Influence of Pasteurization and Storage on Dynamic In Vitro Gastric Digestion of Milk Proteins: Quantitative Insights Based on Peptidomics
Abstract
1. Introduction
2. Materials and Methods
2.1. Materials
2.2. Dynamic In Vitro Gastric Digestion
2.3. pH Measurement
2.4. Weight of Curds
2.5. Degree of Hydrolysis
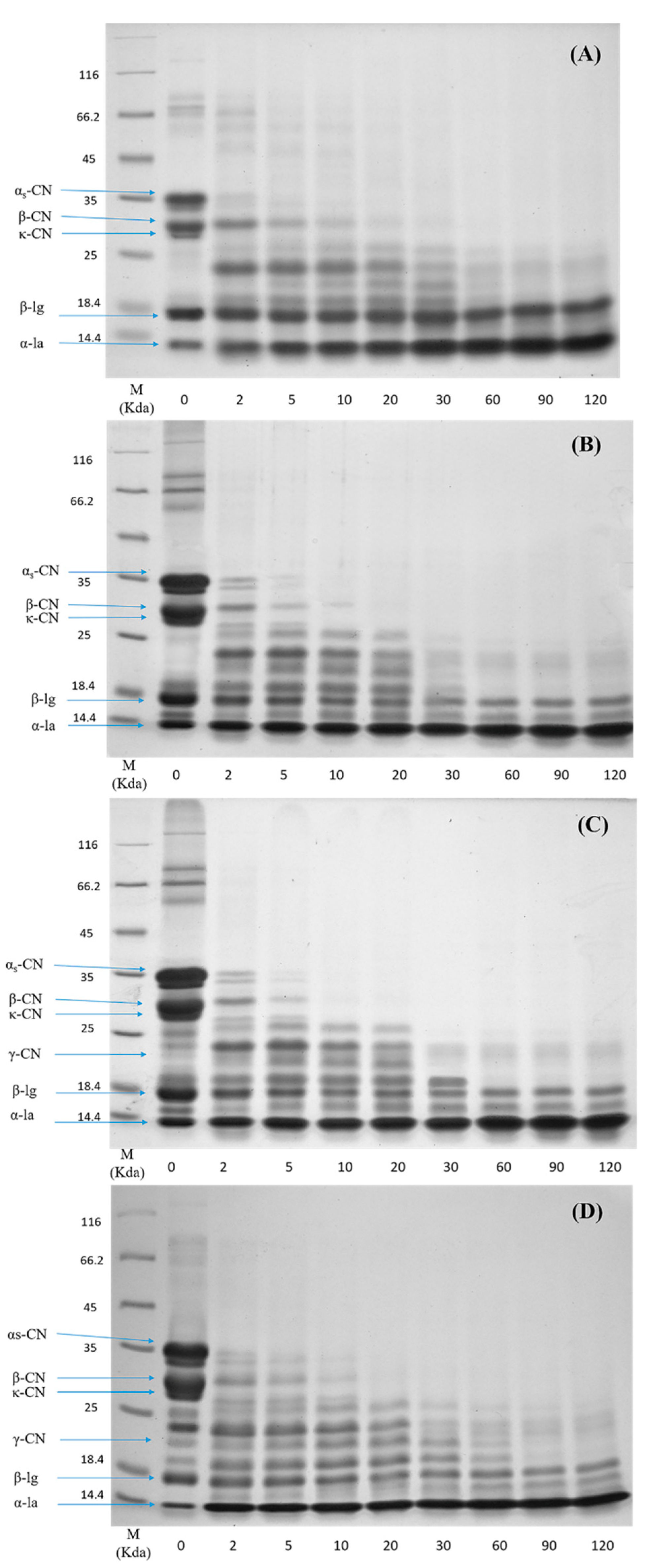
2.6. Sodium Dodecyl Sulfate Polyacrylamide Gel Electrophoresis (SDS-PAGE)
2.7. Liquid Chromatography Tandem Mass Spectrometry (LC-MS/MS)
2.8. Sequence Database Searching and Data Analysis
2.9. Amino Acid Analysis
2.10. Statistical Analysis
3. Results and Discussion
3.1. Change in pH
3.2. Coagulation Behavior of Milk
3.3. The Degree of Protein Hydrolysis
3.4. Hydrolysis of Protein in Digesta
3.5. Peptides Generated upon Cold Storage
3.6. Peptides Released during Digestion
3.7. Amino Acids Released during Digestion
4. Conclusions
Supplementary Materials
Author Contributions
Funding
Conflicts of Interest
References
- Rinaldi, L.; Gauthier, S.F.; Britten, M.; Turgeon, S.L. In vitro gastrointestinal digestion of liquid and semi-liquid dairy matrixes. Lwt-Food Sci. Technol. 2014, 57, 99–105. [Google Scholar] [CrossRef]
- Sánchez-Rivera, L.; Martínez-Maqueda, D.; Cruz-Huerta, E.; Miralles, B.; Recio, I. Peptidomics for discovery, bioavailability and monitoring of dairy bioactive peptides. Food Res. Int. 2014, 63, 170–181. [Google Scholar]
- Dalgleish, D.G.; Corredig, M. The structure of the casein micelle of milk and its changes during processing. Annu. Rev. Food Sci. Technol. 2012, 3, 449–467. [Google Scholar] [CrossRef] [PubMed]
- Jean, K.; Renan, M.; Famelart, M.H.; Guyomarc’h, F. Structure and surface properties of the serum heat-induced protein aggregates isolated from heated skim milk. Int. Dairy J. 2006, 16, 303–315. [Google Scholar] [CrossRef]
- Anema, S.G.; Lowe, E.K.; Lee, S.K.; Klostermeyer, H. Effect of the pH of skim milk at heating on milk concentrate viscosity. Int. Dairy J. 2014, 39, 336–343. [Google Scholar] [CrossRef]
- Sava, N.; Van der Plancken, I.; Claeys, W.; Hendrickx, M. The kinetics of heat-induced structural changes of beta-lactoglobulin. J. Dairy Sci. 2005, 88, 1646–1653. [Google Scholar] [CrossRef]
- Anema, S.G.; Lowe, E.K.; Li, Y. Effect of pH on the viscosity of heated reconstituted skim milk. Int. Dairy J. 2004, 14, 541–548. [Google Scholar] [CrossRef]
