Potential of Inactivated Bifidobacterium Strain in Attenuating Benzo(A)Pyrene Exposure-Induced Damage in Colon Epithelial Cells In Vitro
Abstract
1. Introduction
2. Materials and Methods
2.1. Bacterial Strains and Culture Conditions
2.2. Preparation of Colon Epithelial Cell Culture
2.2.1. Preparation of BaP Working Solution
2.2.2. Determination of BaP Concentration Affecting the Growth of Colon Epithelial Cells
2.3. Characteristics of Colon Epithelial Cells in the Presence of BaP and Strain BI-04
2.4. Oxidative Stress Assay
2.5. DNA Damage
2.6. Transcriptome Sequencing of RNA
2.7. CYP1A1 Expression of Colon Epithelial Cells
2.8. Statistical Analysis
3. Results
3.1. Growth Inhibition of Colon Epithelial Cells in Different Treatments
3.2. Reaction of Oxidative Stress
3.3. Analysis of DNA Damage
3.4. Transcriptomic Analysis
3.4.1. Go annotation
3.4.2. Metabolic Pathway Analysis
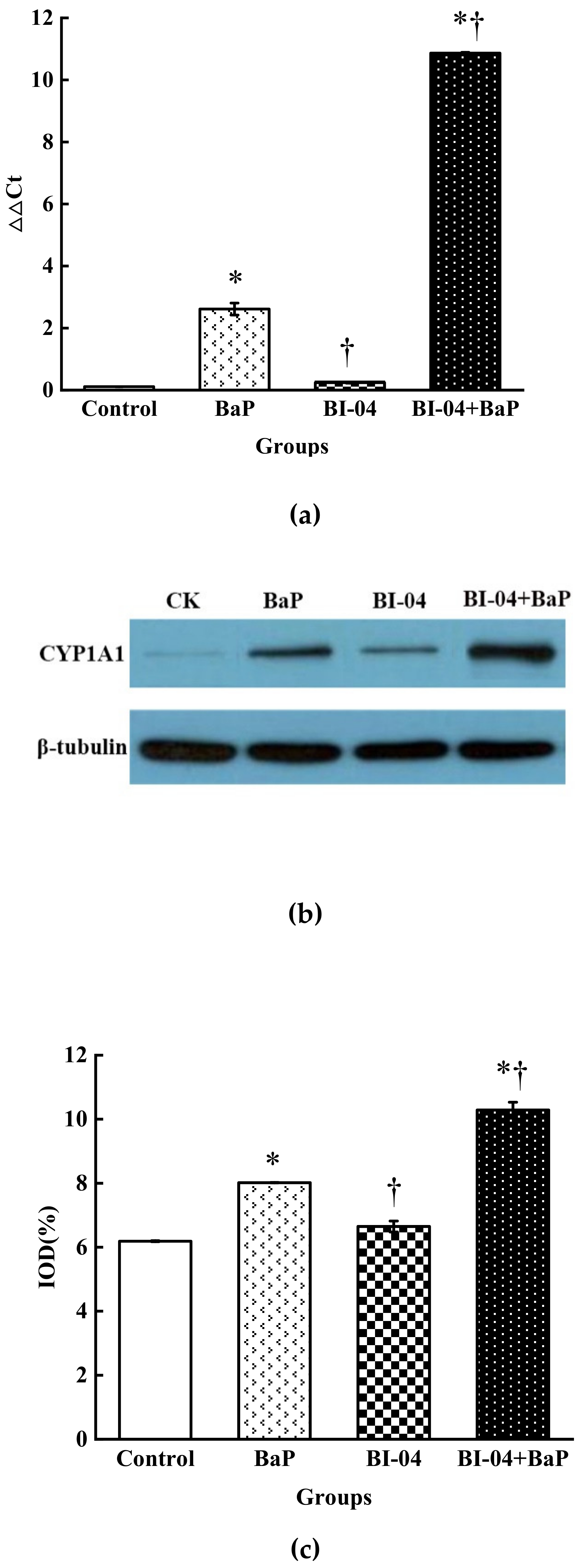
3.5. CYP1A1 Expression in Colon Epithelial Cells
4. Discussion
5. Conclusions
Supplementary Materials
Author Contributions
Funding
Conflicts of Interest
References
- Fromberg, A.; HØjgård, A.; Duedahl, O.L. Analysis of polycyclic aromatic hydrocarbons in vegetable oils combining gel permeation chromatography with solid phase extraction clean up. Food Addit. Contam. 2007, 24, 758–767. [Google Scholar] [CrossRef] [PubMed]
- Pashin, Y.V.; Bakhitova, L.M. Mutagenic and carcinogenic properties of polycyclic aromatic hydrocarbons. Environ. Health Perspect. 1979, 30, 185–189. [Google Scholar] [CrossRef]
- Cerniglia, C.E. Microbial metabolism of polycyclic aromatic hydrocarbons. Adv. Appl. Microbiol. 1984, 30, 31–71. [Google Scholar] [CrossRef] [PubMed]
- Santodonato, J.; Howard, P.; Basu, D. Health and ecological assessment of polynuclear aromatic hydrocarbons. J. Environ. Pathol. Toxicol. 1981, 5, 1–364. [Google Scholar] [CrossRef] [PubMed]
- Kouri, R.E.; Wood, A.W.; Levin, W.; Rude, T.H.; Yagi, H.; Mah, H.D.; Jerina, D.M.; Conney, A.H. Carcinogenicity of benzo[a]pyrene and thirteen of its derivatives in C3HPf Cum mice. J. Natl. Cancer Inst. 1980, 64, 617–623. [Google Scholar] [CrossRef] [PubMed]
- Siroka, Z.; Drastichova, J. Biochemical markers of aquatic environment contamination—Cytochrome P450 in fish: A review. Acta Vet. Brno 2004, 73, 123–132. [Google Scholar]
- Xue, W.; Warshawsky, D. Metabolic activation of polycyclic and heterocyclic aromatic hydrocarbons and DNA damage: A review. Toxicol. Appl. Pharmacol. 2005, 206, 73–93. [Google Scholar] [CrossRef]
- Haggerty, H.G.; Holsapple, M.P. Role of metabolism in dimethylnitrosamine-induced immunosuppression: A review. Toxicology 1990, 63, 1–23. [Google Scholar] [CrossRef]
