Lactobacillus fermentum 166, Derived from Yak Yogurt from Tibetan Areas of Sichuan, Improves High-Fat-Diet-Induced Hyperlipidemia by Modulating Gut Microbiota and Liver- and Gut-Related Pathways
Abstract
1. Introduction
2. Materials and Methods
2.1. Culture and Preparation of LF-166
2.2. Animal Experiments
2.3. Determination of Lipid Profile in Serum and Liver Tissues
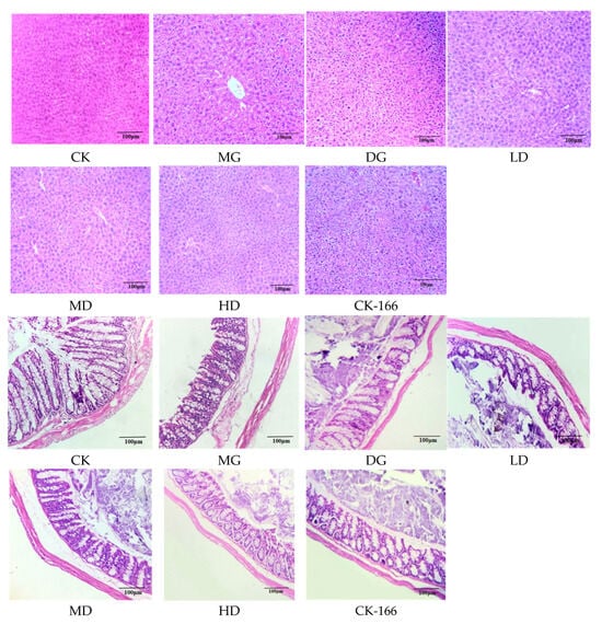
2.4. Pathological Observation of Liver Tissue and Colonic Tissue
2.5. RT-qPCR
2.6. Gut Microbiota Analysis
2.7. Statistical Analysis
3. Results
3.1. Effect of LF-166 on Growth Status and Body Weight in Mice
3.2. Organ Indices of Mice
3.3. Effect of LF-166 on Serum and Liver Lipid Level in Mice
3.4. Observation and Analysis of Liver Pathology in Mice
3.5. Effect of LF-166 on Genes Associated with Lipid Metabolism in Mice
3.6. Effect of LF-166 on the Intestinal Microbiota in Mice
4. Discussion
5. Conclusions
Supplementary Materials
Author Contributions
Funding
Institutional Review Board Statement
Informed Consent Statement
Data Availability Statement
Conflicts of Interest
Abbreviations
| TG | triglycerides |
| TC | total cholesterol |
| HDL-C | high-density lipoprotein cholesterol |
| LDL-C | low-density lipoprotein cholesterol |
| HFD | high-fat diet |
| Lxr | liver X receptors |
| C/ebpα | CCAAT Enhancer Binding Protein Alpha |
| Pparγ | Peroxisome Proliferator Activated Receptor Gamma |
| Ampk α | AMP-Activated Protein Kinase Alpha |
| Fxr | Farnesoid X Receptor |
| Srebp-1 | Sterol Regulatory Element Binding Protein 1 |
| Hsl | Hormone-sensitive lipase |
| Atgl | Adipose Triglyceride Lipase |
| Asbt | Apical Sodium-dependent Bile acid Transporter |
| Ibabp | ileum Bile Acid Binding Protein |
| Abcg5 | ATP Binding Cassette subfamily G member 5 |
| Abcg8 | ATP Binding Cassette subfamily G member 8 |
| Npc1l1 | NPC1 Like intracellular cholesterol transporter 1 |
References
- Lusis, A.J. Atherosclerosis. Nature 2000, 407, 233–241. [Google Scholar] [CrossRef] [PubMed]
- Leong, D.P.; Joseph, P.G.; McKee, M.; Anand, S.S.; Teo, K.K.; Schwalm, J.D.; Yusuf, S. Reducing the Global Burden of Cardiovascular Disease, Part 2: Prevention and Treatment of Cardiovascular Disease. Circ. Res. 2017, 121, 695–710. [Google Scholar] [CrossRef] [PubMed]
- Duong, M.; Islam, S.; Rangarajan, S.; Leong, D.; Kurmi, O.; Teo, K.; Killian, K.; Dagenais, G.; Lear, S.; Wielgosz, A.; et al. Mortality and cardiovascular and respiratory morbidity in individuals with impaired FEV1 (PURE): An international, community-based cohort study. Lancet Glob. Health 2019, 7, e613–e623. [Google Scholar] [CrossRef] [PubMed]
