Casing Contribution to Proteolytic Changes and Biogenic Amines Content in the Production of an Artisanal Naturally Fermented Dry Sausage
Abstract
1. Introduction
2. Materials and Methods
2.1. Samples Production
2.2. Microbiological Analysis
2.3. Physical Analyses
2.4. Chemical Determinations
2.5. Determination of Volatile Compounds
2.6. Determination of Biogenic Amines
2.7. Texture Analysis
- Compression–relaxation test: samples were compressed by 30% of their initial height, then the run was stopped and the plunger was maintained at the maximum compression extension for 2 min, after which the load was removed. The maximum peak force in compression (N) was taken as a hardness index and the relaxation load was used to study the elastic behavior.
- Texture Profile Analysis (TPA) test: samples were submitted to a two-cycle compression test to 30% of their initial height in the first compression. After the first cycle, samples were left for 1 min to recover their deformation and then, the second cycle was started. Hardness (N), cohesiveness (J J−1), springiness (mm), and chewiness (N mm) were determined as previously described [18].
2.8. Experimental Design and Statistical Analysis
3. Results and Discussion
3.1. Effect of the Different Casings on Microbial Growth
3.2. Effect of the Different Casings on Physicochemical Parameters
3.3. Effect on Proteolysis
3.3.1. Sarcoplasmic Fraction
3.3.2. Myofibrillar Fraction
3.4. Total Amino Acids Content
3.5. Volatile Compounds Derived from Amino Acids
3.6. Texture Analysis
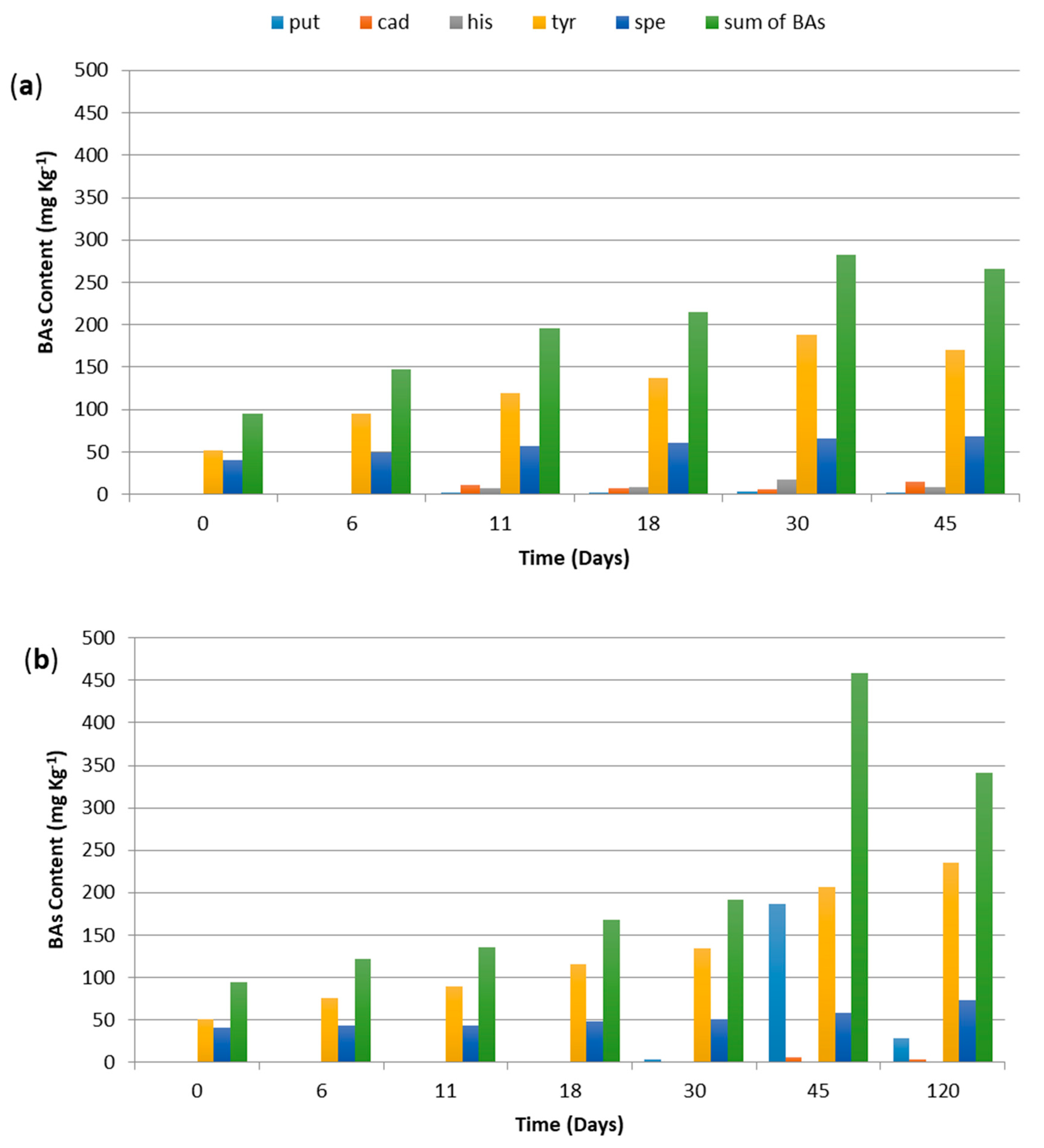
3.7. Biogenic Amines (BA) Content
4. Conclusions
Author Contributions
Funding
Acknowledgments
Conflicts of Interest
References
- Toldrá, F. Characterization of proteolysis. In Dry-Cured Meat Products; Nip, W.K., Ed.; Wiley-Blackwell: Middletown, CT, USA, 2002; pp. 113–134. [Google Scholar] [CrossRef]
- Djordjevic, J.; Pecanac, B.; Todorovic, M.; Dokmanovic, M.; Glamoclija, N.; Tadic, V.; Baltic, M.Z. Fermented sausage casings. Procedia Food Sci. 2015, 5, 69–72. [Google Scholar] [CrossRef]
- Wu, Y.-C.; Chi, S.-P.; Christieans, S. Casings. In Handbook of Fermented Meat and Poultry; Toldrà, F., Ed.; Wiley Blackwell Publishing: Ames, IA, USA, 2010; pp. 86–96. [Google Scholar] [CrossRef]
- Pisacane, V.; Callegari, M.L.; Puglisi, E.; Dallolio, G.; Rebecchi, A. Microbial analyses of traditional Italian salami reveal microorganisms transfer from the natural casing to the meat matrix. Int. J. Food Microbiol. 2015, 207, 57–65. [Google Scholar] [CrossRef] [PubMed]
- AOAC. Official Methods of Analysis of AOAC International, 16th ed.; Association of Official Analytical Chemists: Gaithersburg, MD, USA, 1999. [Google Scholar]
- Park, Y.W. Moisture and water activity. In Handbook of Processed Meats and Poultry Analysis; Nollet, L.M.L., Toldrà, F., Eds.; CRC Press: Boca Raton, FL, USA, 2009; pp. 36–67. [Google Scholar]
- ISO 1841-2:1996. Meat and Meat Products–Determination of Chloride Content. Part 1 Volhard Method; ISO: Geneva, Switzerland, 1996. [Google Scholar]
- AOAC. Official Method of Analysis of AOAC International, 17th ed.; Association of Official Analytical Chemists: Gaithersburg, MD, USA, 2002. [Google Scholar]