- Peram, M.R.; Loveday, S.M.; Ye, A.; Singh, H. In vitro gastric digestion of heat-induced aggregates of beta-lactoglobulin. J. Dairy Sci. 2013, 96, 63–74. [Google Scholar] [CrossRef]
- Ye, A.; Cui, J.; Dalgleish, D.; Singh, H. Formation of a structured clot during the gastric digestion of milk: Impact on the rate of protein hydrolysis. Food Hydrocoll. 2016, 52, 478–486. [Google Scholar] [CrossRef]
- Dupont, D.; Mandalari, G.; Molle, D.; Jardin, J.; Rolet-Repecaud, O.; Duboz, G.; Leonil, J.; Mills, C.E.; Mackie, A.R. Food processing increases casein resistance to simulated infant digestion. Mol. Nutr. Food Res. 2010, 54, 1677–1689. [Google Scholar] [CrossRef]
- Sánchez-Rivera, L.; Ménard, O.; Recio, I.; Dupont, D. Peptide mapping during dynamic gastric digestion of heated and unheated skimmed milk powder. Food Res. Int. 2015, 77, 132–139. [Google Scholar] [CrossRef]
- Dupont, D.; Mandalari, G.; Molle, D.; Jardin, J.; Leonil, J.; Faulks, R.M.; Wickham, M.S.; Mills, E.N.; Mackie, A.R. Comparative resistance of food proteins to adult and infant in vitro digestion models. Mol. Nutr. Food Res. 2010, 54, 767–780. [Google Scholar] [CrossRef] [PubMed]
- Ravanis, S.; Lewis, M.J. Observations on the effect of raw milk quality on the keeping quality of pasteurized milk. Lett. Appl. Microbiol. 1995, 20, 164–167. [Google Scholar] [CrossRef] [PubMed]
- Liu, H.; Grosvenor, A.J.; Li, X.; Wang, X.L.; Ma, Y.; Clerens, S.; Dyer, J.M.; Day, L. Changes in milk protein interactions and associated molecular modification resulting from thermal treatments and storage. J. Food Sci. 2019, 84, 1737–1745. [Google Scholar] [CrossRef] [PubMed]
- Li, X.; Li, L.; Ma, Y.; Wang, R.; Gu, Y.; Day, L. Changes in protein interactions in pasteurized milk during cold storage. Food Biosci. 2020, 34, 100530. [Google Scholar] [CrossRef]
- Kong, F.; Singh, R.P. A human gastric simulator (HGS) to study food digestion in human stomach. J. Food Sci. 2010, 75, 627–635. [Google Scholar] [CrossRef]
- Minekus, M.; Alminger, M.; Alvito, P.; Ballance, S.; Bohn, T.; Bourlieu, C.; Carrière, F.; Boutrou, R.; Corredig, M.; Dupont, D. A standardised static in vitro digestion method suitable for food—an international consensus. Food Funct. 2014, 5, 1113–1124. [Google Scholar] [CrossRef]
- Chen, J.; Gaikwad, V.; Holmes, M.; Murray, B.; Povey, M.; Wang, Y.; Zhang, Y. Development of a simple model device for in vitro gastric digestion investigation. Food Funct. 2011, 2, 174–182. [Google Scholar] [CrossRef]
