Comparison of Thermal and High-Pressure Gelation of Potato Protein Isolates
Abstract
1. Introduction
2. Materials and Methods
2.1. Materials
2.2. Methods
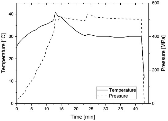
2.2.1. Aggregation/Gelation by Pressure or Heat
2.2.2. Molecular Weight Determination Using Sodium Dodecyl Sulfate Polyacrylamide Gel Electrophoresis (SDS-PAGE)
2.2.3. In Situ Spectroscopic Study of the Effect of Pressure on Potato Protein Isolate
2.2.4. Rheological Properties
Frequency Sweep
2.2.5. Texture Profile Analysis (TPA)
2.2.6. Water Holding Capacity (WHC)
2.2.7. Vitamin C Determination—Comparison of Degradation during Gelation of a Thermally Liable Compound
2.2.8. Statistical Analysis
3. Results and Discussion
3.1. Effect of Heat or Pressure on the Molecular Weight of Potato Protein Isolate Solution
3.2. In Situ Spectroscopic Study of the Effect of Pressure on PPI in Solution
3.3. Dynamic Oscillatory Rheological Properties of Thermally and Pressure-Induced Gels
3.4. Comparison of the Instrumental Texture of the Pressure and Thermally-Induced Physical Gels at pH 3
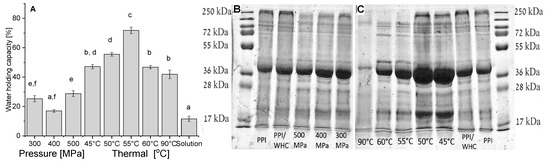
3.5. Comparison of the Water Holding Capacity (WHC) and the Involvement of Various PPI Proteins in Gelation of Thermal and Pressure Physical Gels
3.6. Stability of Vitamin C as a Model Thermally Liable Compound During Thermal and Pressure Gelation
4. Conclusions
Author Contributions
Funding
Conflicts of Interest
References
- De Sousa, L.O.; Dias, M.; Ferreira, P.; Mergenthaler, M. The role of trust, knowledge diffusion and contracts in sunflower production chains in Brazil. Proc. Food Syst. Dyn. 2017, 2017, 155–163. [Google Scholar]
- Day, L. Proteins from land plants—Potential resources for human nutrition and food security. Trends Food Sci. Technol. 2013, 32, 25–42. [Google Scholar] [CrossRef]
- Alonso-Miravalles, L.; O’Mahony, J. Composition, protein profile and rheological properties of pseudocereal-based protein-rich ingredients. Foods 2018, 7, 73. [Google Scholar] [CrossRef]
- Hettiarachchy, N.; Kannan, A.; Schäfer, C.; Wagner, G. Gelling of Plant Based Proteins. In Product Design and Engineering; Wiley Online Books; Wiley-VCH Verlag GmbH & Co. KGaA: Weinheim, Germany, 2013; ISBN 9783527654741. [Google Scholar]
- Waglay, A.; Karboune, S. Potato Proteins: Functional Food Ingredients. In Advances in Potato Chemistry and Technology, 2nd ed.; Academic Press: London, UK, 2016; pp. 75–104. [Google Scholar]
- Tabilo-Munizaga, G.; Barbosa-Cánovas, G.V. Color and textural parameters of pressurized and heat-treated surimi gels as affected by potato starch and egg white. Food Res. Int. 2004, 37, 767–775. [Google Scholar] [CrossRef]
- Hautvast, J. Health Council of the Netherlands: Committee on the Safety Assessment of Novel Foods. In Coagulated Potato Protein and Hydrolysates; Health Council of the Netherlands: The Hauge, The Netherlands, 2000. [Google Scholar]
- Członka, S.; Bertino, M.F.; Strzelec, K. Rigid polyurethane foams reinforced with industrial potato protein. Polym. Test. 2018, 68, 135–145. [Google Scholar] [CrossRef]
