The Therapeutic Effect of Catechin on Nephrolithiasis Induced by Co-Exposure to Melamine and Cyanuric Acid in Sprague–Dawley Rats
Abstract
1. Introduction
2. Materials and Methods
2.1. Experimental Animals
2.2. Experimental Design
2.3. Test Material
2.4. Clinical Observation
2.5. Tissue Collection
2.6. Serum Chemistry
2.7. Urine Collection
2.8. Histopathology
2.9. Macroscopic Evaluation of Renal Tissue (Wet Mount Preparation)
2.10. Statistical Analysis
3. Results
3.1. Induction of Nephrolithiasis in Rats
3.2. Effect of Catechin Treatment on Body Weight and Renal Index
3.3. Effect of Catechin Treatment on Crystal Deposition in the Kidneys
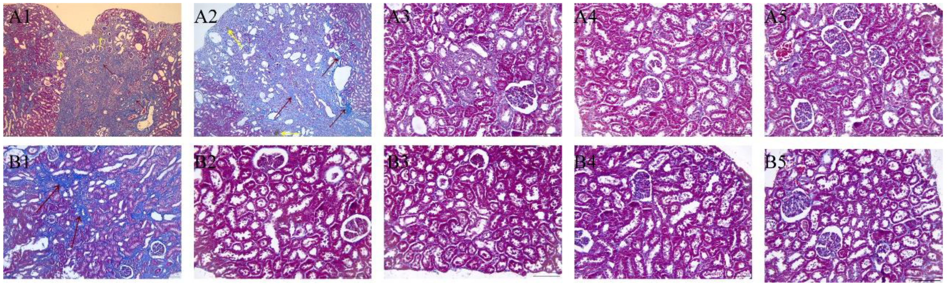
3.4. Effect of Catechin Treatment on Kidney Histopathology
3.5. Effect of Catechin Treatment on Renal Function Parameters
4. Discussion
5. Conclusions
Author Contributions
Funding
Institutional Review Board Statement
Informed Consent Statement
Data Availability Statement
Acknowledgments
Conflicts of Interest
References
- Li, X.; Wu, G.; Shang, P.; Bao, J.; Lu, J.; Yue, Z. Anti-nephrolithic potential of catechin in melamine-related urolithiasis via the inhibition of ROS, apoptosis, phospho-p38, and osteopontin in male Sprague-Dawley rats. Free Radic. Res. 2015, 49, 1249–1258. [Google Scholar] [CrossRef] [PubMed]
- Sorokin, I.; Mamoulakis, C.; Miyazawa, K.; Rodgers, A.; Talati, J.; Lotan, Y. Epidemiology of stone disease across the world. World J. Urol. 2017, 35, 1301–1320. [Google Scholar] [CrossRef] [PubMed]
- Liu, Y.; Chen, Y.; Liao, B.; Luo, D.; Wang, K.; Li, H.; Zeng, G. Epidemiology of urolithiasis in Asia. Asian J. Urol. 2018, 5, 205–214. [Google Scholar] [CrossRef] [PubMed]
- Kittanamongkolchai, W.; Vaughan, L.E.; Enders, F.T.; Dhondup, T.; Mehta, R.A.; Krambeck, A.E.; McCollough, C.H.; Vrtiska, T.J.; Lieske, J.C.; Rule, A.D. The changing incidence and presentation of urinary stones over 3 decades. Mayo Clin. Proc. 2018, 93, 291–299. [Google Scholar] [CrossRef]
- Wang, W.; Fan, J.; Huang, G.; Li, J.; Zhu, X.; Tian, Y.; Su, L. Prevalence of kidney stones in mainland China: A systematic review. Sci. Rep. 2017, 7, 41630. [Google Scholar] [CrossRef]
- Chen, K.C.; Liao, C.W.; Cheng, F.P.; Chou, C.C.; Chang, S.C.; Wu, J.H.; Zen, J.M.; Chen, Y.T.; Liao, J.W. Evaluation of subchronic toxicity of pet food contaminated with melamine and cyanuric acid in rats. Toxicol. Pathol. 2009, 37, 959–968. [Google Scholar] [CrossRef]
- Sprando, R.L.; Reimschuessel, R.; Stine, C.B.; Black, T.; Olejnik, N.; Scott, M.; Keltner, Z.; Bandele, O.; Ferguson, M.; Nemser, S.M.; et al. Timing and route of exposure affects crystal formation in melamine and cyanuric exposed male and female rats: Gavage vs. feeding. Food Chem. Toxicol. 2012, 50, 4389–4397. [Google Scholar] [CrossRef]
- Wu, Y.; Zhang, Y. Analytical chemistry, toxicology, epidemiology and health impact assessment of melamine in infant formula: Recent progress and developments. Food Chem. Toxicol. 2013, 56, 325–335. [Google Scholar] [CrossRef]