- Gluchowski, N.L.; Becuwe, M.; Walther, T.C.; Farese, R.V., Jr. Lipid droplets and liver disease: From basic biology to clinical implications. Nat. Rev. Gastroenterol. Hepatol. 2017, 14, 343–355. [Google Scholar] [CrossRef] [PubMed]
- Mkadem, W.; Belguith, K.; Oussaief, O.; ElHatmi, H.; Indio, V.; Savini, F.; De Cesare, A.; Boudhrioua, N. Systematic approach to select lactic acid bacteria from spontaneously fermented milk able to fight Listeria monocytogenes and Staphylococcus aureus. Food Biosci. 2023, 51, 102275. [Google Scholar] [CrossRef]
- Sittipo, P.; Lobionda, S.; Lee, Y.K.; Maynard, C.L. Intestinal microbiota and the immune system in metabolic diseases. J. Microbiol. 2018, 56, 154–162. [Google Scholar] [CrossRef]
- Miao, G.L.; Guo, J.B.; Zhang, W.X.; Lai, P.P.; Xu, Y.T.; Chen, J.X.; Zhang, L.X.; Zhou, Z.H.; Han, Y.F.; Chen, G.L.; et al. Remodeling Intestinal Microbiota Alleviates Severe Combined Hyperlipidemia-Induced Nonalcoholic Steatohepatitis and Atherosclerosis in LDLR-/- Hamsters. Research 2024, 7, 0363. [Google Scholar] [CrossRef]
- Fan, X.Y.; Zhang, Q.; Guo, W.L.; Wu, Q.; Hu, J.P.; Cheng, W.J.; Lue, X.C.; Rao, P.F.; Ni, L.; Chen, Y.T.; et al. The protective effects of Levilactobacillus brevis FZU0713 on lipid metabolism and intestinal microbiota in hyperlipidemic rats. Food Sci. Hum. Wellness 2023, 12, 1646–1659. [Google Scholar] [CrossRef]
- Li, H.; Ma, Y.; Li, Q.; Wang, J.; Cheng, J.; Xue, J.; Shi, J. The chemical composition and nitrogen distribution of Chinese yak (Maiwa) milk. Int. J. Mol. Sci. 2011, 12, 4885–4895. [Google Scholar] [CrossRef]
- Feng, F.; Yang, G.; Ma, X.; Zhang, J.; Huang, C.; Ma, X.; La, Y.; Yan, P.; Zhandui, P.; Liang, C. Polymorphisms within the PRKG1 Gene of Gannan Yaks and Their Association with Milk Quality Characteristics. Foods 2024, 13, 1913. [Google Scholar] [CrossRef]
- Zhu, K.; Tan, F.; Mu, J.; Yi, R.; Zhou, X.; Zhao, X. Anti-Obesity Effects of Lactobacillus fermentum CQPC05 Isolated from Sichuan Pickle in High-Fat Diet-Induced Obese Mice through PPAR-α Signaling Pathway. Microorganisms 2019, 7, 194. [Google Scholar] [CrossRef] [PubMed]
- Qian, Y.; Song, J.-L.; Yi, R.; Li, G.; Sun, P.; Zhao, X.; Huo, G. Preventive effects of Lactobacillus plantarum YS4 on constipation induced by activated carbon in mice. Appl. Sci. 2018, 8, 363. [Google Scholar] [CrossRef]
- Liu, Z.; Zhao, J.; Sun, R.; Wang, M.; Wang, K.; Li, Y.; Shang, H.; Hou, J.; Jiang, Z. Lactobacillus plantarum 23-1 improves intestinal inflammation and barrier function through the TLR4/NF-κB signaling pathway in obese mice. Food Funct. 2022, 13, 5971–5986. [Google Scholar] [CrossRef]