- Schulze, K. Imaging and modelling of digestion in the stomach and the duodenum. Neurogastroenterol. Motil. 2006, 18, 172–183. [Google Scholar] [CrossRef]
- Ye, A.; Cui, J.; Dalgleish, D.; Singh, H. The formation and breakdown of structured clots from whole milk during gastric digestion. Food Funct. 2016, 7, 4259–4266. [Google Scholar] [CrossRef]
- He, S.; Gu, C.; Wang, D.; Xu, W.; Wang, R.; Ma, Y. The stability and in vitro digestion of curcumin emulsions containing konjac glucomannan. Lwt Food Sci. Technol. 2020, 117. [Google Scholar] [CrossRef]
- Nehir, E.S.; Karakaya, S.; Simsek, S.; Dupont, D.; Menfaatli, E.; Eker, A.T. In vitro digestibility of goat milk and kefir with a new standardised static digestion method (infogest cost action) and bioactivities of the resultant peptides. Food Funct. 2015, 6, 2322–2330. [Google Scholar] [CrossRef] [PubMed]
- Ji, X.; Li, X.; Ma, Y.; Li, D. Differences in proteomic profiles of milk fat globule membrane in yak and cow milk. Food Chem. 2017, 221, 1822. [Google Scholar] [CrossRef] [PubMed]
- Manguy, J.; Jehl, P.; Dillon, E.T.; Davey, N.E.; Shields, D.C.; Holton, T.A. Peptigram: A web-based application for peptidomics data visualization. J. Proteome Res. 2017, 16, 712–719. [Google Scholar] [CrossRef]
- Lorieau, L.; Halabi, A.; Ligneul, A.; Hazart, E.; Dupont, D.; Floury, J. Impact of the dairy product structure and protein nature on the proteolysis and amino acid bioaccessiblity during in vitro digestion. Food Hydrocoll. 2018, 82, 399–411. [Google Scholar] [CrossRef]
- Tam, J.J.; Whitaker, J.R. Rates and extents of hydrolysis of several caseins by pepsin, rennin, endothia parasitica protease and mucor pusillus protease. J. Dairy Sci. 1972, 55, 1523–1531. [Google Scholar] [CrossRef]
- Miranda, G.; Pelissier, J.P. Kinetic studies of in vivo digestion of bovine unheated skim-milk proteins in the rat stomach. J. Dairy Res. 1983, 50, 27–36. [Google Scholar] [CrossRef]
- And, N.K.; Kinekawa, Y.I. Digestibility of bovine milk whey protein and β-lactoglobulin in vitro and in vivo. J. Agric. Food Chem. 1998, 46, 4917–4923. [Google Scholar]
- Reddy, I.M.; Kella, N.K.D.; Kinsella, J.E. Structural and conformational basis of the resistance of Beta-lactoglobulin to peptic and chymotryptic digestion. J. Agric. Food Chem. 1988, 36, 737–741. [Google Scholar] [CrossRef]