- Qian, C.; Chen, F.; Chen, H.; Peng, H.; Wang, K. Benzo[a]pyrene (BaP) exposure generates persistent reactive oxygen species (ROS) to inhibit the NF-kB pathway in medaka (Oryzias melastigma). Environ. Pollut. 2019, 251, 502–509. [Google Scholar] [CrossRef]
- Merrifield, D.L.; Dimitroglou, A.; Foey, A.; Davies, S.J.; Baker, R.T.M.; Bogwald, J.; Castex, M.; Ringo, E. The current status and future focus of probiotic and prebiotic applications for salmonids. Aquaculture 2010, 302, 1–18. [Google Scholar] [CrossRef]
- Fuchs, S.; Sontag, G.; Stidl, R.; Ehrlich, V.; Kundi, M.; Knasmüller, S. Detoxification of patulin and ochratoxin A, two abundant mycotoxins, by lactic acid bacteria. Food Chem. Toxicol. 2008, 46, 1398–1407. [Google Scholar] [CrossRef] [PubMed]
- Elsanhoty, R.M.; Ramadan, M.F.; El-Gohery, S.S.; Abol-Ela, M.F.; Azeke, M.A. Ability of selected microorganisms for removing aflatoxins in vitro and fate of aflatoxins in contaminated wheat during baladi bread baking. Food Control. 2013, 33, 287–292. [Google Scholar] [CrossRef]
- Gan, X.; Teng, Y.; Zhao, L.; Ren, W.; Chen, W.; Hao, J.; Christie, P.; Luo, Y. Influencing mechanisms of hematite on benzo(a)pyrene degradation by the PAH-degrading bacterium, paracoccus sp. strain HPD-2: Insight from benzo(a)pyrene bioaccessibility and bacteria activity. J. Hazard. Mater. 2018, 359, 348–355. [Google Scholar] [CrossRef] [PubMed]
- Sana, S.; Muhammad, Z.A.; Abdul, R.; Zhang, B. Screening of Bifidobacterium strains to bind with Benzo[a]pyrene under food stress factors and the mechanism of the process. J. Food Process. Preserv. 2019, 43, e13956. [Google Scholar] [CrossRef]
- Chen, L.; Li, S.; Guo, X.; Xie, P.; Chen, J. The role of GSH in microcystin-induced apoptosis in rat liver: Involvement of oxidative stress and NF-κB. Environ. Toxicol. 2014, 31, 552–560. [Google Scholar] [CrossRef] [PubMed]
- Adriana, N.; Micha, A.; Zdzisawa, L. Ability of Intestinal Lactic Acid Bacteria to Bind and/or Metabolise Indole. Food Technol. Biotechnol. 2008, 46, 299–304. [Google Scholar] [CrossRef]
- Durand, R.E.; Olive, P.L. P XIV B.13-P XIV B.13 The comet assay: Alternatives for quantitative analyses. Mutat. Res. Fundam. Mol. Mech. Mutagen. 1997, 379, S130–S131. [Google Scholar] [CrossRef]
- Kim, D.; Langmead, B.; Salzberg, S.L. HISAT: A fast spliced aligner with low memory requirements. Nat. Methods 2015, 12, 357–360. [Google Scholar] [CrossRef]
- Chaty, S.; Rodius, F.; Lanhers, M.C.; Burnel, D.; Vasseur, P. Induction of cyp1a1 in rat liver after ingestion of mussels contaminated byerikafuel oils. Arch. Toxicol. 2008, 82, 75–80. [Google Scholar] [CrossRef]