- Martuscelli, M.; Lupieri, L.; Chaves-Lopez, C.; Mastrocola, D.; Pittia, P. Technological approach to reduce NaCl content of traditional smoked dry-cured hams: Effect on quality properties and stability. J. Food Sci. Technol. 2015, 52, 7771–7782. [Google Scholar] [CrossRef] [PubMed]
- Martín-Sánchez, A.M.; Chaves-López, C.; Sendra, E.; Sayas, E.; Fenández-López, J.; Pérez-Álvarez, J.Á. Lipolysis, proteolysis, and sensory characteristics of a Spanish fermented dry-cured meat product (salchichón) with oregano essential oil used as surface mold inhibitor. Meat Sci. 2011, 89, 35–44. [Google Scholar] [CrossRef] [PubMed]
- Bradford, M.M. A rapid and sensitive method for the quantification of microgram quantities of protein utilizing the principle of protein-dye binding. Anal. Biochem. 1976, 72, 248–254. [Google Scholar] [CrossRef]
- Laemmli, U.K. Cleavage of structural proteins during the assembly of the head of bacteriophage T4. Nature 1970, 227, 68–685. [Google Scholar] [CrossRef] [PubMed]
- Folkertsma, B.; Fox, P.F. Use of the Cd-ninhydrin reagent to assess proteolysis in cheese during ripening. J. Dairy Res. 1992, 59, 217–224. [Google Scholar] [CrossRef]
- Berardo, A.; Devreese, B.; De Maerè, H.; Stavropoulou, D.A.; Van Royen, G.; Leroy, F.; De Smet, S. Actin proteolysis during ripening of dry fermented sausages at different pH values. Food Chem. 2017, 221, 1322–1332. [Google Scholar] [CrossRef]
- Chaves-López, C.; Paparella, A.; Tofalo, R.; Suzzi, G. Proteolytic activity of Saccharomyces cerevisiae strains associated with Italian dry-fermented sausages in a model system. Int. J. Food Microbiol. 2011, 150, 50–58. [Google Scholar] [CrossRef]
- Chaves-López, C.; Serio, A.; Mazzarrino, G.; Martuscelli, M.; Scarpone, E.; Paparella, A. Control of household mycoflora in fermented sausages using phenolic fractions from olive mill wastewaters. Int. J. Food Microbiol. 2015, 207, 49–56. [Google Scholar] [CrossRef]
- Martuscelli, M.; Pittia, P.; Casamassima, L.M.; Lupieri, L.; Neri, L. Effect of intensity of smoking treatment on the free amino acids and biogenic amines occurrence in dry cured ham. Food Chem. 2009, 116, 955–962. [Google Scholar] [CrossRef]
- Bourne, M.C. Texture Profile Analysis. Food Technol. 1978, 32, 62–66. [Google Scholar]
- Khan, M.I.; Arshad, M.S.; Anjum, F.M.; Sameen, A.; Aneeq ur, R.; Gill, W.T. Meat as a functional food with special reference to probiotic sausages. Food Res. Int. 2011, 44, 3125–3133. [Google Scholar] [CrossRef]
- Soriano, A.; Cruz, B.; Gómez, L.; Mariscal, C.; García Ruiz, A. Proteolysis, physicochemical characteristics and free fatty acids composition of dry sausages made with deer (Cervus elaphus) or wild boar (Sus scrofa) meat: A preliminary study. Food Chem. 2006, 96, 173–184. [Google Scholar] [CrossRef]
- Nakagawa, T.; Watabe, S.; Hashimoto, K. Identification of the three major components in fish sarcoplasmic proteins. Nippon Suisan Gakk 1988, 54, 999–1004. [Google Scholar] [CrossRef]
- Dalmış, Ü.; Soyer, A. Effect of processing methods and starter culture (Staphylococcus xylosus and Pediococcus pentosaceus) on proteolytic changes in Turkish sausages (sucuk) during ripening and storage. Meat Sci. 2008, 80, 345–354. [Google Scholar] [CrossRef] [PubMed]
