Assessment of Lead (Pb) Toxicity in Juvenile Nile Tilapia, Oreochromis niloticus—Growth, Behaviour, Erythrocytes Abnormalities, and Histological Alterations in Vital Organs
Abstract
1. Introduction
2. Materials and Methods
2.1. Collection and Acclimatization of Fish
2.2. Acute Toxicity Test, Experimental Designing, and Feeding
2.3. Acquisition of Physicochemical Properties of Rearing Water
2.4. Analysis of Behavioural Abnormalities
2.5. Tools for Growth Metrics
2.6. Sampling and Bleeding Fish
2.7. Preparation of Blood Smear and Histology of Gill, Liver, and Intestine
2.8. Statistical Analysis
3. Results
3.1. Acute Toxicity Test
3.2. Water Quality Assessment
3.3. Growth Performance, and Hepatosomatic Index (HSI)
3.4. Behavioural Abnormalities
3.5. Erythrocyte Abnormalities
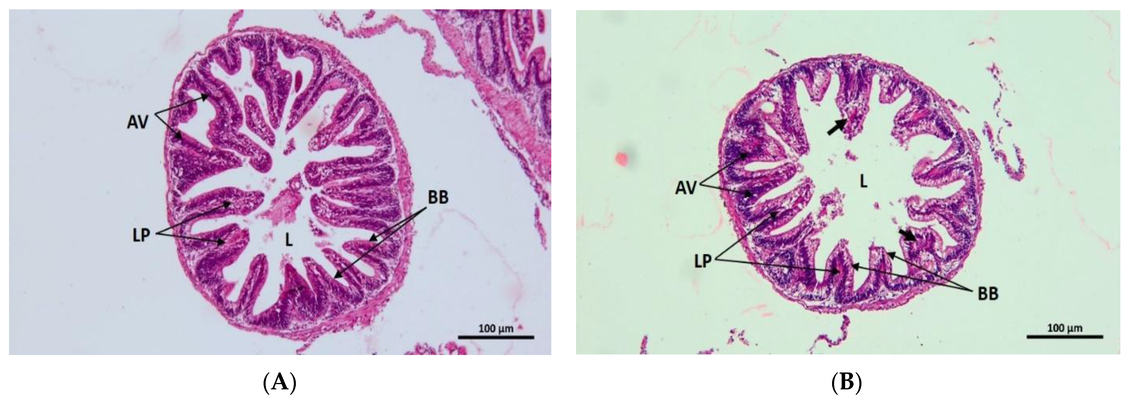
3.6. Histopathology in Gills, Liver, and Intestine
4. Discussion
5. Conclusions
Author Contributions
Funding
Institutional Review Board Statement
Informed Consent Statement
Data Availability Statement
Conflicts of Interest
References
- Moyo, N.A.G.; Rapatsa, M.M. A Review of the Factors Affecting Tilapia Aquaculture Production in Southern Africa. Aquaculture 2021, 535, 736386. [Google Scholar] [CrossRef]
- Naylor, R.L.; Hardy, R.W.; Buschmann, A.H.; Bush, S.R.; Cao, L.; Klinger, D.H.; Little, D.C.; Lubchenco, J.; Shumway, S.E.; Troell, M. A 20-Year Retrospective Review of Global Aquaculture. Nature 2021, 591, 551–563. [Google Scholar] [CrossRef] [PubMed]
- Guenard, R. The State of World Fisheries and Aquaculture 2020; FAO: Rome, Italy, 2020; Volume 32, ISBN 978-92-5-132692-3. [Google Scholar]
- Chan, C.Y.; Tran, N.; Pethiyagoda, S.; Crissman, C.C.; Sulser, T.B.; Phillips, M.J. Prospects and Challenges of Fish for Food Security in Africa. Glob. Food Sec. 2019, 20, 17–25. [Google Scholar] [CrossRef]
- Hasan, R.; Hossain, M.A.; Islam, M.R.; Iqbal, M.M. Does Commercial Probiotics Improve the Growth Performance and Hematological Parameters of Nile Tilapia, Oreochromis Niloticus? Aquat. Res. 2021, 4, 160–168. [Google Scholar] [CrossRef]
- Afrose, F.; Islam, M.R.; Nasren, S.; Hossain, M.A.; Iqbal, M.M. Does Dietary Synbiotics Modulate Growth Performance and Hematological Properties of Tilapia, Oreochromis Niloticus. J. Limnol. Freshw. Fish. Res. 2021, 8, 131–139. [Google Scholar] [CrossRef]
- Ihsan, T.; Edwin, T.; Yanti, R.D. The Effect of Sublethal Exposure of Chlorpyrifos to Nile Tilapia (Oreochromis Niloticus): Case Study of Twin Lakes of West Sumatra, Indonesia. Nat. Environ. Pollut. Technol. 2019, 18, 1399–1403. [Google Scholar]
- Henson, M.N.; Aday, D.D.; Rice, J.A. Thermal Tolerance and Survival of Nile Tilapia and Blue Tilapia under Rapid and Natural Temperature Declination Rates. Trans. Am. Fish. Soc. 2018, 147, 278–286. [Google Scholar] [CrossRef]
- Hossain, M.A.; Sutradhar, L.; Sarker, T.R.; Saha, S.; Iqbal, M.M. Toxic Effects of Chlorpyrifos on the Growth, Hematology, and Different Organs Histopathology of Nile Tilapia, Oreochromis Niloticus. Saudi J. Biol. Sci. 2022, 29, 103316. [Google Scholar] [CrossRef]
