Integrated Biomarker Response of Oxidative Stress Parameters in the Digestive Glands and Gills of Autochthonous and Invasive Freshwater Mussels from the Sava River, Serbia
Abstract
1. Introduction
2. Materials and Methods
2.1. Description of the Site and Sampling
2.2. Processing of the Tissue and Biochemical Analyses
2.3. Statistical Analyses
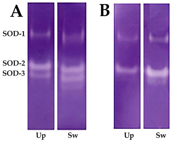
3. Results
4. Discussion
5. Conclusions
Supplementary Materials
Author Contributions
Funding
Institutional Review Board Statement
Informed Consent Statement
Data Availability Statement
Conflicts of Interest
References
- Lushchak, V.I. Environmentally induced oxidative stress in aquatic animals. Aquat. Toxicol. 2011, 101, 13–30. [Google Scholar] [CrossRef] [PubMed]
- Jomova, K.; Alomar, S.Y.; Alwasel, S.H.; Nepovimova, E.; Kuca, K.; Valko, M. Several lines of antioxidant defense against oxidative stress: Antioxidant enzymes, nanomaterials with multiple enzyme-mimicking activities, and low-molecular-weight antioxidants. Arch. Toxicol. 2024, 98, 1323–1367. [Google Scholar] [CrossRef] [PubMed]
- Winston, G.W.; Di Giulio, R.T. Prooxidant and antioxidant mechanisms in aquatic organisms. Aquat. Toxicol. 1991, 19, 137–161. [Google Scholar] [CrossRef]
- Halliwell, B.; Gutteridge, J.M.C. Free Radicals in Biology and Medicine, 4th ed.; Oxford University Press Inc.: Oxford, UK, 2015. [Google Scholar]
- Lopes, P.A.; Pinheiro, T.; Santos, M.C.; da Luz Mathias, M.; Collares-Pereira, M.J.; Viegas-Crespo, A.M. Response of antioxidant enzymes in freshwater fish populations (Leuciscus alburnoides complex) to inorganic pollutants exposure. Sci. Total Environ. 2001, 280, 153–163. [Google Scholar] [CrossRef]
- Şahin, A.; Karatepe, M. Vitamins A, E, C, β-carotene contents and MDA level of freshwater mussel, (Unio elongatulus eucirrus Bourguignat 1860) in the Karakaya Dam Lake. Ege J. Fish. Aquat. Sci. 2022, 39, 120–124. [Google Scholar] [CrossRef]
- Niyogi, S.; Biswas, S.; Sarker, S.; Datta, A.G. Antioxidant enzymes in brackishwater oyster, Saccostrea cucullata as potential biomarkers of polyaro matic hydrocarbon pollution in Hooghly Estuary (India): Seasonality and its consequences. Sci. Total Environ. 2001, 281, 237–246. [Google Scholar] [CrossRef]
- Kondakov, A.V.; Bespalaya, Y.V.; Vikhrev, I.V.; Konopleva, E.S.; Gofarov, M.Y.; Tomilova, A.A.; Vinarski, M.V.; Bolotov, I.N. The Asian pond mussels rapidly colonize Russia: Successful invasions of two cryptic species to the Volga and Ob rivers. BioInvasions Rec. 2020, 9, 504–518. [Google Scholar] [CrossRef]
- Douda, K.; Vrtilek, M.; Slavik, O.; Reichard, M. The role of host specificity in explaining the invasion success of the freshwater mussel Anodonta woodiana in Europe. Biol. Invasions 2012, 14, 127–137. [Google Scholar] [CrossRef]
- Sousa, R.; Gutierrez, J.L.; Aldridge, D.C. Non-indigenous invasive bivalves as ecosystem engineers. Biol. Invasions 2009, 11, 2367–2385. [Google Scholar] [CrossRef]