- Zhang, D.; Taihua, M.; Hongnan, S. Calorimetric, rheological, and structural properties of potato protein and potato starch composites and gels. Starch Stärke 2017, 69, 1600329. [Google Scholar] [CrossRef]
- Van Koningsveld, G.A.; Gruppen, H.; de Jongh, H.H.; Wijngaards, G.; van Boekel, M.A.J.S.; Walstra, P.; Voragen, A.G.J. Effects of pH and heat treatments on the structure and solubility of potato proteins in different preparations. J. Agric. Food Chem. 2001, 49, 4889–4897. [Google Scholar] [CrossRef] [PubMed]
- Delahaije, R.J.B.M.; Wierenga, P.A.; Giuseppin, M.L.F.; Gruppen, H. Comparison of heat-induced aggregation of globular proteins. J. Agric. Food Chem. 2015, 63, 5257–5265. [Google Scholar] [CrossRef]
- Boye, J.; Zare, F.; Pletch, A. Pulse proteins: Processing, characterization, functional properties and applications in food and feed. Food Res. Int. 2010, 43, 414–431. [Google Scholar] [CrossRef]
- Totosaus, A.; Montejano, J.G.; Salazar, J.A.; Guerrero, I. A review of physical and chemical protein-gel induction. Int. J. Food Sci. Technol. 2002, 37, 589–601. [Google Scholar] [CrossRef]
- Munialo, C.D.; Euston, S.R.; de Jongh, H.H.J. Protein gels. In Proteins in Food Processing; Woodhead Publishing: Duxford, UK, 2018; pp. 501–521. ISBN 9780081007228. [Google Scholar]
- Nicolai, T.; Chassenieux, C. Heat-induced gelation of plant globulins. Curr. Opin. Food Sci. 2019, 27, 18–22. [Google Scholar] [CrossRef]
- Kaletunç, G.; Lee, J.; Alpas, H.; Bozoglu, F. Evaluation of structural changes induced by high hydrostatic pressure in Leuconostoc mesenteroides. Appl. Environ. Microbiol. 2004, 70, 1116–1122. [Google Scholar] [CrossRef] [PubMed]
- Rastogi, N.K.; Raghavarao, K.S.M.S.; Balasubramaniam, V.M.; Niranjan, K.; Knorr, D. Opportunities and challenges in high pressure processing of foods. Crit. Rev. Food Sci. Nutr. 2007, 47, 69–112. [Google Scholar] [CrossRef] [PubMed]
- Hogan, E.; Kelly, A.L.; Sun, D.W. High Pressure Processing of Foods: An overview. In Emerging Technologies for Food Processing; Academic Press: London, UK, 2005; pp. 3–32. [Google Scholar]
- Okamoto, M.; Kawamura, Y.; Hayashi, R. Application of high pressure to food processing: Textural comparison of pressure- and heat-induced gels of food proteins. Agric. Biol. Chem. 1990, 54, 183–189. [Google Scholar]
- Farkas, D.F.; Hoover, D.G. High pressure processing. J. Food Sci. 2000, 65, 47–64. [Google Scholar] [CrossRef]
- Bolumar, T.; Middendorf, D.; Toepfl, S.; Heinz, V. Structural changes in foods caused by high-pressure processing. In High Pressure Processing of Food: Principles, Technology and Applications; Balasubramaniam, V.M., Barbosa-Cánovas, G.V., Lelieveld, H.L.M., Eds.; Springer: New York, NY, USA, 2016; pp. 509–537. ISBN 978-1-4939-3234-4. [Google Scholar]
- Martínez-Monteagudo, S.I.; Balasubramaniam, V.M. Fundamentals and applications of high-pressure processing technology. In High Pressure Processing of Food: Principles, Technology and Applications; Balasubramaniam, V.M., Barbosa-Cánovas, G.V., Lelieveld, H.L.M., Eds.; Springer: New York, NY, USA, 2016; pp. 3–17. ISBN 978-1-4939-3234-4. [Google Scholar]