- Albert, R.E.; Miller, M.L.; Cody, T.; Andringa, A.; Shukla, R.; Baxter, C.S. Benzo[a]pyrene-induced skin damage and tumor promotion in the mouse. Carcinogenesis 1991, 12, 1273–1280. [Google Scholar] [CrossRef]
- Niestroy, J.; Barbara, A.; Herbst, K.; Rode, S.; van Liempt, M.; Roos, P.H. Single and concerted effects of benzo[a]pyrene and flavonoids on the AhR and Nrf2-pathway in the human colon carcinoma cell line Caco-2. Toxicol. Vitro 2011, 25, 671–683. [Google Scholar] [CrossRef] [PubMed]
- Derakhshesh, N.; Salamat, N.; Movahedinia, A.; Hashemitabar, M.; Bayati, V. Exposure of liver cell culture from the orange-spotted grouper, Epinephelus coioides, to benzo[a]pyrene and light results in oxidative damage as measured by antioxidant enzymes. Chemosphere 2019, 181, 534–544. [Google Scholar] [CrossRef] [PubMed]
- Chen, C.; Jiang, X.; Ren, Y.; Zhang, Z. Arsenic trioxide co-exposure potentiates benzo(a)pyrene genotoxicity by enhancing the oxidative stress in human lung adenocarcinoma cell. Biol. Trace Elem. Res. 2013, 156, 338–349. [Google Scholar] [CrossRef] [PubMed]
- Ajayi, B.O.; Adedara, I.A.; Farombi, E.O. Benzo(a)pyrene induces oxidative stress, pro-inflammatory cytokines, expression of nuclear factor-kappa B and deregulation of wnt/beta-catenin signaling in colons of BALB/c mice. Food and Chem. Toxicol. 2016, 95, 42–51. [Google Scholar] [CrossRef]
- Du, Y.; Ye, J.; Wu, L.; Yang, C.; Wang, L.; Hu, X. Physiological effects and toxin release in Microcystis aeruginosa and Microcystis viridis exposed to herbicide fenoxaprop-p-ethyl. Environ. Sci. Pollut. Res. 2017, 24, 7752–7763. [Google Scholar] [CrossRef]
- Kim, K.B.; Lee, B.M. Oxidative stress to DNA, protein, and antioxidant enzymes (superoxide dismutase and catalase) in rats treated with benzo(a)pyrene. Cancer Lett. 1997, 113, 205–212. [Google Scholar] [CrossRef]
- Alexandrov, K.; Rojas, M.; Rolando, C. DNA damage by benzo(a) pyrene in human cells is increased by cigarette smoke and decreased by a filter containing rosemary extract, which lowers free radicals. Cancer Res. 2006, 66, 11938–11945. [Google Scholar] [CrossRef]
- He, X.; Zhao, L.; Zhang, B.; Zhao, H. Removal of benzo(a)pyrene by Lactobacillus strain under simulated starch condition. Acta Microbiol. Sin. 2016, 56, 814–823. [Google Scholar] [CrossRef]
- Yu, L.; Zhai, Q.; Liu, X.; Wang, G.; Zhang, Q.; Zhao, X.; Arjan, N. Lactobacillus plantarum CCFM639 alleviates aluminium toxicity. Appl. Microbiol. Biotechnol. 2016, 100, 1891–1900. [Google Scholar] [CrossRef]