- Toldrà, F. Proteolysis and lipolysis in flavour development of dry-cured meat products. Meat Sci. 1998, 49, S101–S110. [Google Scholar] [CrossRef]
- Ladrat, C.; Verrez-Bagnis, V.; Noël, J.; Fleurence, J. In vitro proteolysis of myofibrillar and sarcoplasmic proteins of white muscle of sea bass (Dicentrarchus labrax L.): Effects of cathepsins B, D and L. Food Chem. 2003, 81, 517–525. [Google Scholar] [CrossRef]
- Casaburi, A.; Blaiotta, G.; Mauriello, G.; Pepe, O.; Villani, F. Technological activities of Staphylococcus carnosus and Staphylococcus simulans strains isolated from fermented sausages. Meat Sci. 2005, 71, 643–650. [Google Scholar] [CrossRef]
- Xiong, Y.L.; Blanchard, S.P. Dynamic gelling properties of myofibrillar protein from skeletal muscles of different chicken parts. J. Agric. Food Chem. 1994, 42, 670–674. [Google Scholar] [CrossRef]
- Fadda, S.; López, C.; Vignolo, G. Role of lactic acid bacteria during meat conditioning and fermentation: Peptides generated as sensorial and hygienic biomarkers. Meat Sci. 2010, 86, 66–79. [Google Scholar] [CrossRef] [PubMed]
- Saccani, G.; Fornelli, G.; Zanardi, E. Characterization of textural properties and changes of myofibrillar and sarcoplasmic proteins in salame Felino during ripening. Int. J. Food Prop. 2013, 16, 1460–1471. [Google Scholar] [CrossRef][Green Version]
- Toldrá, F. The role of muscle enzymes in dry-cured meat products with different drying conditions. Trends Food Sci. Technol. 2006, 17, 164–168. [Google Scholar] [CrossRef]
- Claeys, E.; Uytterhaegen, L.; Buts, B.; Demeyer, D. Quantification of myofibrillar proteins by SDS-PAGE. Meat Sci. 1995, 39, 177–193. [Google Scholar] [CrossRef]
- Demeyer, D.; Raemaekers, M.; Rizzo, A.; Holck, A.; De Smedt, A.; ten Brink, B.; Hagen, B.; Montel, C.; Zanardi, E.; Murbrekk, E.; et al. Control of bioflavour and safety in fermented sausages: First results of a European Project. Food Res. Int. 2000, 33, 171–180. [Google Scholar] [CrossRef]
- Roseiro, L.C.; Gomes, A.; Gonçalves, H.; Sol, M.; Cercas, R.; Santos, C. Effect of processing on proteolysis and biogenic amines formation in a Portuguese traditional dry-fermented ripened sausage “Chouriço Grosso de Estremoz e Borba PGI”. Meat Sci. 2010, 84, 172–179. [Google Scholar] [CrossRef]
- Di Cagno, R.; Chaves López, C.; Tofalo, R.; Gallo, G.; De Angelis, M.; Paparella, A.; Hammes, W.P.; Gobbetti, M. Comparison of the compositional, microbiological, biochemical and volatile profile characteristics of three Italian PDO fermented sausages. Meat Sci. 2008, 79, 224–235. [Google Scholar] [CrossRef]
- Magistà, D.; Susca, A.; Ferrara, M.; Logrieco, A.F.; Perrone, G. Penicillium species: Crossroad between quality and safety of cured meat production. Curr. Opin. Food Sci. 2017, 17, 36–40. [Google Scholar] [CrossRef]
- Benito, M.J.; Córdoba, J.J.; Alonso, M.; Asensio, M.A.; Nuñez, F. Hydrolytic activity of Penicillium chrysogenum Pg222 on pork myofibrillar proteins. Int. J. Food Microbiol. 2003, 89, 155–161. [Google Scholar] [CrossRef]
