Lutein Modulates Oxidative Stress, Inflammatory and Apoptotic Biomarkers Related to Di-(2-Ethylhexyl) Phthalate (DEHP) Hepato-Nephrotoxicity in Male Rats: Role of Nuclear Factor Kappa B
Abstract
:1. Introduction
2. Material and Methods
2.1. Chemicals
2.2. Experimental Animals and Design
2.3. Sampling and Biochemical Analysis
2.3.1. Serum Biochemical Analysis
2.3.2. Preparation of Tissue Homogenate
2.3.3. Evaluation of Oxidant/Antioxidant Biomarkers
2.3.4. Evaluation of Inflammatory and Apoptotic Biomarkers
2.3.5. Histopathological Examination
2.3.6. Histopathological Semi-Quantitative Scoring System
2.3.7. Statistical Analysis
3. Results
3.1. Serum Findings of Liver and Kidney Functions
3.2. Hepato-Renal Redox State
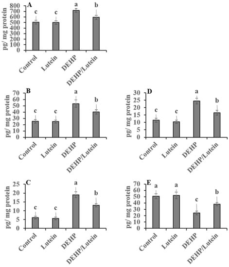
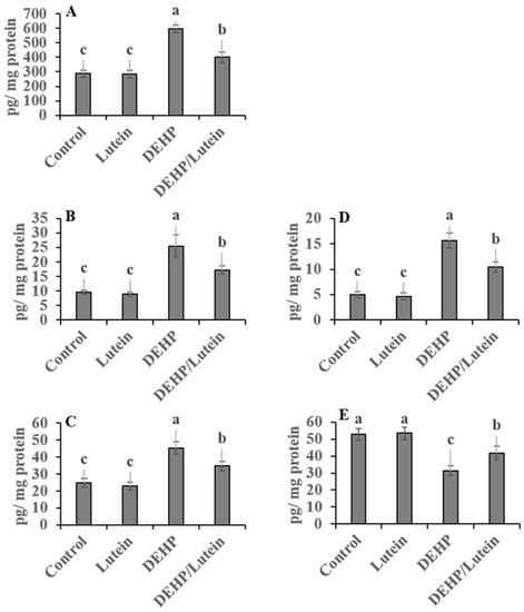
3.3. Proinflammatory Cytokines and Apoptotic Biomarkers
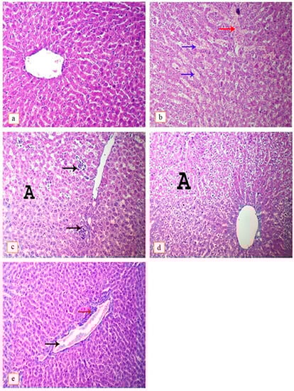
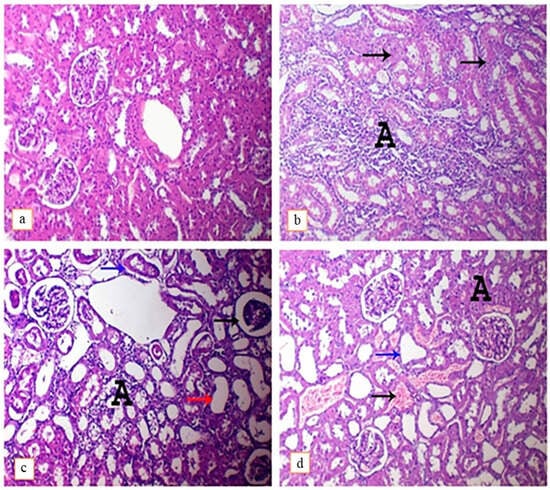
3.4. Histopathological Changes
3.4.1. Liver
3.4.2. Kidney
4. Discussion
5. Conclusions
Author Contributions
Funding
Institutional Review Board Statement
Informed Consent Statement
Data Availability Statement
Acknowledgments
Conflicts of Interest
References
- Chou, K.; Wright, R.O. Phthalates in food and medical devices. J. Med. Toxicol. 2006, 2, 126–135. [Google Scholar]
- Koniecki, D.; Wang, R.; Moody, R.P.; Zhu, J. Phthalates in cosmetic and personal care products: Concentrations and possible dermal exposure. Environ. Res. 2011, 111, 329–336. [Google Scholar]
- Latini, G. Monitoring phthalate exposure in humans. Clin. Chim. Acta 2005, 361, 20–29. [Google Scholar] [PubMed]
- Fromme, H.; Gruber, L.; Schlummer, M.; Wolz, G.; Böhmer, S.; Angerer, J.; Mayer, R.; Liebl, B.; Bolte, G. Intake of phthalates and di(2-ethylhexyl) adipate: Results of the Integrated Exposure Assessment Survey based on duplicate diet samples and biomonitoring data. Environ. Int. 2007, 33, 1012–1020. [Google Scholar] [PubMed]
- Chiellini, F.; Ferri, M.; Latini, G. Physical–chemical assessment of di-(2-ethylhexyl)-phthalate leakage from poly(vinyl chloride) endotracheal tubes after application in high risk newborns. Int. J. Pharm. 2011, 409, 57–61. [Google Scholar]
