HPTLC-DESI-HRMS-Based Profiling of Anthraquinones in Complex Mixtures—A Proof-of-Concept Study Using Crude Extracts of Chilean Mushrooms
Abstract
1. Introduction
2. Materials and Methods
2.1. Reagents and Chemicals
2.2. Sampling Sites and Extraction
2.3. HPTLC
2.4. DESI-Orbitrap-MS and MS2
3. Results and Discussion
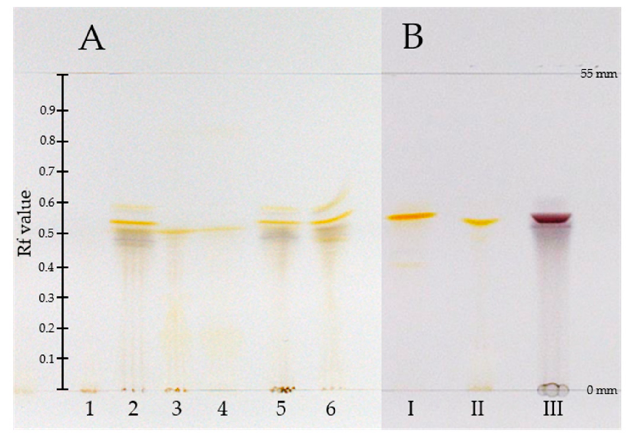
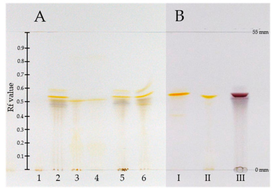
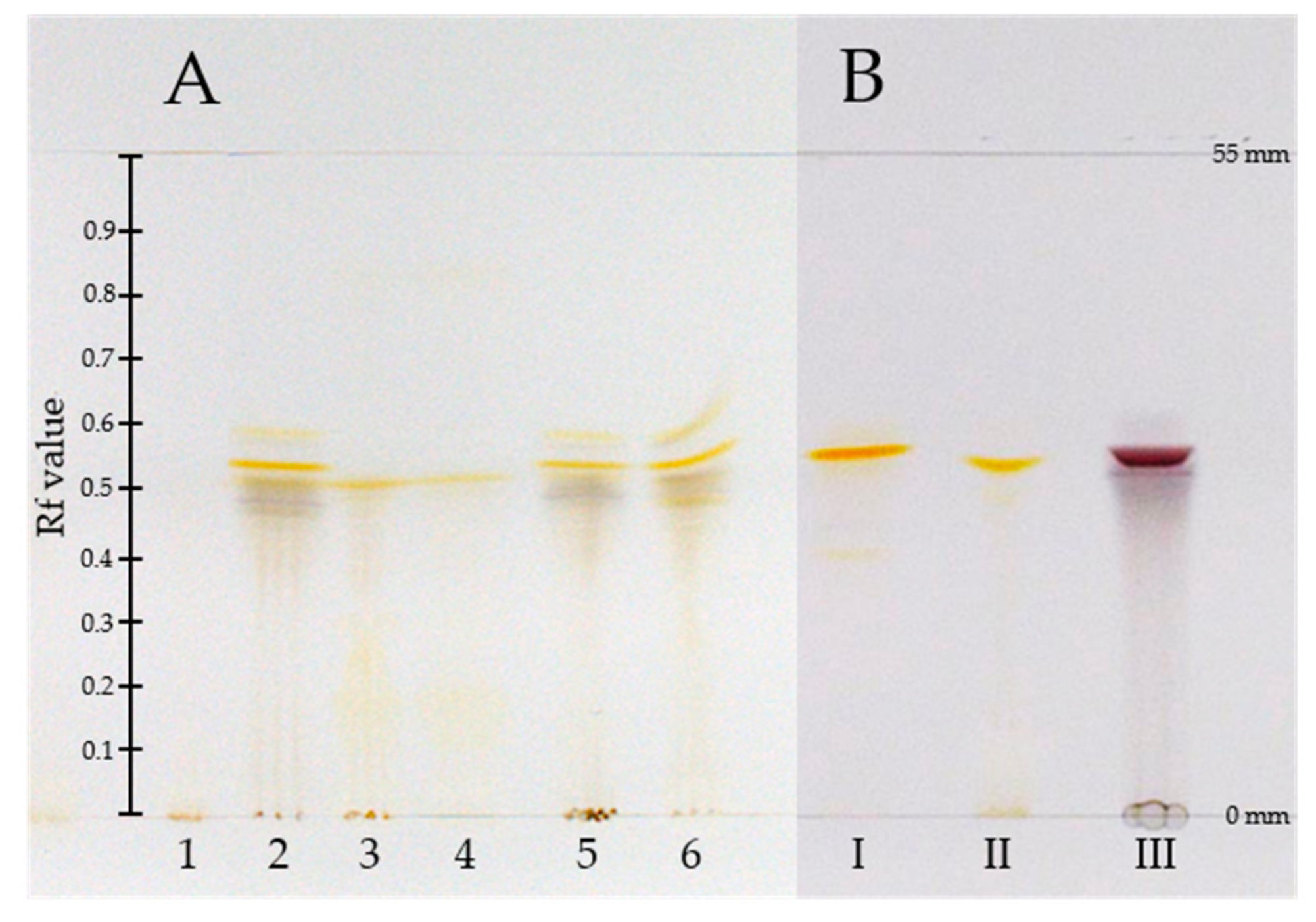
3.1. Method Development
3.2. Profiling of Anthraquinones in Crude Extracts
Rf = tR × 0.200 mm/s × 60 × 1/55 mm
3.3. Structural Characterization Using MS2 Experiments
4. Conclusions
Supplementary Materials
Author Contributions
Funding
Conflicts of Interest
References
- Thomson, R.H. Naturally Occurring Quinones IV, 4th ed.; Springer: Dordrecht, The Netherlands, 1997; pp. 309–483. [Google Scholar]
- Wakulinski, W.; Kachlicki, P.; Sobiczewski, P.; Schollenberger, M.; Zamorski, C.; Lotocka, B.; Sarova, J. Catenarin production by isolates of Pyrenophora tritici-repentis (Died.) Drechsler and its antimicrobial activity. J. Phytopathol. 2003, 151, 74–79. [Google Scholar] [CrossRef]
- Reynolds, T. Aloes—The Genus Aloe, 1st ed.; CRC Press: Boca Raton, FL, USA, 2004. [Google Scholar]
- Srinivas, G.; Babykutty, S.; Sathiadevan, P.P.; Srinivas, P. Molecular mechanism of emodin action: Transition from laxative ingredient to an antitumor agent. Med. Res. Rev. 2007, 27, 591–608. [Google Scholar] [CrossRef] [PubMed]
- Locatelli, M. Anthraquinones: Analytical techniques as a novel tool to investigate on the triggering of biological targets. Curr. Drug Targets 2011, 12, 366–380. [Google Scholar] [CrossRef] [PubMed]
- Chien, S.C.; Wu, Y.C.; Chen, Z.W.; Yang, W.C. Naturally occurring anthraquinones: Chemistry and therapeutic potential in autoimmune diabetes. Evid. Based Complement. Alternat. Med. 2015, 2015, 357357. [Google Scholar] [CrossRef]
- Duval, J.; Pecher, V.; Poujol, M.; Lesellier, E. Research advances for the extraction, analysis and uses of anthraquinones: A review. Ind. Crops Prod. 2016, 94, 812–833. [Google Scholar] [CrossRef]
- Seigler, D.S. Plant Secondary Metabolism; Springer: New York, NY, USA, 1998; p. 85. [Google Scholar]
- Gessler, N.N.; Egorova, A.S.; Belozerskaya, T.A. Fungal anthraquinones. Appl. Biochem. Microbiol. 2013, 49, 85–99. [Google Scholar] [CrossRef]
- Caro, Y.; Anamale, L.; Fouillaud, M.; Laurent, P.; Petit, T.; Dufosse, L. Natural hydroxyanthraquinoid pigments as potent food grade colorants: An overview. Nat. Prod. Bioprospect. 2012, 2, 174–193. [Google Scholar] [CrossRef]