- Yan, W.; Hamid, N.; Deng, S.; Jia, P.P.; Pei, D.S. Individual and Combined Toxicogenetic Effects of Microplastics and Heavy Metals (Cd, Pb, and Zn) Perturb Gut Microbiota Homeostasis and Gonadal Development in Marine Medaka (Oryzias melastigma). J. Hazard. Mater. 2020, 397, 122795. [Google Scholar] [CrossRef]
- Eroglu, A.; Dogan, Z.; Kanak, E.G.; Atli, G.; Canli, M. Effects of Heavy Metals (Cd, Cu, Cr, Pb, Zn) on Fish Glutathione Metabolism. Environ. Sci. Pollut. Res. 2015, 22, 3229–3237. [Google Scholar] [CrossRef]
- Mokarat, M.; Ruangsakunporn, A.; Chaianunporn, T.; Lomthaisong, K.; Robson, M.G.; Keithmaleesatti, S. Heavy Metal Contamination and Bioaccumulation in Khorat Snail-Eating Turtles (Malayemys khoratensis) from an e-Waste Recycling Activity Site in Thailand. Hum. Ecol. Risk Assess. 2022, 28, 133–153. [Google Scholar] [CrossRef]
- Arisekar, U.; Jeya, R.; Shalini, R.; Jeyasekaran, G. Human Health Risk Assessment of Heavy Metals in Aquatic Sediments and Freshwater Fish Caught from Thamirabarani River, the Western Ghats of South Tamil Nadu. Mar. Pollut. Bull. 2020, 159, 111496. [Google Scholar] [CrossRef]
- Hussain, M.; Hossain, M.A.; Begum, M.; Roy, N.C. Freshwater Mussel (Lamelliedens marginalis) to Reduce the Lead (Pb) Bioaccumulation in Aquaculture of Stinging Catfish, Heteropneustes Fossilis. J. Appl. Aquac. 2022, 1–17. [Google Scholar] [CrossRef]
- Paul, S.; Mandal, A.; Bhattacharjee, P.; Chakraborty, S.; Paul, R.; Kumar Mukhopadhyay, B. Evaluation of Water Quality and Toxicity after Exposure of Lead Nitrate in Fresh Water Fish, Major Source of Water Pollution. Egypt. J. Aquat. Res. 2019, 45, 345–351. [Google Scholar] [CrossRef]
- Abbas, W.T.; Ali, S.E.; Melegy, A.A.; Gamil, A.A.A. Fish Diet Supplemented with Yemeni Zeolite Improves Growth Performance and Reduces Lead Toxicity in Nile Tilapia (Oreochromis Niloticus). Aquac. Res. 2021, 52, 6678–6688. [Google Scholar] [CrossRef]
- Kiran, K.; Midhun, S.J.; Vysakh, A.; James, T.J. Antagonistic Effects of Dietary Moringa Oleifera on Hemato-biochemical and Oxidative Stress of Lead Nitrate Intoxicated Nile Tilapia, Oreochromis Niloticus. Aquac. Res. 2021, 52, 6164–6178. [Google Scholar] [CrossRef]
- Aldoghachi, M.A.; Azirun, M.S.; Yusoff, I.; Ashraf, M.A. Ultrastructural Effects on Gill Tissues Induced in Red Tilapia Oreochromis Sp. by a Waterborne Lead Exposure. Saudi J. Biol. Sci. 2016, 23, 634–641. [Google Scholar] [CrossRef]
- Wei, W.; Wu, X.; Bai, Y.; Li, G.; Feng, Y.; Meng, H.; Li, H.; Li, M.; Zhang, X.; He, M.; et al. Lead Exposure and Its Interactions with Oxidative Stress Polymorphisms on Lung Function Impairment: Results from a Longitudinal Population-Based Study. Environ. Res. 2020, 187, 109645. [Google Scholar] [CrossRef]
- Patra, R.C.; Rautray, A.K.; Swarup, D. Oxidative Stress in Lead and Cadmium Toxicity and Its Amelioration. Vet. Med. Int. 2011, 2011, 457327. [Google Scholar] [CrossRef]
- Kaur, S.; Singh Khera, K.; Kaur Kondal, J.; Saravpreet Kaur, C. Heavy Metal Induced Histopathological Alterations in Liver, Muscle and Kidney of Freshwater Cyprinid, Labeo Rohita (Hamilton). J. Entomol. Zool. Stud. 2018, 6, 2137–2144. [Google Scholar]
