A Comparison of the Structural Changes and IgG Immunobinding Activity of Parvalbumin in Salangid Icefish (Neosalanx taihuensis) After Glycation and Ultra-High Pressure Treatment
Abstract
1. Introduction
2. Material and Methods
2.1. Materials
2.2. Extraction of PV
2.3. Glycation
2.4. UHP Treatment
2.5. SDS-PAGE Analysis
2.6. Western Blot Analysis
2.7. Identification by Mass Spectrometry (MS)
2.8. Analysis of the Glycation PV’s Browning Intensity
2.9. Analysis of the Glycation Degree of PV
2.10. Ultraviolet (UV) Absorption Spectroscopy Analysis
2.11. CD Spectroscopy Analysis
2.12. Fluorescence Spectroscopy Analysis
2.13. Surface Hydrophobicity
2.14. Statistical Analysis
3. Results and Discussion
3.1. Analysis of Protein Composition During Extraction
3.2. Identification of PV
3.3. Analysis of Glycation PV Characteristics
3.4. Analysis of CD Spectroscopy
3.5. Intrinsic Fluorescence Properties of PV
3.6. Analysis of Surface Hydrophobicity
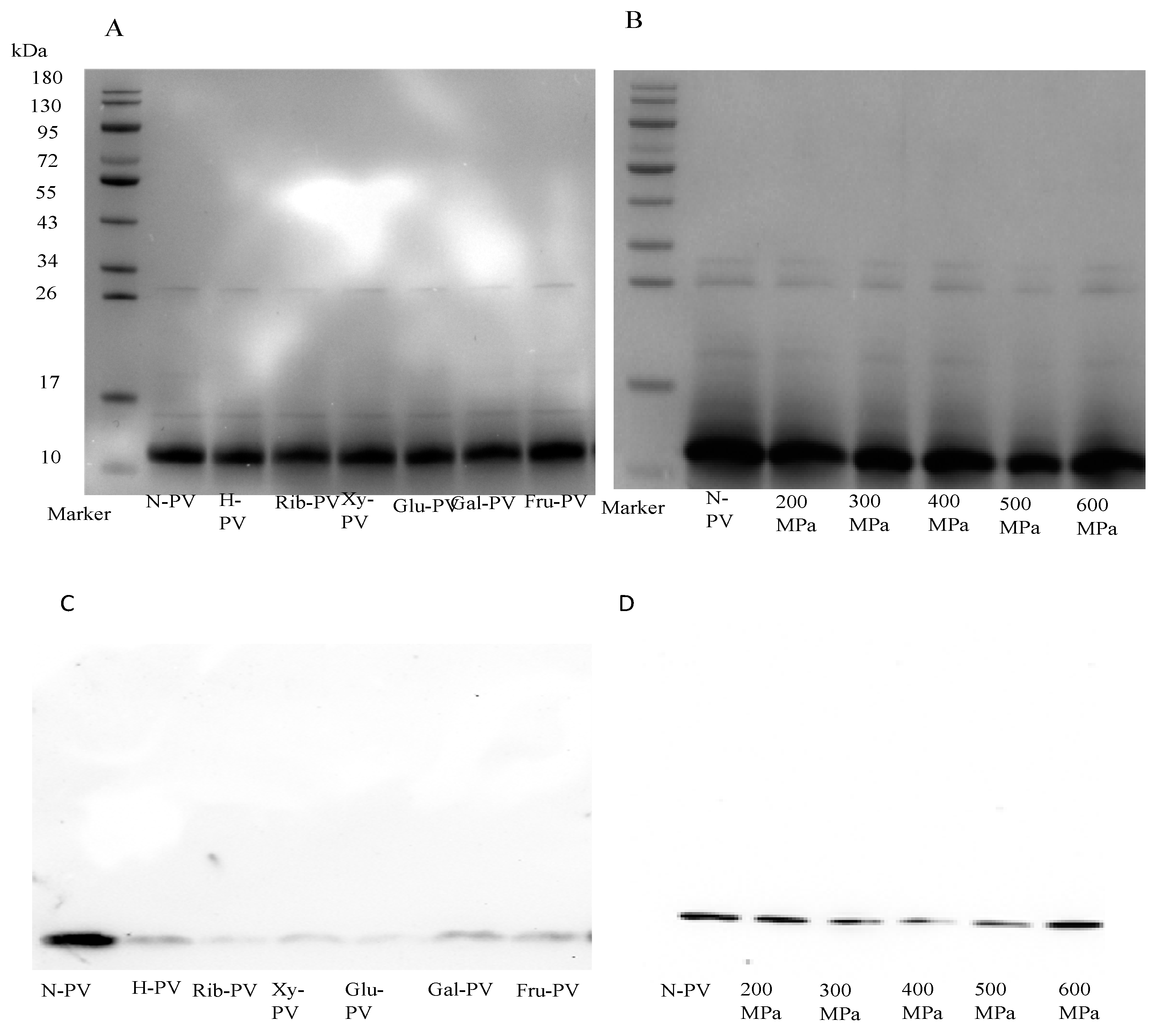
3.7. The Changes of Molecular Weight and Immunobinding Activity of PV
4. Conclusions
Supplementary Materials
Author Contributions
Funding
Institutional Review Board Statement
Data Availability Statement
Acknowledgments
Conflicts of Interest
References
- Rivas, M.N.; Chatila, T.A. Regulatory T cells in allergic diseases. J. Allergy Clin. Immunol. 2016, 138, 639–652. [Google Scholar] [CrossRef]
- Pawankar, R.; Canonica, G.W.; Holgate, S.T.; Lockey, R.F.; Blaiss, M.S. WAO White Book on Allergy: Update 2013; World Allergy Organization: Milwaukee, WI, USA, 2013. [Google Scholar]
- Dhruve, D.; Ratrey, V.P.; Lowanshi, A.; Chandravanshi, S.; Kashyap, N.; Pandey, S. Comprehensive Review of Seafood Allergens: Regulations, Detection Methods, and Implications for Public Health. J. Aquat. Food Prod. Technol. 2024, 33, 328–341. [Google Scholar] [CrossRef]
- Gupta, R.S.; Warren, C.M.; Smith, B.M.; Blumenstock, J.A.; Jiang, J.; Davis, M.M.; Nadeau, K.C. The Public Health Impact of Parent-Reported Childhood Food Allergies in the United States. Pediatrics 2018, 142, e20181235. [Google Scholar] [CrossRef] [PubMed]
- Gupta, R.S.; Warren, C.M.; Smith, B.M.; Jiang, J.; Blumenstock, J.A.; Davis, M.M.; Schleimer, R.P.; Nadeau, K.C. Prevalence and Severity of Food Allergies Among US Adults. JAMA Netw. Open 2019, 2, e185630. [Google Scholar] [CrossRef] [PubMed]
- Ben-Shoshan, M.; Harrington, D.W.; Soller, L.; Fragapane, J.; Joseph, L.; St Pierre, Y.; Godefroy, S.B.; Elliot, S.J.; Clarke, A.E. A population-based study on peanut, tree nut, fish, shellfish, and sesame allergy prevalence in Canada. J. Allergy Clin. Immunol. 2010, 125, 1327–1335. [Google Scholar] [CrossRef] [PubMed]