- Hodek, P.; Koblihová, J.; Kizek, R.; Frei, E.; Arlt, V.M.; Stiborová, M. The relationship between DNA adduct formation by benzo(a)pyrene and expression of its activation enzyme cytochrome P4501A1 in rat. Environ. Toxicology Pharmacol. 2013, 36, 989–996. [Google Scholar] [CrossRef]
- Uno, S.; Dalton, T.P.; Dragin, N.; Curran, C.P.; Derkenne, S.; Miller, M.L.; Shertzer, H.G.; Gonzalez, F.J.; Nebert, D.W. Oral benzo(a)pyrene in Cyp1 knockout mouse lines: CYP1A1 important in detoxication, CYP1B1 metabolism required for immune damage independent of total-body burden and clearance rate. Mol. Pharmacol. 2006, 69, 1103–1114. [Google Scholar] [CrossRef] [PubMed]
- Uno, S.; Dalton, T.P.; Shertzer, H.G.; Genter, M.B.; Warshawsky, D.; Talaska, G.; Nebert, G.W. Benzo(a)pyrene-induced toxicity: Paradoxical protection in CYP1A1 (−/−) knockout mice having increased hepatic BaP-DNA adduct levels. Biochem. Biophys. Res. Commun. 2001, 289, 1049–1056. [Google Scholar] [CrossRef] [PubMed]
- Endo, K.; Uno, S.; Seki, T.; Ariga, T.; Kusumi, Y.; Mitsumata, M.; Yamad, S.; Makishima, M. Inhibition of aryl hydrocarbon receptor transactivation and DNA adduct formation by CYP1 isoform-selective metabolic deactivation of benzo[a]pyrene. Toxicol. Appl. Pharmacol. 2008, 230, 135–143. [Google Scholar] [CrossRef] [PubMed]
- Zapletal, O.; Tylichová, Z.; Neča, J.; Kohoutek, J.; Machala, M.; Milcová, A.; Pokorná, M.; Topinka, J.; Moyer, M.P.; Hofmanová, J.; et al. Butyrate alters expression of cytochrome P450 1A1 and metabolism of benzo[a]pyrene via its histone deacetylase activity in colon epithelial cell models. Arch. Toxicol. 2016, 91, 2135–2150. [Google Scholar] [CrossRef] [PubMed]
- Zapletal, O.; Procházková, J.; Dubec, V.; Hofmanová, J.; Kozubík, A.; Vondráček, J. Butyrate interacts with benzo[a]pyrene to alter expression and activities of xenobiotic metabolizing enzymes involved in metabolism of carcinogens within colon epithelial cell models. Toxicology 2018, 412, 1–11. [Google Scholar] [CrossRef] [PubMed]
- Sunil, K.D.; Manoj, K.; Priti, B.; Dhawan, D.K. White tea―A cost effective alternative to EGCG in fight against benzo(a)pyrene (BaP) induced lung toxicity in SD rats. Food Chem. Toxicol. 2019, 131, 110551. [Google Scholar] [CrossRef]
- Zhao, H.; Wang, X.; Zhang, J.; Zhang, J.; Zhang, B. The mechanism of Lactobacillus strains for their ability to remove fumonisins B1 and B2. Food Chem. Toxicol. 2016, 97, 40–46. [Google Scholar] [CrossRef]
- Kachouri, F.; Ksontini, H.; Hamdi, M. Removal of aflatoxin B1 and inhibition of Aspergillus flavus growth by the use of Lactobacillus plantarum on olives. J. Food Prot. 2014, 77, 1760–1767. [Google Scholar] [CrossRef]