- Dorne, J.L.; Doerge, D.R.; Vandenbroeck, M.; Fink-Gremmels, J.; Mennes, W.; Knutsen, H.K.; Vernazza, F.; Castle, L.; Edler, L.; Benford, D. Recent advances in the risk assessment of melamine and cyanuric acid in animal feed. Toxicol. Appl. Pharm. 2013, 270, 218–229. [Google Scholar] [CrossRef]
- Sun, H.; Wang, K.; Wei, H.; Li, Z.; Zhao, H. Cytotoxicity, organ distribution and morphological effects of melamine and cyanuric acid in rats. Toxicol. Mech. Methods 2016, 26, 501–510. [Google Scholar] [CrossRef]
- Liu, C.; Wu, C.; Chen, B.; Huang, S.; Goggins, W.; Lee, H.H.; Chou, Y.; Wu, W.; Huang, C.; Shiea, J.; et al. Low exposure to melamine increases the risk of urolithiasis in adults. Kidney Int. 2011, 80, 746–752. [Google Scholar] [CrossRef] [PubMed]
- Jacob, C.C.; Reimschuessel, R.; Von Tungeln, L.S.; Olson, G.R.; Warbritton, A.R.; Hattan, D.G.; Beland, F.A.; Gamboa da Costa, G. Dose-response assessment of nephrotoxicity from a 7-day combined exposure to melamine and cyanuric acid in F344 rats. Toxicol. Sci. 2011, 119, 391–397. [Google Scholar] [CrossRef]
- Xie, G.X.; Zheng, X.J.; Qi, X.; Cao, Y.; Chi, Y.; Su, M.M.; Ni, Y.; Qiu, Y.P.; Liu, Y.M.; Li, H.K.; et al. Metabonomic evaluation of melamine-induced acute renal toxicity in rats. J. Proteome Res. 2010, 9, 125–133. [Google Scholar] [CrossRef]
- Shi, X.; Dong, R.; Chen, J.; Yuan, Y.; Long, Q.; Guo, J.; Li, S.; Chen, B. An assessment of melamine exposure in Shanghai adults and its association with food consumption. Environ. Int. 2020, 135, 105363. [Google Scholar] [CrossRef] [PubMed]
- Chien, C.; Wu, C.; Liu, C.; Chen, B.; Huang, S.; Chou, Y.; Chang, A.; Chang, A.; Lee, H.; Pan, C.; et al. High melamine migration in daily-use melamine-made tableware. J. Hazard. Mater. 2011, 188, 350–356. [Google Scholar] [CrossRef] [PubMed]
- Wu, C.; Hsieh, T.J.; Chen, B.; Liu, C.; Wu, M. A crossover study of noodle soup consumption in melamine bowls and total melamine excretion in urine. JAMA Intern. Med. 2013, 173, 317–319. [Google Scholar] [CrossRef] [PubMed]
- Liu, S.; Zhao, Q.; Huang, F.; Yang, Q.; Wang, Y.; Wang, H.; Sun, Y.; Yan, Y.; He, G.; Zhao, G.; et al. Exposure to melamine and its derivatives in Chinese adults: The cumulative risk assessment and the effect on routine blood parameters. Ecotoxicol. Environ. Saf. 2022, 241, 113714. [Google Scholar] [CrossRef] [PubMed]
- Sathyanarayana, S.; Flynn, J.T.; Messito, M.J.; Gross, R.; Whitlock, K.B.; Kannan, K.; Karthikraj, R.; Morrison, D.; Huie, M.; Christakis, D.; et al. Melamine and cyanuric acid exposure and kidney injury in US children. Environ. Res. 2019, 171, 18–23. [Google Scholar] [CrossRef]
- Panuwet, P.; Nguyen, J.V.; Wade, E.L.; D’Souza, P.E.; Ryan, P.B.; Barr, D.B. Quantification of melamine in human urine using cation-exchange based high performance liquid chromatography tandem mass spectrometry. J. Chromatogr. B 2012, 887, 48–54. [Google Scholar] [CrossRef]
- Zhu, H.; Kannan, K. Inter-day and inter-individual variability in urinary concentrations of melamine and cyanuric acid. Environ. Int. 2019, 123, 375–381. [Google Scholar] [CrossRef]