- Lu, Y.; Sun, W.; Zhang, Z.; Yu, J.; Zhang, J.; Guo, Q. Lactiplantibacillus plantarum A5 alleviates high-fat diet-induced hyperlipidemia via regulating gut microbiota to promote short-chain fatty acids production. Food Biosci. 2025, 64, 105848. [Google Scholar] [CrossRef]
- Qu, L.L.; Yu, B.; Li, Z.; Jiang, W.X.; Jiang, J.D.; Kong, W.J. Gastrodin Ameliorates Oxidative Stress and Proinflammatory Response in Nonalcoholic Fatty Liver Disease through the AMPK/Nrf2 Pathway. Phytother. Res. 2016, 30, 402–411. [Google Scholar] [CrossRef]
- Zhong, Y.; Zhang, X.; Hu, X.; Li, Y. Effects of Repeated Lipopolysaccharide Treatment on Growth Performance, Immune Organ Index, and Blood Parameters of Sprague-Dawley Rats. J. Vet. Res. 2018, 62, 341–346. [Google Scholar] [CrossRef]
- Teng, Y.; Wang, Y.; Tian, Y.; Chen, Y.-y.; Guan, W.-y.; Piao, C.-h.; Wang, Y.-h. Lactobacillus plantarum LP104 ameliorates hyperlipidemia induced by AMPK pathways in C57BL/6N mice fed high-fat diet. J. Funct. Foods 2020, 64, 103665. [Google Scholar] [CrossRef]
- Chen, Q.-Q.; Liu, K.; Shi, N.; Ma, G.; Wang, P.; Xie, H.-M.; Jin, S.-J.; Wei, T.-T.; Yu, X.-Y.; Wang, Y.; et al. Neuraminidase 1 promotes renal fibrosis development in male mice. Nat. Commun. 2023, 14, 1713. [Google Scholar] [CrossRef]
- Quiroz-Figueroa, K.; Vitali, C.; Conlon, D.M.; Millar, J.S.; Tobias, J.W.; Bauer, R.C.; Hand, N.J.; Rader, D.J. TRIB1 regulates LDL metabolism through CEBPα-mediated effects on the LDL receptor in hepatocytes. J. Clin. Investig. 2021, 131, e146775. [Google Scholar] [CrossRef]
- Hildebrandt, M.A.; Hoffmann, C.; Sherrill-Mix, S.A.; Keilbaugh, S.A.; Hamady, M.; Chen, Y.Y.; Knight, R.; Ahima, R.S.; Bushman, F.; Wu, G.D. High-fat diet determines the composition of the murine gut microbiome independently of obesity. Gastroenterology 2009, 137, 1716–1724.e2. [Google Scholar] [CrossRef]
- Geng, J.; Zhang, X.; Guo, Y.; Wen, H.; Guo, D.; Liang, Q.; Pu, S.; Wang, Y.; Liu, M.; Li, Z.; et al. Moderate-intensity interval exercise exacerbates cardiac lipotoxicity in high-fat, high-calories diet-fed mice. Nat. Commun. 2025, 16, 613. [Google Scholar] [CrossRef] [PubMed]
- Liu, H.; Pathak, P.; Boehme, S.; Chiang, J.L. Cholesterol 7α-hydroxylase protects the liver from inflammation and fibrosis by maintaining cholesterol homeostasis. J. Lipid Res. 2016, 57, 1831–1844. [Google Scholar] [CrossRef] [PubMed]
- Wang, B.; Tontonoz, P. Liver X receptors in lipid signalling and membrane homeostasis. Nat. Rev. Endocrinol. 2018, 14, 452–463. [Google Scholar] [CrossRef] [PubMed]
- Chen, Z.; Shao, W.; Li, Y.; Zhang, X.; Geng, Y.; Ma, X.; Tao, B.; Ma, Y.; Yi, C.; Zhang, B.; et al. Inhibition of PCSK9 prevents and alleviates cholesterol gallstones through PPARα-mediated CYP7A1 activation. Metabolism 2024, 152, 155774. [Google Scholar] [CrossRef] [PubMed]