- Abdel-Warith, A.W.A.; Younis, E.S.M.I.; Al-Asgah, N.A.; Rady, A.M.; Allam, H.Y. Bioaccumulation of Lead Nitrate in Tissues and Its Effects on Hematological and Biochemical Parameters of Clarias Gariepinus. Saudi J. Biol. Sci. 2020, 27, 840–845. [Google Scholar] [CrossRef] [PubMed]
- Paulino, A.T.; Santos, L.B.; Nozaki, J. Protective Action of Zinc against Lead Poisoning in Tilapia Oreochromis Niloticus. Toxicol. Environ. Chem. 2007, 89, 363–370. [Google Scholar] [CrossRef]
- OECD. Test No. 403: Acute Inhalation Toxicity; OECD Guidelines for the Testing of Chemicals, Section 4; OECD: Paris, France, 2009; ISBN 9789264070608. [Google Scholar]
- EPA, U. Guideline No. 497: Defined Approaches on Skin Sensitisation; OECD Guidelines for the Testing of Chemicals, Section 4; OECD: Paris, France, 2021; ISBN 9789264903005. [Google Scholar]
- Shao, J.; Xie, C.; Qin, J.; Huo, B.; Luo, Y. Copper Acute Toxicity Tests with Schizothorax o’connori Lloyd and Schizothorax Waltoni Regan: A Biomonitor of Heavy Metal Pollution in a High Altitude Area? Bull. Environ. Contam. Toxicol. 2014, 93, 306–310. [Google Scholar] [CrossRef] [PubMed]
- Kumar, N.; Krishnani, K.K.; Singh, N.P. Comparative Study of Selenium and Selenium Nanoparticles with Reference to Acute Toxicity, Biochemical Attributes, and Histopathological Response in Fish. Environ. Sci. Pollut. Res. 2018, 25, 8914–8927. [Google Scholar] [CrossRef] [PubMed]
- Maurya, P.K.; Malik, D.S.; Yadav, K.K.; Gupta, N. Human and Ecological Risk Assessment: An International Haematological and Histological Changes in Fish Heteropneustes Fossilis Exposed to Pesticides from Industrial Waste Water. Hum. Ecol. Risk Assess. 2019, 25, 1251–1278. [Google Scholar] [CrossRef]
- Rajamanickam, D.; Devadason, C.G. Histopathological Alterations In Gill, Liver, And Brain Of Nile Tilapia (Oreochromis Niloticus), Exposed To Lead Nitrate (Pb[NO3]2). Int. J. Sci. Technol. Res. 2021, 3, 149–153. [Google Scholar]
- Javed, M.; Ahmad, M.I.; Usmani, N.; Ahmad, M. Multiple Biomarker Responses (Serum Biochemistry, Oxidative Stress, Genotoxicity and Histopathology) in Channa Punctatus Exposed to Heavy Metal Loaded Waste Water. Sci. Rep. 2017, 7, 1675. [Google Scholar] [CrossRef]
- Butchiram, M.S.; Vijaya Kumar, M.; Tilak, K.S. Studies on the Histopathological Changes in Selected Tissues Offish Labeorohita Exposed to Phenol. J. Environ. Biol. 2013, 34, 247–251. [Google Scholar]
- Al-Ghanim, K.A.; Ahmad, Z.; Al-Balawi, H.A.; Al-Misned, F.; Mahboob, S.; Suliman, E.A. Accumulation and Histological Transformation in the Gills, Liver, Muscles, and Skin in Oreochromis Niloticus Induced by Mercury. Turk. J. Vet. Anim. Sci. 2019, 43, 276–284. [Google Scholar] [CrossRef]
- Finney, D.J. Probit Analysis, 3rd ed.; Cambridge University Press: New York, NY, USA, 1971. [Google Scholar] [CrossRef]
- Rath, S.; Misra, B.N. Toxicological Effects of Dichlorvos (DDVP) on Brain and Liver Acetylcholinesterase (AChE) Activity of Tilapia Mossambica, Peters. Toxicology 1981, 19, 239–245. [Google Scholar] [CrossRef]
- Hossain, F.; Islam, S.M.; Islam, M.S.; Shahjahan, M. Behavioral and Histo-Pathological Indices of Striped Catfish (Pangasionodon Hypophthalmus) Exposed to Different Salinities. Aquac. Rep. 2022, 23, 101038. [Google Scholar] [CrossRef]