- Tickner, J.A.; Schettler, T.; Guidotti, T.; McCally, M.; Rossi, M. Health risks posed by use of Di-2-ethylhexyl phthalate (DEHP) in PVC medical devices: A critical review. Am. J. Ind. Med. 2001, 39, 100–111. [Google Scholar]
- Heudorf, U.; Mersch-Sundermann, V.; Angerer, J. Phthalates: Toxicology and exposure. Int. J. Hyg. Environ. Health 2007, 210, 623–634. [Google Scholar]
- Erkekoglu, P.; Zeybek, N.D.; Giray, B.; Asan, E.; Arnaud, J.; Hincal, F. Reproductive toxicity of di(2-ethylhexyl) phthalate in selenium-supplemented and selenium-deficient rats. Drug Chem. Toxicol. 2011, 34, 379–389. [Google Scholar] [CrossRef]
- Somasundaram, D.; Manokaran, K.; Selvanesan, B.; Bhaskaran, R. Impact of di-(2-ethylhexyl) phthalate on the uterus of adult Wistar rats. Hum. Exp. Toxicol. 2017, 36, 565–572. [Google Scholar] [CrossRef]
- Kasahara, E.; Sato, E.F.; Miyoshi, M.; Konaka, R.; Hiramoto, K.; Sasaki, J.; Tokuda, M.; Nakano, Y.; Inoue, M. Role of oxidative stress in germ cell apoptosis induced by di(2-ethylhexyl)phthalate. Biochem. J. 2002, 365, 849–856. [Google Scholar]
- Huang, Y.; Wu, C.; Ye, Y.; Zeng, J.; Zhu, J.; Li, Y.; Wang, W.; Zhang, W.; Chen, Y.; Xie, H. The increase of ROS caused by the interference of DEHP with JNK/p38/p53 pathway as the reason for hepatotoxicity. Int. J. Environ. Res. Public Health 2019, 16, 356. [Google Scholar] [CrossRef] [PubMed]
- Zhang, W.; Shen, X.-Y.; Zhang, W.-W.; Chen, H.; Xu, W.-P.; Wei, W. The effects of di 2-ethyl hexyl phthalate (DEHP) on cellular lipid accumulation in HepG2 cells and its potential mechanisms in the molecular level. Toxicol. Mech. Methods 2017, 27, 245–252. [Google Scholar] [CrossRef]
- Gasparovic, A.C.; Jaganjac, M.; Mihaljevic, B.; Sunjic, S.B.; Zarkovic, N. Assays for the measurement of lipid peroxidation. In Cell Senescence: Methods and Protocols; Springer: Berlin/Heidelberg, Germany, 2013; pp. 283–296. [Google Scholar]
- Fuad, N.I.N.; Sekar, M.; Gan, S.H.; Lum, P.T.; Vaijanathappa, J.; Ravi, S. Lutein: A comprehensive review on its chemical, biological activities and therapeutic potentials. Pharmacogn. J. 2020, 12, 1769–1778. [Google Scholar] [CrossRef]
- Sindhu, E.R.; Preethi, K.C.; Kuttan, R. Antioxidant Activity of Carotenoid Lutein In Vitro and In Vivo. 2010. Available online: http://nopr.niscpr.res.in/handle/123456789/9991 (accessed on 27 August 2023).