- Jiang, B.; Yuan, G.; Wu, J.; Wu, Q.; Li, L.; Jiang, P. Prevotella copri ameliorates cholestasis and liver fibrosis in primary sclerosing cholangitis by enhancing the FXR signalling pathway. Biochim. Biophys. Acta Mol. Basis Dis. 2022, 1868, 166320. [Google Scholar] [CrossRef] [PubMed]
- Jin, M.; Shen, Y.; Pan, T.; Zhu, T.; Li, X.; Xu, F.; Betancor, M.B.; Jiao, L.; Tocher, D.R.; Zhou, Q. Dietary Betaine Mitigates Hepatic Steatosis and Inflammation Induced by a High-Fat-Diet by Modulating the Sirt1/Srebp-1/Pparɑ Pathway in Juvenile Black Seabream (Acanthopagrus schlegelii). Front. Immunol. 2021, 12, 694720. [Google Scholar] [CrossRef]
- Horton, J.D.; Goldstein, J.L.; Brown, M.S. SREBPs: Activators of the complete program of cholesterol and fatty acid synthesis in the liver. J. Clin. Investig. 2002, 109, 1125–1131. [Google Scholar] [CrossRef]
- Janani, C.; Ranjitha Kumari, B.D. PPAR gamma gene—A review. Diabetes Metab. Syndr. 2015, 9, 46–50. [Google Scholar] [CrossRef]
- Choi, J.S.; Kim, J.H.; Ali, M.Y.; Min, B.S.; Kim, G.D.; Jung, H.A. Coptis chinensis alkaloids exert anti-adipogenic activity on 3T3-L1 adipocytes by downregulating C/EBP-α and PPAR-γ. Fitoterapia 2014, 98, 199–208. [Google Scholar] [CrossRef]
- Braissant, O.; Foufelle, F.; Scotto, C.; Dauça, M.; Wahli, W. Differential expression of peroxisome proliferator-activated receptors (PPARs): Tissue distribution of PPAR-alpha, -beta, and -gamma in the adult rat. Endocrinology 1996, 137, 354–366. [Google Scholar] [CrossRef]
- Janssen, A.W.; Betzel, B.; Stoopen, G.; Berends, F.J.; Janssen, I.M.; Peijnenburg, A.A.; Kersten, S. The impact of PPARα activation on whole genome gene expression in human precision cut liver slices. BMC Genom. 2015, 16, 760. [Google Scholar] [CrossRef] [PubMed]
- Altmann, S.W.; Davis, H.R., Jr.; Zhu, L.J.; Yao, X.; Hoos, L.M.; Tetzloff, G.; Iyer, S.P.; Maguire, M.; Golovko, A.; Zeng, M.; et al. Niemann-Pick C1 Like 1 protein is critical for intestinal cholesterol absorption. Science 2004, 303, 1201–1204. [Google Scholar] [CrossRef] [PubMed]
- Jia, L.; Betters, J.L.; Yu, L. Niemann-pick C1-like 1 (NPC1L1) protein in intestinal and hepatic cholesterol transport. Annu. Rev. Physiol. 2011, 73, 239–259. [Google Scholar] [CrossRef] [PubMed]
- Yang, C.; Yu, L.; Li, W.; Xu, F.; Cohen, J.C.; Hobbs, H.H. Disruption of cholesterol homeostasis by plant sterols. J. Clin. Investig. 2004, 114, 813–822. [Google Scholar] [CrossRef]
- Kawase, A.; Hata, S.; Takagi, M.; Iwaki, M. Pravastatin Modulate Niemann-Pick C1-Like 1 and ATP-Binding Cassette G5 and G8 to Influence Intestinal Cholesterol Absorption. J. Pharm. Pharm. Sci. 2015, 18, 765–772. [Google Scholar] [CrossRef]