- Htun-Han, M. The Reproductive Biology of the Dab Limanda Limanda (L.) in the North Sea: Seasonal Changes in the Ovary. J. Fish Biol. 1978, 13, 351–359. [Google Scholar] [CrossRef]
- Chellappa, S.; Huntingford, F.A.; Strang, R.H.C.; Thomson, R.Y. Condition Factor and Hepatosomatic Index as Estimates of Energy Status in Male Three-Spined Stickleback. J. Fish Biol. 1995, 47, 775–787. [Google Scholar] [CrossRef]
- Slaoui, M.; Fiette, L. Histopathology Procedures: From Tissue Sampling to Histopathological Evaluation. Methods Mol. Biol. 2011, 691, 69–82. [Google Scholar] [CrossRef]
- Younis, E.; Abdel-Warith, A.-W.; Al-Asgah, N.; Ebaid, H. Histopathological Alterations in the Liver and Intestine of Nile Tilapia Oreochromis Niloticus Exposed to Long-Term Sublethal Concentrations of Cadmium Chloride. Chin. J. Oceanol. Limnol. 2015, 33, 846–852. [Google Scholar] [CrossRef]
- Abdel-Moneim, A.M.; Al-Kahtani, M.A.; Elmenshawy, O.M. Histopathological Biomarkers in Gills and Liver of Oreochromis Niloticus from Polluted Wetland Environments, Saudi Arabia. Chemosphere 2012, 88, 1028–1035. [Google Scholar] [CrossRef]
- Ekpenyong, J.; Iheanacho, S.; Asuquo, F.; Okey, I. Ichthyotoxicity of Ethanolic Extract of Justicia Extensa on Behavioral and Histopathological Changes in Clarias Gariepinus (Burchell, 1822). Environ. Chem. Ecotoxicol. 2022, 4, 109181. [Google Scholar] [CrossRef]
- Arya, P.; Ml, J.; Mathew, A. Determination of Lc50 of Lead Acetate for a Fish Oreochromis Mossambicus (Peters). Int. J. Fish. Aquat. Stud. 2018, 6, 180–182. [Google Scholar]
- Meena, R.; Chandrakala, N.; Indra, N. Studies on the Bioaccumulation of Lead in Oreochromis Mossambicus during Short Term Toxicity. Int. J. Appl. Res. 2017, 3, 468–470. [Google Scholar]
- Ullah, A.; Lahore, S.; Hameed Ur Rehman, P.; Zeb Khan, A.; Rehman, Z.; Ahmad, S.; Bakht, A.; Ur Rehman, M.; UlAbdin, Z.; Amjad, Z.; et al. Determination of 96-Hr LC 50 of Lead Nitrate for a Fish, Oreochromis Niloticus. J. Entomol. Zool. Stud. 2016, 4, 1216–1218. [Google Scholar]
- Shahjahan, M.; Khatun, M.S.; Mun, M.M.; Islam, S.M.M.; Uddin, M.H.; Badruzzaman, M.; Khan, S. Nuclear and Cellular Abnormalities of Erythrocytes in Response to Thermal Stress in Common Carp Cyprinus Carpio. Front. Physiol. 2020, 11, 543. [Google Scholar] [CrossRef] [PubMed]
- Sayed, A.E.-D.H.; Mahmoud, U.M.; Mekkawy, I.A. Erythrocytes Alterations of Monosex Tilapia (Oreochromis Niloticus, Linnaeus, 1758) Produced Using Methyltestosterone. Egypt. J. Aquat. Res. 2016, 42, 83–90. [Google Scholar] [CrossRef]
- Gharedaashi, E. Determination of Median Lethal Concentration (LC50) of Copper Sulfate and Lead Nitrate and Effects on Behavior in Caspian Sea Kutum (Rutilus Frisii Kutum). J. Toxicol. Environ. Health Sci. 2013, 5, 12–16. [Google Scholar] [CrossRef][Green Version]
- Brraich, O.; Kaur, M.; Singh, B.O.; Manjeet, K. Determination of LC 50 of Lead Nitrate for a Fish, Labeo Rohita (Hamilton-Buchanan). Int. Res. J. Biol. Sci. 2015, 4, 23–26. [Google Scholar]