- Post, A.E.; Arnold, B.; Weiss, J.; Hinrichs, J. Effect of temperature and pH on the solubility of caseins: Environmental influences on the dissociation of alpha(s)- and beta-casein. J. Dairy Sci. 2012, 95, 1603–1616. [Google Scholar] [CrossRef]
- Ismail, B.; Nielsen, S.S. Invited review: Plasmin protease in milk: Current knowledge and relevance to dairy industry. J. Dairy Sci. 2010, 93, 4999–5009. [Google Scholar] [CrossRef] [PubMed]
- Beverly, R.L.; Underwood, M.A.; Dallas, D.C. Peptidomics Analysis of Milk Protein-Derived Peptides Released over Time in the Preterm Infant Stomach. J. Proteome Res. 2019, 18, 912–922. [Google Scholar] [CrossRef] [PubMed]
- Deglaire, A.; Oliveira, S.; Jardin, J.; Briard-Bion, V.; Kroell, F.; Emily, M.; Menard, O.; Bourlieu, C.; Dupont, D. Impact of human milk pasteurization on the kinetics of peptide release during in vitro dynamic digestion at the preterm newborn stage. Food Chem. 2019, 281, 294–303. [Google Scholar] [CrossRef] [PubMed]
- Dupont, D.; Boutrou, R.; Menard, O.; Jardin, J.; Tanguy, G.; Schuck, P.; Haab, B.B.; Leonil, J. Heat treatment of milk during powder manufacture increases casein resistance to simulated infant digestion. Food Digestion. 2010, 1, 28–39. [Google Scholar] [CrossRef]
- Guo, M.R.; Fox, P.F.; Flynn, A.; Kindstedt, P.S. Susceptibility of beta-lactoglobulin and sodium caseinate to proteolysis by pepsin and trypsin. J. Dairy Sci. 1995, 78, 2336. [Google Scholar] [CrossRef]
- Ao, J.; Li, B. Stability and antioxidative activities of casein peptide fractions during simulated gastrointestinal digestion in vitro: Charge properties of peptides affect digestive stability. Food Rev. Int. 2013, 52, 334–341. [Google Scholar] [CrossRef]
- Wada, Y.; Bo, L. Effects of industrial heating processes of milk-based enteral formulas on site-specific protein modifications and their relationship to in vitro and in vivo protein digestibility. J. Agric. Food Chem. 2015, 62, 6787. [Google Scholar] [CrossRef]






| Parent Protein | Peptide Sequence | Position | RM | PM0d | PM3d | PM7d |
|---|---|---|---|---|---|---|
| αs1-CN | RPKHPIKHQGLPQEVLNENLLR | 16–37 | √ | |||
| SDIPNPIGSENSEKTTMPLW | 195–214 | √ | √ | |||
| PIGSENSEKTTMPLW | 200–214 | √ | √ | √ | ||
| SEKTTMPLW | 206–214 | √ | ||||
| αs2-CN | TKVIPYVRYL | 213–222 | √ | |||
| β-CN | RELEELNVPGE | 16–26 | √ | √ | ||