- Mirmoghtadaie, L.; Shojaee Aliabadi, S.; Hosseini, S.M. Recent approaches in physical modification of protein functionality. Food Chem. 2016, 199, 619–627. [Google Scholar] [CrossRef]
- Elahi, R.; Mu, T.-H. High hydrostatic pressure (HHP)-induced structural modification of patatin and its antioxidant activities. Molecules 2017, 22, 438. [Google Scholar] [CrossRef]
- Bridgman, P.W. The cogaulation of albumen by pressure. J. Biol. Chem. 1914, 19, 511–512. [Google Scholar]
- Alvarez, P.A.; Ramaswamy, H.S.; Ismail, A.A. High pressure gelation of soy proteins: Effect of concentration, pH and additives. J. Food Eng. 2008, 88, 331–340. [Google Scholar] [CrossRef]
- Van Camp, J.; Huyghebaert, A. High Pressure-Induced gel formation of a whey protein and haemoglobin protein concentrate. LWT Food Sci. Technol. 1995, 28, 111–117. [Google Scholar] [CrossRef]
- Kanno, C.; Mu, T.-H.; Hagiwara, T.; Ametani, M.; Azuma, N. Gel formation from industrial milk whey proteins under hydrostatic pressure: Effect of hydrostatic pressure and protein concentration. J. Agric. Food Chem. 1998, 46, 417–424. [Google Scholar] [CrossRef] [PubMed]
- Zhao, Z.-K.; Mu, T.-H.; Zhang, M.; Richel, A. Effect of salts combined with high hydrostatic pressure on structure and gelation properties of sweet potato protein. LWT 2018, 93, 36–44. [Google Scholar] [CrossRef]
- Molina, E.; Defaye, A.B.; Ledward, D.A. Soy protein pressure-induced gels. Food Hydrocoll. 2002, 16, 625–632. [Google Scholar] [CrossRef]
- Schmidt, J.M.; Damgaard, H.; Greve-Poulsen, M.; Sunds, A.V.; Larsen, L.B.; Hammershøj, M. Gel properties of potato protein and the isolated fractions of patatins and protease inhibitors—Impact of drying method, protein concentration, pH and ionic strength. Food Hydrocoll. 2019, 96, 246–258. [Google Scholar] [CrossRef]
- Creusot, N.; Wierenga, P.A.; Laus, M.C.; Giuseppin, M.L.; Gruppen, H. Rheological properties of patatin gels compared with β-lactoglobulin, ovalbumin, and glycinin. J. Sci. Food Agric. 2011, 91, 253–261. [Google Scholar] [CrossRef]
- Schmidt, J.M. Purification and Funtional Properties of Potato Protein Fractions. Ph.D. Thesis, Aarhus University—Foulum Department of Food Science, Aarhus, Denmark, 2016. [Google Scholar]
- Løkra, S.; Helland, M.H.; Claussen, I.C.; Strætkvern, K.O.; Egelandsdal, B. Chemical characterization and functional properties of a potato protein concentrate prepared by large-scale expanded bed adsorption chromatography. LWT Food Sci. Technol. 2008, 41, 1089–1099. [Google Scholar] [CrossRef]
- Schmidt, J.M.; Larsen, L.B.; Hammershøj, M. Appearance and textural properties of sheared low concentration potato protein gels-impact of drying method, pH, and ionic strength. J. Food Sci. 2017, 82, 2056–2061. [Google Scholar] [CrossRef]
- Queirós, R.P.; Saraiva, J.A.; da Silva, J.A.L. Tailoring structure and technological properties of plant proteins using high hydrostatic pressure. Crit. Rev. Food Sci. Nutr. 2018, 58, 1538–1556. [Google Scholar] [CrossRef]