- Sousa, R.; Novais, A.; Costa, R.; Strayer, D. Invasive bivalves in fresh waters: Impacts from individuals to ecosystems and possible control strategies. Hydrobiologia 2014, 735, 233–251. [Google Scholar] [CrossRef]
- Douda, K.; Čadková, Z. Water clearance efficiency indicates potential filter-feeding interactions between invasive Sinanodonta woodiana and native freshwater mussels. Biol. Invasions 2017, 20, 1093–1098. [Google Scholar] [CrossRef]
- Dobler, A.H.; Hoos, P.; Geist, J. Distribution and potential impacts of non-native Chinese pond mussels Sinanodonta woodiana (Lea, 1834) in Bavaria, Germany. Biol. Invasions 2022, 24, 1689–1706. [Google Scholar] [CrossRef]
- Byers, J.E.; Blaze, J.A.; Dodd, A.C.; Hall, H.L.; Gribben, P.E. Exotic Asphyxiation: Interactions between Invasive Species and Hypoxia. Biol. Rev. 2023, 98, 150–167. [Google Scholar] [CrossRef] [PubMed]
- Stock, A.; Murray, C.C.; Gregr, E.J.; Steenbeek, J.; Woodburn, E.; Micheli, F.; Christensen, V.; Chan, K.M.A. Exploring Multiple Stressor Effects with Ecopath, Ecosim, and Ecospace: Research Designs, Modeling Techniques, and Future Directions. Sci. Total Environ. 2023, 869, 161719. [Google Scholar] [CrossRef]
- Malagoli, D.; Franchi, N.; Sacchi, S. The Eco-Immunological Relevance of the Anti-Oxidant Response in Invasive Molluscs. Antioxidants 2023, 12, 1266. [Google Scholar] [CrossRef]
- Paunović, M.M.; Borković, S.S.; Pavlović, S.Z.; Saičić, Z.S.; Cakić, P.D. The results of 2006 Sava Survey-aquatic macroinvertebrates. Arch. Biol. Sci. 2008, 60, 265–271. [Google Scholar] [CrossRef]
- ICPDR. Water Quality in the Danube River Basin; TNMN Yearbook; ICPDR: Vienna, Austria, 2006. [Google Scholar]
- European Community (EC). Directive 2008/105/EC of the European Parliament and of the Council on Environmental Quality Standards in the Field of Water Policy, Amending and Subsequently Repealing Council Directives 82/176/EEC, 83/513/EEC, 84/156/EEC, 84/491/EEC, 86/280/EEC and Amending Directive 2000/60/EC of the European Parliament and of the Council. 16 December 2008. Available online: http://data.europa.eu/eli/dir/2008/105/2013-09-13 (accessed on 13 October 2024).
- Borković-Mitić, S.; Pavlović, S.; Perendija, B.; Despotović, S.; Gavrić, J.; Gačić, Z.; Saičić, Z. Influence of some metal concen-trations on the activity of antioxidant enzymes and concentrations of vitamin E and SH-groups in the digestive gland and gills of the freshwater bivalve Unio tumidus from the Serbian part of Sava River. Ecol. Ind. 2013, 32, 212–221. [Google Scholar] [CrossRef]
- Laemmli, U.K. Cleavage of structural proteins during the assembly of the head of bacteriophage T-4. Nature 1970, 227, 680–685. [Google Scholar] [CrossRef]
- Mavelli, I.; Ciriolo, M.R.; Rossi, L.; Meloni, T.; Forteleoni, G.; De-Flora, A.; Benatti, U.; Morelli, A.; Rotilio, G. Favism: A hemolytic disease associated with increased superoxide dismutase and decrease glutathione peroxidase activities in red blood cells. Eur. J. Biochem. 1984, 139, 13–18. [Google Scholar] [CrossRef]