- Kim, J.-H.; Na, H.-J.; Kim, C.-K.; Kim, J.-Y.; Ha, K.-S.; Lee, H.; Chung, H.-T.; Kwon, H.J.; Kwon, Y.-G.; Kim, Y.-M. The non-provitamin A carotenoid, lutein, inhibits NF-κB-dependent gene expression through redox-based regulation of the phosphatidylinositol 3-kinase/PTEN/Akt and NF-κB-inducing kinase pathways: Role of H2O2 in NF-κB activation. Free Radic. Biol. Med. 2008, 45, 885–896. [Google Scholar] [CrossRef] [PubMed]
- Li, S.; Ding, Y.; Niu, Q.; Xu, S.; Pang, L.; Ma, R.; Jing, M.; Feng, G.; Tang, J.X.; Zhang, Q.; et al. Lutein has a protective effect on hepatotoxicity induced by arsenic via Nrf2 signaling. BioMed Res. Int. 2015, 2015, 315205. [Google Scholar] [CrossRef]
- Bilgiç, S.; Gür, F.M.; Aktaş, İ. Biochemical and Histopathological Investigation of the Protective Effect of Lutein in Rat Kidney Exposed to Cisplatin. Med. Rec. 2022, 4, 433–438. [Google Scholar] [CrossRef]
- Ouyang, B.; Li, Z.; Ji, X.; Huang, J.; Zhang, H.; Jiang, C. The protective role of lutein on isoproterenol-induced cardiac failure rat model through improving cardiac morphology, antioxidant status via positively regulating Nrf2/HO-1 signalling pathway. Pharm. Biol. 2019, 57, 529–535. [Google Scholar] [CrossRef]
- Zhang, W.L.; Zhao, Y.N.; Shi, Z.Z.; Cong, D.; Bai, Y.S. Lutein inhibits cell growth and activates apoptosis via the PI3K/AKT/mTOR signaling pathway in A549 human non-small-cell lung cancer cells. J. Environ. Pathol. Toxicol. Oncol. 2018, 37, 341–350. [Google Scholar] [CrossRef]
- Ashari, S.; Naghsh, N.; Salari, Y.; Barghi, N.G.; Bagheri, A. Dimethyl Fumarate Attenuates Di-(2-Ethylhexyl) Phthalate-Induced Nephrotoxicity Through the Nrf2/HO-1 and NF-κB Signaling Pathways. Inflammation 2023, 46, 453–467. [Google Scholar] [CrossRef]
- Aydemir, D.; Karabulut, G.; Gok, M.; Barlas, N.; Ulusu, N.N. Data the DEHP induced changes on the trace element and mineral levels in the brain and testis tissues of rats. Data Brief 2019, 26, 104526. [Google Scholar] [CrossRef]
- Ashari, S.; Karami, M.; Shokrzadeh, M.; Bagheri, A.; Ghandadi, M.; Ranaee, M.; Dashti, A.; Mohammadi, H. Quercetin ameliorates Di(2-ethylhexyl) phthalate-induced nephrotoxicity by inhibiting NF-κB signaling pathway. Toxicol. Res. 2022, 11, 272–285. [Google Scholar] [CrossRef] [PubMed]
- Gao, H.-T.; Shi, H.-Y.; Dai, Q.-M.; Li, A.-Q.; Yang, L.; Sun, Y.; Jin, S.-Y.; Xia, L.-Z. Glycerin monostearate aggravates male reproductive toxicity caused by di(2-ethylhexyl) phthalate in rats. Curr. Med. Sci. 2019, 39, 1003–1008. [Google Scholar] [CrossRef] [PubMed]
- Du, S.-Y.; Zhang, Y.-L.; Bai, R.-X.; Ai, Z.-L.; Xie, B.-S.; Yang, H.-Y. Lutein prevents alcohol-induced liver disease in rats by modulating oxidative stress and inflammation. Int. J. Clin. Exp. Med. 2015, 8, 8785. [Google Scholar] [PubMed]
- Banchroft, J.; Stevens, A.; Turner, D. Theory and Practice of Histological Techniques Fourth Ed Churchil Livingstone; Elsevier health sciences: Amsterdam, The Netherlands, 1996. [Google Scholar]
- Akingbemi, B.T.; Ge, R.; Klinefelter, G.R.; Zirkin, B.R.; Hardy, M.P. Phthalate-induced Leydig cell hyperplasia is associated with multiple endocrine disturbances. Proc. Natl. Acad. Sci. USA 2004, 101, 775–780. [Google Scholar] [CrossRef]