- Fouillaud, M.; Venkatachalam, M.; Girard-Valenciennes, E.; Caro, Y.; Dufosse, L. Anthraquinones and derivatives from marine-derived fungi: Structural diversity and selected biological activities. Mar. Drugs 2016, 14, 64. [Google Scholar] [CrossRef]
- Fouillaud, M.; Caro, Y.; Venkatachalam, M.; Grondin, I.; Laurent, D. Anthraquinones. In Phenolic Compounds in Food—Characterization and Analysis; Nollet, L.M.L., Gutierrez-Uribe, J.A., Eds.; CRC Press: Boca Raton, FL, USA, 2018; pp. 130–170. [Google Scholar]
- Gill, M.; Steglich, W. Pigments of fungi (macromycetes). Progr. Chem. Org. Chem. Nat. Prod. 1987, 51, 1–317. [Google Scholar]
- Gill, M. New pigments of Cortinarius Fr. And Dermocybe (Fr.) Wünsche (Agaricales) from Australia and New Zealand. Beih. Sydowia 1995, 10, 73–87. [Google Scholar]
- Keller, G.; Moser, M.; Horak, E.; Steglich, W. Chemotaxonomic investigations of species of Dermocybe (Fr. Wünsche (Agaricales) from New zealand, Papua New Guinea and Argentina. Beih. Sydowia 1988, 10, 101–126. [Google Scholar]
- Steglich, W.; Austel, V. Die Struktur des Dermocybins und des Dermoglaucins. Tetrahedron Lett. 1966, 26, 3077–3079. [Google Scholar] [CrossRef]
- Gruber, I. Anthrachinonfarbstoffe in der Gattung Dermocybe und Versuch ihrer Auswertung für die Systematik. Zeitschr. Pilzk. 1970, 36, 95–112. [Google Scholar]
- Arnold, N.; Besl, A.; Bresinsky, A.; Kemmer, H. Notizen zur Chemotaxonomie der Gattung Dermocybe (Agaricales) und zu ihrem Vorkommen in Bayern. Z. Mykol. 1987, 53, 187–194. [Google Scholar]
- Arnold, N. Morphologisch-Anatomische und Chemische Untersuchungen an der Untergattung Telamonia (Cortinarius, Agaricales); IHW-Verlag: Eching, München, Germany, 1993. [Google Scholar]
- Jones, R.H.; May, T.W. Pigment chemistry and morphology support recognition of Cortinarius austrocinnabarinus sp. nov. (fungi: Cortinariaceae) from Australia. Muelleria 2008, 26, 77–87. [Google Scholar]
- Stefani, F.O.; Jones, R.H.; May, T.W. Concordance of seven gene genealogies compared to phenotypic data reveals multiple cryptic species in Australian dermocyboid Cortinarius (Agaricales). Mol. Phylogenet. Evol. 2014, 71, 249–260. [Google Scholar] [CrossRef] [PubMed]
- Greff, A.; Porzel, A.; Schmidt, J.; Palfner, G.; Arnold, N. Pigment pattern of the chilean mushroom Dermocybe nahuelbutensis Garrido & E. Horak. Rec. Nat. Prod. 2017, 11, 547–551. [Google Scholar]