- Jitar, O.; Teodosiu, C.; Oros, A.; Plavan, G.; Nicoara, M. Bioaccumulation of Heavy Metals in Marine Organisms from the Romanian Sector of the Black Sea. New Biotechnol. 2015, 32, 369–378. [Google Scholar] [CrossRef]
- Chapman, D.V.; Bradley, C.; Gettel, G.M.; Hatvani, I.G.; Hein, T.; Kovács, J.; Liska, I.; Oliver, D.M.; Tanos, P.; Trásy, B.; et al. Developments in Water Quality Monitoring and Management in Large River Catchments Using the Danube River as an Example. Environ. Sci. Policy 2016, 64, 141–154. [Google Scholar] [CrossRef]
- Nigar, S.; Gupta, N.; Trivedi, A.; Gupta, V. Lead Nitrate Induced Acute Toxicity in the Freshwater Fishes Channa Punctatus and Heteropneustes Fossilis. Appl. Ecol. Environ. Sci. 2021, 9, 735–743. [Google Scholar] [CrossRef]
- Shaw, B.J.; Handy, R.D. Dietary Copper Exposure and Recovery in Nile Tilapia, Oreochromis Niloticus. Aquat. Toxicol. 2006, 76, 111–121. [Google Scholar] [CrossRef]
- Álvarez-González, C.A.; Martínez-Sánchez, L.; Peña-Marín, E.S.; Guerrero-Zárate, R.; Jesús-Ramírez, F.; Morales-García, V.; Uribe-López, M.; Núñez-Nogueira, G. Effects on the Growth and Digestive Enzyme Activity in Nile Tilapia Fry (Oreochromis Niloticus) by Lead Exposure. Water Air Soil Pollut. 2020, 231, 477. [Google Scholar] [CrossRef]
- Adel, M.; Dadar, M.; Khajavi, S.H.; Pourgholam, R.; Karimí, B.; Velisek, J. Hematological, Biochemical and Histopathological Changes in Caspian Brown Trout (Salmo Trutta Caspius Kessler, 1877) Following Exposure to Sublethal Concentrations of Chlorpyrifos. Toxin Rev. 2017, 36, 73–79. [Google Scholar] [CrossRef]
- Majumder, R.; Kaviraj, A. Acute and Sublethal Effects of Organophosphate Insecticide Chlorpyrifos on Freshwater Fish Oreochromis Niloticus. Drug Chem. Toxicol. 2019, 42, 487–495. [Google Scholar] [CrossRef]
- Okoro, N.; Iheanacho, S.C.; Nwakpa, J.; Eze, K. Effects of Chromolaena Odorata Leaf Extract on Behaviour and Haematology of Clarias Gariepinus Juveniles (Burchell, 1822). Afr. J. Aquat. Sci. 2019, 44, 421–427. [Google Scholar] [CrossRef]
- Rabbane, M.G.; Kabir, M.A.; Habibullah-Al-Mamun, M.; Mustafa, M.G. Toxic Effects of Arsenic in Commercially Important Fish Rohu Carp, Labeo Rohita of Bangladesh. Fishes 2022, 7, 217. [Google Scholar] [CrossRef]
- Kucuksezgin, F.; Kontas, A.; Uluturhan, E. Evaluations of Heavy Metal Pollution in Sediment and Mullus Barbatus from the Izmir Bay (Eastern Aegean) during 1997–2009. Mar. Pollut. Bull. 2011, 62, 1562–1571. [Google Scholar] [CrossRef]
- Bardhan, A.; Abraham, T.J.; Singha, J.; Saha, S.; Sarker, S.; Patil, P.K. The Effects of Extended Feeding of Florfenicol Coated Medicated Diets on the Safety, Serum Biomarkers and Blood Cells Morphology of Nile Tilapia Oreochromis Niloticus (L.). Environ. Sci. Pollut. Res. 2022, 29, 39914–39927. [Google Scholar] [CrossRef]
- Chico, V.; Puente-Marin, S.; Nombela, I.; Ciordia, S.; Mena, M.C.; Carracedo, B.; Villena, A.; Mercado, L.; Coll, J.; Ortega-Villaizan, M.D.M. Shape-Shifted Red Blood Cells: A Novel Red Blood Cell Stage? Cells 2018, 7, 31. [Google Scholar] [CrossRef]