- Baier, A.K.; Knorr, D. Influence of high isostatic pressure on structural and functional characteristics of potato protein. Food Res. Int. 2015, 77, 753–761. [Google Scholar] [CrossRef]
- Zhao, Z.K.; Mu, T.H.; Zhang, M.; Richel, A. Chemical forces, structure, and gelation properties of sweet potato protein as affected by pH and high hydrostatic pressure. Food Bioprocess Technol. 2018, 11, 1719–1732. [Google Scholar] [CrossRef]
- Levi, C.S.; Lesmes, U. Bi-compartmental elderly or adult dynamic digestion models applied to interrogate protein digestibility. Food Funct. 2014, 5, 2402–2409. [Google Scholar] [CrossRef] [PubMed]
- Paulo, J.A.; Lee, L.S.; Wu, B.; Repas, K.; Banks, P.A.; Conwell, D.L.; Steen, H. Optimized sample preparation of endoscopic collected pancreatic fluid for SDS-PAGE analysis. Electrophoresis 2010, 31, 2377–2387. [Google Scholar] [CrossRef] [PubMed]
- Shkolnikov, H.; Belochvostov, V.; Okun, Z.; Shpigelman, A. The effect of pressure on the kinetics of polyphenolics degradation—Implications to hyperbaric storage using Epigallocatechin-gallate as a model. Innov. Food Sci. Emerg. Technol. 2020, 59, 102273. [Google Scholar] [CrossRef]
- Clark, A.H.; Ross-Murphy, S.B. Structural and mechanical properties of biopolymer gels. In Biopolymers; Springer: Berlin/Heidelberg, Germany, 1987; pp. 57–192. [Google Scholar]
- Doucet, D.; Gauthier, S.F.; Foegeding, E.A. Rheological characterization of a gel formed during extensive enzymatic hydrolysis. J. Food Sci. 2001, 66, 711–715. [Google Scholar] [CrossRef]
- Carbinatto, F.M.; de Castro, A.D.; Cury, B.S.F.; Magalhães, A.; Evangelista, R.C. Physical properties of pectin–high amylose starch mixtures cross-linked with sodium trimetaphosphate. Int. J. Pharm. 2012, 423, 281–288. [Google Scholar] [CrossRef]
- Speroni, F.; Beaumal, V.; de Lamballerie, M.; Anton, M.; Añón, M.C.; Puppo, M.C. Gelation of soybean proteins induced by sequential high-pressure and thermal treatments. Food Hydrocoll. 2009, 23, 1433–1442. [Google Scholar] [CrossRef]
- Arogundade, L.A.; Mu, T.-H.; Añón, M.C. Heat-induced gelation properties of isoelectric and ultrafiltered sweet potato protein isolate and their gel microstructure. Food Res. Int. 2012, 49, 216–225. [Google Scholar] [CrossRef]
- Pons, M.; Fiszman, S.M. Instrumental texture profile analysis with particular reference to gelled systems. J. Texture Stud. 1996, 27, 597–624. [Google Scholar] [CrossRef]
- Urbonaite, V.; van der Kaaij, S.; de Jongh, H.H.J.; Scholten, E.; Ako, K.; van der Linden, E.; Pouvreau, L. Relation between gel stiffness and water holding for coarse and fine-stranded protein gels. Food Hydrocoll. 2016, 56, 334–343. [Google Scholar] [CrossRef]
- Kocher, P.N.; Foegeding, E.A. Microcentrifuge-based method for measuring water-holding of protein gels. J. Food Sci. 1993, 58, 1040–1046. [Google Scholar] [CrossRef]
- Liu, R.; Zhao, S.; Xiong, S.; Xie, B.; Qin, L. Role of secondary structures in the gelation of porcine myosin at different pH values. Meat Sci. 2008, 80, 632–639. [Google Scholar] [CrossRef] [PubMed]