- Beck, H.C.; Hansen, A.M.; Lauritsen, F.R. Catabolism of leucine to branched-chain fatty acids in Staphylococcus xylosus. J. Appl. Microbiol. 2004, 96, 1185–1193. [Google Scholar] [CrossRef]
- Flores, M.; Olivares, A. Flavor. In Handbook of Fermented Meat and Poultry, 2nd ed.; Toldrà, F., Hui, Y.H., Astiasarán, I., Sebranek, J.G., Talon, R., Eds.; Wiley Blackwell: Hoboken, NJ, USA, 2014; pp. 217–225. [Google Scholar] [CrossRef]
- Janssens, M.; Van der Mijnsbrugge, A.; Sánchez Mainar, M.; Balzarini, T.; De Vuyst, L.; Leroy, F. The use of nucleosides and arginine as alternative energy sources by coagulase-negative staphylococci in view of meat fermentation. Food Microbiol. 2014, 39, 53–60. [Google Scholar] [CrossRef] [PubMed]
- Rimaux, T.; Vrancken, G.; Pothakos, V.; Maes, D.; De Vuyst, L.; Leroy, F. The kinetics of the arginine deiminase pathway in the meat starter culture Lactobacillus sakei CTC 494 are pH-dependent. Food Microbiol. 2011, 28, 597–604. [Google Scholar] [CrossRef] [PubMed]
- Stalon, V.; Mercenier, A. L-arginine utilization by Pseudomonas species. J. Gen. Microbiol. 1984, 130, 69–76. [Google Scholar] [CrossRef] [PubMed]
- Chen, Q.; Kong, B.; Han, Q.; Liu, Q.; Xu, L. The role of bacterial fermentation in the hydrolysis and oxidation of sarcoplasmic and myofibrillar proteins in Harbin dry sausages. Meat Sci. 2016, 121, 196–206. [Google Scholar] [CrossRef]
- Toldrà, F.; Sanz, Y.; Flores, M. Meat fermentation technology. In Meat Science and Application; Hui, Y.H., Nip, W.K., Rogers, R., Eds.; CRC Press: Boca Raton, FL, USA, 2001. [Google Scholar] [CrossRef]
- Ardö, Y. Flavour formation by amino acid catabolism. Biotechnol. Adv. 2006, 24, 238–242. [Google Scholar] [CrossRef]
- Janssens, M.; Myter, N.; De Vuyst, L.; Leroy, F. Community dynamics of coagulase-negative staphylococci during spontaneous artisan-type meat fermentations differ between smoking and moulding treatments. Int. J. Food Microbiol. 2013, 166, 168–175. [Google Scholar] [CrossRef]
- Barbut, S. Texture. In Handbook of Fermented Meat and Poultry; Toldrá, F., Hui, Y.H., Astiasarán, I., Nip, W.K., Sebranek, J.G., Silveira, E.T.F., Stahnke, L.H., Talon, R., Eds.; Blackwell Publishing: Ames, IA, USA, 2007; pp. 217–226. [Google Scholar] [CrossRef]
- Ikonić, P.; Jokanović, M.; Petrović, L.; Tasić, T.; Škaljac, S.; Šojić, B.; Džinić, N.; Tomović, V.; Tomić, J.; Danilović, B.; et al. Effect of starter culture addition and processing method on proteolysis and texture profile of traditional dry-fermented sausage Petrovská klobása. Int. J. Food Prop. 2016, 19, 1924–1937. [Google Scholar] [CrossRef]
- Feng, L.; Qiao, Y.; Zou, Y.; Huang, M.; Kang, Z.; Zhou, G. Effect of Flavourzyme on proteolysis, antioxidant capacity and sensory attributes of Chinese sausage. Meat Sci. 2014, 98, 34–40. [Google Scholar] [CrossRef]
- Benito, M.J.; Rodríguez, M.; Cordoba, M.G.; Andrade, M.J.; Córdoba, J.J. Effect of the fungal protease EPg222 on proteolysis and texture in the dry fermented sausage ‘salchichón’. J. Sci. Food Agric. 2005, 85, 273–280. [Google Scholar] [CrossRef]