- Shibata, S.; Takito, M.; Tanaka, O. Paper chromatography of anthraquinone pigments. J. Am. Chem. Soc. 1950, 72, 2789–2790. [Google Scholar] [CrossRef]
- Kidd, C.B.M.; Caddy, B.; Robertson, J.; Tebbett, I.R. Thin-layer chromatography as an aid for identification of Dermocybe species of Cortinarius. Trans. Br. Mycol. Soc. 1985, 85, 213–221. [Google Scholar] [CrossRef]
- Ma, X.; Chen, Y.; Hui, R. Analysis of anthraquinones in Rheum franzenbachii Münt (rhubarb) by thin-layer chromatography. Chromatographia 1989, 27, 465–466. [Google Scholar] [CrossRef]
- Räisänen, R.; Björk, H.; Hynninen, H. Two-dimensional TLC separation and mass spectrometric identification of anthraquinones isolated from the fungus Dermocybe sanguinea. Z. Naturforsch. 2000, 55c, 195–202. [Google Scholar] [CrossRef] [PubMed]
- Lin, C.-C.; Wu, C.-I.; Lin, T.-C.; Sheu, S.-J. Determination of 19 rhubarb constituents by high-performance liquid chromatography–ultraviolet–mass spectrometry. J. Sep. Sci. 2006, 29, 2584–2593. [Google Scholar] [CrossRef] [PubMed]
- Ye, M.; Han, J.; Chen, H.; Zheng, J.; Guo, D. Analysis of phenolic compounds in rhubarbs using liquid chromatography coupled with electrospray ionization mass spectrometry. J. Am. Soc. Mass. Spectrom. 2007, 18, 82–91. [Google Scholar] [CrossRef] [PubMed]
- Derksen, G.C.H.; Niederländer, H.A.G.; Van Beek, T.A. Analysis of anthraquinones in Rubia tinctorium L. by liquid chromatography coupled with diode-array UV and mass spectrometric detection. J. Chromatogr. A 2002, 978, 119–127. [Google Scholar] [CrossRef]
- Takats, Z.; Wiseman, J.M.; Gologan, B.; Cooks, R.G. Mass spectrometry sampling under ambient conditions with desorption electrospray ionization. Science 2004, 306, 471–473. [Google Scholar] [CrossRef]
- Takats, Z.; Wiseman, J.M.; Cooks, R.G. Ambient mass spectrometry using desorption electrospray ionization (DESI): Instrumentation, mechanisms and applications in forensics, chemistry, and biology. J. Mass Spectrom. 2005, 40, 1261–1275. [Google Scholar] [CrossRef]
- Cooks, R.G.; Ouyang, Z.; Takats, Z.; Wiseman, J.M. Detection technologies. Ambient mass spectrometry. Science 2006, 311, 1566–1570. [Google Scholar] [CrossRef]
- Van Berkel, G.J.; Tomkins, B.A.; Kertesz, V. Thin-layer chromatography/desorption electrospray ionization mass spectrometry: Investigation of goldenseal alkaloids. Anal. Chem. 2007, 79, 2778–2789. [Google Scholar] [CrossRef]
- Lane, A.L.; Nyadong, L.; Galhena, A.S.; Shearer, T.L.; Stout, E.P.; Parry, R.M.; Kwasnik, M.; Wang, M.D.; Fernandez, F.M.; Kubanek, J. Desorption electrospray ionization mass spectrometry reveals surface-mediated antifungal chemical defense of a tropical seaweed. PNAS 2009, 106, 7314–7319. [Google Scholar] [CrossRef]