- Zhang, D.; Hamauzu, Y. Phenolics, ascorbic acid, carotenoids and antioxidant activity of broccoli and their changes during conventional and microwave cooking. Food Chem. 2004, 88, 503–509. [Google Scholar] [CrossRef]
- Hernández, Y.; Lobo, M.G.; Nica González, M. Analytical, nutritional and clinical methods determination of vitamin C in tropical fruits: A comparative evaluation of methods. Food Chem. 2006, 96, 654–664. [Google Scholar] [CrossRef]
- Odriozola-Serrano, I.; Hernández-Jover, T.; Martín-Belloso, O. Comparative evaluation of UV-HPLC methods and reducing agents to determine vitamin C in fruits. Food Chem. 2007, 105, 1151–1158. [Google Scholar] [CrossRef]
- Sharabi, S.; Okun, Z.; Shpigelman, A. Changes in the shelf life stability of riboflavin, vitamin C and antioxidant properties of milk after (ultra) high pressure homogenization: Direct and indirect effects. Innov. Food Sci. Emerg. Technol. 2018, 47, 161–169. [Google Scholar] [CrossRef]
- Fujihara, S.; Kasuga, A.; Aoyagi, Y. Nitrogen-to-protein conversion factors for common vegetables in Japan. J. Food Sci. 2001, 66, 412–415. [Google Scholar] [CrossRef]
- Ralet, M.-C.; Guéguen, J. Fractionation of potato proteins: Solubility, thermal coagulation and emulsifying properties. LWT Food Sci. Technol. 2000, 33, 380–387. [Google Scholar] [CrossRef]
- Pots, A.M.; ten Grotenhuis, E.; Gruppen, H.; Voragen, A.G.J.; de Kruif, K.G. Thermal aggregation of patatin studied in situ. J. Agric. Food Chem. 1999, 47, 4600–4605. [Google Scholar] [CrossRef]
- Angsupanich, K.; Edde, M.; Ledward, D.A. Effects of high pressure on the myofibrillar proteins of cod and turkey muscle. J. Agric. Food Chem 1998, 47, 92–99. [Google Scholar] [CrossRef]
- Heremans, K. High pressure effects on proteins and other biomolecules. Annu. Rev. Biophys. Bioeng. 1982, 11, 1–21. [Google Scholar] [CrossRef]
- Balny, C.; Mozhaev, V.V.; Lange, R. Hydrostatic pressure and proteins: Basic concepts and new data. Comp. Biochem. Physiol. Part A Physiol. 1997, 116, 299–304. [Google Scholar] [CrossRef]
- Lange, R.; Balny, C. UV-visible derivative spectroscopy under high pressure. Biochim. Biophys. Acta Protein Struct. Mol. Enzymol. 2002, 1595, 80–93. [Google Scholar] [CrossRef]
- Dumay, E.; Picart, L.; Regnault, S.; Thiebaud, M. High pressure–low temperature processing of food proteins. Biochim. Biophys. Acta Proteins Proteomics 2006, 1764, 599–618. [Google Scholar] [CrossRef] [PubMed]
- Ma, C.Y.; Harwalkar, V.R. Study of thermal denaturation of oat globulin by ultraviolet and fluorescence spectrophotometry. J. Agric. Food Chem. 1988, 36, 155–160. [Google Scholar] [CrossRef]
- Zhou, H.; Wang, C.; Ye, J.; Chen, H.; Tao, R.; Cao, F. Effects of high hydrostatic pressure treatment on structural, allergenicity, and functional properties of proteins from ginkgo seeds. Innov. Food Sci. Emerg. Technol. 2016, 34, 187–195. [Google Scholar] [CrossRef]