- Loizzo, M.R.; Spizzirri, U.G.; Bonesi, M.; Tundis, R.; Picci, N.; Restuccia, D. Influence of packaging conditions on biogenic amines and fatty acids evolution during 15 months storage of a typical spreadable salami (‘Nduja). Food Chem. 2016, 213, 115–122. [Google Scholar] [CrossRef]
- Paparella, A.; Tofalo, R. Fermented sausages: A potential source of biogenic amines. In Biogenic Amines in Food: Analysis, Occurrence and Toxicity; Saal, B., Tofalo, R., Eds.; The Royal Society of Chemistry: London, UK, 2020; pp. 103–118. [Google Scholar] [CrossRef]
- Gardini, F.; Martuscelli, M.; Crudele, M.A.; Paparella, A.; Suzzi, G. Use of Staphylococcus xylosus as a starter culture in dried sausages: Effect on the biogenic amine content. Meat Sci. 2002, 61, 275–283. [Google Scholar] [CrossRef]
- Serio, A.; Paparella, A.; Chaves López, C.; Corsetti, A.; Suzzi, G. Enterococcus populations in Pecorino Abruzzese cheese: Biodiversity and safety aspects. J. Food Prot. 2007, 70, 1561–1568. [Google Scholar] [CrossRef] [PubMed]
- Suzzi, G.; Gardini, F. Biogenic amines in dry fermented sausages: A review. Int. J. Food Microbiol. 2003, 88, 41–54. [Google Scholar] [CrossRef]
- Anastasio, A.; Draisci, R.; Pepe, T.; Mercogliano, R.; Delli Quadri, F.; Luppi, G.; Cortesi, M.L. Development of biogenic amines during the ripening of Italian dry sausages. J. Food Prot. 2010, 73, 114–118. [Google Scholar] [CrossRef] [PubMed]
- Lorenzo, J.M.; Sichetti Munekata, P.E.; Dominiguez, R. Role of autochthonous starter cultures in the reduction of biogenic amines in traditional meat products. Curr. Opin. Food Sci. 2017, 14, 61–65. [Google Scholar] [CrossRef]
- Martuscelli, M.; Crudele, M.A.; Gardini, F.; Suzzi, G. Biogenic amine formation and oxidation by Staphylococcus xylosus strains from artisanal fermented sausages. Lett. Appl. Microbiol. 2002, 31, 228–232. [Google Scholar] [CrossRef]
- EFSA. Scientific opinion on risk based control of biogenic amine formation in fermented foods. EFSA J. 2001, 9, 2393. [Google Scholar] [CrossRef]



| Microbial Groups (Log CFU/g) | ||||||||||||
|---|---|---|---|---|---|---|---|---|---|---|---|---|
| Batch | Time (Days) | pH | aw | MAB | Yeasts | LAB | LAC | ENTC | CNS | PSE | ENTB | |
| Complete design (CD) | ||||||||||||
| MCB | 0 | 5.96 ± 0.04 a | 0.957 ± 0.003 a | 7.24 ± 0.08 b | 7.14 ± 0.00 a | 6.37 ± 0.11 cd | 7.07 ± 0.06 bc | 6.52 ± 0.38 cd | 5.87 ± 0.36 abc | 5.56 ± 0.38 a | 3.09 ± 0.20 a | |
| MCH | 0 | 5.86 ± 0.12 a | 0.959 ± 0.004 a | 7.12 ± 0.18 b | 7.02 ± 0.10 a | 6.60 ± 0.08 cd | 7.02 ± 0.10 bc | 6.92 ± 0.10 cd | 5.91 ± 0.48 abc | 5.71 ± 0.46 a | 3.42 ± 0.08 a | |
| MCB | 6 | 5.50 ± 0.09 b | 0.956 ± 0.002 a | 7.55 ± 0.21 ab | 7.63 ± 0.13 a | 7.53 ± 0.18 abc | 7.80 ± 0.04 abc | 7.29 ± 0.13 cd | 6.98 ± 0.14 d | 4.72 ± 0.39 a | 0.95 ± 0.75 b | |
| MCH | 6 | 5.47 ± 0.17 b | 0.956 ± 0.002 a | 7.17 ± 0.07 b | 7.63 ± 0.09 a | 7.14 ± 0.13 abcd | 8.13 ± 0.33 ab | 7.84 ± 0.04 b | 7.18 ± 0.13 a | 4.41 ± 0.61 a | 1.11 ± 0.31 b | |
| MCB | 11 | 5.48 ± 0.07 b | 0.960 ± 0.006 a | 7.91 ± 0.09 ab | 7.80 ± 0.26 a | 7.85 ± 0.04 abc | 7.93 ± 0.09 ab | 7.79 ± 0.04 b | 6.29 ± 0.41 ab | 4.58 ± 0.49 a | <1.00 b | |
| MCH | 11 | 5.44 ± 0.08 b | 0.944 ± 0.009 a | 8.15 ± 0.33 ab | 7.26 ± 0.08 a | 7.66 ± 0.31 abcd | 8.28 ± 0.22 a | 8.09 ± 0.04 b | 4.47 ± 0.31 c | 4.45 ± 0.62 a | <1.00 b | |