- Grabenhenrich, L.; Trendelenburg, V.; Bellach, J.; Yürek, S.; Reich, A.; Fiandor, A.; Rivero, D.; Sigurdardottir, S.; Clausen, M.; Papadopoulos, N.G.; et al. Frequency of food allergy in school-aged children in eight European countries—The EuroPrevall-iFAAM birth cohort. Allergy 2020, 75, 2294–2308. [Google Scholar] [CrossRef]
- Le, T.T.K.; Nguyen, D.H.; Vu, A.T.L.; Ruethers, T.; Taki, A.C.; Lopata, A.L.; Koplin, J. A cross-sectional, population-based study on the prevalence of food allergies among children in two different socio-economic regions of Vietnam. Pediatr. Allergy Immunol. 2019, 30, 348–355. [Google Scholar] [CrossRef]
- Le, T.T.K.; Tran, T.T.B.; Ho, H.T.M.; Vu, A.T.L.; McBryde, E.; Lopata, A.L. The predominance of seafood allergy in Vietnamese adults: Results from the first population-based questionnaire survey. World Allergy Organ. J. 2020, 13, 100102. [Google Scholar] [CrossRef]
- Kuehn, A.; Swoboda, I.; Arumugam, K.; Hilger, C.; Hentges, F. Fish allergens at a glance: Variable allergenicity of parvalbumins, the major fish allergens. Front. Immunol. 2014, 5, 179. [Google Scholar] [CrossRef]
- Brownridge, P.; de Mello, L.V.; Peters, M.; McLean, L.; Claydon, A.; Cossins, A.R.; Whitfield, P.D.; Young, I.S. Regional variation in parvalbumin isoform expression correlates with muscle performance in common carp (Cyprinus carpio). J. Exp. Biol. 2009, 212, 184–193. [Google Scholar] [CrossRef]
- Coughlin, D.J.; Solomon, S.; Wilwert, J.L. Parvalbumin expression in trout swimming muscle correlates with relaxation rate. Comp. Biochem. Physiol. Part A Mol. Integr. Physiol. 2007, 147, 1074–1082. [Google Scholar] [CrossRef] [PubMed]
- Arif, S.H.; Jabeen, M.; Hasnain, A.-U. Biochemical Characterization and Thermostable Capacity of Parvalbumins: The Major Fish-Food Allergens. J. Food Biochem. 2007, 31, 121–137. [Google Scholar] [CrossRef]
- Lewit-Bentley, A.; Réty, S. EF-hand calcium-binding proteins. Curr. Opin. Struct. Biol. 2000, 10, 637–643. [Google Scholar] [CrossRef] [PubMed]
- Day, I.S.; Reddy, V.S.; Ali, G.S.; Reddy, A. Analysis of EF-hand-containing proteins in Arabidopsis. Genome Biol. 2002, 3, research0056.1. [Google Scholar] [CrossRef] [PubMed]
- Griesmeier, U.; Vázquez-Cortés, S.; Bublin, M.; Radauer, C.; Ma, Y.; Briza, P.; Fernández-Rivas, M.; Breiteneder, H. Expression levels of parvalbumins determine allergenicity of fish species. Allergy 2010, 65, 191–198. [Google Scholar] [CrossRef]
- Saptarshi, S.R.; Sharp, M.F.; Kamath, S.D.; Lopata, A.L. Antibody reactivity to the major fish allergen parvalbumin is determined by isoforms and impact of thermal processing. Food Chem. 2014, 148, 321–328. [Google Scholar] [CrossRef]
- Bugajska-Schretter, A.; Elfman, L.; Fuchs, T.; Kapiotis, S.; Rumpold, H.; Valenta, R.; Spitzauer, S. Parvalbumin, a cross-reactive fish allergen, contains IgE-binding epitopes sensitive to periodate treatment and Ca2+ depletion. J. Allergy Clin. Immunol. 1998, 101, 67–74. [Google Scholar] [CrossRef]
