D.; Bunce, C.; Mangouritsas, G.; Voudouragkaki, I.; Konstas, A. Critical appraisal on orbital decompression for thyroid eye disease: A systematic review and literature search. Adv. Ther. 2015, 32, 595–611. [Google Scholar] [CrossRef] [PubMed]
- Mishra, S.; Maurya, V.K.; Kumar, S.; Ankita, K.A.; Saxena, S.K. Clinical management and therapeutic strategies for the thyroid-associated ophthalmopathy: Current and future perspectives. Curr. Eye Res. 2020, 45, 1325–1341. [Google Scholar] [CrossRef] [PubMed]
- Cruz, A.; Equiterio, B.; Cunha, B.; Caetano, F.; Souza, R. Deep lateral orbital decompression for graves orbitopathy: A systematic review. Int. Ophthalmol. 2021, 41, 1929–1947. [Google Scholar] [CrossRef]
- Ru, K. Zur pathologie und operativen behandlung der dermoidcysten der orbita. Beitr. Klin. Chir. 1889, 4, 149–163. [Google Scholar]
- Dollinger, J. Die Druckentlastung der Augenhöhle durch Entfernung der äusseren Orbitawand bei hochgradigem Exophthalmus (Morbus basedowii) und konsekutiver Hornhauterkrankung. Dtsch. Med. Wochenschr. 1911, 337, 1888–1890. [Google Scholar] [CrossRef]
- Moran, R. The correction of exophthalmos and levator spasm. Plast. Reconstr. Surg. 1956, 18, 411–426. [Google Scholar] [CrossRef]
- Tessier, P. Expansion chirurgicale de l’orbite. les orbites trop petites. exophthalmies basedowiennes. exorbitisme des dysostoses cranio-faciales. atresies orbitaires des jeunes enuclees. tumeurs orbitaires. Ann. Chir. Plast. 1969, 14, 207–214. [Google Scholar]
- Wolfe, S. Modified three-wall orbital expansion to correct persistent exophthalmos or exorbitism. Plast. Reconstr. Surg. 1979, 64, 448–455. [Google Scholar] [CrossRef] [PubMed]
- Krause, M.; Hümpfner-Hierl, H.; Kruber, D.; Sterker, I.; Hierl, T. Calculation of resected orbital wall areas in the treatment of endocrine orbitopathy. J. Craniomaxillofac. Surg. 2017, 45, 485–490. [Google Scholar] [CrossRef]
- Krause, M.; Halama, D.; Gladilin, E.; Kauder, B.; Neuhaus, M.; Sander, A.; Lethaus, B.; Zimmerer, R. Effect of the lateral wall valgisation in the treatment of patients with endocrine orbitopathy. Br. J. Oral. Maxillofac. Surg. 2023, 61, 152–157. [Google Scholar] [CrossRef]
- Luboz, V.; Pedrono, A.; Ambard, D.; Boutault, F.; Payan, Y.; Swider, P. Prediction of tissue decompression in orbital surgery. Clin. Biomech. 2004, 19, 202–208. [Google Scholar] [CrossRef]
- Luboz, V.; Ambard, D.; Swider, P.; Boutault, F.; Payan, Y. Computer assisted planning and orbital surgery: Patient-related prediction of osteotomy size in proptosis reduction. Clin. Biomech. 2005, 20, 900–905. [Google Scholar] [CrossRef][Green Version]
- Weaver, A.; Loftis, K.; Duma, S.; Stitzel, J. Biomechanical modeling of eye trauma for different orbit anthropometries. J. Biomech. 2011, 44, 1296–1303. [Google Scholar] [CrossRef] [PubMed]
- Gladilin, E.; Hierl, T.; Sterker, I.; Hümpfner-Hierl, H.; Hemprich, A.; Krause, M. Retrospective cohort study of three-wall orbital resection for treatment of endocrine orbitopathy using 3d tomographic data and biomechanical modeling. Clin. Biomech. 2020, 71, 86–91. [Google Scholar] [CrossRef]
- Krause, M.; Neuhaus, M.; Sterker, I.; Bartella, A.; Schönfeld, A.; Lethaus, B.; Zimmerer, R.; Gladilin, E. Consideration of specific key points improves outcome of decompression treatment in patients with endocrine orbitopathy: Pre-/postop comparison and biomechanical simulation. Eur. J. Med. Res. 2022, 27, 92. [Google Scholar] [CrossRef] [PubMed]
- Gladilin, E.; Ivanov, A. Computational modeling and optimization of soft tissue outcome in cranio-maxillofacial surgery interventions. Comput. Methods Biomech. Biomed. Eng. 2009, 12, 305–318. [Google Scholar] [CrossRef]