| MCB | 18 | 5.62 ± 0.20 ab | 0.960 ± 0.006 a | 7.85 ± 0.21 ab | 4.00 ± 0.04 cd | 6.23 ± 0.27 d | 7.83 ± 0.20 abc | 7.64 ± 0.20 bc | 5.11 ± 0.15 bcd | 5.64 ± 0.01 ab | <1.00 b | |
| MCH | 18 | 5.55 ± 0.13 ab | 0.952 ± 0.006 a | 7.79 ± 0.12 ab | 4.00 ± 0.16 cd | 6.23 ± 0.27 d | 7.83 ± 0.26 abc | 7.64 ± 0.04 bc | 5.18 ± 0.15 bcd | 5.64 ± 0.27 ab | <1.00 b | |
| MCB | 30 | 5.65 ± 0.14 ab | 0.890 ± 0.008 b | 8.26 ± 0.15 ab | 4.80 ± 0.39 bc | 6.38 ± 0.06 d | 8.14 ± 0.13 ab | 8.03 ± 0.20 b | 6.22 ± 0.29 ab | 4.48 ± 0.95 ab | <1.00 b | |
| MCH | 30 | 5.56 ± 0.12 ab | 0.940 ± 0.012 a | 8.44 ± 0.20 a | 5.36 ± 0.17 b | 8.24 ± 0.20 a | 8.48 ± 0.39 a | 8.18 ± 0.08 b | 6.78 ± 0.29 ab | 3.95 ± 0.10 bc | <1.00 b | |
| MCB | 45 | 5.67 ± 0.11 ab | 0.841 ± 0.006 c | 8.08 ± 0.03 ab | 2.47 ± 0.20 e | 7.96 ± 0.22 ab | 8.54 ± 0.29 a | 6.31 ± 0.29 d | 2.00 ± 0.20 e | 5.11 ± 0.12 ab | <1.00 b | |
| MCH | 45 | 5.59 ± 0.09 ab | 0.923 ± 0.008 b | 7.97 ± 0.07 ab | 3.54 ± 0.22 e | 7.10 ± 0.14 abcd | 7.72 ± 0.39 abc | 7.76 ± 0.04 bc | 3.98 ± 0.23 d | 3.69 ± 0.10 bc | <1.00 b | |
| F (C) | 0.46 | 51.5 *** | 0.20 | 93.5 *** | 0.26 | 0.07 | 0.15 | 26.4 *** | 2.90 | 0.06 | ||
| F (t) | 3.51 * | 39.5 *** | 9.10 *** | 257 *** | 1.7 *** | 7.93 *** | 12.3 *** | 4.38 ** | 5.38 ** | 65.9 *** | ||
| F (C × t) | 0.04 | 15.4 *** | 0.66 | 25.6 *** | 7.59 *** | 1.68 | 5.16 ** | 34.5 *** | 0.96 | 0.06 | ||
| Incomplete Design (CD + MCH 120 d) | ||||||||||||
| MCH | 120 | 5.90 ± 0.05 a | 0.812 ± 0.006 c | 7.55 ± 0.14 ab | 3.50 ± 0.14 d | 6.55 ± 0.36 b | 6.60 ± 0.34 c | 9.33 ± 0.11 a | 3.32 ± 0.06 de | 2.00 ± 0.20 c | <1.00 | |
| F (C) | 0.01 | 135 *** | 0.47 | 151 *** | 0.01 | 1.17 | 3.42 | 43.0 *** | 12.3 ** | 0.26 | ||
| F (t(C)) | 2.21 * | 45.6 *** | 4.60 *** | 134 *** | 7.77 *** | 6.51 *** | 13.3 *** | 19.8 *** | 6.41 *** | 33.3 *** | ||
| Batch | Time (Days) | Arg | Asp | Glu | His | Ser | Ala | Gly | Ile | Leu | Met | Phe | Val | TOTAL |
|---|---|---|---|---|---|---|---|---|---|---|---|---|---|---|
| FAA | ||||||||||||||
| Complete Design | ||||||||||||||
| MCB | 0 | 254 ± 2 a | 0.85 ± 0.04 ab | 10.1 ± 0.24 b | n.d. | 0.13 ± 0.08 bcde | 21.0 ± 2.25 d | n.d. | 2.36 ± 0.04 de | 7.80 ± 0.57 de | 59.4 ± 7.7 ab | 2.36 ± 0.20 f | 3.25 ± 0.20 bc | 361.25 ± 13.32 aa |
| MCH | 0 | 247 ± 2 a | 0.70 ± 0.16 ab | 11.8 ± 1.59 b | n.d. | 0.13 ± 0.08 bcde | 18.9 ± 0.53 d | n.d. | 2.20 ± 0.17 de | 6.70 ± 0.33 de | 58.4 ± 6.9 ab | 2.46 ± 0.13 f | 2.90 ± 0.08 bc | 351.19 ± 11.97 a |
| MCB | 6 | 192 ± 7 bcd | 0.69 ± 0.05 ab | n.d. | n.d. | 0.23 ± 0.03 bc | 4.50 ± 0.37 e | n.d. | 2.1 ± 0.17 de | 7.26 ± 0.30 de | 55.7 ± 0.5 b | 5.31 ± 3.10 bcd | 2.27 ± 0.11 c | 349.40 ± 10.10 a |
| MCH | 6 | 158 ± 23 d | 0.45 ± 0.07 bc | n.d. | 37.9 ± 0.87 b | 0.07 ± 0.01 cde | 6.81 ± 1.47 e | 37.9 ± 0.92 c | 1.31 ± 0.27 e | 5.46 ± 0.52 ef | 55.3 ± 3.2 b | 4.23 ± 0.39 de | 2.24 ± 0.18 c | 318.34 ± 15.66 ab |
| MCB | 11 | 236 ± 7 ab | 0.70 ± 0.05 ab | 1.73 ± 0.23 c | n.d. | 0.16 ± 0.01 bcde | 32.7 ± 2.5 c | n.d. | 2.46 ± 0.20 cd | 7.00 ± 0.15 de | 62.4 ± 1.8 ab | 3.56 ± 0.26 ef | 2.96 ± 0.37 bc | 270.34 ± 19.75 b |