| HKEMPFPKYPVEPFTESQS | 121–139 | √ | ||||
| LYQEPVLGPVRGPFPIIV | 207–224 | √ | √ | √ | ||
| YQEPVLGPVRGPFP | 208–221 | √ | ||||
| YQEPVLGPVRGPFPIIV | 208–224 | √ | √ | |||
| PVRGPFPIIV | 215–224 | √ |
| Protein | Sequence | Residues | Bioactivity | References 1 | Samples 2 | |||
|---|---|---|---|---|---|---|---|---|
| RM | PM0d | PM3d | PM7d | |||||
| αs1-CN | FVAPFPEVFG | 39–48 | ACE-inhibitory | [1] | 1.82 | 0.00 | 1.69 | 1.00 |
| LRLKKYKVPQL | 114–124 | Antimicrobial | [2,3] | 3.19 | 1.00 | 3.67 | 3.12 | |
| LAYFYPEL | 157–164 | Immunomodulatory | [4] | 77.44 | 5.32 | 2.10 | 1.00 | |
| DAYPSGAW | 172–179 | ACE-inhibitory | [5] | 12.64 | 11.76 | 8.48 | 1.00 | |
| SDIPNPIGSENSEK | 195–208 | Antimicrobial | [6] | 1.00 | 2.69 | 1.47 | 1.95 | |
| β-CN | VENLHLPLPLL | 145–155 | ACE-inhibitory | [1] | 0.00 | 0.00 | 10.86 | 1.00 |
| NLHLPLPLL | 147–155 | ACE-inhibitory | [1] | 0.00 | 0.00 | 1.53 | 1.00 | |
| LYQEPVLGPVRGPFPIIV | 207–224 | Immunomodulatory | [7] | 0.00 | 0.00 | 1.00 | 0.00 | |
| YQEPVLGPVR | 208–217 | ACE-inhibitory | [8] | 0.00 | 0.00 | 2.97 | 1.00 | |
| Immunomodulatory | [9] | |||||||
| YQEPVLGPVRG | 208–218 | ACE-inhibitory | [10] | 0.00 | 0.00 | 4.36 | 1.00 | |
| YQEPVLGPVRGPFPIIV | 208–224 | Immunomodulatory | [11] | 3.52 | 5.75 | 2.78 | 1.00 | |
| antithrombin | [12] | |||||||
| Antimicrobial | [13] | |||||||
| ACE-inhibitory | [14] | |||||||
| κ-CN | YYQQKPVA | 63–70 | Antimicrobial | [15] | 1.00 | 1.05 | 1.66 | 2.33 |
| HPHPHLSF | 119–126 | ACE-inhibitory | [16] | 0.00 | 0.00 | 2.06 | 1.00 | |
| MAIPPKKNQDKTEIPTINT | 127–145 | Antimicrobial | [17] | 1.00 | 0.00 | 0.00 | 0.00 | |
| VESTVATL | 160–167 | Antimicrobial | [15] | 1.01 | 1.00 | 1.36 | 4.27 | |
| β-Lg | LIVTQTMK | 17–24 | Cytotoxic | [18] | 0.00 | 0.00 | 0.00 | 1.00 |
| LDIQKVAGTW | 26–35 | ACE-inhibitory | [19] | 0.00 | 1.00 | 0.00 | 27.83 | |
| IQKVAGTW | 28–35 | DPP-IV Inhibitory | [19] | 0.00 | 1.21 | 2.56 | 6.49 | |
| ACE-inhibitory | [19] | |||||||
| DAQSAPLRVY | 49–58 | ACE-inhibitory | [20,21] | 0.00 | 0.00 | 0.00 | 1.00 | |
| LKPTPEGDL | 62–70 | DPP-IV Inhibitory | [22] | 0.00 | 0.00 | 0.00 | 1.00 | |
| LKPTPEGDLE | 42–71 | DPP-IV Inhibitory | [22] | 0.00 | 0.00 | 0.00 | 1.00 | |
| Amino Acid | Amino Acid Released during Digestion | |||||||||||
|---|---|---|---|---|---|---|---|---|---|---|---|---|
| 30 min | 60 min | 120 min | ||||||||||
| RM | PM0d | PM3d | PM7d | RM | PM0d | PM3d | PM7d | RM | PM0d | PM3d | PM7d | |