- Oberley, T.D.; Zhong, W.; Szweda, L.I.; Oberley, L.W. Localization of antioxidant enzymes and oxidative damage products in normal and malignant prostate epithelium. Prostate 2000, 44, 144–155. [Google Scholar] [CrossRef] [PubMed]
- Nose, K. Role of reactive oxygen species in the regulation of physiological functions. Biol. Pharm. Bull. 2000, 23, 897–903. [Google Scholar] [CrossRef]
- Chen, H.; Zhang, W.; Rui, B.B.; Yang, S.M.; Xu, W.P.; Wei, W. Di(2-ethylhexyl) phthalate exacerbates non-alcoholic fatty liver in rats and its potential mechanisms. Environ. Toxicol. Pharmacol. 2016, 42, 38–44. [Google Scholar] [CrossRef] [PubMed]
- Erkekoglu, P.; Zeybek, N.D.; Giray, B.K.; Rachidi, W.; Kızılgün, M.; Hininger-Favier, I.; Favier, A.; Asan, E.; Hincal, F. The effects of di(2-ethylhexyl) phthalate on rat liver in relation to selenium status. Int. J. Exp. Pathol. 2014, 95, 64–77. [Google Scholar] [CrossRef]
- Latimer, K.S.; Mahaffey, E.A.; Prasse, K.W. Veterinary Laboratory Medicine: Clinical Pathology; Iowa State Press: Story County, IA, USA, 2003. [Google Scholar]
- Ito, Y.; Nakajima, T. PPARα-and DEHP-induced cancers. PPAR Res. 2008, 2008, 759716. [Google Scholar] [CrossRef]
- Voss, C.; Zerban, H.; Bannasch, P.; Berger, M.R. Lifelong exposure to di-(2-ethylhexyl)-phthalate induces tumors in liver and testes of Sprague–Dawley rats. Toxicology 2005, 206, 359–371. [Google Scholar] [CrossRef]
- Terentiev, A.; Moldogazieva, N. Alpha-fetoprotein: A renaissance. Tumor Biol. 2013, 34, 2075–2091. [Google Scholar] [CrossRef]
- Galle, P.R.; Foerster, F.; Kudo, M.; Chan, S.L.; Llovet, J.M.; Qin, S.; Schelman, W.R.; Chintharlapalli, S.; Abada, P.B.; Sherman, M.; et al. Biology and significance of alpha-fetoprotein in hepatocellular carcinoma. Liver Int. 2019, 39, 2214–2229. [Google Scholar] [CrossRef]
- Wu, C.-T.; Wang, C.-C.; Huang, L.-C.; Liu, S.-H.; Chiang, C.-K. Plasticizer di-(2-ethylhexyl) phthalate induces epithelial-to-mesenchymal transition and renal fibrosis in vitro and in vivo. Toxicol. Sci. 2018, 164, 363–374. [Google Scholar] [CrossRef]
- Ashari, S.; Karami, M.; Shokrzadeh, M.; Ghandadi, M.; Ghassemi-Barghi, N.; Dashti, A.; Ranaee, M.; Mohammadi, H. The implication of mitochondrial dysfunction and mitochondrial oxidative damage in di(2-ethylhexyl) phthalate induced nephrotoxicity in both in vivo and in vitro models. Toxicol. Mech. Methods 2020, 30, 427–437. [Google Scholar] [CrossRef]
- Gabay, C.; Kushner, I. Acute-phase proteins and other systemic responses to inflammation. New Engl. J. Med. 1999, 340, 448–454. [Google Scholar] [CrossRef] [PubMed]
- Redza-Dutordoir, M.; Averill-Bates, D.A. Activation of apoptosis signalling pathways by reactive oxygen species. Biochim. Et Biophys. Acta (BBA)-Mol. Cell Res. 2016, 1863, 2977–2992. [Google Scholar] [CrossRef]
- Elmarakby, A.A.; Sullivan, J.C. Relationship between oxidative stress and inflammatory cytokines in diabetic nephropathy. Cardiovasc. Ther. 2012, 30, 49–59. [Google Scholar] [CrossRef] [PubMed]