- Samaranayake, C.P.; Sastry, S.K. In situ measurement of pH under high pressure. J. Phys. Chem. B 2010, 114, 13326–13332. [Google Scholar] [CrossRef]
- Lam, A.C.Y.; Can Karaca, A.; Tyler, R.T.; Nickerson, M.T. Pea protein isolates: Structure, extraction, and functionality. Food Rev. Int. 2018, 34, 126–147. [Google Scholar] [CrossRef]
- Lange, R.; Bec, N.; Mozhaev, V.V.; Frank, J. Fourth derivative UV-Spectroscopy of proteins under high pressure II. Application to reversible structural changes. Eur. Biophys. J. 1996, 24, 284–292. [Google Scholar] [CrossRef]
- Ravanagh, G.M.; Ross-Murphy, S.B.; Kavanagh, G.M.; Ross-Murphy, S.B. Rheological characterization of polymer gels. Prog Polym Sci 1998, 23, 533–562. [Google Scholar] [CrossRef]
- Gunasekaran, S.; Ak, M.M. Dynamic oscillatory shear testing of foods—Selected applications. Trends Food Sci. Technol. 2000, 11, 115–127. [Google Scholar] [CrossRef]
- Renard, D.; Van de Velde, F.; Visschers, R.W. The gap between food gel structure, texture and perception. Food Hydrocoll. 2006, 20, 423–431. [Google Scholar] [CrossRef]
- Ahmed, J.; Ramaswamy, H.S.; Alli, I. Thermorheological characteristics of soybean protein isolate. J. Food Sci. 2006, 71, E158–E163. [Google Scholar] [CrossRef]
- Cordobes, F.; Partal, P.; Guerrero, A. Rheology and microstructure of heat-induced egg yolk gels. Rheol. Acta 2004, 43, 184–195. [Google Scholar] [CrossRef]
- Su, Y.; Dong, Y.; Niu, F.; Wang, C.; Liu, Y.; Yang, Y. Study on the gel properties and secondary structure of soybean protein isolate/egg white composite gels. Eur. Food Res. Technol. 2015, 240, 367–378. [Google Scholar] [CrossRef]
- Tunick, M.H. Small-strain dynamic rheology of food protein networks. J. Agric. Food Chem. 2011, 59, 1481–1486. [Google Scholar] [CrossRef] [PubMed]
- Yoon, W.B.; Gunasekaran, S.; Park, J.W. Characterization of thermorheological behavior of Alaska Pollock and Pacific Whiting Surimi. J. Food Sci. 2006, 69, 338–343. [Google Scholar] [CrossRef]
- Pots, A.M.; de Jongh, H.H.J.; Gruppen, H.; Hamer, R.J.; Voragen, A.G.J. Heat-induced conformational changes of patatin, the major potato tuber protein. Eur. J. Biochem. 1998, 252, 66–72. [Google Scholar] [CrossRef]
- Dumoulin, M.; Ozawa, S.; Hayashi, R. Textural properties of pressure-induced gels of food proteins obtained under fifferent temperatures including sub-zero. J. Food Sci. 1998, 63, 92–95. [Google Scholar] [CrossRef]
- Samaranayake, C.P.; Sastry, S.K. In-situ pH measurement of selected liquid foods under high pressure. Innov. Food Sci. Emerg. Technol. 2013, 17, 22–26. [Google Scholar] [CrossRef]
- Olsen, K.; Jespersen, B.B.; Orlien, V. Changes of pH in β-lactoglobulin and β-casein solutions during high pressure treatment. J. Spectrosc. 2015, 2015, 935901. [Google Scholar] [CrossRef]
- Orlien, V.; Olsen, K.; Skibsted, L.H. In situ measurements of pH changes in beta-lactoglobulin solutions under high hydrostatic pressure. J. Agric. Food Chem. 2007, 55, 4422–4428. [Google Scholar] [CrossRef]
- Chandra, M.V.; Shamasundar, B.A. Texture profile analysis and functional properties of gelatin from the skin of three species of fresh water fish. Int. J. Food Prop. 2015, 18, 572–584. [Google Scholar] [CrossRef]