- Nyadong, L.; Hohenstein, E.G.; Galhena, A.; Lane, A.L.; Kubanek, J.; Sherrill, C.D.; Fernandez, F.M. Reactive desorption electrospray ionization mass spectrometry (DESI-MS) of natural products of a marine alga. Anal. Bioanal. Chem. 2009, 394, 245–254. [Google Scholar] [CrossRef]
- Bagatela, B.S.; Lopes, A.P.; Cabral, E.C.; Perazzo, F.F.; Ifa, D.R. High-performance thin-layer chromatography/desorption electrospray ionization mass spectrometry imaging of the crude extract from the peels of Citrus aurantium L. (Rutaceae). Rapid Commun. Mass Spectrom. 2015, 29, 1530–1534. [Google Scholar] [CrossRef] [PubMed]
- Kennedy, J.H.; Wiseman, J.M. Direct analysis of Salvia divinorum leaves for salvinorin a by thin layer chromatography and desorption electrospray ionization multi-stage tandem mass spectrometry. Rapid Commun. Mass Spectrom. 2010, 24, 1305–1311. [Google Scholar] [CrossRef]
- Figueroa, M.; Jarmusch, A.K.; Raja, H.A.; El-Elimat, T.; Kavanaugh, J.S.; Horswill, A.R.; Cooks, R.G.; Cech, N.B.; Oberlies, N.H. Polyhydroxyanthraquinones as quorum sensing inhibitors from the guttates of Penicillium restrictum and their analysis by desorption electrospray ionization mass spectrometry. J. Nat. Prod. 2014, 77, 1351–1358. [Google Scholar] [CrossRef] [PubMed]
- Fabre, N.; Rustan, I.; De Hoffmann, E.; Quetin-Leclercq, J. Determination of flavone, flavonol, and flavanone aglycones by negative ion liquid chromatography electrospray ion trap mass spectrometry. J. Am. Soc. Mass Spectrom. 2001, 12, 707–715. [Google Scholar] [CrossRef]
- Schmidt, J. Negative ion electrospray high-resolution tandem mass spectrometry of polyphenols. J. Mass Spectrom. 2016, 51, 33–43. [Google Scholar] [CrossRef]
- Jahn, L.; Schafhauser, T.; Wibberg, D.; Ruckert, C.; Winkler, A.; Kulik, A.; Weber, T.; Flor, L.; van Pee, K.H.; Kalinowski, J.; et al. Linking secondary metabolites to biosynthesis genes in the fungal endophyte Cyanodermella asteris: The anti-cancer bisanthraquinone skyrin. J. Biotechnol. 2017, 257, 233–239. [Google Scholar] [CrossRef] [PubMed]
- Laub, A.; Sendatzki, A.-K.; Schmidt, J.; Arnold, N. Dataset: DESI-MS Data for “HPTLC-DESI-HRMS Based Profiling of Anthraquinones in Complex Mixtures—A Proof-Of-Concept Study using Crude Extracts of Chilean Mushrooms”; RADAR (Reasearch Data Repository) v1.33; RADAR: Karlsruhe, Germany, 2015. [Google Scholar] [CrossRef]