- Cui, Y.-H.; Huang, J.-F.; Cheng, S.-Y.; Wei, W.; Shang, L.; Li, N.; Xiong, K. Study on establishment and mechanics application of finite element model of bovine eye. BMC Ophthalmol. 2015, 15, 101. [Google Scholar] [CrossRef][Green Version]
- Von Graefe, A. Ueber basedow‘sche krankheit. Dt Klinik. Verhandlungen Der. Berl. Med. Ges. 1864, 15, 158–159. [Google Scholar]
- Siah, W.; Patel, B.; Malhotra, R. Surgical management of temple-related problems following lateral wall rim-sparing orbital decompression for thyroid-related orbitopathy. Br. J. Ophthalmol. 2016, 100, 1144–1150. [Google Scholar] [CrossRef] [PubMed]
- Goldberg, R.; Kim, A.; Kerivan, K. The lacrimal keyhole, orbital door jamb, and basin of the inferior orbital fissure. three areas of deep bone in the lateral orbit. Arch. Ophthalmol. 1998, 116, 1618–1624. [Google Scholar] [CrossRef] [PubMed]
- Baldeschi, L. Small versus coronal incision orbital decompression in graves’ orbitopathy. Orbit 2010, 29, 177–182. [Google Scholar] [CrossRef] [PubMed]
- Spalthoff, S.; Jehn, P.; Zimmerer, R.; Rana, M.; Gellrich, N.; Dittmann, J. Modified lateral orbital wall decompression in graves’ orbitopathy using computer-assisted planning. Int. J. Oral. Maxillofac. Surg. 2018, 47, 167–174. [Google Scholar] [CrossRef]
- Tavassol, F.; Kokemüller, H.; Müller-Tavassol, C.; Schramm, A.; Rücker, M.; Gellrich, N. A quantitative approach to orbital decompression in graves’ disease using computer-assisted surgery: A compilation of different techniques and introduction of the ‘temporal cage’. J. Oral. Maxillofac. Surg. 2012, 70, 1152–1160. [Google Scholar] [CrossRef]



| Treatment Scenario | Number of Patients | Resected Area (Average), cm2 | Post-Surgery Change in the Orbital Volume (Average), cm3 |
|---|---|---|---|
| One-wall | 5 | 4.97 | 3.77 |
| Two-wall | 94 | 12.73 | 5.3 |
| Three-wall | 29 | 18.85 | 8.6 |
| LARA | 99 | 13.77 | 5.95 |
| LAVA | 18 | 12.1 * | 6.2 |
| Simulation Scenario | Fragment of the Orbital Wall | Simulated Resection Area, cm2 | Simulated Change in the Orbital Volume, cm3 |
|---|---|---|---|
| Two-wall | Lateral (L) area | 9.28 | 1.81 |
| Two-wall | Floor (F) area | 9.69 | 6.08 |
| Two-wall | L + F areas | 18.92 | 7.58 |
| LAVA | Valgization area | 9.6 * | 7.34 |
Disclaimer/Publisher’s Note: The statements, opinions and data contained in all publications are solely those of the individual author(s) and contributor(s) and not of MDPI and/or the editor(s). MDPI and/or the editor(s) disclaim responsibility for any injury to people or property resulting from any ideas, methods, instructions or products referred to in the content. |
© 2024 by the authors. Licensee MDPI, Basel, Switzerland. This article is an open access article distributed under the terms and conditions of the Creative Commons Attribution (CC BY) license (https://creativecommons.org/licenses/by/4.0/).
Share and Cite
Krause, M.; Gladilin, E. Computational Simulation of LAVA Treatment of Thyroid Eye Disease Predicts Soft Tissue Outcome Comparable to Two-Wall Resection. Bioengineering 2024, 11, 1181. https://doi.org/10.3390/bioengineering11121181
Krause M, Gladilin E. Computational Simulation of LAVA Treatment of Thyroid Eye Disease Predicts Soft Tissue Outcome Comparable to Two-Wall Resection. Bioengineering. 2024; 11(12):1181. https://doi.org/10.3390/bioengineering11121181
Chicago/Turabian StyleKrause, Matthias, and Evgeny Gladilin. 2024. "Computational Simulation of LAVA Treatment of Thyroid Eye Disease Predicts Soft Tissue Outcome Comparable to Two-Wall Resection" Bioengineering 11, no. 12: 1181. https://doi.org/10.3390/bioengineering11121181
APA StyleKrause, M., & Gladilin, E. (2024). Computational Simulation of LAVA Treatment of Thyroid Eye Disease Predicts Soft Tissue Outcome Comparable to Two-Wall Resection. Bioengineering, 11(12), 1181. https://doi.org/10.3390/bioengineering11121181