- Gomes, J.M.M.; Ribeiro, H.J.; Procópio, M.S.; Alvarenga, B.M.; Castro, A.C.S.; Dutra, W.O.; da Silva, J.B.B.; Corrêa Junior, J.D. What the Erythrocytic Nuclear Alteration Frequencies Could Tell Us about Genotoxicity and Macrophage Iron Storage? PLoS ONE 2015, 10, e0143029. [Google Scholar] [CrossRef]
- Akter, S.; Jahan, N.; Rohani, M.F.; Akter, Y.; Shahjahan, M. Chromium Supplementation in Diet Enhances Growth and Feed Utilization of Striped Catfish (Pangasianodon Hypophthalmus). Biol. Trace Elem. Res. 2021, 199, 4811–4819. [Google Scholar] [CrossRef]
- Puttipong, T.; Senarat, S.; Kettratad, J.; Chantangsi, C.; Kaneko, G.; Siriwong, W. Evaluation of Health Status of the Striped Catfish Pangasianodon Hypophthalmus (Sauvage, 1878) from Khlong Saen Saep, Thailand: The Use of Integrated Biomarkers. Hum. Ecol. Risk Assess. An Int. J. 2021, 27, 938–953. [Google Scholar] [CrossRef]
- Strunjak-Perovic, I.; Topic Popovic, N.; Coz-Rakovac, R.; Jadan, M. Nuclear Abnormalities of Marine Fish Erythrocytes. J. Fish Biol. 2009, 74, 2239–2249. [Google Scholar] [CrossRef]
- Abiona, O.O.; Anifowose, A.J.; Awojide, S.H.; Adebisi, O.C.; Adesina, B.T.; Ipinmoroti, M.O. Histopathological Biomarking Changes in the Internal Organs of Tilapia (Oreochromis Niloticus) and Catfish (Clarias Gariepinus) Exposed to Heavy Metals Contamination from Dandaru Pond, Ibadan, Nigeria. J. Taibah Univ. Sci. 2019, 13, 903–911. [Google Scholar] [CrossRef]
- Poleksic, V.; Lenhardt, M.; Jaric, I.; Djordjevic, D.; Gacic, Z.; Cvijanovic, G.; Raskovic, B. Liver, Gills, and Skin Histopathology and Heavy Metal Content of the Danube Sterlet (Acipenser Ruthenus Linnaeus, 1758). Environ. Toxicol. Chem. 2010, 29, 515–521. [Google Scholar] [CrossRef] [PubMed]
- Barbieri, E.; Campos-Garcia, J.; Martinez, D.S.T.; da Silva, J.R.M.C.; Alves, O.L.; Rezende, K.F.O. Histopathological Effects on Gills of Nile Tilapia (Oreochromis Niloticus, Linnaeus, 1758) Exposed to Pb and Carbon Nanotubes. Microsc. Microanal. 2016, 22, 1162–1169. [Google Scholar] [CrossRef] [PubMed]
- Cuevas, N.; Zorita, I.; Franco, J.; Costa, P.M.M.; Larreta, J. Multi-Organ Histopathology in Gobies for Estuarine Environmental Risk Assessment: A Case Study in the Ibaizabal Estuary (SE Bay of Biscay). Estuar. Coast. Shelf Sci. 2016, 179, 145–154. [Google Scholar] [CrossRef]
- Hawkins, A.D.; Thornton, C.; Kennedy, A.J.; Bu, K.; Cizdziel, J.; Jones, B.W.; Steevens, J.A.; Willett, K.L. Gill Histopathologies Following Exposure to Nanosilver or Silver Nitrate. J. Toxicol. Environ. Health Part A 2015, 78, 301–315. [Google Scholar] [CrossRef]
- Islam, M.R.; Hossain, M.A.; Afrose, F.; Roy, N.C.; Iqbal, M.M. Effect of Temperature on the Growth Performance, Haematological Properties and Histomorphology of Gill, Intestine and Liver Tissues in Juvenile Butter Catfish Ompok Bimaculatus. Aquac. Fish Fish. 2022, 2, 277–286. [Google Scholar] [CrossRef]
- Younis, E.S.M.; Abdel-Warith, A.W.A.M.; Al-Asgah, N.A.; Ebaid, H.; Mubarak, M. Histological Changes in the Liver and Intestine of Nile Tilapia, Oreochromis Niloticus, Exposed to Sublethal Concentrations of Cadmium. Pak. J. Zool. 2013, 45, 833–841. [Google Scholar]