- Darlington, R.B.; Weinsberg, S.; Walberg, H. Canonical variate analysis and related techniques. Rev. Edu. Res. 1973, 43, 433–454. [Google Scholar] [CrossRef]
- Beliaeff, B.; Burgeot, T. Integrated biomarker response: A useful tool for ecological risk assessment. Environ. Toxicol. Chem. 2002, 21, 1316–1322. [Google Scholar] [CrossRef] [PubMed]
- Devin, S.; Burgeot, T.; Giambérini, L.; Minguez, L.; Pain-Devin, S. The integrated biomarker response revisited: Optimization to avoid misuse. Environ. Sci. Pollut. Res. 2014, 21, 2448–2454. [Google Scholar] [CrossRef]
- Reyden, C.A.R.; Delorme, N.J.; South, P.M.; Aguirre, J.D. Impacts of seeding density on the oxidative stress response of the Greenshell mussel, Perna canaliculus. Aquacult Int. 2023, 31, 2127–2143. [Google Scholar] [CrossRef]
- Viarengo, A.; Pertica, M.; Canesi, L.; Accometo, R.; Mancinelli, G.; Orunesu, M. Lipid peroxidation and level of antioxidant compounds (GSH, vitamin E) in the digestive glands of mussels of three different age groups exposed to anaerobic and aerobic conditions. Mar. Environ. Res. 1989, 28, 291–295. [Google Scholar] [CrossRef]
- Sole, M.; Porte, C.; Albaiges, J. Seasonal variation in the mixed function oxygenase system and antioxidant enzymes in the mussel Mytilus galloprovincialis. Environ. Toxicol. Chem. 1995, 14, 157–164. [Google Scholar] [CrossRef]
- Viarengo, A.; Canesi, L.; Pertica, M.; Livingstone, D.R.; Orunesu, M. Age-related lipid peroxidation in the digestive gland of mussels: The role of the antioxidant defence systems. Experientia 1991, 47, 454–457. [Google Scholar] [CrossRef]
- Kaloyianni, M.; Dailianis, S.; Chrisikopoulou, E.; Zannou, A.; Koutsogiannaki, S.; Alamdari, D.H.; Koliakos, G.; Dimitriadis, V.K. Oxidative effects of inorganic and organic contaminants on haemolymph of mussels. Comp. Biochem. Phys. Part C Toxicol. Pharm. 2009, 149, 631–639. [Google Scholar] [CrossRef]
- Box, A.; Sureda, A.; Galgani, F.; Pons, A.; Deudero, S. Assessment of environmental pollution at Balearic Islands applying oxidative stress biomarkers in the mussel Mytilus galloprovincialis. Comp. Biochem. Physiol. C 2007, 146, 531–539. [Google Scholar] [CrossRef]
- Cossu, C.; Doyotte, A.; Jacquin, M.C.; Babut, M.; Exinger, A.; Vasseur, P. Glutathione–reductase, selenium–dependent glutathione peroxidase, glutathione levels, and lipid peroxidation in freshwater bivalves, Unio timidus, as a biomarker of aquatic contamination in field studies. Ecotoxicol. Environ. Saf. 1997, 38, 122–131. [Google Scholar] [CrossRef]
- Vidal-Linán, L.; Bellas, J.; Campillo, J.A.; Beiras, R. Integrated use of antioxidant enzymes in mussels, Mytilus galloprovincialis, for monitoring pollution in highly productive coastal areas of Galicia (NW Spain). Chemosphere 2010, 78, 265–272. [Google Scholar] [CrossRef]
- Sirbu, I.; Sarkany-Kiss, A.; Sirbu, M.; Benedek, A.M. The Unionidae from Transylvania and neighbouring regions (Romania). Heldia 2005, 6, 183–192. [Google Scholar]