| MCH | 11 | 220 ± 16 abc | 0.63 ± 0.30 ab | 2.80 ± 0.45 c | 2.50 ± 0.08 d | 0.09 ± 0.01 bcde | 17.8 ± 1.5 d | 3.95 ± 0.92 c | 1.53 ± 0.27 d | 6.26 ± 0.52 de | 55.6 ± 1.8 b | 3.73 ± 0.26 ef | 2.70 ± 0.38 bc | 310.07 ± 37.12 b |
| MCB | 18 | 177 ± 4 cd | 0.87 ± 0.08 ab | n.d. | 15.5 ± 1.16 c | 0.24 ± 0.02 bc | 136 ± 2 a | 15.5 ± 1.15 bc | 2.40 ± 0.15 cd | 8.44 ± 0.32 cde | 73.6 ± 0.2 a | 6.94 ± 0.17 ab | 2.57 ± 0.21 bc | 438.81 ± 6.61 c |
| MCH | 18 | 13.8 ± 0.9 e | 0.67 ± 0.07 ab | n.d. | 35.6 ± 1.74 b | 0.05 ± 0.01 de | 123 ± 4 b | 35.6 ± 2.57 a | 3.22 ± 0.10 bc | 14.3 ± 0.30 b | 7.20 ± 0.21 c | 3.42 ± 0.20 e | 3.11 ± 0.11 b | 237.78 ± 1.72 d |
| MCB | 30 | 186 ± 10 bcd | 0.95 ± 0.12 a | n.d. | 13.1 ± 1.02 c | 0.26 ± 0.01 b | 131 ± 1 ab | 13.1 ± 0.41 c | 3.35 ± 0.23 bc | 9.23 ± 0.37 cd | 21.8 ± 0.6 c | 8.42 ± 0.23 a | 2.56 ± 0.17 bc | 389.53 ± 20.13 a |
| MCH | 30 | 4.15 ± 0.90 f | 0.67 ± 0.06 ab | n.d. | 38.4 ± 1.24 ab | 1.07 ± 0.07 a | 128 ± 2 ab | 38.4 ± 2.02 a | 3.49 ± 0.25 ab | 13.4 ± 1.02 b | 7.07 ± 1.02 c | 4.31 ± 0.30 cde | 3.47 ± 0.18 b | 241.73 ± 9.05 b |
| MCB | 45 | 63.5 ± 15 e | 0.05 ± 0.11 cd | n.d. | 2.03 ± 0.21 d | n.d. | 1.61 ± 1.20 e | 2.03 ± 1.20 c | 3.61 ± 0.20 ab | 2.74 ± 0.18 f | 6.51 ± 0.88 c | 2.13 ± 0.20 f | n.r. | 84.35 ± 19.18 e |
| MCH | 45 | 8.43 ± 0.20 f | 0.97 ± 0.12 a | 15.9 ± 1.65 a | 45.9 ± 4.83 a | 0.14 ± 0.02 bcd | 135 ± 2 a | 32.9 ± 3.06 ab | 4.49 ± 0.19 a | 21.0 ± 1.52 a | 8.30 ± 0.41 c | 5.82 ± 0.12 bc | 5.16 ± 0.32 a | 287.32 ± 30.97 d |
| F (C) | 154 *** | 0.12 | 48.8 *** | 580 *** | 34.5 *** | 268 *** | 109 *** | 0.090 | 124 *** | 65.3 *** | 26.3 *** | 76.9 *** | ||
| F (t) | 138 *** | 3.58 * | 96.2 *** | 121 *** | 143 *** | 1808 *** | 22.7 *** | 45.5 *** | 30.7 *** | 119 *** | 45.5 *** | 4.87 ** | ||
| F (C × t) | 27.8 *** | 13.8 *** | 41.9 *** | 66.6 *** | 98.6 *** | 485 *** | 10.7 *** | 8.56 *** | 63.0 *** | 36.4 *** | 43.3 *** | 47.2 *** | ||
| Incomplete design (CD + MCH 120d) | ||||||||||||||
| MCH | 120 | 1.61 ± 0.08 f | n.r. | 14.0 ± 0.70 ab | 33.0 ± 1.5 b | 1.10 ± 0.08 a | 123 ± 20 ab | 33.0 ± 2.5a | 3.88 ± 0.20 ab | 11.4 ± 0.7 bc | 6.70 ± 0.67 c | 3.31 ± 0.26 ef | 4.75 ± 0.29a | 235.59 ± 6.6 d |
| F (C) | 263 *** | 0.06 | 112 *** | 690 *** | 125 *** | 596 *** | 133 *** | 3.60 | 131 *** | 120 *** | 34.3 *** | 111 *** | ||
| F (t(C)) | 90.7 *** | 0.29 *** | 75.8 *** | 87.6 *** | 113 *** | 1130 *** | 16.0 *** | 27.1 *** | 42.1 *** | 81.7 *** | 41.3 *** | 25.6 *** | ||
| Time (Days) | 2-MPA (%) | 3-MBA (%) | 3-MB (%) | PEA (%) | 3-M1-B (%) | 2-MP (%) | |
|---|---|---|---|---|---|---|---|
| Complete Design (CD) | |||||||
| MCB | 0 | 0.26 ± 0.01 de | 1.18 ± 0.02 de | 1.29 ± 0.07 c | 1.63 ± 0.50 bc | 7.93 ± 1.23 bc | 0.49 ± 0.01 d |
| MCH | 0 | 0.24 ± 0.01 de | 1.18 ± 0.02 de | 1.09 ± 0.09 c | 1.49 ± 0.62 bc | 7.93 ± 1.25 bc | 0.52 ± 0.01 d |
| MCB | 6 | 0.43 ± 0.03 cd | 2.90 ± 0.16 abcd | 7.37 ± 1.14 a | 0.15 ± 0.01 c | 2.64 ± 0.37 e | 0.2 ± 0.03 d |
| MCH | 6 | n.d. | 1.20 ± 0.20 cde | 2.81 ± 0.48 bc | 1.29 ± 0.26 bc | 7.89 ± 0.77 bcd | n.d. |
| MCB | 11 | 0.71 ± 0.07 bc | 3.6 ± 0.49 ab | 5.50 ± 1.17 ab | 0.19 ± 0.04 c | 5.42 ± 0.49 cde | 0.7 ± 0.05 d |