- Dawood, M.A.O.; Gewaily, M.S.; Sewilam, H. The Growth Performance, Antioxidative Capacity, and Histological Features of Intestines, Gills, and Livers of Nile Tilapia Reared in Different Water Salinities and Fed Menthol Essential Oil. Aquaculture 2022, 554, 738122. [Google Scholar] [CrossRef]
- Zaki, M.S.; Authman, M.M.N.; Hammam, A.M.M.; Shalaby, S.I. Aquatic Environmental Pollution in the Egyptian Countryside and Its Effect on Fish Production (Review). Life Sci. J. 2014, 11, 1024–1029. [Google Scholar]









| Treatment | Concentration of Pb(NO3)2 (mg L−1) | Stocking Density (No./Replicate) | Replication |
|---|---|---|---|
| Control | 00.00 (00% of LC50) | 20 | 3 |
| T1 | 05.20 (10% of LC50) | 20 | 3 |
| T2 | 10.40 (20% of LC50) | 20 | 3 |
| T3 | 20.80 (40% of LC50) | 20 | 3 |
| Species | Value of 96-h LC50 (mg L−1) | Formulation of Toxicant | References |
|---|---|---|---|
| O. niloticus | 51.96 | Pb(NO3)2 | Current study |
| O. niloticus | 40.29 | [17] | |
| O. mossambicus | 17.33 | Pb(C2H3O2)2 | [42] |
| O. mossambicus | 18.70 | [43] | |
| O. niloticus | 44.0 | Pb(NO3)2 | [44] |
| Oreochromis sp. | 11.05 | [18] |
| Parameters | Treatment | Day 0 | Day 15 | Day 30 |
|---|---|---|---|---|
| Temperature (°C) | Control | 19.93 ± 0.12 | 20.06 ± 0.04 | 20.30 ± 0.21 |
| T1 | 19.80 ± 0.10 | 19.90 ± 0.06 | 20.20 ± 0.03 | |
| T2 | 19.47 ± 0.03 | 10.87 ± 0.07 | 20.13± 0.08 | |
| T3 | 19.53 ± 0.07 | 19.97 ± 0.13 | 20.20 ± 0.08 | |
| pH | Control | 8.27 ± 0.06 | 8.16 ± 0.05 | 8.06 ± 0.03 |
| T1 | 8.23 ± 0.07 | 8.19 ± 0.07 | 8.13 ± 0.03 | |
| T2 | 8.23 ± 0.04 | 8.2 ± 0.06 | 8.17 ± 0.03 | |
| T3 | 8.21 ± 0.07 | 8.14 ± 0.06 | 8.13 ± 0.07 | |
| Salinity | Control | 0.07 ± 00 | 0.08 ± 0.01 | 0.10 ± 00 |
| T1 | 0.07 ± 0.01 | 0.07 ± 0.01 | 0.09 ± 0.02 | |
| T2 | 0.06 ± 0.01 | 0.08 ± 0.02 | 0.10 ± 0.01 | |
| T3 | 0.07 ± 0.03 | 0.08 ± 0.01 | 0.09 ± 0.01 | |
| NH3 (mg L−1) | Control | 0.02 ± 0.01 | 0.02 ± 0.01 | 0.03 ± 0.01 |
| T1 | 0.01 ± 0.02 | 0.03 ± 0.01 | 0.03 ± 0.01 | |
| T2 | 0.02 ± 0.01 | 0.04 ± 0.01 | 0.03 ± 0.01 | |
| T3 | 0.02 ± 0.00 | 0.03 ± 0.01 | 0.03 ± 0.01 | |
| DO (mg L−1) | Control | 7.77 ± 0.10 | 7.06 ± 0.17 | 6.96 ± 0.04 |
| T1 | 8.11 ± 0.07 | 7.13 ± 0.06 | 6.96 ± 0.05 | |
| T2 | 8.05 ± 0.16 | 6.79 ± 0.02 | 6.64 ± 0.09 | |
| T3 | 8.14 ± 0.08 | 6.57 ± 0.08 | 6.73 ± 0.08 |
| Parameters | Control | T1 | T2 | T3 |
|---|---|---|---|---|
| Initial length (cm) | 3.44 ± 0.05 | 3.43 ± 0.06 | 3.43 ± 0.08 | 3.45 ± 0.03 |
| Initial weight (g) | 0.70 ± 0.01 | 0.69 ± 0.03 | 0.69 ± 0.04 | 0.70 ± 0.02 |
| Final length (cm) | 4.40 ± 0.09 c | 3.82 ± 0.05 b | 3.70 ± 0.07 ab | 3.55 ± 0.03 a |
| Final weight (g) | 1.47 ± 0.08 c | 0.78 ± 0.05 b | 0.55 ± 0.04 a | 0.52 ± 0.03 a |
| K | 1.7 ± 0.04 c | 1.36 ± 0.05 b | 1.10 ± 0.07 a | 1.16 ± 0.06 a |
| SGR % | 2.39 ± 0.20 c | 0.32 ± 0.26 b | −0.77 ± 0.34 a | −1.03 ± 0.24 a |
| Length gain % | 28.35 ± 3.15 c | 12.08 ± 2.48 b | 8.23 ± 2.13 ab | 3.18 ± 0.80 a |
| Weight gain % | 110.40 ± 11.39 c | 15.94 ± 8.94 b | −13.28 ± 8.72 a | −23.60 ± 4.82 a |
| Treatment | Day | Abnormalities | |||||
|---|---|---|---|---|---|---|---|
| Loss of Appetite | Gasping for Air | Sluggish Movement | Erratic Locomotion | Pale Gills | Skin Color Change | ||
| Control | 15 | -- | -- | -- | -- | -- | -- |