- Zhu, H.; Kannan, K. Occurrence and distribution of melamine and its derivatives in surface water, drinking water, precipitation, wastewater, and swimming pool water. Environ. Pollut. 2020, 258, 113743. [Google Scholar] [CrossRef]
- Qin, Y.; Lv, X.; Li, J.; Qi, G.; Diao, Q.; Liu, G.; Xue, M.; Wang, J.; Tong, J.; Zhang, L.; et al. Assessment of melamine contamination in crop, soil and water in China and risks of melamine accumulation in animal tissues and products. Environ. Int. 2010, 36, 446–452. [Google Scholar] [CrossRef] [PubMed]
- Zhu, H.; Lee, S.; Moon, H.B.; Kannan, K. Spatial and temporal trends of melamine and its derivatives in sediment from Lake Shihwa, South Korea. J. Hazard. Mater. 2019, 373, 671–677. [Google Scholar] [CrossRef] [PubMed]
- Wen, J.G.; Chang, Q.L.; Lou, A.F.; Li, Z.Z.; Lu, S.; Wang, Y.; Wang, Y.; Hu, J.; Mao, S.; Zhang, Y.; et al. Melamine-related urinary stones in 195 infants and young children: Clinical features within 2 years of follow-up. Urol. Int. 2011, 87, 429–433. [Google Scholar] [CrossRef] [PubMed]
- Zhang, L.; Wu, L.; Wang, Y.; Liu, A.; Zou, C.; Zhao, Z. Melamine-contaminated milk products induced urinary tract calculi in children. World J. Pediatr. 2009, 5, 31–35. [Google Scholar] [CrossRef]
- Barreto, L.; Jung, J.; Abdelrahim, A.; Ahmed, M.; Dawkins, G.P.; Kazmierski, M. Medical and surgical interventions for the treatment of urinary stones in children. Cochrane Database Syst. Rev. 2018, 6, CD010784. [Google Scholar] [CrossRef]
- Sorokin, I.; Pearle, M.S. Medical therapy for nephrolithiasis: State of the art. Asian J. Urol. 2018, 5, 243–255. [Google Scholar] [CrossRef]
- Alelign, T.; Tessema, T.S.; Debella, A.; Petros, B. Evaluations of the curative efficacy of G. fruticosus solvent extracts in experimentally induced nephrolithiatic Wistar male rats. BMC Complement. Med. Ther. 2021, 21, 145. [Google Scholar] [CrossRef]
- Butterweck, V.; Khan, S.R. Herbal medicines in the management of urolithiasis: Alternative or complementary? Planta Med. 2009, 75, 1095–1103. [Google Scholar] [CrossRef]
- Salem, R.R.; Mohamed, A.M.; El-Kenawy, A.E.M. Protective effect of green tea against the hematological, biochemical, histopathological and ultrastructural changes in rat liver induced by subchronic exposure to melamine. Toxicology 2018, 14, 95–108. [Google Scholar]
- Reimschuessel, R.; Gieseker, C.M.; Miller, R.A.; Ward, J.; Boehmer, J.; Rummel, N.; Heller, D.N.; Nochetto, C.; de Alwis, G.K.H.; Bataller, N.; et al. Evaluation of the renal effects of experimental feeding of melamine and cyanuric acid to fish and pigs. Am. J. Vet. Res. 2008, 69, 1217–1228. [Google Scholar] [CrossRef] [PubMed]
- Stine, C.B.; Reimschuessel, R.; Keltner, Z.; Nochetto, C.B.; Black, T.; Olejnik, N.; Scott, M.; Bandele, O.; Nemser, S.M.; Tkachenko, A.; et al. Reproductive toxicity in rats with crystal nephropathy following high doses of oral melamine or cyanuric acid. Food Chem. Toxicol. 2014, 68, 142–153. [Google Scholar] [CrossRef] [PubMed]
- Jeong, B.C.; Kim, B.S.; Kim, J.I.; Kim, H.H. Effects of green tea on urinary stone formation: An in vivo and in vitro study. J. Endourol. 2006, 20, 356–361. [Google Scholar] [CrossRef] [PubMed]