- Sharp, M.F.; Stephen, J.N.; Kraft, L.; Weiss, T.; Kamath, S.D.; Lopata, A.L. Immunological cross-reactivity between four distant parvalbumins—Impact on allergen detection and diagnostics. Mol. Immunol. 2015, 63, 437–448. [Google Scholar] [CrossRef]
- Pi, X.; Sun, Y.; Fu, G.; Wu, Z.; Cheng, J. Effect of processing on soybean allergens and their allergenicity. Trends Food Sci. Technol. 2021, 118, 316–327. [Google Scholar] [CrossRef]
- Li, K.; Wang, J.; Zhao, P.; Julian McClements, D.; Liu, X.; Liu, F. Effect of ultrasound-assisted Maillard reaction on glycosylation of goat whey protein: Structure and functional properties. Food Chem. 2024, 441, 138292. [Google Scholar] [CrossRef]
- Li, X.; Deng, Y.; Qiu, W.; Feng, Y.; Jin, Y.; Chen, L.; Li, L.; Wang, A.L.; Tao, N.; Jin, Y. Effects of different ohmic heating treatments on parvalbumin structure and reduction of allergenicity in Japanese eel (Anguilla japonica). Food Chem. 2024, 432, 137257. [Google Scholar] [CrossRef] [PubMed]
- Liu, Z. The introduction of icefish, Neosalanx taihuensis Chen, in China with special reference to the subtropical lakes of the Yunnan Plateau (southwest China). SIL Proc. 1922–2010 2001, 27, 3877–3880. [Google Scholar] [CrossRef]
- Dasanayaka, B.P.; Wang, H.; Li, Z.; Yu, M.; Ahmed, A.M.M.; Zhang, Z.; Lin, H.; Wang, X. Evaluating the effects of processing on antigenicity and immunochemical detectability of fish proteins by ELISA. J. Food Compos. Anal. 2022, 112, 104690. [Google Scholar] [CrossRef]
- de Jongh, H.H.J.; Robles, C.L.; Timmerman, E.; Nordlee, J.A.; Lee, P.-W.; Baumert, J.L.; Hamilton, R.G.; Taylor, S.L.; Koppelman, S.J. Digestibility and IgE-Binding of Glycosylated Codfish Parvalbumin. BioMed Res. Int. 2013, 2013, 756789. [Google Scholar] [CrossRef]
- Wang, J.; Pei, X.; Liu, H.; Zhou, D. Extraction and characterization of acid-soluble and pepsin-soluble collagen from skin of loach (Misgurnus anguillicaudatus). Int. J. Biol. Macromol. 2018, 106, 544–550. [Google Scholar] [CrossRef]
- Ajandouz, E.H.; Tchiakpe, L.S.; Ore, F.D.; Benajiba, A.; Puigserver, A. Effects of pH on Caramelization and Maillard Reaction Kinetics in Fructose-Lysine Model Systems. J. Food Sci. 2001, 66, 926–931. [Google Scholar] [CrossRef]
- Li, Z.; Jiang, H.; Guo, M.; Zhang, Z.; You, X.; Wang, X.; Ma, M.; Zhang, X.; Wang, C. Effect of various oligosaccharides on casein solubility and other functional properties: Via Maillard reaction. Int. J. Biol. Macromol. 2024, 259, 129148. [Google Scholar] [CrossRef] [PubMed]
- Vissers, Y.M.; Iwan, M.; Adel-Patient, K.; Stahl Skov, P.; Rigby, N.M.; Johnson, P.E.; Mandrup Müller, P.; Przybylski-Nicaise, L.; Schaap, M.; Ruinemans-Koerts, J.; et al. Effect of roasting on the allergenicity of major peanut allergens Ara h 1 and Ara h 2/6: The necessity of degranulation assays. Clin. Exp. Allergy 2011, 41, 1631–1642. [Google Scholar] [CrossRef]