| Essential amino acid | ||||||||||||
| Thr | 0.1 ± 0 aA | 0.1 ± 0.1 aA | 0.3 ± 0.1 aA | 0.8 ± 0.1 bA | 0.2 ± 0.1 aA | 0.2 ± 0.1 aA | 0.3 ± 0.1 aA | 2.6 ± 0.2 bB | 0.6 ± 0.1 aB | 1.2 ± 0.2 bB | 2.7 ± 0.3 cB | 4.6 ± 0.1 dC |
| Cys | 0.2 ± 0.1 aA | 0.4 ± 0.2 aA | 0.6 ± 0.1 aA | 1.4 ± 0.2 bA | 0.3 ± 0.1 aA | 0.3 ± 0.2 aA | 0.4 ± 0.2 aA | 1.9 ± 0.2 bB | 0.6 ± 0.2 aB | 0.8 ± 0.3 bB | 1.5 ± 0.1 cB | 2.8 ± 0.3 dC |
| Lys | 0.4 ± 0.3 aA | 0.4 ± 0.1 aA | 0.6 ± 0.2 aA | 1.6 ± 0.2 bA | 2.7 ± 0.1 aB | 1.4 ± 0.1 bB | 1.3 ± 0.1 bB | 3.6 ± 0.2 cB | 5.9 ± 0.3 aC | 2.6 ± 0.2 bC | 3.6 ± 0.2 aC | 3.5 ± 0.3 cB |
| Met | 0.5 ± 0.3 aA | 0.5 ± 0.2 aA | 0.7 ± 0.2 aA | 0.8 ± 0.1 aA | 0.6 ± 0.1 aA | 0.6 ± 0.2 aA | 0.7 ± 0.2 aA | 1.3 ± 0.1 bB | 0.8 ± 0.1 aA | 1.1 ± 0.2 bB | 2.6 ± 0.1 bC | 5.7 ± 0.2 cC |
| Phe | 1.9 ± 0.2 aA | 2.1 ± 0 abA | 2.3 ± 0.1 bA | 2.7 ± 0.3 cA | 3.5 ± 0.2 aB | 4.4 ± 0.2 bB | 5.1 ± 0.1 cB | 8.2 ± 0.2 dB | 9.6 ± 0.2 aC | 11.1 ± 0.2 bC | 11.5 ± 0.3 bC | 11.5 ± 0.4 bC |
| Ile | 0.1 ± 0.1 aA | 0.1 ± 0 aA | 0.3 ± 0.1 bA | 0.4 ± 0.1 bA | 0.2 ± 0.1 aA | 0.4 ± 0.1 bB | 0.4 ± 0 bA | 0.9 ± 0.1 cB | 0.3 ± 0.1 aA | 0.9 ± 0.1 bC | 2.2 ± 0.2 cB | 3.3 ± 0.2 dC |
| Leu | 0.8 ± 0.1 aA | 1.1 ± 0.2 abA | 1.3 ± 0.1 bA | 1.8 ± 0.2 aA | 2.0 ± 0.2 aB | 2.4 ± 0.2 aB | 3.0 ± 0.1 cB | 5.1 ± 0.2 dB | 6.6 ± 0.2 aC | 7.4 ± 0.3 bB | 8.1 ± 0.2 cB | 8.7 ± 0.3 dC |
| His | 0.1 ± 0 aA | 0.1 ± 0 aA | 0.1 ± 0 aA | 0.1 ± 0 aA | 0.2 ± 0.2 aA | 0.1 ± 0 aA | 0.3 ± 0.2 aA | 0.6 ± 0.1 bB | 0.4 ± 0.1 aB | 2.3 ± 0.2 aB | 2.9 ± 0.1 cB | 4.1 ± 0.2 dC |
| Tyr | 0.6 ± 0.1 aA | 0.6 ± 0.1 aA | 0.7 ± 0.1 aA | 3.2 ± 0.1 bA | 0.6 ± 0.1 aA | 0.6 ± 0.1 aA | 0.9 ± 0 bA | 2.6 ± 0.1 cB | 0.8 ± 0.1 aA | 1.4 ± 0.2 bB | 3.2 ± 0.3 cB | 5.1 ± 0.5 dC |
| Val | 0.9 ± 0.1 aA | 1.1 ± 0.1 aA | 1.0 ± 0.1 aA | 1.7 ± 0.2 bA | 0.9 ± 0.1 aA | 0.9 ± 0.1 aA | 1.1 ± 0.2 aA | 2.7 ± 0.2 bB | 1.1 ± 0.2 aA | 1.9 ± 0.1 bB | 2.7 ± 0.2 cB | 4.4 ± 0.5 dC |
| Non-essential amino acid | ||||||||||||
| Ser | 0.1 ± 0 aA | 0.1 ± 0 aA | 0.2 ± 0 aA | 0.4 ± 0.1 bA | 0.4 ± 0.1 aB | 0.4 ± 0.1 aA | 0.4 ± 0.1 aA | 0.9 ± 0.1 bB | 0.7 ± 0.2 aC | 1.4 ± 0.2 bB | 1.7 ± 0.3 bB | 3.2 ± 0.2 cC |
| Arg | 0.5 ± 0.1 aA | 0.6 ± 0.1 aA | 0.9 ± 0.2 aB | 1.2 ± 0.2 cA | 0.8 ± 0.1 aA | 1.1 ± 0.2 bA | 1.1 ± 0.2 aA | 3.6 ± 0.2 bB | 1.6 ± 0.1 aA | 2.2 ± 0.1 bB | 2.4 ± 0.2 bB | 6.0 ± 0.4 cC |