- Porte, C.; Sole, M.; Albaiges, J.; Livingstone, D.R. Responses of mixed–function oxygenase and antioxidase enzyme system of Mytilus sp. to organic pollution. Comp. Biochem. Physiol. Part C 1991, 100, 183–186. [Google Scholar] [CrossRef] [PubMed]
- Angel, D.L.; Fiedler, U.; Eden, N.; Kress, N.; Adelung, D.; Herut, B. Catalase activity in macro and microorganisms as an indicator of biotic stress in coastal waters of the eastern Mediterranean Sea. Helgol. Mar. Res. 1999, 53, 209–218. [Google Scholar] [CrossRef]
- Férnandez, B.; Campillo, J.A.; Martínez-Gómez, C.; Benedicto, J. Assessment of the mechanisms of detoxification of chemical compounds and antioxidant enzymes in the digestive gland of mussels, Mytilus galloprovincialis, from Mediterranean coastal sites. Chemosphere 2012, 87, 1235–1245. [Google Scholar] [CrossRef]
- Zhang, Y.; Song, J.; Yuan, H.; Xu, Y.; He, Z.; Duan, L. Biomarker responses in the bivalve (Chlamys farreri) to exposure of the environmentally relevant concentrations of lead, mercury, copper. Environ. Toxicol. Pharmacol. 2010, 30, 19–25. [Google Scholar] [CrossRef]
- Becker, A.; Soliman, K.F.A. The role of intracellular glutathione in inorganic mercury-induced toxicity in neuroblastoma cells. Neurochem. Res. 2009, 34, 1677–1684. [Google Scholar] [CrossRef]
- Dafre, A.L.; Medeiros, I.D.; Muller, I.C.; Ventura, E.C.; Bainy, A.C.D. Antioxidant enzymes and thiol/disulfide status in the digestive gland of the brown mussel Perna perna exposed to lead and paraquat. Chem. Biol. Interact. 2004, 149, 97–105. [Google Scholar] [CrossRef]
- Sole, M.; Porte, C.; Albaiges, J. Mixed-function oxygenase system components and antioxidant enzymes in different marine bivalves; its relation with contaminant body burdens. Aquat. Toxicol. 1994, 30, 271–283. [Google Scholar] [CrossRef]
- Fernández, B.; Campillo, J.A.; Martínez–Gómez, C.; Benedicto, J. Antioxidant responses in gills of mussel (Mytilus galloprovincialis) as biomarkers of environmental stress along the Spanish Mediterranean coast. Aquat. Toxicol. 2010, 99, 186–197. [Google Scholar] [CrossRef]
- Borković, S.S.; Šaponjić, J.S.; Pavlović, S.Z.; Blagojević, D.P.; Milošsević, S.M.; Kovačević, T.B.; Radojičić, R.M.; Spasić, M.B.; Žikić, R.V.; Saičić, Z.S. The activity of antioxidant defence enzymes in the mussel Mytilus galloprovincialis from the Adriatic Sea. Comp. Biochem. Physiol. Part C 2005, 141, 366–374. [Google Scholar] [CrossRef]
- Doyotte, A.; Cossu, C.; Jacquin, M.C.; Babut, M.; Vasseur, P. Antioxidant enzymes, glutathione and lipid peroxidation of experimental or field exposure in the gills and the digestive gland of the freshwater bivalve Unio tumidus. Aquat. Toxicol. 1997, 39, 93–110. [Google Scholar] [CrossRef]
- Box, A.; Sureda, A.; Deudero, S. Antioxidant response of the bivalve Pinna nobilis colonised by invasive red macroalgae Lophocladia lallemandii. Comp. Biochem. Physiol. C Toxicol. Pharmacol. 2009, 149, 456–460. [Google Scholar] [CrossRef] [PubMed]