- Wang, K.; Li, Y.; Zhang, Y.; Huang, M.; Xu, X.; Ho, H.; Huang, H.; Sun, J. Improving physicochemical properties of myofibrillar proteins from wooden breast of broiler by diverse glycation strategies. Food Chem. 2022, 382, 132328. [Google Scholar] [CrossRef]
- Fu, L.; Wang, C.; Wang, J.; Ni, S.; Wang, Y. Maillard reaction with ribose, galacto-oligosaccharide or chitosan-oligosaccharide reduced the allergenicity of shrimp tropomyosin by inducing conformational changes. Food Chem. 2019, 274, 789–795. [Google Scholar] [CrossRef]
- Gao, P.; Zhang, W.; Zhao, X.; Xu, C.; Pang, X.; Fauconnier, M.-L.; Zhang, S.; Lv, J. The effect of Maillard reaction on flavour development of protein hydrolysates from cheese. Food Chem. 2024, 437, 137569. [Google Scholar] [CrossRef] [PubMed]
- Zhao, Y.-J.; Cai, Q.-F.; Jin, T.-C.; Zhang, L.-J.; Fei, D.-X.; Liu, G.-M.; Cao, M.-J. Effect of Maillard reaction on the structural and immunological properties of recombinant silver carp parvalbumin. LWT 2017, 75, 25–33. [Google Scholar] [CrossRef]
- Wu, Y.; Lu, Y.; Huang, Y.; Lin, H.; Chen, G.; Chen, Y.; Li, Z. Glycosylation reduces the allergenicity of turbot (Scophthalmus maximus) parvalbumin by regulating digestibility, cellular mediators release and Th1/Th2 immunobalance. Food Chem. 2022, 382, 132574. [Google Scholar] [CrossRef] [PubMed]
- Shiomi, K.; Hayashi, S.; Ishikawa, M.; Shimakura, K.; Nagashima, Y. Identification of Parvalbumin as an Allergen in Horse Mackerel Muscle. Fish. Sci. 1998, 64, 300–304. [Google Scholar] [CrossRef]
- Hamada, Y.; Tanaka, H.; Ishizaki, S.; Ishida, M.; Nagashima, Y.; Shiomi, K. Purification, reactivity with IgE and cDNA cloning of parvalbumin as the major allergen of mackerels. Food Chem. Toxicol. 2003, 41, 1149–1156. [Google Scholar] [CrossRef]
- Doa, T.V.; Hordvikb, I.; Endresenb, C.; Elsayeda, S. Characterization of parvalbumin, the major allergen in Alaska pollack, and comparison with codfish Allergen M. Mol. Immunol. 2005, 42, 345–353. [Google Scholar] [CrossRef]
- Strehler, E.E.; Eppenberger, H.M.; Heizmann, C.W. Isolation and characterization of parvalbumin from chicken leg-muscle. FEBS Lett. 1977, 78, 127–133. [Google Scholar] [CrossRef]
- Zhang, M.; Tu, Z.-c.; Liu, J.; Hu, Y.-m.; Wang, H.; Mao, J.-h.; Li, J.-l. The IgE/IgG binding capacity and structural changes of Alaska Pollock parvalbumin glycated with different reducing sugars. J. Food Biochem. 2021, 45, 13539. [Google Scholar] [CrossRef]
- Benjakul, S.; Lertittikul, W.; Bauer, F. Antioxidant activity of Maillard reaction products from a porcine plasma protein–sugar model system. Food Chem. 2005, 93, 189–196. [Google Scholar] [CrossRef]