- Out, C.; Patankar, J.V.; Doktorova, M.; Boesjes, M.; Bos, T.; de Boer, S.; Havinga, R.; Wolters, H.; Boverhof, R.; van Dijk, T.H.; et al. Gut microbiota inhibit Asbt-dependent intestinal bile acid reabsorption via Gata4. J. Hepatol. 2015, 63, 697–704. [Google Scholar] [CrossRef]
- Hoang, M.H.; Houng, S.J.; Jun, H.J.; Lee, J.H.; Choi, J.W.; Kim, S.H.; Kim, Y.R.; Lee, S.J. Barley intake induces bile acid excretion by reduced expression of intestinal ASBT and NPC1L1 in C57BL/6J mice. J. Agric. Food Chem. 2011, 59, 6798–6805. [Google Scholar] [CrossRef]
- Yu, L.; Li-Hawkins, J.; Hammer, R.E.; Berge, K.E.; Horton, J.D.; Cohen, J.C.; Hobbs, H.H. Overexpression of ABCG5 and ABCG8 promotes biliary cholesterol secretion and reduces fractional absorption of dietary cholesterol. J. Clin. Investig. 2002, 110, 671–680. [Google Scholar] [CrossRef]
- Cresci, G.A.; Bawden, E. Gut Microbiome: What We Do and Don’t Know. Nutr. Clin. Pract. 2015, 30, 734–746. [Google Scholar] [CrossRef]
- Murphy, E.F.; Cotter, P.D.; Healy, S.; Marques, T.M.; O’Sullivan, O.; Fouhy, F.; Clarke, S.F.; O’Toole, P.W.; Quigley, E.M.; Stanton, C.; et al. Composition and energy harvesting capacity of the gut microbiota: Relationship to diet, obesity and time in mouse models. Gut 2010, 59, 1635–1642. [Google Scholar] [CrossRef]
- Nguyen, T.L.; Vieira-Silva, S.; Liston, A.; Raes, J. How informative is the mouse for human gut microbiota research? Dis. Model. Mech. 2015, 8, 1–16. [Google Scholar] [CrossRef] [PubMed]










| Gene Name | Sequence (5′-3′) | Temperature (°C) |
|---|---|---|
| Asbt | F:5′-GTAGGGGATCACAATCGTTCCT-3′ | 54.7 |
| R:5′-ATAGCTTGGTCGTGGAGGTCACT-3′ | 56.9 | |
| Ibabp | F:5′-CAGACTTCCCCAACTATCACCAG-3′ | 56.9 |
| R:5′-TCAAGCCACCCTCTTGCTTAC-3′ | 54.2 | |
| Npc1l1 | F:5′-CCCCAAACTCCCTCATAAGCA-3′ | 54.2 |
| R:5′-TATCCCCCAACAGCAAGGAAG-3′ | 54.2 | |
| Abcg5 | F:5′-TTGGCCCCTCACTTAATTGGA-3′ | 52.2 |
| R:5′-GGACCATACCAAGCAGCACAAG-3′ | 56.5 | |
| Abcg8 | F:5′-ACTGCCATGGACCTGAACTCA-3′ | 54.2 |
| R:5′-GCTGATGCCAATGACGATGA-3′ | 51.6 | |
| Atgl | F:5′-GGATGGCGGCATTTCAGACA-3′ | 62.9 |
| R:5′-CAAAGGGTTGGGTTGGTTCAG-3′ | 61.3 | |
| Hsl | F:5′-CCAGCCTGAGGGCTTACTG-3′ | 61.7 |
| R:5′-CTCCATTGACTGTGACATCTCG-3′ | 60.4 | |
| Srebp1 | F:5′-GATGTGCGAACTGGACACAG-3′ | 61.0 |
| R:5′-CATAGGGGGCGTCAAACAG-3′ | 60.2 | |
| Fxr | F:5′-GCTAAGGAAGTGCAGAGAGATGG-3′ | 56.9 |
| R:5′-ATAGCTTGGTCGTGGAGGTCACT-3′ | 56.9 | |
| Ampkα | F:5′-ACCTGAGAACGTCCTGCTTG-3′ | 53.7 |
| R:5′-GGCCTGCGTACAATCTTCCT-3′ | 53.7 | |
| Pparγ | F:5′-GGAGCCTAAGTTTGAGTTTGCTGTG-3′ | 57.5 |
| R:5′-TGCAGCAGGTTGTCTTGGATG-3′ | 54.2 | |
| C/ebpα | F:5′-TGCTGGAGTTGACCAGTGACAA-3′ | 54.7 |