- Lawrence, T. The nuclear factor NF-κB pathway in inflammation. Cold Spring Harb. Perspect. Biol. 2009, 1, a001651. [Google Scholar] [CrossRef] [PubMed]
- Huang, Y.-Q.; Tang, Y.-X.; Qiu, B.-H.; Talukder, M.; Li, X.-N.; Li, J.-L. Di-2-ethylhexyl phthalate (DEHP) induced lipid metabolism disorder in liver via activating the LXR/SREBP-1c/PPARα/γ and NF-κB signaling pathway. Food Chem. Toxicol. 2022, 165, 113119. [Google Scholar] [CrossRef]
- Armoza, A.; Haim, Y.; Basiri, A.; Wolak, T.; Paran, E. Tomato extract and the carotenoids lycopene and lutein improve endothelial function and attenuate inflammatory NF-κB signaling in endothelial cells. J. Hypertens. 2013, 31, 521–529. [Google Scholar] [CrossRef]
- Amara, I.; Ontario, M.L.; Scuto, M.; Lo Dico, G.M.; Sciuto, S.; Greco, V.; Abid-Essefi, S.; Signorile, A.; Salinaro, A.T.; Calabrese, V. Moringa oleifera protects SH-SY5YCells from DEHP-induced endoplasmic reticulum stress and apoptosis. Antioxidants 2021, 10, 532. [Google Scholar] [CrossRef] [PubMed]
- Swanton, E.; Savory, P.; Cosulich, S.; Clarke, P.; Woodman, P. Bcl-2 regulates a caspase-3/caspase-2 apoptotic cascade in cytosolic extracts. Oncogene 1999, 18, 1781–1787. [Google Scholar] [CrossRef] [PubMed]
- Gündoğdu, B.; Taş, H.G.; Süleyman, B.; Mamedov, R.; Yüce, N.; Kuyrukluyildiz, U.; Süleyman, H. Effect of lutein on oxidants and proinflammatory cytokine-related liver ischemia-reperfusion injury. Acta Pol. Pharm. 2022, 79, 129–135. [Google Scholar] [CrossRef]
- Singh, J.; Upadhyay, A.; Bahadur, A.; Singh, B.; Singh, K.; Rai, M. Antioxidant phytochemicals in cabbage (Brassica oleracea L. var. capitata). Sci. Hortic. 2006, 108, 233–237. [Google Scholar] [CrossRef]




| Control | Lutein | DEHP | DEHP/Lutein | |
|---|---|---|---|---|
| AST (U/L) | 115.00 c ± 7.12 | 114.71 c ± 7.48 | 209.29 a ± 7.85 | 166.86 b ± 5.45 |
| ALT (U/L) | 24.14 c ± 2.26 | 23.57 c ± 1.86 | 53.29 a ± 3.39 | 41.00 b ± 1.98 |
| GGT (U/L) | 18.14 c ± 2.18 | 17.64 c ± 1.96 | 74.14 a ± 4.67 | 47.57 b ± 4.37 |
| AFP (ng/mL) | 5.11 c ± 0.64 | 4.90 c ± 0.55 | 11.50 a ± 1.15 | 7.54 b ± 0.47 |
| Cystatin-C (mg/L) | 2.58 c ± 0.33 | 2.47 c ± 0.29 | 5.82 a ± 0.40 | 3.87 b ± 0.35 |
| Total protein (g/dL) | 6.36 ± 0.12 | 6.37 ± 0.13 | 6.16 ± 0.15 | 6.41 ± 0.16 |
| Albumin (g/dL) | 3.83 a ± 0.13 | 3.87 a ± 0.13 | 2.80 b ± 0.13 | 3.51 a ± 0.14 |
| Globulins (g/dL) | 2.51 c ± 0.09 | 2.50 c ± 0.05 | 3.44 a ± 0.11 | 2.94 b ± 0.06 |
| Control | Lutein | DEHP | DEHP/Lutein | |
|---|---|---|---|---|
| Hepatic oxidant/antioxidative indices | ||||
| MDA (nmol/mg protein) | 117.00 c ± 8.31 | 119.00 c ± 9.06 | 219.86 a ± 10.90 | 171.57 b ± 12.25 |
| GSH (nmol/mg protein) | 18.86 a ± 1.79 | 18.21 a ± 0.98 | 9.43 c ± 0.62 | 14.24 b ± 1.04 |
| CAT (U/mg protein) | 26.71 a ± 1.82 | 27.86 a ± 1.75 | 12.07 c ± 1.21 | 19.00 b ± 1.50 |
| Renal oxidant/antioxidative indices | ||||
| MDA (nmol/mg protein) | 50.57 c ± 3.64 | 52.14 c ± 3.62 | 119.14 a ± 7.23 | 91.86 b ± 4.61 |
| GSH (nmol/mg protein) | 44.43 a ± 2.40 | 45.00 a ± 1.94 | 28.14 c ± 2.59 | 36.29 b ± 1.96 |
| CAT (U/mg protein) | 4.20 a ± 0.45 | 4.23 a ± 0.50 | 2.61 c ± 0.25 | 3.69 b ± 0.31 |
| Incidence 1 and Severity 2 of Histopathological Lesions | ||||||||