- Zayas, J.F. Water holding capacity of proteins. In Functionality of Proteins in Food; Springer: Berlin/Heidelberg, Germany, 1997; pp. 76–127. [Google Scholar]
- Hermansson, A.M. Soy protein gelation. J. Am. Oil Chem. Soc. 1986, 63, 658–666. [Google Scholar] [CrossRef]
- Pérez-Mateos, M.; Lourenço, H.; Montero, P.; Borderías, A.J. Rheological and biochemical characteristics of high-pressure-and heat-induced gels from Blue Whiting (Micromesistius poutassou) muscle proteins. J. Agric. Food Chem. 1997, 45, 44–49. [Google Scholar] [CrossRef]
- Balasubramaniam, V.M.; Farkas, D. High-pressure food processing. Food Sci. Technol. Int. 2008, 14, 413–418. [Google Scholar] [CrossRef]
- Kalab, M.; Voisey, P.W.; Emmons, D.B. Heat-induced milk gels. II. Preparation of gels and measurement of firmness. J. Dairy Sci. 1971, 54, 178–181. [Google Scholar] [CrossRef]
- Patras, A.; Brunton, N.P.; Da Pieve, S.; Butler, F. Impact of high pressure processing on total antioxidant activity, phenolic, ascorbic acid, anthocyanin content and colour of strawberry and blackberry purées. Innov. Food Sci. Emerg. Technol. 2009, 10, 308–313. [Google Scholar] [CrossRef]







| Temp/Pressure | pH = 3 | pH = 7 | ||
|---|---|---|---|---|
| n | K [Pa] | n | K [Pa] | |
| 45 °C | 1.471 ± 0.185 a | 1.85 ± 2.34 a | ||
| 50 °C | 0.317 ± 0.021 a,D | 154.5 ± 1.3 a,D | 0.222 ± 0.024 b,E | 2167.7 ± 59.8 b,E |
| 55 °C | 0.246 ± 0.020 b,D | 1506.6 ± 118.1 b,D | 0.214 ± 0.007 b,D | 4325.1 ± 176.1 c,E |
| 60 °C | 0.185 ± 0.002 b,D | 21,037.8 ± 554.8 c,D | 0.172 ± 0.010 b,D | 12,078 ± 180.5 d,E |
| 90 °C | 0.182 ± 0.001 b,D | 18,323.1 ± 696.3 c,D | 0.169 ± 0.007 b,D | 12,105.9 ± 364.7 d,D |
| 300 MPa | 0.242 ± 0.020 b | 1932.0 ± 61.1 b | ||
| 400 MPa | 0.238 ± 0.043 b | 2624.2 ± 102.9 b | ||
| 500 MPa | 0.189 ± 0.005 b | 4698.9 ± 179.2 d | ||
© 2020 by the authors. Licensee MDPI, Basel, Switzerland. This article is an open access article distributed under the terms and conditions of the Creative Commons Attribution (CC BY) license (http://creativecommons.org/licenses/by/4.0/).
Share and Cite
Katzav, H.; Chirug, L.; Okun, Z.; Davidovich-Pinhas, M.; Shpigelman, A. Comparison of Thermal and High-Pressure Gelation of Potato Protein Isolates. Foods 2020, 9, 1041. https://doi.org/10.3390/foods9081041
Katzav H, Chirug L, Okun Z, Davidovich-Pinhas M, Shpigelman A. Comparison of Thermal and High-Pressure Gelation of Potato Protein Isolates. Foods. 2020; 9(8):1041. https://doi.org/10.3390/foods9081041
Chicago/Turabian StyleKatzav, Hadas, Libi Chirug, Zoya Okun, Maya Davidovich-Pinhas, and Avi Shpigelman. 2020. "Comparison of Thermal and High-Pressure Gelation of Potato Protein Isolates" Foods 9, no. 8: 1041. https://doi.org/10.3390/foods9081041
APA StyleKatzav, H., Chirug, L., Okun, Z., Davidovich-Pinhas, M., & Shpigelman, A. (2020). Comparison of Thermal and High-Pressure Gelation of Potato Protein Isolates. Foods, 9(8), 1041. https://doi.org/10.3390/foods9081041