| T1 | -- | -- | * | -- | -- | -- | |
| T2 | * | * | * | -- | * | * | |
| T3 | * | * | ** | * | * | * | |
| Control | 30 | -- | -- | -- | -- | -- | -- |
| T1 | * | * | ** | * | ** | ** | |
| T2 | ** | * | ** | ** | * | ** | |
| T3 | ** | ** | *** | ** | ** | *** | |
| Organ | Abnormality | Control | T1 | T2 | T3 |
|---|---|---|---|---|---|
| Gill | Diffusion of mucous cells | --- | * | --- | --- |
| Secondary lamellae damage | --- | * | * | *** | |
| Epithelial lifting | --- | --- | --- | ** | |
| Acute necrosis | --- | ** | *** | *** | |
| Congestion of basal cells | --- | *** | ** | --- | |
| Shortening secondary lamellae | --- | --- | ** | --- | |
| Damage to the epithelial layer | --- | --- | ** | ** | |
| Liver | Liver haemorrhage | --- | *** | *** | ** |
| Nuclear ruptures | --- | *** | *** | ** | |
| Degenerated nuclei | --- | --- | --- | ** | |
| Massive cell rupture | --- | --- | --- | *** | |
| Vacuole caused by cell rupture | --- | --- | --- | ** | |
| Necrosis | --- | ** | *** | ** | |
| Cell ruptures | --- | ** | *** | *** | |
| Erythrocyte infiltration in blood sinusoids | --- | ** | *** | ** | |
| Intestine | Extended lumen | --- | --- | --- | ** |
| Increased vacuoles | --- | --- | --- | *** | |
| Disarranged absorptive vacuoles | --- | --- | * | *** | |
| Tissue rapture | --- | * | * | * | |
| Extended serosa | --- | --- | --- | * | |
| Wider villi | --- | * | * | *** |
Publisher’s Note: MDPI stays neutral with regard to jurisdictional claims in published maps and institutional affiliations. |
© 2022 by the authors. Licensee MDPI, Basel, Switzerland. This article is an open access article distributed under the terms and conditions of the Creative Commons Attribution (CC BY) license (https://creativecommons.org/licenses/by/4.0/).
Share and Cite
Mahi, T.F.; Chowdhury, G.; Hossain, M.A.; Baishnab, A.K.; Schneider, P.; Iqbal, M.M. Assessment of Lead (Pb) Toxicity in Juvenile Nile Tilapia, Oreochromis niloticus—Growth, Behaviour, Erythrocytes Abnormalities, and Histological Alterations in Vital Organs. Toxics 2022, 10, 793. https://doi.org/10.3390/toxics10120793
Mahi TF, Chowdhury G, Hossain MA, Baishnab AK, Schneider P, Iqbal MM. Assessment of Lead (Pb) Toxicity in Juvenile Nile Tilapia, Oreochromis niloticus—Growth, Behaviour, Erythrocytes Abnormalities, and Histological Alterations in Vital Organs. Toxics. 2022; 10(12):793. https://doi.org/10.3390/toxics10120793
Chicago/Turabian StyleMahi, Tayeeba Ferdous, Gourab Chowdhury, Mohammad Amzad Hossain, Asim Kumar Baishnab, Petra Schneider, and Mohammed Mahbub Iqbal. 2022. "Assessment of Lead (Pb) Toxicity in Juvenile Nile Tilapia, Oreochromis niloticus—Growth, Behaviour, Erythrocytes Abnormalities, and Histological Alterations in Vital Organs" Toxics 10, no. 12: 793. https://doi.org/10.3390/toxics10120793
APA StyleMahi, T. F., Chowdhury, G., Hossain, M. A., Baishnab, A. K., Schneider, P., & Iqbal, M. M. (2022). Assessment of Lead (Pb) Toxicity in Juvenile Nile Tilapia, Oreochromis niloticus—Growth, Behaviour, Erythrocytes Abnormalities, and Histological Alterations in Vital Organs. Toxics, 10(12), 793. https://doi.org/10.3390/toxics10120793