| Asp | 0.2 ± 0.1 aA | 0.2 ± 0.1 aA | 0.3 ± 0.2 aA | 0.5 ± 0.1 bA | 0.3 ± 0.3 aA | 0.5 ± 0.2 aA | 0.6 ± 0.3 aB | 0.8 ± 0.2 aB | 0.4 ± 0.2 aA | 0.8 ± 0.2 bA | 0.8 ± 0.2 bB | 1.4 ± 0.00 cC |
| Gly | 0.6 ± 0.1 aA | 0.6 ± 0.2 aA | 0.8 ± 0.2 aA | 0.9 ± 0.2 aA | 0.7 ± 0.2 aA | 0.9 ± 0.2 aA | 0.9 ± 0.2 aA | 1.2 ± 0.1 aB | 0.9 ± 0.2 aA | 1.4 ± 0.2 bC | 1.6 ± 0.1 bB | 2.4 ± 0.2 cC |
| Glu | 5.4 ± 0.1 aA | 5.4 ± 0.1 aA | 5.7 ± 0.2 aA | 6.8 ± 0.2 bA | 5.5 ± 0.2 aA | 5.7 ± 0.2 aA | 6.0 ± 0.2 aA | 7.8 ± 0.2 bB | 6.4 ± 0.2 aB | 8.0 ± 0.2 bB | 8.5 ± 0.1 cB | 9.2 ± 0.1 dC |
| Ala | 0.4 ± 0.1 aA | 0.4 ± 0.1 aA | 0.5 ± 0.2 aA | 0.7 ± 0.1 aA | 0.5 ± 0.1 aA | 0.5 ± 0.1 aA | 0.6 ± 0.2 aA | 1.7 ± 0.2 bB | 0.7 ± 0.2 aA | 1.5 ± 0.2 bB | 3.5 ± 0.2 cB | 4.5 ± 0.2 dC |
| Pro | 0.5 ± 0.1 aA | 0.5 ± 0.1 aA | 0.6 ± 0.2 aA | 0.9 ± 0.2 bA | 0.7 ± 0.2 aA | 0.7 ± 0.2 aA | 0.7 ± 0.1 aA | 1.1 ± 0.1 bA | 1.1 ± 0.1 aA | 1.8 ± 0.1 bB | 2.3 ± 0.2 cB | 2.6 ± 0.2 dB |
| Total | 13.4 aA | 14.1 aA | 17.1 bA | 25.7 cA | 22.4 aB | 21.8 aB | 23.2 aB | 47.4 bB | 38.5 aC | 47.8 bC | 62.4 cC | 86.2 dC |
© 2020 by the authors. Licensee MDPI, Basel, Switzerland. This article is an open access article distributed under the terms and conditions of the Creative Commons Attribution (CC BY) license (http://creativecommons.org/licenses/by/4.0/).
Share and Cite
Li, X.; Gu, Y.; He, S.; Dudu, O.E.; Li, Q.; Liu, H.; Ma, Y. Influence of Pasteurization and Storage on Dynamic In Vitro Gastric Digestion of Milk Proteins: Quantitative Insights Based on Peptidomics. Foods 2020, 9, 998. https://doi.org/10.3390/foods9080998
Li X, Gu Y, He S, Dudu OE, Li Q, Liu H, Ma Y. Influence of Pasteurization and Storage on Dynamic In Vitro Gastric Digestion of Milk Proteins: Quantitative Insights Based on Peptidomics. Foods. 2020; 9(8):998. https://doi.org/10.3390/foods9080998
Chicago/Turabian StyleLi, Xing, Yuxiang Gu, Shudong He, Olayemi Eyituoyo Dudu, Qiming Li, Haiyan Liu, and Ying Ma. 2020. "Influence of Pasteurization and Storage on Dynamic In Vitro Gastric Digestion of Milk Proteins: Quantitative Insights Based on Peptidomics" Foods 9, no. 8: 998. https://doi.org/10.3390/foods9080998
APA StyleLi, X., Gu, Y., He, S., Dudu, O. E., Li, Q., Liu, H., & Ma, Y. (2020). Influence of Pasteurization and Storage on Dynamic In Vitro Gastric Digestion of Milk Proteins: Quantitative Insights Based on Peptidomics. Foods, 9(8), 998. https://doi.org/10.3390/foods9080998