- Itoh, Y.; Yasui, T.; Okada, A.; Tozawa, K.; Hayashi, Y.; Kohri, K. Preventive effects of green tea on renal stone formation and the role of oxidative stress in nephrolithiasis. J. Urol. 2005, 173, 271–275. [Google Scholar] [CrossRef] [PubMed]
- Li, Z.; Chang, L.; Ren, X.; Hu, Y.; Chen, Z. Modulation of rat kidney stone crystallization and the relative oxidative stress pathway by green tea polyphenol. ACS Omega 2021, 6, 1725–1731. [Google Scholar] [CrossRef]
- Lu, X.; Gao, B.; Wang, Y.; Liu, Z.; Yasui, T.; Liu, P.; Liu, J.; Emmanuel, N.; Zhu, Q.; Xiao, C. Renal tubular epithelial cell injury, apoptosis and inflammation are involved in melamine-related kidney stone formation. Urol. Res. 2012, 40, 717–723. [Google Scholar] [CrossRef]
- Li, X.; Lu, J.; Shang, P.; Bao, J.; Yue, Z. The selective NADPH oxidase inhibitor apocynin has potential prophylactic effects on melamine-related nephrolithiasis in vitro and in vivo. Mol. Cell. Biochem. 2015, 399, 167–178. [Google Scholar] [CrossRef]
- Huang, Z.; Wang, G.; Yang, B.; Li, P.; Yang, T.; Wu, Y.; Yang, X.; Liu, J.; Li, J. Mechanism of ketotifen fumarate inhibiting renal calcium oxalate stone formation in SD rats. Biomed. Pharmacother. 2022, 151, 113147. [Google Scholar] [CrossRef]
- Peng, J.; Li, D.; Chan, Y.; Chen, Y.; Lamb, J.R.; Tam, P.K.; El-Nezami, H. Effects of water uptake on melamine renal stone formation in mice. Nephrol. Dial. Transplant. 2012, 27, 2225–2231. [Google Scholar] [CrossRef][Green Version]
- Grases, F.; Prieto, R.M.; Gomila, I.; Sanchis, P.; Costa-Bauzá, A. Phytotherapy and renal stones: The role of antioxidants. A pilot study in Wistar rats. Urol. Res. 2009, 37, 35–40. [Google Scholar] [CrossRef]
- Zhai, W.; Zheng, J.; Yao, X.; Peng, B.; Liu, M.; Huang, J.; Wang, G.; Xu, Y. Catechin prevents the calcium oxalate monohydrate induced renal calcium crystallization in NRK-52E cells and the ethylene glycol induced renal stone formation in rat. BMC Complement. Altern. Med. 2013, 13, 228. [Google Scholar] [CrossRef] [PubMed]
- Randall, A. The etiology of primary renal calculus. Int. Abstr. Surg. 1940, 71, 209–240. [Google Scholar]
- Kanlaya, R.; Singhto, N.; Thongboonkerd, V. EGCG decreases binding of calcium oxalate monohydrate crystals onto renal tubular cells via decreased surface expression of alpha-enolase. J. Biol. Inorg. Chem. 2016, 21, 339–346. [Google Scholar] [CrossRef] [PubMed]
- Thongboonkerd, V. Proteomics and kidney stone disease. Proteom. Nephrol. Towards Clin. Appl. 2008, 160, 142–158. [Google Scholar] [CrossRef]
- Hirose, M.; Yasui, T.; Okada, A.; Hamamoto, S.; Shimizu, H.; Itoh, Y.; Chien, M.; Lee, W.; Tsai, F.; Liao, J. Renal tubular epithelial cell injury and oxidative stress induce calcium oxalate crystal formation in mouse kidney. Int. J. Urol. 2010, 17, 83–92. [Google Scholar] [CrossRef] [PubMed]
- Chen, Y.; Hsuan, S.L.; Jiann, B.P.; Chou, C.; Chang, S.; Lee, Y.F.; Chien, M.S.; Lee, W.; Tsai, F.J.; Liao, J. Effects of sodium citrate on melamine–cyanuric acid mixture-induced urolithiasis in rats. Clin. Chim. Acta 2013, 424, 76–82. [Google Scholar] [CrossRef]