|---|---|---|---|---|---|---|---|---|
| DEHP Intoxicated Rats | DEHP and Lutein-Treated Rats | |||||||
| Absent (-) | Mild (+) | Moderate (++) | Severe (+++) | Absent (−) | Mild (+) | Moderate (++) | Severe (+++) | |
| Liver | ||||||||
| 1-Hydropic degeneration | 0 | 2 | 0 | 5 | 3 | 1 | 2 | 1 |
| 2-Congested sinusoids | 2 | 2 | 2 | 1 | 5 | 2 | 0 | 0 |
| 3-Congestion of blood vessels | 1 | 2 | 2 | 2 | 2 | 2 | 1 | 2 |
| 4-Perivascular infiltration of inflammatory cells | 3 | 1 | 2 | 1 | 3 | 2 | 1 | 1 |
| 4-Necrotic foci | 1 | 3 | 1 | 2 | 3 | 4 | 0 | 0 |
| 5-Hemorrhage | 2 | 1 | 2 | 2 | 6 | 0 | 1 | 0 |
| Kidney | ||||||||
| 1-Atrophied glomeruli | 3 | 1 | 2 | 1 | 5 | 2 | 0 | 0 |
| 2-Congested blood vessels | 2 | 2 | 1 | 2 | 4 | 1 | 1 | 1 |
| 2-Necrotic tubules | 0 | 2 | 2 | 3 | 2 | 2 | 1 | 2 |
| 3-Interstitial nephritis | 2 | 1 | 1 | 3 | 4 | 2 | 1 | 0 |
| 4-Hydropic degeneration of tubular epithelium | 3 | 3 | 1 | 0 | 4 | 2 | 0 | 1 |
| 5-Cystic dilatation | 1 | 3 | 1 | 2 | 3 | 1 | 1 | 2 |
| 6-Detached tubular epithelium | 2 | 1 | 2 | 2 | 5 | 1 | 1 | 0 |
Disclaimer/Publisher’s Note: The statements, opinions and data contained in all publications are solely those of the individual author(s) and contributor(s) and not of MDPI and/or the editor(s). MDPI and/or the editor(s) disclaim responsibility for any injury to people or property resulting from any ideas, methods, instructions or products referred to in the content. |
© 2023 by the authors. Licensee MDPI, Basel, Switzerland. This article is an open access article distributed under the terms and conditions of the Creative Commons Attribution (CC BY) license (https://creativecommons.org/licenses/by/4.0/).
Share and Cite
Gad El-Karim, D.R.S.; Lebda, M.A.; Alotaibi, B.S.; El-kott, A.F.; Ghamry, H.I.; Shukry, M. Lutein Modulates Oxidative Stress, Inflammatory and Apoptotic Biomarkers Related to Di-(2-Ethylhexyl) Phthalate (DEHP) Hepato-Nephrotoxicity in Male Rats: Role of Nuclear Factor Kappa B. Toxics 2023, 11, 742. https://doi.org/10.3390/toxics11090742
Gad El-Karim DRS, Lebda MA, Alotaibi BS, El-kott AF, Ghamry HI, Shukry M. Lutein Modulates Oxidative Stress, Inflammatory and Apoptotic Biomarkers Related to Di-(2-Ethylhexyl) Phthalate (DEHP) Hepato-Nephrotoxicity in Male Rats: Role of Nuclear Factor Kappa B. Toxics. 2023; 11(9):742. https://doi.org/10.3390/toxics11090742
Chicago/Turabian StyleGad El-Karim, Dina R. S., Mohamed A. Lebda, Badriyah S. Alotaibi, Attalla F. El-kott, Heba I. Ghamry, and Mustafa Shukry. 2023. "Lutein Modulates Oxidative Stress, Inflammatory and Apoptotic Biomarkers Related to Di-(2-Ethylhexyl) Phthalate (DEHP) Hepato-Nephrotoxicity in Male Rats: Role of Nuclear Factor Kappa B" Toxics 11, no. 9: 742. https://doi.org/10.3390/toxics11090742
APA StyleGad El-Karim, D. R. S., Lebda, M. A., Alotaibi, B. S., El-kott, A. F., Ghamry, H. I., & Shukry, M. (2023). Lutein Modulates Oxidative Stress, Inflammatory and Apoptotic Biomarkers Related to Di-(2-Ethylhexyl) Phthalate (DEHP) Hepato-Nephrotoxicity in Male Rats: Role of Nuclear Factor Kappa B. Toxics, 11(9), 742. https://doi.org/10.3390/toxics11090742