- Benjakul, S.; Visessanguan, W.; Phongkanpai, V.; Tanaka, M. Antioxidative activity of caramelisation products and their preventive effect on lipid oxidation in fish mince. Food Chem. 2005, 90, 231–239. [Google Scholar] [CrossRef]
- Tai, J.; Qiao, D.; Huang, X.; Hu, H.; Li, W.; Liang, X.; Zhang, F.; Lu, Y.; Zhang, H. Structural Property, Immunoreactivity and Gastric Digestion Characteristics of Glycated Parvalbumin from Mandarin Fish (Siniperca chuaisi) during Microwave-Assisted Maillard Reaction. Foods 2023, 12, 52. [Google Scholar] [CrossRef]
- Ni, Z.-J.; Liu, X.; Xia, B.; Hu, L.-T.; Thakur, K.; Wei, Z.-J. Effects of sugars on the flavor and antioxidant properties of the Maillard reaction products of camellia seed meals. Food Chem. X 2021, 11, 100127. [Google Scholar] [CrossRef]
- Matiacevich, S.B.; Santagapita, P.R.; Buera, M.P. Fluorescence from the Maillard Reaction and its Potential Applications in Food Science. Crit. Rev. Food Sci. Nutr. 2005, 45, 483–495. [Google Scholar] [CrossRef] [PubMed]
- Xia, X.; Zhou, T.; Yu, J.; Cui, H.; Zhang, F.; Hayat, K.; Zhang, X.; Ho, C.-T. Formation of Fluorescent Maillard Reaction Intermediates of Peptide and Glucose during Thermal Reaction and Its Mechanism. J. Agric. Food Chem. 2023, 71, 8569–8579. [Google Scholar] [CrossRef] [PubMed]
- Zhou, W.; Huang, C.; Yao, Y.; Zhou, T.; Cui, H.; Niu, Y.; Zhang, F.; Hayat, K.; Zhang, X.; Ho, C.-T. Formation of fluorescent substances and correlation with process flavor changes of dehydrated Maillard reaction intermediates of peanut protein hydrolysates. Food Biosci. 2023, 56, 103316. [Google Scholar] [CrossRef]
- de Jongh, H.H.J.; de los Reyes Jimenez, M.; Baumert, J.L.; Taylor, S.L.; Koppelman, S.J. Electrophoretic Behavior in Relation to the Structural Integrity of Codfish Parvalbumin upon Heat Treatment. J. Agric. Food Chem. 2015, 63, 4683–4689. [Google Scholar] [CrossRef]
- Wang, W.; Yang, P.; Rao, L.; Zhao, L.; Wu, X.; Wang, Y.; Liao, X. Effect ofhigh hydrostatic pressure processing on the structure, functionality, and nutritional properties offood proteins: A review. Compr. Rev. Food Sci. Food Safty 2022, 21, 4640–4682. [Google Scholar] [CrossRef]
- Xu, J.; Zhang, J.; Wu, P.; Wang, F.; Tu, Z.; Wang, H.; Guo, D. Effects of Maillard reaction of different monosaccharide-modified on some functional properties of fish gelatin. Food Res. Int. 2024, 182, 114176. [Google Scholar] [CrossRef]
- Liu, K.; Lin, S.; Liu, Y.; Wang, S.; Liu, Q.; Sun, K.; Sun, N. Mechanism of the reduced allergenicity of shrimp (Macrobrachium nipponense) by combined thermal/pressure processing: Insight into variations in protein structure, gastrointestinal digestion and immunodominant linear epitopes. Food Chem. 2023, 405, 134829. [Google Scholar] [CrossRef]
- Rahaman, T.; Vasiljevic, T.; Ramchandran, L. Effect of processing on conformational changes of food proteins related to allergenicity. Trends Food Sci. Technol. 2016, 49, 24–34. [Google Scholar] [CrossRef]