- Wesson, J.A.; Johnson, R.J.; Mazzali, M.; Beshensky, A.M.; Stietz, S.; Giachelli, C.; Liaw, L.; Alpers, C.E.; Couser, W.G.; Kleinman, J.G.; et al. Osteopontin is a critical inhibitor of calcium oxalate crystal formation and retention in renal tubules. J. Am. Soc. Nephrol. 2003, 14, 139–147. [Google Scholar] [CrossRef]
- Zhang, X.; Bai, J.; Ma, P.; Ma, J.; Wan, J.; Jiang, B. Melamine-induced infant urinary calculi: A report on 24 cases and a 1-year follow-up. Urol. Res. 2010, 38, 391–395. [Google Scholar] [CrossRef]
- Spiers, D.E.; Candas, V. Relationship of skin surface area to body mass in the immature rat: A reexamination. J. Appl. Physiol. 1984, 56, 240–243. [Google Scholar] [CrossRef]
- Luo, D.; Xu, J.; Chen, X.; Zhu, X.; Liu, S.; Li, J.; Xu, X.; Ma, X.; Zhao, J.; Ji, X. (−)-Epigallocatechin-3-gallate (EGCG) attenuates salt-induced hypertension and renal injury in Dahl salt-sensitive rats. Sci. Rep. 2020, 10, 4783. [Google Scholar] [CrossRef]
- Yang, C.S.; Hong, J. Prevention of chronic diseases by tea: Possible mechanisms and human relevance. Annu. Rev. Nutr. 2013, 33, 161–181. [Google Scholar] [CrossRef] [PubMed]








| Group | Crystal Intensity * | Total Number of Animals with Crystals |
|---|---|---|
| Sham (CMC-Na) | III, IV, II, II, I | 5 of 5 |
| Treatment (Catechin) | 0, 0, I, 0, 0 | 1 of 5 |
Disclaimer/Publisher’s Note: The statements, opinions and data contained in all publications are solely those of the individual author(s) and contributor(s) and not of MDPI and/or the editor(s). MDPI and/or the editor(s) disclaim responsibility for any injury to people or property resulting from any ideas, methods, instructions or products referred to in the content. |
© 2023 by the authors. Licensee MDPI, Basel, Switzerland. This article is an open access article distributed under the terms and conditions of the Creative Commons Attribution (CC BY) license (https://creativecommons.org/licenses/by/4.0/).
Share and Cite
Wang, H.; Liu, Z.; Liu, S.; Yang, R.; Wang, Y.; Gu, Y.; Wu, M.; Dong, R.; Chen, B. The Therapeutic Effect of Catechin on Nephrolithiasis Induced by Co-Exposure to Melamine and Cyanuric Acid in Sprague–Dawley Rats. Toxics 2023, 11, 799. https://doi.org/10.3390/toxics11090799
Wang H, Liu Z, Liu S, Yang R, Wang Y, Gu Y, Wu M, Dong R, Chen B. The Therapeutic Effect of Catechin on Nephrolithiasis Induced by Co-Exposure to Melamine and Cyanuric Acid in Sprague–Dawley Rats. Toxics. 2023; 11(9):799. https://doi.org/10.3390/toxics11090799
Chicago/Turabian StyleWang, Hangwei, Zhanren Liu, Shaojie Liu, Ruoru Yang, Yifei Wang, Yiying Gu, Min Wu, Ruihua Dong, and Bo Chen. 2023. "The Therapeutic Effect of Catechin on Nephrolithiasis Induced by Co-Exposure to Melamine and Cyanuric Acid in Sprague–Dawley Rats" Toxics 11, no. 9: 799. https://doi.org/10.3390/toxics11090799
APA StyleWang, H., Liu, Z., Liu, S., Yang, R., Wang, Y., Gu, Y., Wu, M., Dong, R., & Chen, B. (2023). The Therapeutic Effect of Catechin on Nephrolithiasis Induced by Co-Exposure to Melamine and Cyanuric Acid in Sprague–Dawley Rats. Toxics, 11(9), 799. https://doi.org/10.3390/toxics11090799