- Lu, G.H.; Ji, Y.; Zhang, H.Z.; Wu, H.; Qin, J.; Wang, C. Active biomonitoring of complex pollution in Taihu Lake with Carassius auratus. Chemosphere 2010, 79, 588–594. [Google Scholar] [CrossRef] [PubMed]
- Lima, I.; Moreira, S.M.; Osten, J.R.; Soares, A.M.V.M.; Guilhermino, L. Biochemical responses of the marine mussel Mytilus galloprovincialis to petrochemical environmental contamination along the North-western coast of Portugal. Chemosphere 2007, 66, 1230–1242. [Google Scholar] [CrossRef] [PubMed]
- Liu, B.; Yu, Z.; Song, X.; Yang, F. Effects of sodium dodecylbenzene sulfonate and sodium dodecyl sulfate on the Mytilus galloprovincialis biomarker system. Ecotoxicol. Environ. Saf. 2010, 73, 835–841. [Google Scholar] [CrossRef]
- Barım, Ö.; Karatepe, M. The effects of pollution on the vitamins A, E, C, β-carotene contents and oxidative stress of the freshwater crayfish, Astacus leptodactylus. Ecotox Environ. Saf. 2010, 73, 138–142. [Google Scholar] [CrossRef]
- Sukhovskaya, I.V.; Borvinskaya, E.V.; Kochneva, A.A.; Slukovsky, Z.I.; Kurpe, S.R.; Fokina, N.N. Antioxidant System Response of Freshwater Mussel Anodonta cygnea to Cadmium Exposure. KnE Life Sci. 2020, 5, 450–467. [Google Scholar] [CrossRef]
- Manduzio, H.; Monsinjon, T.; Rocher, B.; Leboulenger, F.; Galap, C. Characterization of an inducible isoform of the Cu/Zn superoxide dismutase in the blue mussel Mytilus edulis. Aquat. Toxicol. 2003, 64, 73–83. [Google Scholar] [CrossRef]







| Unio pictorum | Sinadonta woodiana | Unio pictorum | Sinadonta woodiana | |
|---|---|---|---|---|
| Digestive Glands | Gills | |||
| SOD | 20.14 ± 2.58 | 20.25 ± 1.92 | 14.02 ± 1.72 | 15.55 ± 1.52 |
| CAT | 47.91 ± 9.17 | 182.04 ± 32.77 * | 14.79 ± 1.61 | 24.64 ± 5.39 * |
| GSH-Px | 5.65 ± 0.96 | 4.63 ± 1.18 * | 4.61 ± 0.73 | 3.26 ± 0.87 * |
| GR | 7.09 ± 1.92 | 3.52 ± 0.98 * | 4.07 ± 1.23 | 3.92 ± 0.72 |
| GST | 1188.53 ± 283.56 | 1006.64 ± 169.89 | 147.93 ± 21.59 | 212.16 ± 45.34 * |
| Vit E | 45.19 ± 3.67 | 41.59 ± 1.93 * | 45.80 ± 1.68 | 38.70 ± 0.80 * |
| SH | 193.51 ± 21.49 | 247.54 ± 26.17 * | 51.48 ± 15.32 | 124.93 ± 18.12 * |
| Variable Contributions, Based on Correlations | ||||||||
|---|---|---|---|---|---|---|---|---|
| Digestive Glands UP vs. SW | Gills UP vs. SW | Digestive Glands vs. Gills UP | Digestive Glands vs. Gills SW | |||||
| Variable | Factor 1 | Factor 2 | Factor 1 | Factor 2 | Factor 1 | Factor 2 | Factor 1 | Factor 2 |
| SOD | 0.026732 | 0.198614 | 0.071617 | 0.284501 * | 0.163943 | 0.082867 * | 0.165069 | 0.060479 * |
| CAT | 0.246672 * | 0.006353 | 0.175202 * | 0.010229 | 0.198941 * | 0.003619 | 0.201302 * | 0.001700 |
| GSH-Px | 0.064500 | 0.241708 * | 0.121943 | 0.065131 * | 0.102136 | 0.226355 | 0.111350 | 0.000279 |
| GR | 0.226706 * | 0.006053 | 0.000551 | 0.634269 * | 0.137021 | 0.074238 | 0.015824 | 0.874596 * |
| GST | 0.103563 | 0.247665 * | 0.153383 | 0.005408 | 0.194789 * | 0.001021 | 0.187850 * | 0.001214 |