- Braspaiboon, S.; Laokuldilok, T. High Hydrostatic Pressure: Influences on Allergenicity, Bioactivities, and Structural and Functional Properties of Proteins from Diverse Food Sources. Foods 2024, 13, 922. [Google Scholar] [CrossRef] [PubMed]
- Yang, H.; Min, J.; Han, X.-Y.; Li, X.-Y.; Hu, J.-W.; Liu, H.; Cao, M.-J.; Liu, G.-M. Reduction of the histamine content and immunoreactivity of parvalbumin in Decapterus maruadsi by a Maillard reaction combined with pressure treatment. Food Funct. 2018, 9, 4897–4905. [Google Scholar] [CrossRef] [PubMed]
- Jia, C.; Qian, X.; Zhang, H.; Xiao, Y.; Sun, A. Characteristics of IgE/IgG affinity and glycosylation sites in β-lactoglobulin subjected to synergistic HHP and galactose oligogalactose treatment. LWT Food Sci. Technol. 2024, 207, 116642. [Google Scholar] [CrossRef]
- Somkuti, J.; Smeller, L. High pressure effects on allergen food proteins. Biophys. Chem. 2013, 183, 19–29. [Google Scholar] [CrossRef] [PubMed]






Disclaimer/Publisher’s Note: The statements, opinions and data contained in all publications are solely those of the individual author(s) and contributor(s) and not of MDPI and/or the editor(s). MDPI and/or the editor(s) disclaim responsibility for any injury to people or property resulting from any ideas, methods, instructions or products referred to in the content. |
© 2025 by the authors. Licensee MDPI, Basel, Switzerland. This article is an open access article distributed under the terms and conditions of the Creative Commons Attribution (CC BY) license (https://creativecommons.org/licenses/by/4.0/).
Share and Cite
Huang, Y.; Hu, Y.; Liu, J.; Liu, H. A Comparison of the Structural Changes and IgG Immunobinding Activity of Parvalbumin in Salangid Icefish (Neosalanx taihuensis) After Glycation and Ultra-High Pressure Treatment. Foods 2025, 14, 856. https://doi.org/10.3390/foods14050856
Huang Y, Hu Y, Liu J, Liu H. A Comparison of the Structural Changes and IgG Immunobinding Activity of Parvalbumin in Salangid Icefish (Neosalanx taihuensis) After Glycation and Ultra-High Pressure Treatment. Foods. 2025; 14(5):856. https://doi.org/10.3390/foods14050856
Chicago/Turabian StyleHuang, Ying, Yang Hu, Jiawei Liu, and Haiying Liu. 2025. "A Comparison of the Structural Changes and IgG Immunobinding Activity of Parvalbumin in Salangid Icefish (Neosalanx taihuensis) After Glycation and Ultra-High Pressure Treatment" Foods 14, no. 5: 856. https://doi.org/10.3390/foods14050856
APA StyleHuang, Y., Hu, Y., Liu, J., & Liu, H. (2025). A Comparison of the Structural Changes and IgG Immunobinding Activity of Parvalbumin in Salangid Icefish (Neosalanx taihuensis) After Glycation and Ultra-High Pressure Treatment. Foods, 14(5), 856. https://doi.org/10.3390/foods14050856