| R:5′-AAACCATCCTCTGGGTCTCC-3′ | 53.7 | |
| Lxr | F:5′-CATCAAGGGAGCACGCTACATT-3′ | 54.7 |
| R:5′-GCATTTGCGAAGGCGACAC-3′ | 53.1 | |
| β-actin | F:5′-ACGGTCAGGTCATCACTATCG-3′ | 54.2 |
| R:5′-GGCATAGAGGTCTTTACGGATG-3′ | 54.7 |
| Group | Liver Index | Epididymal Adipose Index | Perirenal Adipose Index |
|---|---|---|---|
| CK | 40.17 ± 0.22 d | 15.45 ± 0.67 c | 5.59 ± 1.00 c |
| MG | 50.65 ± 0.61 a | 25.43 ± 1.38 a | 8.97 ± 0.77 a |
| DG | 42.09 ± 0.84 cd | 15.46 ± 1.04 c | 6.98 ± 0.56 bc |
| LD | 44.65 ± 1.39 b | 19.21 ± 1.00 b | 7.61 ± 1.17 ab |
| MD | 42.47 ± 1.35 c | 16.44 ± 1.81 c | 6.53 ± 0.68 bc |
| HD | 41.10 ± 0.70 cd | 14.51 ± 0.35 c | 5.32 ± 0.46 c |
| CK-166 | 40.31 ± 0.34 d | 15.44 ± 0.67 c | 5.65 ± 0.99 c |
Disclaimer/Publisher’s Note: The statements, opinions and data contained in all publications are solely those of the individual author(s) and contributor(s) and not of MDPI and/or the editor(s). MDPI and/or the editor(s) disclaim responsibility for any injury to people or property resulting from any ideas, methods, instructions or products referred to in the content. |
© 2025 by the authors. Licensee MDPI, Basel, Switzerland. This article is an open access article distributed under the terms and conditions of the Creative Commons Attribution (CC BY) license (https://creativecommons.org/licenses/by/4.0/).
Share and Cite
Zhang, S.; Xu, L.; Zhu, C.; Li, J.; Fu, Y.; Shuang, W.; Chen, L. Lactobacillus fermentum 166, Derived from Yak Yogurt from Tibetan Areas of Sichuan, Improves High-Fat-Diet-Induced Hyperlipidemia by Modulating Gut Microbiota and Liver- and Gut-Related Pathways. Foods 2025, 14, 867. https://doi.org/10.3390/foods14050867
Zhang S, Xu L, Zhu C, Li J, Fu Y, Shuang W, Chen L. Lactobacillus fermentum 166, Derived from Yak Yogurt from Tibetan Areas of Sichuan, Improves High-Fat-Diet-Induced Hyperlipidemia by Modulating Gut Microbiota and Liver- and Gut-Related Pathways. Foods. 2025; 14(5):867. https://doi.org/10.3390/foods14050867
Chicago/Turabian StyleZhang, Shiqi, Limei Xu, Chenglin Zhu, Jing Li, Yu Fu, Weiming Shuang, and Lianhong Chen. 2025. "Lactobacillus fermentum 166, Derived from Yak Yogurt from Tibetan Areas of Sichuan, Improves High-Fat-Diet-Induced Hyperlipidemia by Modulating Gut Microbiota and Liver- and Gut-Related Pathways" Foods 14, no. 5: 867. https://doi.org/10.3390/foods14050867
APA StyleZhang, S., Xu, L., Zhu, C., Li, J., Fu, Y., Shuang, W., & Chen, L. (2025). Lactobacillus fermentum 166, Derived from Yak Yogurt from Tibetan Areas of Sichuan, Improves High-Fat-Diet-Induced Hyperlipidemia by Modulating Gut Microbiota and Liver- and Gut-Related Pathways. Foods, 14(5), 867. https://doi.org/10.3390/foods14050867