| No. | Elemental Composition [M-H]− | Theoretical m/z [M-H]− | C. (D.) austronanceiensis | C. (D.) icterina | C. (D.) icterinula | C. (D.) obscuro-olivea | C. (D.) spec. | C. (D.) viridulifolius |
|---|---|---|---|---|---|---|---|---|
| 1 | C15H9O5− | 269.0455 | + | + | + | + | + | + |
| 2 | C16H11O5− | 283.0612 | + | + | n.d. | + | + | + |
| 3 | C16H9O7− | 313.0354 | + | + | + | + | n.d. | + |
| 4 | C17H11O7− | 327.0510 | + | + | + | + | + | + |
| 5 | C30H15O8− | 503.0772 | + | n.d. | n.d. | + | n.d. | + |
| 6 | C30H17O10− | 537.0827 | + | n.d. | n.d. | + | n.d. | + |
| Compound | Rf (experimental) | tR DESI (min) | Rf (calculated) | Spot Color Visible Light | Spot Color UV Light (254 nm) | Spot Color UV Light (366 nm) |
|---|---|---|---|---|---|---|
| 1 | 0.58 | 2.57 | 0.56 | yellow | dark | orange |
| 2 | 0.54 | 2.40 | 0.52 | yellow | dark | orange |
| 3 * | 0.5 | 2.34 | 0.51 | yellow | dark | orange |
| 4 | 0.49 | 2.42 | 0.53 | yellow | dark | red |
| 5 * | 0.5 | 2.34 | 0.51 | black | dark | red |
| 6 * | 0.53 | 2.45 | 0.53 | yellow-orange | dark | red brown |
© 2020 by the authors. Licensee MDPI, Basel, Switzerland. This article is an open access article distributed under the terms and conditions of the Creative Commons Attribution (CC BY) license (http://creativecommons.org/licenses/by/4.0/).
Share and Cite
Laub, A.; Sendatzki, A.-K.; Palfner, G.; Wessjohann, L.A.; Schmidt, J.; Arnold, N. HPTLC-DESI-HRMS-Based Profiling of Anthraquinones in Complex Mixtures—A Proof-of-Concept Study Using Crude Extracts of Chilean Mushrooms. Foods 2020, 9, 156. https://doi.org/10.3390/foods9020156
Laub A, Sendatzki A-K, Palfner G, Wessjohann LA, Schmidt J, Arnold N. HPTLC-DESI-HRMS-Based Profiling of Anthraquinones in Complex Mixtures—A Proof-of-Concept Study Using Crude Extracts of Chilean Mushrooms. Foods. 2020; 9(2):156. https://doi.org/10.3390/foods9020156
Chicago/Turabian StyleLaub, Annegret, Ann-Katrin Sendatzki, Götz Palfner, Ludger A. Wessjohann, Jürgen Schmidt, and Norbert Arnold. 2020. "HPTLC-DESI-HRMS-Based Profiling of Anthraquinones in Complex Mixtures—A Proof-of-Concept Study Using Crude Extracts of Chilean Mushrooms" Foods 9, no. 2: 156. https://doi.org/10.3390/foods9020156
APA StyleLaub, A., Sendatzki, A.-K., Palfner, G., Wessjohann, L. A., Schmidt, J., & Arnold, N. (2020). HPTLC-DESI-HRMS-Based Profiling of Anthraquinones in Complex Mixtures—A Proof-of-Concept Study Using Crude Extracts of Chilean Mushrooms. Foods, 9(2), 156. https://doi.org/10.3390/foods9020156