| Vit E | 0.114340 | 0.295195 * | 0.237016 * | 0.000196 | 0.012913 | 0.611293 | 0.119525 | 0.047247 * |
| SH | 0.217487 * | 0.004411 | 0.240289 * | 0.000266 | 0.190257 * | 0.000608 | 0.199079 * | 0.014484 |
| Unio pictorum—Dig. Glands | Sinanodonta woodiana—Dig. Glands | ||||||
|---|---|---|---|---|---|---|---|
| Component | Component | ||||||
| 1 | 2 | 3 | 1 | 2 | 3 | ||
| GST | 0.823 | SH | 0.807 | 0.380 | |||
| GSH-Px | 0.816 | CAT | 0.742 | ||||
| SOD | 0.978 | GPx | 0.721 | ||||
| VitE | 0.785 | SOD | 0.318 | ||||
| GR | 0.477 | 0.787 | GST | 0.896 | |||
| SH | 0.773 | ViE | 0.813 | 0.439 | |||
| CAT | 0.526 | 0.742 | GR | 0.920 | |||
| Unio pictorum—Gills | Sinanodonta woodiana—Gills | ||||||
| 1 | 2 | 3 | 1 | 2 | 3 | ||
| SOD | 0.943 | SH | 0.880 | ||||
| CAT | 0.857 | GST | 0.837 | ||||
| SH | 0.935 | VitE | 0.601 | 0.451 | 0.288 | ||
| GR | 0.776 | GPx | |||||
| GSH-Px | 0.950 | SOD | 0.835 | 0.316 | |||
| GST | 0.544 | 0.468 | 0.595 | GR | 0.800 | ||
| ViE | 0.580 | CAT | 0.958 | ||||
Disclaimer/Publisher’s Note: The statements, opinions and data contained in all publications are solely those of the individual author(s) and contributor(s) and not of MDPI and/or the editor(s). MDPI and/or the editor(s) disclaim responsibility for any injury to people or property resulting from any ideas, methods, instructions or products referred to in the content. |
© 2024 by the authors. Licensee MDPI, Basel, Switzerland. This article is an open access article distributed under the terms and conditions of the Creative Commons Attribution (CC BY) license (https://creativecommons.org/licenses/by/4.0/).
Share and Cite
Borković-Mitić, S.; Mitić, B.; Vranković, J.S.; Jovičić, K.; Pavlović, S. Integrated Biomarker Response of Oxidative Stress Parameters in the Digestive Glands and Gills of Autochthonous and Invasive Freshwater Mussels from the Sava River, Serbia. Toxics 2024, 12, 756. https://doi.org/10.3390/toxics12100756
Borković-Mitić S, Mitić B, Vranković JS, Jovičić K, Pavlović S. Integrated Biomarker Response of Oxidative Stress Parameters in the Digestive Glands and Gills of Autochthonous and Invasive Freshwater Mussels from the Sava River, Serbia. Toxics. 2024; 12(10):756. https://doi.org/10.3390/toxics12100756
Chicago/Turabian StyleBorković-Mitić, Slavica, Bojan Mitić, Jelena S. Vranković, Katarina Jovičić, and Slađan Pavlović. 2024. "Integrated Biomarker Response of Oxidative Stress Parameters in the Digestive Glands and Gills of Autochthonous and Invasive Freshwater Mussels from the Sava River, Serbia" Toxics 12, no. 10: 756. https://doi.org/10.3390/toxics12100756
APA StyleBorković-Mitić, S., Mitić, B., Vranković, J. S., Jovičić, K., & Pavlović, S. (2024). Integrated Biomarker Response of Oxidative Stress Parameters in the Digestive Glands and Gills of Autochthonous and Invasive Freshwater Mussels from the Sava River, Serbia. Toxics, 12(10), 756. https://doi.org/10.3390/toxics12100756