| Components | Groups | |||
|---|---|---|---|---|
| Control | BaP | BI-04 | BI-04 + BaP | |
| DMSO | 0.1% | — | — | — |
| BaP | 0μM | 50μM | 0μM | 50μM |
| Bacterial suspension (5 × 108 CFU/mL) | — | — | B. lactis BI-04 | B. lactis BI-04 |
| Groups | DNA Damage Indicators | |||
|---|---|---|---|---|
| Comet Length | Tail Length | Tail Moment | OliveTail Moment | |
| Control | 155.31 ± 44.94 | 17.00 ± 15.09 | 0.39 ± 0.49 | 1.04 ± 0.88 |
| BaP | 301.88 ± 67.97 * | 143.21 ± 48.35 * | 73.14 ± 31.47 * | 47.75 ± 15.82 * |
| BI-04 | 160.00 ± 11.63 † | 30.69 ± 21.90 *† | 4.44 ± 2.89 *† | 5.11 ± 2.12 *† |
| BI-04+BaP | 284.17 ± 48.80 *† | 123.67 ± 33.69 *† | 47.69 ± 22.91 *† | 37.66 ± 9.78 *† |
| Gene Regulation | Major Genes and Pathways Related to Cytotoxicity in the Control vs BaP groups | Major Genes and Pathways Linked to Cytotoxicity in the BaP vs Strain BI-04+BaP Groups |
|---|---|---|
| UP | -p53 (MDM2/p53 signal pathway); -CYP1A1, CYP1B1 and GST (Chemical carcinogenesis pathway) | -CYP1A1 (Metabolism of xenobiotics by cytochrome P450 pathway); -PI3K (PI3K/AKT signal pathway). |
| DOWN | -GF, RTK, AKT, IKK, MDM2, et al. (PI3K/AKT signal pathway); | — |
© 2020 by the authors. Licensee MDPI, Basel, Switzerland. This article is an open access article distributed under the terms and conditions of the Creative Commons Attribution (CC BY) license (http://creativecommons.org/licenses/by/4.0/).
Share and Cite
Xu, M.; Fu, L.; Zhang, J.; Wang, T.; Fan, J.; Zhu, B.; Dziugan, P.; Zhang, B.; Zhao, H. Potential of Inactivated Bifidobacterium Strain in Attenuating Benzo(A)Pyrene Exposure-Induced Damage in Colon Epithelial Cells In Vitro. Toxics 2020, 8, 12. https://doi.org/10.3390/toxics8010012
Xu M, Fu L, Zhang J, Wang T, Fan J, Zhu B, Dziugan P, Zhang B, Zhao H. Potential of Inactivated Bifidobacterium Strain in Attenuating Benzo(A)Pyrene Exposure-Induced Damage in Colon Epithelial Cells In Vitro. Toxics. 2020; 8(1):12. https://doi.org/10.3390/toxics8010012
Chicago/Turabian StyleXu, Mengfan, Lili Fu, Junwen Zhang, Tao Wang, Junfeng Fan, Baoqing Zhu, Piotr Dziugan, Bolin Zhang, and Hongfei Zhao. 2020. "Potential of Inactivated Bifidobacterium Strain in Attenuating Benzo(A)Pyrene Exposure-Induced Damage in Colon Epithelial Cells In Vitro" Toxics 8, no. 1: 12. https://doi.org/10.3390/toxics8010012
APA StyleXu, M., Fu, L., Zhang, J., Wang, T., Fan, J., Zhu, B., Dziugan, P., Zhang, B., & Zhao, H. (2020). Potential of Inactivated Bifidobacterium Strain in Attenuating Benzo(A)Pyrene Exposure-Induced Damage in Colon Epithelial Cells In Vitro. Toxics, 8(1), 12. https://doi.org/10.3390/toxics8010012