| MCH | 11 | n.d. | 1.50 ± 0.34 bcde | 2.40 ± 0.62 bc | 1.30 ± 0.29 bc | 9.2 ± 0.68 abc | n.d. |
| MCB | 18 | 0.88 ± 0.06 ab | 4.75 ± 0.95 a | 5.23 ± 1.76 ab | 0.23 ± 0.04 c | 12.7 ± 0.85 a | 1.7 ± 0.34 c |
| MCH | 18 | 0.26 ± 0.02 de | 0.60 ± 0.10 e | 0.2 ± 0.06 c | 1.28 ± 0.23 bc | 5.43 ± 1.09 cde | n.d. |
| MCB | 30 | n.d. | 3.88 ± 0.10 a | n.d. | 0.26 ± 0.03 c | 10.94 ± 0.84 ab | 2.8 ± 0.17 b |
| MCH | 30 | 1.23 ± 0.13 a | 0.65 ± 0.35 e | n.d. | 1.32 ± 0.43 bc | 7.63 ± 0.88 bcd | n.d. |
| MCB | 45 | n.d. | 3.83 ± 0.12 a | n.d. | 0.29 ± 0.05 c | 7.32 ± 1.02 bcd | 4.2 ± 0.53 a |
| MCH | 45 | 1.01 ± 0.16 ab | 1.07 ± 0.80 de | n.d. | 4.33 ± 0.83 a | 6.6 ± 0.31 bcde | n.d.d |
| F (C) | 4.28 * | 88.7 *** | 25.5 *** | 48.7 *** | 0.45 | 206 *** | |
| F (t) | 14.9 *** | 9.08 *** | 17.0 *** | 7.11 *** | 6.06 *** | 32.2 *** | |
| F (C × t) | 97.6 *** | 5.54 ** | 5.48 ** | 8.21 *** | 14.5 *** | 35.9 *** | |
| Incomplete Design (CD + MCH 120 d) | |||||||
| MCH | 120 | n.d. | 3.44 ± 0.11 abc | n.d. | 2.15 ± 0.20 b | 3.7 ± 0.34 de | n.d. |
| F (C) | 0.05 | 67.7 *** | 34.3 *** | 58.3 *** | 3.68 | 242 *** | |
| F (t(C)) | 60.2 *** | 9.45 *** | 11.2 *** | 7.39 *** | 11.7 *** | 33.5 *** | |
| Product | Hardness (N) | Springiness (mm) | Cohesiveness (J × J−1) | Chewiness (N mm) | Relaxation Load (%) |
|---|---|---|---|---|---|
| MCB (45 days) | 16.0 ± 3.4 a | 1.91 ± 0.19 b | 0.50 ± 0.04 a | 15.2 ± 2.9 b | 63.68 ± 0.63 a |
| MCH (120 days) | 16.5 ± 1.7 a | 2.06 ± 0.12 a | 0.52 ± 0.04 a | 17.6 ± 1.4 a | 62.70 ± 0.82 a |
© 2020 by the authors. Licensee MDPI, Basel, Switzerland. This article is an open access article distributed under the terms and conditions of the Creative Commons Attribution (CC BY) license (http://creativecommons.org/licenses/by/4.0/).
Share and Cite
Serio, A.; Laika, J.; Maggio, F.; Sacchetti, G.; D’Alessandro, F.; Rossi, C.; Martuscelli, M.; Chaves-López, C.; Paparella, A. Casing Contribution to Proteolytic Changes and Biogenic Amines Content in the Production of an Artisanal Naturally Fermented Dry Sausage. Foods 2020, 9, 1286. https://doi.org/10.3390/foods9091286
Serio A, Laika J, Maggio F, Sacchetti G, D’Alessandro F, Rossi C, Martuscelli M, Chaves-López C, Paparella A. Casing Contribution to Proteolytic Changes and Biogenic Amines Content in the Production of an Artisanal Naturally Fermented Dry Sausage. Foods. 2020; 9(9):1286. https://doi.org/10.3390/foods9091286
Chicago/Turabian StyleSerio, Annalisa, Jessica Laika, Francesca Maggio, Giampiero Sacchetti, Flavio D’Alessandro, Chiara Rossi, Maria Martuscelli, Clemencia Chaves-López, and Antonello Paparella. 2020. "Casing Contribution to Proteolytic Changes and Biogenic Amines Content in the Production of an Artisanal Naturally Fermented Dry Sausage" Foods 9, no. 9: 1286. https://doi.org/10.3390/foods9091286
APA StyleSerio, A., Laika, J., Maggio, F., Sacchetti, G., D’Alessandro, F., Rossi, C., Martuscelli, M., Chaves-López, C., & Paparella, A. (2020). Casing Contribution to Proteolytic Changes and Biogenic Amines Content in the Production of an Artisanal Naturally Fermented Dry Sausage. Foods, 9(9), 1286. https://doi.org/10.3390/foods9091286

